Ende September nahm der Student, der gerade sein zahnmedizinisches Staatsexamen absolviert, die Ehrung aus den Händen von Siegmar Schwegler, Professional Service Manager Universitäten bei Dentsply Sirona, entgegen.
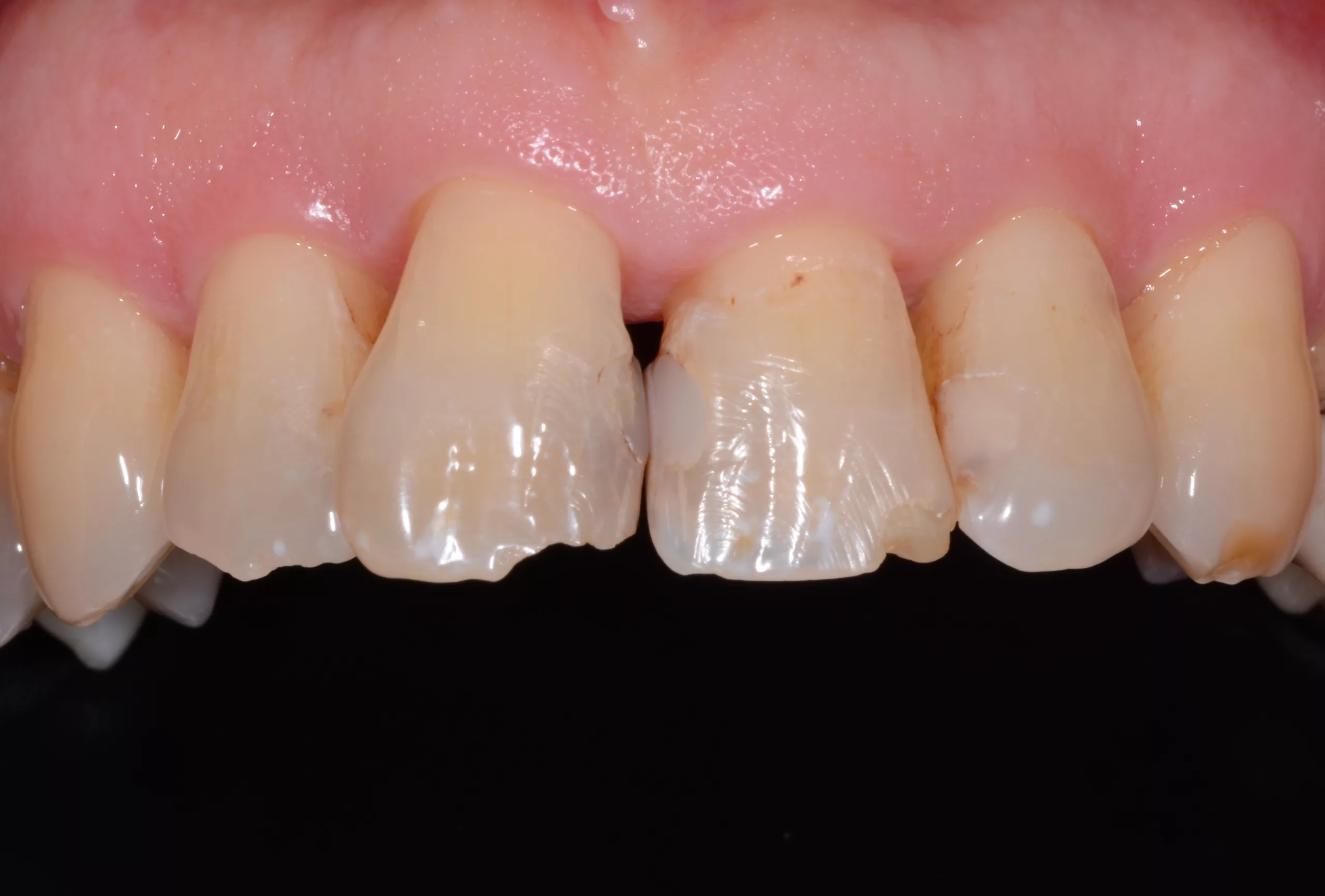
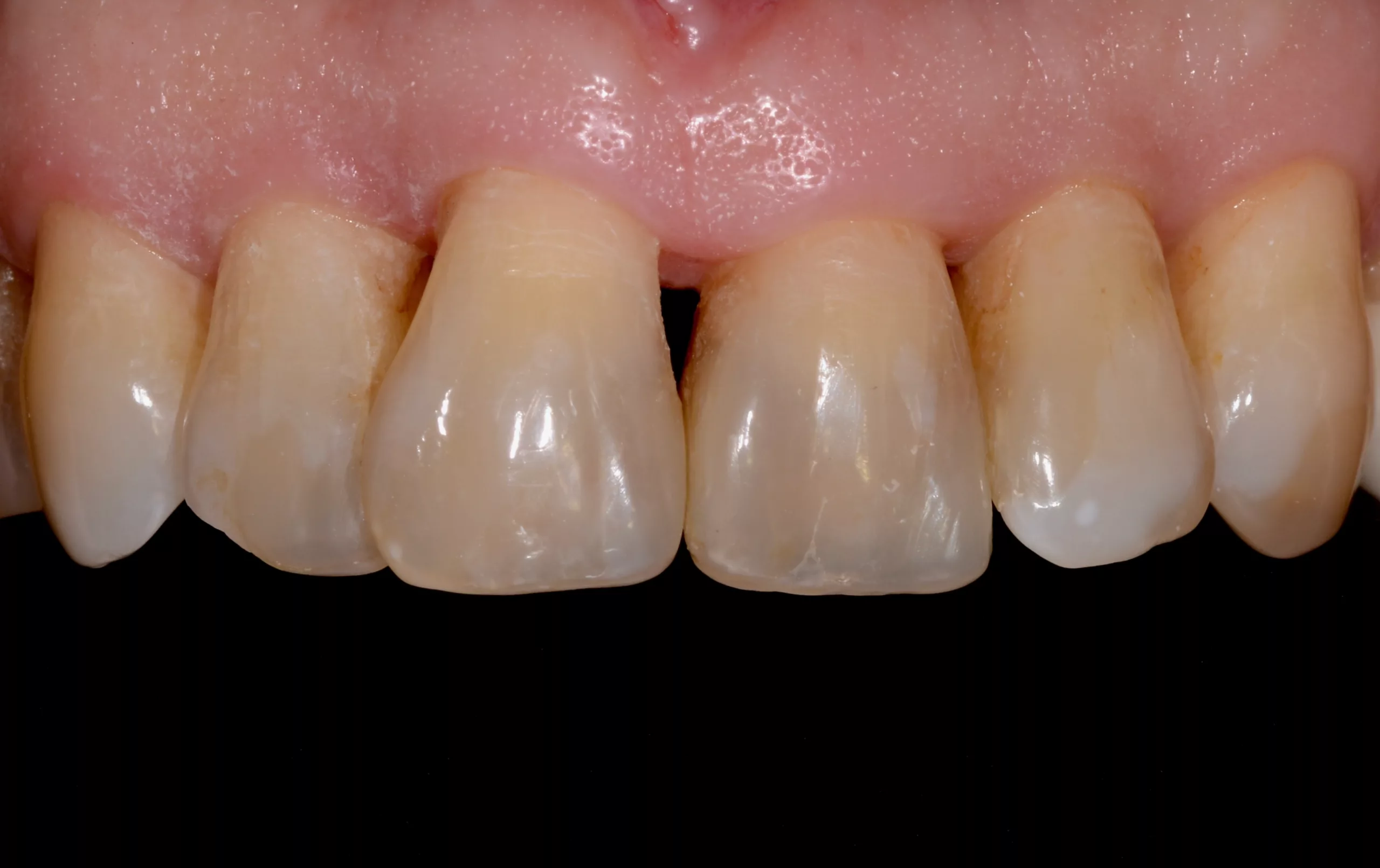
„Wir haben bei einem 58-jährigen Patienten die durch einen Motorrad-Unfall geschädigten oberen Schneidezähne rekonstruiert und dabei auch erneuerungsbedürftige Füllungen in der Oberkiefer-Front behandelt“, erklärt sein Tutor, Oberarzt Dr. Vlasios Goulioumis, vom Lehrstuhl für Zahnerhaltung und Präventive Zahnmedizin.
uni witten
uni witten
„Wir haben uns bewusst für einen Fall entschieden, der mitten aus der täglichen Versorgungsrealität gegriffen ist und einen Mann im „besten Alter“ mit parodontal vorgeschädigtem Gebiss betrifft.“ Herr Diekamp ergänzt: „Uns war es ein Anliegen, eine alters- und situationsgerechte Restauration in einem Gebiss zu zeigen, das bereits eine lange Gebrauchsperiode hinter sich hat.“ Das ist dem Preisträger eindrucksvoll gelungen.
„Wir sind sehr stolz darauf, mit Herrn Diekamp wieder einmal einen Spitzenplatz in diesem seit 2004/05 existierenden Wettbewerb zu stellen“, freut sich der Leiter des Departments Zahn-, Mund- und Kieferheilkunde der UW/H, Prof. Dr. Stefan Zimmer. „Statistisch betrachtet gelingt uns das jedes zweite Jahr. Das ist Ausdruck des hohen Niveaus der praktischen Ausbildung in unserem Studiengang und gleichzeitig Ansporn, uns weiter zu verbessern“.
Quelle:
Zentrale der Universität Witten/Herdecke
Universität Witten/Herdecke
Alfred-Herrhausen-Straße 50
58448 Witten, Deutschland
Bildquellen sofern nicht anders deklariert: Unternehmen, Quelle oder Autor/-in des Artikels
Entdecke CME Artikel






Keine Kommentare.