Die Zahnextraktion ist ein gängiges chirurgisches Verfahren in der zahnärztlichen Praxis. Angesichts der zunehmenden Bedeutung dentaler Implantate als Ersatz für fehlende Zähne, hat sich der Fokus auf eine maximal gewebeschonende Extraktion verlagert, um die Integrität von Hart- und Weichgewebe zu erhalten.¹,²
Nach der Entfernung eines geschädigten Zahns treten zahlreiche strukturelle und dimensionale Veränderungen in den verbleibenden Geweben ein. Diese sind primär auf die vertikale und horizontale Resorption des krestalen Alveolarknochens zurückzuführen. Parallel dazu erfolgt der schrittweise Ersatz der Extraktionsalveole durch Granulationsgewebe, gefolgt von Bindegewebe, provisorischem Knochengewebe und letztlich reifem, neu gebildetem Knochen.²,³
„Die atraumatische Zahnextraktion bewahrt Hart- und Weichgewebe, optimiert die biologische Reaktion für die Knochenregeneration und schafft optimale Voraussetzungen für die Sofortimplantation oder die Erhaltung des Alveolarkamms“.
Der horizontale Knochenverlust nach Extraktion beträgt etwa 30 % an der vestibulären Knochenplatte und circa 10 % an der lingualen Seite.³ Studien zeigen, dass im ersten Jahr nach Extraktion bis zu 50 % der vestibulären Knochenplatte verloren gehen können.⁴ Diese Umbauvorgänge führen zu einer Reduktion der Alveolarkammbreite zwischen 2,6 mm und 4,5 mm sowie einer verringerten Kammhöhe um 0,4 mm bis 3,9 mm. Die initiale Dicke der vestibulären Knochenwand hat maßgeblichen Einfluss auf das Ausmaß des Knochendefizits: Unter 1 mm Wandstärke werden resorptive Verluste von bis zu 1,17 mm in der Höhe und 2,67 mm in der Breite berichtet, während dickere Knochenwände (> 1 mm) geringere Verluste von 0,5 mm (Höhe) bzw. 1,17 mm (Breite) zeigen.⁶ Ferner ist bei Multizahnextraktionen eine ausgeprägtere krestale Resorption im Vergleich zu Einzelzahnextraktionen zu beobachten.⁵
Die atraumatische Zahnextraktion bezeichnet die besonders schonende Entfernung des Zahns, bei der das für die Operation typische Gewebetrauma minimiert oder idealerweise vollständig vermieden wird. Diese Technik ermöglicht den Erhalt von Hart- und Weichgewebe, fördert biologische Reaktionen für die Knochenneubildung und Alveolenheilung, reduziert das Infektionsrisiko, bewahrt die natürliche Gingivakontur, verbessert die ästhetische Prognose der finalen Restauration und schafft optimale Voraussetzungen für die Sofortimplantation oder die Alveolarkammpräservation.⁷
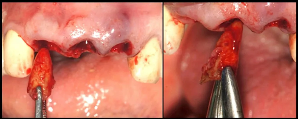
Die atraumatische Zahnextraktion wird, sofern möglich, bevorzugt ohne Lappenbildung durchgeführt. Dies fördert eine ungestörte Alveolenheilung ohne das Einwachsen von Weichgewebe und minimiert das Risiko postextraktiver Rezessionen. Die lappenfreie Chirurgie hat aufgrund ihrer biologischen Vorteile an Bedeutung gewonnen, insbesondere durch beschleunigte Wundheilung und Reduktion der Knochenresorption. Letztere entsteht, wenn infolge unzureichender Gingivaversorgung das Weichgewebe vom Knochen abgelöst wird.⁸ Bei Patienten mit dünnem Gingivabiotyp stellt diese Technik die bevorzugte Vorgehensweise dar, um ästhetische Komplikationen zu vermeiden.⁹
In mehreren Konsensuspublikationen wird die Integrität der vestibulären Knochenplatte als entscheidender Faktor für eine günstige ästhetische Prognose beschrieben, insbesondere im ästhetisch anspruchsvollen Frontzahnbereich.⁷,¹⁰–¹²
Traditionelle Extraktionstechniken entfernen den Zahn durch kreisförmige, hebelnde Bewegungen und starke Zugkräfte, wodurch die Sharpey-Fasern des Periodontiums herausgerissen werden. Diese kraftvolle Ruptur des Desmodonts verursacht eine traumatische Läsion der Alveole mit konsekutivem Kollaps der Blutgefäße und verstärkter Resorption in diesem Bereich.¹³
Im Gegensatz dazu dringen die Instrumente der piezoelektrischen atraumatischen Technik in den Gingivalsaum von Zähnen und Wurzelresten ein und positionieren sich zwischen diesen und den Alveolarwänden bis zu einer Tiefe von 10 mm. Dadurch werden lediglich die apikalen Fasern durchtrennt, was eine schonendere Zahnentfernung ermöglicht und die Erhaltung des krestalen Alveolarkamms bei reduziertem Resorptionsrisiko fördert.¹⁴
Neben den umfassend beschriebenen Vorteilen der Piezotechnik, wie sauberen und präzisen Schnitten, welche insbesondere die Sicht des Operateurs in der Nähe sensibler Strukturen (Gefäße, Nerven) sowie benachbarter Zähne oder bei reduziertem proximalem Knochen verbessert, trägt diese Technik wesentlich zur Vermeidung von Komplikationen bei.¹⁵–¹⁷ Zudem erfordert das Instrument einen geringeren Gegendruck, was auch die Erwärmung des Operationsgebiets reduziert.¹⁸ Die Knochenentfernung rund um den Zahn erfolgt minimalinvasiv und multidirektional, im Gegensatz zu den traditionellen Techniken, die eine variable, jedoch unidirektionale Druckausübung anwenden.¹¹
Bei der Durchführung einer atraumatischen Zahnextraktion sind die Kriterien zur Beurteilung der Wurzellänge, -anzahl sowie der komplexen Wurzelmorphologie zu berücksichtigen. Ebenso wichtig ist die Beurteilung von koronalen Resten sowie Vorbehandlungen wie Endodontien oder das Vorliegen einer Ankylose. In solchen Fällen ist hervorzuheben, dass die piezoelektrische Technik über eine Vielzahl von Instrumententypen („Inserts“) verfügt, die sich optimal an die morphologischen und topografischen Gegebenheiten der Wurzeln anpassen.¹⁴
Klinische Anwendungen
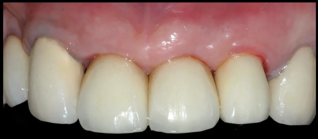
Nach erfolgreicher atraumatischer Zahnextraktion erfolgt – abhängig von Diagnose und Behandlungsplanung – entweder die Erhaltung der Alveolarkontur oder die Sofortimplantation mit gleichzeitiger regenerativer Behandlung.
W&HKlinischer Fallbericht
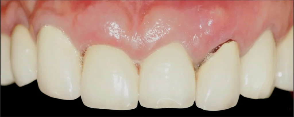
Ein 68-jähriger männlicher Patient stellt sich mit Lockerungen der Zähne 1.1, 2.1 und 2.2 nach einer Kontusion im entsprechenden Bereich vor. Die klinische Untersuchung zeigt Wurzelfrakturen sowie implantatgestützte Versorgungen an benachbarten Zähnen. Die tomografische Diagnostik bestätigt die Befunde an den Schneidezähnen und legt atraumatische Extraktionen nahe. Aufgrund der Dimensionen der verbliebenen apikalen und palatinalen Knochenstrukturen, die eine vorhersehbare primäre Stabilität ermöglichen, wird die Entscheidung getroffen, postextraktive Implantate mit gleichzeitiger Knochenregeneration zu setzen.
Fazit
Die atraumatische Zahnextraktion mit piezoelektrischer Technologie bietet biologische Vorteile wie eine beschleunigte Wundheilung und eine Verringerung der Knochenresorption. Dieses Protokoll ohne Lappenhebung hat insbesondere durch den zunehmenden Einsatz der implantologischen Therapie an Bedeutung gewonnen.
Quelle:
W&H Dentalwerk Bürmoos GmbH
https://la.dental-tribune.com/news/piezocirugia-7-exodoncia-atraumatica/
W&HDie Artikelserie zur Piezochirurgie basiert auf dem Buch „Cirugía piezoeléctrica. Generalidades y aplicaciones clínicas“ von José Carlos Rosas.
Das Buch, verfasst gemeinsam mit Jerson Palomino Zorrilla, Karla Díaz Cavero und María Eugenia Guerrero Acevedo von der Universidad Privada San Juan Bautista in Lima (Peru), präsentiert den aktuellsten wissenschaftlichen Nachweis zur klinischen Relevanz verschiedener piezoelektrischer Verfahren. Die praktische Anwendbarkeit im Praxisalltag wird durch die Veröffentlichung zahlreicher Fallstudien belegt.
Entdecke CME Artikel




































Keine Kommentare.