|
Getting your Trinity Audio player ready...
|
Die Diskussion über das sinnvollste Okklusionskonzept wird bereits viele Jahrzehnte ausgetragen: In einer 1979 publizierten „Bestandsaufnahme“ an insgesamt 1.000 Patienten/-innen mit Klasse-I-Okklusion lag bei 14% eine Eckzahnführung und bei 46% eine Gruppenführung vor. Bei 16% beschrieb der Autor eine „progressive Disklusion“; 24% zeigten hingegen unterschiedliche Okklusionsmuster auf beiden Seiten [25].
Viele wissenschaftliche Arbeiten beschäftigten sich in den letzten Jahrzehnten weiter mit der Bedeutung einer Eckzahnführung und deren postulierten Überlegenheit im Vergleich zu einer Gruppenführung [38,44]. Bereits 1990 konnte in einer Literaturübersicht gezeigt werden, dass das Prinzip der Eckzahnführung gegenüber anderen Okklusionskonzepten wie der Gruppenführung nicht automatisch überlegen sein muss [44]. Dennoch favorisieren die meisten Autoren das Prinzip der Eckzahnführung [44].
Das alles stets „im Fluss“ ist und die Okklusion ein dynamisches System, zeigt hierzu sehr gut eine 2013 im Journal of Oral Rehabilitation veröffentlichte Übersichtsarbeit zu dem Thema [1]: Mit zunehmendem Alter (und somit auch mit zunehmender physiologischer Abrasion und Attrition) ändert sich die Eckzahnführung vermehrt in Richtung einer Gruppenführung.
Eine weitere Studie beschreibt, dass mit zunehmendem Alter die Prävalenz der Eckzahnführung sich zugunsten einer Gruppenführung ändert [1]. Interessant war in dieser Studie auch, dass bei Vorliegen einer Angel-Klasse II mehr eine Eckzahnführung anzutreffen ist, während bei der Angel-Klasse III vermehrt eine Gruppenführung beobachtet wird. Auch andere Autoren beschreiben die Reduktion der Prävalenz einer Eckzahnführung zugunsten einer Gruppenführung mit zunehmendem Alter [39,41]: Bei 14 bis17-jährigen Schulkindern dominierte mit 57% noch eine Eckzahnführung [3].
In einer pakistanischen Studie an 84 Probanden mit einem mittleren Alter von 23,9 +/- 3,27 Jahren zeigten 63% eine Eckzahnführung, und 37% eine Gruppenführung [42]. Abrasionsphänomene wurden hier bei 53% der Probanden in der Gruppe mit Gruppenführung vorgefunden, hingegen nur bei 15% der Probanden aus der Gruppe mit einer Eckzahnführung. Hieraus kann geschlossen werden, dass eine funktionierende Eckzahnführung vor weiterem Zahnverschleiß schützen kann.
Was somit für die älteren Patienten/-innen als physiologisch anzusehen sein dürfte, kann wiederum bei zu starken Parafunktionen bei jüngeren Patienten/-innen als behandlungsbedürftig angesehen werden, wenn deren Vertikale zu stark abgesunken ist. Clark und Evans schrieben hierzu auch, dass es mehr Sinn macht, eine für die Patienten/-innen funktionelle Okklusion anzustreben (zum Beispiel im Rahmen einer kieferorthopädischen Behandlung), als stets eine „ideale“ Okklusion anzustreben [6]. Ähnlich sieht dies auch die Arbeitsgruppe um Sidana [43].
In einer weiteren Übersichtsarbeit zu 26 ausgewählten Studien zu Okklusionskonzepten beschreiben die Autoren, dass die Patienten/-innen sich sehr gut an die Gruppen- bzw. Eckzahnführung adaptieren können. Auf lange Sicht waren weder Abstriche im Kaukomfort noch bei der Langlebigkeit der Restaurationen zu verzeichnen [2].
Ein Jahr zuvor (1989) erschien im Journal of Prosthetic Dentistry ein interessanter Beitrag zu elektropmyographischen Messungen an der Kaumuskulatur bei Trägern/-innen von Totalprothesen [36]: Diese zeigte geringere Aktivitäten in der Patientengruppe, deren Prothesen mit Eckzahnführung aufgestellt worden waren. Eine spätere Studie ergab, dass eckzahngeführt-aufgestellte Prothesen sogar mit besserem Halt im Unterkiefer, einem verbesserten ästhetischen Erscheinungsbild und verbesserter Kaufunktion einhergehen können [40]. Dies wird in einer 2013 publizierten Literaturübersicht zwar nicht ganz so euphorisch gesehen, aber dennoch die Funktion eckzahngeführter Totalprothesen als Anwendungsmöglichkeit bei Totalprothesen in der klinischen Anwendung bestätigt [45].
Die Bedeutung einer funktionierenden Front-Eckzahnführung im restaurativen Aspekt bei bezahnten Patienten/-innen wird u.a. in Fallberichten betont und demonstriert [29]. Schon vor über 20 Jahren erschien die Arbeit von Murray et al. [37], die erfolgreich Eckzahnaufbauten beschreiben konnten. Sie betonten, dass mit diesen restaurativen Maßnahmen Überbelastungen vermieden werden, weiterer Zahnhartsubstanzverlust durch Abrasion vermieden werden kann und auch bei dem Management einer CMD-Erkrankung unterstützen kann. Selbst Prämolaren könnten zur Not die Eckzahnführungsaufgabe übernehmen, wie ein kieferorthopädischer Fallbericht zeigt [30].
Der Aufbau abradierter Eckzähne mit Komposit, so wie im vorliegenden Beitrag gezeigt, wird auch von anderen Autorengruppen als 1. Maßnahme in der Rehabilitation von Abrasionsgebissen favorisiert [28]. Auch wenn von einer Autorengruppe ein Eckzahnaufbau aus Keramik gegenüber einem Kompositaufbau nach einer Finiten Elemente-Analyse als geeigneter angesehen wird [5], sprechen die klinisch-funktionellen Parameter als auch die klinische Erfahrung anderer Arbeitsgruppen mit derartigen Kompositaufbauten eindeutig für den direkten Weg – alleine auch schon aus Kostengründen [4,24,28].
Eine systematische Literaturübersicht zu dem Thema, die erst 2022 veröffentlicht wurde, bestätigte, dass im Prinzip keines der beiden Verfahren zur Bisserhöhung (direkt oder indirekt) wirklich als besser bezeichnet werden kann. Es bleibt somit, für den jeweiligen Patientenfall das günstigste Aufwand/Nutzen-Verhältnis zu ermitteln und dementsprechend zu behandeln [22,26].
Dass vertikale Bisserhöhungen mit Komposit selbst im gesamten Zahnbogen gut funktionieren können, zeigen in dem Zusammenhang z.B. mehrere Arbeiten international bekannter Arbeitsgruppen [4,34,31,35]. Hieraus folgte sogar ein europäisches Konsensuspapier in Form einer Leitlinie [32].
Zu guter Letzt liest man in einer hervorragenden Zusammenfassung zu den „10 beliebtesten Fehler in der Adhäsivtechnik“ von Frankenberger et al. aus dem Jahre 2022, quasi in einem Nebensatz: „…die Wiederherstellung einer suffizienten Front-Eckzahn-Führung mit minimalinvasiven Kompositaufbauten ist bei uns Standard, bevor im Seitenzahnbereich umfangreicher saniert wird“ [23]. Dieser Satz und die angeführte Literatur zeigen, dass derartige Kompositaufbauten in der Front und im Speziellen der Eckzähne klinisch funktionieren und wissenschaftlich abgesichert sind. Dies sollte Mut machen, diesen Therapieansatz ebenso zu verfolgen. Die folgenden Fallberichte zeigen beispielhaft den vom Autor gewählten adhäsiven Therapieansatz.
Patientenfälle
Fall 1: Zeitversetzte Neuversorgung der „social six“: erst direkte Eckzahnaufbauten, später Veneers auf den Schneidezähnen
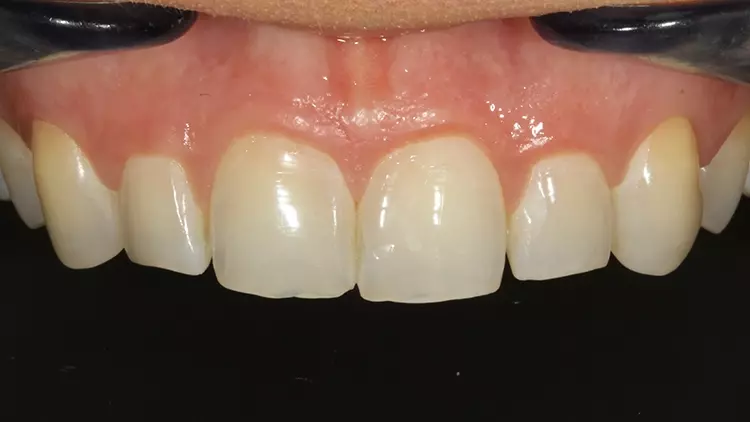
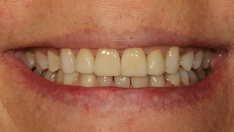
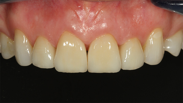
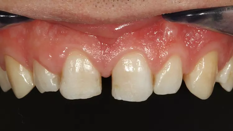
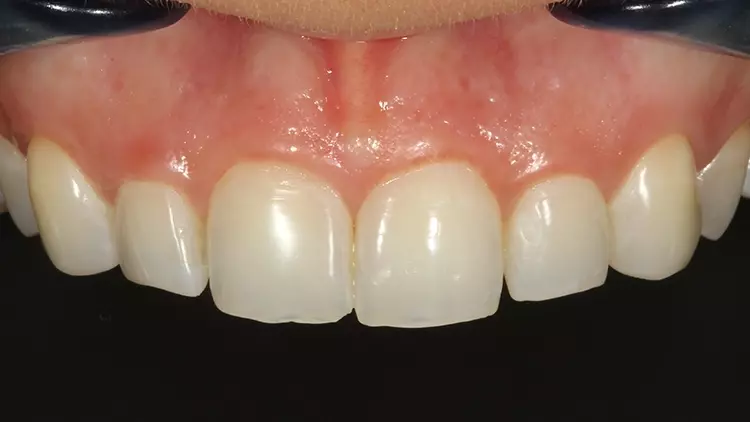
Die damals 57 Jahre alte Patientin stellte sich vor 4 Jahren mit dem Wunsch nach einer Verschönerung ihrer Frontzähne vor. Sie störten vorrangig die V-förmige Zahnform, die in die Jahre gekommenen Zahnhalsfüllungen, die braun-verfärbten Schmelzrisse und die zu kurzen Eckzähne. Die klinische Untersuchung ergab eine ausgeprägte Gruppenführung mit entsprechenden Schleifspuren inzisal-palatinal vorrangig an den oberen Eckzähnen.
Auf lange Sicht wünschte sich die Patientin eine Veneerversorgung ihrer Frontzähne. Nach eingehender Beratung und Aufklärung über mögliche Restaurationsmaßnahmen wurde ihr geraten, nur die Schneidezähne mit Veneers versorgen zu lassen – die Eckzähne hingegen mit direkten Kompositaufbauten, da diese von der Form gefällig erschienen; lediglich der inzisale Substanzverlust fiel unangenehm auf.
Der Patientin wurde geraten, zunächst über einen Aufbau der Eckzähne eine suffiziente Eckzahnführung aufbauen zu lassen und erst zu einem späteren Zeitpunkt die Veneerversorgung der Schneidezähne in Angriff zu nehmen. Dieses Procedere erschien ihr schlüssig und sie willigte in das Therapiekonzept ein.
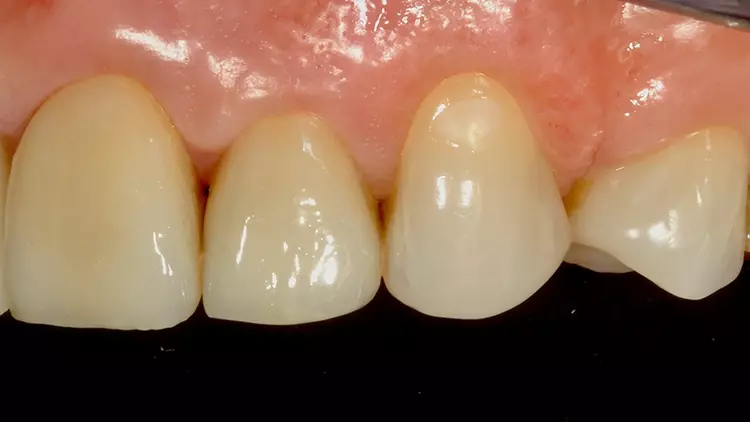
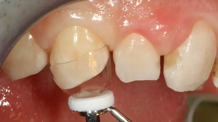
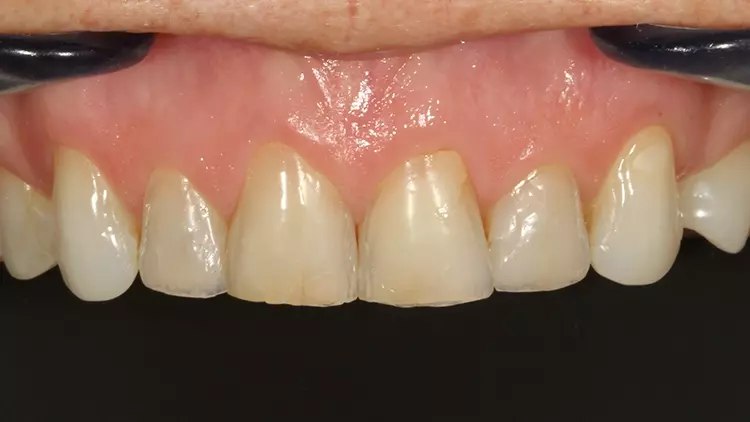
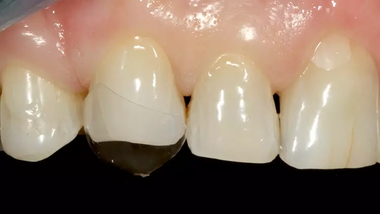
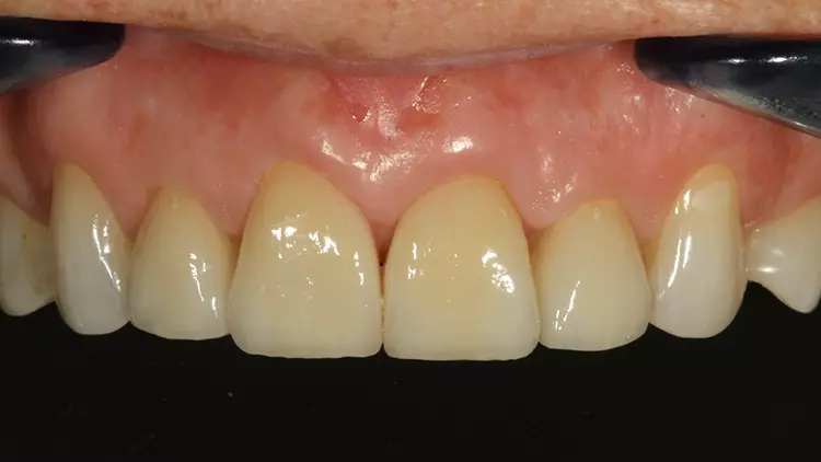
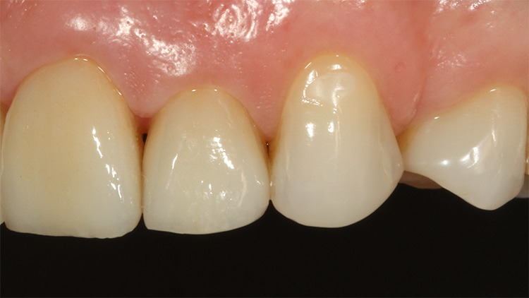
Die Abbildungen 1 und 2 verdeutlichen sehr gut den immensen inzisalen Substanzverlust der beiden oberen Eckzähne: Regulär hätte der Eckzahn jeweils die Länge des mittleren Schneidezahnes. Als alleinige Präparation erfolgte lediglich ein Brechen der Kanten, eine Abrundung der gesamten Klebefläche sowie ein Anfrischen der palatinal gelegenen Abrasionsflächen. Zur Formgebung dienten individuell angepasste Frasaco-Strip-Kronen (Frasaco GmbH, Tettnang) [8,10,19].
Autor/-innen
Autor/-innen
Autor/-innen
Bei adhäsiven Restaurationen stellt sich immer wieder die Frage, ob hier eine absolute Isolierung des Arbeitsfeldes mit Kofferdam zwingend erforderlich ist. Die Frage wird heute eher pragmatisch als dogmatisch behandelt [23]: Eine Kontamination ist auf jeden Fall zu vermeiden – eine relative Trockenlegung ist allerdings in sehr vielen Fällen genau so effizient wie die absolute.
Gerade im Frontzahnbereich konnte nach einer Meta-Analyse die Verwendung eines Kofferdams zu keinen besseren Ergebnissen bei direkten Kompositversorgungen führen [27]. Somit galt hier folgende Risikoabwägung:
- Die Klebeflächen waren weit weg von jedem kontaminationskritischen gingivalen Bereich.
- Es bestanden gesunde gingivale Verhältnisse: Eine spontane Blutkontamination war somit ausgeschlossen.
- Die Lippen konnten hervorragend mit einem Foto-Abhalter (Spandex, Hager & Werken) weggehalten werden.
- Die Patientin zeigte keinerlei motorische Unruhe und hatte ihre Zunge vollständig unter Kontrolle.
Somit sprach nichts gegen die Versorgung unter relativer Trockenlegung. In allen hier vorgestellten Fällen kam konsequent ein Mehrflaschen-Adhäsivsystem (Optibond FL, Kerr) zur Anwendung.
Da jeweils palatinal Dentin frei lag, war die zusätzliche Anwendung des Primers erforderlich. Die Abbildungen 4 und 5 zeigen über das aufgebrachte Ätzgel den konditionierten Bereich (Conditioner 36, Dentsply Sirona). Die Approximalflächen der Nachbarzähne waren durch approximal inserierte Frasacostreifen-Stücke vor ungewolltem Anätzen optimal geschützt.
Autor/-innen
Autor/-innen
Zum Aufbau der Schneidekanten mag man jetzt an komplexe Schichttechniken denken [15]. Die Erfahrung zeigt allerdings, dass bei dem Komplettaufbau von Eckzähnen die Verwendung einer Universalfarbe völlig ausreichend ist und unkompliziert den gewünschten ästhetischen Effekt erzielen mag:
- Eckzähne zeigen nie transluzente Inzisalbereiche – deswegen ist die Verwendung einer separaten Schmelzmasse nicht erforderlich.
- Eckzähne sind in oro-vestibulärer Richtung sehr massiv: Demzufolge reicht die universelle Opazität der Universal-/Body-/Core-Farbe völlig aus, um ein Durchscheinen der dunklen Mundhöhle zu vermeiden – deswegen ist die zusätzliche Verwendung einer opaken Dentin-Masse ebenfalls nicht erforderlich. Somit kann der Aufbau nach dem Prinzip „keep it simple“ erfolgen.
Die Wahl des Komposites fiel im vorliegenden Fall auf Ceram.X Spectra ST HV in der Farbe A3 (Dentsply Sirona). Um die Applikation des Komposites zu erleichtern und um ein Reißen der Frasaco-Strip-Kappe zu vermeiden, macht es Sinn, das Komposit unmittelbar vor der Anwendung anzuwärmen. Hierzu kam das Calset-Vorwärmöfchen (AdDent Inc., Danbury, CT, USA) zur Anwendung: Die zu verwendenden Compules wurden ca. 5 Min. vor der Applikation in das Öfchen eingelegt und die Vorwärmtemperatur auf die höchste Stufe eingestellt.
Autor/-innen
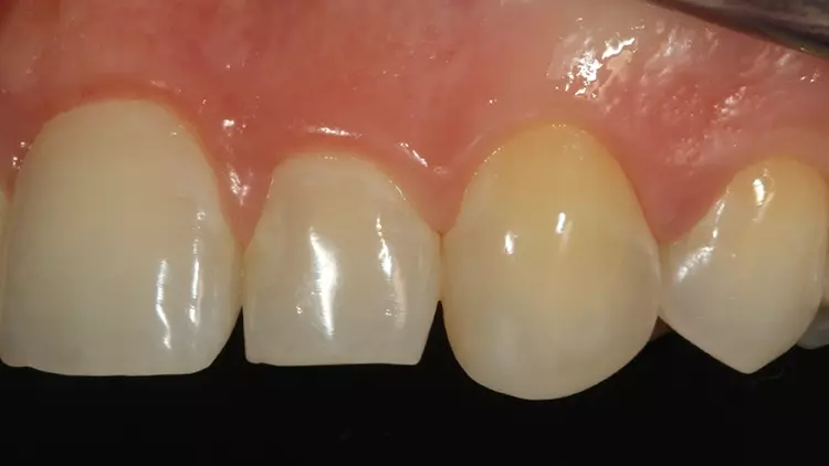
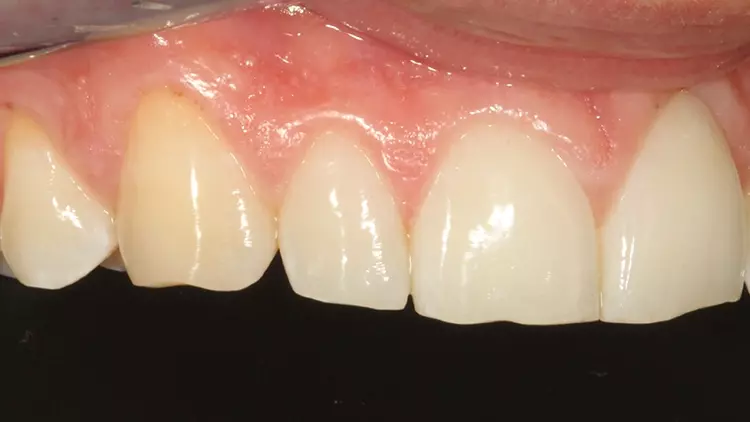
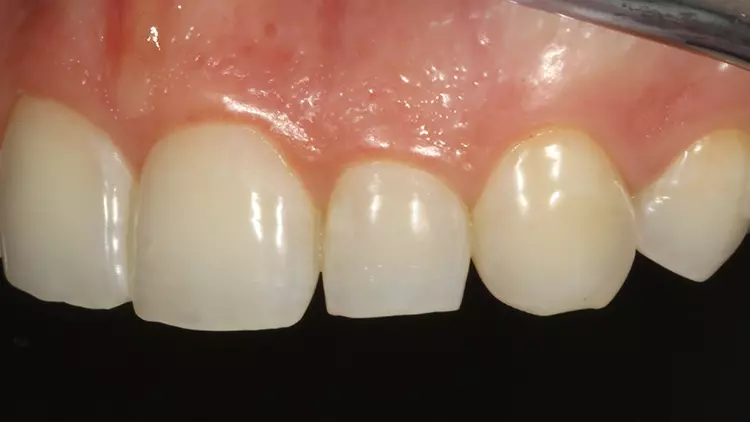
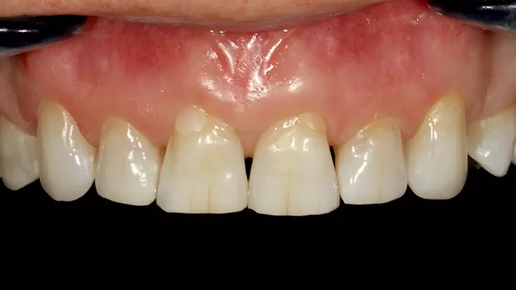
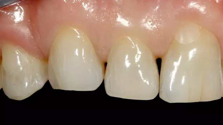
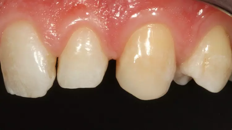
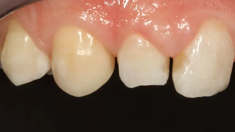
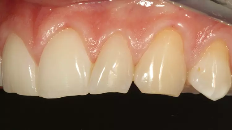
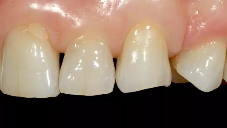
Die Abbildung 7 illustriert die klinische Situation unmittelbar nach Abnahme der Frasaco-Strip-Krone an Zahn 13, die Abbildungen 8 bis 10 unmittelbar nach Ausarbeitung und Politur mittels spezieller Komposit-Hartmetall-Finierer (H48 LQ, Komet), flexibler Scheiben (Soflex Pop-On TX orange, 3M) und speziellen Komposit-Polierern (Diacomp Plus Twist DT-DCP10m und DTDCP10f, EVE) und die Abbildungen 11 bis 13 bei einer weiteren Nachkontrolle nach 1 Jahr.
Autor/-innen
Autor/-innen
Autor/-innen
Autor/-innen
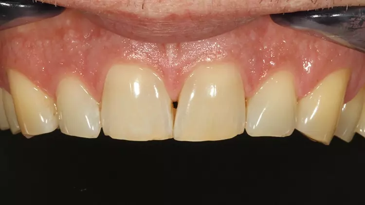
Ein weiteres Jahr später entschied sich die Patientin dann, die ursprünglich geplante Veneerversorgung anzugehen: Die Eckzahnaufbauten waren nach wie vor stabil, zeigten weder Abrasionsdefekte noch irgendwelche Verfärbungen. Die Patientin kam mit der direkt aufgebauten Eckzahnführung sehr gut zurecht.
Autor/-innen
Autor/-innen
Autor/-innen
Autor/-innen
Autor/-innen
Autor/-innen
Autor/-innen
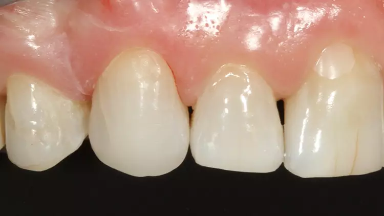
Am Zahn erfolgte nach Kofferdamisolierung (hier aufgrund der Nähe zur Gingiva durchaus eine gute Idee) im nächsten Schritt ein Abstrahlen der Klebefläche am Zahn mit 50 μm Aluminiumoxid (Rondoflex, KaVo). Nach Phosphorsäurekonditionierung der gesamten Klebefläche kam ebenfalls Optibond FL als Adhäsiv zum Einsatz. Entgegen der Gebrauchsanweisung wurde die Schicht Adhesive auch hier nicht polymerisiert.
Die jeweils vorbehandelte Schale wurde dann mit Variolink Esthetic LC (Vivadent) in der Farbe „warm“ eingesetzt. Da es sich um eine rein lichthärtende Befestigung handelt, wurde pro Schale mindestens 60 Sek. von labial und zusätzlich 60 Sek. von lingual gehärtet.
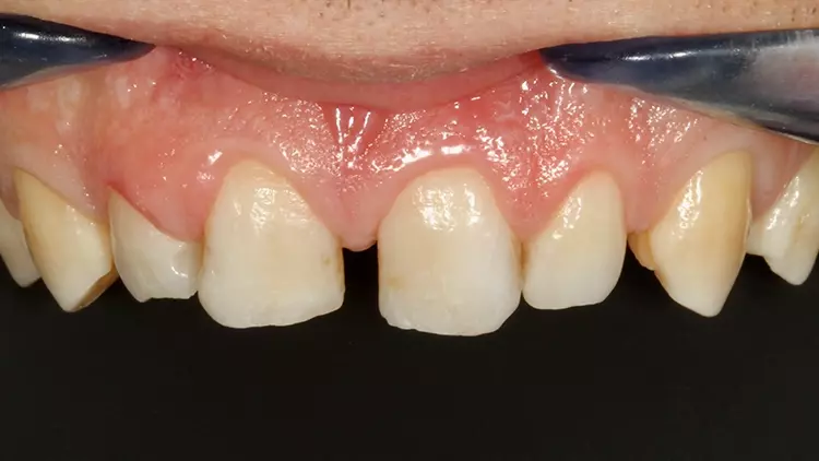
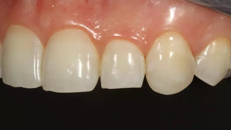
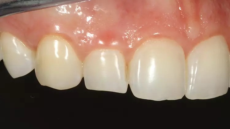
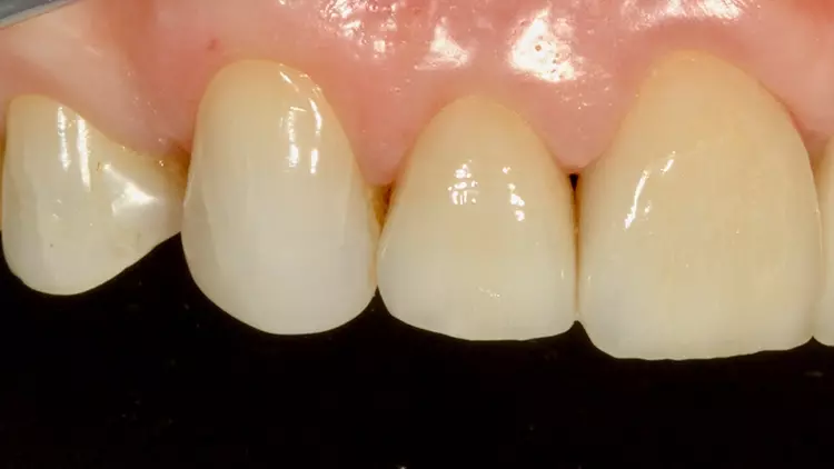
Spätestens nach dem 2. Härtezyklus (> 1500 mW/cm2, Elipar Deep Cure, 3M) erfolgt eine parallele Kühlung mittels Luftpüster. Die Abbildungen 21 bis 24 zeigen das Ergebnis nach einem weiteren Jahr. Die Kompositaufbauten der Eckzähne sind inzwischen 4 Jahre komplikationsfrei in Gebrauch: Der differenzierte Therapieansatz aus dem primären Aufbau der Eckzähne mit einer adäquaten Eckzahnführung und der zeitversetzten Veneerversorgung der Schneidezähne hat sich bewährt: Die Patientin ist hochzufrieden, kommt mit der neu aufgebauten Eckzahnführung nach wie vor sehr gut zurecht und freut sich an ihrem neuen Lachen, dass ihr im Alltag deutlich mehr Lebensfreude schenkt.
Autor/-innen
Autor/-innen
Autor/-innen
Autor/-innen
Fall 2: Versorgung kleinerer Chipping-Defekte der Eckzahn-Inzisalkanten
Bei der 38 Jahre alten Patientin lagen nicht ganz so starke Defekte an den Eckzähnen vor wie in Fall 1 (Abb. 25 bis 28). Während sich die Patientin an den Ausbrüchen der Eckzähne störte, war sie mit dem Erscheinungsbild ihrer seitlichen Schneidezähne zufrieden.
Autor/-innen
Autor/-innen
Autor/-innen
Autor/-innen
In solchen Fällen sollte man tunlichst keine Behandlungsindikationen kreieren, die den Patienten/-innen keinen Mehrgewinn bringen: Inzisal/palatinal lag kein Dentin frei, die Zähne waren nicht schmerzhaft und die scharfen Kanten am Übergang von inzisal zu approximal störten sie nicht. Demzufolge kam man überein, lediglich die Eckzähne aufzubauen. Parallel imponierten labiale Erosionsdefekte unklarer Genese.
Die Behandlung wurde 1:1 analog den Eckzahnaufbauten aus Fall 1 vorgenommen: Dieselbe Präparation in Form einer Rundung der Kanten, dasselbe Adhäsiv (Optibond FL) – ein identisches Procedere unter relativer Trockenlegung. Der einzige Unterschied bestand darin, dass in diesem Fall das Universalkomposit Filtek Universal (3M Oral Care) in der Farbe A1 für die Aufbauten zur Anwendung kam. Genau wie die Universalfarben des Ceram.X Spectra ST stellt Filtek Universal ein sehr gutes und angenehm zu verarbeitendes Universalkomposit dar, mit dem der Autor ebenfalls gute Erfahrungen gemacht hatte [16].
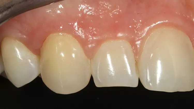
Die Abbildungen 29 bis 32 zeigen das Ergebnis unmittelbar nach Politurverfahren wie in Fall 1), die Abbildungen 33 bis 36 bei einer Nachkontrolle nach insgesamt 3 Jahren. Auch hier zeigt sich ein ästhetisch ansprechendes und funktionell perfektes Erscheinungsbild. Auch die Patientin war mit der durchgeführten Behandlungsmaßnahme sehr zufrieden.
Autor/-innen
Autor/-innen
Autor/-innen
Autor/-innen
Autor/-innen
Autor/-innen
Autor/-innen
Autor/-innen
Fall 3: Aufbau aller Eckzähne bei generalisiertem vertikalem Bisshöhenverlust
Der 44 Jahre alte Kollege hatte ebenso ein Parafunktionsproblem mit deutlichen Ausbrüchen an den Eckzähnen (Abb. 37 und 38). Als Aufbaumaterial kam in diesem Falle Filtek Supreme XTE (3M) in der Farbe A3B zur Anwendung. Auf weitere Dentin- oder Schmelzmassen wurde entsprechend der Versorgung des Falles 1 verzichtet: Die Body-Farbe von Filtek Supreme XTE kombiniert perfekt eine ausreichende Opazität mit einem schönen Chroma und genügend Transluzenz in dünneren Bereichen.
Autor/-innen
Autor/-innen
Mit Filtek Supreme XTE und seinen Vorgängern Filtek Supreme und Filtek Supreme XT konnte der Autor bereits sehr gute Langzeitergebnisse bei sehr großen Frontzahnaufbauten publizieren [19]. Die Versorgung geschah in diesem Falle unter absoluter Trockenlegung mit Kofferdam (Indikation zur Kofferdam-Applikation: Kollegenbehandlung!). Die Abbildung 39 zeigt die wie in Fall 1 angepasste und vorbereitete Frasaco-Strip-Kappe (im Foto gehalten durch das Optrasculpt-Instrument, Vivadent), die Abbildung 40 die Phosphorsäurekonditionierung mit dem Optibond Gel Etchant (Kerr).
Autor/-innen
Autor/-innen
Die Abbildungen 41 bis 44 verdeutlichen den enormen Längengewinn der Eckzähne ohne jegliche funktionellen Einbußen oder Störgefühle. Die Unterkiefereckzähne wurden in derselben Sitzung entsprechend versorgt.
Autor/-innen
Autor/-innen
Autor/-innen
Autor/-innen
Fall 4: Initialtherapie bei massiven Parafunktionen: Aufbau der oberen Eckzähne
Autor/-innen
Die Behandlung folgte in Form von Präparation, Adhäsivtechnik und der Anwendung angewärmten Komposites in einer zurechtgeschnittenen Frasaco-Strip-Kappe (Abb. 46), Polymerisation, Ausarbeitung und Politur konsequent den bereits voran beschriebenen Fallvorstellungen – allerdings diesmal unter Verwendung von Tetric Prime (Vivadent), ebenfalls ein hervorragendes, hochästhetisches Universalkomposit [20]. Auch hier kam die Farbe A2 ohne zusätzliche Dentinmasse zur Anwendung (Abb. 47 bis 49).
Autor/-innen
Autor/-innen
Autor/-innen
Autor/-innen
Das Ergebnis überraschte den Patienten ästhetisch sehr – er überlegt nun, eventuell den Zahn 12 ebenfalls mit Komposit aufbauen zu lassen (Bis Redaktionsschluss war dahingehend allerdings nichts mehr passiert). Da der Patient eine Unterkieferprotrusionsschiene als Schnarcherschiene trägt, war abschließend keine weitere funktionstherapeutische Therapie in Form einer Knirscherschiene mehr erforderlich.
Fall 5: Umstellung einer Gruppenführung zu einer Eckzahnführung durch Aufbau der oberen Eckzähne
Autor/-innen
Autor/-innen
Autor/-innen
Vorab erschien es sinnvoll, die oberen Eckzähne aufzubauen, um so eine geordnete Eckzahnführung zu etablieren und die Inzisalkanten der Schneidezähne als auch die Scheerhöcker im Seitenzahnbereich zu schützen. Dem Patienten wurde das minimalinvasive Therapiekonzept erörtert. Er war mit dem geplanten Procedere als Initialtherapie einverstanden.
Auch hier erfolgte als einzige „Präparation“ ein Abrunden der Kanten und ein Anfrischen der Klebeflächen mit einem Feinkorndiamanten. Da der Patient motorisch recht unruhig war und auch seine Zungenbewegungen nicht richtig kontrollieren konnte, war dies eine Indikation für die Behandlung unter Kofferdam.
Von der Defektlokalisation und der gingivalen Situation wäre ansonsten eine Behandlung unter relativer Trockenlegung (wie in Fall 1, 2 und 4) genauso möglich gewesen. Die Klebeflächen wurden im Anschluss mit Al2O3 abgestrahlt. Da die Evidenzlage zu dieser zusätzlichen Maßnahme nicht eindeutig ist, ist es schwer, hierzu eine konkrete Empfehlung zu geben; schaden tut es auf keinen Fall.
Sehr vorsichtig muss man sein, wenn kein Kofferdam liegt: Hier kann ein ungewolltes „Treffen“ der Gingiva in der Regel zu einer Blutung führen. Die Abbildungen 53 und 54 zeigen die angepassten Frasaco-Strip-Kronen (durch das Optrasculpt-Instrument in Position gehalten), die Abbildungen 55 und 56 die Ausdehnung der Ätzfläche und die erneut zum Schutz der Nachbarzähne inserierten Frasacostreifen-Stücke.
Autor/-innen
Autor/-innen
Autor/-innen
Autor/-innen
Nach der adhäsiven Vorbehandlung (erneut Optibond FL) erfolgte die Komposit-Versorgung in diesem Fall mit G-aenial A’CHORD (GC) in der CORE-Farbe A3. Ähnlich wie die „Cloud“-Farben bei Ceram.X Spectra ST fassen diese „Core“-Farben mehrere Vita-Farben zusammen: Die CORE A3 deckt laut dem Hersteller die ästhetische Wirkung der Vita-Farben A3, B3, C2, C3 und D4 ab. Wie in den anderen Fällen wurde hier bewusst auf eine zusätzliche Opak-Farbe oder eine Schmelz-Farbe verzichtet.
Das ästhetische Ergebnis (Abb. 57 bis 59) überzeugt genauso wie bei den vorangestellten Fällen. Auch dieser Patient kam funktionell sehr gut mit der neu aufgebauten Eckzahnführung zurecht und war zudem mit dem ästhetischen Ergebnis hochzufrieden.
Diskussion
Man mag irritiert sein, dass bei derart massiven Parafunktionen, die in der Lage sind, stabilen Zahnschmelz in Grund und Boden zu „malmen“, eine Restauration mit Komposit möglich ist. Für den klinischen Erfolg sind hierzu 2 Faktoren entscheidend: Erstens die Qualität des adhäsiven Verbundes: In der Regel kann man sich bei mehr als 90% der Klebefläche im Zahnschmelz getrost auf eine suffiziente adhäsive Anbindung verlassen, die seit Jahrzehnten erfolgreich praktiziert wird – vorausgesetzt, man vermeidet Kontaminationen jeglicher Art (zu der auch „Kavitätentoiletten“) [7,23] gehören und stellt eine vollständige Lichtpolymerisation auch des Adhäsivs sicher [9,13,14,21].
Zum Zweiten kommt es auf die kohäsive Materialstabilität des verwendeten Komposites an: Hier kann definitiv davon ausgegangen werden, dass die meisten Komposite der gängigen und bekannten Hersteller diese Anforderungen erfüllen. Die in den Prospekten aufgeführten Unterschiede in der Biegebruchfestigkeit unterscheiden sich nicht so stark, dass dies einen klinisch relevanten Einfluss auf die Stabilität haben dürfte. Dennoch gibt es natürlich auch Materialien, deren Hauptfokus auf der mechanischen Stabilität liegt [11,17,18].
Den meisten Anwendenden dürfte es allerdings primär auf Handling, Zuverlässigkeit und Ästhetik ankommen. Hier geben sich die 5 verschiedenen verwendeten Materialien nichts – alle (und viele weitere, hier nicht präsentiert) sind funktionell und ästhetisch in der Königsklasse der Restaurationsmaterialien einzuordnen und garantieren quasi den klinischen Erfolg bei korrekter Indikationsstellung und Verarbeitung.
Die kleinen Unterschiede zwischen den Materialien liegen hauptsächlich im Handling und auch in der Transluzenz und somit im Bereich der individuellen Geschmacksache des Behandelnden. Dieser persönliche „Wohlfühlfaktor“ ist aber nicht zu unterschätzen: Am erfolgreichsten wird man mit dem Material sein, dass einem „liegt“ und nicht mit dem mit den besten physikalischen Werten.
Natürlich werden die vorgestellten Kompositrestaurationen über die Zeit etwas abradieren – eventuell sogar so weit, dass dies optisch erkennbar wird und gegebenenfalls auch eine Reintervention erforderlich sein wird: Dies muss aber nicht die Neuanfertigung des Aufbaus sein: In der Regel lassen sich derartige Abfraktions- und Abrasionsdefekte gut reparieren und der Defekt somit neu und quasi noninvasiv wieder restaurieren [33]. Für die Patienten/-innen bleibt es aber die minimalinvasivste und auch kostengünstigste und zugleich hochästhetische Option zur Versorgung seiner abradierten Eckzähne. Dass entsprechende Aufbauten an Frontzähnen lange halten können, zeigen eigene, publizierten Langzeitergebnisse [19].
Hinsichtlich der Abrechnung liegen mit Ausnahme der kleinen Defekte aus Fall 2 immer 2 F4 pro Eckzahn als Abrechnungsgrundlage vor. In der GOZ lässt sich diese Behandlung immer bestens darstellen, wobei die Festlegung des individuellen Steigerungsfaktors an der Komplexität des einzelnen Falles angepasst werden sollte. Bei sehr aufwendigen Fällen mit z.B. sehr umfangreichen Anpassungsarbeiten gerade an die Laterotrusion oder schwierigen Farbanpassungen an der Labialfläche sind dann auch durchaus Honorarvereinbarungen mit Steigerungsfaktoren jenseits des 3,5-fachen Satzes gerechtfertigt.
Bei gesetzlich versicherten Patienten/-innen bietet die Mehrkostenvereinbarung ebenso die Möglichkeit, das BEMA-Niveau auf das entsprechende GOZ-Niveau anzupassen. Demzufolge sind derartige Wiederherstellungen der Eckzahnführung auch wirtschaftlich erbringbar.
Als Präventionsmaßnahme erhielten alle Patienten/-innen (mit Ausnahme der Fälle 3 und 4, die bereits Unterkieferprotrusionsschienen haben bzw. demnächst bekommen) nach der durchgeführten Versorgung eine klassische Unterkiefer-Knirscherschiene: Zum Schutz der verbliebenen Zahnhartsubstanz und zur Prävention einer Progredienz der Parafunktionen. Häufig sind derart abradierte Zähne ein versteckter Hinweis auf eine Schlafapnoe: Fragen Sie bitte mal die Patienten/-innen, bei denen Sie derartige Befunde beobachten, ob sie schnarchen.
Wenn diese Frage bejaht wird, macht es Sinn, die Patienten/-innen diesbezüglich mal zu einem Schlafmediziner zur weiterführenden Diagnostik zu empfehlen. Dies ist ein weiterer Teilbereich, bei dem die Zahnmedizin weit in die Medizin hineinreicht und somit wieder mal unter Beweis stellt, dass Zahnmedizin auch Medizin ist und den Begriff nicht umsonst im Namen trägt.
Näheres zu den Autoren des Fachbeitrages: Prof. Dr. Claus-Peter Ernst, Dr. Helga SchaffnerBildquellen sofern nicht anders deklariert: Unternehmen, Quelle oder Autor/-in des Artikels
Entdecke CME Artikel






Keine Kommentare.