Die additive Fertigung (AM, Additive Manufacturing) bzw. der 3D-Druck hat in den vergangenen Jahren eine so hohe Aufmerksamkeit erfahren wie kaum ein anderes Herstellungsverfahren. Dabei existiert das Vorgehen bereits seit mehr als drei Jahrzehnten und hat sich z. B. für Prototypen oder im Maschinenbau bewährt. Auch in Bereichen wie Architektur, Design, Unterhaltungsindustrie etc. ist die additive Fertigung längst angekommen.
Einer der momentan interessantesten und stark erforschtesten Bereiche ist der 3D-Druck im Gesundheitswesen bzw. der Medizin. Beispielsweise wird beim Tissue Engineering versucht, durch Zellbesiedlung auf gedruckten Gerüsten biologisches Gewebe herzustellen [9]. Auch bei der patientenindividualisierten Nachbildung anatomischer Formen kommt dem 3D-Druck hohes Potenzial zu. In Kombination mit digitalen bildgebenden Verfahren (z. B. Computertomografie) lassen sich DICOM-Daten erzeugen, Segmente als STL-Format extrahieren und Implantate (z. B. Chirurgie) oder anatomische Modelle (z. B. für die Operationsplanung) drucken.
Auch in der Zahnmedizin und Zahntechnik wird der 3D-Druck angewandt. Hier haben sich unterschiedliche 3D-Druckverfahren etabliert [13]. In Dentallaboren gängig ist das Drucken von Hilfsmitteln (z. B. Kiefermodelle, Abformlöffel, Bohrschablonen). Auch Schienen, Bissschablonen oder Prothesenbasen werden oft über den 3D-Druckprozess umgesetzt. Beim Drucken von keramischen Materialien für Zahnersatz sind interessante Entwicklungen zu beobachten [12], durch welche sich Herstellungsweisen in Zukunft möglicherweise verändern könnten.
Aktuell zeigt zudem die Forschung im dentalen 3D-Bioprinting (Tissue Engineering) spannende Möglichkeiten auf, wie z. B. das Drucken von patientenspezifischen Knochenersatzmaterialien und Implantaten sowie von zellbeladenen 3D-Strukturen [14]. Doch nicht nur in Forschung, Fertigungsindustrie oder Dentallabor, sondern auch in der Zahnarztpraxis schließen 3D-Drucker als ergänzende Technologie eine Lücke im digitalen Workflow.
3D-Drucker in der Zahnarztpraxis
In Zahnarztpraxis, Praxislabor und Dentallabor bietet der 3D-Druck viele Vorteile. Unter anderem können Objekte mit komplexen Geometrien (z. B. Modelle, Bohrschablonen, Abformlöffel) innerhalb einer kurzen Produktionszeit hergestellt werden. Im Gegensatz zum subtraktiven Fräsen tritt kein wesentlicher Materialverlust auf. In der Zahnarztpraxis wird in der Regel mit harzbasierten, lichthärtenden 3D-Druckersystemen gearbeitet. Hauptsächlich angewandt wird der 3D-Druck basierend auf der DLP- und SLA-Technologie.
Maßgeblicher Unterschied beider Verfahren ist die Art der Lichtquelle für die Polymerisation. Beim SLA-Drucker erfolgt die Materialhärtung über einen Laserstrahl punktuell. Hingegen basiert die Polymerisation des Druckharzes beim DLP-Drucker (Digital Light Processing) auf einem Beamer; die zu druckende Schicht härtet flächig aus. Dies beschleunigt den Druckprozess. Beispiel für ein modernes 3D-Drucksystem mit DLP-Funktionsweise ist der Straumann® CARES® P20 aus dem Hause Rapid Shape.
Praxistaugliche Anwendung
Grundsätzlich folgen moderne Druckersysteme häufig automatisierten Abläufen. Trotzdem bedarf die Arbeit mit dem Drucker eines grundlegenden technischen Verständnisses für digitale Technologien und etwas Erfahrung im Bereich der CAD-Konstruktion. Der eigentliche Druckprozess erfolgt vergleichsweise schnell. Bei der Bewertung der Gesamtfertigungszeit ist zusätzlich zur Konstruktion und dem Druck die Nachbearbeitung (Reinigung, Lichthärtung) des gedruckten Bauteils zu beachten [10,16].
Das sogenannte Post-Processing bestimmt die Qualität bzw. Materialgüte des gedruckten Objektes signifikant [11]. Hinsichtlich einer einfachen und zugleich sicheren Nachbearbeitung ist es sinnvoll, auf 3D-Druckersysteme zurückzugreifen, die eine weitestgehend automatisierte Prozesskette abbilden. Beispiele sind die Drucker aus der Straumann® CARES® P series, die in eine validierte Prozesskette eingebettet sind.
Systembestandteile sind:
• 3D-Drucker mit Software,
• verschiedene 3D-Druckharze,
• automatisches Reinigungssystem (Straumann® CARES® P wash) und
• automatisiertes Lichthärtegerät (Straumann® CARES® P cure).
3D-Druck von Zahnersatz in der Zahnarztpraxis
Die dentalen Anwendungsbereiche für 3D-Drucker sind vielfältig. Neuralgischer Punkt war bislang der Druck von Zahnersatz. Zwar kann mit einem 3D-Drucker jedwede Geometrie umgesetzt werden, allerdings bedarf es entsprechender Materialien. Dentale Druckmaterialien (Harze) müssen den Ansprüchen für die intraorale Verwendung (Medizinproduktegesetz) entsprechen.
Seit einiger Zeit gibt es Druckharze, die für festsitzende Restaurationen (Kronen, Brücken) freigegeben sind. Hierzu gehört das lichthärtende Komposit P pro Crown & Bridge (Straumann) für die additive Herstellung temporärer Front- und Seitenzahnversorgungen. Der digitale Workflow – nachfolgend am Beispiel der Implantologie dargestellt – wird damit zur Realität und bietet interessante Alternativen zum konventionellen Weg. So kann das Drucken von temporären Kronen als Alternative zum aufwendig händisch gefertigten oder gefrästen Provisorium erachtet werden.
Patientenfall: Ausgangssituation
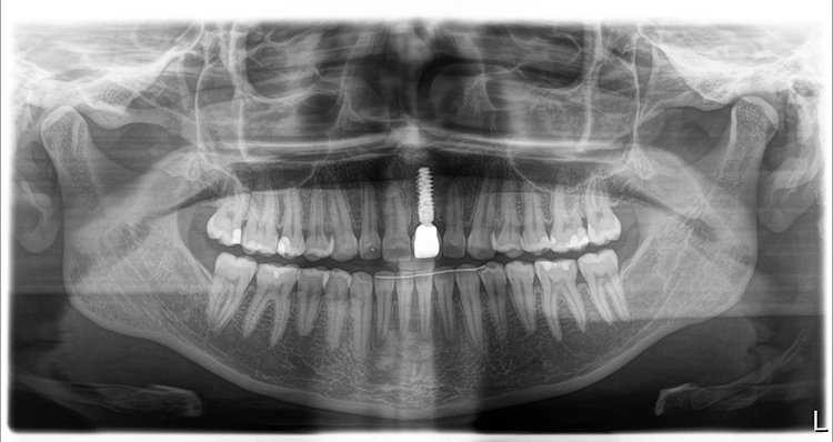
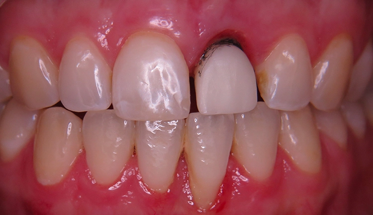
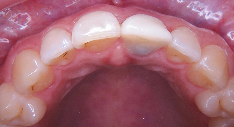
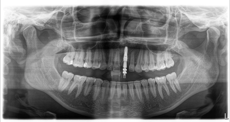
Die junge Patientin konsultierte die Zahnarztpraxis mit Beschwerden am Zahn 21. Der endodontisch vorbehandelte Zahn (multiple Wurzelspitzenresektionen) war mit einer Krone prothetisch versorgt (Abb. 1). Die Krone wirkte im Mund etwas dunkel und hatte einen grauen Schimmer. Da der Zahn zudem immer wieder Beschwerden bereitete, äußerte die Patientin den Wunsch nach einer Neuversorgung. Ansonsten war sie vollbezahnt und funktionell ohne pathologischen Befund. Parodontal zeigte sich eine kleine Rezession im Unterkiefer-Frontzahnbereich.
Zu den schwierigen Anforderungen im Frontzahnbereich gesellten sich hohe ästhetische Ansprüche. Die klinische sowie radiologische Diagnostik (Abb. 2) ergaben, dass der Versuch des Erhalts von Zahn 21 keine sichere Perspektive bot. Die Entscheidung fiel für die Extraktion des Zahnes. Um das Hart- und Weichgewebe bestmöglich vor der physiologischen Remodellierung nach der Extraktion zu bewahren, wurde eine Sofortimplantation geplant.
Kapogianni
Kapogianni
Mit dem sofortigen Einbringen eines Implantats in die Extraktionsalveole soll einer umfangreichen Knochenresorption und einem starken Weichgeweberückgang vorgebeugt werden [1,5,7]. Zudem ist bei einem lappenfreien Vorgehen das chirurgische Trauma gering, was dem ästhetischen Ergebnis (keine Narbenbildung) zugutekommt. Letztlich sind die vergleichsweise schnelle prothetische Rehabilitation und die reduzierte Anzahl von Behandlungssitzungen Argumente für dieses Therapieprotokoll.
Diagnostik und Planung
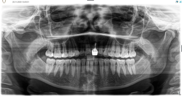
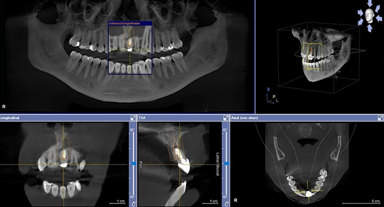
In Vorbereitung auf die Implantatplanung und das CAD/CAM-Herstellen der temporären Krone erfolgte eine digitale Datenerfassung mit dem Intraoralscanner (Trios 3, 3Shape). Der Datensatz der Ausgangssituation sollte später bei der CAD-Konstruktion hilfreiche Informationen liefern (Abb. 3). Mit dem Scan ist die Ausgangssituation digital archiviert und steht jederzeit zum Abruf bereit. Zudem wurde ein DVT für die Planung der Implantatposition am dreidimensionalen Bild vorgenommen und der DICOM-Datensatz in die Implantatplanungssoftware importiert (Abb. 4 und 5).
Kapogianni
Kapogianni
Theoretisch kann in der Planungssoftware der STL-Datensatz aus dem Intraoralscanner (Ausgangssituation oder Set-up) hinzugezogen und so die Implantatposition aus prothetischer Sicht ideal definiert werden. Im vorgestellten Fall ergab die 3D-Diagnostik ein ausreichend stabiles Knochenvolumen in regio 21. Geplant worden ist die Insertion eines BLX-Implantates (Straumann).
Kapogianni
Das Implantatsystem
Das Straumann® BLX ist für Sofortversorgungsprotokolle gut geeignet. Besonderheiten sind die sogenannten „Cut-Collect-Condense“-Eigenschaften. Das Implantat hat ein selbstschneidendes Gewinde und zudem die Fähigkeit, den geschnittenen Knochen aufzusammeln und zu transportieren. Daraus resultiert laut Hersteller eine homogene periimplantäre Knochendichte. Mit den selbstschneidenden Eigenschaften (Cut) wird eine verbesserte Kontrolle über das Drehmoment erzielt.
Zudem kann während der Implantatinsertion der native Knochen entlang des Implantats neu verteilt werden (Collect). Die Verteilung von Knochenpartikeln und Blut führt zu einem hohen Knochen-Implantat-Kontakt direkt nach der Implantation. Für eine optimale Primärstabilität greift das Implantat apikal in die Spongiosa ein, kondensiert den periimplantären Knochen (Condense) sanft sowie gleichmäßig und entlastet den Druck vom empfindlichen kortikalen Knochen. Die bewährte SLActive-Oberfläche reduziert die Einheilzeit und sorgt für eine schnelle Osseointegration [8].
Chirurgischer Eingriff: Extraktion und Insertion
Unter Lokalanästhesie wurde der beherdete Zahn 21 extrahiert und hierbei auf die maximale Schonung der vestibulären Lamelle geachtet. Die Entzündung konnte rückstandslos entfernt werden. Die Sondierung ergab eine intakte faziale Knochenlamelle (Abb. 6). Die frische Extraktionsalveole wurde als Implantatbett aufbereitet und das Implantat (BLX ø 4 mm, 14 mm) entsprechend der Planung dreidimensional im palatinalen Bereich der Alveole inseriert [3,6] (Abb. 7 und 8).
Kapogianni
Das BLX-Implantat hat einige Besonderheiten im Design. So nimmt beispielsweise das Gewinde des Implantats zum krestalen Bereich hin an Stärke zu, sodass zusätzlich zur horizontalen Kondensation auch vertikal Knochen kondensiert wird. Ziel ist eine Primärstabilität im gesamten Implantatbett basierend auf einer homogenen Krafteinleitung. Drucknekrosen sollen so verhindert werden. Im krestalen Bereich ist das Implantat um 1/10 reduziert, um das sensible Gewebe in der Kortikalis drucklos zu lassen. Das BLX-Implantat konnte mit einer für die Sofortversorgung ausreichenden Primärstabilität (mind. 45 N/cm2) inseriert werden.
Kapogianni
Kapogianni
Chairside-Scanning: Digitaler Implantatscan statt analoger Abformung
Das Herstellen der Sofortversorgung in der Zahnarztpraxis erfolgte CAD/CAM-gestützt mit dem 3D-Drucksystem Straumann® CARES® P20. Hierfür wurde die Situation nach der Implantatinsertion auf direktem Weg – chairside – digitalisiert. Auf den Umweg einer konventionellen Abformung mit Modellherstellung und der anschließenden Rückführung in einen digitalen Datensatz (Laborscanner) kann auf diese Weise verzichtet werden. Auf das inserierte Implantat regio 21 wurde der Scanbody aufgebracht (Abb. 9 und 10). Mit dem Intraoralscanner (Trios, 3Shape) konnte nun die Implantatposition erfasst und in der Software abgespeichert werden (Abb. 11 und 12).
Kapogianni
Kapogianni
Kapogianni
Kapogianni
Augmentation
Der Spalt zwischen dem Implantat regio 21 und der vestibulären Alveolenwand (Jumping Distanz) wurde mit Knochenersatzmaterial (cerabone, Botiss) gefüllt (Abb. 13 und 14). Ziel einer Augmentation im Bereich der vestibulären Alveolenwand ist eine verbesserte Regenerationsfähigkeit der Hart- und Weichgewebe [15]. Um einen Kollaps der Weichgewebe zu verhindern, sollte die Alveole innerhalb kürzester Zeit versorgt werden.
Kapogianni
Kapogianni
Der Resorption der bukkalen Lamelle soll durch die Augmentation bestmöglich entgegengewirkt und die Knochenneubildung unterstützt werden. Erfahrungsgemäß führt das Füllen des Gaps in vielen Fällen zu einem besseren Ergebnis. Aufwendige Folgeaugmentationen lassen sich oft vermeiden. Verwendet wurde in diesem Fall ein Knochenersatzmaterial [4]. Nach dessen Einbringen und dem Aufsetzen der Abdeckschraube wurde die Situation mit einer Matratzennaht verschlossen (Abb. 15).
Kapogianni
3D-Druck der temporären Restauration: CAD-Konstruktion der Krone
Das Herstellen der temporären Restauration erfolgte auf Basis der Scandaten. Da es sich bei dem Intraoralscanner um ein System handelt, welches einen offenen Datensatz ausgibt, kann gewählt werden, wer die Weiterverarbeitung bzw. das Herstellen der Restauration vornehmen soll. Das STL-File oder PLY-File kann für den Versand an das Dentallabor oder einen anderen externen Dienstleister vorbereitet werden. Oder die weitere Umsetzung erfolgt – wie in diesem Fall – direkt in der Praxis. Hierfür wurde der Datensatz in die CAD-Software (Straumann® Cares® Visual) importiert und die Implantatkrone konstruiert (Abb. 16 und 17).
Kapogianni
Kapogianni
Ebenso schnell wie die Konstruktion der Krone erfolgten der Import des Datensatzes aus der Designsoftware in die CAM-Software (Autodesk Netfabb) des Druckers und das Vorbereiten des Datensatzes (Abb. 18 und 19). Der Straumann® CARES® P20 (Abb. 20) basiert auf der Force-Feedback-Technologie. Hierbei überwacht ein Messgerät den Druckvorgang und liefert Echtzeit-Daten für die Bewegungssteuerung. Zudem sorgt die Technologie für eine schnelle Druckzeit. Als Material für den Druck der temporären Krone wurde das Kompositharz P pro Crown & Bridge (Straumann) in der Farbe A1 gewählt. Über sogenannte RFID-Tags erkennt der Drucker das Material automatisch und verarbeitet die Informationen entsprechend.
Kapogianni
Kapogianni
Kapogianni
Post-Processing
Das 3D-Drucksystem integriert in seiner Prozesskette die Geräte für das Post-Processing: das automatische Reinigungssystem (Straumann® CARES® P wash) und das automatisierte Lichthärtegerät (Straumann® CARES® P cure). Somit lassen sich gedruckte Restaurationen mit hoher Sicherheit und Materialqualität herstellen. Besonderheit ist der Reinigungsprozess. Unmittelbar nach dem Druckvorgang werden die Objekte in eine Zentrifuge gegeben und Resin-Überschüsse durch das Schleudern restlos entfernt.
Diese Art der Reinigung ist eine Alternative zum gängigen Vorgehen mit Alkohol; Alkohol kann die Langzeitstabilität eines Druckharzes negativ beeinflussen. Die Reinigung in der Zentrifuge kann für die Materialqualität positiv sein. Gerade bei Objekten, die längere Zeit im Mund verbleiben (temporäre Kronen), ist dieser Aspekt des Post-Processing zu bedenken [11,16]. Letztlich folgte die ebenfalls automatisch gesteuerte Lichthärtung.
Fertigstellung und Einsetzen der temporären Implantatkrone
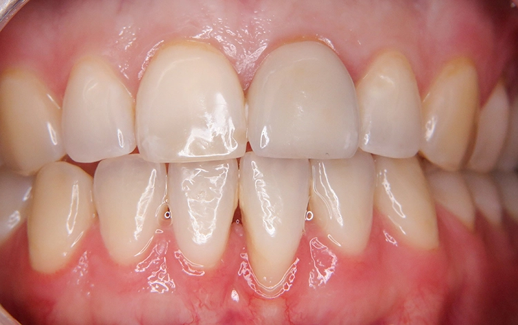
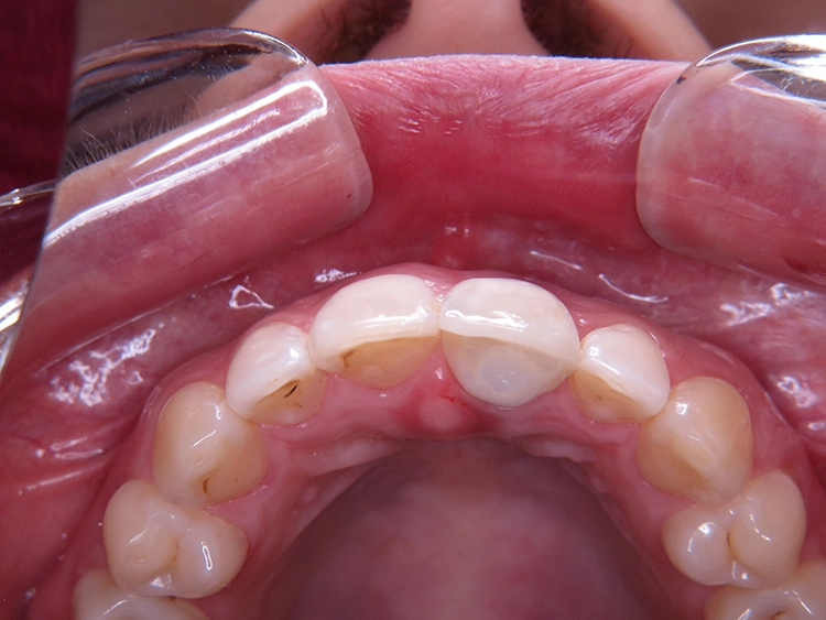
Die gedruckte Implantatkrone kann auf Wunsch mit lichthärtenden Laborkompositen oder Malfarben charakterisiert werden. Im vorliegenden Fall erfolgte lediglich eine Politur der temporären Krone (Abb. 21). Basierend auf dem Variobase® Aufbau (Straumann) konnte die Krone 20 Stunden nach der Insertion des Implantates regio 21 im Patientenmund verschraubt werden (Abb. 22 bis 25). Funktionell wurde die Restauration statisch sowie dynamisch außer Okklusion gestellt. Die Patientin fühlte sich mit dem erzielten Ergebnis wohl. Im komplett digitalen Workflow und innerhalb einer nur kurzen Zeit konnte sie mit einem adäquaten, provisorischen Zahnersatz aus der Praxis entlassen werden.
Kapogianni
Kapogianni
Kapogianni
Kapogianni
Kapogianni
Kapogianni
Kapogianni
Kapogianni
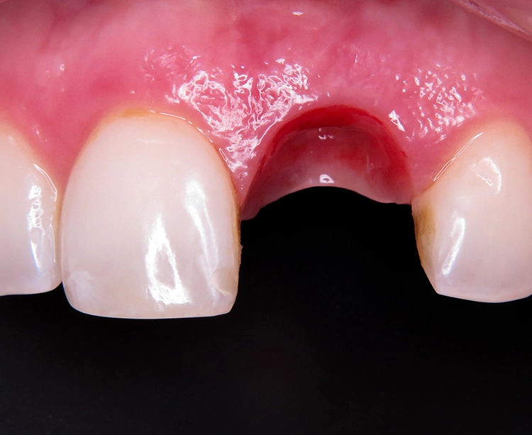
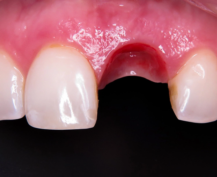
Die Einheilphase verlief komplikationslos. Für die Herstellung der definitiven Implantatkrone wurde eine konventionelle Implantatabformung vorgenommen, um die präzise Passung des Abformpfostens auf dem Implantat am Röntgenbild vornehmen zu können (Abb. 26 und 27).
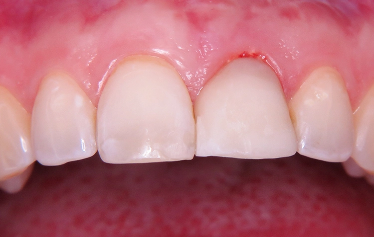
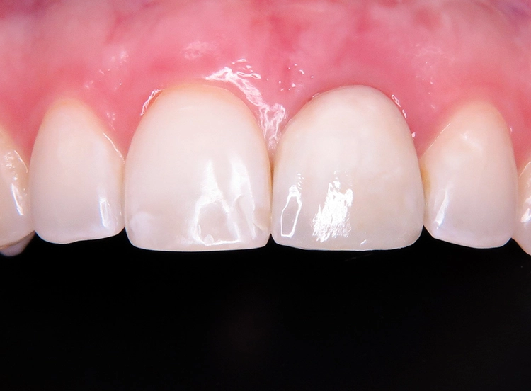
Theoretisch wäre die digitale Datenerfassung mit dem Intraoralscanner möglich, allerdings sind die Scanpfosten nicht radioopak, so dass eine exakte radiologische Kontrolle nicht möglich ist. Im Dentallabor wurde zunächst das vollkeramische Abutment gefertigt und nach dessen Einprobe die vollkeramische Krone hergestellt (Abb. 28 bis 30). Nach dem Verschrauben der Krone im Mund konnte der Schraubenkanal mit Komposit verschlossen werden. Es zeigt sich eine stabile Situation mit einem gesunden peri implantären Weichgewebe und harmonischem Gingivaverlauf (Abb. 31a und b).
Kapogianni
Kapogianni
Kapogianni
Kapogianni
Kapogianni
Kapogianni
Kapogianni
Kapogianni
Kapogianni
Fazit
Gerade im Frontzahnbereich stellen keramische Restaurationen und die patientenspezifische Fertigung im Dentallabor aus ästhetischer und funktioneller Sicht das Optimum dar. Unabhängig davon hat der 3D-Druck – zusätzlich zu anderen Fertigungsverfahren – seine Berechtigung. In der Zahnarztpraxis lassen sich mittels 3D-Druck neben temporären festsitzenden Restaurationen beispielsweise Modelle, Abformlöffel oder Bohrschablonen drucken. Momentan liegt ein hoher Fokus der Werkstoffkunde-Forschung auf 3D-Druckmaterialien.
Hier werden sich in absehbarer Zeit weitere Anwendungsbereiche eröffnen, die für Praxis und Labor interessant sind, z. B. der definitive Zahnersatz. Somit ergänzt der 3D-Druck zunehmend etablierte Verfahrensweisen und kann teilweise aufwendige konventionelle Fertigungsprozesse ersetzen. Mit dem neuen 3D-Druckmaterial P pro Crown & Bridge (Straumann) lassen sich auf vergleichsweise schnellem Weg temporäre Kronen und Brücken anfertigen, z. B. im Rahmen einer implantologischen Sofortversorgung. Grundsätzlich ist in der provisorischen Phase die Biokompatibilität des verwendeten Materials wichtig, u. a. für die Weichgewebeheilung.
Ebenfalls wichtig ist das zuverlässige Post-Processing, bestehend aus Reinigung und ausreichender Polymerisation. Eine validierte Prozesskette ist für den sicheren und zugleich effizienten Ablauf unerlässlich. Wie bei der Bedienung eines jeden Neugerätes und der Anwendung jeder neuen Technologie ist für den 3D-Druck eine gewisse Lernkurve erforderlich. Denn auch wenn viele Prozesse automatisiert ablaufen, entscheidet letztlich der Anwender bzw. die Anwenderin über die erfolgreiche Etablierung einer Technologie im Arbeitsalltag.
Bildquellen sofern nicht anders deklariert: Unternehmen, Quelle oder Autor/-in des Artikels
Entdecke CME Artikel





Keine Kommentare.