Der hier vorgestellte Patient verfügt im OK noch über vier und im UK über sieben gesunde Zähne. Seine bisherige Versorgung war insuffizient geworden, außerdem entsprach sie nicht mehr seinen ästhetischen Vorstellungen. Eine einfache Implantatlösung war wegen zu geringen Knochenvolumens nicht möglich, aufwendige Chirurgiemaßnahmen kamen für ihn nicht infrage. Einer abnehmbaren Teleskopprothetik stimmte er aber zu … wenn sie sich denn vollständig metallfrei realisieren ließe. Dem Wunsch konnte mithilfe des keramikgefüllten Polymerwerkstoffes PEEK (fräsbares Bio HPP, Bredent, Senden) entsprochen werden. Eine solche Versorgung ist eine reine Privatleistung.
PEEK und Metall als dentale Gerüstwerkstoffe
Für PEEK als dentalen Gerüstwerkstoff gibt es klinische Erfahrungen [1–3], jedoch noch keine klinischen Langzeitstudien – aber wir kennen wichtige Eigenschaften und können mit Metall vergleichen.
PEEK:
Zug-E-Modul nach ISO 527: 3.600 MPa Biegefestigkeit nach ISO 178: 170 MPa Härte: Shore (A/D) oder Rockwell (R/L/M) M99 nach ISO 868, ISO 2039-2
Kobalt-Chrom
Für festsitzenden und herausnehmbaren Zahnersatz und andere Applikationen ziehen wir bei Einsatz metallischer Werkstoffe die Normen ISO 22674 und ISO 9693 heran.
Ist die CoCr-Legierung nach den Normen der ISO 22674:2006 hergestellt, weist sie eine Vickershärte von 285 HV10 und einen E-Modul von 240 GPa auf.
Durch diese Werte können CoCr-Legierungen die ISO-Anforderungen am ehesten erfüllen. Sie bieten den Vorteil hoher Starrheit bei gleichzeitig graziler Gestaltung. Dieser Legierungstyp wird seit mehr als 80 Jahren für herausnehmbaren Zahnersatz (Modellguss) verwendet. Mit ihrem E-Modul ist der Widerstand der CoCr-Legierung gegenüber elastischen Verformungen etwa doppelt so groß wie bei Edelmetall-Legierungen (etwa 100 GPa) und rund 67-mal so groß wie bei PEEK.
Gut zu wissen
Die recht neuen PEEK-Versorgungen werden als Sonderanfertigungen eingestuft und müssen die Anforderungen aus den für sie geltenden Bestimmungen des § 12 Abs. 1 i.V.m. § 7 MPG und i.V.m. § 3 Abs. 1 und § 4 Abs. 2, § 7 Abs. 5 der Medizinprodukte-Verordnung (M 3.1) erfüllen. Der Sonderanfertiger ist ein Hersteller i. S. von § 3 Nr. 15. Dazu gehören Zahntechniker. Der Gesetzgeber sagt: Ist man Sonderanfertiger, gilt für einen die Umkehr der Beweislast und der Sonderanfertiger, sprich der Hersteller des Zahnersatzes, muss in der Lage sein, sein gesamtes Produktionsverfahren gesetzeskonform darzustellen. Wer Unsicherheiten aus dem Wege gehen will, definiert die aus PEEK gefertigte Prothetik als temporäre Lösung (Langzeitprovisorium). Dies bedeutet, dass die Arbeit max. 30 Tage ununterbrochen im Mund verweilen darf. Handelt es sich um eine herausnehmbare Konstruktion, kann man den Patienten auf diese Weise recht lange versorgen, denn mit jeder Eingliederung fängt dieser temporäre Zeitraum neu an, auch wenn es sich um dasselbe Produkt handelt.
Pro medizinischen und dentalen Einsatz von PEEK wird als Argument die Knochenähnlichkeit angeführt, die sich auf die Biegefestigkeit, Druckfestigkeit und Härte sowie Elastizität und Bruchdehnung bezieht. Dafür sprechen darüber hinaus die geringe Wasseraufnahme, Säurebeständigkeit und darauf beruhende Körperverträglichkeit. Die Oberflächen erweisen sich als dicht und glatt – bieten also schlechte Bedingungen sowohl für die Plaqueanlagerung als auch den Abrieb. Nicht zuletzt blickt die Chirurgie nunmehr zwanzig Jahre auf den PEEK-Erfolg beim Ersatz von beispielsweise Gelenkpfannen oder Wirbelkörpern zurück.
Beim Design für dentale Anwendungen ist besonders auf Querschnitte zu achten: Gerüste müssen so stabil und verwindungssteif konstruiert sein, dass sie die Kaukräfte auf die Kronen und das Parodontium übertragen können, ohne sich zu verformen. Das von CoCr und Modellguss gewohnte Design kann nicht übernommen werden.
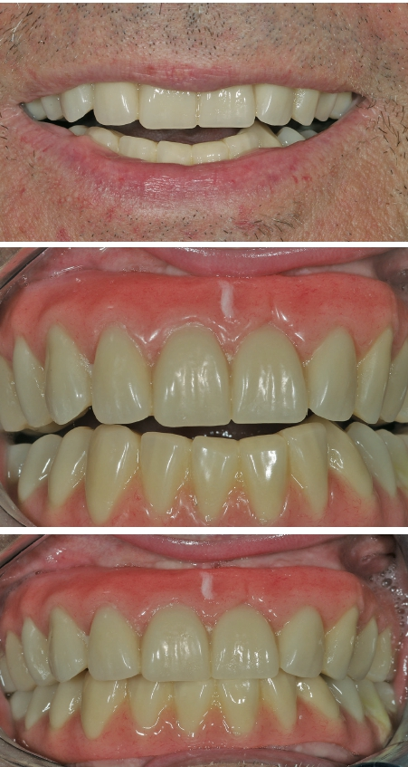
Verfolgen Sie nun die Entstehungsgeschichte einer PEEK-Versorgung bis zur Eingliederung. ZTM Horst-Dieter Kraus gibt hier seine persönlichen Erfahrungen an die Leser weiter. Er arbeitet seit Jahren mit PEEK. Ziel ist eine Prothetik, die gegenüber eingeführten Materiallösungen für den Patienten keinen spürbaren Unterschied in Ästhetik und Funktion macht.
Kraus
Kraus
Kraus
Kraus
Kraus
Kraus
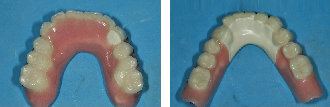
Auch darüber hinaus muss die Gestaltung PEEK-gerecht erfolgen. Das heißt konkret, dass im Unterschied zu einem klassischen CoCr-Modellguss Verstärkungen notwendig sind. Die Verbindungen zwischen den Sekundärkronen müssen für die Stabilität der Gesamtkonstruktion mitsorgen und dürfen auf keinen Fall grazil gestaltet werden. In diesem Fall wurde eine doppelte Schicht der Wachs-Ringretentionen, palatinal verstärkt, aufgelegt (linker Quadrant) und ein Wachs-Gusskanal mit 3,5 mm Durchmesser verwendet (rechter Quadrant).
Kraus
Kraus
Kraus
Kraus
Kraus
Kraus
Kraus
Kraus
Kraus
Nach der Umsetzung in PEEK sieht man: Die Stabilität und (Fast-) Vewindungsfreiheit des UK- und OK-Gerüstes wurden durch die linguale und palatinale Verstärkung und doppelte Schicht an Ringretentionen im Sattelbereich erreicht. Die Verbindung zwischen den Ringretentionen und Sekundärkronen ist massiv gestaltet. Der Patient wurde vor der Behandlung darüber aufgeklärt, dass es sich bei der gewünschten metallfreien Konstruktion nicht um eine 1:1-Analogie zum Metallgerüst handelt und das PEEK-Gerüst für die nötige Stabilität im Mundraum nicht grazil gestaltet werden kann. Dies wird PEEK-Patienten regelmäßig auch schriftlich vorgelegt und sie müssen die Kenntnisnahme unterschreiben. Sie unterschreiben ebenso, dass die Versorgung bei einem etwaigen Bruch des Gerüstes nicht reparabel ist. Es sei allerdings hinzugefügt, dass dieser Fall bei mir noch nie vorgekommen ist.
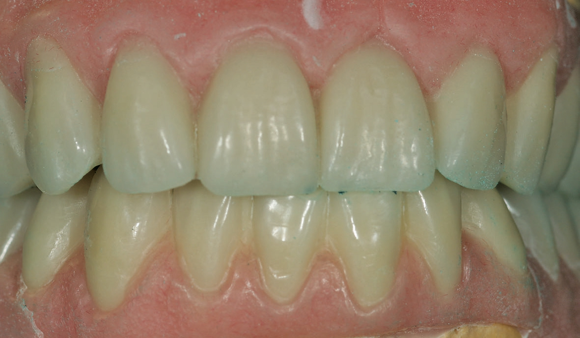
Die Schaffung von mechanischen Retentionen stellt eine zusätzlich nötige Maßnahme dar, um zu einem dauerhaften Verbund zwischen PEEK und Verblendung zu kommen. Zur dauerhaften Spaltfreiheit muss außerdem die gute Konditionierung der PEEK-Oberflächen erreicht werden. Dazu wird zuerst mit Korund abgestrahlt, dann folgen der Primer- und Opakerauftrag. Mit diesem Protokoll zeigen In-vitro-Versuche im Druck- Scher-Test mit vorbereiteten Probenkörpern Haftfestigkeitswerte von bis zu 40 MPa [4].
Auch die Verblendschalen müssen vorbereitet werden, wie rechts und auf den folgenden Bildern zu sehen ist.
Ich selbst bevorzuge Heißpolymerisat für die Befestigung. Bei Komposit kann es durch die bei PEEK nicht hundertprozentig zu erreichende Verwindungsfreiheit leichter zur Abscherung kommen. Allein beim Ein- und Ausgliedern der Prothetik entstehen Spannungen. Diese muss die Klebeverbindung aushalten.
Kraus
Kraus
Kraus
Kraus
Kraus
Kraus
Kraus
Kraus
Kraus
Kraus
Kraus
Kraus
Kraus
Kraus
Kraus
Kraus
Kraus
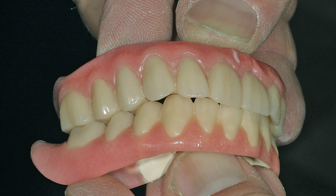
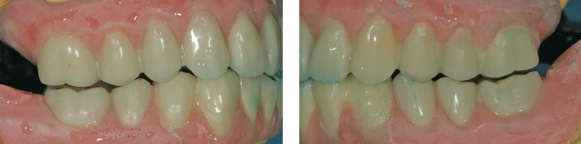
Eine solche Prothese ist sehr sinnvoll, da abnehmbare PEEK-Arbeiten regelmäßige Kontrollen und Service verlangen, um den Langzeiterfolg sicherzustellen. Besonders bei Freiendsätteln und langen Schaltsätteln sind regelmäßige Unterfütterungen (Kaltpolymerisat) erforderlich. Bei monatlichen Checks können PEEK-Prothesen, als Interim definiert, immer weiter getragen werden. Abb. 42–44: Die PEEK-Arbeit wird eingegliedert. Abb. 45: Nun sehen wir einen neuen Menschen vor uns.
Kraus
Kraus
Fazit
Seit Jahren beschäftigt sich mein Labor Oral Elegance ausführlich mit schwierigen Fällen. Dabei restaurieren wir auch in fast aussichtslos erscheinenden Fällen metallfrei … und erzielen mit PEEK teils erstaunliche Resultate. Wir erfahren, dass PEEK-basierte Versorgungen die Anforderungen gut erfüllen, sogar überraschend gut, wie ich finde. Zu Brüchen oder anderen gravierenden Schwierigkeiten ist es noch nie gekommen. Aus unserer Erfahrung heraus kann ich zudem berichten, dass sich das Material auch gut mit Keramik-Implantaten kombinieren lässt. Um den Erfolg sicherzustellen, muss man sich allerdings tief in das Gebiet einarbeiten, da Polyetheretherketon in seinen physikalischen und chemischen Eigenschaften weit vom lange gewohnten Gussmetall abweicht. Großes Augenmerk erfordert die adäquate Gerüstdimensionierung, ebenso die Frage der Befestigung von Verblendungen. Man muss wissen, dass sich nicht jedes Befestigungsmaterial bedenkenlos eignet, da auch dieses zum E-Modul und anderen Parametern passen muss. Wir gehen dem Kapitel der Kompositbefestigung aus dem Weg und verwenden Heißpolymerisat.
Fräsbares PEEK-basiertes Material lässt sich gut mit herkömmlichen Schritten kombinieren. Zum einen bereitet die anschließende Bearbeitung wie z.B. mit der Trennscheibe keine Probleme. Zum anderen kann, wie mein Zahnarzt und ich es befürworten, die Zahnaufstellung im Patientenmund vorgenommen und das Ergebnis zunächst in Wachs umgesetzt werden. Ein analoger Ablauf mit eingebetteten digitalen Abschnitten rund um das PEEK ist harmonisch; im Vordergrund steht unser zahntechnisches Wissen und die PEEK-Schritte ordnen sich in den Workflow ein. Mit einer individuellen, auf die Person und deren Wünsche ausgerichteten Zahnaufstellung und naturidentischer Farb-/Formgestaltung der gesamten Versorgung lässt sich so im reduzierten Gebiss eine stabile ästhetische Lösung finden – auch wenn sie metallfrei und ohne Implantate gewünscht ist.
Bildquellen sofern nicht anders deklariert: Unternehmen, Quelle oder Autor/-in des Artikels
Entdecke CME Artikel





Keine Kommentare.