Während sich die Prävalenz von Karies bei Jugendlichen im Allgemeinen auf dem Rückzug befindet, zeigt ein genauer Blick auf die Verteilung der Krankheitsfälle eine deutliche Polarisation. Demnach beeinflussen Sozial- bzw. Bildungsstatus das Kariesgeschehen in maßgeblicher Weise [1].
Das Thema Karies im Kinder- und Jugendalter hat sich daher keinesfalls vollständig erledigt, sondern ist vielmehr „vorrangig zu einem Problem einer Risikogruppe geworden“ [1]. Wenngleich für die Restauration kariös erkrankter Milchzähne vor allem plastische Füllungsmaterialien bevorzugt werden [2], erweist sich die Behandlung mit dem techniksensiblen Adhäsivverfahren aufgrund der reduzierten Compliance von Kleinkindern mitunter als schwierig. Um vor diesem Hintergrund eine zeitsparende Behandlung zu ermöglichen, stellt Surefil one™ das neue, selbstadhäsive Komposithybrid für den Seitenzahnbereich, auch für die Kinderzahnheilkunde eine äußerst interessante Option dar.
Surefil one™
Bei Surefil one™ handelt es sich um eine neue Werkstoffklasse für die direkte Füllungstherapie im Seitenzahnbereich. Das selbstadhäsive Komposithybrid vereint die Belastbarkeit eines Komposits mit der einfachen Handhabung eines Glasionomerzements.
Denn aufgrund seiner patentierten modifizierten Polysäuren lässt es sich ohne Adhäsiv verwenden. Das Kapselpräparat wird in den Farben A1, A2, A3, A3.5 sowie Bleach White angeboten.
Darüber hinaus kann es durch seine dualhärtenden Eigenschaften wie Bulkfill-Komposit in einem einzigen Inkrement appliziert werden. Durch die Verwendung von Surefil one™ reduziert sich der Behandlungsprozess auf das Wesentliche: Applikation der Matrize, Füllung der Kavität, Polymerisation der Oberfläche und Politur.
Frankenberger et al. verglichen in einer In-vitro-Studie verschiedene Füllungsmaterialien nach thermo-mechanischer Belastung [3]. Dabei erzielten Surefil one™ und konventionell angewendete Komposite keinen signifikanten Unterschied hinsichtlich der Randqualität und des Frakturverhaltens [3].
In Bezug auf die Verschleißrate (vertikaler Höhenverlust an den Randleisten nach 500.000 Zyklen) lässt sich Surefil one™ zwischen Glasionomerzementen und Kompositen einordnen [3]. Bei Versorgungen im Milchgebiss ist dies aufgrund der physiologischen Abnutzung unproblematisch.
Patientenfall
Bei einem Kontrolltermin eines 8-jährigen Jungen imponierte eine insuffiziente Füllung im linken Oberkiefer (Abb. 1). Die Anfertigung eines halbseitigen Orthopantomogramms (OPG) zeigte eine koronale Aufhellung an Zahn 64 distal (Abb. 2). Aufgrund der vollständigen mesialen Wurzel entschied man sich für den Erhalt des Zahnes 64 und eine Restauration mit einem plastischen Füllungsmaterial.
Möhn, Krämer
Möhn, KrämerHierfür wurde die Kavität zunächst mit einem birnenförmigen Diamanten aufgezogen und das kariöse Dentin mit einem Polymerbohrer schonend exkaviert (Abb. 3). Für die Formgebung und den Schutz des Nachbarzahnes wurde das Teilmatrizensystem Palodent® V3 verwendet (Abb. 4). Im Anschluss folgte die Füllungstherapie mittels Surefil one™ in Farbe A2.
Möhn, Krämer
Möhn, KrämerHierzu wurde das Kapselpräparat per Hand auf einer stabilen Unterlage aktiviert und für 10 Sek. in einem Kapselmischer vermischt. Die Applikation des selbstadhäsiven Materials in die Kavität erfolgte in einem Schritt (Abb. 5).
Möhn, KrämerDank der modifizierten Polysäuren des verwendeten Komposithybrids konnte auf eine adhäsive Vorbehandlung des Zahnes verzichtet werden. Anschließend wurden die Überschüsse mittels Kugelstopfer entfernt (Abb. 6) und jede Fläche für 20 Sek. polymerisiert (SmartLite® Pro).
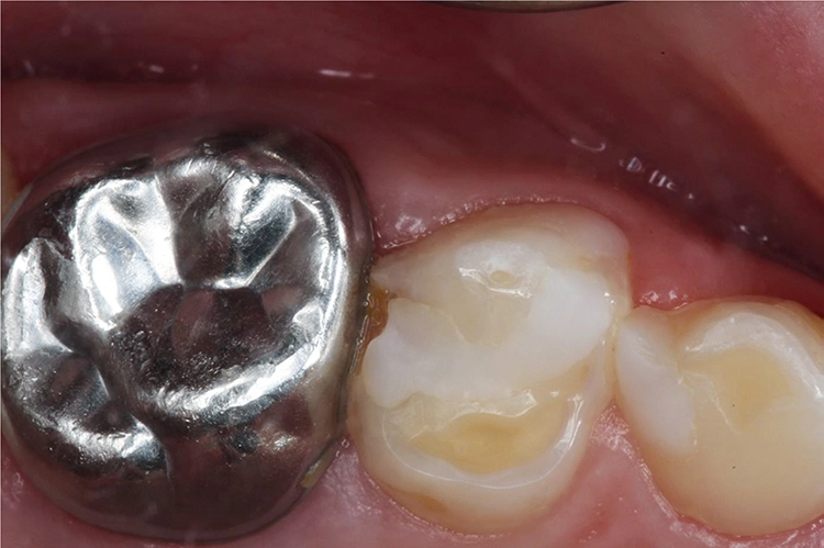
Möhn, KrämerDie Oberfläche kann dadurch direkt nach der Lichthärtung ausgearbeitet werden, während das Material noch in der Tiefe chemisch vollständig aushärtet. Das Abschlussbild zeigt die fertige Restauration nach Ausarbeitung und Politur (Abb. 7).
Möhn, KrämerFazit
Als selbstadhäsives Material für die Verwendung im Seitenzahnbereich erweist sich Surefil one™ auch für die Kinderzahnheilkunde von großem Nutzen. Insbesondere bei Kleinkindern mit reduzierter Compliance spielt das fortschrittliche Material seine Stärken in Form einer zeitsparenden Behandlung aus. Möglich wird dies durch den Verzicht auf eine adhäsive Befestigung, die kurze Verarbeitungszeit und die Anwendbarkeit in der Bulkfill-Technik – all diese Faktoren machen den Behandlungsprozess sowohl für Patienten als auch für Behandler schneller und komfortabler.
Zudem wird die Restauration von Klasse-II-Defekten, vor allem bei engstehenden Zähnen, durch das Zusammenspiel von Surefil one™ und dem Teilmatrizensystem Palodent® V3 leichter. Über die Kinderzahnheilkunde hinaus dürften die vereinfachten Behandlungsabläufe und die kürzeren Behandlungszeiten bei der Versorgung von Seitenzahndefekten auch für die Füllungstherapie im Allgemeinen neue Möglichkeiten erschließen.
Näheres zu den Autoren des Fachbeitrages: Prof. Dr. Dr. Norbert Krämer, Dr. Mirja Möhn
Bildquellen sofern nicht anders deklariert: Unternehmen, Quelle oder Autor/-in des Artikels
Entdecke CME Artikel






Keine Kommentare.