Bei über einen längeren Zeitraum fehlenden funktionellen Belastungen in einem Kieferabschnitt kann es zu ausgeprägter Knochenatrophie [1-3] kommen. Die Rekonstruktion dieser Knochendefekte ist die Grundlage einer dauerhaften Wiederherstellung gesunder Gewebeverhältnisse und prothetischen Restauration. Zur Schaffung eines ausreichend dimensionierten neuen Implantatlagers können Knochendefekte mit autologen Knochenblöcken, Knochenersatzmaterial oder einer Kombination der beiden Verfahren rekonstruiert werden [4,5].
Im vorliegenden Fall erfolgte die Rekonstruktion des periimplantären Knochendefektes mittels Biologischem Eigenknochenaufbau (Split Bone Technik nach Prof. Khoury) [6,7]. Dieses chirurgische Protokoll sieht eine Kombination aus autologen Knochenschalen und der Applikation partikulierter autologer Knochenspäne vor.
Ausgangssituation
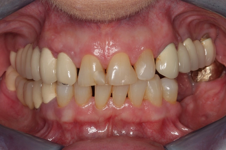
Eine 63-jährige Patientin stellte sich mit einer schon seit längerer Zeit bestehenden Schaltlücke im Unterkiefer links vor. Ziel der geplanten Behandlung war die adäquate prothetische Neuversorgung mittels einer implantatgetragenen Brücke (Abb. 1).
Dr. Frank Zastrow
Chirurgische Maßnahmen
Der Prämolar 35 wies einen hohen Lockerungsgrad und Knochenabbau auf und musste daher extrahiert werden (Abb. 2). Nach einer Ausheilungsphase von sechs Wochen erfolgte die Rekonstruktion des verlorengegangenen Knochens (Abb. 3 und 4). Es erfolgte die Knochenentnahme retromolar und die Schalen wurden in der Folge mit Hilfe des sog. Safescrapers (Firma Meta) weiter ausgedünnt. Nun erfolgte die Rekonstruktion des Knochendefekts, wobei die zuvor entnommenen Knochenschalen (Split Bone Technik nach Prof. Khoury) bukkal auf Distanz gesetzt und mit kleinen Osteosyntheseschrauben fixiert wurden.
Es ist hierbei eine Kieferkammbreite von 7-8 mm anzustreben, wobei bei der Methode des Biologischen Eigenknochenaufbaus nicht überaugmentiert werden muss, da die Resorptionsgefahr äußerst gering ist (Abb. 5 und 6).
Dr. Frank Zastrow
Dr. Frank Zastrow
Dr. Frank Zastrow
Dr. Frank Zastrow
Anschließend wurde der bestehende Hohlraum entsprechend der Prinzipien des Biologischen Eigenknochenaufbaus mit partikulierten Knochenspänen aufgefüllt, die beim Ausdünnen der Knochenschalen gewonnen wurden. Durch diese Methode wird im Unterschied zu kompakten Kortikalisblöcken die Oberfläche des Knochens vergrößert, was wiederum zu einer größeren Angriffsfläche für die zuführenden Gefäße führt und damit eine schnellere Ernährung und Revaskularisierung des aufgebauten Knochens erlaubt (Abb. 7 und 8).
Dr. Frank Zastrow
Dr. Frank Zastrow
Auf eine Abdeckung durch eine Kollagenmembran wird bei dieser Art des Knochenaufbaus grundsätzlich verzichtet, da dies die zuführenden Blutgefäße behindern würde. Ebenfalls wird auf eine Perforierung bzw. Dekortikation des Kieferkamms verzichtet.
Dr. Frank Zastrow
Die Wiedereröffnung des Operationsgebietes erfolgte nach vier Monaten. Länger sollte nicht mit dem Re-entry gewartet werden. Es zeigte sich, dass nur wenig keratinisierte Schleimhaut am Tag der Freilegungsoperation vorhanden war. Daher wurde sich für die sog. Kazanjian Vestibulumplastik entschieden, mit der wieder ein Vestibulum und damit auch fixierte Schleimhaut im periimplantären Bereich hergestellt werden kann (Abb. 10 und 11).
Dr. Frank Zastrow
Dr. Frank Zastrow
Die Kazanjian Vestibulumplastik startet mit einer halbmondförmigen Inzision ins Vestibulum, wobei ein Mukosalappen präpariert wird. In diesem ersten Schritt wird der Muskel von der Mukosa separiert. An der mukogingivalen Grenze erfolgt die Durchtrennung des Periosts, d. h. ab hier wird ein Mukoperiostlappen gebildet. Im letzten Schritt werden die Muskelfasern vom Periost separiert. Der Knochen kann nun freigelegt werden und die Implantatinsertion erfolgen.
Es zeigte sich eine komplette Verknöcherung des Augmentats und keine Resorptionen im Bereich der Fixationsschrauben (Abb. 12) und es erfolgt die Entfernung der Osteosyntheseschrauben und die Implantation von zwei Implantaten (Abb. 13 und 14). Nun erfolgt das Vernähen des Mukosalappens apikal am Periost im Rahmen der Kazanjian Vestibulumplastik, um das Vestibulum wieder zu rekonstruieren (Abb. 15). Die offene Wundfläche Richtung Wange wird der sekundären Wundgranulation überlassen.
Dr. Frank Zastrow
Dr. Frank Zastrow
Dr. Frank Zastrow
Zum Zeitpunkt der Freilegung nach vier Monaten kann man eine typische Narbenbildung erkennen, die spezifisch ist für eine zuvor durchgeführte Kazanjian Vestibulumplastik. Eine einfache Stichinzision ist nun ausreichend, um die Implantate freizulegen und die Gingivaformer zu inserieren (Abb. 16 bis 18).
Dr. Frank Zastrow
Dr. Frank Zastrow
Dr. Frank Zastrow
Prothetische Versorgung
Dr. Frank Zastrow
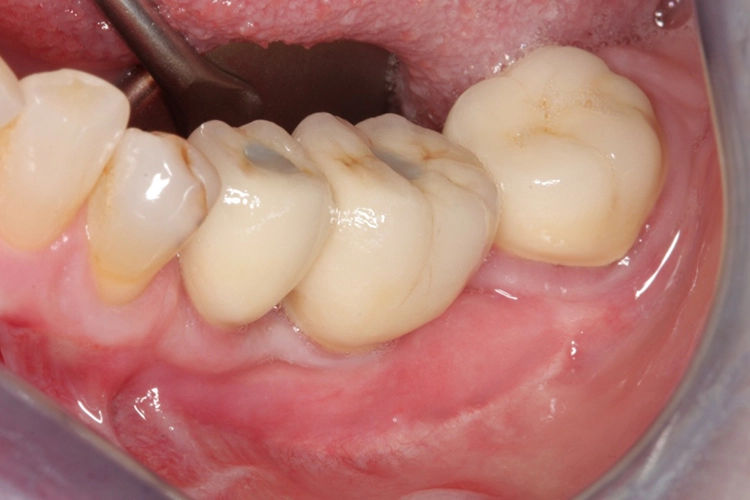
Die Kronen wurden auf den Implantaten verschraubt, um einer durch Befestigungszement induzierten Periimplantitis sicher entgegenzuwirken. Das klinische Abschlussfoto zeigt reizfreies Weichgewebe im periimplantären Bereich sowie eine ausreichende keratinisierte Mukosamanschette periimplantär (Abb. 20).
Dr. Frank Zastrow
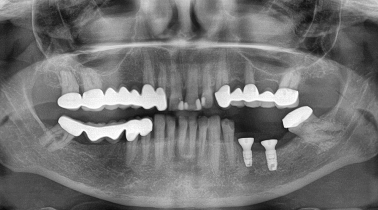
Die Verschraubung stellt eine wichtige Prävention gegen das Auftreten einer Periimplantitis dar. Das röntgenologische Abschlussfoto zeigt die knöcherne Regeneration des Defektes und gute Osseointegration der Implantate (Abb. 21).
Dr. Frank Zastrow
Diskussion
Im vorliegenden Fall erfolgte die Rekonstruktion des schmalen Kieferkammes nach dem Konzept des Biologischen Eigenknochenaufbaus. Hierbei wird retromolar Knochen entnommen und mittels der gewonnenen Schalen (Split Bone Technik nach Prof. Khoury) der Kieferkamm rekonstruiert. Mittels der Schalen wird eine Art Container gebildet und der entstehende Zwischenraum in der Folge mit partikulierten autologen Knochenspänen gefüllt. Im Gegensatz zu Knochenersatzmaterial garantiert die ausschließliche Verwendung von autologem Knochen eine sichere und schnellere Knochenneubildung aufgrund der osteoinduktiven Potenz.
Durch die hohe Präzision, mit denen heute verfügbare CAD/CAM-Systeme implantatprothetische Gerüste fertigen können, ist eine direkte Verschraubung auf den Implantaten möglich. Diese Vorgehensweise bietet zwei Vorteile: Zum einen ist es möglich, auf ein Abutment zu verzichten, wodurch eine zusätzliche Fügestelle und ein Ort potentieller Bakterieninfiltration entfällt. Zudem entfällt durch die Verschraubung die Notwendigkeit der Befestigung der Kronen mit Zement, was einer Zement induzierten Periimplantitis sicher entgegenwirkt.
Mit dem beschriebenen Protokoll können schmale Unterkieferkämme sicher rekonstruiert und mit einer verschraubten festsitzenden Implantat getragenen prothetischen Restauration langfristig ästhetisch und funktionell versorgt werden.
Bildquellen sofern nicht anders deklariert: Unternehmen, Quelle oder Autor/-in des Artikels
Entdecke CME Artikel






Keine Kommentare.