Bulkfill-Komposite erfreuen sich steigender Beliebtheit: Verwendeten nach einer eigenen Umfrage 2013 37% aller im Rhein-Main-Gebiet befragten Kollegen bereits Bulkfill-Komposite, so waren es gemäß einer GfK-Ermittlung 2 Jahre später bereits 40%. Komplett neu ist eine Bulkfill-Philosophie nicht: Bereits 2003 führte Dentsply damals QuiXfil ein, das erste lichthärtende Bulkfill-Komposit für den Seitenzahnbereich. Anfangs extrem kritisch betrachtet, konnte es über die Jahre beweisen, dass es den Vergleich mit konventionell geschichteten Füllungskompositen nicht zu scheuen braucht: Manhart et al. [35] publizierten bereits 2010 die 4-Jahres-Ergebnisse einer klinischen prospektiven randomisierten Vergleichsstudie zwischen QuiXfil in Kombination mit dem selbstkonditionierenden Zweikomponenten- Adhäsiv Xeno III und geschichteten Tetric-Ceram-Füllungen in Kombination mit Syntac. Insgesamt wurden 89,2% der QuiXfil- und 97,8% der Tetric-Ceram-Füllungen als klinisch ausgezeichnet oder einwandfrei bewertet. Vier QuiXfil-Restaurationen versagten aufgrund von Bulkfrakturen, Teilfrakturen der Zähne (n = 2) oder postoperativen Beschwerden. Eine Tetric- Ceram-Restauration ging bedingt durch Probleme mit der Zahnintegrität verloren.
Zwischen den beiden Materialien konnten nach 4 Jahren keine signifikanten Unterschiede für irgendeines der untersuchten klinischen Kriterien festgestellt werden. Beide Materialkombinationen zeigten somit nach 4 Jahren gute klinische Resultate. Weitere „Me too“-Produkte desselben Indikationsspektrums folgten mit x-tra fil (Voco) und InTen-S (Ivoclar Vivadent).
Nachdem es dann eher wieder ruhig um die Thematik wurde, stellte Dentsply 2010 mit SDR das erste Bulk-Flow-Komposit als „Dentinersatz“ und zum Auffüllen approximaler Kavitäten bis zu 4 mm vor. Die Markteinführung machte enorm Furore, stellte sie doch einen starken Paradigmenwechsel dar: Wenn die meisten der jetzigen Kollegen damals in ihrer Staatsexamensprüfung gesagt hätten, dass sie im approximalen Kasten 4 mm Flow-Komposit auf einen Schlag für 20 Sekunden härten würden – diese bräuchten heute keine zahnmedizinischen Fachartikel lesen, denn sie hätten niemals das Staatsexamen bestanden und wären nie Zahnärzte bzw. Zahnärztinnen geworden.
Kritische Betrachtung von Bulkfill- und speziell von Bulk-Flow-Kompositen in der Literatur
Aufgrund der krassen Diskrepanz zwischen etablierten Lehrmeinungen und dem beworbenen Indikationsspektrum des Herstellers stürzte sich die wissenschaftliche Zahnmedizin sofort auf diese Produktinnovation, um nachzuweisen, dass hinsichtlich Randintegration aufgrund der entstehenden Schrumpfungskräfte ein Bulk-Flow-Komposit klassischen Schichttechniken unterlegen sein muss – und scheiterte. SDR ist inzwischen das in vitro und in vivo am besten untersuchte Bulkfill-Komposit: Unzählige In-vitround zwei klinische Studien sind inzwischen publiziert worden, von denen keine ein schlechteres Abschneiden der Füllungen, in denen SDR als Bulk-Flow-Material angewendet worden war, nachweisen konnte.
Untersuchungen der Schrumpfungskraft
SDR wies in drei In-vitro-Studien die geringsten Schrumpfungskräfte auf [24,30,37], Lediglich drei Low-shrinkage-stress-Komposite zeigten in einer eigenen spannungsoptischen Untersuchung zu Schrumpfungskräften nochmals niedrigere Schrumpfungskräfte als SDR; die meisten pastösen Komposite wie Filtek Supreme (3M), GrandioSO (Voco), Tetric EvoCeram und Tetric EvoCeram Bulkfill (Ivoclar Vivadent) bewirkten hingegen signifikant höhere Schrumpfungskräfte [50]. Grundsätzlich beobachtet man bei Bulkfill-Materialien weniger Schrumpfungsstress als bei konventionellen Kompositen und bei den niedrigviskösen weniger Schrumpfungskräfte als bei den hochviskösen Bulkfill-Materialien [12,17,25,29,50]; SDR nimmt hier aber immer eine Sonderstellung mit einer überdurchschnittlich geringeren Schrumpfungskraft ein.
Untersuchungen zur Durchhärtung
Eine sehr breite Datenbasis zu Bulkfill- und speziell zu Bulk- Flow-Kompositen gibt es zu deren Durchhärtung. Die beste wissenschaftliche Übersichtsarbeit hierzu wurde gerade von der Leuvener Arbeitsgruppe publiziert [59]: Zehn zwischen 2012 und 2017 hochgradige, in Peer-reviewed Journals veröffentlichte Studien attestieren Bulk-Flow-Kompositen im Allgemeinen eine bessere Durchhärtung als pastösen Bulkfill-Kompositen [15,17, 19,20,25,38, 45,55,61].
Es gibt aber auch in dieser Gruppe signifikante Unterschiede: In der Untersuchung von Al Shaafi et al. [2] ergab sich im Vergleich der Durchhärtung der Bulkfill-Materialien SDR (Dentsply Sirona), x-tra fil (Voco), Tetric EvoCeram Bulk Fill (Ivoclar Vivadent) und SonicFill (Kerr Dental) nur für SDR und x-tra fil bei den 4 mm Proben eine relative Oberflächenhärte > 80%. Polymerisiert wurde mit einer Bluephase 20i im „High power“-Modus. Mit Ausnahme von SDR ergab sich bei allen anderen Materialien ein signifikanter Unterschied in der Oberflächenhärte an der Unterseite der 2 und 4 mm dicken Proben. Die Autoren konnten somit deutliche materialindividuelle Unterschiede zwischen den einzelnen Bulkfill-Materialien feststellen. Sie betonen, dass sich gerade zwischen 3,5 und 4,5 mm dicken Kompositinkrementen klinisch relevante Unterschiede im Aushärtungsergebnis ergeben können. Sie fordern somit absolut richtig, dass der Behandler ein Augenmerk darauf richten sollte, solche Inkrementstärken-Unterschiede auch klinisch feststellen zu können. Das heißt in Folge, dass bei der adhäsiven Füllungstherapie zur Detektion einer 3,5-mm-Grenze im approximalen Kasten am besten eine WHO-Sonde mit auf das Tray gehört.
Untersuchungen zum Randschluss
Hinsichtlich des Randschlusses existieren ebenso zahlreiche In-vitro- Studien zu Bulkfill-Kompositen. Vierzehn Studien konnten im Vergleich zu konventionell geschichteten Kompositen keine signifikante Veränderung hinsichtlich der Randqualität feststellen, wenn Bulkfill-Komposite (pastöse als auch Bulk-Flow-Materialien) verwendet worden waren [1,3,4,9,17,18,21,26,28,32,43,46,53, 54]. Vier In-vitro-Studien zeigten signifikant bessere Ergebnisse, wenn Bulk-Flow-Komposite involviert worden waren [22,28,40,41]; lediglich eine Studie ergab schlechtere Randintegrationsergebnisse mit einem pastösen Bulkfill-Material im Vergleich zu einer inkrementell geschichteten Variante [44].
Klinische Studien zu Bulk-Flow-Kompositen
Von besonderem Interesse sind natürlich die klinischen Studienergebnisse: Van Dijken und Pallesen publizierten gerade ihre 6-Jahres-Daten zu einer prospektiven, randomisierten, klinisch kontrollierten Vergleichsstudie zu SDR/Ceram•X mono [58]: Es wurden 15 Klasse-I- und 38 Klasse-II-Füllungspärchen bei 38 Patienten im Altersmittel von 55,3 Jahren gelegt. In der veröffentlichten 6-Jahres-Kontrolle konnten 98 der 106 ursprünglich gelegten Restaurationen nachuntersucht werden. Sechs Klasse-IIRestaurationen versagten im Beobachtungszeitraum; drei in jeder Gruppe. Somit ergab sich kein klinischer Unterschied zwischen den beiden Versorgungsvarianten 4 mm Bulkflow + konventionelles Komposit versus komplett inkrementell geschichtetes Komposit. Die mittlere jährliche Verlustrate lag mit 1,4% in der Klasse II und 0% in der Klasse I deutlich unter der magischen Marke von 2,5% [36].
Eine zweite Studie [57] ist vergleichbar aufgebaut: Anstelle von Xeno V wurde Xeno V+ und anstelle von Ceram•X mono wurde Ceram•X mono+ verwendet. In diesem Fall wurden 38 Klasse-Iund 62 Klasse-II-Füllungspärchen bei 86 Patienten (44 männl., 42 weibl., Altersmittel: 52,4 Jahre) gelegt. Wiederum wurde mindestens ein Füllungspärchen/Patient bei vergleichbarer Kavitätengröße gelegt. Nach 5 Jahren konnten 183 der eingangs gelegten 200 Füllungen nachuntersucht werden. Zehn Klasse-II-Füllungen versagten: 4× SDR/Ceram•X, 7× Ceram•X. Die Versagensursachen waren an erster Stelle Zahnfraktur, gefolgt von Karies und Füllungsfraktur. Die mittlere jährliche Verlustrate (AFR) bei der Poolung aller Klasse-I- und -II-Füllungen lag bei 1,1% für die Bulkfill- und bei 1,3% für die Inkrementtechnik. Bei isolierter Betrachtung der Klasse-II-Füllungen ergab sich eine mittlere jährliche Verlustrate von 1,4% für die Bulkfill- und von 2,1% bei der Inkrementtechnik.
Ganz aktuell erschienen sind ferner die 3-Jahres-Nachuntersuchungsergebnisse zu x-tra base (Voco) in 4 mm Bulkfill-Applikation, überschichtet mit GrandioSO, im Vergleich zur Applikation von 2 mm aus einem konventionellen Flow-Komposit (Aelite Flow, Bisco) in Kombination mit geschichteten GrandioSO-Restaurationen [27]. Das Besondere an dieser Studie: Hier wurden ausschließlich wurzelkanalbehandelte Zähne versorgt. Nach drei Jahren konnten 33 der 47 gelegten zweiflächigen Kompositrestaurationen nachuntersucht werden, was einer gerade noch akzeptablen Recall-Rate von 70% entspricht. Leider wurden Patienten mit schlechter Mundhygiene und Parafunktionen ausgeschlossen. Auch in dieser Studie ergab sich im Beobachtungszeitraum kein signifikanter Unterschied zwischen den beiden Restaurationsverfahren.
Eine im Journal of Dental Research veröffentlichte Metaanalyse zu direkten Seitenzahnkompositversorgungen [52] attestiert konventionellen und Bulkfill-Kompositen die beste Eignung, wenn vorrangig die Überlebensrate der Restaurationen betrachtet wird.
Weiterentwicklung von SDR
Seit der IDS mutierte SDR zu SDR flow+. Neben der Namensänderung gibt es jetzt ergänzend zur bisher angebotenen Universalfarbe „U“ zusätzlich die Farben A1, A2 und A3. Der bedeutendste klinische Unterschied ist die Verdoppelung der erforderlichen Polymerisationszeit von 20 auf 40 Sekunden, falls das Material in 4 mm ausgehärtet werden soll. Dies darf im klinischen Alltag auf keinen Fall in Vergessenheit geraten. Eine insuffiziente Lichthärtung stellt heute immer noch eines der größten Probleme bei direkten adhäsiven Seitenzahnrestaurationen dar und kann durchaus als der entscheidende Parameter zur Langlebigkeit der Restauration bzw. für einen Misserfolg angesehen werden [39]. SDR-Anwendern dürfte die bessere Polierbarkeit als auch die höhere Röntgenopazität gegenüber dem Vorgängermaterial aufgefallen sein. Diese beiden verbesserten Materialparameter in Kombination mit der besseren Ästhetik eröffnen nun einige neue Indikationsbereiche, welche aus ästhetischen oder oberflächenbearbeitenden Gründen beim Vorgängermaterial eher als kritisch gesehen werden konnten.
Fallbeispiele
Fall 1 Klassische SDR-Indikation: Bulk- Flow approximal + pastöses Material okklusal
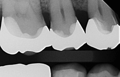
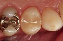
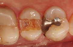
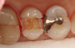
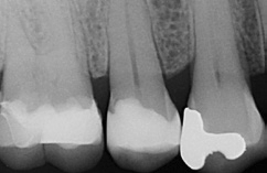
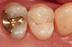
Bei dem 57-jährigen Patienten imponierte in der Routine-Bissflügelaufnahme eine Sekundärkaries an dem mit einem Gold-inlay versorgten Zahn 14 (Abb. 1). Der vitale und symptomfreie Zahn zeigte lediglich radiologisch (Abb. 2) einen Randdefekt distal sowie den Verdacht auf Karies unter dem Befestigungs- bzw. Unterfüllungszement. Nach Entfernung des Goldinlays ergab sich der Verdacht auf eine Pulpaeröffnung (Abb. 3). Klinisch war keine Blutung feststellbar, was allerdings durch die Lokalanästhesie kaschiert sein konnte. Aufgrund der Symptomlosigkeit des Zahnes und fehlender Anzeichen einer Pulpitis (fehlende Blutung) sowie einer Nekrose (erhaltene Vitalität) fiel die Entscheidung zugunsten einer Vitalerhaltung unter Beibehaltung eines engmaschigen Recalls mit Vitalitätsproben. Die Überkappung der Eröffnungsstellen erfolgte als Alternative zu Calciumhydroxid [8] mit einem Portlandzement enthaltenden Flowkomposit mit hohem pH-Wert [7,51] (TheraCal LC, Bisco, Abb. 4). Obwohl dieses Produkt hinsichtlich seiner Effektivität und Zelltoxizität nicht an ProRoot MTA (Dentsply Sirona) und Biodentine (Septodont) [42] herankommt [5,11], ist es hinsichtlich seiner Praktikabilität und der Möglichkeit des sofortigen, zügigen Weiterarbeitens konkurrenzlos. Ein vergleichbares Produkt gibt es z.B. bei Ultradent (Ultra- Blend Plus).



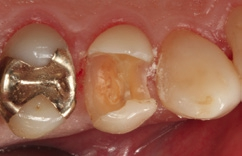
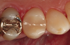
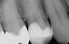
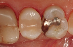
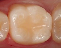
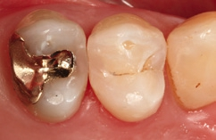
Die Weiterversorgung erfolgte nach adhäsiver Vorbehandlung mit einem approximal eingebrachten 4-mm-Inkrement SDR flow+ (Dentsply Sirona) in der Farbe A3, klassisch überschichtet mit ceram.x universal in der Farbe A3,5. Die Wahl auf ein Bulk-Flow-Komposit approximal fiel aufgrund der optimalen selbstnivellierenden Adhäsion zum Adhäsiv und somit zur Reduktion potenzieller Fehlerquellen in der Schichttechnik, die Wahl zugunsten des eingefärbten SDR flow+ in der Farbe A3 entgegen der transluzenten Universalfarbe U aufgrund der im Approximalraum dunkel erscheinenden Gold-Restauration am Nachbarzahn. Dies ergab in der Vergangenheit bei Verwendung von SDR flow+ U oft ein unschönes „grau-transluzent“ erscheinendes Bild der Kompositrestauration im Approximalraum. Ästhetisch störte dies meist nur bedingt, suggerierte aber immer die latente Möglichkeit einer Approximalkaries. Durch die Verwendung der Farbe A3 bei SDR flow+ war ein derartiges grau-transluzentes Erscheinungsbild nicht mehr gegeben; die Restauration erscheint homogener (Abb. 5). Die Abbildung 6 zeigt die Röntgenkontrollaufnahme nach einem Jahr, die Abbildung 7 die klinische Situation: Der Zahn ist weiterhin vital, symptomlos und beschwerdefrei. Direkte Kompositrestaurationen stellen heute gerade bei vorangegangenen Goldinlay-Kavitäten die suffizienteste Sekundärversorgung dar: Der vorhandene Federrand kann belassen werden und muss nicht in eine plane Stufe einer Keramikrestauration umpräpariert werden.


Im Röntgenbild ist kein Unterschied in der Röntgenopazität zwischen SDR flow+ und ceram.x universal auszumachen, obwohl 2/3 der approximalen Kavitätentiefe von SDR flow+ ausgefüllt wird. Da hinsichtlich ihres Indikationsspektrums direkte Kompositrestaurationen eine ideale Alternative zu Inlayversorgungen darstellen und zudem substanzschonender sowie kosteneffizienter sind, bleibt heute kaum mehr eine wahre Indikation für Inlayversorgungen. Klinisch bewährt hat sich die direkte Kompositversorgung gerade bei dem Austausch kleinerer Goldinlays [13,14].
Fall 2 Präendodontische Aufbaufüllung an Zahn 15
Bei der 55-jährigen Patientin imponierte eine okklusal penetrierte Sekundärkaries an dem Goldinlay an Zahn 15 (Abb. 8). Nach Aussage der Patientin war der Zahn seit ein paar Wochen aufbissempfindlich; die Vitalität war gegenüber Zahn 14 und 16 reduziert. Hieraus ergab sich die Behandlungsindikation zur Entfernung des Inlays und zur Vorbereitung einer endodontologischen Therapie. Nach der Entfernung des Inlays imponierte ein massiver Kariesbefall im gesamten Kavitätenbodenbereich (Abb. 9). Nach der Exkavation zeigten sich eine Verbindung zur Pulpa als auch diverse Infraktionslinien (Abb. 10). Die Verbindung zur Pulpa wurde interimsmäßig überkappt (TheraCal LC, Abb. 11); die Trepanation des Zahnes wurde dem Endodontologen überlassen. Vor einer endodontologischen Behandlung ist eine dichte adhäsive präendodontologische Aufbaufüllung essenziell. SDR flow+ hat die Indikation zur Aufbaufüllung in seinem Indikationsspektrum.



Der Aufbau eines solchen Zahnes mit einem Bulk-Flow-Komposit in zwei horizontalen Inkrementen (Kavitätentiefe deutlich > 4 mm) erleichtert und verkürzt selbst bei zwei Polymerisationszyklen die Gesamtversorgungsdauer im Vergleich zu einem dualhärtenden Aufbaukomposit. Hinzu kommt, dass alle dualhärtenden Aufbaukomposite keine definitiven Füllungsmaterialien sind und später entweder wieder entfernt oder komplett von einer indirekten Restauration eingefasst sein müssen. Das Bulk-Flow-Komposit hingegen ist ein definitives Füllungsmaterial, welches später – nach der endodontologischen Versorgung – als Kavitätenbodenelevation [16,23,31,34,47,60] verbleiben kann. Somit schont man mit Sicherheit Zahnhartsubstanz, wenn eine komplette Entfernung von Komposit gerade in den Tiefen des approximalen Kastens vermieden werden kann. Die Abbildung 12 zeigt den in zwei Inkrementen SDR flow+ in der Farbe A3 aufgebauten Zahn 15. Der Zahn ist so für den Endodontologen optimal vorbereitet. Die Abbildung 13 zeigt einen Ausschnitt aus der endodontologischen Diagnostik-Aufnahme und verdeutlicht die sehr gute Röntgenopazität sowie das sehr gute approximale Adaptationsverhalten.

Fall 3 Minimalinvasive Versorgung einer okklusalen Kavität an Zahn 36
Der Zahn 36 des 17-jährigen Patienten beeindruckte durch eine sehr tiefe okklusale Karies des ansonsten kariesfreien Gebisses. In der Abbildung 14 ist die exkavierte und mit Kofferdam isolierte Kavität dargestellt; die Abbildung 15 zeigt die komplett mit SDR flow+ in der Farbe A1 versorgte Kavität. Die Klasse I stellt hinsichtlich des C-Faktors die komplizierteste zu versorgende Kavität dar: Wenig freie Flächen bei vielen gebundenen Flächen ergeben hohe, den Verbund belastende Schrumpfungskräfte im Komposit. Ein Komposit mit extrem niedrigen Schrumpfungskräften ist hier sicherlich von Vorteil. Die Wahl fiel deswegen auf SDR flow+, da die vorangegangene Literaturrecherche für SDR die niedrigsten Schrumpfkraftwerte aller Bulk-Flow-Komposite ergab. Die Flow-Konsistenz und somit die hervorragende Adaptation an das Adhäsiv waren der zweite Grund für die Wahl dieses Bulk-Flow-Materials. Da die Okklusalfläche des Zahnes 36 durchaus im ästhetisch beeinträchtigenden Bereich liegt, konnte mit der Wahl der Farbe A1 ein zu transluzentes und damit unästhetisches Erscheinungsbild vermieden werden. Zu beachten ist allerdings, dass der Hersteller die Indikation für derartige Komplettversorgungen mit dem Bulk-Flow-Material nur für nicht kaudruckbelastete Füllungen freigibt. Die im Vergleich zu klassischen Kompositen reduzierte Biegebruchfestigkeit und Abrasionsstabilität dürfte bei so kleinen Kavitäten klinisch nicht ins Gewicht fallen; viel wichtiger erschien hier die Berücksichtigung von einer geringen Schrumpfungskraft, einer guten Adaptation und einer suffizienten Durchhärtung.

Fall 4 Minimalinvasive Slot-Versorgung im Approximalraum von 2 Prämolaren
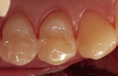
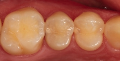
Die Zähne 24 und 25 des 51-jährigen Tierarztes wiesen diskrete, aber behandlungsbedürftige Approximalläsionen auf – gut erkennbar an der Transluzenzänderung der Randleisten in Abbildung 16. Die Abbildung 17 zeigt die exkavierten und mit FACE-Light-Kontrolle [6] als kariesfrei eingestuften Kavitäten, bereits mit Teilmatrizen und einem Spannring (Palodent V3, Dentsply Sirona) isoliert. Bei Verwendung dünner Teilmatrizen können durchaus zwei benachbarte Kavitäten gleichzeitig versorgt werden. Die noch vorhandene Schmelzlamelle zu dem Goldinlay an Zahn 25 berechtigt den Verbleib des klinisch ansonsten intakten Goldinlays. Die Abbildung 18 zeigt die Situation nach der adhäsiven Versiegelung mit einem Universaladhäsiv (Prime&Bond active, Dentsply Sirona) nach vorangegangener Schmelzätzung, die Abbildung 19 die ausgearbeiteten und polierten minimalinvasiven Slot-Füllungen – ausschließlich aus SDR flow+ in der Farbe A2. Die Polymerisation erfolgte für 40 Sekunden aus okklusaler Richtung, gefolgt von einem weiteren Polymerisationszyklus von 20 Sekunden über die bukkale Flanke. Durch die gewählte Versorgungsform ist mit Sicherheit die am wenigsten invasive und auch die für den Patienten wirtschaftlichste Versorgungsvariante gewählt worden, da ein Austausch des Goldinlays vermeidbar war.



Fall 5 Minimalinvasive Slot-Versorgung an Zähnen 13 und 14
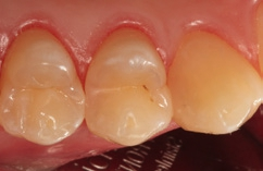
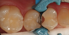
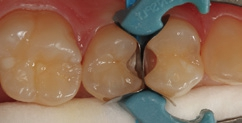
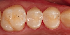
Die Zähne 13 und 14 des 19-jährigen Patienten zeigten aktive Primärläsionen, die Anzeichen der hohen Kariesaktivität des jungen Patienten waren (Abb. 20). Beide Kavitäten wurden mit dem Komet Mikropräparationsinstrument 8830M.314012 präpariert und die approximalen Flanken mithilfe eines diamantierten, wabenförmigen Feinkornfinierstreifens WS 25F (Komet Dental) geglättet. Die Abbildung 21 zeigt die beiden präparierten Kavitäten mit bereits angelegten Palodent V3-Spannringen und Teilmatrizenfolien. Der distal gelegene Spannring wurde von seinem Ringdurchmesser nach distal orientiert, um eine bessere Zugänglichkeit zu den beiden Kavitäten zu gewährleisten. Gerade im Prämolarenbereich ist dieses Vorgehen oftmals sehr hilfreich. Die Abbildung 22 zeigt die fertige Versorgung mit SDR flow+ in der Farbe A2 nach adhäsiver Vorbehandlung mit Prime&Bond active nach Schmelzkonditionierung mit Phosphorsäuregel. Generell ist bei den Universaladhäsiven der selbstkonditionierenden Vorbehandlung des Dentins der Vorzug zu geben. Eine selektive Schmelzätzung bei so schmalen und kleinen Kavitäten ist aber nicht so einfach umzusetzen. Ein Pluspunkt bei allen Universaladhäsiven ist deren Toleranz auf eine vorangegangene Ätzung des Dentins mit Phosphorsäuregel: Diese „Etch&Rinse“-Anwendung hat keinen negativen Einfluss auf die Randintegration und die Haftung. Eine Metaanalyse zu Universaladhäsiven attestiert den milden Universaladhäsiven sehr gute Haftwerte auf Dentin im selbstkonditionierenden Modus [48]. Eine zusätzliche Phosphorsäurekonditionierung ergibt hier keine Vorteile, da die Dentin-Haftwerte sich im selbstkonditionierenden und „Etch&Rinse“- Modus nicht unterscheiden [10,56], aber auch keine Nachteile. Auch dieses Beispiel zeigt die gute Farbadaptation und Randintegration des Bulk-Flow-Komposits.


Fall 6 Minimalinvasive Behandlung von tiefen Approximalläsionen an Zähnen 14 und 15
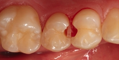
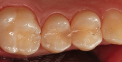
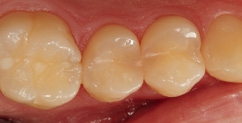
Bei dem 26-jährigen, frisch approbierten Zahnarzt imponierte eine untypisch hohe Kariesaktivität mit etlichen, teils sehr tiefen Approximalläsionen, die einer therapeutisch- restaurativen Intervention bedurften. An den Zähnen 14 und 15 zeigte sich eine auffällige Transluzenzänderung des Zahnschmelzes, was immer ein untrügerisches Zeichen für eine darunterliegende, bereits in das Dentin penetrierte Karies darstellt (Abb. 23). Die Abbildung 24 verdeutlicht – noch während der Exkavation – das Ausmaß des vorgefundenen Defektes. In der Abbildung 25 sind die vollständigen Kavitäten, bereits mit Teilmatrizen und einem Palodent V3-Spannring isoliert, erkennbar. Durch den hervorragenden Separationsdruck dieser Art von Spannringen können benachbarte Approximalläsionen in der Regel problemlos zeitgleich versorgt Anwerden. Nach der adhäsiven Vorbehandlung – im vorliegenden Fall mit einem klassischen Mehrflaschen-Etch&Rinse- Adhäsiv (Abb. 26) – erfolgte die Versorgung mit SDR flow+ in der Farbe A3 in zwei horizontalen Inkrementen. Beide Inkremente, die eine Dicke von ca. 3 mm aufwiesen, wurden für je 40 Sekunden gemäß Herstellerangaben polymerisiert. Eine gemeinsame abschließende Polymerisation für 20 Sekunden nach Entfernen der Matrizen ergänzte das Aushärtungsprotokoll. Die Abbildung 27 zeigt die Situation direkt nach Ausarbeitung und Politur, die Abbildung 28 bei einer weiteren Nachkontrolle nach drei Monaten. Es zeigte sich nach der Rehydrierung der Strukturen eine deutlich bessere Farbadaptation als initial, unmittelbar nach dem Legen.





Fall 7 Weiterbehandlung der Zähne 24 und 25
Derselbe Patient wie im vorangegangenen Fall war nun stark sensibilisiert und bereit, sich auch seine weiteren Approximalraumdefekte (Abb. 29) behandeln zu lassen. Klinisch war hier sogar eine noch weiter reichende Karies zu erwarten als bei den beiden zuvor behandelten Zähnen. Dies bestätigte sich auch im weiteren Prozedere: Die Abbildung 30 zeigt eine Situationsaufnahme während der Exkavation des weichen, hochgradig infizierten Dentins (stete Kontrolle mittels FACE [6]), die Abbildung 31 die kurz darauf eröffnete Pulpa an Zahn 25. Da der Kollege bereits im Vorfeld um eine direkte Überkappung gebeten hatte, falls es zu einer Pulpaeröffnung kommen sollte, wurde diese auch entsprechend dem Patientenwunsch und entgegen dem sinnvollen Rat zur endodontologischen Folgetherapie umgesetzt (TheraCal LC, Abb. 32).



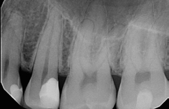
Die Abbildung 32 zeigt ferner die angelegten Teilmatrizen mit zwei gegenläufig ausgerichteten Palodent V3-Spannringen. Im Folgenden kam auch hier ein klassisches Mehrflaschen Etch&Rinse-Adhäsiv zur Anwendung. In der Abbildung 33 sind die fertigen Kompositrestaurationen erkennbar. Obwohl die Notwendigkeit einer endodontologischen Therapie an Zahn 25 sehr wahrscheinlich ist, sollte dennoch eine optimale und dichte Kompositrestauration gelegt werden: Bleibt die Situation wider Erwarten symptomfrei, hätte man eine optimale definitive Restauration; käme es zur endodontologischen Behandlung, hätte der Endodontologe die perfekte Prä- Endo-Aufbaufüllung, deren zervikaler Anwerden teil später bei der postendodontologischen Versorgung sogar belassen werden könnte. Der Zahn 25 wurde im zervikalen Anteil 4 mm mit SDR flow+ in der Farbe A2 aufgebaut; an Zahn 24 war die zervikale Flow-Schicht desselben Materials lediglich 1 bis 2 mm dick. Der weitere Aufbau erfolgte im vorliegenden Fall mit einem pastösen Bulkfill-Komposit (Filtek One, 3M). Die Abbildung 34 zeigt die abschließende Röntgenkontrolle: Beide Restaurationen sind approximal dicht; durch die hervorragende Adaptation von SDR flow+ konnte ein homogener zervikaler Abschluss erzielt werden. Durch die Verwendung anatomisch geformter Teilmatrizen (Contact Matrix Ultra thin flex, Danville) war eine korrekte anatomische Formgebung möglich. Die Palodent-Spannringe garantierten durch ihren Separationsdruck einen suffizienten, straffen Approximalkontakt. Obwohl Filtek One eine klinisch-radiologisch völlig ausreichende Röntgenopazität aufweist, können im Röntgenbild trotzdem beide Restaurationsmaterialen hinsichtlich ihrer Ausdehnung differenziert werden.

Fall 8 Multiple Läsionen an Zähnen 26 und 25
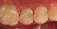
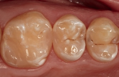
Bei dem 37-jährigen Patienten imponierte eine Approximalraumkaries mesial an Zahn 26 und distal an Zahn 25. Zudem waren okklusal und okklusal-palatinal (getrennt durch den Transversalgrad) zwei kleinere, randundichte ältere Amalgamfüllungen vorhanden, die ausgetauscht werden sollten. Der Patient hatte zunächst die Empfehlung einer Teilkronenversorgung erhalten; aufgrund der Situation nach der Exkavation und der noch sehr umfangreich vorhandenen Restzahnhartsubstanz erschien eine direkte, minimalinvasive Versorgung mit Komposit angebrachter. Die Abbildung 35 zeigt die bereits präparierten und mit Teilmatrizen (Contact Matrix Ultra thin flex, Danville, Spannring: Palodent V3, Dentsply Sirona) versehenen Kavitäten, die Abbildung 36 die Situation nach der adhäsiven Versiegelung mit einem klassischen Mehrflaschenadhäsiv (Optibond FL, Kerr). Auch hier war aufgrund der guten Compliance und der suffizienten zervikalen Abdichtung über die Matrize ein Arbeiten unter relativer Trockenlegung sehr gut möglich. Die Abbildung 37 zeigt das Behandlungsergebnis bei einem Kontrolltermin nach zwei Wochen. Die beiden approximalen Kavitäten wurden ausschließlich mit SDR flow+ in der Farbe A2 versorgt, die okklusal-palatinale und die separate okklusale Kavität hingegen mit einem konventionellem Komposit (ceram.x universal, Dentsply Sirona). Die Wahl fiel hier auf das pastöse Material, da mit diesem die Ausmodellation der Fissur einfacher gestaltet werden konnte. Die in der Abbildung erkennbare, approximal nicht kavitierte Initialläsion distal an Zahn 24 wird durch regelmäßige Intensivfluoridierung über eine Remineralisation therapiert und halbjährig gemonitort.


Schlussbetrachtung
Ein alleiniges Auffüllen eines approximalen Slots mit einem niedrigviskösen Bulkfill-Material ist sicherlich eine deutliche Vereinfachung des Behandlungsablaufes, da hierdurch Fehlerquellen reduziert werden können. Zudem ist es auch nicht ganz so einfach, in schmalen Slot-Bereichen kleinste Inkremente aus klassischen pastösen Kompositen darüber zu modellieren. Auf der anderen Seite gibt es keine klinischen Studienergebnisse, die bislang ein solches therapeutisches Vorgehen stützen, auch wenn der Hersteller (in diesem Falle Dentsply Sirona) das Material auch für kleine, nicht kaulasttragende Restaurationen freigibt.
Bei einer möglichen Risikobetrachtung müssen folgende Aspekte Berücksichtigung finden: Hinsichtlich Durchhärtungspotenzial und den generierten, den adhäsiven Verbund beeinträchtigenden Schrumpfungskräften dürften die vorgestellten Anwendungsbeispiele unproblematisch sein. Hier kann sicherlich auf die umfangreiche Literatur zum Vorgängermaterial SDR flow+ U zurückgegriffen werden. Der einzige verbleibende Risikofaktor ist die mechanische Belastbarkeit solcher Restaurationen: Hinsichtlich Biegebruchfestigkeit und Abrasionsresistenz kann SDR flow+ sicherlich nicht mit etablierten, klassischen, pastösen Restaurationsmaterialen gleichziehen. Das mögliche Belastungsszenario ist allerdings in solch kleinflächigen Restaurationen überschaubar: Eine etwas erhöhte Abrasion stellt mit Sicherheit keine klinische Problematik dar; lediglich bei einer extrem ungünstigen Belastung, z.B. dem punktuellen Aufbeißen auf ein kleines Körnchen exakt im Bereich der Randleiste, könnte eventuell zu einem früheren mechanischen Versagen wie einem Randleisten-Chipping führen. Dieses Risiko erscheint jedoch überschaubar, da es in keinem Fall zu einem katastrophalen Versagen kommen dürfte und die Restauration mit Sicherheit reparabel wäre.
Somit mag es durchaus Sinn machen, in ausgewählten Indikationen, in denen sich eine Anwendungsproblematik bei Verwendung klassischer Komposit-Konzepte in Inkrementtechnik oder in der Kombination aus Bulk-Flow- und überschichtetem pastösem Material ergeben könnte, diese Alternative zu berücksichtigen. Unbedingt berücksichtigt werden muss die verdoppelte Polymerisationszeit von 20 auf 40 Sekunden bei Verwendung des eingefärbten SDR flow+ in Inkrementen von 4 mm; bei der transluzenten Universalfarbe U bleibt es hingegen bei den bewährten 20 Sekunden Polymerisationszeit. Die Verwendung der „bunten“ Alternativen in Bulkfill-Technik sollte man somit auf Indikationsbereiche beschränken, in denen ein zu transluzentes Material entweder zu ästhetischen Beeinträchtigungen führen würde oder eine spätere Diagnostik erschweren könnte.
Bildquellen sofern nicht anders deklariert: Unternehmen, Quelle oder Autor/-in des Artikels
Entdecke CME Artikel






Keine Kommentare.