Herausnehmbare Teilprothesen stellen heute eine erfolgreiche Therapieform für das reduzierte Restzahngebiss dar [1-3]. Teilprothesen, die an konventionellen Geschieben verankert sind, zeigen in klinischen Studien schlechtere Langzeitergebnisse als Teilprothesen, die an Adhäsivattachments befestigt sind [2]. Konventionell verankerte Teilprothesen zeigen Überlebensraten von 75% nach 5 Jahren und 50% nach 10 Jahren [4].
Insbesondere bei konventionellen Geschieben mit Freiendsituationen zeigen sich aufgrund der vergleichsweise invasiven Pfeilerzahnpräparation und der hohen Belastung durch die Prothesensättel häufig Pfeilerzahnfrakturen [2,5,6]. Eine solche, vergleichsweise invasive Präparation birgt zusätzlich die Gefahr der Pulpaschädigung und kann v.a. bei jungen Patientinnen und Patienten mit großen Pulpakammern zum Verlust der Vitalität der Pfeilerzähne führen [7]. Peters verglich den Zahnhartsubstanzabtrag bei Adhäsivpräparationen und konventionellen Kronenpräparationen; er zeigte einen Abtrag von 40% der Zahnhartsubstanz bei konventionellen Kronenpräparationen und 10% bei Adhäsivpräparationen auf [8].
Edelhoff und Sorensen stellten bei konventionellen Kronenpräparationen einen Abtrag von 63 bis 72% der koronalen Zahnhartsubstanz fest [9]. Bei richtiger Indikationsstellung und ausreichendem Schmelzangebot der Pfeilerzähne für eine suffiziente adhäsive Befestigung stellen Adhäsivattachments eine erfolgreiche Therapieoption mit guten Langzeitdaten dar [10-12]. Um eine langfristig stabile adhäsive Befestigung zu gewährleisten, sollten restaurations- und kariesfreie Pfeilerzähne gewählt werden.
Bei der Überbelastung von Adhäsivattachments kommt es in der Regel nicht zu Pfeilerzahnfrakturen, sondern lediglich zum Ablösen des Klebeflügels. Werden wiederbefestigte Adhäsivattachments nach Loslösung berücksichtigt, liegt die klinische Erfolgsrate nach 10 Jahren bei 64,7% und nach 15 Jahren bei 60% [10].
Mit dem zunehmenden ästhetischen Anspruch von Patientinnen und Patienten sowie Behandlerinnen und Behandlern in der Zahnmedizin rücken vollkeramische Restaurationen stärker in den Vordergrund. Schon in den 1990er-Jahren setzten Kern et al. erstmalig vollkeramische Adhäsivbrücken aus glasinfiltrierter Aluminiumoxidkeramik (In-Ceram) mit sehr guter klinischer Langzeitbewährung und Ästhetik ein [13]. Inzwischen sind aufgrund der erfolgreichen und langzeitstabilen Verklebung von Zirkonoxid zu Zahnhartsubstanz [14] Adhäsivbrücken mit Gerüsten aus Zirkonoxid zur Standardversorgung avanciert.
Monolithische Zirkonoxidkeramik (3Y-TZP) zeigte in einer Laborstudie vielversprechende Ergebnisse als Material für Adhäsivattachments mit einem optimierten Design [15]. Somit könnten Adhäsivattachments aus 3Y-TZP-Zirkonoxidkeramik eine minimalinvasive und ästhetische Alternative zu metallbasierten Adhäsivattachments sein.
Erste klinische Fallberichte sind in der Literatur verfügbar [16], jedoch gibt es keine klinischen Langzeitdaten, die den generellen klinischen Einsatz rechtfertigen würden. In den in Deutschland geltenden Zahnersatzrichtlinien werden Adhäsivattachments leider nicht erwähnt. Nach Ansicht der Autoren sollten sie als andersartige Versorgung im Sinne der Zahnersatzrichtlinien bei GKV-Patientinnen und -Patienten Anwendung finden können.
Klinische Anwendung
Folgend werden Indikationsstellung, Konstruktionsmerkmale und wichtige klinische Schritte erläutert und beispielhaft dargestellt. In diesem Beitrag sind aber nicht alle wesentlichen Details dieser techniksensitiven Methode abbildbar. Die Autoren empfehlen daher Behandlerinnen und Behandlern, die in dieser Therapiemethode unerfahren sind, sich über entsprechende Fortbildungskurse oder Lehrbücher [17-19] weitergehend zu informieren.
Indikationsstellung und Konstruktionsmerkmale
Adhäsivattachments sind bei uni- oder bilateral verkürzter und/oder unterbrochener Zahnreihe indiziert [20]. Voraussetzung sind karies-, restaurationsfreie und vitale Pfeilerzähne. Ausreichend Platz für die geforderten Dimensionen des Adhäsivflügels muss dabei gewährleistet sein.
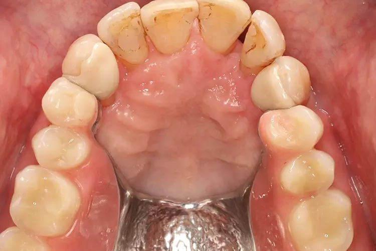
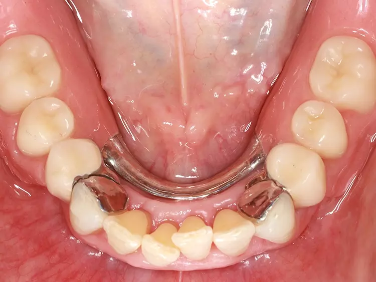
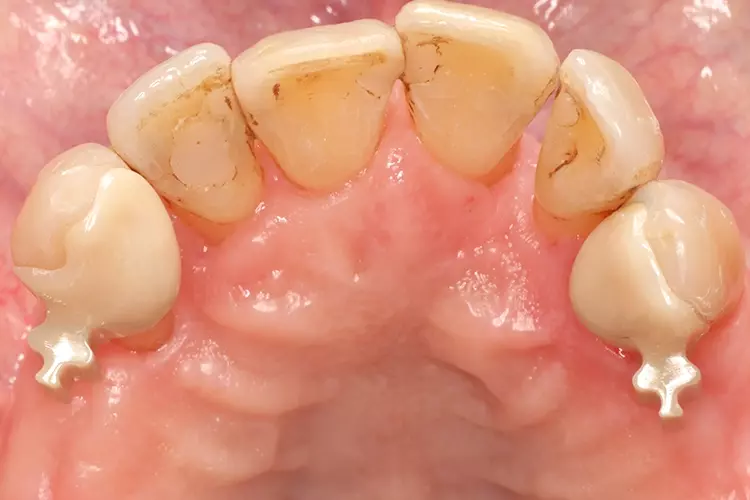
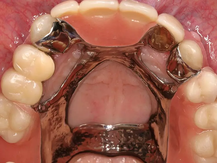
Als relative Kontraindikation sind karies- und restaurationsfreie Pfeilerzähne mit zervikalen keilförmigen Defekten über 1 mm Tiefe zu nennen, da diese zu einer erhöhten Frakturgefahr des Pfeilerzahnes bei Belastung führen. Adhäsivattachments können zur Reparatur vorhandener Doppelkronen- oder Geschiebearbeiten verwendet werden, sofern der verbliebene Nachbarzahn einer verloren gegangenen Doppelkrone karies- und restaurationsfrei ist. Die Matrize wird in diesem Fall in die ausgeschliffene Doppelkrone oder in die Geschiebekrone des verlorenen Pfeilerzahns eingeklebt (Abb. 1 bis 4).
Dr. Merlind Becker
Dr. Merlind Becker
Dr. Merlind Becker
Dr. Merlind Becker
Adhäsivattachments werden in der Regel aus Cobalt-Chrom(CoCr)-Legierungen hergestellt. Um eine ausreichende Steifigkeit des Materials zu gewährleisten, sollte eine Mindeststärke des Adhäsivflügels von 0,7 mm eingehalten werden. Die Ränder sollten möglichst auf Minimalstärke ausgearbeitet werden.
Die Klebefläche sollte mindestens 30 mm2 betragen. Empfohlen werden kostengünstige extrakoronale, semipräzise Stabgeschiebe mit auswechselbaren Kunststoffmatrizen (z.B. Preci-Vertix, Fa. Ceka, Hannover). Um Frakturen zu vermeiden, sollten die Geschiebestäbe extrakoronal mit einer Mindestverbinderhöhe von 3 mm zwischen Stabgeschiebe und Adhäsivflügel konstruiert werden. Die auf 3 mm kürzbaren Geschiebestäbe sollten parodontalfreundlich mit einer Führung für Interdentalraumbürstchen durch eine direkte, ponticförmige Auflage auf dem Kieferkamm angebracht werden.
In den Adhäsivflügel sollte eine Auflagemulde eingearbeitet werden, um auftretende Kaukräfte vertikal auf den Pfeilerzahn zu übertragen. Exzentrische Belastungen werden somit vermieden.
Eine Kippmeiderfunktion und erhöhte Rigidität des Flügels wird durch Gestaltung der zum Prothesensattel weisenden Approximalfläche des Attachments als parallele Anschlagplatte erreicht. Bei ausreichenden Platzverhältnissen lässt sich die Stabilität des Geschiebes zusätzlich erhöhen, indem eine orale Umlauffräsung angelegt wird (Abb. 5 und 6).
zur Verfügung gestellt vom Quintessenz
Verlag. Entnommen aus: Kern et al.: Curriculum Prothetik
Band II Artikulatoren - Ästhetik - Werkstoffkunde - Festsitzende
Prothetik. bzw. Curriculum Prothetik Band III. Kombinierte und
abnehmbare Prothetik - Implantologie - Nachsorge - Lebensqualität.
Quintessenz, Berlin 2022.
zur Verfügung gestellt vom Quintessenz
Verlag. Entnommen aus: Kern et al.: Curriculum Prothetik
Band II Artikulatoren - Ästhetik - Werkstoffkunde - Festsitzende
Prothetik. bzw. Curriculum Prothetik Band III. Kombinierte und
abnehmbare Prothetik - Implantologie - Nachsorge - Lebensqualität.
Quintessenz, Berlin 2022.
Modellanalyse und Präparation der Klebeflügel
Dr. Merlind Becker
Dr. Merlind Becker
Dr. Merlind Becker
Die Präparation erfolgt minimalinvasiv rein schmelzbegrenzt. Zunächst wird die Klebefläche der Pfeilerzähne mit wasserfester Farbe angefärbt sowie die statischen und dynamischen Kontakte mittels andersfarbiger Okklusionsfolie markiert (Abb. 10).
Dr. Merlind Becker
zur Verfügung gestellt vom Quintessenz
Verlag. Entnommen aus: Kern et al.: Curriculum Prothetik
Band II Artikulatoren - Ästhetik - Werkstoffkunde - Festsitzende
Prothetik. bzw. Curriculum Prothetik Band III. Kombinierte und
abnehmbare Prothetik - Implantologie - Nachsorge - Lebensqualität.
Quintessenz, Berlin 2022.
Die definitive Präparation beinhaltet eine leichte zervikale Hohlkehle und zwei approximale leicht konische Retentionsrillen. Bei Frontzähnen werden noch eine inzisale Abschlusskante, eine Noppe sowie eine leichte palatinale Veneerpräparation angelegt (Abb. 11 und 12). Bei Seitenzähnen ist eine zusätzliche okklusale Auflage zu präparieren (Abb. 13).
Dr. Merlind Becker
zur Verfügung gestellt vom Quintessenz
Verlag. Entnommen aus: Kern et al.: Curriculum Prothetik
Band II Artikulatoren - Ästhetik - Werkstoffkunde - Festsitzende
Prothetik. bzw. Curriculum Prothetik Band III. Kombinierte und
abnehmbare Prothetik - Implantologie - Nachsorge - Lebensqualität.
Quintessenz, Berlin 2022.
Zur Versteifung des flexiblen und dünnen Metallflügels und zum Schutz des Flügels vor abschälenden Kräften werden die genannten approximalen feinen Rillen mit einem leicht konischen Separierdiamanten angelegt. Der Langzeiteinfluss dieser retentiven Präparationsform auf den Erfolg dieser adhäsiven Restaurationen wurde mehrfach belegt [21,22]. Als Hilfsmittel zur Sicherstellung der Parallelität der Rillen kann mittels lichthärtenden Löffelkunststoffs ein Parallelisierungspin an den Nachbarzähnen angebracht werden.
14: Dr. Anne Garling.
Die Abformungen dieser Präparationen erfolgen konventionell mittels Präzisionsabformmassen. Die Erfahrungen der Autoren mit digitaler Abformung für die Konstruktion von Adhäsivattachments sind bisher negativ, da die feinen Rillen nicht in ausreichender Präzision wiedergegeben und in den Metallflügel übertragen werden können.
Adhäsive Befestigung von Klebeflügeln
Dr. Merlind Becker
Dr. Merlind Becker
Dr. Merlind Becker
Zur Eingliederung wird ein Kofferdam zur absoluten Trockenlegung gelegt. Die Autoren empfehlen, vor definitiver Eingliederung das sichere Positionieren der Attachments in Endposition mit der Assistenz zu üben. Da die Flügel einen eindeutigen, retentiven Sitz haben, sind Positionierungsschlüssel nicht nötig.
Anschließend werden die Pfeilerzähne mit einem Prophylaxe-Pulverstrahlgerät (z.B. EMS Air-flow Handy 3.0, E.M.S. Electro Medical Systems S.A., Nyon, Schweiz) unter Verwendung eines Natriumbicarbonat-Reinigungspulvers gereinigt. Bei freiliegenden Dentinanteilen sollte Glycerinpulver verwendet werden, um den Dentinklebeverbund nicht zu beeinträchtigen.
Die Schmelzoberflächen der Klebeareale werden 30 Sekunden lang mit 37%iger Phosphorsäure geätzt und danach gründlich mit Wasserspray abgesprüht und getrocknet (Abb. 18 und 19). Freiliegende Dentinbereiche sollten mit einem Dentinadhäsiv konditioniert werden (z.B. Clearfil New Bond, Kuraray Noritake). Die Klebeflächen der Adhäsivattachments werden mit Aluminiumoxidpartikeln bei einem Druck von 2,5 bar abgestrahlt und anschließend 3 Minuten lang im Ultraschallbad in 99%igem Isopropanol von Strahlpartikelresten gereinigt.
Dr. Merlind Becker
Dr. Merlind Becker
Dr. Merlind Becker
Dr. Merlind Becker
Dr. Merlind Becker
Dr. Merlind Becker
Dr. Merlind Becker
Fazit
Bei richtiger Indikation und kariesfreien Pfeilerzähnen stellen Adhäsivattachments zur Verankerung von Teilprothesen eine minimalinvasive und erfolgreiche Therapieoption dar. Im Vergleich zu konventionellen Geschiebearbeiten zeigen sie bessere klinische Überlebensraten [2,10].
Garling et al. beschrieben Überlebensraten von 64,7% nach 10 Jahren und 60,0% nach 15 Jahren für metallbasierte Adhäsivattachments [10]. Bei 16,8% der Arbeiten wurde eine Loslösung der Klebeflügel beobachtet, sodass die Erfolgsrate nach Kaplan-Meier 62,7% über 10 Jahre betrug und nach 15 Jahren auf 52,7% sank, sofern die Loslösung der Klebeflügel als Misserfolg betrachtet wurde.
Hauptgründe für Misserfolge waren Karies an den Pfeilerzähnen und Parodontalerkrankungen. Der Erfolg von Adhäsivattachmentverankerten Teilprothesen hängt maßgeblich von der korrekten Indikationsstellung, einer rein schmelzbegrenzten Präparation und einer adäquaten Verklebung ab.
Für die adhäsive Befestigung von metallbasierten Adhäsivattachments wird eine Konditionierung der Klebeflügel mittels Abstrahlens mit Aluminiumoxidpartikeln bei einem Druck von 2,5 bar empfohlen und die Verklebung mit einem phosphatmonomerhaltigen Kompositkleber. Diese Methode der adhäsiven Befestigung ist etabliert und bietet einen erfolgreichen und langfristigen Klebeverbund zu CoCr-Legierungen [23] sowie zu Zirkonoxidkeramiken [24]. Allerdings ist diese Methode sehr techniksensitiv und setzt ein korrektes Umsetzten der evidenzbasierten Techniken der adhäsiven Befestigung durch die Behandlerin bzw. den Behandler voraus.
Der Behandlungsaufwand ist insbesondere durch die aufwendige adhäsive Befestigung und die grazile Präparationsform erhöht. Ein besonderer Vorteil der Versorgung mittels Adhäsivattachments ist die Klebefuge zwischen Zahnhartsubstanz und dem Klebeflügel, die wie eine Sollbruchstelle bei Überbelastung wirkt. Somit kann im Falle einer Loslösung eines Klebeflügels eine Neuverklebung des Flügels unkompliziert erfolgen und eine Neuanfertigung oder Umarbeitung des Zahnersatzes vermieden werden.
Darüber hinaus können im Falle eines Misserfolgs oft andere Retentionselemente zur Reparatur und Erweiterung des Zahnersatzes herangezogen werden. Biologische Komplikationen wie Karies an den Pfeilerzähnen und parodontale Erkrankungen lassen sich nur durch eine adäquate Mundhygiene der Patientin bzw. des Patienten und kontinuierliche Nachsorge vermeiden.
Dabei ist zu betonen, dass insbesondere ältere Patientinnen und Patienten oftmals nicht in der Lage sind, eine adäquate Mundhygiene zu erreichen. Es ist erwiesen, dass Zahnverlust, Wurzelkaries und parodontale Erkrankungen bei älteren Patientinnen und Patienten deutlich häufiger auftreten [25]. Daher ist eine parodontal- und hygienefreundliche Gestaltung von Adhäsivattachments für deren langfristigen Erfolg unerlässlich.
Näheres zu den Autoren des Fachbeitrages: ZTM Martin Becker, Dr. M. Sad ChaarBildquellen sofern nicht anders deklariert: Unternehmen, Quelle oder Autor/-in des Artikels
Entdecke CME Artikel






Keine Kommentare.