Herr Dr. Völkl, was bedeutet für Sie als Senior Manager Forschung und Entwicklung bei Dentsply Sirona der Werkstoff Cercon?
Dentsply Sirona
Herr Bartsch, Sie betreiben seit vielen Jahren ein zahntechnisches Labor in Eschweiler. Wie sind Sie zur Zirkonoxid-Technologie gekommen?
Dentsply Sirona
Herr Prof. Rinke, Sie sind niedergelassener Zahnarzt und Privatdozent und haben bei vielen wissenschaftlichen Studien zu Cercon mitgewirkt. Wo steht dieser Werkstoff heute?
Dentsply Sirona
Diese behält aber ihre Berechtigung in verschiedenen Bereichen – etwa bei komplexen Restaurationen, bei mehrspannigen Brücken, bei Kronen zur Verankerung von abnehmbarem Zahnersatz und bei bestimmten implantatprothetischen Versorgungen. In meiner eigenen Praxis liege ich – grob geschätzt – heute bei „60% Zirkonoxid“ zu „40% Metallkeramik unter Verwendung hochgoldhaltiger Legierungen“. Mit diesen 40% liege ich wahrscheinlich deutlich über dem Durchschnitt. Das erklärt sich aus dem hohen Anteil an komplexen Restaurationen in unserer Praxis und aus einer großen Zahl von Patienten, die nach jahrelangen guten Erfahrungen mit metallkeramischen Restaurationen einfach dabei bleiben möchten.
Herr Bartsch, Cercon hat sich im Laufe der Zeit für immer mehr Indikationen angeboten und steht in unterschiedlichen Varianten zur Verfügung. Inwiefern arbeiten Sie heute ganz anders mit diesem Werkstoff als zu Anfang?
ZTM Thomas Bartsch: Als wir einstiegen, gab es zunächst nur die Ausführung von Cercon in Form schneeweißer opaker Rohlinge. Wir arbeiteten mit einem Liner, verblendeten grundsätzlich immer und verwendeten teilweise noch Schultermassen.
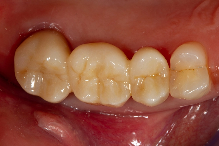
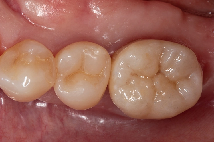
Dies ist seit Einführung der transluzenten Varianten Cercon ht und Cercon xt nicht mehr nötig. Sie machen außerdem monolithische Zirkonoxid-Restaurationen möglich – in unserem Labor heute ein Drittel bis die Hälfte aller Arbeiten und in Einzelfällen sogar für den Frontzahnbereich. Hierzu verwenden wir Cercon bevorzugt in Form von Multilayer-Disks mit natürlichem Farbverlauf. Gemäß der für Cercon entwickelten True-Color-Technology kann ich zwar auch mit monochromem hochtransluzentem und extra transluzentem Zirkonoxid Gerüste und vollanatomische Restaurationen in allen Vita1-Farben gestalten. Aber aus dem Multilayer gefräste Arbeiten reichen häufiger schon bei monolithischer Ausführung an die Ästhetik verblendeter Restaurationen heran.
Dentsply Sirona
Dentsply Sirona / ZTM Thomas Bartsch
All diese Zirkonoxid-Varianten kann ich übrigens nach demselben Programm sintern. So brauche ich mich nicht zu entscheiden, ob ich über Nacht Restaurationen aus klassisch-opakem, elfenbein eingefärbtem, hochtransluzentem, extra transluzentem oder Multilayer-Zirkonoxid in den Ofen gebe. Ich kann sie alle nebeneinander hineinlegen.
Herr Dr. Völkl, die Arbeit mit Zirkonoxid im Labor hat sich über die vergangenen 20 Jahre verändert. Wie sind Sie bei Ihrer Entwicklung vorgegangen?
Dr. Lothar Völkl: Von Zahntechnikern haben wir in der Anfangszeit ab und an die folgende Anfrage bekommen: „Schön, dass wir keine dunklen Metallränder mehr haben, aber was ist mit den schneeweißen Zirkonoxidrändern?“ Daraus hat sich in unserem Hause die Idee entwickelt, Zirkonoxid werksseitig einzufärben. Wir haben dies werkstofftechnisch umgesetzt und später für die True -Color-Technology zusammen mit vielen Zahntechnikern aus mehreren Ländern eine Feinabstimmung der Farben gemäß dem Vita1-Farbring vorgenommen.
Eng verbunden mit diesen Entwicklungen sind auch innovative mechanische Prüfverfahren, so etwa die Anpassung wissenschaftlicher VHCF2-Prüfungen auf dentale Verhältnisse in Kooperation mit der Universität Siegen. Damit können wir insbesondere die Ermüdungsfestigkeit von farblich modifiziertem Zirkonoxid abschätzen, dabei eine jahrzehntelange Tragedauer simulieren und so Zahntechnikern, Zahnärzten und Patienten die Werkstoffsicherheit geben, die sie sich wünschen.
Ein großes Plus an Sicherheit schafft unser spezieller Adapter. In der Form eines Rings umschließt er die Zirkonoxid-Disk und weist einige „Taschen“ auf, sodass eine gleichmäßige Verklebung sichergestellt wird. Denn der Adapter soll ja ohne Spannung anliegen, um die vorgesinterte und daher noch relativ weiche Oxidkeramik zu schonen. Aus diesem Grunde besteht er auch aus einem fasergefüllten und in seinem Wärmeausdehnungskoeffizienten an Zirkonoxid angepassten Kunststoff. Dieser wird durch Präzisionsspritzguss in die exakte Form des Adapters gebracht. Er mag äußerlich unscheinbar aussehen, aber dank ihm überstehen unsere Zirkonoxid-Disks selbst extreme Temperaturschwankungen unbeschadet – zum Beispiel die beim Versand per Luftfracht typischen -50° C.
Herr Prof. Rinke, über die vergangenen 20 Jahre sind viele Innovationen in dentales Zirkonoxid eingeflossen. Wo setzen Sie als Zahnarzt diesen Werkstoff heute am liebsten ein?
Prof. Sven Rinke: Im Frontzahnbereich! Mit Zirkonoxid verbessere ich gegenüber Metallkeramik die Ästhetik, dennoch kann ich provisorisch befestigen und einfach zementieren – genau wie bei Metallkeramik. Bei Keramiken mit geringerer Dauerbiegefestigkeit dagegen ist die adhäsive Befestigung ein Muss.
Dentsply Sirona / Dr. Sven Rinke
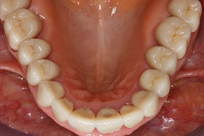
Ich setze Zirkonoxid im Frontzahnbereich in der Regel teil- oder vollverblendet ein. Bei Seitenzahnrestaurationen dagegen überwiegen für mich die Vorteile einer monolithischen Ausführung, denn im posterioren Bereich entfällt mit der Verblendung gleichzeitig ein Faktor für Komplikationen.
Ein springender Punkt ist die Ästhetik. Hier müssen sich die Hersteller beweisen. Dabei überzeugt mich Cercon mit seiner guten Farbabstimmung und der Anpassung an den Vita1-Farbring, auch im Vergleich zu anderen Zirkonoxid-Werkstoffen, die ich in meiner Praxis einsetze. Ich kann Cercon in allen seinen Indikationen als hochästhetisches Material verwenden.
Dentsply Sirona / Dr. Sven Rinke
Dentsply Sirona / Dr. Sven Rinke
Dentsply Sirona / Dr. Sven Rinke
Diese Indikationen reichen heute weit – beispielsweise für Einzelkronen und Brücken, auch mit mehr als vier Gliedern, in der Implantatprothetik; monolithische Kronen und Brücken, zahn- wie implantatgetragen; Klebebrücken, Extensionsbrücken.
Mit welchen Aussagen zur Befestigung?
Prof. Sven Rinke: Über 20 Jahre Erfahrung mit Cercon zeigen, dass eine konventionelle Zementierung grundsätzlich möglich, aber mit einem höheren Risiko für Retentionsverluste verbunden ist. Darum gehe ich meist den goldenen Mittelweg über selbstadhäsive Kompositzemente. Das erfordert keine Konditionierung des Zahns oder der prothetischen Arbeit und auch keine absolute Trockenlegung. Bewährt hat sich beispielsweise insbesondere Calibra Universal von Dentsply Sirona. Lediglich Klebebrücken und Extensionsbrücken würde ich grundsätzlich volladhäsiv befestigen.
Herr Bartsch, was meinen Sie, in welche Richtung sich das Arbeiten mit Zirkonoxid jetzt bewegen wird?
ZTM Thomas Bartsch: Ich erwarte, dass wir in unserem zahntechnischen Labor alles oder fast alles aus den neuen Cercon-Multilayer-Werkstoffen herstellen werden. Manche bevorzugen Cercon xt ML wegen seiner optischen Nähe zu Glaskeramik, andere das höhere Chroma von Cercon ht ML. Diese Rohlinge reichen, und wenn ich nur den Dentin-Anteil brauche, dann fahre ich meinen Rohling eben in der Maschine nach unten und verwende nur das Dentin – zum Beispiel bei zweiteiligen Abutments. Apropos Implantatprothetik: Hier verwende ich bereits heute fast ausschließlich Zirkonoxid.
Schon aus Lagerhaltungsgründen erscheint mir die Konzentration auf Multilayer-Material für meine Zwecke sinnvoll. So kann Cercon heute als ein verträglicher, ästhetischer und ökonomisch attraktiver Werkstoff eingesetzt werden.
Herr Prof. Rinke, wo sehen Sie Cercon in der Zukunft?
Prof. Sven Rinke: Am stärksten dürfte ganz allgemein die Digitalisierung die Praxis der Zukunft prägen, vom Praxismanagement über das intraorale Röntgen bis hin zur Farbbestimmung per Videochat gemeinsam mit dem Zahntechniker; das ist Kommunikation auf einem ganz neuen Level. Als CAD/CAM-Werkstoff kann ich Zirkonoxid nahtlos in digitale Arbeitsabläufe integrieren. So sollte die Bedeutung von Cercon weiter steigen.
Herr Dr. Völkl, welche Entwicklungen stehen rund um Cercon bei Ihnen im Vordergrund?
Dr. Lothar Völkl: Ich finde es zunächst einmal gut, wie viele bewährte Konstanten es rund um Cercon gibt: Seit über 20 Jahren mussten wir noch kein einziges Mal eine Charge zurückrufen. Wir bleiben in unseren Empfehlungen auf der sicheren Seite, so gilt beispielsweise nach wie vor unsere Devise „maximal zwei benachbarte Brückenglieder“.
Zwei mögliche Entwicklungen sehe ich, allerdings in kleinen Schritten. Erstens: Zirkonoxid-Varianten könnten in der Ästhetik noch ein Stück näher an die Glaskeramik herankommen, hier liegt sicherlich die größte Herausforderung in der Kombination von Festigkeit und Transluzenz. Zweitens könnten eine zunehmende Digitalisierung und intensivierte Kommunikation zu einer Beschleunigung auch der Fertigung von Zirkonoxidrestaurationen im Rahmen des Behandlungsablaufs führen.
Wir werden die Chancen, die sich aus diesen Entwicklungen ergeben sowie in enger Abstimmung mit zahntechnischen Laboren ausloten und, gegebenenfalls mit neuen Verfahren und Produkten, vorantreiben. Damit bleibt mein Leben spannend und ich denke: Das gilt auch für Herrn Bartsch und Herrn Prof. Rinke.
Vielen Dank für dieses Interview!
1. Vita ist ein eingetragenes Warenzeichen der Vita Zahnfabrik H. Rauter & Co. KG, Bad Säckingen
2. VHCF = Very High Cyclic Fatigue
Quelle:
Dentsply Sirona
Bildquellen sofern nicht anders deklariert: Unternehmen, Quelle oder Autor/-in des Artikels
Entdecke CME Artikel






Keine Kommentare.