Das Angebot an minimalinvasiven Techniken nimmt nach wie vor zu: Da ist zum einen der Einsatz der digitalen Volumentomographie mit entsprechender Software zur Planung implantologischer Eingriffe und der Option zur Herstellung von Schablonen. Behandler werden in der operativen Umsetzung der digitalen Planung unterstützt. Aber auch das Angebot an Instrumenten und Geräten zur minimalinvasiven Chirurgie nimmt ständig zu. Beispielhaft seien an dieser Stelle piezochirurgisch unterstützte Techniken zur Kieferkammverbreiterung genannt. Aber auch die Indikationserweiterungen von Knochen- und Weichgewebsersatzmaterialien erlauben dem Behandler in zunehmendem Maße in vielen Behandlungsfällen den Verzicht von klassischen Zugangs- und OP-Techniken zu Gunsten der „flapless surgery“ respektive weniger invasiven Eingriffen. Patienten profi tieren unter anderem in den Aspekten der Schmerzsymptomatik, dem verkürzten Wundheilungsverlauf und des prothetischen „backward plannings“ mit der Möglichkeit der Zahnersatzpräfabrikation [1-5].
Verschiedene Techniken zur Sinusbodenaugmentation
Betrachtet man die Techniken der Sinusbodenaugmentationen, so ist auch dort seit der Vorstellung der Tatum-Technik in den 70er-Jahren und der Erstveröffentlichung dieser durch P.J. Boyne & R.A. James [6] ein stetes Bestreben zu minimalinvasiveren Zugängen und Techniken zu beobachten.
Einen ersten Meilenstein auf dem Weg zu mehr Minimalinvasivität stellte die Osteotom-Technik 1994 durch R.B. Summers dar [7]. Der Zugang zum Sinusboden erfolgt im Regelfall durch eine Pilotbohrung bis etwa 1 bis 2 mm von krestal an den Kieferhöhlenboden heran. Die Frakturierung des Kieferhöhlenbodens im Sinne einer Grünholzfraktur erfolgt unter Zuhilfenahme von im Originalprotokoll an der Stirnseite konkaven Osteotomen mit konvexen Schäften, so dass eine gleichzeitige Kondensation des umliegenden Knochens erfolgt. Laut ITI-Guidelines ist mit dieser Technik ein vorhersagbarer vertikaler Gewinn von 2 bis 3 mm sicher zu erwarten (ITI Treatment Guide, Volume 5, Sinus Floor Elevation Procedures). Die Augmentation kann sowohl ohne als auch mit dem Einsatz von zusätzlichem Knochenersatzmaterial als „bone-added osteotome sinus floor elevation technique“ praktiziert werden. Die Osteotomtechnik wurde vielfältig modifiziert, zum Beispiel in Verbindung mit Knochenkernpräparationen, vorgestellt von P.A. Fugazotto und auch M. Soltan [8,9] oder aber auch als ein Arbeitsschritt in weiterführenden Techniken, wie zum Beispiel der Ballontechnik [10]. Ein großer Teil von Patienten ? ohne Sedierung oder Behandlung in Intubationsnarkose ? empfindet die Erschütterungen durch die Hammerschläge des Osteotoms als irritierend, ein sehr kleiner Teil erleidet durch die Anwendung einen temporären benignen paroxysmalen Lagerungsschwindel durch Absprengung von Otolithenanteilen, die zu temporären Veränderungen des Fließverhaltens der Endolymphe im hinteren Bogengang mit konsekutiver Schwindelsymptomatik führen können [11].
Wenn man sich die weiteren Techniken, die weitestgehend in diesem Jahrtausend erst entwickelt wurden, betrachtet, ist es sinnvoll, sie nach folgendem Kriterien zu kategorisieren:
- Wie erfolgt der Ersteintritt in die Kieferhöhle?
- Wie erfolgt die Anhebung der Schneider‘schen Membran?
Zur ersten Frage ergeben sich folgende Techniken:
A) Osteotomtechniken in all ihren Modifikationen
B) Ersteintritt mit speziellen Bohrergeometrien
C) Piezochirurgische Instrumente
D) Ersteintritt unter (hohem) Wasserdruck.
Zum Ersteintritt mit speziellen Bohrergeometrien gibt es mittlerweile eine Vielzahl von Bohrersets, zum Beispiel unter Zuhilfenahme von Tiefenstoppern, nicht-schneidenden Bohrerstirnseiten oder Bohrergeometrien. Diese führen dazu, dass sich Knochenmehl aus dem Bohrschacht als Puffer zwischen dem rotierenden Instrument und der Schneider‘schen Membran befindet. Dadurch kann die Perforation des kortikalen Sinusbodens ohne Kieferhöhlenschleimhautperforation erfolgen.
Ein großer Vorteil der Piezochirurgie ist die weichgewebsschonende Anwendung in der Knochenchirurgie. Aufgrund der besonderen Oszillation der Arbeitsinstrumente werden diese in verschiedenen Techniken auch für die Präparation des Zugangs zur Kieferhöhlenschleimhaut genutzt. Beispielhaft seien an dieser Stelle die beiden in Europa wahrscheinlich am weitest verbreiteten Systeme Intralift (Acteon) und Physiolift (Mectron) genannt.
Zur vierten Gruppe lässt sich exemplarisch unter anderem die Hydraulic Sinus Condensing Technique von Dr. Chen zählen, die bereits Mitte des ersten Jahrzehnts des neuen Milleniums bei der American Academy of Periodontology und der European Federation of Periodontology vorgestellt wurde. Vereinfacht kann man sagen, dass durch eine spezielle Bohrstollengeometrie unter Verwendung eines konventionellen chirurgischen Handstückes bei starker Wasserkühlung nach und während der Perforation des Kieferhöhlenbodens das Ablösen der Membran erfolgt.
Auch die in diesem Artikel detailliert vorgestellte Technik des Jeder-Systems gehört zu dieser Gruppe mit Ersteintritt unter hohem Wasserdruck.
Zur zweiten Frage der Anhebung der Schneider‘schen Membran findet man im Wesentlichen folgende Techniken:
A) impulsiv, gestielt am Restknochen
B) pneumatisch;
C) hydraulisch;
D) hydrodynamisch.
Zu A) sollten die Osteotomtechniken gerechnet werden, während unter B) die Techniken, die zum Beispiel unter Verwendung von mit Luft gefüllten Ballons oder Kathetern arbeiten, kategorisiert werden.
Die Techniken unter Zuhilfenahme einer hydraulischen Komponente arbeiten oftmals mit pastösen Knochenersatzmaterialien, die dann selbst als Vehikel zum Lösen der Kieferschleimhaut fungieren. Alternativ auch mit steriler Kochsalzlösung, die mit Spritzen unter die Kieferhöhlenschleimhaut appliziert wird. Bei der Hydraulic Sinus Condensing Technique nach Dr. Chen wird sowohl mit Wasserdruck aus dem chirurgischen Handstück als auch einer hydraulischen Komponente in Bezug auf das Knochenersatzmaterial gearbeitet. Auch die Verwendung des autologen Knochenmehls aus dem Bohrstollen als hydraulische Komponente und die Kieferhöhlenschleimhaut elevierendes Agens bei kleineren Sinuslifts in Verbindung mit einer speziellen Osseodensifikationstechnik (gegen den Uhrzeigersinn rotierende, flötenförmige Bohrergeometrien in Verbindung mit oszillierenden Bohrerbewegungen durch den Behandler) wird in einzelnen Fallpräsentationen beschrieben. Hier beschränkt sich die aktuelle Studienlage jedoch auf tierexperimentelle Anwendungen außerhalb der Kieferhöhle [12].
In die letzte Gruppe sollen die Intralift-Technik, die mit speziellen piezochirurgischen Instrumentengeometrien dem Ansatz des hydrodynamischen Sinuslifts folgt, und dem hier im Detail zu beschreibenden Jeder-System, das durch eine gerätimmanente, pulsierende Technik ebenfalls der Gruppe der hydrodynamischen Techniken zuzurechnen ist, kategorisiert werden. Allen diesen Techniken ist gemeinsam, dass nach Maßstäben der evidenzbasierten Medizin die Anzahl an randomisierten, klinisch kontrollierten, auswertbaren Studien für die Erstellung eines systematischen Reviews noch nicht erstellt beziehungsweise noch nicht publiziert wurden. Jedoch gibt es unter anderem beispielhaft für die piezochirurgischen Techniken und das Jeder-System mittlerweile vielversprechende Fallserien [13,14]. Allen minimalinvasiven Techniken ist gemeinsam, dass sie sich in erster Linie mit zwei grundlegenden Problematiken beschäftigen müssen: Der sichere Ersteintritt in die Kieferhöhle und das sichere Anheben der die Kieferhöhle auskleidenden Schneider‘schen Membran. Beides soll detailliert in Bezug auf das Jeder- System dargestellt werden.
Das Jeder-System
Dr. van Orten
Die primären Prämissen des Systems zu Beginn der Entwicklung waren die folgenden: Sicherer, kontrollierter, minimalinvasiver Ersteintritt in die Kieferhöhle und das sichere, kontrollierte und volumendefinierte Anheben der Kieferhöhlenschleimhaut. Ersteres vor allem geschuldet, um die Compliance der Patienten zu erhöhen und die Belastung der Patienten zu minimieren [5]; zweiteres vor allem, um intraoperative Komplikationen zu vermeiden.
Der Zugang zum Knochen kann sowohl flapless als auch mit Zugangslappenpräparation erfolgen.
Das System beruht auf der Schaffung einer Druckkammer, in der der Ersteintritt durch den knöchernen Kieferhöhlenboden bei etwa 1,2 bis etwa 1,5 bar unter Zuhilfenahme eines speziellen Bohrers ? der Jederfräse ? in der Druckkammer stattfindet, ohne dass eine Berührung der Kieferhöhlenschleimhaut stattfindet. Der Schutz der Kieferhöhlenschleimhaut erfolgt durch die mit hohem Druck ausgestattete und pulsierende Wassersäule, die bei kleinster Eröffnung des knöchernen Kieferhöhlenbodens dazu führt, dass die Schneider‘sche Membran nach kranial eleviert wird (Abb. 2). Die Darstellung des Druckaufbaus und Verlaufes erfolgt mikroprozessorgesteuert auf einem Bildschirm der Pumpeneinheit in Echtzeit. Der Anwender sollte im Moment des Druckabfalles den Vortrieb der Fräse unterbrechen (Abb. 3). Die Elevation der Schleimhaut erfolgt nun weiterhin mikroprozessor-überwacht und auf dem Monitor kontrolliert in 0,2 ml Schritten fraktioniert, bis das gewünschte Augmentationsvolumen erreicht worden ist. Dies ermöglicht auch während der Elevation eine sichere Beurteilung, ob die Schleimhaut eine Perforation aufweist. Zum Lösen der Membran wird häufig ein Druck in der Größenordnung von 0,4 bis 0,6 bar beobachtet. Im Zustand der elevierten Membran sollte die Erweiterung der meist nur Stecknadelspitzen bis Stecknadelkopf großen Perforation unter Zuhilfenahme eines kugelförmigen, fein diamantierten, rotierenden Instrumentes erfolgen, um ein leichteres Einbringen des Augmentationsmateriales zu ermöglichen (Abb. 4). Darauffolgend wird die in der Kieferhöhle und sich unter der Schneider‘schen Membran befindliche Kochsalzlösung mit dem Jeder-System abgepumpt und optisch auf Lufteinschlüsse kontrolliert. Für den seltenen Fall einer Schleimhautperforation wird dann die Anwendung der klassischen Tatum-Technik mit lateralem Fenster empfohlen, die eine subsidiäre Versorgung der Perforation zum Beispiel mit einer Kollagenmembran unter direkter Sicht ermöglicht. In allen anderen Fällen folgt die Augmentation mit einem Knochenersatzmaterial der Wahl. Nach den aktuellen Übersichtsarbeiten scheint das Augmentationsmaterial in der Kieferhöhle keinen signifikanten Einfluss auf das Implantatüberleben zu nehmen [15].
Dr. van Orten
Dr. van Orten
Dr. van Orten
Die Voraussetzungen für den Einsatz des Systems sind eine Restknochenhöhe von etwa 0,5 bis 7 mm und eine knöcherne Kieferkammbreite von mindestens 5,5 mm, da eine 2 mm breite Pilotbohrung bis etwa 1 bis 2 mm an den knöchernen Kieferhöhlenboden herangeführt wird. Diese wird nach Verifizierung der Integrität des knöchernen Bodens zum Beispiel mit einer Bowman-Sonde auf 3,4 mm erweitert. Bei Restknochenhöhen von unter 2,5 mm sollte auf Pilotbohrungen verzichtet werden und die Abdichtung der Druckkammer primär gegen die Schleimhaut erfolgen. Empfohlen wird ein lappenloser Zugang, zum Beispiel mit der im Systemprotokoll vorgesehenen ATP-Stanze. Das System benötigt sowohl im Bereich der Assistenz (blasenfreies Befüllen des Schlauchsystems und Gewährleistung des Druckaufbaus) als auch der Behandlerseite (Bohrprotokoll, Einsatz der Druckkammer und Jederfräse) eine Einführung und wenn möglich auch eine Begleitung bei der Erst-OP. Der Einsatz pastöser respektive injizierbarer Knochenersatzmaterialien (pastöse Alloplasten, kleinpartikuläre Allo- oder Xenografts mit hohem Kollagenanteil oder vermischt mit Hyaluronsäuren, quervernetzte Hyaluronsäuren als alleiniges Knochenersatzmaterial [16] stellt eine Zeitersparnis für das Jeder-System dar, möglicherweise ist auch – vor allem bei kleineren Sinuslifts ? ein stabilisiertes Eigenblutkoagel [17] zukünftig als Alternative zu betrachten. Ebenso wie erste klinische Studien von thermoplastischen Copolymeren als Knochenersatzmaterial, die bei Raumtemperatur flüssig und bei Körpertemperatur eine plastische Konsistenz aufweisen [18], oder Hydroxylapatit-angereicherte Kollagenschwämmchen. Erste tierexperimentelle Studien weisen auf eine sehr gute Performance hin, eine FDA-Zulassung liegt vor. Eine Einführung des Materials sowie die Erteilung der CE-Marke bleiben aktuell jedoch vollkommen undefiniert. Der Zeitaufwand für die Technik im Allgemeinen sollte nach kurzer Lernkurve als geringer eingeschätzt werden als für die Tatum-Technik. Es sei denn, es werden bei unilateral verkürzter Zahnreihe multiple Sinuslifts nach dem Jeder-System durchgeführt oder Knochenersatzmaterialien gewählt, die sich nur sehr zeitaufwendig durch einen minimalinvasiven Zugang applizieren lassen. Eine klinisch kontrollierte Studie, die sich unter anderem dieser Fragestellung widmet, befindet sich vor der Zulassungsphase.
Fallbeispiele
Abschließend wird anhand von drei Patientenfällen die klinische Performance des Systems dargestellt.
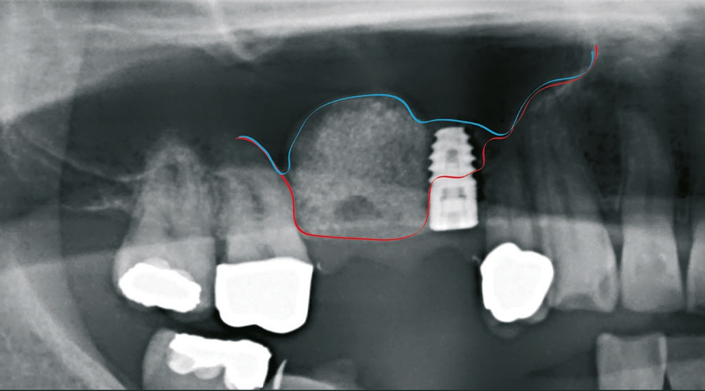
Patient 1: männlich, 50 Jahre alt, Anamnese: unauffällig; Diagnose: Schaltlücke. Knochenersatzmaterial: Geistlich Bio- Oss® (Geistlich Biomaterials) (Abb. 5 bis 10).
Dr. van Orten
Dr. van Orten
Dr. van Orten
Dr. van Orten
Dr. van Orten
Dr. van Orten
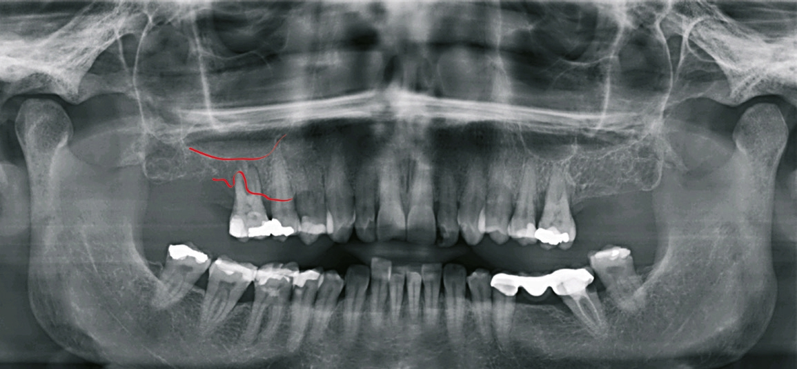
Patient 2: männlich, 71 Jahre alt, Anamnese: koronare Herzkrankheit; Diagnose: zahnloser Kiefer resp. nicht erhaltungswürdiger Zahn 11, insuffizienter Zahnersatz. Knochenersatzmaterial: maxgraft® (botiss) (Abb. 11 und 12).
Dr. van Orten
Dr. van Orten
Dr. van Orten
Patient 3: weiblich, 62 Jahre alt, Anamnese: unauffällig; spezielle Anamnese: Zustand nach chronischer schwerer Parodontitis; Diagnose: nicht erhaltungswürdiger Zahn 16, Freiendsituation. Knochenersatzmaterial: maxgraft® (botiss) (Abb. 13 bis 15).
Dr. van Orten
Dr. van Orten
Dr. van Orten
Bildquellen sofern nicht anders deklariert: Unternehmen, Quelle oder Autor/-in des Artikels
Entdecke CME Artikel






Keine Kommentare.