Nicht nur als Provisorium – Hochleistungspolymere sind vielseitig
Petra Streifeneder-Mengele
Diese bestehen unter anderem z.B. aus Polyethylen (PE), Polypropylen (PP), Polyamid (PA), Polyetheretherketon (PEEK), Polyvinylidenfluorid (PVDF) oder Polyester (Nylon). Sie kommen je nach Anforderung und Kundenwunsch zum Einsatz.
Dabei verwende ich langjährig bewährte Hochleistungskunststoffe der Firmen DentalPlus, Bredent und den „Klassiker“ Valplast® von Weithas (Abb. 1). Diese Kunststoffe haben eines gemeinsam: Sie müssen im thermoplastischen Spritzverfahren hergestellt werden und erfordern eine analoge Arbeitsweise.
Je nach Indikation viele Pluspunkte
Die Vorteile bei der Verwendung liegen meines Erachtens bei der grazilen Basis-Gestaltung, den nahezu unzerbrechlichen und flexiblen Eigenschaften sowie der Möglichkeit, Haltekammern „unsichtbar“ oder zahnfarben anbringen zu können. Zudem sind die Kunststoffe gut verträglich und lösen keine Allergien durch chemische Zusatzstoffe aus. Meine Patienten beurteilen den daraus gefertigten Zahnersatz als angenehm und komfortabel.
Ein Nachteil besteht in der aufwendigen Herstellung und den damit verbundenen Kosten sowie der eingeschränkten Verbundfähigkeit bei Erweiterung oder Unterfütterung. Auch die Reinigung durch den Patienten und die Oberflächen-Politur sind, je nach Material, nicht immer einfach. Insgesamt haben sich die Kunststoffe jedoch bewährt. Außerdem eignen sie sich teils auch als permanente Lösung.
Die Zukunft der Klammerprothese – gefräst und gedruckt statt gespritzt?
Im Zeitalter der Digitalisierung stellt sich die Frage, welche Alternativen für den digitalen Workflow zu Valplast und Co. verfügbar sind. Auch hier stagniert die Entwicklung nicht: Auf dem Markt befinden sich bereits einige Produkte. Es gilt dabei, sehr sorgfältig abzuwägen, welches Zahnersatz-Material man einsetzt.
Denn abgesehen von den gesetzlichen Vorgaben durch das MDR (Medical Device Regulation) haben Zahnarzt und Zahntechniker eine Verantwortung gegenüber den Patienten. Daher und aufgrund möglicher allergischer Reaktionen und Unverträglichkeiten der Patienten beschäftige ich mich seit über 20 Jahren intensiv mit den Materialien in der Zahntechnik.
Leider stellt sich eine Versorgung bei Allergie-Patienten oftmals als schwierig heraus. Adäquater Ersatz scheitert nicht selten an der limitierten Materialauswahl. Hinzu kommt der Wunsch nach digitalen Lösungen.
Doch welche flexiblen Kunststoffe gibt es in der Frästechnik, die als Alternative dienen könnten? Vor allem für Patienten mit Materialunverträglichkeiten bieten die industriell hergestellten Ronden viele Vorteile.
Eine weitere Möglichkeit liegt im 3D-Druck-Verfahren, wobei noch nicht belegt ist, ob oder inwieweit die lichthärtenden Materialien im Vergleich zu den herkömmlichen Werkstoffen körperverträglicher sind. Ein Grund, weshalb ich auch bei der Schienenherstellung die Frästechnik nutze.
7 auf einen Streich – ein Material, das begeistert
In meinem Labor nutze ich seit vielen Jahren die Hochleistungskunststoffe von DentalPlus, worin mein Vertrauen in das neuere PET(Polyethylenterephthalat)-basierte Material „Eldy Plus®“ begründet liegt. Angeboten wird es sowohl in Kartuschen zum Spritzen als auch in verschiedenen Ronden zum Fräsen. Das hat meines Erachtens folgende Vorteile:
- Das Material lässt sich sowohl analog als auch digital verarbeiten,
- ist für Allergie-Patienten geeignet,
- bietet eine größere Auswahl an rosa- und zahnfarbenen Ronden,
- weist eine gute Verbundfähigkeit zu lichthärtenden Kompositen und Kaltpolymerisaten auf mithilfe eines PMMA-Bonders,
- gestattet, Originalzähne digital zu kopieren, zu fräsen und mit der ursprünglichen Form und Stellung nach der Extraktion in die Basis einzuarbeiten,
- besitzt ein breites Anwendungsspektrum (z.B. Schienen, Provisorien, Mock-ups, Ersatzprothesen auf Implantaten bzw. Sekundärkonstruktionen, metallfreie Klammergerüste, Teil- und Totalprothesen mit individuell konstruierten Ersatzzähnen),
- ist sehr gut polierbar und punktet neben den flexiblen Eigenschaften auch mit der notwendigen Stabilität und Bruchfestigkeit.
1. Fall – Volles Risiko
Der im Folgenden dargestellte Patientenfall begann mit der Herstellung einer kleinen einseitigen Klammer-Teilprothese. Die Patientin hatte bereits eine schwere allergische Reaktion auf eine marktübliche Prothese entwickelt. Ein paar Tage nach dem Eingliedern bekam sie mehrere Blutblasen an der Wangeninnenseite sowie der Lippe.
Außerdem litt sie unter starker Geschmacksirritation. Nachdem kein Materialnachweis vorlag und das Provisorium im Ausland gefertigt wurde, ist zweifelhaft, ob es sich um das sonst sehr gut verträgliche Originalprodukt handelte. Die Patientin bestand dennoch darauf, ein anderes Material zu verwenden.
Einen Verträglichkeitstest vorab lehnte sie kategorisch ab. Erschwerend kam hinzu, dass es sich um eine starke Würgerin handelte und die finanziellen Mittel eingeschränkt waren.
Ich bot an, einen Versuch mit einem gefrästen Polymer zu wagen und ihr mit den Kosten, aufgrund des „Pilotprojektcharakters“, entgegenzukommen. Bei einer Unverträglichkeit wäre es möglich gewesen, den Datensatz in einem anderen Polymer umzusetzen, um weitere Teilprothesen kostengünstiger herstellen zu können.
Das Ergebnis überzeugte
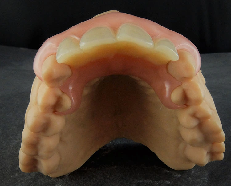
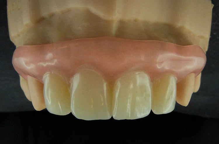
Die Basis wurde aus einer Eldy Plus® rosa 2 Ronde (DentalPlus) und die individuell konstruierten Zähne aus einer zahnfarbenen PMMA-Ronde (M-PM®-Disc, Merz) gefräst (Abb. 3). Danach wurden sowohl die Zähne als auch die Basis gebondet (Visio Link, Bredent) und mit einem lichthärtenden Verblend-Komposit (Crealign, Bredent) verklebt (Abb. 4). Die Patientin trägt den so gefertigten „Flipper“ seit Monaten und ist äußerst zufrieden.
Petra Streifeneder-Mengele
Petra Streifeneder-Mengele
Bereits beim Eingliedern empfand sie ihn als angenehm. Es traten weder Geschmacksirritationen noch anderweitige allergische Reaktionen auf. Das Provisorium hält und sitzt sehr gut, ohne dabei Druckstellen zu verursachen.
Flexible digitale Teilprothesen erfordern kreative zahntechnische Handlungsweisen
Auf diesen Fall folgte ein größeres Projekt. Bei diesem Patienten galt es, die Frontzähne von 12 bis 22 am Gipsmodell zu extrahieren. Er wünschte sich ein kleines Provisorium ohne Metallklammern.
Nachdem ich das Originalmodell erhielt und plante, die vorhandene Zahnform lediglich mit einer kleinen Stellungskorrektur zu kopieren, fiel die Entscheidung, weitestgehend digital zu arbeiten. Zum einen, um die Situation für die definitive Versorgung zu „konservieren“, zum anderen, um keine zusätzliche Silikon-Dublierform erstellen zu müssen und um den rein digitalen Weg zu testen.
Petra Streifeneder-Mengele
Petra Streifeneder-Mengele
Petra Streifeneder-Mengele
Petra Streifeneder-Mengele
Petra Streifeneder-Mengele
Petra Streifeneder-Mengele
Petra Streifeneder-Mengele
Petra Streifeneder-Mengele
Petra Streifeneder-Mengele
Petra Streifeneder-Mengele
Petra Streifeneder-Mengele
Petra Streifeneder-Mengele
Petra Streifeneder-Mengele
Petra Streifeneder-Mengele
Petra Streifeneder-Mengele
Petra Streifeneder-Mengele
Petra Streifeneder-Mengele
Petra Streifeneder-Mengele
Petra Streifeneder-Mengele
Petra Streifeneder-Mengele
Petra Streifeneder-Mengele
Petra Streifeneder-Mengele
Petra Streifeneder-Mengele
Petra Streifeneder-Mengele
Petra Streifeneder-Mengele
Petra Streifeneder-Mengele
Petra Streifeneder-Mengele
Ein Material für viele Fälle
Petra Streifeneder-Mengele
Ein weiterer Vorteil: Die selbst gefertigten Zähne entsprechen bereits der individuellen Form. Sie müssen nicht lange angepasst und eingeschliffen werden. Man kann zudem die unterschiedlichsten Ronden verwenden.
Indem man die Ersatzzähne selbst herstellt, reduzieren sich die Kosten für die Lagerhaltung und den Versand der konfektionierten Zähne. Außerdem benötigt man keinen Vorwall, denn die Zähne passen exakt in die Basis.
Das beschleunigt die Fertigung deutlich (Abb. 33 bis 35). Ein weiterer Anwendungsbereich erschließt sich in der Schienenfertigung – auch dafür kommt das neue Material bereits in meinem Labor zum Einsatz (Abb. 37 und 38).
Petra Streifeneder-Mengele
Petra Streifeneder-Mengele
Petra Streifeneder-Mengele
Petra Streifeneder-Mengele
Petra Streifeneder-Mengele
Petra Streifeneder-Mengele
Fazit
Das vielseitig einsetzbare Material „Eldy Plus®“ hat sich bei mir bewährt und etabliert. Die Patienten empfinden es als angenehm zu tragen und zu pflegen. Es besitzt flexible und stabile Eigenschaften, die über die Ausdehnung und Dimensionierung des Materials noch individuell eingestellt werden können.
Kleinere, bruchgefährdete Versorgungen (z.B. auch Langzeitprovisorien) lassen sich stabil und sicher herstellen. Durch Abstrahlen und Bonden entsteht eine sehr gute Verbundfähigkeit zu herkömmlichen Polymerisaten. Das macht das Material absolut „alltagstauglich“ und erlaubt auch im Nachgang noch Änderungen vorzunehmen.
Insgesamt stellt es für mich eine echte Alternative zu den analog hergestellten thermoplastischen Materialien dar. Vor allem für die Anfertigung der kleinen 1- bis 3-zähnigen Provisorien wird es in meinem Labor oft eingesetzt und treibt so den Paradigmenwechsel in Richtung CAD/CAM-Herstellung weiter voran.
Bildquellen sofern nicht anders deklariert: Unternehmen, Quelle oder Autor/-in des Artikels
Entdecke CME Artikel






Keine Kommentare.