Eine Umwandlung (Metamorphose) von „weichen“ in „harten“ Knochen, also eine ossäre Metamorphose (OMM), ist durch den Einsatz von verdichtenden, nonablativen und am Arbeitsende abgerundeten-Instrumenten, den Condensern, in der Spongiosa problemlos möglich. Neben Spätimplantationen nach dem MIMI-Insertionsprotokoll im weichen Knochen (D3+D4 nach Misch) stellt der Einsatz einer solch kontrollierten, iatrogenen Knochen-Verdichtung auch für horizontale Distraktionen von schmalen Kieferknochen (MIMI II) und bei internen, direkten Sinuslift-Operationen (IDS – MIMI Vb) ein wichtiges Erfolgskriterium dar.
Bereits 1995 entwickelte ich Knochen-Condenser, da ich aufgrund unterschiedlicher Knochendichten nicht einsehen wollte, warum wir Zahnärzte zur damaliger Zeit nach Insertionen im Oberkiefer sechs Monate „Einheilungszeit“ abwarten sollten, hingegen im Unterkiefer nur drei Monate. Aus der orthopädischen Medizin entnahm ich – auf unseren Fachbereich ‚Implantologie‘ abgewandelt – die Idee, mit einfachen Instrumenten z. B. „weichen“ D3-/D4-Knochen iatrogen und intraoperativ in einen optimierten D2-Knochen verwandeln zu können. So konnte man die „Wartezeit“ auch im seitlichen hinteren Oberkiefer auf i. d. R. ebenfalls nur drei Monate reduzieren, inzwischen noch kürzer oder gar in Sofortbelastung.
Die von mir entwickelten Condenser sind im Prinzip auf alle Implantatsysteme anwendbar, ursprünglich waren sie auf das Design des CHAMPIONS-Systems abgestimmt.
Grundsatz zur Auswahl des Implantat-Durchmessers im „weichen Knochen“:
Nicht die Anatomie entscheidet über den Implantat-Durchmesser, sondern der Durchmesser des entsprechenden Condensers, mit dem man eine Primärstabilität erreicht. Deshalb halte ich nicht viel von DVT-basierten Implantatplanungen und daraufhin abgestimmten Bohrschablonen, denn spongiöser Knochen ist angenehm leicht modellierbar.
Erfolgt diese Umwandlung mit langsam rotierenden Instrumenten, den Condensern, mit max. 40 Ncm und 20 U/min am Winkelstück (sog. WS-Condenser), so wird der Knochen weder erhitzt noch besteht eine „Hebelwirkung“, wie es bei Condensern geschehen kann, die manuell mit der Ratsche eingedreht werden. Niedertourig eingesetzte Condenser erzeugen auch keine Knochen-Drucknekrosen, deren Folge ein Knochenabbau wäre (Abb. 1 und 2).
Dr. Nedjat
Dr. Nedjat
Die Knochen-Condenser wurden in den letzten Jahren perfektioniert und sind jetzt in den aufsteigenden Durchmessern 2,4 | 2,8 | 3,0 | 3,3 | 3,8 | 4,3 | 4,8 und 5,3 mm verfügbar. Sie verdichten knochenschonend die Spongiosa-Bälkchen. Erhält man im D4 Knochen eine Primärstabilität, z. B. erst mit einem ø 4,3 mm Condenser, wird ein Implantat von ø 4,5 mm mit Primärstabilität inseriert.
Mit Hilfe von Röntgen-Condenser-Messaufnahmen und Messung der Gingiva-Höhe vor der Pilotbohrung (mit dem gelben Dreikant-Bohrer, der durch die Gingiva auf Periostkontakt gesteckt wird) kann auch auf diese Weise die Implantatlänge intraoperativ verifiziert und auch gezielt ein interner, direkter Sinuslift mit entsprechender/n Implantatlänge- und Durchmesser durchgeführt werden.
Wie exakt und schonend sanft Condenser in der Spongiosa arbeiten, will ich zunächst an einem Modell demonstrieren: Spongiöser Knochen frakturiert bei einer Aufbereitung des Implantatbettes mit WS-Condensern nicht. Die WS-Condenser verdichten – ohne Hebelwirkung durch Ratsche oder bei rein manuellem Einsatz – so gleichmäßig, dass man sie nur wieder herausdrehen kann, wenn man die Einheit auf „links“ umstellt.
Nach den Pilotbohrungen mit dem gelben und weißen Dreikantbohrer mit etwa 50 U/min wird im „weichen Knochen“ – oder auch bei Sofortimplantaten – das Implantatbett mit CHAMPIONS Condensern mit 20 U/min aufbereitet. Sehr gleichmäßig mit nur leichtem Druck wird die Spongiosa verdichtet und man kreiert sozusagen eine „neue“ in der alten Alveole. Aufgrund der idealen, prothetischen Lage und dem „gesunden“ Knochen in diesem Bereich (kein infizierter Knochen!) bereitet man idealerweise die Tri- (oder Bi-)furkation auf (roter Kreis).
Bei einwurzeligen Zähnen im Oberkiefer bereitet man die „neue Alveole“ mit Tendenz palatinal auf, ohne dass die buccale Wand einen Druck vom Implantat ausgehend erfährt. Der Condenser ø 3,8 mm erfährt eine Primärstabilität auf Länge 8 mm (Beginn des Mikrogewindes), somit wird z. B. ein Implantat mit der Länge 8 mm und ø 4.0 mm inseriert.
Das Gewinde des (R)Evolution schließt „visionär“ gut 1-2 mm subkrestal ab, der 3,5 mm GH hohe Shuttle (hier in seiner 4. Funktion als „Gingivaformer“) ist werkseitig auf das (R)Evolution samt Halteschraube montiert und schließt optimalerweise leicht subgingival ab. Sollte der Shuttle aus der Gingiva herausragen, so tauscht man ihn nach Röntgenkontrolle gegen eine „Georgi“ Verschlussschraube mit 0,5; 1,5 oder 2,5 mm Gingivahöhe aus (Abb. 3-8).
Dr. Nedjat
Dr. Nedjat
Dr. Nedjat
Dr. Nedjat
Dr. Nedjat
Dr. Nedjat
| Vorteile der Sofortimplantate für Behandlungsteam und Patienten |
|---|
|
Patientenfall 1
Dr. Nedjat
Dr. Nedjat
Dr. Nedjat
Dr. Nedjat
Dr. Nedjat
Dr. Nedjat
Dr. Nedjat
Dr. Nedjat
Patientenfall 2
Dr. Nedjat
Dr. Nedjat
Dr. Nedjat
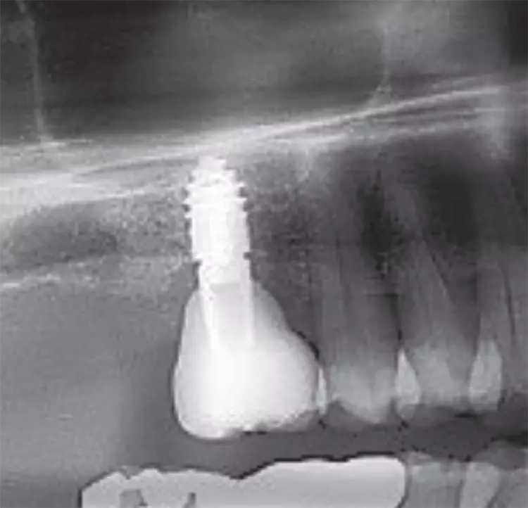
Mit dem primärstabilen WS-Condenser ø 4,3 mm wurde eine radiologische Messaufnahme durchgeführt. Dieser Fall wurde durch die neu geschaffene Kavität der IDS (interner, direkter Sinuslift) mit Smart Grinder-Material und dem im OP-Tray enthaltenen Ricci II-Instrument durchgeführt.
Gleich im Anschluss wurde ein CHAMPION (R)Evolution L 8 mm | ø 4,5 mm – ebenfalls im MIMI-Verfahren – mit einer Primärstabilität von 40 Ncm inseriert. Das DVT zeigt sehr deutlich die „weiße Wolke“ des Grinder-Materials, welches mehr Knochenwachstumsfaktoren enthält als Knochen selbst und durch die Schneider‘sche Membran optimal ernährt wird. Am gleichen Operationstag erfolgte die geschlossene Abformung samt Bissnahme (Abb. 20-23).
Dr. Nedjat
Dr. Nedjat
Dr. Nedjat
Dr. Nedjat
Dr. Nedjat
Dr. Nedjat
Dr. Nedjat
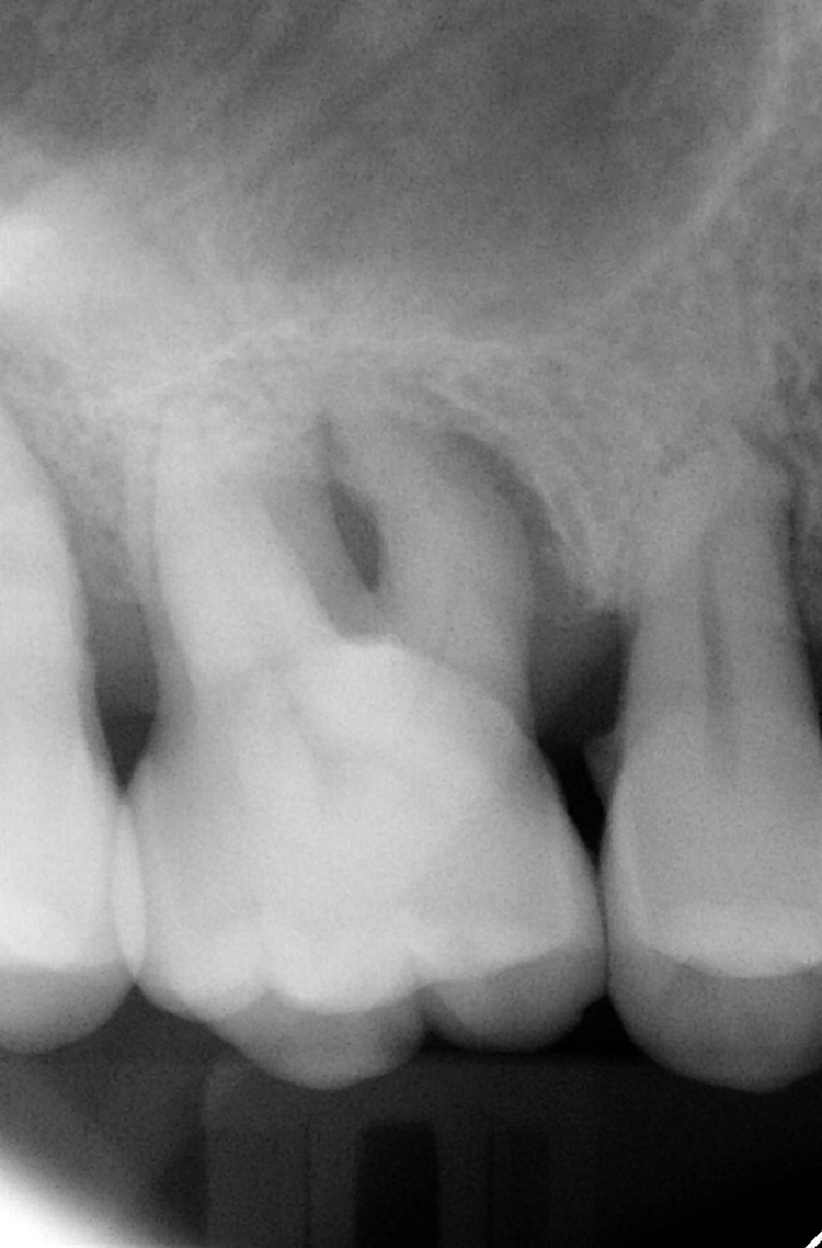
Patientenfall 3
Zahn 17 konnte nicht erhalten werden. Gebohrt und mit WS-Condensern wurde im „gesunden“ Knochen im Bereich der Trikfurkation die neue Kavität zur Aufnahme eines Champions (R)Evolution L 8 mm | ø 4,0 mm mit einer finalen Primärstabilität von 40 Ncm aufbereitet (Abb. 27-29).
Dr. Nedjat
Smart Grinder-Material zum Erhalt des Emergence Profils wurde um den PEEK Gingiva Clix (der auf den Shuttle geklippt wird) mit leichtem Druck in die Restalveole eingebracht. 10 Wochen post OP wurde die Abformung digital durchgeführt (Abb. 30-33).
Dr. Nedjat
Dr. Nedjat
Dr. Nedjat
Dr. Nedjat
Nach Abnahme des Shuttles wird das Titan-Klebebasis-Abutment mit CEREC-Krone in das Implantat mit 30 Ncm verschraubt fixiert (Abb. 34-37).
Dr. Nedjat
Dr. Nedjat
Dr. Nedjat
Dr. Nedjat
Patientenfall 4
Sofortimplantationen regiones 33, 31, 41 und 43 mit vier PATENTs (Zircon-Medical AG, im Vertrieb der Champions-Implants GmbH). Nach drei Monaten post OP wurden die Glasfaser-Post Aufbauten in die C-Connection der PATENTS mit Relyx Unicem supragingival eingeklebt und für eine Zirkon-Steg-Aufnahme präpariert. Das Sekundär-Gerüst wurde aus PEEK erstellt und die gut balancierte Prothese eingegliedert (Abb. 38-46).
Dr. Nedjat
Fazit
Sofortimplantate mit einem innovativ-modernen Implantatsystem ermöglichen patientenfreundliche Konzepte, die man in jeder chirurgisch-tätigen Praxis durchführen kann. Die Patienten sind sicherlich dankbar, wenn man ihnen zumindest das Angebot unterbreitet, in der gleichen Sitzung (Dauer ca. eine Stunde) sowohl die Extraktion, die Socket Preservation, ggfs. den IDS Sinuslift mittels Smart Grinder als auch die Sofortimplantation im MIMI-Verfahren (minimal-invasive Methodik der Implantation) durchzuführen. Die Erfolgsquoten in unseren CIPC-Praxen von über 96 % entsprechen annähernd denen von Spätimplantationen (98,5 %), ohne Patienten-Selektion zur Aufnahme in die Langzeitstudie (z. B. keine PA-kompromittierten, keine Raucher und/oder Patienten mit diversen Medikamenten-Einnahmen).
Die Champions WS-Condenser sind unverzichtbar für eine kontrolliert-sichere „Ossäre Metamorphose“ und ein wichtiges Instrumentarium einer implantologisch tätigen Praxisklinik. Die Morphologie des „weichen Knochens“ kann in wenigen Minuten mit Hilfe der WS-Condenser zugunsten „harten Knochens“ verändert und verifiziert werden. Sofortimplantate spielen eine immer wichtigere Rolle im Alltag auch einer „normalen“ Zahnarztpraxis.
Damit kann vorhersehbar und nachhaltig den Wünschen der Patienten entgegenkommen werden. Auch wirtschaftlich sind Sofortimplantate sowohl für das Zahnarztpraxis-Team als auch für deren Patienten sehr lukrativ und zeitsparend.
Weitere Angaben
Der hier gezeigte erste Patientenfall wurde von CIPC-Supervisor Dr. Volker Knorr (Eislingen), der zweite Fall von CIPC-Experte Dr. Frédéric Lorente (F-Jonquieres), der dritte Patientenfall von CIPC-Supervisor Dr. Lukas Bündgen (Freiburg i. Breisgau) der vierte Fall von Dr. Harald Fahrenholz (A-Wien) durchgeführt. Weitere Informationen und Video-Tutorials gibt es direkt beim Autor.
Bildquellen sofern nicht anders deklariert: Unternehmen, Quelle oder Autor/-in des Artikels
Entdecke CME Artikel



Keine Kommentare.