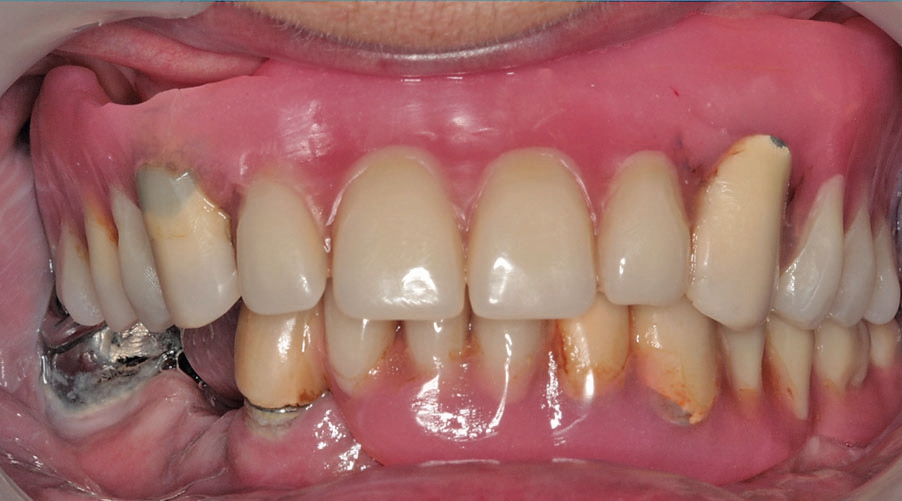
Eine 82-jährige agile Rentnerin stellte sich in der Zahnarztpraxis mit einer totalen Prothese im Oberkiefer vor. Außerdem befand sich im Unterkiefer eine defekte herausnehmbare Teleskopprothese auf den zwei Restzähnen 43 und 47. Bei der Erstuntersuchung wurde eine unzureichende Friktion der Teleskope festgestellt, zudem beklagte die Patientin den schlechten Halt der Totalprothese. Als weitere Diagnose wurde der Patientin ein abgesenkter Biss dargelegt (Abb. 10–12).


Die Planung
Der Rentnerin konnte eine einfache Rehabilitation des Oberkiefers auf vier Implantaten in Region 13–14, 16, 23–25 und 26 sowie die Versorgung des Unterkiefers auf zwei Implantaten in Region 33, 36 als auch den beiden verbliebenen Zähnen demonstriert werden. Für beide Kiefer sollten herausnehmbare teleskopierende Prothesen auf individuellen Abutments geplant werden. Zudem wurde ihr die einfache Anhebung des Bisses nach einer digitalen Kiefergelenksvermessung vermittelt.
Der Fall in Bildern
Für die Vermessung entschieden wir uns für zwei parallele Vorgehensweisen. Zum einen sollte die manuelle Vermessung mit dem Gerber-Stützstiftregistrat vorgenommen werden und zum anderen wurde die digitale Kiefergelenksvermessung mit dem zebris-System durchgeführt (zebris Medical, Isny; Deutschland-Vertrieb MANI SCHÜTZ, Rosbach). Ziel war es, die Ergebnisse hinsichtlich Genauigkeit und Passung sowie die weitere Verarbeitung im digitalen Herstellungsprozess zu vergleichen (Abb. 13–15).



Beim Vergleich der mit beiden Systemen ermittelten Kiefergelenksdaten ergaben die mit zebris gemessenen Werte eine etwas höhere Genauigkeit. Vorteilhaft war die weitere Verarbeitung der Werte im Artikulator. Hier stößt das Gerber- Stützstiftregistrat an seine Grenzen, die erhaltenen Daten können nicht in den digitalen Workflow mit eingebunden werden. Deshalb wurde das Stützstiftregistrat als Situation mit abgescannt, um eine Grundlage für die Gestaltung im virtuellen Raum zu erhalten (Abb. 16). Sowohl mit diesen Daten als auch den zebris-Werten folgte die Gestaltung des Zahnersatzes für die Ästhetik-Anprobe (Abb. 17–19). Nach der Patientensitzung starteten wir mit der Konstruktion der individuellen Abutments (Abb. 20–26).









Jetzt stand das Erzielen der tribologisch einwandfreien Passung des Sekundärgerüstes auf dem Primärteil im Vordergrund unserer Arbeit. Hierzu zogen wir den taktilen Scan heran, den wir im 1. Teil des Beitrages ausführlich beschrieben haben. Mit den ermittelten Daten aus dem optischen und taktilen Scan wurde nun unter Einbeziehung der oben beschriebenen Situation konstruiert, gefräst und einprobiert (Abb. 27–31).




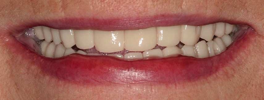
Die Sekundärgerüste passten wie erwartet, wir konnten uns der Verblendung, sprich: vornehmlich der Ästhetik, widmen (Abb. 32–39), ohne die ständige Überprüfung im Artikulator außer Acht zu lassen (Abb. 40). Die fertiggestellte Arbeit (Abb. 41) überzeugte auf den Modellen und konnte der Praxis für die Patientensitzung überstellt werden. Nach der Okklusionsüberprüfung in situ (Abb. 42) betrachteten alle Beteiligten das Erscheinungsbild im Mund, auch die Phonetik wurde noch einmal überprüft (Abb. 43). Die Patientin und die Zahnärztin zeigten sich sehr zufrieden (Abb. 44), und wir waren es auch.












Rückblick auf Eckpunkte
Die ermittelten Kiefergelenksdaten aus dem zebris-Kiefervermessungssystem konnten direkt in der Software zur digitalen Konstruktion der Versorgung mit eingebunden werden. Wir sehen das als großen Vorteil in unserem Labor im Vergleich zur Vermessung mit dem Gerber-Stützstiftregistrat.
Darüber hinaus zeigte sich uns wieder, wie effizient das Hinzuziehen des taktilen Scans ist. Die Gleitpassung zwischen Primär- und Sekundärteilen stellt sich schon systembedingt präzise ein und muss nicht aufwendig herbeigeführt werden.
Im Vorfeld wurde im Gespräch zwischen Zahnärztin, Patientin und uns die Mobilität der Patientin zur eigenen Ein- und Ausgliederung der Versorgung besprochen. Da die 82-Jährige noch sehr aktiv und agil war, auch im Umgang mit ihrem Zahnersatz, wurde eine hohe Haltekraft beschlossen. In der Software wurde der „feste Sitz“ der Prothesen eingestellt, um neben einer hervorragenden Passung eine sehr gute Adhäsion zu erzielen. Die Patientin hatte kein Fremdkörpergefühl im Mund, und der Biss stimmte sofort (Abb. 44): eine glückliche Patientin!
Behandelnde Zahnärztin: Wir danken Frau Dr. Elfriede Rupprecht, Zentrum für ästhetische Zahnheilkunde in Lich.
Weiterführende Links
Bildquellen sofern nicht anders deklariert: Unternehmen, Quelle oder Autor/-in des Artikels
Entdecke CME Artikel




Keine Kommentare.