Anzeige

Moderne implantatprothetische Versorgung unbezahnter Kiefer in allen Knochenklassen

Sofortimplantation und -belastung

Moderne Implantologie geht nicht nur auf die individuellen Anforderungen der Patienten/-innen ein, sondern versorgt sie auch nach ihren Bedürfnissen. So wünschen sich immer mehr Menschen mit unbezahntem Kiefer festsitzenden Zahnersatz [1,2]. Für diese Patientengruppe stehen gemäß der aktualisierten S3-Leitlinie „Implantatprothetische Versorgung des zahnlosen Oberkiefers“ Sofortversorgungskonzepte zur Verfügung, die sich auf mindestens 4 Implantate stützen [2].

. Dr. Dr. D. Hützen
.
.

In der Praxisklinik in Mülheim an der Ruhr hat sich die Kombination des Sofortversorgungs- und -belastungskonzepts „Fest-auf-4®“* bewährt. Ein Trend zeichnete sich in den vergangenen 10 Jahren deutlich ab: Die Zahl der registrierten Sofortversorgungsprozeduren stieg um das 3-Fache an [3].

Sie gelten als sicher und liefern ähnliche klinische Langzeiterfolge wie konventionelle Implantatversorgungen [4,5,6,7] bei großem Mehrwert für den/die Patienten/-in. Dank des einzeitigen, minimalinvasiven Eingriffs ohne Knochenaufbau inklusive Fertigung und Eingliederung provisorischer Implantatprothetik können sie innerhalb eines Tages Ästhetik, Kaufunktion und Aussprache verbessern.

Zudem treten weniger Komplikationen wie Schwellungen und Schmerzen auf. Diese Art der Versorgung ist darüber hinaus häufig kostengünstiger als implantatprothetische Standardverfahren.

Basierend auf 4 Implantaten

Konzepte wie „Fest-auf-4®“ knüpfen an umfassende Erfahrungswerte von „All-on-4®“ (Nobel Biocare [8]): Nach Informationen des Unternehmens konnten damit bereits über 250.000 Lächeln bei zahnlosem Kiefer mit der Insertion von 4 Implantaten (2 anterior axial, 2 posterior anguliert) mit der Möglichkeit sofortiger Belastung wiederhergestellt werden [9]. So schützt dieses Behandlungskonzept ebenso wie das Pendant „Fest-auf-4®“ sensible Strukturen wie die Kieferhöhle oder Bereiche mit Nervenaustritt und nutzt das ortsständige Knochenangebot optimal.

Die Positionierung der angulierten Implantate ermöglicht eine maximale Abstützung, weshalb auf größere Augmentationen meist verzichtet werden kann. Grundsätzlich gelten hier aber dieselben Indikationen und Kontraindikationen wie für allgemeine Implantatbehandlungen. Dabei ist das techniksensitive Verfahren nach strenger Patientenselektion zum einen nur implantologisch erfahrenen Behandlern/-innen zu empfehlen und zusätzlich chirurgisch tätigen Kollegen/-innen mit deutlich prothetischer Ausrichtung.

Denn die prothetische Planung und Umsetzung ist für den chirurgischen Eingriff sowie Erfolg von entscheidender Bedeutung und prothetische Maßnahmen, u.a. eine Gesichtsbogenübertragung und die Bestimmung der Bisslage, sind in jedem Fall bei der Umsetzung notwendig. Mit diesem Konzept ist Flexibilität gegeben. Nach einer Abheil- und Einheilzeit von 4 Monaten wird in den meisten Fällen der definitive festsitzende Zahnersatz hergestellt – eine verschraubte Brücke.

Es ist aber auch eine herausnehmbare teleskopierende Brücke möglich, falls vom Patienten gewünscht. Weiterer Vorteil: Von einer festsitzenden Versorgung kann nach einigen Jahren noch auf eine herausnehmbare Versorgung gewechselt werden. Bei diesem Verfahren ist allerdings der erste, sofortige Zahnersatz immer festsitzend.

Hohe Primärstabilität – ein Muss

Seit 2005 wird „Fest-auf-4®“ als Konzept für Sofortimplantation und -belastung als Standardtherapie vom Autor angewendet, heute vor allem in Kombination mit dem Implantat „Axiom X3“ von Anthogyr**. Dieses Modell stellt eine Weiterentwicklung auf der Grundlage fast 15-jähriger klinischer Anwendung des Axiom Implantatsystems dar. Es wurde vor allem für eine feste Verankerung in allen Knochenqualitäten mit breitem Indikationsspektrum konzipiert.

Besonders die hohe Primärstabilität und das Implantatdesign mit einem „aggressiven“ Gewinde ermöglichen verlässliche Ergebnisse und ein verbessertes Knochenmanagement bei mehr Effizienz. Das ist zum einen aufgrund der stark unterdimensionierten Implantatbettaufbereitung möglich – verglichen mit einem klassischen Bohrprotokoll kann mit diesem Implantat bis zu 52% mehr Knochensubstanz erhalten werden [10]. Zum anderen lässt es sich mit dem scharfen Gewinde im Sinne eines Osteotoms verwenden.

Zum Einbringen wird nicht das Winkelstück, sondern der Schraubendreher benutzt. Der Knochen wird bei Insertion mit dem Schraubendreher in der Achse bewegt und damit der ortsständige Knochen gedehnt und verdichtet.

So lassen sich auch Bonespreading-Eigenschaften nutzen, wenn die Insertion nicht schablonengeführt ist. Oft kann so z.B. auf eine Anlagerungsosteoplastik und horizontale Augmentation verzichtet werden.

Ohne Gewindeschneiden

Das konische Implantatdesign besitzt 3 bidirektionale Schneidnuten. Sie reichen bis zum Apex und dienen dem leichteren Abtransport der Knochenspäne.

Axiom-Implantate sind mit Durchmessern von 3,4 bis 6,4 mm und Längen von 6,5 bis 18 mm erhältlich, was minimale Bohrprotokolle ermöglicht und ohne Gewindeschneiden auskommt. Die konische Verbindung und das Platform-Switching fördern ein sicheres Weichgewebemanagement.

Patientenselektion

In den meisten Fällen, bei denen der Autor dieses Konzept anwendet, besitzt der/die Patient/-in einen nicht erhaltungswürdigen Restzahnbestand. Bei konventionellen Verfahren müsste zunächst ein herausnehmbarer Zahnersatz angefertigt werden. Viele Patienten/-innen haben allerdings eine große Abneigung gegen herausnehmbaren Zahnersatz.

Daher leben solche Patienten/-innen oftmals jahrelang mit einem desolaten Restzahnbestand. Bei dem „Fest-auf-4®“-Verfahren werden die nicht erhaltungswürdigen Zähne entfernt, im gleichen Eingriff Zahnimplantate inseriert und diese sofort belastet.

Patientenfall

Ein 61-jähriger männlicher Patient mit sehr schlechtem Zahnstatus und dem Wunsch nach einer festsitzenden prothetischen Versorgung mit kurzer Behandlungsdauer zu moderaten Kosten wurde vorstellig. Die klinische Untersuchung und (3D-)Röntgenaufnahmen (OPG, DVT) belegten, dass sämtliche Zähne im Oberkiefer nicht mehr erhaltungswürdig waren und extrahiert werden mussten (Abb. 1a und b), im Unterkiefer war die Extraktion von 2 Zähnen erforderlich.

Abb. 1a: Ausgangssituation: Lächeln eines 61-jährigen Patienten mit dem
Wunsch nach einer festsitzenden Versorgung (Sofortversorgungskonzept). Dr. Dr. D. Hützen
Abb. 1a: Ausgangssituation: Lächeln eines 61-jährigen Patienten mit dem Wunsch nach einer festsitzenden Versorgung (Sofortversorgungskonzept).
Abb. 1b: Frontaufnahme der klinischen Ausgangssituation mit desolatem Zustand
des Gebisses. Dr. Dr. D. Hützen
Abb. 1b: Frontaufnahme der klinischen Ausgangssituation mit desolatem Zustand des Gebisses.

Das Vorgehen und die Sofortversorgungsoption wurde mit dem Patienten besprochen. Dabei wurden insgesamt 6 Implantate für den nun zahnlosen Oberkiefer vorgeschlagen („Fest-auf-4®“ plus 2), wobei 4 im Rahmen des Sofortbelastungs- und -versorgungskonzepts und 2 weitere posteriore Implantate inklusive beidseitigem externem Sinuslifts und Knochenaufbau konventionell inseriert werden und erst nach der Einheilzeit belastet werden sollten.

Die Ausdehnung des Zahnersatzes auf 6 Implantate hängt immer von der Ausdehnung der Kieferhöhle ab. Je weiter medial diese ist, desto kürzer ist die verschraubte Brücke auf den Implantaten. In der Regel kann eine Brücke von 16 bis 26 auf 4 Implantate eingegliedert werden.

Soll der spätere Zahnersatz – wie in diesem Patientenfall – auch die Zähne 17 und 27 ersetzen, abhängig von der Bezahnung im Gegenkiefer, ist die Insertion von Zahnimplantaten in regio 17 und 27 notwendig. Im weiteren Vorgehen wurden gemeinsam mit dem Patienten noch 2 zusätzliche Implantate inklusive Prothetik für den Unterkiefer geplant.

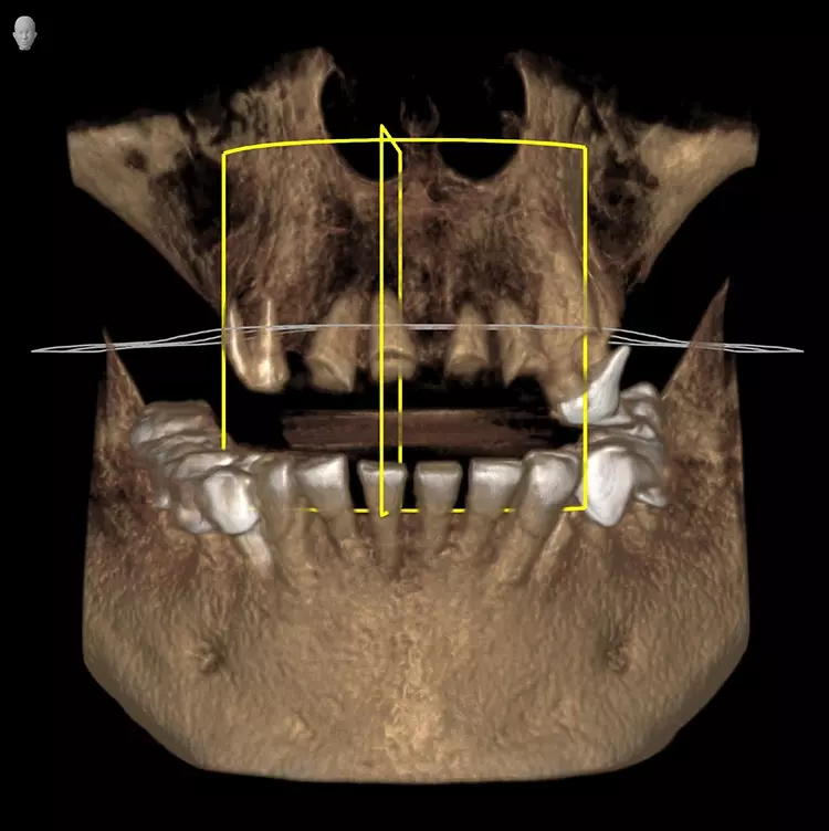
Abb. 2: DVT-Aufnahme und 3D-Planning der prothetischen Versorgung. Dr. Dr. D. Hützen
Abb. 2: DVT-Aufnahme und 3D-Planning der prothetischen Versorgung.
Im Anschluss erfolgte die detaillierte digitale Behandlungsplanung unter Einbezug der klinischen Untersuchung, von (3D-)Röntgenaufnahmen und des digitalen Abdrucks, bei der z.B. die exakte Position und die Neigung der Implantate im Kieferknochen bestimmt sowie Art und Größe der erforderlichen Implantate ausgewählt wurden (Abb. 2 und 3). Abbildungen 4 bis 6 dokumentieren Ausschnitte des chirurgischen Vorgehens. Die Extraktion der nicht erhaltungswürdigen Zähne wurde im November 2021 mit sofortiger Insertion der Implantate (4 Axiom BL X3-Implantate, Anthogyr; Implantat in regio 11 Ø4.0 x 12 mm; in regio 15 Ø4.6 x 14 mm; in regio 17 Ø4.6 x 10 mm; in regio 21 Ø4.0 x 12 mm; in regio 25 Ø4.6 x 14 mm; in regio 27 Ø4.6 x 10 mm) durchgeführt.
Abb. 3: Digitaler Abdruck der Ausgangssituation mit Hilfe eines 3D-Scans. Dr. Dr. D. Hützen
Abb. 3: Digitaler Abdruck der Ausgangssituation mit Hilfe eines 3D-Scans.
Abb.4: Implantatinsertion eines angulierten Axiom® X3-Implantates in die Extraktionsalveole
im Oberkiefer. Dr. Dr. D. Hützen
Abb.4: Implantatinsertion eines angulierten Axiom® X3-Implantates in die Extraktionsalveole im Oberkiefer.
Abb. 5: Überprüfen der korrekten Position der Implantate mit Hilfe einer Schablone,
die die spätere prothetische Versorgung simuliert. Dr. Dr. D. Hützen
Abb. 5: Überprüfen der korrekten Position der Implantate mit Hilfe einer Schablone, die die spätere prothetische Versorgung simuliert.
Abb. 6: Einheilkappen in situ im Oberkiefer des Patienten. Dr. Dr. D. Hützen
Abb. 6: Einheilkappen in situ im Oberkiefer des Patienten.

2 Implantate wurden anguliert im hinteren Bereich des Kieferknochens eingebracht und 2 weitere axial im Frontbereich, um eine möglichst ausgedehnte Abstützung zu erreichen und Gewebe, Nerven sowie Gefäße zu schonen. Bei den zusätzlichen 2 Implantaten im hinteren Bereich des Kiefers erfolgten ein externer Sinuslift sowie eine Knochenaugmentation mit konventioneller Insertion.

Die Implantatabutments wurden positioniert. Der korrekte Sitz wurde mit Hilfe einer Schablone überprüft (Abb. 5), die die spätere prothetische Versorgung simulierte und auch die Grundlage für die Bissregistrierung darstellte. Abbildung 6 zeigt die Einheilkappen in situ.

Die digital geplante Brücke wurde unter der Verwendung der Software exocad hergestellt und am Folgetag des Eingriffs auf 4 Implantaten eingegliedert (Abb. 7 und 8). Im Februar 2022 wurden die über die Versorgung im Oberkiefer hinaus geplanten Implantate im Unterkiefer gesetzt.

Abb. 7: Provisorische Brücke für die Sofortversorgung. Dr. Dr. D. Hützen
Abb. 7: Provisorische Brücke für die Sofortversorgung.
Abb. 8: Situation nach Abheilung mit eingegliederter provisorischer Brücke. Dr. Dr. D. Hützen
Abb. 8: Situation nach Abheilung mit eingegliederter provisorischer Brücke.

Nach guter Einheilung der sofort und konventionell gesetzten Implantate im Oberkiefer und Herstellung der definitiven Versorgung konnte diese im Mai 2022 auf insgesamt 6 stabilisierenden Implantaten befestigt werden (Abb. 9 bis 11). Abbildung 12 zeigt den sichtlich zufriedenen Patienten.

Abb. 9: Definitive Brücke zur Befestigung auf 4 Implantaten mit Erweiterung um
2 stützende Implantate. Dr. Dr. D. Hützen
Abb. 9: Definitive Brücke zur Befestigung auf 4 Implantaten mit Erweiterung um 2 stützende Implantate.
Abb. 10: Definitiver Zahnersatz in situ. Dr. Dr. D. Hützen
Abb. 10: Definitiver Zahnersatz in situ.
Abb. 11: Röntgenaufnahme 3 Monate postoperativ. Dr. Dr. D. Hützen
Abb. 11: Röntgenaufnahme 3 Monate postoperativ.
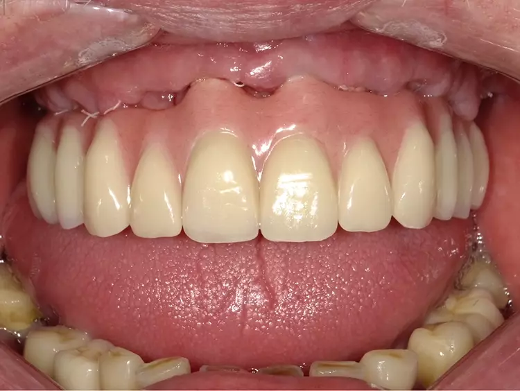
Abb. 12: Neue Ästhetik: Patient mit definitiver Versorgung mit einer festsitzenden
Brücke. Dr. Dr. D. Hützen
Abb. 12: Neue Ästhetik: Patient mit definitiver Versorgung mit einer festsitzenden Brücke.

Fazit für die Praxis

Der Patientenfall dokumentiert, dass sich bei zahnlosem Oberkiefer ein Sofortversorgungskonzept wie „Fest-auf-4®“ gut eignet. Auch wenn hier aufgrund der Kieferhöhlenanatomie 2 weitere unterstützende konventionelle Implantate hinzugefügt wurden, sind für eine festsitzende prothetische Versorgung grundsätzlich nur 4 Implantate notwendig. Dabei ist die Therapie sehr sicher und erreicht als Sofortversorgungskonzept vergleichbare Langzeiterfolge wie die konventionelle implantatprothetische Versorgung [4,5,6,7].

Zudem schätzen viele Patienten die damit verbundene verkürzte Behandlungsdauer, die geringeren Kosten und den sofortigen Gewinn an Lebensqualität durch eine Verbesserung von Ästhetik, Kaufunktion und Phonetik. Aber auch die Wahl des Implantats ist bei der Umsetzung dieses Konzepts entscheidend.

Hier hat sich in der Praxis das Implantatsystem „Axiom X3“ (Anthogyr) bewährt. Es liefert eine voraussagbare, hohe Primärstabilität, auch bei niedrigem Knochenangebot, und fungiert als Osteotom, was den chirurgischen Eingriff minimalinvasiver gestaltet und das Knochenmanagement verbessert.

Bildquellen sofern nicht anders deklariert: Unternehmen, Quelle oder Autor/-in des Artikels

Anzeige

Kommentare

Keine Kommentare.

No tags found.

Anzeige