Seit meiner Praxisniederlassung im Jahr 2002 in Gera verwende ich drei marktübliche und bekannte Implantatsysteme, die ich nach konventioneller Methode bei meinen Patienten einsetze. Im Jahr 2010 wurde ich von Kollegen auf das Champions- Implantatsystem und das größtenteils zur Anwendung kommende MIMI®-Flapless-Verfahren aufmerksam gemacht. Seit ich dieses in meiner Praxis nutze, mittlerweile nur noch ausschließlich, wird für mich der implantatchirurgische Behandlungserfolg vorhersehbarer.
Allogene, xenogene oder alloplastische Knochenersatzmaterialien habe ich bis zu diesem Zeitpunkt ebenfalls als Augmentat verwendet. Allerdings musste ich schon etliche Male staunen, dass mir diese Materialien bei dem einen oder anderen Eingriff, obwohl diese seit mehr als 10 Jahren in situ waren, entgegenkrümelten.
Autolog gewonnenes plättchenreiches Plasma (PRP, PRGF und PRF) ergänzt seither nun mein Behandlungsportfolio. Es fördert bei meinen chirurgischen bzw. implantatchirurgischen Eingriffen eine bessere und schnellere Wundheilung, die sich für meine Patienten schmerzfreier gestaltet, was mir diese auch regelmäßig bestätigten.
Gewinnung von autologem Knochenersatzmaterial
Auf einer meiner letzten regelmäßigen Fortbildungsmaßnahmen im Champions Future Center in Flonheim stellte Dr. Armin Nedjat dem Auditorium den patienteneigenen extrahierten Zahn als das optimale autologe Augmentat vor. Jeder extrahierte Zahn – in Deutschland werden annähernd 10 Millionen Zähne p.a. entnommen – kann nach entsprechendem Aufbereitungsprotokoll und mittels eines Smart Grinders, welcher ihn zerkleinert, wieder im Alveolarkamm eingebracht werden. Genau genommen wird das Dentin, auf eine Größe von 300 bis 1.200 ?m partikuliert, zum Augmentat.
Der Grund liegt darin, dass das Dentin in seiner Zusammensetzung mit Knochen vergleichbar ist. 50 % des Volumens sind Hydroxylapatit und 50 % organische Matrix, haupt- DENTALFORUM sächlich Typ-I-Kollagen. Dentin setzt jedoch mehr Wachstumsfaktoren (knochenmorphogenetische Proteine, BMPs) als transplantierter autologer Knochen frei und Dentin kann durch Osteoklasten resorbiert werden. Dies jedoch bedeutend langsamer als Knochen, und das bei schnellem Remodelling.
Somit entsteht nach etwa 7 bis 12 Wochen ein langfristig stabiler D1-D2-Knochen – eigentlich ein Komposit aus Knochen und Dentin. Das aufgebaute Volumen bleibt über Jahre erhalten und somit kann ein Patient, der aktuell eine Sofortimplantation scheut, auch später problemlos implantologisch minimalinvasiv versorgt werden.
Mein „eigener“ Patientenfall
Extraktion und Implantation Zahn 25
Eine missglückte endodontische Behandlung hatte zur Folge, dass mein Zahn 25 extrahiert werden musste. Ein oralchirurgisch tätiger Kollege nahm diese Behandlung vor. Selbst hergestelltes eigenes plättchenreiches Plasma brachte er in die Alveole ein. Jedoch wollte er nicht sofort implantieren, sondern erst zu einem späteren Zeitpunkt.
Die Wundheilung verlief erwartungsgemäß schmerzlos, mit nur geringer Kieferkammresorption. Es sollte auf meinen Wunsch hin ein minimalinvasiv zu inserierendes Implantat eingebracht werden, ohne Aufklappung des Kieferkamms, denn meiner Ansicht nach ist dies der erste Schritt in Richtung Periimplantitis. Ich wandte mich daraufhin an Dr. Armin Nedjat, Flonheim, welcher mir ein solches Implantat inserierte. Mit diesen Erfahrungswerten und einem eingebrachten Spätimplantat regio 25 im MIMI-Flapless-Verfahren kehrte ich in meine heimische Praxis zurück. Die von meinem Zahntechnikermeister erstellte Krone für das Implantat 25 passte exakt und nach 8 Wochen Einheilzeit war die Behandlung abgeschlossen.
Extraktion und Implantation Zahn 26

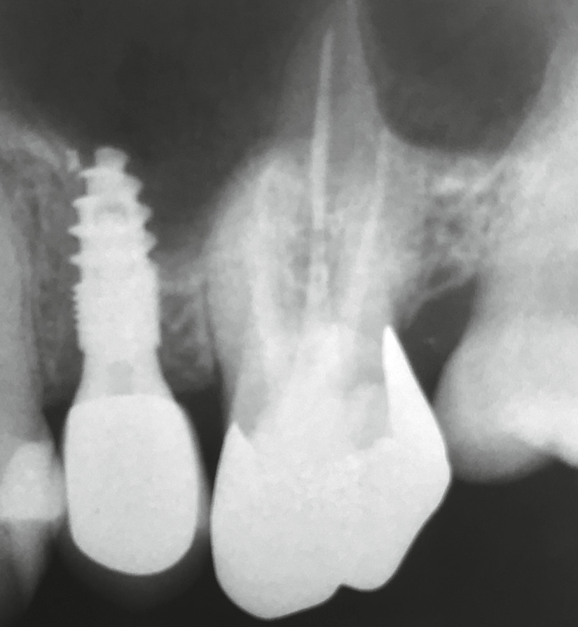
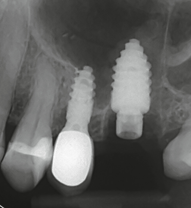
Widerwillig reifte in mir der unschöne Gedanke an einen Längsriss der palatinalen Wurzel des Zahnes 26. Die Beschwerden und der unauffällige Röntgenbefund ließen nur diese Diagnose schlüssig erscheinen. Ich wandte mich bezüglich einer erneuten Behandlung an Dr. Armin Nedjat. Nach Infiltrationsanästhesie, mittels MagicPen, entfernte Dr. Nedjat die Goldkrone. Er extrahierte den dreiwurzeligen Zahn und versuchte, in den vorhandenen Alveolarknochen, welcher durch die Trifurkation eingeschlossen war, zu implantieren. Der erfahrene Behandler benutzte zunächst den gelben konischen Dreikantbohrer. Danach erfolgte im D3- Knochen die Verdichtung des Knochens mit dem Ziel, eine Primärstabilität von 30–40 Ncm mit den Kondensern vom Durchmesser 2,4 mm, 3,0 mm, 3,8 mm, 4,3 mm zu erreichen. Nach dem Kondenser mit Durchmesser 5,3 mm war erst eine ausreichende Stabilität von 35 Ncm erzielt worden (Abb. 2). Minimalinvasiv wurde ein direkter Sinuslift durchgeführt – genial einfach durch Linkslauf des orangen Krestalbohrers vom Durchmesser 3,7 mm. Auf diese Weise kann die Schneider- Membran um bis zu 10 (!) mm angehoben werden. Ein Champions® (R)Evolution Titan-Implantat, Durchmesser 5,5 mm, Länge 10 mm, wurde inseriert (Abb. 3).

Nachdem der Behandler sämtliche Füllungs-, Wurzelfüllmaterialien sowie Zementreste von seiner Assistenz entfernen ließ, wurden die Zahnfragmente im Luftstrom der Multifunktionsspritze getrocknet und in den Champions Smart Grinder gegeben (Abb. 4). Nach wenigen Sekunden später war der Zahn zerkleinert. Es folgte eine 10-minütige Entkeimung und eine 3-minütige Neutralisation und das Augmentat war einsatzbereit. Es ließ sich sehr gut adaptieren, da es am Spatel leicht anhaftete. Autologer Dentingraft induziert nun Knochenwachstum (Abb. 5).


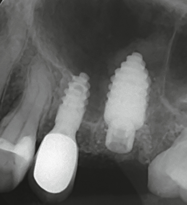
Glücklich verließ ich den Behandlungsstuhl, wohlwissend, welche Behandlung konventioneller Implantation mit externem Sinuslift und Einheilzeiten von bis zu einem Jahr mir erspart geblieben war. Seither bin ich begeisterter Anwender des Champions Smart Grinders. Die Abbildung 6 zeigt die Situation nach 12 Wochen.
Bildquellen sofern nicht anders deklariert: Unternehmen, Quelle oder Autor/-in des Artikels
Entdecke CME Artikel


![Abb. 1: Vergleich der Morphologie an Implantat und Zahn (modifiziert nach [17]).](https://dentalwelt.spitta.de/wp-content/uploads/post_images/Art_Diagnostik___BFM_in_der_UIT_Abbildungen-2.webp.webp)


Keine Kommentare.