Erstbesuch und Erhebung der allgemeinmedizinischen Anamnese erfolgten am 17.02.2010. Es lagen keine Grunderkrankungen vor. Der Patient – Vegetarier mit hohem Rohkost-, Früchte- und Obstkonsum – ist am 16.08.51 geboren. Aufgrund einer missglückten endodontischen Behandlung an Zahn 47 wurde dieser im Oktober 2009 entfernt und 2 Monate später durch ein Einzelzahnimplantat ersetzt. Es stand nun die prothetische Versorgung mit einer implantatgetragenen Einzelzahnrestauration an. Der Patient hatte jedoch das Vertrauen in den bisherigen Behandler verloren, weshalb er sich entschied, unsere Praxis aufzusuchen. Er wies zudem darauf hin, dass er sich zunehmend am Erscheinungsbild der „abgekauten“ Bezahnung störe. Er war nach Aufklärung und eingehender Beratung an einer Gesamtsanierung seines Gebisses interessiert. Dabei legte er Wert auf eine ästhetisch-funktionelle und dauerhafte Verbesserung seiner Situation und stand einer notwendigen umfangreichen ästhetisch-rekonstruktiven Rehabilitation aufgeschlossen gegenüber.
Klinischer Befund: Funktionsstatus
Die manuelle und klinische Funktionsanalyse ließ auf eine parafunktionelle Aktivität schließen. Es zeigten sich generalisiert Erosioabrasionen und Attritionen mit zum Teil freiliegenden Dentinarealen. Es lagt eine Angle-Klasse II/1 vor. Die manuelle Führung ergab keine Abweichung in maximaler Interkuspidation (ohne Führung) und zentraler Kondylenposition (mit Führung) (Tab. 1). Keine Krepitationsgeräusche der Gelenke, unauffällige Öffnungs- und Schließbewegung, keine Druckdolenzen der Muskulatur bei Palpation. Der Patient berichtete von gelegentlichen leichten Kopfschmerzen.
| Planung | SR | SR | SR | SR | SR | SR | SR | SR | SR | SR | SR | SR | SR | SR | ||
| +/– | + | + | + | + | + | + | + | + | + | + | + | + | + | + | ||
| I–III | ||||||||||||||||
| Befund | w | w | w | w | w | w | w | w | w | w | w | w | w | w | ||
| 8 | 7 | 6 | 5 | 4 | 3 | 2 | 1 | 1 | 2 | 3 | 4 | 5 | 6 | 7 | 8 | |
| Befund | i | w | w | w | w | w | w | w | w | w | w | w | w | w | ||
| I–III | ||||||||||||||||
| +/– | + | + | + | + | + | + | + | + | + | + | + | + | + | |||
| Planung | IK | SR | SR | SR | SR | SR | SR | SR | SR | SR | SR | SR | SR | SR |
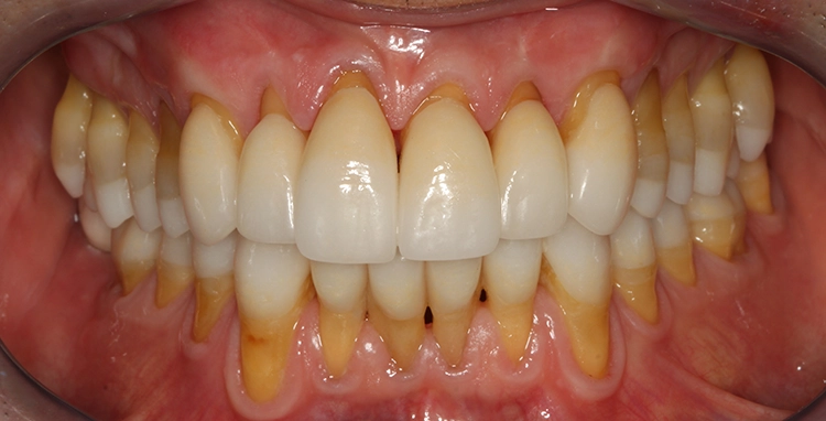
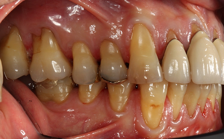
Egger/Wermuth/GrevenRote Ästhetik: Im Ober- und Unterkiefer zeigten sich generalisiert ausgedehnte Rezessionen mit bis zu 8 mm Attachmentverlust vor allem im Bereich der Eckzähne (Miller-Klasse III; Rezessionstyp [RT] 2 [69]. Das Band an keratinisierter Schleimhaut ist durchgehend vorhanden. Die Breite variiert im Eckzahnbereich von 1 mm bis zu 2 mm im Bereich der Unterkieferfrontzähne, der Prämolaren und Molaren (Abb. 1). Die fazialen Rezessionen sind mit approximalem röntgenologischem Attachmentverlust im koronalen Wurzeldrittel (Abb. 2) und Papillenverlust im Bereich zwischen den Kontaktpunkten und der approximalen Schmelz-Zement-Grenze assoziiert (Abb. 1). Der Patient verfügt über eine schmal geformte Oberlippe. Die Lachlinie verläuft mittelhoch (Abb. 3).
Egger/Wermuth/Greven
Egger/Wermuth/GrevenWeiße Ästhetik: Die Oberkieferfront empfindet der Patient als ausreichend lang. Das entspannte Lächeln zeigt 1/3 der Frontzahnlänge. Der Schneidekantenverlauf folgt der Konkavität der Unterlippe (berührungsaktives Verhältnis). Die oval imponierende Zahnform der Oberkieferfrontzähne erachtete der Patienten als harmonisch. Sie soll bei der Neuversorgung beibehalten werden (Abb. 3). Im Oberkiefer erscheint der Zahnbogen parabolisch mit Versatz im Bereich 11/21. Die Oberkieferfront steht labial (Klasse II/1).
Dentalstatus: Es zeigen sich generelle Abrasionen, Attritionen und Erosionen im Ober- und Unterkiefer. Die ursprüngliche anatomische Kauflächenstruktur in den Seitenzahnbereichen ist durch die massiven erosions- und attritionsbedingten Zahnhartsubstanzverluste nicht mehr vorhanden (Tab. 2). Aufgrund der massiven Zahnschmelzverluste erscheint die Zahnfarbe insgesamt gelblicher. Der Patient wünscht sich im Rahmen der Rehabilitation in dieser Frage eine merkliche Verbesserung.
Aus ästhetischer Sicht zeigt sich hinsichtlich von Länge (Lächeln), Stellung (Labialstand obere Front), Farbe und Form (fortgeschrittene Zahnhartsubstanzverluste vor allem im Bereich der Kauflächen) der Zähne ein objektiv verbesserungswürdiger Zustand, welcher auf Wunsch des Patienten im Rahmen einer umfassenden prothetischen Rehabilitation erreicht werden soll.
| sichtbar | 1 | 1 | 1 | 1 | 1 | 1 | 1 | 1 | ||||||||
| ATV H. | 3 | 3 | 2 | 2 | 2 | 1 | 1 | 1 | 1 | 2 | 2 | 3 | 3 | 3 | ||
| ATV W. | 7 | 8 | 5 | 6 | 9 | 3 | 3 | 3 | 3 | 8 | 6 | 5 | 7 | 6 | ||
| Taschen | ||||||||||||||||
| 8 | 7 | 6 | 5 | 4 | 3 | 2 | 1 | 1 | 2 | 3 | 4 | 5 | 6 | 7 | 8 | |
| Taschen | ||||||||||||||||
| ATV W. | 3 | 4 | 5 | 7 | 6 | 6 | 6 | 7 | 8 | 4 | 3 | 2 | 3 | |||
| ATV H. | 3 | 3 | 3 | 3 | 3 | 3 | 3 | 3 | 3 | 3 | 3 | 2 | 2 | |||
| sichtbar |
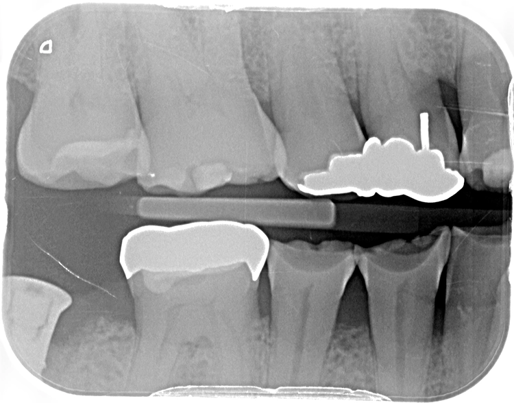
Die OPT-Aufnahmen zeigen keinen Anhalt auf nicht zahnverursachte Prozesse, dafür einen leichten bis mäßigen horizontalen und vertikalen Knochenabbau im Oberkieferseitenzahnbereich und generalisiert im Unterkiefer sowie einen periimplantären Knochenabbau in Regio 47 (Abb. 2). Die Zahnhartsubstanzdefekte imponieren als halbmondförmige Aufhellungen im Okklusalbereich von den Zähnen 37, 35, 34, 44 und 45. Es zeigen sich ebenso Aufhellungen im Approximalbereich mesial 24, distal 43 und mesial 37 (Abb. 4 und 5).
Egger/Wermuth/Greven
Egger/Wermuth/GrevenBefunde
Parafunktion mit massivem Zahnhartsubstanzverlust (Erosioabrasionen und -attritionen vor allem im Okklusalbereich) bei bestehender Klasse II/1 Verzahnung. Generalisierte parodontale Rezessionen vor allem im Bereich der Eckzähne (Miller-Klasse III; RT 2). Störung der statischen und dynamischen Okklusion (fehlende Eckzahnführung). Gelegentliche leichte Kopfschmerzen, prothetisch und konservierend insuffizient versorgtes Erwachsenengebiss.
Diagnose
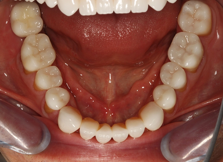
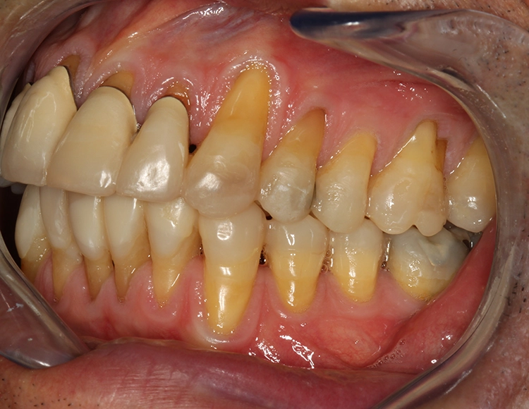
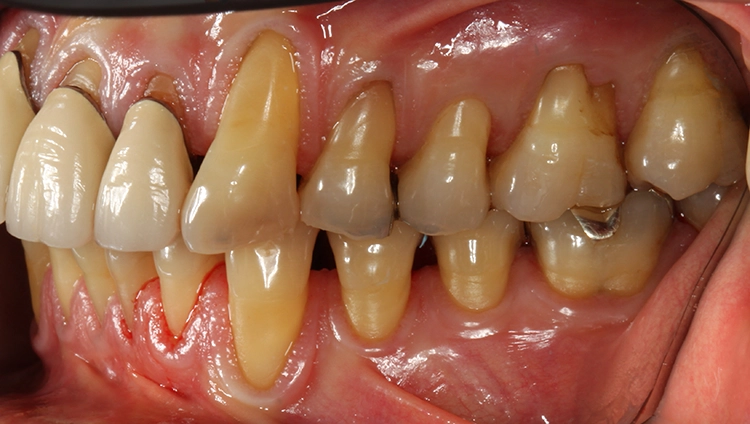
Parodontale Gesundheit bei Attachmentverlust, Bruxismus, Erosion. Abbildung 1 sowie 6 bis 9 zeigen den Anfangsbefund als intraoralen Fotostatus.*
Egger/Wermuth/Greven
Egger/Wermuth/Greven
Egger/Wermuth/Greven
Egger/Wermuth/GrevenAbb. 8 und 9: Rechts-links-Okklusion.
Behandlungsplan
Als erstes sollte eine Dentalhygiene durchgeführt werden mit Abformung für Situationsmodelle, Total Wax-up, Fotostatus, Bissnahme in zentrischer Kondylenposition (ZKP) und Gesichtsbogenübertragung. Dann sollten eine konservierende Versorgung der kariösen Läsion am Zahn 42 mit Komposit sowie eine Wurzelbehandlung am Zahn 46 erfolgen.
Es wurde die Etablierung einer neuen vertikalen und horizontalen Relation des Unterkiefers in zentraler Kondylenposition (ZKP) mit temporären Kompositaufbauten von 17–27 im Oberkiefer und 37–47 im Unterkiefer auf Basis des Wax-up mittels transparenter Silikonschlüssel (Elite Transparent, Zhermack) direkt im Mund des Patienten durchgeführt. Bei der Reevaluation nach der Adaptationsphase von 2 Monaten schienen sämtliche für die definitive Versorgung vorgesehenen Zähne sicher erhaltungswürdig. Der Patient fühlte sich mit der neuen horizontalen und vertikalen Bisslage sehr wohl, und es lagen keine Anzeichen oder Symptome einer Kiefergelenkdysfunktion vor.
Es erfolgte eine plastische Rezessionsdeckung an den Zähnen 13 und 23 mit doppelten Papillenlappen nach Cohen et al. [2] unter Einsatz von Bindegewebetransplantaten und Schmelz-Matrix-Proteinderivat.
Die Präparation für die definitive Versorgung im Unterkiefer 37–46 mit Presskeramikveneers und -teilkronen wurden durch Abdrucknahme, Zentrikbissnahme und Gesichtsbogenübertragung vorbereitet. Die Anproben und die definitive Eingliederung erfolgten in den Folgesitzungen. Für die definitive Versorgung im Oberkiefer 17–27 durch Presskeramikveneers und -teilkronen erfolgte ebenfalls Abdrucknahme, Zentrikbissnahme, Gesichtsbogenübertragung, Anproben und die definitive Eingliederung in den Folgesitzungen. Nach der erfolgten Vorbehandlung stellten sich alle für die definitive Versorgung geplanten Zähne als sicher erhaltungswürdig dar.
Behandlungsablauf
Im Rahmen einer Prophylaxesitzung erfolgte eine Reevaluation, und es wurden eine professionelle Zahnreinigung durchgeführt, die Abformung OK/UK mit Alginat vorgenommen sowie der Fotostatus und ein Wax-up erstellt (Abb. 10). Die kariöse Läsion 42 wurde mit Komposit unter Kofferdam konservierend versorgt (Syntac Adhäsiv, Tetric Evo Ceram, Vivadent). Ebenso erfolgten eine endodontische Versorgung 46 nach vorangegangenen pulpitischen Beschwerden sowie die maschinelle Aufbereitung mit NiTi-Feilen (MTWO, VDW) sowie die Wurzelfüllung mit Guttapercha und Sealer (AH Plus, Dentsply) mit lateraler Kondensationstechnik.
Eine neue vertikale und horizontale Relation des Unterkiefers in zentrischer Kondylenposition (ZKP) wurde mit temporären Kompositaufbauten von 17–27 im OK/UK (Tetric Evo Ceram, Vivadent) auf Basis des Wax-up mittels transparenter Silikonschlüssel (Elite Transparent, Zhermack) direkt im Mund des Patienten und unter Zuhilfenahme einer Lupenbrille (4,5-fache Vergrößerung, Zeiss) etabliert. Für das Auffüllen der transluzenten Schlüssel wurde vorgewärmtes Komposit verwendet, um Verzerrungen zu vermeiden. Beim Aufsetzen des Schlüssels auf die zuvor konditionierte Zahnoberfläche wurde die Lichtpolymerisation direkt durch den Schlüssel vorgenommen (Abb. 11).
Egger/Wermuth/Greven
Egger/Wermuth/GrevenDie Reevaluation nach der Adaptationsphase von einer Woche ergab, dass sämtliche für die definitive Versorgung vorgesehenen Zähne sicher erhaltungswürdig erschienen. Der Patient fühlte sich mit der neuen horizontalen und vertikalen Bisslage sehr wohl, und es lagen keine Anzeichen oder Symptome einer Kiefergelenkdysfunktion vor (Abb. 12).
Für die plastische Rezessionsdeckung an den Zähnen 13 und 23 mithilfe von doppelten Papillalappen nach Cohnen und Ross [2], Bindegewebetransplantaten und Schmelz-Matrix-Proteinderivat wurde die Schnittführung mit Split-Flap-Bildung so gewählt, dass möglichst viel keratinisierte Gingiva generiert werden konnte und der Mindestabstand zu den Nachbarparodontien von 1 mm eingehalten wurde (Abb. 13). Ein Gewebekeil wurde apikal der Rezession entfernt und vorerst nur ein Läppchen gesplittet (Abb. 14). Die beiden gesplitteten Läppchen wurden vernäht, wobei ein Mukosaläppchen noch unmobilisiert blieb, um das Aneinandernähen zu erleichtern. Das Vernähen erfolgte von koronal nach apikal, danach wurde das zweite Läppchen vollständig mobilisiert (Abb. 15).
Egger/Wermuth/Greven
Egger/Wermuth/Greven
Egger/Wermuth/Greven
Egger/Wermuth/GrevenAus dem Gaumen wurde mit der Single-Inzisionstechnik [5] ein Bindegewebetransplantat entnommen (Abb. 16). Die Konditionierung der Wurzeloberfläche erfolgte mit EDTA 24%. Schließlich wurde Schmelz-Matrix-Protein (Prefgel/Emdogain, Straumann, Schweiz) appliziert und das Bindegewebetransplantat in der gewünschten Position fixiert. Der Wundverschluss wurde mit nicht resorbierbarem Nahtmaterial (7.0 monofilamentes Polyvinylidenfluorid, Seralene, Serag Wiessner) durchgeführt, die Feinadaptation im Übergangsbereich der beiden lateralen Verschiebelappen mit Einzelknopfnähten. Es wurde kein Wundverschluss per primam angestrebt, um nicht zu viel lateralen Zug auf die Läppchen auszuüben.
Die Zähne im Unterkiefer wurden unter Leitungsanästhesie (Articain 1:100.000, Aventis) und Zuhilfenahme einer Lupenbrille (4,5-fache Vergrößerung, Zeiss) präpariert (Abb. 17 und 18). Mittels Doppelfadentechnik erfolgte eine zweifache Abdrucknahme der präparierten Zähne: Einbringen eines ersten, getränkten (Racestyptine solution, Septodont) Fadens (Ultrapak 0, Ultradent), über welchen ein zweiter getränkter Faden größeren Durchmessers gelegt wurde (Ultrapak 1, Ultradent).
Die Wartezeit bis zur Abdrucknahme mit den gelegten Fäden betrug etwa 10 Minuten. Diese erfolgte nach Entfernung des zuletzt gelegten Fadens (der zuerst gelegte Faden geringeren Durchmessers verblieb im Sulkus) mithilfe eines A-Silikons in Doppelmischtechnik einzeitig durch Umspritzung der präparierten Zähne mit dünnfließendem Material (Express Ultra-Light Body, 3M Espe) und Einbringen des schwerfließenden Materials (Express Penta Putty, 3M Espe) in einen konfektionierten Abdrucklöffel (Rim Lock, DeTrey).
Egger/Wermuth/Greven
Egger/Wermuth/Greven
Egger/Wermuth/GrevenAbb. 17: Wundverschluss mit nicht resorbierbarem Nahtmaterial (7.0 monofilamentes Polyvinylidenfluorid, Seralene, Serag Wiessner).
Abb. 18: Präparation 37–46 zur Aufnahme vollkeramischer Teilkronen 4–7 (zylindrischer Diamant 847-023SC, Öko Dent) und Veneers 3-3 (Hohlkehldiamant 886-012 M, Öko Dent und Finierer FG 8878/014, Komet).
Die provisorische Versorgung der präparierten Zähne wurde mittels Silikonschlüssel (via Wax-up hergestellt) und Pro Temp Garant 3 A1 (Espe) durchgeführt. Nach der Kontrolle von Randpassgenauigkeit und Okklusion erfolgten die Ausarbeitung und Eingliederung als verblocktes Provisorium durch punktförmige Schmelzätzung mit 35%iger Phosphorsäure, Primen und Bonden mit Syntac Classic (Ivoclar). Für die horizontale und vertikale Kieferrelationsbestimmung in habitueller Interkuspidationsposition (HIKP) kam ein Bissregistrat aus hartem Wachs und Zinkoxid-Eugenol-Paste zum Einsatz.
Der untere 7er wurde zur Bissregistrierung belassen und diente dabei zur Abstützung der Kiefergelenke und Beibehaltung der neuen/therapeutischen vertikalen Dimension. Erst danach erfolgte die definitive Präparation des Zahnes mit Wegnahme des Stützhöckers (Beauty Pink Wax X Hard, Moyco Union Broach, BosworthSuperbite). Mittels Gesichtsbogenübertragung mit dem Clinometer nach Dr. Behrend (Artex 3-D, Girrbach Dental) wurden die Zahn- und Schneidekanten ermittelt und die gelenkbezogene Position des Oberkiefers mittels Gesichtsbogen (Artex 3-D, Girrbach Dental) registriert. Die Gegenkieferabformung (OK) erfolgte mit Alginat (Aroma Fine DF III, GC).
Bei der ersten Anprobe erfolgte nach der Entfernung der provisorischen Versorgung eine sorgfältige Reinigung der präparierten Zähne. Anschließend wurden die Frontzahnveneers (Empress, Ivoclar) mit Glyzeringel (Variolink II Try-In, Ivoclar) aufgesetzt, die Randpassung sowie der exakte Sitz kontrolliert und die Okklusion, Artikulation sowie Phonetik kontrolliert.
Zum Einsetzen der Veneers wurde nach vorherigem Abstrahlen (Rondoflex plus, Kavo) mit Aluminiumoxidpulver der Korngröße 27 mm (Rondoflex plus, Kavo) und Schmelzätzung mit 35% Phosphorsäure (Ultraetch, Ultradent) eine selektive adhäsive Befestigung der zuvor geätzten und silanisierten (Monobond S Silan, Ivoclar) Empress Veneers mit Syntac Classic (Ivoclar) und Variolink II (Ivoclar) vorgenommen. Die Eingliederung der Procerazirkonimplantatkrone 47 mit Ketac Cem (GC Fuji Plus, GC) erfolgt nach Pfeileranschluss mit individuell gefertigtem Titanabutment. Unter Zuhilfenahme einer Lupenbrille (4,5-fache Vergrößerung, Zeiss) wurden die Zähne im Oberkiefer in lokaler Anästhesie (Articain 1:1.000.000 Aventis) präpariert.
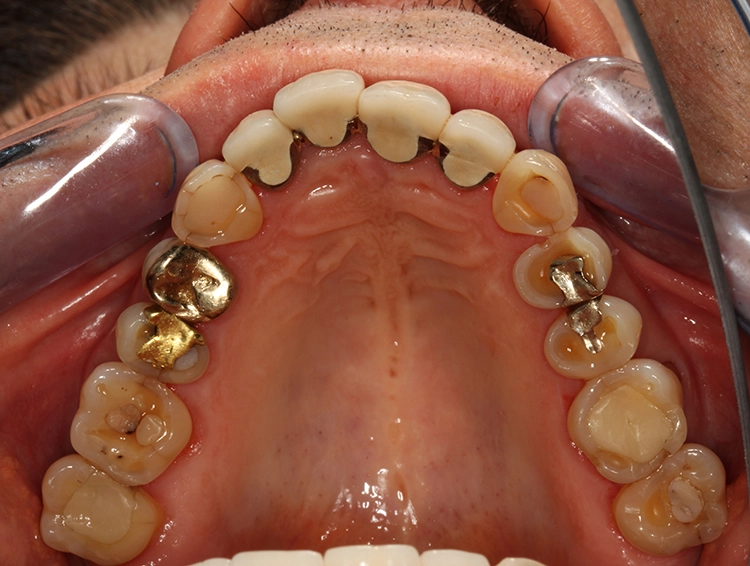
Ebenso erfolgten die Präparation von 17–27 zur Aufnahme vollkeramischer Teilkronen 4-7 (zylindrischer Diamant 847-023SC, Öko Dent), 13,23/ Fullveneers 2-2 (Hohlkehldiamant 886-012 M, Öko Dent und Finierer FG 8878/014, Komet) sowie eine sorgfältige Reinigung und zweifache Abdrucknahme der präparierten Zähne in Lokalanästhesie mit der bereits beschriebenen Doppelfadentechnik und den oben angeführten Materialien. Der Zahn 23 wurde zur Bissregistrierung belassen und diente dabei zur Abstützung der Kiefergelenke und Beibehaltung der neuen/therapeutischen vertikalen Dimension. Erst danach erfolgte die definitive Präparation des Zahns mit Wegnahme des Stützhöckers („ausgeschnittener Bereich im Wachsbissregistrat Regio 23) (Abb. 19).
Egger/Wermuth/GrevenDie gelenkbezogene Position des Oberkiefers wurde mittels Gesichtsbogen (Artex 3-D, Girrbach Dental) registriert. Der Idealwinkel der Zähne aus frontaler Sicht wurde mit dem Clinometer nach Dr. Behrend (Amann Girrbach) bestimmt, und die Gegenkieferabformung (UK) erfolgte mit Alginat (Aroma Fine DF III, GC). Die provisorische Versorgung der präparierten Zähne wurde mittels Silikonschlüssel (via Wax-up hergestellt) und Pro Temp Garant 3 A1 (Espe) realisiert und wurde als verblocktes Provisorium nach der Kontrolle von Randpassgenauigkeit und Okklusion durch punktförmige Schmelzätzung mit 35%iger Phosphorsäure, Primen und Bonden mit Syntac Classic (Ivoclar) befestigt.
Für die Herstellung der definitiven Versorgung im Oberkiefer wurden die zuvor geätzten und silanisierten (Monobond S, Silan, Ivoclar) Hera Ceram Press Teilkronen und Veneers (Heraeus Kulzer) mit Syntac Classic (Ivoclar) und Variolink II (Ivoclar) eingegliedert nach vorherigem Abstrahlen der präparierten Zahnoberflächen (Rondoflex plus, Kavo) mit Aluminiumoxidpulver der Korngröße 27mm (Rondoflex plus, Kavo) und Schmelzätzung mit 35% Phosphorsäure (Ultraetch, Ultradent).
Eine relative Trockenlegung im Frontzahnbereich erfolgte mit Retraktionsfädchen (Ultrapak 0, Ultradent) und Flüssigkofferdam (Opal Dam, Ultradent) im Frontzahnbereich. Bei der Abschlusskontrolle wurden sämtliche funktionellen und ästhetischen Parameter überprüft. Schließlich wurde der Patient auch in das Nachsorgeprogramm aufgenommen.
Diskussion
In dem vorliegenden Fall handelt es sich um eine aufwändige, ästhetisch-rekonstruktive Rehabilitation [1,2,7], mit deren Ergebnis sich der Patient vollumfänglich zufrieden zeigte. Seitens des Behandlers wurde neben der konservierenden Vorbehandlung auch eine Verbesserung der Weichgewebesituation in Form einer plastischen Rezessionsdeckung angeregt [11]. In erster Instanz sollte an den oberen und unteren Eckzähnen ein Reattachment etabliert und dies mit einer dicken und breiten Zone keratinisierter Gingiva stabilisiert werden.
Die Front- und Seitenzahnbereiche standen dabei ebenso zur Diskussion, sollten aber in einem zweiten Schritt gegebenenfalls mit den Eckzähnen in Form einer lateralen Verschiebeplastik behandelt werden. Da die freiliegenden Wurzeloberflächen im Restgebiss weder ästhetisch (mittelhohe Lachlinie) noch klinisch (in Form einer Hypersensibilität) als störend empfunden wurden, wünschte der Patient dort vorerst keine weiteren Eingriffe. Auch die Deckung an den unteren Eckzähnen sollte erst zu einem späteren Zeitpunkt durchgeführt werden. Das Behandlungskonzept sah zudem eine prothetische Verlängerung der klinischen Kronen 13–23 [3] mit einhergehender Korrektur der Eckzahnführung sowie eine Abstützung der Oberkieferfront durch palatinale „Aufbisse/Onlays“ vor, um eine zielgerichtete Fronteckzahnführung bei bestehender Klasse-II-Verzahnung zu etablieren [8].
Seitens des Behandlers wurde eine adhäsive Full-Mouth-Rehabilitation zur Behandlung der fortgeschrittenen generalisierten Attrition/Erosion empfohlen und die Sanierung kieferweise in habitueller Interkuspidationsposition (HIKP) nach entsprechender funktioneller Vorbehandlung (temporäre Kompositaufbauten) durchgeführt [9,10].
Aufgrund der funktionellen Vorbehandlung mit den Interimskompositen wäre auch eine Sanierung nach Quadranten möglich gewesen [4,5,6]. Der Wunsch des Patienten nach einer Gesamtsanierung sowie eine zunehmende Kälteempfindlichkeit besonders auf den Okklusalflächen der Zähne ließ jedoch diese Alternative ausscheiden. Die mit einem Restrisiko behafteten Zähne 26, 44, 45 und 46 (Erosion/Attrition pulpanah) wurden nach Absprache mit dem Patienten vorerst ohne endodontische Maßnahmen in die definitive Versorgung miteinbezogen.
Für die dynamische Okklusion wurde eine fronteckzahngeführte Variante programmiert. Die Rehabilitation aller Zähne in Keramik geschah auf Wunsch des Patienten. Alternativ hätte auch eine Versorgung mit Komposit für ausreichend stabile Okklusionsverhältnisse gesorgt. Die gegenüber Keramik verminderte Abrasionsresistenz und ein damit verbundener zyklischer Erneuerungsbedarf der Kompositrestaurationen sprach wiederum für die prothetische Versorgung.
Zudem zeichnet sich Keramik durch bessere biologische (Plaqueakkumulation) und materialspezifische (Farbtransluzenz und Beständigkeit) Eigenschaften gegenüber Komposit aus [2]. In Anbetracht der generalisierten fortgeschrittenen Erosion und der Vorliebe für säurehaltige Speisen und Getränke schien dem Behandler dann eine Sanierung in Keramik als das Mittel der Wahl [9].
Abschließend betrachtet stellt sich das Behandlungsergebnis auch für den Behandler in ästhetisch-rekonstruktiver Hinsicht als Erfolg dar. Die Prognose des Falles ist durch die Rehabilitation in HIKP (= ZKP), die Einfassung der Erosions- und Attritionsflächen in Keramik sowie die programmierte Eckzahnführung [3] aus funktioneller Sicht betrachtet als sehr positiv zu werten, parodontal liegen keine Entzündungen vor. Der Patient ist völlig gesund. Die häusliche Mundhygiene wird sehr gewissenhaft betrieben. Das konsequente Tragen einer Nachtschiene erhöht die Sicherheit und bietet Schutz vor Überlastung in Stressphasen.
Funktionsstatus
Die manuelle und klinische Funktionsanalyse ergab keinen auffälligen Befund. Für die dynamische Okklusion wurde eine fronteckzahngeschützte Variante programmiert (Patient hat eine Vorliebe für Rohkost/Obst und Früchte). Es liegt eine Angle-Klasse II/1 vor. Die manuelle Führung ergab keine Abweichung in maximaler Interkuspidation (ohne Führung) und zentraler Kondylenposition (mit Führung).
Keine Krepitationsgeräusche der Gelenke, unauffällige Öffnungs- und Schließbewegung, keine Druckdolenzen der Muskulatur bei Palpation. Der Patient gibt gelegentliche, leichte Kopfschmerzen an.
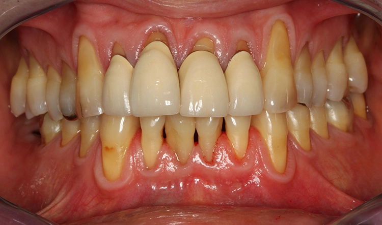
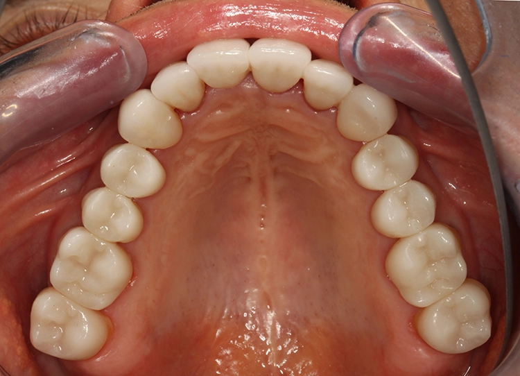
Egger/Wermuth/GrevenRote Ästhetik:Es zeigen sich nunmehr stabile und gesunde Weichgewebeverhältnisse nach abgeschlossener parodontalchirurgischer und prothetischer Behandlung (Abb. 20). Auf die noch ausstehenden Rezessionsdeckungen möchte der Patient im Moment lieber verzichten).
Weiße Ästhetik: Zahnlänge: Der Patient empfand die Oberkieferfront als ausreichend „lang“, das entspannte Lächeln zeigte ca. 10 mm der Frontzahnreihe. Der Schneidekantenverlauf folgt der Konkavität der Unterlippe.
Zahnform: Die ovale Zahnform wurde in die definitive Sanierung übernommen, lediglich die distalen Randleisten an 11 und 21 wurden etwas konvexer gestaltet. Die Veneeroberflächen wurden mit horizontalen und vertikalen Texturen versehen und verhelfen den Restaurationen dadurch zu einem natürlichen und ansprechenden Erscheinungsbild.
Dentalstatus: Das Behandlungskonzept sah zudem eine Verlängerung der Zahnkronen 13–23 sowie eine Abstützung der Oberkieferfront durch palatinale „Balkone“ vor, um eine zielgerichtete Fronteckzahnführung bei bestehender Klasse II/1 Verzahnung zu etablieren.
Die ursprüngliche anatomische Kauflächenstruktur wurde durch die prothetische Sanierung wiederhergestellt.
Zahnfarbe: Die Auswahl der Zahnfarbe (Vita Skala A1) erfolgte auf Wunsch des Patienten.
Ästhetikstatus: Zahnstellung: Im OK wurde versucht, die Distalbisslage durch eine leichte „Dorsalkrümmung“ der anterioren Presskeramikveneers zu kompensieren. Der Überbiss der OK-Front wurde von 5 mm auf 4 mm reduziert.
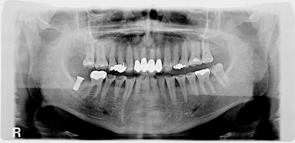
Die Abbildungen 20 bis 23 zeigen den intraoralen Schlussbefund sowie das Schlussröntgen-OPT.
Egger/Wermuth/Greven
Egger/Wermuth/Greven
Egger/Wermuth/GrevenFollow-up nach 9 Jahren
Ergänzend wurde 2019 im Rahmen einer Nachuntersuchung eine klinische und instrumentelle Funktionsanalyse durchgeführt, weil es beim Patienten an den Zähnen 45 und 46 sowohl zu Chippings und letztendlich auch zu endodontischen Komplikationen gekommen war. Zahn 46 musste 2014 aufgrund einer Kronen-/Wurzelfraktur entfernt und durch ein Implantat ersetzt werden. Die klinische Untersuchung wies auf ein Internal Derangement (Wilkes-Klassifikation Stadium III) im Sinne einer traumatisch bedingten partiellen Diskus-Kondylus-Verlagerung im rechten Kiefergelenk hin. In der Kondylografie (Abb. 24a bis c) zeigte sich ein distraktiver Vektor bis im Kaumuster sowie ein retrokranialer Vektor bei Bruxismusfunktion. Bei der mediotrusiven Bewegung links und Mundöffnung/Mundschluss (bei kranialer Manipulation) kam es zu einer partiellen Reposition sowie zu einer vollständigen Reposition bei Protrusion/Retrusion.
Egger/Wermuth/Greven
Egger/Wermuth/Greven
Egger/Wermuth/GrevenAls Therapie wurde im Unterkiefer eine Repositionierungsschiene (FTG = Funktionstherapeutisches Gerät) im Sinne einer anterioren Unterkieferrotation mit einer transversalen Korrektur (0,3 mm) angefertigt, welche im Verlauf zu einer deutlichen Verbesserung der Subluxationsphänomene beitrug (keine vollständige Luxation mehr wie zuvor) und dem Patienten ein neues „Wohlgefühl“ beim Tragen der Schiene vermittelte. Das Phänomen des einseitigen Vorkontakts rechts (Regio 45) hatte sich laut dem Patienten „verflüchtigt“ bzw. deutlich abgenommen. Somit sollte in Zukunft das Risiko weiterer Überlastungen bei parafunktioneller Aktivität reduziert sein.
*Aufnahmen der Lateral- und Okklusalansicht wurden gespiegelt, um eine seitenrichtige Darstellung wiederzugeben (Zustand nach Sanierung im SZB). Aufnahmedatum: 05.03.10
Entdecke CME Artikel






Keine Kommentare.