Anzeige
Pillen Tabletten Medikamente

Medikamente

In der zahnärztlichen Praxis kommen verschiedene Medikamente zum Einsatz, vor allem Schmerzmittel und Antibiotika. Schmerzmittel reichen von lokalanästhetischen Lösungen während der Behandlung bis zu Tabletten oder Tropfen, die Patientinnen und Patienten zur Schmerzlinderung zu Hause einnehmen können. Antibiotika werden bei chirurgischen Eingriffen eingesetz

Notfallmanagement in der Zahnarztpraxis

Notfallsituationen in der zahnärztlichen Praxis sind zwar selten, dann aber stellen sie die Zahnärzte/-innen und ihre Mitarbeitenden vor eine Situation, für die sie in der Regel nicht ausreichend vorbereitet sind. Organisatorisches Chaos und teilweise Hilfslosigkeit sind die Folgen, die unter medizinischen, aber auch unter juristischen Aspekten zu fatalen Konsequenzen führen können. Ein richtiges Handeln bei Notfällen ist dabei nicht schwer, wenige grundlegende Maßnahmen können entweder eine Notfallsituation schon „entschärfen“ oder zumindest einen ausreichenden Zeitgewinn verschaffen, um das Intervall zu überbrücken, bis die Profi-Retter Ihnen zur Hilfe kommen.

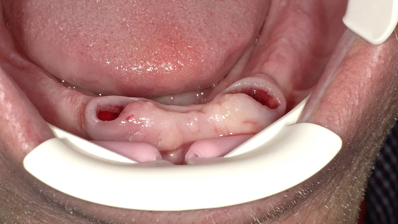
Socketol-Anwenderstudie

SOCKETOL ist ein schmerzlinderndes, antiseptisches und wundheilungsförderndes Arzneimittel, welches zur Behandlung von entzündeten Extraktionswunden bzw. einer Alveolitis sicca, Irritationen durch freiliegende Nervenenden, nach einem Verlust des Blutkoagulums oder eines Dolor post extractionem verwendet wird. Die Hauptwirkstoffe sind das Lidocainhydrochlorid, Phenoxyethanol, Thymol und Perubalsam.

Die chirurgische Behandlung von multimorbiden Patienten/-innen

Der Umgang mit multimorbiden Patienten/-innen stellt die Zahnärzte/-innen und das gesamte Team häufig vor gewisse Herausforderungen. Zum einen müssen Praxisgegebenheiten (barrierefrei bzw. rollstuhlgerecht) bedacht werden. Zum anderen erhöht sich durch multiple Medikamente und/oder durch einen reduzierten Allgemeinzustand die Komplikationsrate bei zahnärztlichen Eingriffen. Dieser Artikel beschreibt den Umgang mit diesen Patienten/-innen unter Berücksichtigung der aktuellen Leitlinie mit praxisnahen Empfehlungen.

Periimplantitis: Die Achillesferse der Implantologie

Periimplantitis ist die Achillesferse der modernen Implantologie: Einmal aufgetreten ist die biologische Komplikation irreversibel, schwer behandelbar und führt in vielen Fällen zum Implantatverlust. Zudem sind Zusammenhänge zwischen dieser chronischen Entzündungskrankheit und Allgemeinerkrankungen nachgewiesen. Demnach sollte das größte Augenmerk darauf liegen, dass Periimplantitis gar nicht erst entsteht.

Neue Therapieoption zur schnellen Schmerzlinderung bei Kopf-, Zahn- und Regelschmerzen – ganz ohne Rezept

„Untersuchungen zum Thema Schmerz verdeutlichen, dass die Auswirkungen von Schmerzen auf das Wohlbefinden der Menschen immer schwerwiegender werden“, erklärt Dr. Lothar Seefried, Facharzt für Orthopädie und Unfallchirurgie aus Würzburg im Rahmen einer Pressekonferenz von Haleon. Mit 86 % seien Kopfschmerzen die Schmerzen, die am häufigsten regelmäßig auftreten – 9 % der Befragten leiden sogar täglich darunter (Haleon Global Pain Index, 5. Auflage 2023). Ein häufig von Betroffenen eingesetzter Wirkstoff zur Schmerzlinderung ist dabei Ibuprofen, für das zur Selbstmedikation eine Standarddosis von 400 mg empfohlen wird [3].

Anzeige
Anzeige
Anzeige