Die Verfügbarkeit anwendungsgeeigneter Injektionssysteme für die intraligamentäre Anästhesie, die wissenschaftliche Beantwortung der Fragen, die sich in diesem Zusammenhang stellten, und die Erfahrungen der klinischen Anwendung dieser Lokalanästhesie-Methode eröffnen der praktizierenden Zahnärztin/dem praktizierenden Zahnarzt die Möglichkeit, eine weitere Variante der lokalen Schmerzausschaltung ihrem/ seinem Repertoire der örtlichen Betäubung hinzuzufügen. Im Rahmen evidenzbasierter klinischer Vergleichsstudien wurden alle Indikationen betrachtet – die Ergebnisse wurden international publiziert.
Schmerzausschaltung vor endodontischen Behandlungen





Schmerzausschaltung bei parodontal vorgeschädigten Patienten
Bei parodontal vorgeschädigten Patienten ist das Risiko, durch intraligamentale Injektionen mittels mehrstufiger, kraftverstärkender Injektionssysteme – Standardinstrumente bis Ende der 1990er-Jahre (Abb. 1 u. 2) – das Parodontium nachhaltig zu schädigen, nicht als minimal einzustufen [38]. Bei diesem Patientengut sollte die intraliga mentäre Anästhesie – mit den genannten Instrumentarien (Pistolen- und Dosierhebelspritzen) – nur vor indizierten Extraktionen in Betracht gezogen werden. Medizintechnischer Fortschritt und zunehmende Erfahrung mit minimalinvasiver Desmodontalapplikation von Anästhetikum zur Schmerzausschaltung vor angezeigten Maßnahmen der Zahnerhaltung gaben Anlass zu der Frage, ob bei sensibler Anwendung der Injektionssysteme ohne mehrstufige, kraftverstärkende Hebelsysteme die intraligamentale Injektion effektiv als parodontalschädigend einzustufen ist. In zwei Observationsstudien der RWTH Aachen sollte – in einem direkten Methodenvergleich mit der Leitungs- und Infiltrationsanästhesie – eine Antwort gefunden werden, ob bei parodontal vorgeschädigten Patienten die intraligamentäre Anästhesie (ILA) auch bei zahnerhaltenden Maßnahmen und nicht nur bei Zahnextraktionen angewandt werden kann. Es wurde die Hypothese aufgestellt, dass durch die intraligamentäre Anästhesie – bei Anwendung der Methode lege artis – auch bei parodontal vorgeschädigten Patienten keine Gewebsschädigung eintritt und die unerwünschten Effekte der Leitungs- und der Infiltrationsanästhesie, vor allem die über Stunden anhaltende Einschränkung der Sensibilität (Artikulation und Mastikation), bei der ILA signifikant reduziert werden können. Die Ergebnisse wurden publiziert [38,39] und zeigen, dass bei den angezeigten Indikationen, z. B. vor indizierten endodontischen Behandlungen, die sensible Anwendung moderner Instrumentarien für intraligamentale Injektionen auch bei parodontal vorgeschädigten Patienten erfolgversprechend ist. Mittels intraligamentaler Injektionen ist es auch möglich, eine ausreichende Schmerzausschaltung für die systematische Behandlung von Parodontopathien (geschlossenes Vorgehen) zu erreichen, ohne die unerwünschten Effekte der Leitungs- und der Infiltrationsanästhesie [39].


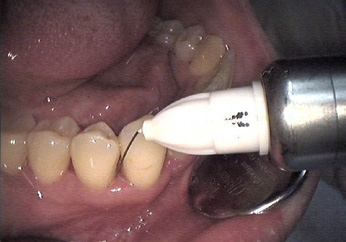
Vor Beginn der Behandlung wurde bei allen Patienten – jeweils 150 Fälle pro Lokalanästhesie-Methode – der Parodontalstatus (ST) erhoben; die durchschnittliche Taschentiefe von 3,4 mm war weitgehend vergleichbar (Tab. 4).Die intraligamentalen Injektionen ins vorgeschädigte Parodontium erfolgten mittels Dosierradspritzen. Mit diesem Injektionssystem ist es dem Behandler möglich, den von ihm aufzubauenden Injektionsdruck sehr sensibel an die anatomischen Strukturen des Patienten anzupassen. Gegen den sehr geringen Widerstand des vorgeschädigten Parodontalgewebes erfolgten die intraligamentalen Injektionen sehr langsam (Abb. 3). Pro Zahnwurzel wurden etwa 0,2 ml Anästhetikum injiziert, bei der 1. Wurzel in > 20 Sekunden, bei einer 2. Wurzel desselben Zahns ? 25 Sekunden und ggf. bei einer 3. Wurzel noch langsamer, um dem Gewebe ausreichend Zeit für eine Resorption des injizierten Anästhetikums zu geben. In die Studie gingen nur Fälle von zahnerhaltenden Therapien ein. Es wurden jeweils 150 unter Leitungsanästhesie des N. alveolaris inferior, Infiltrationsbeziehungsweise Terminalanästhesie und intraligamentärer Anästhesie behandelter Fälle dokumentiert. Die dokumentierten Daten sind in der Tabelle 5 zusammengefasst. Alle Patienten wurden nach Abschluss der Behandlung instruiert, bei jeglichem Anzeichen von Veränderungen oder Beeinträchtigungen ihres Zustandes/Befindens das Behandlungsteam sofort zu informieren. Es wurden keine Auffälligkeiten mitgeteilt. Anlässlich eines Recalls innerhalb von zwei Wochen wurde bei allen dokumentierten Patienten auch der Parodontalzustand überprüft. In keinem Fall, weder bei den unter Leitungs- oder Infiltrationsanästhesie noch bei den unter intraligamentärer Anästhesie behandelten Patienten, wurden irreversible Gewebsveränderungen (Nekrosen) festgestellt. Bei 31 Patienten, bei denen eine systematische Behandlung von Parodontopathien (geschlossenes Vorgehen) angezeigt war, wurde in einer Observationsstudie die Effektivität der intraligamentären Anästhesie überprüft. Ziel war es, ein Injektionsschema zu definieren, demgemäß alle Zähne eines Quadranten minimalinvasiv durch intraligamentale Injektionen anästhesiert werden, um eine für ein systematisches Scaling und Rootplaning ausreichende Analgesie zu erreichen [39]. Erstmals beschrieben wurde die Quadranten umfassende intraligamentale Einzelzahnanästhesie von Sautré und Taubenheim (2007) [45]. Das beschriebene Verfahren wurde von Prothmann et al. (2009) systematisiert und reproduzierbar gemacht [39]. Langbein hat es in der Praxis überprüft und bestätigt [26]. In einem Zeitraum von 3 Monaten wurden von Prothmann et al. 31 Fälle dokumentiert: 20 Frauen (64,5 %) und 11 Männer (35,5 %); das Durchschnittsalter lag bei 51,3 Jahren (35 bis 64 Jahre) [39]. Bei jedem Patienten wurde der Parodontalstatus entsprechend den Vorgaben der KZBV erhoben und die Sondierungstiefen (ST) der Zahnfleischtaschen auf dem standardisierten Formblatt dokumentiert; fehlende Zähne wurden auf dem Schema durchgekreuzt. Die Messung der parodontalen Taschen erfolgte mit Parodontalsonden DB 767R der Firma Aesculap, Tuttlingen, deren Arbeitsspitze der Empfehlung der FDI/WHO entspricht. Gemäß BEMA wurden nur Patienten in die Studie einbezogen, bei denen eine ST ? 3,5 mm festgestellt worden ist. Die Zahnfleischtaschen wurden mindestens an 2 Stellen – mesial-distal oder fazial-oral – gemessen, bei 13 Patienten an 4 bzw. 6 Stellen. Die gemessen Werte wurden auf dem vorgegebenen Formular „Parodontalstatus – Blatt 2“ dokumentiert. Von den zur Behandlung anstehenden, dokumentierten 31 Patienten verfügten zwei (6,5 %) Patienten im Alter von 40–44 und 50–54 Jahren über ein vollständig erhaltenes Gebiss. Bei 12 Patienten wurden in jedem Quadranten mindestens 7 Zähne festgestellt (Tab. 6). Um eine Quadranten umfassende intraligamentäre Schmerzausschaltung zu erreichen, wurde folgendes Schema befolgt:
- Die intraligamentale Injektion erfolgte immer im approximalen Bereich, sodass das injizierte Anästhetikum gleichzeitig die benachbarten Wurzeln und das umgebende Gewebe von 2 Zähnen anästhesierte (Abb. 4).
- Sukzessive, zahnüberspringende Schmerzausschaltung durch Applikation von jeweils 0,09–0,1 ml Anästhetikum pro Injektionspunkt in mindestens 10 Sekunden.
- Beginnend im 1. Quadranten wurde die 1. Injektion – falls vorhanden – beim Zahn 18 distal durchgeführt. Die 2. Injektion erfolgte distal beim Zahn 16, danach beim Zahn 14 sowie beim Zahn 12 und dann beim Zahn 11 mesial. Dadurch wurde dem ganz langsam applizierten Anästhetikum ausreichend Gelegenheit gegeben, ins Desmodont zu diffundieren (Tab. 7).
- Entsprechend wurde sofort im Anschluss an den Injektionspunkten 18 mesial (= 17 distal), 16 mesial (= 15 distal), 14 mesial (= 13 distal), 12 mesial injiziert [39].





Bei Anwendung des beschriebenen Injektionsschemas war es möglich, innerhalb weniger als 2 Minuten einen kompletten Quadranten zu desensibilisieren und sofort mit der Behandlung zu beginnen (Abb. 5). Nach Abschluss der Behandlung des 1. Quadranten wurden die Zähne des 3. oder des 4. Quadranten anästhesiert und anschließend unverzüglich behandelt. Innerhalb von 3 Monaten wurden 31 Fälle von parodontologischer Behandlung unter intraligamentärer Anästhesie dokumentiert. Aufgrund der zunehmenden Erfahrung des Behandlers mit der Methode der intraligamentären Anästhesie wurde die unter Leitungs- und Infiltrationsanästhesie für den Patienten kaum zumutbare Behandlung aller vier Quadranten in einer Sitzung dennoch vier Patienten vorgeschlagen und von diesen akzeptiert (Tab. 8). In keinem Fall wurden seitens dieser Patienten nach Abschluss der Behandlung und Abklingen der Anästhesie Einschränkungen des Tast- und Temperaturempfindens, der Mastikation und der Artikulation angegeben bzw. festgestellt. Durch Sondierungen vor Beginn des Scalings wurde überprüft, ob das erreichte Niveau der Schmerzausschaltung – die Anästhesietiefe – für die beabsichtigte subgingivale Instrumentierung ausreichend war. Die erreichte intraligamentäre Anästhesie war in allen Fällen ausgeprägt und für die indizierte Behandlung ausreichend tief; sie wurde nach Aussage der Patienten nur als eine mechanische Bearbeitung ihrer Zähne wahrgenommen. Es gab keine Anästhesieversager; die Erfolgsquote diesbezüglich war 100 %. Die Anästhesiedauer betrug pro Quadrant etwa 30 Minuten; in dieser Zeit konnte die Behandlung problemlos durchgeführt werden, Nachinjektionen waren nicht erforderlich. Injektionsschmerz wurde von 6 Patienten (19,4 %) registriert. Er wurde von den Patienten als leichter Einstichschmerz angegeben, der sofort nach Beginn der Applikation des Anästhetikums verschwunden war. Der Verbrauch an Anästhetikum für alle vier Quadranten betrug im Durchschnitt pro Patient 3,35 ml. Der – im Vergleich mit Leitungs- und Infiltrationsanästhesie – geringe Verbrauch an Anästhetikum erklärt sich durch die nur geringe Injektionsmenge von circa 0,1 ml Anästhetikum pro Injektionspunkt, d. h. 36 Injektionspunkte bei einem vollständig erhaltenen Gebiss. Nebeneffekte oder Beeinträchtigungen wie Druckschmerz beziehungsweise Elongationsgefühl, Herz-Kreislauf-Belastung, Taubheit von Zunge, Kiefer und Wange oder allgemeine Beeinträchtigungen wurden weder diagnostiziert noch von den Patienten genannt. Bei den durchgeführten Recalls wurden keine pathologischen Befunde diagnostiziert. Die intraligamentäre Anästhesie ist, wenn das Anästhetikum druckkontrolliert z. B. mit Dosierradspritzen vom Typ SoftJect appliziert wird, eine wirkungsvolle Methode der Schmerzausschaltung auch vor der indizierten Behandlung von Parodontopathien bei geschlossenem Vorgehen. Mit einer weiteren Schädigung des Parodontiums ist bei der Verwendung optimal geeigneter Instrumente, dem Einsatz bewährter Anästhetika mit angemessenem Adrenalinzusatz, z. B. Ultracain D-S forte, und sicher beherrschter, lege artis durchgeführter intraligamentaler Injektionen nicht zu rechnen [39]. Die Ergebnisse der beiden Studien bestätigen, dass es auch bei Patienten mit einem parodontal vorgeschädigtem Gebiss durch intraligamentale Injektionen zu einer minimalinvasiven Schmerzausschaltung kommt – ohne Beeinträchtigung des Patienten.
Zusammenfassung und Ausblick
Bei Beherrschung der Methode der intraligamentären Anästhesie durch den Behandler, Anwendung adäquater Instrumentarien und Applikation bewährter Anästhetika, z. B. auf 4%iger Articain-Basis mit Adrenalin, ist die ILA eine primäre Methode der zahnärztlichen Lokalanästhesie. Mittels der modernen Instrumentarien für intraligamentale Injektionen ist es weitgehend möglich, diese minimalinvasive Methode der Schmerzausschaltung (ILA) bei – fast – allen zahnärztlichen Indikationen und Patienten anzuwenden. Die systemimmanenten Risiken der konventionellen Lokalanästhesie-Methoden Leitungs- und Infiltrationsanästhesie, primär das Risiko einer Gefäß- und/oder einer Nervläsion und die stundenlangen artikulatorischen und mastikatorischen Einschränkungen nach Abschluss der Behandlung, sind bei der ILA nicht gegeben. Details zu chirurgischen Indikationen, z. B. Extraktionen und Osteotomien, zur praktischen Anwendung und auch generelle Fragen zur Patientenaufklärung werden im 3. Teil dieser Arbeit betrachtet und beantwortet. Die intraligamentäre Anästhesie kann die Leitungs- und auch die Infiltrationsanästhesie weitgehend substituieren.
Interessierte finden tiefergehende Inhalte im Spitta Fachbuch zur Intraligamentären Anästhesie:
www.spitta.de/intraligamentaere-anaesthesie
Weiterführende Links
Näheres zu den Autoren des Fachbeitrages: Prof. Dr. Christoph BenzBildquellen sofern nicht anders deklariert: Unternehmen, Quelle oder Autor/-in des Artikels
Entdecke CME Artikel





Keine Kommentare.