Das Problem ist nicht neu, es nimmt aber mit rasender Geschwindigkeit zu – freiliegende und hypersensible Zahnhälse. Der „Karies“ der Zukunft gehört unser Hauptaugenmerk, denn freiliegende Zahnhälse führen zu einer erhöhten Kariesanfälligkeit sowie zu einem erhöhten Risiko für nichtkariöse Zahnhartsubstanzdefekte. Die Zähne dieser Patienten sind so empfindlich, dass sie eine Betäubung wünschen, weil sie sich vor dem Sauger oder der Luft-Wasser-Spritze in der Praxis fürchten und sogar die Berührung einzelner Instrumente am Zahn nicht aushalten können. Aber auch der Alltag stellt diese Patientengruppe vor besondere Herausforderungen: So sind beispielsweise Speisen nur wohltemperiert und manche Getränke nur mit einem Strohhalm zu genießen oder Sport im Freien nur mit geschlossenem Mund möglich. Da dieser Schmerz allgegenwärtig ist, besteht die Gefahr, dass er sich langfristig negativ auf die Lebensqualität auswirkt.
Zahnhartsubstanzdefekte: Ursachen und Folgen
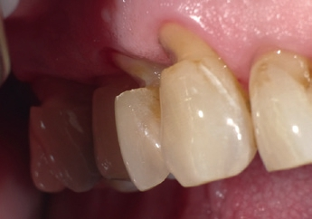
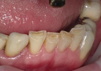
Die Entstehung der Zahnhartsubstanzdefekte wird durch verschiedene Faktoren (einzeln oder im Zusammenspiel) begünstigt: mechanischer Abrieb, z. B. durch falsche Putztechnik verbunden mit hohem Putzdruck (Abrasion; Abb. 1), Substanzverlust durch direkten Zahnkontakt, z. B. Habits wie Knirschen (Attrition; Abb. 2), und keilförmige Defekte durch Belastung, z. B. Kieferregulierung oder mechanische Ursachen (Abfraktion). Darüber hinaus können falsche Ernährungsgewohnheiten mit häufiger Aufnahme saurer Speisen und Getränke oder Erkrankungen wie Essstörung oder Reflux Spuren in Form dentaler Erosionen auf den Zähnen hinterlassen und Parodontalerkrankungen zur Entstehung sog. gingivaler Rezessionen führen. Ein plötzlich auftretender, stechender Schmerz wird empfunden, wenn thermische, taktile oder chemische Reize durch das Fehlen der schützenden Zahnschmelzschicht auf offene Dentintubuli treffen. Dort lösen sie Flüssigkeitsbewegungen aus, die wiederum die Schmerzrezeptoren der Pulpa stimulieren. Daher liegt es nahe, alle Maßnahmen (professionell und häuslich) so auszurichten, dass dieser offene Zugang (offene Dentintubuli) verschlossen wird.

Patientenfall

Ziel ist demnach – neben dem Erhalt der erfolgreichen PATherapie – die langfristige Desensibilisierung der betroffenen Zähne sowie kein weiterer Zahnhartsubstanzverlust. In den vergangenen 14 Monaten haben wir verschiedene Präparate (CHX- und Fluoridlacke, Fluoridgele, Primer und sogar Adhäsivsysteme) ausprobiert und angewendet, um die schmerzverursachenden offenen Dentintubuli dauerhaft zu verschließen. Nach Aussage des Patienten waren unsere professionellen Therapiemaßnahmen kurzfristig erfolgreich, eine deutliche oder dauerhafte Desensibilisierung haben wir aber nicht erreichen können.
Bei einer Kontrollsitzung im Juni 2017 hatte der Patient erneut unter anderem über den notwendigen Verzicht auf Obst (Erdbeeren) aufgrund der Schmerzempfindlichkeit und insgesamt eine eingeschränkte Lebensqualität geklagt. Auf einer Skala von 1 bis 10 lag sein Schmerzpegel zu diesem Zeitpunkt zwischen 8 und 9. Obwohl der Patient mit häuslichen Fluoridgelen und -spülungen bereits mehr oder weniger unbefriedigende Erfahrungen gemacht hatte, konnten wir ihn von einem erneuten Versuch mit einer Mundspülung überzeugen.

Zum Kontrolltermin 14 Tage später erschien ein hochzufriedener Patient, der nach eigenen Angaben schon nach wenigen Tagen eine Schmerzlinderung verspürte und inzwischen wieder fast alles essen konnte. Das äußerte sich auch in seinem Schmerzpegel, der von ursprünglich 8 bis 9 auf 2 gesunken war. Eine weitere Bestätigung lieferte unser Test mit dem Sauger, der Luft-Wasser-Spritze und der Berührung mit PA-Sonde, den er ohne Schmerzen überstand. Drei Monate später, im September dieses Jahres, waren wir gespannt, ob dieses Präparat auch hinsichtlich länger anhaltender Beschwerdefreiheit Wort hält. Zu unserer Verwunderung konnte die Verlaufskontrolle im Rahmen der UPT ohne „Zwischenstopps“ durchgeführt werden, selbst die Anwendung des Luft-Pulver-Wasserstrahlgerätes verlief problemlos. Der Patient ist von der Wirkung überzeugt und möchte die Mundspülung weiter benutzen.
Fazit
Wir erklären uns diese schnelle und langanhaltende Schmerzreduzierung durch die aktiven Inhaltsstoffe der Mundspülung: Das in der Mundspülung enthaltene Oxalat (1,4 %) bildet in Verbindung mit dem Calcium des Speichels Kristalle, die sich tief in den offenen Dentinkanälen ablagern und so zu einem Verschluss der Tubuli führen. Dieser Effekt hält täglichen Belastungen (z. B. Zähneputzen oder säurehaltigen Getränken) stand und schützt, wie auch die Erfahrung des Patienten bestätigt, bei zweimal täglicher Anwendung langanhaltend vor Schmerzempfindlichkeit [1].
Die positive Wirkung dieser Mundspülung wird auch durch Studien belegt: Bereits nach 6 Spülungen sind 92 % der offenen Dentinkanälchen verschlossen und nach 9 Spülungen 100 % [2]. Nach wenigen Tagen bedeutet das eine effektive Schmerzlinderung für den Patienten [3]. Es konnte zudem in einer klinischen Studie gezeigt werden, dass die Schmerzempfindlichkeit (taktile Berührungsempfindlichkeit) bei zweimal täglicher Anwendung nach dem Zähneputzen nach nur 4 Wochen um 80 % signifikant reduziert werden konnte, im Vergleich zu normaler Zahnpasta (Negativkontrolle, in vivo) [4].
Literatur:
[1] Sharma D. et al.: A novel potassium oxalate-containing tooth-desentising mouthrinse: Am comparative in vitro study. J Dent. 2013 Jul; 41 Suppl 4: S. 18-27.
[2] in Labortests
[3] Sharma D. et al.: Randomized trial of the clinical efficacy of potassium oxalate-containing mouthrinse in rapid relief of dentin sensitivity. J Clin Dent 2013; 24:62-67.
[4] Sharma D. et al.: Randomised clinical efficacy trial of potassium oxalate mouthrinse in relieving dentinal sensitivity. Journal of dentistry 41s4 2013; 40-48, 40.
Bildquellen sofern nicht anders deklariert: Unternehmen, Quelle oder Autor/-in des Artikels
Entdecke CME Artikel






Keine Kommentare.