|
Getting your Trinity Audio player ready...
|
- Teil 1: Ausgangssituation des Falls
- Modell und Biss
- Aufstellung, individuelle Abutments und Riegelteile
- Teil 2: Befestigung und Weiterverarbeitung der Primärteile
- Sekundärteleskope und Riegelanlage
- Teil 3: Weitere Arbeitsschritte
- Vorbereiten zur Fertigstellung
- Teil 4: Die Ausarbeitung
- Das Ergebnis
- Nachwort
- Materialien
Teil 1: Ausgangssituation des Falls
Die 65 Jahre alte Patientin stellte sich mit einer alten, insuffizienten Teleskopversorgung im OK bzw. Klammerprothese im UK (Abb. 1) in der Praxis vor. Der Restzahnbestand war stark geschädigt und nicht erhaltungswürdig (Abb. 2), Totalprothesen wären die Folge. Da sich die Patientin nicht mit einem völlig geschlossenen Gaumenbereich und einer unsicheren Prothesenhaftung arrangieren wollte, entschied sie sich für eine Implantatversorgung.
Eine festsitzende Versorgung schied aus parodontalhygienischen Gründen aus, was aber von der Patientin akzeptiert wurde, mit der Vorgabe, dass keine rein friktive Versorgung erfolgte. Ihre Angst war zu groß, dass sich diese unbeabsichtigt lösen könnte. Somit verblieb nur die Riegeltechnik.
Axel Mühlhäuser
Axel MühlhäuserUm die Kosten hierbei möglichst gering zu halten und gleichzeitig eine Ausführung im Hochgoldbereich – mit allen bekannten Vorzügen in Passung und im Langzeitverhalten – zu ermöglichen, wurde auf eine Stegkonstruktion verzichtet und lediglich Stegstummel forciert. Zudem sollte durch den Einsatz von konfektionierten Steckriegeln ebenfalls das Budget entlastet werden. Zur Anwendung kamen die Steckriegel Safe-tec II (Si-tec) mit stufenlos aktivierbarem Innen- und Außenanschlag sowie austauschbarem Retentionselement.
Bezüglich der Ästhetik hatte die Patientin bereits genaue Vorstellungen: eine helle und freundliche Zahnfarbe, größere Sichtbarkeit der Frontzähne, eine stärkere Lippenunterstützung und eine regelmäßige, idealisierte Aufstellung.
Modell und Biss
Unsere Behandler und wir wenden nach wie vor sehr gerne die offene Abformung an. Aufgrund der Situationsmodelle mit Heilungskappen wird mit einem dicken Wachsdraht axial zum Heilungskappenplateau über die spätere Löffelbasis hinaus verlängert. Anschließend wird großflächig zirkulär um die Implantate für die Abdruckpfosten und am Modell ausgeblockt (Abb. 3 und 4) sowie mit C-Plast der Löffel im Oberkiefer (Abb. 5) und Unterkiefer (Abb. 6) hergestellt.
Soweit hier vom Behandler die Öffnungen doch noch etwas vergrößert bzw. verlagert werden müssen, darf der Löffelgriff nicht zu dicht an den Öffnungen liegen oder muss, wie im Unterkiefer ersichtlich, am Ansatz entsprechend ausgespart werden. Sobald die Abformpfosten eingebracht sind (Abb. 7) und Sitz bzw. Lage/Öffnungsgröße vom Behandler überprüft wurden, erfolgt die offene Abformung.
Axel Mühlhäuser
Axel Mühlhäuser
Axel Mühlhäuser
Axel Mühlhäuser
Axel MühlhäuserDiese zeigt sowohl im Oberkiefer (Abb. 8) als auch Unterkiefer (Abb. 9) keine Fehlstellungen oder Verziehungen, die Abformpfosten sind fest fixiert. Bevor die Laboranaloge eingebracht werden, muss der Sitz der Abformpfosten akribisch auf eventuelle Fehlstellen oder Fremdkörper hin untersucht werden. Beim Einbringen der Laboranaloge (Abb. 10 und 11) muss man darauf achten, dass die Fixierschraube nur von Hand angezogen wird, das Gegenhalten mit einer kleinen Flachzange verhindert ein Überdrehen.
Nachdem das Zahnfleischmaskenmaterial eingebracht und ausgehärtet ist, werden die mesialen und distalen Abschlüsse zur besseren Fixation im Modell rechtwinklig beschnitten. Abschließend erfolgt die Modellherstellung mit Splitsockel. Am fertigen Meistermodell des Oberkiefers wird die Atrophie zwischen 11/14 und 21/24 deutlich (Abb. 12). Im Unterkiefer sind auf den ersten Blick keine Problemzonen zu erkennen (Abb. 13).
Axel Mühlhäuser
Axel Mühlhäuser
Axel Mühlhäuser
Axel Mühlhäuser
Axel Mühlhäuser
Axel MühlhäuserZur besseren Fixierung im Mund wird in die C-Plast-Bissbasis jeweils ein provisorisches Abutment eingearbeitet (Abb. 14 und 15), die übrigen Implantatbereiche sind entsprechend der Heilungskappen großzügig auszublocken. Idealisierte Wachswälle, die sowohl den Zahnbogen als auch die Bisshöhe entsprechend der Vorbissnahme vorgeben, komplettieren die Bissschablonen (Abb. 16).
Axel Mühlhäuser
Axel Mühlhäuser
Axel Mühlhäuser
Axel MühlhäuserBesonders wichtig und unverzichtbar ist es, bei der eigentlichen Bissnahme (Abb. 17) die Hilfslinien wie Lachlinie, Mittellinie etc. für den weiteren Ablauf festzuhalten. Um dem Behandler den Ablauf mit dem Gesichtsbogen zu vereinfachen, bestücken wir bereits im Vorfeld eine Bissgabel mit Platinum 85 (Zhermack), auf der die Oberkieferschablone perfekt sitzt. Nach dem Aushärten wird auf die reinen Impressionen reduziert; ggf. kann diese Basis, wenn erforderlich, vom Behandler noch leicht unterfüttert werden. Mit dem Transferstand wird der Oberkiefer schädelbezüglich eingestellt (Abb. 18), anschließend mittels der Bissschablonen der Gegenkiefer artikuliert (Abb. 19).
Axel Mühlhäuser
Axel MühlhäuserAufstellung, individuelle Abutments und Riegelteile
Um bei der 1. ästhetischen Einprobe bereits gesicherte Informationen über Optik und Phonetik zu erhalten, gleichzeitig aber ohne großen Aufwand nochmals die Okklusion kontrollieren zu können, stellen wir lediglich bis zu den 4ern auf (Abb. 20). Sowohl im Ober- als auch Unterkiefer mussten die Zähne aus ästhetischen Gründen sehr weit nach labial gestellt werden. Dem Wunsch der Patientin entsprechend wurde eine helle Farbe gewählt und die Zahnstellung nur minimal verschachtelt (Abb. 21).
Axel Mühlhäuser
Axel MühlhäuserEntgegen der Ausgangssituation sollten die Frontzähne wiederum länger und dominanter stehen, im Seitenzahngebiet des Oberkiefers wurde zur Bisskontrolle ein Kunststoffwall integriert (Abb. 22). Im Unterkiefer stand dem lediglich ein Wachswall mit leichten Einbiss-Impressionen entgegen. Bei der Einprobe ergaben sich lediglich unerhebliche Bisskorrekturen, aus ästhetischen Aspekten waren die 3er etwas einzukürzen, ebenso die beiden 2er distal, um eine positivere Lachlinie zu erhalten.
Axel MühlhäuserIm Anschluss erfolgten die Komplettierung der Seitenzahnaufstellung, das Ausmodellieren und die finale definitive Einprobe. Wenn bezüglich der Aufstellung keine Änderungen mehr notwendig sind, wird mit der Herstellung der individuellen Abutments begonnen. Vorab müssen jedoch die vorliegenden Informationen für die verschiedenen Einsatzgebiete gesichert werden. Zur Herstellung der Abutments wurde ein reiner Arbeitsvorwall aus Platinum (Zhermack) gefertigt, sowohl von palatinal/lingual als auch bukkal/labial. Gleichzeitig wurde ein zweiteiliger Vorwall zur eigentlichen Finalisierung hergestellt.
Im Anschluss wurden die angussfähigen Abutments eingebracht und die gemeinsame Einschubrichtung festgelegt. Um unnötige Fräsarbeiten bzw. Materialverluste der Hochgoldlegierung zu vermeiden, wurde bereits hier mit einer H364RGE-Fräse (Brasseler) vorgefräst (Abb. 23). Entsprechend der Arbeitsvorwälle aus Platinum 85 (Zhermack) werden sowohl im Unterkiefer (Abb. 24) als auch Oberkiefer (Abb. 25) die Kunststoffkamine auf das notwendige Maß eingekürzt und – soweit aufgrund des Platzbedarfs erforderlich – Abschrägungen vorgenommen. Nun wird wie üblich die Primärform mit Fräswachs ergänzt und in Bezug auf die gemeinsame Einschubrichtung in Wachs vorgefräst.
Axel Mühlhäuser
Axel Mühlhäuser
Axel MühlhäuserBei der Steckriegeltechnik wurde hier der Safe-tec II (Sitec) verwendet, der aus einem Riegelgehäuse (Abb. 26a Mitte) und einem Riegelfunktionselement (Abb. 26a links) besteht. Alternativ kann sogar ein Verschraubungseinsatz (Abb. 26a rechts) in das Gehäuse eingebracht werden, um – wenn gewünscht – eine nur bedingt abnehmbare Konstruktion zu ermöglichen. Im Riegelfunktionselement sind 2 kleine Eingriffsmulden (Abb. 26b).
Axel Mühlhäuser
Axel MühlhäuserDas Eindrehinstrument (Abb. 26c) nimmt diese auf und ermöglicht so das Ein- sowie Ausdrehen und das stufenlose Einstellen der Öffnungskraft. Weitere Vorteile dieses Steckriegels sind die Möglichkeit der Arretierung der Riegelachse sowohl in der Öffnungs- als auch in der geschlossenen Position. Außerdem lassen sich uni- und bilaterale Konstruktionen mit dieser einfachen sowie kostengünstigen Anwendung sicher verriegeln.
Axel Mühlhäuser
Axel MühlhäuserEin komplettes Riegel-Set beinhaltet das Primärteil, das Sekundärteil (Gehäuse und Riegelfunktionsteil), den Platzhalter (groß und klein), das Verschraubungsinstrument sowie den Parallelhalter (Abb. 27). Im zweiten Teil wird das Anbringen der Stegstummel für die Riegelachse und die Herstellung der Sekundärteile beschrieben.
Teil 2: Befestigung und Weiterverarbeitung der Primärteile
Axel MühlhäuserJetzt können die Primärteile des Riegels (folgend auch Stegstummel genannt) mit dem im Set enthaltenen Parallelhalter beispielsweise mittels Pattern Resin befestigt werden (Abb. 28). Da diesem Arbeitsschritt besondere Bedeutung zukommt, wird nachfolgend etwas ausführlicher darauf eingegangen.
Die Endlage des Riegelkopfes muss sich nach der Fertigstellung harmonisch in die Prothesenform einfügen. Deshalb darf sich der Riegelkopf weder im Bereich der Prothesenzähne noch zu nahe am Prothesenrand befinden. Der Ansatzwinkel sollte leicht vom Kieferkammverlauf abweichen (bis max. 15°), d.h. minimal nach distal abgesenkt, um der Patientin das Öffnen von mesial zu erleichtern und der Zunge ein ungestörtes Entlanggleiten zu ermöglichen.
Zudem wird, soweit dies möglich ist, die Positionierung im Interdentalraum angestrebt, weil hier am wenigsten Irritationen der Zunge zu erwarten sind. Anhand der Arbeitsvorwälle mit eingesetztem Sekundärteil wird die Endlage in Bezug auf die Prothesenausdehnung als auch auf die Zahnstellung im Oberkiefer (Abb. 29) und Unterkiefer (Abb. 30) geprüft. Modellanzeichnungen erleichtern die Lagefindung zusätzlich (Abb. 31). Falls Platzprobleme bestehen, weil die Lücke eng ist oder basal zu wenig Platz besteht, können die Stegstummel jederzeit reduziert oder angepasst werden (Abb. 32).
Axel Mühlhäuser
Axel Mühlhäuser
Axel Mühlhäuser
Axel MühlhäuserAbb. 31 und 32: Die richtige Lage deckt sich sowohl im Unterkiefer als auch Oberkiefer nicht immer mit der Kieferkammmitte.
Von bukkal wird deutlich, dass die Stegstummel keinesfalls mittig auf dem Kieferkamm liegen müssen, vielmehr ist auch eine Verlagerung nach oral oder, wie hier geschehen, nach bukkal möglich (Abb. 33). Gleichfalls kann jederzeit der Stegstummel mit Wachs nach basal verlängert werden, soweit eine Auflage gewünscht oder notwendig ist (Abb. 34). Selbstverständlich kann der Stegstummel auch zum Einsatz als Steg erweitert werden.
Axel Mühlhäuser
Axel MühlhäuserIm letzten Arbeitsgang werden die Randbereiche unter dem Stereomikroskop sorgfältig auf etwaige Fehlstellen hin untersucht: Es darf weder eine Überkonturierung zum Sitz des Abutments noch ein Randspalt vorhanden sein. Abschließend werden die Objekte gründlich von etwaigen Wachs- und Fettresten gereinigt und angestiftet (Abb. 35). Der Schraubenkanal sollte hierbei immer nahezu senkrecht in der Muffel liegen, um Blasenbildung und somit Gussperlen zu verhindern. Bei der Einbettmasse haben wir mit der Elite Vest Plus (Zhermack) seit vielen Jahren sehr gute Erfahrungen gemacht.
Die Haltezeit im Ofen ist bei individuellen Abutments je nach Anzahl um mindestens 15–30 Minuten zu verlängern, die Endtemperatur um 50–70 Grad zu erhöhen, um ein sicheres Angießen zu gewährleisten. Ausgebettet wird nur mit Glanzstrahlperlen und minimalem Druck, um Beschädigungen am Implantatsitz zu verhindern. Bei entsprechend akribischer Vorgehensweise zeigt sich ein perfekter Guss (Abb. 36) der hochgoldhaltigen Legierung Biolight (Argen). Die sattgelbe Goldfarbe und Oberflächengüte sprechen für sich.
Axel Mühlhäuser
Axel MühlhäuserJetzt kann das Abtrennen erfolgen. Anschließend sind sämtliche Bereiche auf etwaige Fehlstellen oder Gussperlen hin zu untersuchen und diese ggf. zu entfernen. Im weiteren Verlauf müssen die Randbereiche ausgearbeitet werden. Um Beschädigungen am Implantatsitz auszuschließen, darf dies jedoch nur mit eingebrachter Polierhilfe geschehen. Soweit diese nicht speziell vom Hersteller angeboten wird, verwenden wir dafür Modellanaloge. Mit einem blauen Polierrad (Brasseler) lässt sich schnell und effizient ein Mattglanz in den subgingivalen bzw. basalen Bereichen herstellen (Abb. 37). Die Hochglanzpolitur erfolgt vorab mittels Bürsten, Polierpaste und anschließend der Schwabbel – auch hierbei nur mit Polierhilfe. Im Spiegel zeigt sich nun ein sauberes Ergebnis (Abb. 38), die späteren Fräsarbeiten sind bereits weitgehend minimiert.
Axel Mühlhäuser
Axel MühlhäuserGrob vorgefräst wird mit dem H364RXE (Abb. 39), in jedem Fall sollte die Zahnfleischmaske auf dem Modell sein, um die Orientierung zur Gingiva nicht zu verlieren. Sorgfältig ist darauf zu achten, dass die Maske nicht angefräst wird. Die Platzverhältnisse zwischen dem Implantat regio 24 und 25 bereiten hier noch etwas Kopfzerbrechen. Mit Fräsern der Serie H364RGE wird bei ca. 12.000 U/min verfeinert (Abb. 40) und bei reduzierter Drehzahl von rd. 2.000 U/min geglättet, bis eine seidenmatte Oberfläche vorhanden ist. Abschließend werden die okklusalen Anteile ausgearbeitet und poliert, wobei eine laufende Kontrolle der Platzverhältnisse anhand der Vorwälle unerlässlich ist. Es muss sowohl ausreichend Platz für das eigentliche Sekundärteleskop als auch für die Überkonstruktion aus NE vorhanden sein. Nach gründlichem Reinigen und Abdampfen werden die Abutments auf das Modell reponiert.
Axel Mühlhäuser
Axel MühlhäuserIm Unterkiefer zeigt sich von bukkal beim Implantat regio 43, wie durch das Anmodellieren basal am Stegstummel ein sauberer Abschluss erreicht wurde (Abb. 41). In der Ansicht von lingual kann man gut die Verlagerung der Stegstummel nach bukkal erkennen (Abb. 42). Von okklusal werden die mangelhaften Platzverhältnisse lingual an Implantat regio 36 und vor allem 46 gut erkennbar (Abb. 43). Im Oberkiefer von bukkal wird der Platzmangel zwischen Implantat regio 24 und dem Stegstummel deutlich (Abb. 44). Von palatinal ist wiederum die Verlagerung der Stegstummel nach bukkal gut zu sehen (Abb. 45). Von okklusal wird die schöne Stufenausformung der Teleskopkronen analog zum Verlauf des Gingivasaums sichtbar (Abb. 46).
Axel Mühlhäuser
Axel Mühlhäuser
Axel Mühlhäuser
Axel Mühlhäuser
Axel Mühlhäuser
Axel MühlhäuserSekundärteleskope und Riegelanlage
Das Riegelset beinhaltet 2 verschiedene Platzhalter für unterschiedliche Herstellungs- und Fertigstellungsarten. Platzhalter D (kurz) für die Doubliertechnik, Platzhalter F (lang) für die Abhebetechnik. In diesem Fall wurde analog zur Teleskoptechnik die Abhebetechnik angewendet.
Axel MühlhäuserIm Vorfeld sind nun die Schraubenkanäle dicht mit Wachs zu verschließen. Dann wird der Platzhalter F bis zum Anschlag in die Aufnahmeöffnung des Stegstummels eingesteckt und mit einer geringen Menge Pattern Resin in dicker Konsistenz fixiert (Abb. 47). Folgend wird stückweise mit Pattern komplettiert, im Bereich des Platzhalters etwas über den Absatz hinaus (Abb. 48). Nach dem Aushärten wird auf Mindeststärke zurückgeschliffen, der Platzhalter mit Drehbewegungen herausgezogen (Abb. 49) und einmal die Gesamtkonstruktion abgehoben.
Axel Mühlhäuser
Axel MühlhäuserSoweit zwischen Platzhalter und Stegstummel kleine Patternfahnen vorhanden sind, können diese jetzt entfernt werden. Nach dem Reponieren von Abutments und Patternkäppchen auf das Meistermodell wird zirkulär eine Abschlussschürze sowohl im Unterkiefer (Abb. 50a) als auch Oberkiefer (Abb. 50b) modelliert. Dies bringt neben einer zusätzlichen Stabilität auch nach der Fertigstellung einen klar definierten, sauberen Übergang von Kunststoff zu Gold. Derartige Konstruktionen stellen besonders hohe Ansprüche an die Einbettmasse, d.h. es dürfen keine Gussfahnen entstehen, die Oberfläche muss sehr glatt sein und das Volumen darf nicht verändert werden. Mit Elite Vest Plus, dem Metallmuffelring, Muffelvlies und dem Anmischen unter Vakuum (Abb. 51) erreichen wir die besten Ergebnisse, die sich stets reproduzieren lassen.
Axel Mühlhäuser
Axel Mühlhäuser
Axel MühlhäuserAbb. 51: Einbetten mit Metalmuffelring.
Gegossen im „offenen Ring“, zeigt sich bereits nach dem Ausbetten ein perfektes Ergebnis mit der Biolight-Legierung (Abb. 52). Auch die Kästen sind ohne jegliche Beanstandung, ohne Gussperlen oder Gussfahnen (Abb. 53). Größere Aufpassarbeiten sind bei derartigen Güssen sicher nicht zu erwarten. Zeitgleich wurden die übrigen Teleskopkronen wie vorab beschrieben hergestellt und angestiftet (Abb. 54). Auch hier zeigt sich ein exzellentes Gussergebnis (Abb. 55).
Axel Mühlhäuser
Axel Mühlhäuser
Axel Mühlhäuser
Axel MühlhäuserBei derartiger Vorgehensweise sind praktisch keine nennenswerten Aufpassungsarbeiten notwendig, der Randschluss sieht bereits ohne Nachbearbeitung bestmöglich aus (Abb. 56). Auch die Innenfläche der Riegelanlage lässt keine Wünsche offen (Abb. 57). Bei der Passung ist beim Einsatz von Riegeln darauf zu achten, dass keine Friktion vorhanden ist, lediglich eine leichte Saugpassung ist anzustreben, damit die Patientin die Arbeit beim Verriegeln nicht in Endposition halten muss.
Axel Mühlhäuser
Axel MühlhäuserJetzt können die basalen Anteile ausgearbeitet und poliert werden. Hierbei sollten diese Bereiche immer minimal hohlgelegt sein, um Druckstellen im Mund zu verhindern. Beim Endergebnis mit eingesetzten Abutments von basal nach Politur ist selbst in den Stegstummelbereichen kein nennenswerter Randspalt erkennbar (Abb. 58). Abschließend werden noch die umlaufenden Teleskopschürzen auf die notwendige Breite reduziert. Hierbei ist auf einen rechtwinkligen Abschluss zu achten, um einen bestmöglichen Übergang später zum rosa Kunststoff zu gewährleisten. Dann werden Primär- und Sekundärteile nach dem Reinigen sowohl im Unterkiefer (Abb. 59) als auch Oberkiefer (Abb. 60) reponiert.
Axel Mühlhäuser
Axel Mühlhäuser
Axel MühlhäuserNachdem sämtliche Gusskanalreste verschliffen sind, okklusal die Stärken kontrolliert und ggf. auf die Mindeststärke reduziert sind, werden die Fräsflächen nachbearbeitet. Soweit notwendig werden hier entsprechend der festgelegten gemeinsamen Einschubrichtung die Außenflächen im Oberkiefer (Abb. 61) und im Unterkiefer (Abb. 62) einmal nachgefräst. Zum einen sollen so gleichmäßig dünne Sekundärteile entstehen und zum anderen werden durch die Parallelität unnötige Aufpassarbeiten nach dem Guss der Tertiärkonstruktion vermieden.
Axel Mühlhäuser
Axel MühlhäuserTeil 3: Weitere Arbeitsschritte
Die umlaufenden Fräsflächen werden mit einer dünnen, gleichmäßigen Schicht Wachs überzogen, um unnötige Aufpassungsarbeiten zu verhindern und die notwendige Spielpassung für das Verkleben zu erhalten (Abb. 63). Beim Doublieren wird hier Speedsilikon verwendet, da es eine optimale Oberfläche und schnelle Verarbeitung ermöglicht. Zeitgleich mit der Herstellung des Einbettmassenmodells werden bereits die obligatorischen Einsetzhilfen gefertigt (Abb. 64), um diese gleichzeitig mit der Tertiärkonstruktion aufsetzen zu können.
Axel Mühlhäuser
Axel MühlhäuserNach dem Aushärten des Oberkiefer-Einbettmassenmodells werden die Sekundärteleskope mit einer gleichmäßigen, dünnen Wachsschicht überzogen. Im Deckelbereich erfolgt eine kreisrunde Aussparung und die Riegelanlage wird entsprechend der Platzverhältnisse ummantelt. Im Frontzahnbereich werden aufgrund der Labiallage der Zähne die Retentionen noch mit einem dickeren Wachsdraht verstärkt und Retentionsperlen aufgebracht (Abb. 65). Im Unterkiefer wird entsprechend verfahren (Abb. 66).
Axel Mühlhäuser
Axel MühlhäuserIm Lückenbereich regio 31/41 wird jedoch keine Retention, sondern eine brückengliedartige Gestaltung gewählt. Das Überbetten und Aufsetzen erfolgt entsprechend der Herstellerangabe der Einbettmasse. Nach dem Ausbetten und Strahlen zeigt sich ein Gussergebnis ohne Fehlstellen, Gussfahnen oder nennenswerte Blasen (Abb. 67). Bei richtiger Expansion fallen keine großen Aufpassarbeiten an, die gewünschte Spielpassung der Tertiärkonstruktion muss bereits vorliegen.
Folgend müssen nun die Sekundärteile gestrahlt und nach der Reinigung der Innenflächen mittels Druckluft und/oder einem feinen Pinsel (Abb. 68) gereinigt werden. Jedoch dürfen sie nun keinesfalls mehr abgedampft werden. Besonderes Augenmerk ist auch darauf zu legen, dass die Außenflächen der Riegelanlage allseitig gestrahlt sind (Abb. 68 und 69). Im weiteren Ablauf müssen unbedingt die bukkalen Gegenlager der Riegelachse ausgewachst werden (Abb. 70). Es erfolgte eine letzte Kontrolle der Passung vor dem Verkleben (Abb. 71). Durch die okklusalen Aussparungen kann zudem der richtige Sitz kontrolliert werden und beim Verkleben der Überschuss an Kleber gezielt abfließen (Abb. 72).
Axel Mühlhäuser
Axel Mühlhäuser
Axel Mühlhäuser
Axel Mühlhäuser
Axel Mühlhäuser
Axel MühlhäuserSämtliche Arbeiten nach dem Abstrahlen sollten mit Silikonhandschuhen erfolgen, um fettige Rückstände oder Verunreinigung zu vermeiden. Sobald die Primärteile als auch die Innenflächen der Tertiärkonstruktion mit Metallprimer behandelt sind, was an der dunkleren Verfärbung erkennbar ist (Abb. 73), werden entsprechend der Herstellerangaben der Kleber angemischt und sowohl die Außenflächen der Sekundärteile als auch die Innenbereiche der Tertiärkonstruktion dünn und gleichmäßig deckend mit einem Einwegpinsel benetzt sowie die Tertiärkonstruktion aufgesetzt.
Axel MühlhäuserDas Justieren in der Endposition sollte langsam erfolgen, um dem Kleber das Austreten an den okklusalen Öffnungen zu ermöglichen (Abb. 74 und 75). Sofern nicht zu viel Kleber eingesetzt wurde, zeigt sich auch in den Randbereichen eine gleichmäßige, zirkuläre Kleberschicht, die jedoch nicht über diese Bereiche hinaus geht, was zusätzliches Ausarbeiten notwendig machen würde (Abb. 76). Nach dem Aushärten wird mit einem kreuzverzahnten Fräser überschüssiges Material entfernt (Abb. 77) und die Gesamtkonstruktion gereinigt.
Axel Mühlhäuser
Axel Mühlhäuser
Axel Mühlhäuser
Axel MühlhäuserWichtig vor dem Einkleben der Riegelteile ist das zirkuläre Ausblocken zwischen Riegelgehäuse und Riegelkopf mit Wachs (Abb. 78). Es empfiehlt sich auch hier, vor dem Verkleben eine letzte Passungskontrolle vorzunehmen. Dann werden die Klebeflächen des Riegelgehäuses als auch des Sekundärlagers gestrahlt, mit Metallprimer behandelt und die Innenbereiche der Sekundärteile als auch der Stegstummel mit einer dünnen Vaselineschicht isoliert.
Axel MühlhäuserBeim Verkleben wird wir ausschließlich das Riegelgehäuse an den Seitenflächen benetzt und dieses dann mit drehenden Bewegungen in die Riegelaussparung bis zur Endlage gedrückt. Hierbei ist darauf zu achten, dass die Riegelachse sowohl im Steg als auch im Gegenlager richtig in der Endposition sitzt. Um Beschädigungen am Riegelkopf auszuschließen, sollte ggf. überschüssiger Kleber bereits vor dem Aushärten entfernt werden (Abb. 79 und 80). Nach dem Aushärten, Entfernen überschüssiger Kleberanteile und Abdampfen zeigt sich, dass sich aufgrund des Isolierens/Abdichtens mit Vaseline keine Kleberrückstände in den Innenflächen befinden (Abb. 81) und das Gegenlager der Riegelachse durch das Auswachsen frei von jeglichem Kleber ist (Abb. 82).
Axel Mühlhäuser
Axel Mühlhäuser
Axel Mühlhäuser
Axel MühlhäuserVorbereiten zur Fertigstellung
Sobald die Einsetzhilfen ausgearbeitet sind, müssen diese entsprechend dem Modell gekennzeichnet werden (Abb. 83). Die Passung schließt ein Verwechseln oder Verdrehen gänzlich aus (Abb. 84). Anhand der Vorwälle mit Zähnen werden die Platzverhältnisse überprüft und ausreichend Platz für Opaker bzw. eine Mindestschicht an rosafarbenem Kunststoff geschaffen (Abb. 85). Beim zweiteiligen Vorwall aus dem Silikon „Platinum“ lässt sich im Oberkiefer nur schwer ein Übergang erkennen (Abb. 86). Dies spricht für sehr gute Materialeigenschaften.
Axel Mühlhäuser
Axel Mühlhäuser
Axel Mühlhäuser
Axel MühlhäuserOhne Kenntlichmachung im Unterkiefer wird dies auch nur im Randbereich ersichtlich und zeigt die Vorteile des Materials bei solchen Anwendungen (Abb. 87). Zudem lässt sich das Material sehr gut beschleifen und nasstrimmen. Zweigeteilt zeigen sich die absoluten Vorzüge dieser Methode: Eine exakte Kontrolle der Sitz und Platzverhältnisse sowohl der Zähne als auch der Lingualflächen bei jedem einzelnen Segment sind gut möglich (Abb. 88). Vor dem Strahlen der Tertiärkonstruktion schützt man die basalen Hochglanzflächen mittels eines Silikonfilms und wachst den Riegelkopf aus (Abb. 89).
Axel Mühlhäuser
Axel Mühlhäuser
Axel Mühlhäuser
Axel Mühlhäuser
Axel Mühlhäuser
Axel MühlhäuserNach dem Entfernen des Silikonschutzlackes kann das Haftverbundsystem aufgetragen (Abb. 90) und anschließend mit einem rosafarbenen Opaker beschichtet werden (Abb. 91). Die erste Opakerschicht sollte keinesfalls deckend, sondern unbedingt in Form eines „Washopakers“ aufgetragen werden, um einen sicheren Verbund und gute Durchhärtung zu gewährleisten. Vor dem eigentlichen Fertigstellen werden noch die mechanischen Retentionen in die Prothesenzähne geschliffen, diese aus dem Vorwall entnommen und für einen bestmöglichen Verbund mit dem rosafarbenen Prothesenkunststoff gestrahlt bzw. silanisiert (Abb. 92).
Axel MühlhäuserIm Oberkiefer werden zudem die stellenweise nicht üppigen Platzverhältnisse deutlich (Abb. 93). Nach den bekannten Regeln erfolgt nunmehr das Ausblocken der Modelle, das Wässern und Isolieren. Auf jeden Fall muss zwischen Riegelkopf und Gehäuse zirkulär entsprechend ausgewachst und der Kopf zusätzlich mit einer dicken Schicht Wachs überzogen sein, um Beschädigungen durch das Ausarbeiten zu verhindern. Die Innenflächen der Primär- und Sekundärteile werden mit Vaseline geschützt, um ein Eindringen von Kunststoff oder Monomer zu verhindern. Dann erfolgt eine letzte Kontrolle, ob Frühkontakte bestehen bzw. ob der Vorwall einwandfrei sitzt (Abb. 94 und 95).
Axel Mühlhäuser
Axel MühlhäuserTeil 4: Die Ausarbeitung
Nachdem im 3. Teil eingehend auf die Tertiärkonstruktion und die Verklebungen eingegangen wurde,
erfolgt nun die eigentliche Fertigstellung mit rosafarbenem Kunststoff.
Sobald im dorsalen Bereich die Gusstrichter herausgeschnitten sind, die Vorwälle auf dem Modell reponiert und mit einem Tropfen Sekundenkleber auch miteinander fixiert sind, kann in dünnem Strahl von einer Seite der rosafarbene Kunststoff eingebracht werden, bis dieser auf der gegenüberliegenden Seite austritt und die Trichter gefüllt sind. Das langsame, einseitige Befüllen ist notwendig, um das Entweichen der innenliegenden Luft zu gewährleisten und somit Blasen zu verhindern. Das Aushärten erfolgt nach Herstellerangabe im Drucktopf im Wasserbad.
Danach zeigt sich, weshalb das Befüllen der Trichter wichtig ist: Beim genauen Betrachten wird ersichtlich, dass bei einem Trichter etwas Material bei beiden Vorwällen nachgezogen hat (Abb. 96). Nach dem Aushärten im Drucktopf geht das Ausbetten gegenüber Gips einfach und schnell vonstatten. Die Oberfläche ist sehr detailgetreu dargestellt und bereits ohne Ultraschall sauber sowie ohne große Rückstände (Abb. 97).
Die Ansatzstelle des zweigeteilten Vorwalls ist nur durch eine dünne Fahne ersichtlich. Nach dem obligatorischen Einschleifen von Zentrik, Laterotrusion und Protrusion kann die Prothese abgehoben und das Ausblockwachs entfernt werden. Um Beschädigungen am Riegelkopf zu verhindern, wurden beim Ausarbeiten die Riegeleinsätze herausgedreht. Dafür wurde der dem Set beiliegende Spezialschlüssel verwendet, der gleichzeitig der Aktivierung/Deaktivierung dient.
Die Ausarbeitung erfolgt routinemäßig mit dem H251 ACR und dem H251 EQ Dualfräser. Mit dem EQ-Dualfräser (Abb. 98) lässt sich durch die feine, aber schnittfreudige Verzahnung im vorderen Bereich der Zahnfleischsaum schön ausarbeiten, der hintere Bereich ist für die gröberen Arbeiten wie Pressfahnen, Randbereiche etc. vorgesehen. Kreuzverzahnte Rosenbohrer der Serie H71EF runden unser Ausarbeitungsset ab. Bei derart ausgearbeiteten Prothesen geht die Politur sehr zügig vonstatten: Schmirgeln, Bims mit Bürsten und Hochglanz mit Schwabbel.
Das Ergebnis
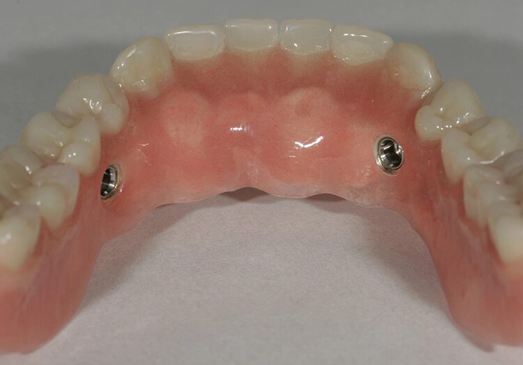
Nach der Politur zeigt sich in der Detailansicht des Unterkiefers ein perfekter Übergang von Riegelgehäuse, Klebespalt, Riegelanlage und rosa Kunststoff (Abb. 99). Im Oberkiefer findet sich die Lage optimal in die gegebene Prothesenform ein, d.h. zwischen den Zähnen 14/15 und 24/25 (Abb. 100). Beim Eindrehen der Riegeleinsätze muss behutsam vorgegangen werden, um eine Beschädigung der Gewindegänge zu vermeiden: Zuerst muss gegen den Uhrzeigersinn gedreht werden, bis der Gewindeanfang spürbar ist, sodann langsam und gefühlvoll im Uhrzeigersinn eindrehen.
Je nach Anzugsdrehmoment wird die Arretierung geschlossen oder geöffnet und lässt sich in der Stärke individuell einstellen. Der Öffnungshub ist ausreichend dimensioniert und durch das Einrasten für die Patientin eindeutig fühlbar (Abb. 101 und 102). Ein versehentliches Schließen durch die Arretierung ist ausgeschlossen. In geschlossenem Zustand zeigt sich ein zirkulärer Spalt, der dem Öffnen mittels eines Fingernagels dient (Abb. 103). Die zirkuläre Öffnungsrille irritierte ursprünglich etwas, diese ist aber laut Hersteller gewollt und bringt Vorteile für die Patientin mit sich. Denn diese ist nicht an einen bestimmten Ansatz oder eine Richtung beim Öffnen gebunden, sondern kann frei über Richtung und verwendete Finger entscheiden (Abb. 104). Auch wird der geringe Spalt weder als störend noch als negativ erstastbar empfunden.
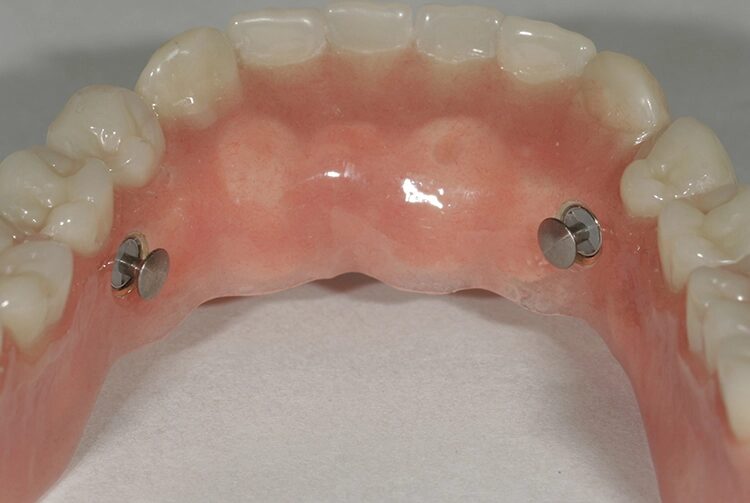
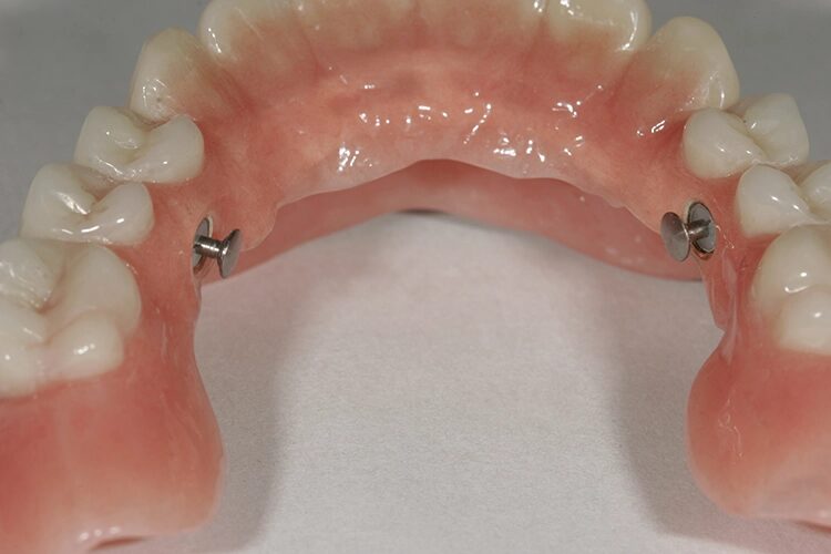
Beim Unterkiefer zeigen sich in der Basalansicht durch die umlaufenden Abschlussschürzen perfekte, saubere Übergänge zum rosafarbenen Kunststoff. Bemerkenswert ist beim genauen Betrachten die kleine „Goldinsel“ lingual regio 47, die aus Platzgründen entstanden ist (Abb. 105). Im Oberkiefer basal werden nochmals die minimalen Platzverhältnisse zwischen Implantat regio 23 und 24, bedingt Patientin mit sich. Denn diese ist nicht an einen bestimmten Ansatz oder eine Richtung beim Öffnen gebunden, sondern kann frei über Richtung und verwendete Finger entscheiden (Abb. 104). Auch wird der geringe Spalt weder als störend noch als negativ erstastbar empfunden.
Beim Unterkiefer zeigen sich in der Basalansicht durch die umlaufenden Abschlussschürzen perfekte, saubere Übergänge zum rosafarbenen Kunststoff. Bemerkenswert ist beim genauen Betrachten die kleine „Goldinsel“ lingual regio 47, die aus Platzgründen entstanden ist (Abb. 105). Im Oberkiefer basal werden nochmals die minimalen Platzverhältnisse zwischen Implantat regio 23 und 24, bedingt durch den Stegstummel, deutlich (Abb. 106). Obgleich nicht unbedingt notwendig, wurde für die Riegelachse zusätzlich ein Gegenlager geschaffen, um hierdurch die Abzugskräfte zusätzlich aufzufangen und das eigentliche Funktionsteil zu entlasten (Abb. 107). In der Spiegelaufnahme sind nochmals die individuellen Teleskopabutments mit Stegstummel nach definitiver Beschriftung zu sehen (Abb. 108).
In der Ansicht von basal mit eingebrachten Abutments wird die gute, spaltfreie Passung erkennbar und gleichzeitig die zungenfreundliche Prothesenausformung bzw. Riegelkopfanlage (Abb. 109 und 110). Die Abutments fügen sich harmonisch in die vorliegende, nicht einfache Weichgewebssituation ein (Abb. 111). Um Druckstellen durch die Sekundärteile zu verhindern, liegen die Randbereiche minimal über dem Zahnfleischsaum (Abb. 112), die einzelnen Abutments sind eindeutig gekennzeichnet, um Verwechslungen auszuschließen.
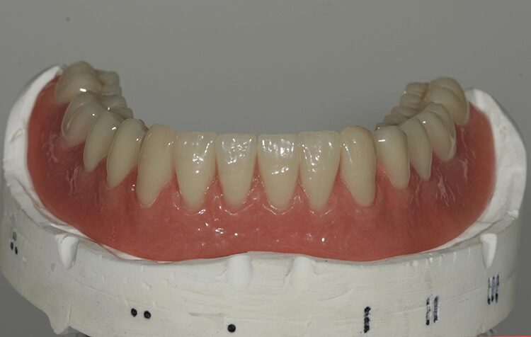
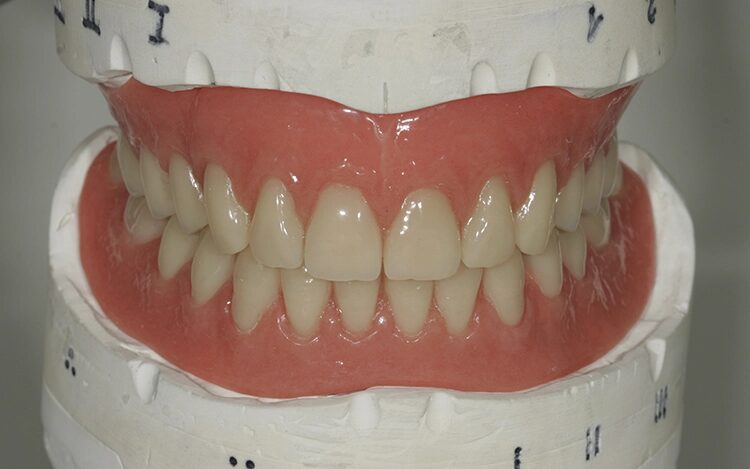
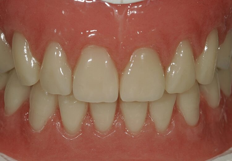
Mit eingesetzter Prothese zeigt sich im Oberkiefer von palatinal der weite Zungenraum, im Frontzahn- und Prämolarenbereich, Molarengebiet und Tuber eine breitere Auflage, um eine sichere Abstützung zu gewährleisten (Abb. 113). Im Unterkiefer sind die Lingualflächen im Seitenzahngebiet konkav gestaltet, im Frontzahngebiet bestand aufgrund der Implantatlage bzw. Platzverhältnisse kein Spielraum zur anatomischen Gestaltung (Abb. 114). Wie gewünscht wurde die Zahnfarbe clean und hell gestaltet. Die Lateralen sind minimal herausgedreht und das Zahnfleisch natürlich gestaltet (Abb. 115). Auch im Unterkiefer wurde eine gleichmäßige Aufstellung mit nur minimaler Verschachtelung im Frontbereich gestaltet (Abb. 116).
Im Artikulator wird trotz der vorab beschriebenen Probleme eine gleichmäßige Verzahnung offensichtlich (Abb. 117). Leicht geöffnet zeigt sich doch etwas Leben (Abb. 118). In der Detailansicht werden die dezenten Abrasionen der oberen Schneidekanten nochmals deutlich sowie die Zahnfleischgestaltung und die Übergänge vom Zahn zum rosafarbenen Basiskunststoff (Abb. 119). Länge und Lippenfülle entsprechen den klaren und eindeutigen Vorstellungen der Patientin (Abb. 120). Die glückliche Patientin zeigt sich mit einem zufriedenen Lächeln (Abb. 121).
Nachwort
Sicherlich lassen sich derartige Versorgungen auch im EMF-Bereich fertigen. Aber trotz der derzeit exorbitanten Goldpreise fertigen wir derartige Arbeiten nach wie vor im Hochgoldbereich an. Die einzigartigen Materialeigenschaften mit sicherlich den längsten und positivsten Erfahrungen sprechen für sich. Durch gezielten, sparsamen Materialeinsatz und die Leichtbauweise dürfte ein vermeintlicher Preisunterschied zu entsprechenden Galvanokonstruktionen eher zu vernachlässigen sein.
Der Langzeiterfolg spricht jedoch klar für die Ausführung mit Gusslegierungen. Gerade im Teleskop-, Steg- und Riegelbereich sind die Anforderungen an das Material besonders hoch, die langfristige Funktion entscheidend. Wenn nur mit Implantaten gearbeitet wird, können die Kaukräfte im Gegensatz zu Pfeilerzähnen durch die fehlende Rückmeldung höher ausfallen. Dann muss ein Material gewählt werden, das langfristig dieser enormen Belastung standhält. Bei einer Ausführung rein aus EMF ist ohne Frage auch eine gute Langlebigkeit gegeben. Zudem können sicher die Materialkosten gesenkt werden.
Ob dies jedoch bezogen auf die Gesamtkosten (Chirurgie, Implantate, zahnärztliche und zahntechnische Versorgung) eine ausschlaggebende Rolle spielt, muss im Einzelfall betrachtet werden.
Fakt ist jedoch, eine derartige Passung und Ausführung ist im EMF-Bereich nicht möglich: Im Teleskopbereich werden eher unkontrollierte Klemmpassungen erreicht oder nur durch den Einsatz von zusätzlichen Friktionselementen überhaupt ein Halt erreicht.
Eine Saugpassung, wie eigentlich im Teleskopsystem erforderlich, haben wir persönlich noch zu keiner Zeit erlebt. Um eine ausreichende Hygiene zu gewährleisten bzw. mögliche Ablagerungen zu vermeiden, sollte eine bestmögliche Passung vorliegen. Mit Galvanokonstruktionen wird dies sicher mindestens initial gleichwertig erreicht. Jedoch halten wir die Materialeigenschaften gerade im Implantatbereich für langfristig nicht ausreichend. Ob eine derartige Konstruktion mit Galvanokäppchen auch noch nach Jahren problemlos funktioniert, wollen wir persönlich aufgrund der niedrigeren Härte infrage stellen. Zudem dürfte ein vermeintlicher Kostenvorteil tatsächlich nicht gegeben sein.
Materialien
Legierungen: Gerade bei abnehmbaren Arbeiten auf Implantaten bedarf es einer spezifischen Legierung. Die hochgoldhaltige Legierung Argenco Biolight (Argen) hat sich hierbei über viele Jahre als problemlos und bestmöglich in der Anwendung erwiesen. Speziell im Angussverfahren, das nicht unerhebliche Risiken und Fehlerquellen mit sich bringt, haben wir beste Erfahrungen gesammelt. Die Legierung entspricht ganz den Anforderungen im Teleskop-, Steg- und Implantatbereich, vor allem bei grazilen Konstruktionen.
Obgleich paladiumfrei, sind die physikalische Werte mehr als beeindruckend. Vor allem die sattgelbe Goldfarbe, das E-Modul und das Handling beim Fräsen und Polieren überzeugen. Nach wie vor fertigen wir Arbeiten im abnehmbaren Bereich nur mit hochgoldhaltiger Legierung. Gegenüber scheinbar günstigeren Alternativen wie EMF, Titan oder Zirkon sehen wir den unschlagbaren Vorteil im sicheren Langzeiterfolg, zugleich grazilerer Gestaltungsmöglichkeit und vor allem in der perfekten Passung.
Schleifkörper und Polierer: Mit den Fräsern der H364RGE-Serie (Brasseler) kann je nach Drehzahl eine hohe Schleifleistung oder eine relativ glatte Oberfläche erzielt werden. Zum groben, schnellen Vorfräsen, was gerade bei umfangreichen Stegarbeiten wichtig ist, eignen sich die Fräser der Serie H364RXE. Zum Ausarbeiten von Prothesenkunststoffen werden H251 ACR und H251 EQ Dualfräser eingesetzt. Die blauen Silikonpolierer bringen schnell und effizient einen schönen Mattglanz, der mühelos zum Hochglanz gebracht werden kann.
Konfektionsteile: Im Teleskop- und/oder Stegbereich kommen Tk-Snap- oder Tk-Fric-Elemente (Si-tec) erfolgreich zum Einsatz. Bei diesem Patientenfall wurde erstmals der konfektionierte Steckriegel Safe-tec II verwendet. Das Erstausstattungsset beinhaltet 2 Primärteile, 4 Platzhalter, 2 Riegel, 1 Parallelhalter und ein Verschraubungsinstrument. Das Primärteil ist in jeder Legierung gussfähig.
Der eigentliche Riegel besteht aus einem Sekundärteil aus Titan und einem austauschbaren Friktionsteil mit stufenloser Einstellbarkeit der Friktion. Es enthält eine Anschlagsicherung, d.h. versehentliches Herausziehen der Achse beim Gebrauch ist nicht möglich; zudem gibt es eine deutliche Arretierung in der Eingliederungsposition. Der Einbau, auch anhand der beigelegten Anleitung, gestaltet sich sehr einfach, die Funktion ist problemlos und der Platzbedarf mit einer Höhe von 3,0 mm gering. Gegenüber individuell gefrästen Riegeln können hier deutlich Kosten gespart werden bei gleichzeitig voller Funktionalität und zudem einfacher Austauschbarkeit im Reparaturfall.
Hilfsmaterialien: Das 1:1 Knetsilikon Platinum 85 (Zhermack) ist vielseitig einsetzbar. Die Verarbeitung ist sicher und einfach, die Detailtreue perfekt. Obgleich im Speedbereich angesiedelt, sind keine Nachteile beim Dubliersilikon Elite Double 22 feststellbar. Vielmehr besticht dieses mit einer sehr glatten und homogenen Oberfläche und spart durch kurze Abbindezeiten gleichzeitig unnötige Wartezeiten. Im Modellgussbereich wird die Elite Vest Cast Einbettmasse verwendet. Die Gussoberfläche ist perfekt, es besteht keine Neigung zu Gussperlen, Einschlüssen oder Gussfahnen und das Ausbetten wird durch die geringere Oxyneigung deutlich erleichtert. Mit der Elite Vest Plus lassen sich im Goldbereich sowohl im Guss- als auch im Angussbereich gute Ergebnisse erzielen.
Kunststoffmaterialien: Das Löffel- oder Bissschablonenmaterial C-Plast (Candulor) ist einfach und sicher in der Anwendung, die Verzugsneigung auch nach längerer Zeit äußerst gering. Gerade bei verschraubten Aufstellschablonen im Implantatbereich kann das ein großer Vorteil sein. Mit dem Aesthetic Autopolymerisat lassen sich bei perfektem Langzeitverhalten natürliche Farbtöne und eine dezente Aderung gestalten.
Entdecke CME Artikel
































Keine Kommentare.