Bildgebende, insbesondere röntgenologische Verfahren erleichtern seit Jahrzehnten die zahnmedizinische Diagnostik. Wie valide das jeweilige Ergebnis der visuellen Auswertung ist, hängt jedoch in hohem Maße von der Erfahrung des Untersuchenden ab. Hat der Arzt wenig Zeit oder Erfahrung, wirkt sich das auf die Qualität der Diagnose und auf die daraus abgeleitete Therapie aus.
Sowohl das Vorhandensein als auch der Schweregrad einer Erkrankung – von approximaler Karies über apikale Läsionen bis hin zu parodontalem Knochenabbau – werden häufig unter- oder überschätzt. Zwischen verschiedenen Behandlern kommt es regelmäßig zu diagnostischen Abweichungen und damit im Ergebnis zu unterschiedlichen Diagnosen und Therapien. Die vollständige Beurteilung z.B. einer Panoramaschichtaufnahme ist zudem aufwändig und zeitintensiv.
Schließlich müssen eine große Zahl anatomischer Strukturen erfasst, Zahl und Zustand der Zähne untersucht und im Röntgenbild vorhandene Hinweise auf pathologische Auffälligkeiten erkannt werden. Die Zuverlässigkeit der röntgenologischen Diagnostik war somit bisher begrenzt.
Automatische Auswertung hat Marktreife erreicht
Das digitale Zeitalter, gekennzeichnet durch die alltägliche Omnipräsenz digitaler Systeme, hat auch die zahnmedizinische Praxis längst verändert. Die meisten Zahnarztpraxen nehmen ihre Röntgenbilder bereits digital auf. Künstliche Intelligenz (KI) ist nun auch in der Lage, digitalisierte zahnmedizinische Röntgenbilder sekundenschnell vollautomatisch auszuwerten und zu befunden – und mit dentalXrai aus der Charité nun auch im täglichen Praxiseinsatz.
Die Software dentalXrai erkennt und klassifiziert Zähne inklusive ihrer Restaurationen und anderer nicht natürlicher Strukturen auf Röntgenbildern. Anschließend werden die Detektionen im Zahnschema markiert, dokumentiert und automatisch auf eine Zahnkarte übertragen.
dentalXraiSeit Februar 2021 können Zahnärzte die neuen Möglichkeiten der Befundung dank der Einbettung in die Praxiskommunikationsplattform infoskop nutzen und nahtlos in die Aufklärungsgespräche mit den Patienten einbeziehen (Abb. 1). Die Softwarelösung lädt, verarbeitet und dokumentiert alle erforderlichen Daten automatisch – und dies laut Studie mit einer deutlich besseren Befundqualität als die vieler Zahnmediziner [1].
Hintergrund: Wie lernen Maschinen sehen?
Wie kann eine Software aber nun Röntgenbilder zuverlässig befunden? Dazu müssen die zugrunde liegenden neuronalen Netzwerke „trainiert“ werden, indem sie wiederholt sowohl mit Daten als auch dem zu erwartenden Ergebnis gefüttert werden. Über Iteration und Wiederholung werden die neuronalen Netzwerke dazu gebracht, wiederkehrende Muster und Strukturen in den Daten zu erkennen; nach erfolgreich abgeschlossenem Lernprozess können sie dann auch für bisher nicht gesehene Daten Vorhersagen treffen.
Auf diesem Wissen und vielversprechenden Forschungsergebnissen zur Erkennung von Pathologien durch KI aufbauend [2], entwickelte das Team von dentalXrai die Software gleichen Namens. Das Startup dentalXrai wurde im April 2020 über das Accelerator Programm des Berlin Institute of Health aus der Charité Universitätsmedizin Berlin ausgegründet. Die Namensgebung verknüpft die drei Komponenten, um die es geht – dental, X-Ray (Röntgen) und AI (Artificial Intelligence) – zu einem Begriff.
Für die Entwicklung von dentalXrai speiste das Team Annotationen aus zehntausenden von Röntgenbildern in die künstlichen neuronalen Netzwerke ein, um die KI zu trainieren. Ergebnis dieses intensiven „Trainings“ der Software sind Algorithmen für verschiedene Befunde. Die Software greift auf Hochleistungsrechner und ein ganzes Ensemble solcher Algorithmen zurück und stellt innerhalb weniger Sekunden ein vorbefundetes Bild zur Verfügung.
DentalXrai ermöglicht so eine sichere und automatisierte Analyse von zahnmedizinischen Röntgenbildern, denn die Software übernimmt die Klassifikation von Zähnen auf Panoramaschichtaufnahmen und anderen Röntgenbildern, detektiert die Zähne und ordnet sie mit höchster Genauigkeit den korrekten Zahnnamen zu [3]. Diese Klassifikation ist Grundlage für die anschließende zahnbezogene Befundung und Dokumentation.
Nach dem gleichen Prinzip detektieren neuronale Netzwerke auch pathologische Auffälligkeiten, Restaurationen und weitere nicht natürliche Strukturen: Karies, Infektionen, aber auch Implantate und Wurzelfüllungen erkennt die Software zuverlässig [4].
„Die KI übernimmt dabei nicht die Verantwortung für die Zahnuntersuchung und entscheidet auch nicht über Therapien“, betont Prof. Falk Schwendicke, Lehrstuhl für Orale Diagnostik, Digitale Zahnheilkunde und Versorgungsforschung an der Charité, der das Startup dentalXrai als Medical Advisor berät. „Aber sie hebt die Zahnmedizin auf ein standardisiert hochwertiges Niveau und beschleunigt die Analyse von Röntgenbildern enorm, sodass Zahnärztinnen und Zahnärzte die Zeit sinnvoller für das Gespräch mit den Patienten nutzen können.“
Einbindung in Praxissoftware und Kommunikationsworkflow
Für die Entwicklung von dentalXrai lag der Fokus an der Charité auf der Diagnostik. Allerdings fehlten noch die technische Lösung für den automatisierten Datenaustausch zwischen den Röntgensystemen, der eingesetzten Praxissoftware und den Hochleistungsrechnern der KI aus der Charité – und letztlich auch eine geeignete Plattform für die Kommunikation mit dem Patienten. Um diese wichtigen Aufgaben eines praxistauglichen Workflows zu lösen, kam das dentalXrai-Team auf das Kasseler Unternehmen synMedico mit seiner Praxiskommunikationsplattform infoskop zu.
synMedicoAbb. 2: Das Schema zeigt den Ablauf der KI-Befundung mit infoskop und dentalXrai. Die Funktionen der KI-Analyse und Dokumentation umfassen die Zahnsegmentierung und – klassifizierung, die Erkennung der Pathologien und bestehenden Restaurationen sowie die automatische Befundung und schriftliche Dokumentation, integriert in die PVS (Praxisverwaltungssoftware).
Infoskop ermöglicht die herstellerunabhängige Verzahnung aller digitalen Systeme der Zahnarztpraxis und die Einbindung des Patienten in den Kommunikationsworkflow ohne Medienbruch direkt über das iPad (Abb. 2). Als Partner überzeugte synMedico darüber hinaus auch deshalb, weil infoskop kompatibel mit allen Röntgensystemen und Praxissoftwareanbietern ist. Für dentalXrai wurden zusätzlich entsprechende Schnittstellen programmiert, die die vollautomatisierten Abläufe der Befundung und Dokumentation gewährleisten.
Befundung mittels dentalXrai
Die Befundung selbst ist mit infoskop denkbar einfach. Das Röntgenbild wird automatisch an dentalXrai übertragen. In Sekundenschnelle identifiziert die Software Karies und apikale Läsionen und erkennt bestehende Restaurationen sowie nicht natürliche Strukturen wie Wurzelfüllungen und Implantate.
Falls gewünscht, können die maschinell detektierten Befunde vom Behandler angepasst oder ergänzt werden. Anschließend stehen Befund und Therapieempfehlung für das Patientengespräch bereit. Da dentalXrai die Detektion farblich hervorhebt, ist sie auch für den Patienten am iPad verständlich und nachvollziehbar (Abb. 3–6). Ein automatisch erstelltes Gesprächsprotokoll mit der dentalXrai-Befundung kann dem Patienten ganz einfach per verschlüsselter Mail geschickt werden.
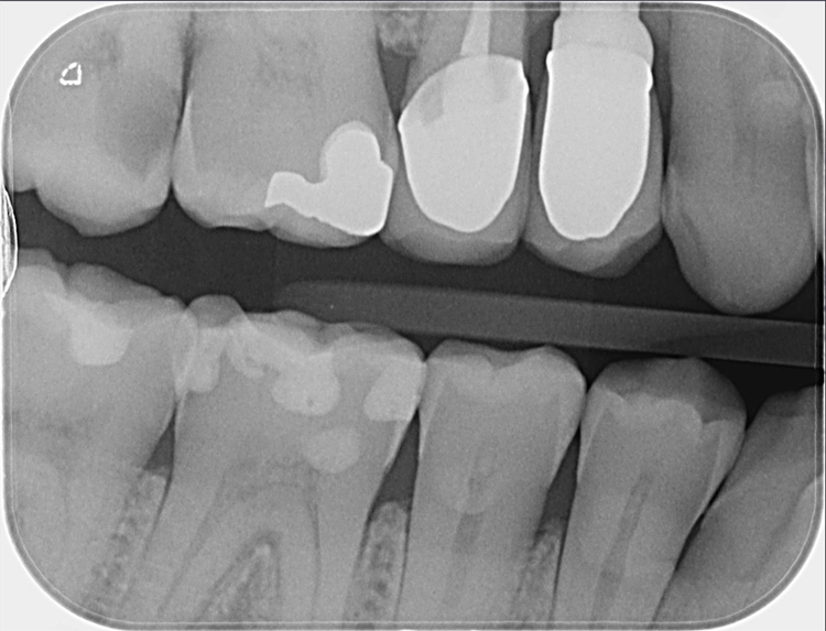
dentalXraiAbb. 3–6: Der Vergleich von nativem Röntgenbild (am Beispiel von OPG und Bissflügelaufnahme verschiedener Patienten) und dem Bild mit eingeblendeten Detektionen zeigt die Gründlichkeit der KI-Befundung. Die befundeten apikalen Läsionen sind orangefarben markiert, die Karies rot. Bestehende Versorgungen sind blau und türkis hervorgehoben. Die Zahnsituation ist so für den Patienten im Gespräch gut nachvollziehbar und auch in der Nachbereitung zuhause immer wieder gut zu erkennen.
dentalXrai
dentalXrai
dentalXrai
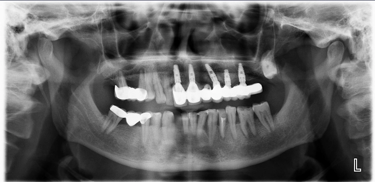
synMedicoAbb. 7: Im Beratungsgespräch kann der Patient anhand der farbig hervorgehobenen Befundung den Therapievorschlägen der Zahnärztin mühelos folgen. Die digitale Auswertung inklusive aller Dokumente und Gesprächsprotokolle kann dem Patienten verschlüsselt via E-Mail zugeschickt werden, sodass er die Empfehlungen auch zuhause nachbereiten und dank der großen infoskop-Datenbank an Illustrationen und erklärenden medizinischen 3D-Videos nachbereiten und verstehen kann.
Die systematische und detaillierte Dokumentation ermöglicht eine Verlaufskontrolle, stützt die Therapieplanung und sichert die Befunde auch forensisch ab. Die integrierte Bedienleiste erlaubt es dem Behandler, zwischen dem nativen Röntgenbild und der farblich hervorgehobenen Detektion hin und her zu wechseln. Dies macht es auch für den Patienten einfach, der Diagnose und dem Behandlungsplan zu folgen (Abb. 7).
Pathologische Befunde sind in Rot- und Orangetönen markiert, die bisherige ZE-Versorgung, Restaurationen, Wurzelkanalfüllungen, Implantate etc. in Blautönen. Über die Bedienleiste kann auch die Editierfunktion aufgerufen werden, um z.B. einen Befund noch manuell zu bearbeiten. Der fertige Befundbericht inklusive einer Liste der Detektionen je Quadrant wird dann in der Praxisverwaltungssoftware (PVS) gespeichert.
Einsatz in der Zahnarztpraxis
Für den Anwender bringt der Einsatz von dentalXrai gleich mehrere Vorteile mit sich. Zum einen ist die Zeitersparnis bei der Befundung durch die vollautomatisierte Diagnostik und schriftliche Befundung der Röntgenbilder für die Dokumentation enorm, was gleichzeitig mehr Zeit für die Beratung und Behandlung der Patienten lässt. Zudem steigt auch die medizinische Versorgungsqualität, da die Software alle Zähne im Röntgenbild mit höchster Genauigkeit auswertet.
Vor allem für den weniger erfahrenen Zahnarzt sinkt damit das Risiko, einen Befund zu übersehen oder die Diagnose auf den Quadranten zu beschränken, der dem Patienten Beschwerden macht. Zahnärztinnen und Zahnärzten eröffnen sich so die Möglichkeit, ihre Behandlungsqualität mit verbesserten Therapieentscheidungen zu optimieren und sich des KI-Befunds als Bestätigung ihrer eigenen Befundung zu bedienen. Darüber hinaus senkt die Befundung mittels KI das Risiko der Fehldiagnose und Fehlbehandlung und erhöht somit die Behandlungssicherheit.
Die deutlich schnellere und umfassendere Befundung wirkt sich nicht nur positiv auf die Wirtschaftlichkeit der Praxis aus; auch die Patientenkommunikation wird spürbar verbessert. Die Kenntnis eines eventuell höheren Behandlungsaufwands wird dem Patienten außerdem plastisch vor Augen geführt.
Dies steigert sowohl sein Verständnis für den Behandlungsbedarf – und damit das Vertrauen in die Therapieempfehlung – als auch die Qualität und Nachhaltigkeit der Beratung. Hinzu kommt die optimierte Behandlungs- und Rechtsicherheit, denn die Software deckt die Dokumentationspflicht gleich mit ab.
Positives Feedback aus der Praxis
Die Nachfrage in den Praxen ist schon jetzt sehr groß. Zahnärzte, die dentalXrai bereits einsetzen, zeigen sich überzeugt von den neuen Möglichkeiten. Viele Behandler kommentieren neben der enormen Zeitersparnis auch die gesteigerten Möglichkeiten zur Früherkennung, die Vorteile einer permanenten Zweitmeinung und das zu erwartende bessere Verständnis bei den Patienten.
Der Vorteil einer emotionslosen Analyse des kompletten Zahnbestands sei offensichtlich, denn so gleichmäßig und hochwertig könne ein Mensch nicht auswerten, nicht ohne immensen Zeitbedarf, sind sich die Ärzte einig. Dazu komme die frühzeitige Erkennung von Verdachtsfällen für eine spätere Kontrolle. Da der Patient dank dentalXrai den Verlauf von Anfang an mitverfolgen könne, sei er in die Notwendigkeit eventueller Anschlussbehandlungen eingebunden.
„Manchmal ist der Zeitdruck so groß, dass wir uns auf den Zahn beschränken müssen, der gerade Beschwerden macht. Da ist es gut, wenn der Patient weiß: Da kommt noch mehr. Und das von einer neutralen Instanz. Das schafft Sicherheit und Vertrauen“, ist sich eine Zahnärztin sicher.
Weitere Informationen
Seit Februar 2021 wird dentalXrai ausgeliefert. Die Software ist mit infoskop in die Praxisumgebung integriert und exklusiv über synMedico erhältlich. In der Juni-Ausgabe der ZMK werden Behandler aus verschiedenen Praxen von ihren Erfahrungen mit dentalXrai im Praxiseinsatz berichten.
Quelle:
synMedico GmbH
Bildquellen sofern nicht anders deklariert: Unternehmen, Quelle oder Autor/-in des Artikels
Entdecke CME Artikel






Keine Kommentare.