Der immer höhere Anteil von Patienten mit Abrasionen, Attritionen, Erosionen und/oder Parafunktionen fordert ein Umdenken in der Behandlungsweise im Sinne einer biologisch minimalinvasiv [2] und okklusionsprophylaktisch orientierten Therapievariante [3], um letztendlich die Sicherung der statischen sowie der dynamischen Okklusion zu gewährleisten [4–7]. Dabei ist hervorzuheben, dass auf Gelenkebene lediglich ein Spielraum von 0,6 bis 0,8 mm vorliegt [8,9] und die Taktilität des Kausystems noch empfindsamer reagiert (0,02 bis 0,03 mm) [10]. Für die Rekonstruktion von Zähnen bzw. Kauflächen wird als Behandlungsziel eine Defensivgestaltung der Kauflächen angestrebt, um die bei der Parafunktion (Stressventil) auftretenden Kräfte „aufzufangen“ und damit das Risiko einer Überlastung/Schädigung des Kauorgans respektive des Zahnersatzes zu minimieren.
Eine Veränderung der vertikalen Dimension stellt bei Myoarthropathie, Zahnverlust sowie parodontaler Entzündung in Kombination mit Attachmentverlust eine zusätzliche Hürde dar, insbesondere wenn „nichttaktiler“, implantatgetragener (Einzel-)Zahnersatz vorgesehen ist [11]. Das nachfolgend vorgestellte ganzheitliche Behandlungskonzept soll zeigen, wie diese Hürde überwunden wird. Das Hauptaugenmerk richtete sich auf Funktion, Phonetik und Ästhetik [12,13].
Patientenfall
Spezielle Anamnese
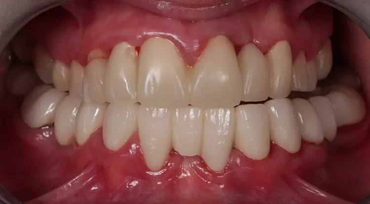
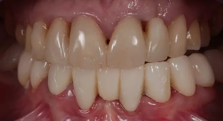
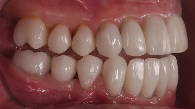
Eine 35-jährige Patientin stellte sich auf Empfehlung eines Kollegen mit einem sanierungsbedürftigen, parodontal (Parodontitis apicalis) geschädigten Gebiss vor. Zudem zeigten sich Verspannungen im Schulter- und Nackenbereich. Sie wies darauf hin, dass sich aufgrund einer angefangenen prothetischen Sanieriung in der jüngsten Vergangenheit das Kauvermögen deutlich reduziert hat und die Gebisssituation besonders in der oberen Front sich immer weiter verschlechtert hat. Laut eigener Aussage „würden die Zähne nicht mehr richtig aufeinanderpassen“ und seit der angefangenen Sanierung im UK „wäre das Kauen nur noch eingeschränkt möglich“ (Abb. 1 und 2).
Egger
Egger
Sie litt zudem an überempfindlichen Zahnhälsen im Bereich der Prämolaren und Molaren beidseits. Vor ungefähr 15 Jahren wurde laut Patientin die erste „Full-Mouth-Rekonstruktion“ in Mazedonien durchgeführt. Die klinische Funktionsanalyse zeigte positive parafunktionelle Befunde (okklusaler Index 1,4 „kompensiert +“), die bei der Patientin regelmäßig zu Kopfschmerzen sowie starken Beschwerden beim Kauen und Schlucken führten.
Allgemeine Anamnese
Beim Erstbesuch im Januar 2020 gab die Patientin im Rahmen der Erhebung der allgemeinmedizinischen Anamnese an, als Kind Windpocken und Gelbsucht durchgemacht zu haben. Darüber hinaus beklagte sie dauerhafte Kopfschmerzen und nahm an Medikamenten Aspirin und Zoming (Spray) ein. Die sonstige Anamnese war unauffällig.
Diagnose
Egger
Die Patientin wünschte sich zudem nach Möglichkeit ein anspruchsvolles ästhetisches Erscheinungsbild und war sich des Misserfolgsrisikos der zu revidierenden Zähne bewusst. Dass auch bei parodontal vorgeschädigten Zähnen nach entsprechender Vorbehandlung eine vorhersagbare Langzeitprognose formuliert werden kann [15], stand außer Zweifel. Die Frage war vielmehr, welcher Aufwand (finanziell sowie zeitlich) benötigt wird und ob mit entsprechend (vorhersagbarem) ästhetischem Outcome zu rechnen sei.
Vorbehandlung
Nach Befundaufnahme inklusive klinisch/instrumenteller Funktionsanalyse und professioneller Zahnreinigung erfolgten eine Abformung zur Herstellung von Situationsmodellen, die Aufnahme des Fotostatus, eine Clinometerregistrierung, eine individuelle Gesichtsbogenübertragung, die Bissnahme in zentrischer Kondylenposition [16] nach Deprogrammierung der Kaumuskulatur mit einem Aqualizer (um die Patientin „zentrikfähig“ zu machen) mittels Frontjig und GC Bite Compound nach Gutowski [17] (Abb. 4). Es folgten ein Wax-up/Mockup (Abb. 5), eine Schienenvorbehandlung in zentrischer Kondylenposition (RP) und eine Hygienephase für 6 Wochen.
Egger
Egger
Im Rahmen der chirurgisch/konservierenden Vorbehandlung fanden folgende Eingriffe statt: Zystektomie 21 und Alveolarkamm-Rekonstruktion in regio 22 (Abb. 6), plastische Stiftaufbauten an den Zähnen 13, 12, 11, 21, 35, 33, 32, 42 und 43 nach vorangegangener endodontischer Revision und Wurzelspitzenresektionen bei Nichtausheilung im Apexbereich; aus finanziellen und strategischen Überlegungen Entfernung der Zähne 17 und 47 aufgrund diffuser Beschwerden (manchmal dumpf, leichter Druck, kälteempfindlich „je nach Wetterlage“) und infauster Prognose. Die Alternativtherapien wurden mit der Patientin ausführlich besprochen und abgewogen. Des Weiteren wurden eine Weichgewebeaugmentation der Oberkieferfront in regio 22 vorgenommen sowie eine Verdickung des Weichgewebes mit Bindegewebetransplantaten in Tunnelierungstechnik unter zusätzlichem Einsatz von Schmelzmatrixprotein und eine Lippenbandexzision in regio 31/41 durchgeführt (Abb. 7).
Egger
Egger
Egger
Die begleitende Kieferphysiotherapie diente zur Unterstützung der Adaptation an die neue vertikale Okklusionsdimension (VDO) [18–20]. Es folgte dann die Reevaluation bezüglich der Akzeptanz der neuen VDO nach einer Adaptationsphase von 4 und 8 Wochen. Bis auf die Zähne 17 und 47 stellten sich nach erfolgter Vorbehandlung alle für die definitive Versorgung geplanten Zähne im Unterkiefer als sicher erhaltungswürdig dar.
Definitive Versorgung
Als nächster Schritt wurde eine schablonengeführte Implantation für die definitive Versorgung im Unterkiefer gewählt (Nobel GuideTM, Nobel Biocare) (Abb. 9). Die Versorgung erfolgte mit verschraubten Einzelkronen (Lithiumdisilikat IPS e.max Press, Ivoclar) auf Titanabutments Universal Base Abutments (Nobel Biocare) und Multilink Hybrid-Abutment (Ivoclar) (Abb. 10).
Egger
Egger
Die Implantation (zweizeitiges Vorgehen) fand an den Positionen 036, 045 und 031 statt (Replace Select Tapered RP jeweils 8 mm und Nobel Active 3.0 im UK-Frontzahnbereich Länge 10 mm, Nobel Biocare) [21]. Zeitgleich wurde nach Implantatverschluss mit Deckschrauben eine ortständige Augmentation mit Knochenersatzmaterial (DBBM, Bio Oss®, Geistlich) durchgeführt, mit Kollagenmembran (BioGide®, Geistlich) stabilisiert und anschließend mit 5.0er Naht verschlossen.
Prä- und postoperativ wurde eine Antibiose mit Augmentin 625 mg für 5 Tage verordnet. Die definitive Versorgung erfolgte nach einer Einheilphase von 6 Monaten und vorheriger Austestung der Bisslage mit verblockten Langzeitprovisorien.
Eine chirurgisch-ästhetische Kronenverlängerung im Bereich der OK-Prämolaren beidseits erfolgte nach lokaler Anästhesie mit Articain® 1:100 000 (Septodont). Nach sulkulärer Inzision wurde die modellierende Ostektomie im Bukkalbereich durchgeführt. Die Ausformung der Gingiva wurde mittels externer Gingivektomie sowie Präparation der Seitenzahnbereiche von 17 bis 14 und 24 bis 26 für die Eingliederbarkeit der verblockten Langzeitprovisorien realisiert. Die Reevaluation mit klinischer und instrumenteller Funktionsanalyse erfolgte nach 4 Wochen.
Es wurde ein neues Wax-up für den OK und UK mit einer Bissabsenkung zur Optimierung des Overbite und zur Gestaltung einer flacheren Okklusionsebene angefertigt. Die Präparation im OK zur Herstellung eines CAD/CAM-gefrästen OK-LZP mit Anpassung an die UK-Kauflächen mit durchsichtigem Silikonschlüssel und Komposit via neuem Waxup erfolgte für die Patientin wahlweise mit „schmalen“ und „breiten“ Frontzähnen. In einer erneuten Reevaluation nach 4 Wochen wurde die Austestung der Bisslage mittels klinischer Funktionsanalyse realisiert.
Im nächsten Schritt erfolgte die Insertion eines Einzelzahnimplantats in regio 22. Nach erfolgter Einheilphase von 6 Monaten [21] wurde für die definitive Versorgung eine verschraubte Implantateinzelkrone (Creapresskäppchen und feldspatkeramische Verblendung, Creation Willi Geller, KLEMA Dentalprodukte, Österreich) auf einem geklebten Titanabutment (A3 Dental) (Multilink Hybrid-Abutment, Ivoclar) gewählt.
Zusätzlich erfolgte aufgrund einer Kronen-/Wurzelfraktur an Zahn 42 ein Ersatz per Sofortimplantation in zweizeitiger Vorgehensweise mit einem Nobel Active®-Implantat (3.0, 10 mm, Nobel Biocare). Für die Einheilphase erfolgte der Implantverschluss mit einer Deckschraube.
Im Zuge der Implantation wurde auch eine Weichgewebeaugmentation mit anschließendem primärem Wundverschluss durchgeführt. Zur prä- und postoperativen Antibiose wurde Augmentin 625 mg für 5 Tage rezeptiert und administriert. Die Schmerzmedikation stand nach Bedarf zur Verfügung.
In den darauffolgenden Sitzungen wurden die Zähne 35, 37, 44 und 46 für die definitive Versorgung mit Presskeramikteilkronen versorgt sowie verschraubte Implantatkronen 036 und 045 eingegliedert (Abb. 11). Nach anschließender Präparation für die definitive Versorgung im Oberkieferseitenzahnbereich der Zähne 14 bis 16 sowie 24 bis 26 wurden Presskeramikteilkronen eingegliedert (Abb. 12).
Egger
Egger
Es erfolgte eine Wurzelspitzenresektion (WSR) an Zahn 11 wegen persistierender Entzündung nach Wurzelkanalbehandlung im Januar 2020. Aufgrund einer Periimplantitis wurde ein Re-entry an 31 sowie der Aufbau mit DBBM (Knochenersatzmaterial), einer Kollagenmembran, Emdogain und einem Bindegewebetransplantat durchgeführt.
Die Abformung des UK-Frontsegments von 34, 33, 31, 42, 43 diente zur Herstellung der definitiven Versorgung mit Presskeramikrestaurationen. Die erneute Freilegung in regio 31 und 42 erfolgte zur Eingliederung der Versorgung nach 7 Monaten Wartezeit.
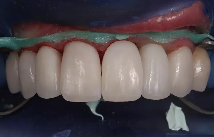
Im Oberkiefer fand die abschließende Präparation (nach Hart- und Weichgewebeaugmentation regio 22 und temporärer Versorgung mit LZP für 12 Monate) für die definitive Versorgung der Front 13 bis 23 mit Vollkeramikrestaurationen (Presskeramikgerüste „Creapress“, KLEMA, vollverblendet mit Feldspatkeramik Creation CC, KLEMA) statt (Abb. 13 und 14). In den Folgesitzungen schlossen sich die Abdrucknahme, Zentrikbissnahme, Gesichtsbogenübertragung, Anproben und definitive Eingliederung an.
Egger
Egger
Diskussion/Epikrise
Mit dem Fokus auf die funktionell kompromittierte Ausgangssituation wurde nach knapp 1,5 Jahren eine Condylografie vorgenommen. Insgesamt sind die Bahnen „symmetrischer“ geworden, und die geführten Bewegungen haben sich deutlich verbessert. Dies lässt im Umkehrschluss auf eine gesteigerte Effizienz der Muskulatur schließen, welche das strukturelle (internal derangement) Defizit auf Gelenkebene „kompensiert“.
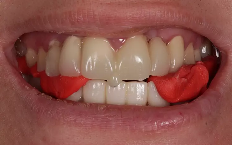
Der Unterkiefer „arbeitet“ nach Abschluss der Rekonstruktion „interferenzfreier“ und „muskulär koordinierter“ als je zuvor, was für die Kaumuskulatur weniger Kraftaufwand (keine Vermeidungs- und Ausweichbewegungen) und mehr Effizienz (verbesserte Okklusion und Artikulation, Abb. 15 bis 17) bedeutet. Dies ist der Therapieplanung (im Sinne eines „Backward-Planning) und deren gezielter Umsetzung und somit hoher Vorhersagbarkeit für eine langfristige Prognose der Rekonstruktion zuzusprechen. Im Molarenbereich zeigen sich noch dynamische Kontakte, insbesondere bei parafunktioneller Aktivität (Abb. 18), die sich auch im Erscheinungsbild der Condylografie-Kurven widerspiegeln.
Egger
Egger
Egger
Egger
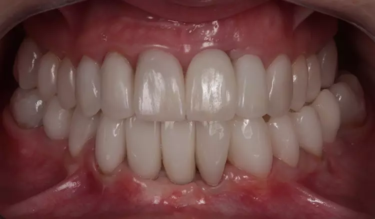
Aufgrund der klinischen Beschwerdefreiheit und auch der Tatsache, dass Heilungs- und Umbauvorgänge im Gelenk noch stattfinden können, soll vorerst noch 6 bis12 Monate bei regelmäßiger klinischer Nachkontrolle abgewartet werden. Die Patientin ist subjektiv beschwerdefrei (keine Anzeichen einer Dekompensation in der klinischen Funktionsanalyse). Zudem äußert sie keine Druckdolenz der Kaumuskulatur und/oder der Gelenke [22,23] (Abb. 19 bis 22).
Egger
Egger
Egger
Egger
Bildquellen sofern nicht anders deklariert: Unternehmen, Quelle oder Autor/-in des Artikels
Entdecke CME Artikel


![Prozess des ADOLOPMENT (übersetzt und modifiziert nach [26]).](https://dentalwelt.spitta.de/wp-content/uploads/post_images/Abb1_96.jpg.webp)


Keine Kommentare.