Epidemiologie der MIH
Weltweit wird die Prävalenz der MIH auf ca. 13% geschätzt, wobei etwa ein Drittel der Fälle wegen Schmerzen oder Läsionen einen akuten Behandlungsbedarf haben [13]. Der jährliche Zuwachs der Prävalenz wird global auf ca. 5 Millionen Menschen geschätzt [2]. Für Deutschland liegen nur regional Daten vor.
Dabei zeigte sich eine signifikante Zunahme der Häufigkeit der Erkrankung. Amend et al. kalkulierten eine Prävalenz von etwa 10% im ländlichen und über 17% im städtischen Bereich [1].
Für Bayern fehlen aktuell repräsentative Daten. Insgesamt scheint sich die MIH zu einem ernsthaften Gesundheitsproblem innerhalb der Bevölkerung zu entwickeln.
Definition der Erkrankung
Basierend auf der Definition der EAPD haben ein bis alle vier 6-Jahr-Molaren (6JM) die Schmelzhypomineralisation, wobei auch bleibende Frontzähne und die zweiten Milchmolaren (Milchmolaren-Hypomineralisation [MMH]) betroffen sein können [15]. Dies bedeutet, dass die Diagnose MIH ohne Beeinträchtigung an mindestens einem 6JM nicht gestellt werden kann. Die Definition wurde aktuell erweitert, da Symptome wie bei den 6JM auch an Prämolaren, den 12-Jahr-Molaren oder an der Spitze der bleibenden Eckzähne aufgefallen sind [11].
Klinisches Bild der MIH
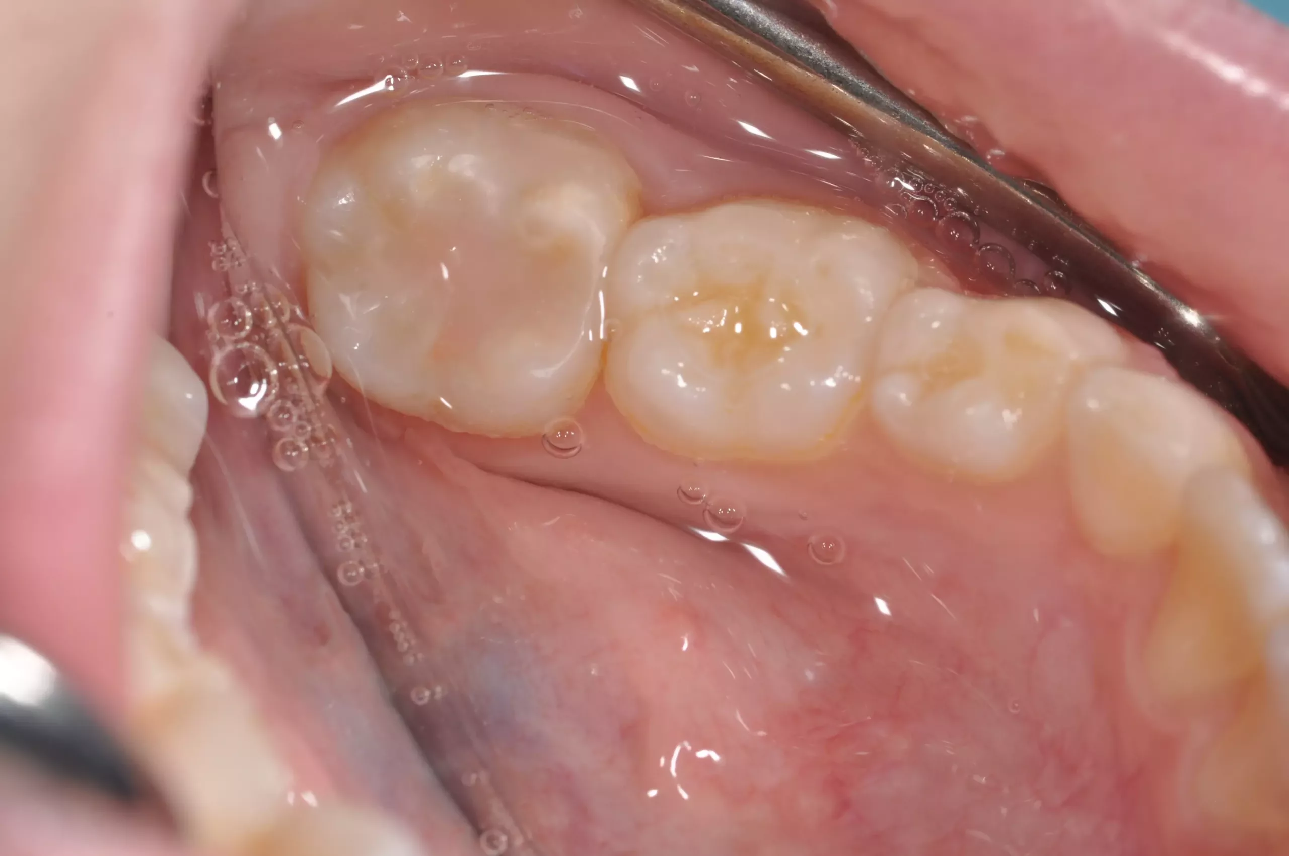
Typisch sind bei der leichten Form der Erkrankung weiße, cremige oder gelblich bis braune Opazitäten (Abb. 1). Im Gegensatz zur Dentalfluorose zeigt sich eine große Variabilität in Form, Farbe und Größe an den Zähnen innerhalb einer Mundhöhle. Bei der schweren Form bricht die Schmelzoberfläche nach dem Durchbruch des Zahnes im okklusalen Kontaktbereich aufgrund der Kaukräfte ein oder die Zähne weisen bereits im Durchbruch Defekte und Hypoplasien auf (Abb. 2).
Norbert Krämer
Norbert Krämer
Leider sind in diesen Fällen die Zähne häufig überempfindlich und neigen zu spontaner Schmerzreaktion auf äußere Reize wie Kälte oder bei Berührung (z.B. Zähneputzen). In diesen Fällen sollte auf ein Trockenpusten bei der Befundaufnahme verzichtet werden. Zudem muss damit gerechnet werden, dass die Lokalanästhesie schlechter wirkt [11,15].
Ätiologie der MIH
Die Ursachen der Erkrankung sind multifaktoriell, da Ameloblasten durch unterschiedliche Faktoren beeinflusst werden können. Dies bedeutet, dass die Fokussierung nur auf eine mögliche Ursachenquelle der Problematik nicht gerecht werden kann. Es wird vermutet, dass in einigen Fällen das Ergebnis der Erkrankung in der Wechselwirkung zwischen Umweltfaktoren und der genetischen Disposition gesehen werden muss [11].
Grundsätzlich überwiegen Ursachen, die perinatal oder postnatal auftreten. Während der Schwangerschaft scheint der Fötus gut geschützt zu sein. Systemische medizinische Faktoren, wie perinatale Hypoxie, Frühgeburtlichkeit und andere hypoxiebedingte perinatale Probleme (z.B. Kaiserschnitt) scheinen das Risiko für das Auftreten der MIH zu erhöhen.
Postnatal werden Krankheiten im Säuglings- und Kindesalter (z.B. Fieber und Antibiotikaeinnahme) oder ein Vitamin-D-Mangel ursächlich mit MIH in Verbindung gebracht [4]. Lygidakis et al. kommen in ihren aktuellen Empfehlungen zum Schluss, dass die Rolle der genetischen Veranlagung und epigenetischer Einflüsse als Schlüsselinformation angesehen werden muss, um den Mechanismus der Erkrankungsentstehung besser zu verstehen [11]. Exemplarisch kann daher an dieser Stelle auf den Einfluss von Bisphenol A auf die Entwicklung von MIH im Tierversuch verwiesen werden [5,6;7].
Behandlungsoptionen der MIH
Basierend auf den Behandlungsrichtlinien der EAPD sollten für eine adäquate Therapie sowohl patienten- als auch zahnbezogene Parameter berücksichtigt werden [11]. Folgende Faktoren werden dabei diskutiert:
- Patientenbezogene Faktoren: Alter des Patienten, medizinische Anamnese, Fähigkeit zur Kooperation, Hypersensitivität, pulpitische Symptome, Zugang zur allgemeinen zahnärztlichen Versorgung, Zugang zu spezialisierter Versorgung (Kinderzahnheilkunde/Kieferorthopädie).
- Orale Faktoren: Anzahl der betroffenen Zähne, Kariesrisiko, Stadium der Gebissentwicklung, Vorhandensein der Weisheitszähne, Hypodontie, Vorhandensein/Fehlen von Engständen, Notwendigkeit einer zukünftigen kieferorthopädischen Behandlung.
- Zahnbezogene Faktoren: Größe des Defektes, Lokalisation des Defektes, Anzahl der betroffenen Flächen, posteruptiver Einbruch der Zahnoberfläche mit/ohne Pulpabeteiligung. Vor diesem Hintergrund ist es nicht verwunderlich, dass es keine einheitlichen Empfehlungen für die Versorgung der Zähne geben kann, sondern individuelle Entscheidungen getroffen werden müssen. Tabelle 1 zeigt in Abhängigkeit vom Alter, dem Schweregrad und der Symptomatik unterschiedliche Behandlungsempfehlungen für die Versorgung der betroffenen bleibenden Molaren. Was die Tabelle nicht wiedergibt, ist der Grad der Compliance des Patienten. Bei schweren Fällen muss man sich daher mit einer temporären Restauration begnügen, um den jungen Patienten an die Praxis und aufwendigere Verfahren zu gewöhnen.
Norbert Krämer
Strukturelle Besonderheiten des MIH-Schmelzes
Der Schmelz von MIH-geschädigten Zähnen ist im Vergleich zu gesundem Schmelz durch einen geringeren Mineral- und höheren Proteingehalt gekennzeichnet. Dies zeigt sich anhand eines sehr hohen Anteils an Porositäten (Abb. 3a u. b) und an einer deutlich verringerten Mikrohärte. Die prismatische Struktur des betroffenen Schmelzes wird als weniger dicht beschrieben, mit großen leeren Strukturen und locker gepackten Apatitkristallen.
Norbert Krämer
Norbert Krämer
Diese mikrostrukturellen Anomalien führen zu einer drastischen Verringerung der mechanischen Festigkeit des Schmelzes (d.h. Oberflächenhärte, Verschleißverhalten, Bruchzähigkeit usw.), was natürlich auch zu einem geringen Widerstand gegen die Kaukräfte führt. Darüber hinaus sorgt die inhomogene Oberflächenstruktur, die kein regelmäßiges Muster in der Verteilung des verfügbaren Apatits aufweist, für insgesamt ungünstige Adhäsionsbedingungen [8].
Die strukturellen Besonderheiten reduzieren auch die Verbundfestigkeit zwischen Schmelz und Komposit. Infolgedessen neigen die Füllungsränder im geschädigten Bereich zu Randfrakturen und -spalten und Zahnaussprengungen. Ebenso ist mit Retentionsverlust großer Anteile der Füllung zu rechnen, was in der aktuellen adhäsiven Zahnerhaltungskunde äußerst selten vorkommt [9].
Die klinischen Beobachtungen hinsichtlich einer minderwertigen marginalen Integrität von adhäsiven Restaurationen stehen im Einklang mit den Ergebnissen von unseren Haftungstests [8]. Die In-vitro-Experimente zeigen, dass – unabhängig vom Haftvermittler und der verwendeten Adhäsivtechnik (Self-Etch versus Etch&Rinse) – auf MIH-beeinträchtigtem Schmelz eine signifikant geringere Haftfestigkeit als auf gesundem Schmelz erzielt wird. Im Gegensatz dazu wurde keine Beeinträchtigung der Haftung auf betroffenem Dentin festgestellt [8].
Behandlungsoptionen
Die Verwendung von Fissurenversieglern auf Kompositbasis (mit oder ohne Adhäsiv), vorgeformten Metallkronen, direkten Kompositrestaurationen und laborgefertigten Restaurationen wird für MIH-befallene Molaren oder Frontzähne empfohlen [14,3,13]. Folgende Behandlungsempfehlungen für MIH-Zähne (alle mit Evidenzgrad moderat) wurden von der EAPD erarbeitet (Stärke der Empfehlung) [11]:
1. Fissurenversiegelungen bieten sich zur Versorgung der Molaren bei der milden Form der MIH an. Allerdings sollte dabei immer ein Dentinadhäsiv verwendet werden und die Zähne sollten vollständig durchgebrochen sein (stark).
Norbert Krämer
Norbert Krämer
Norbert Krämer
3. Komposit-Füllungen unter Kofferdam, mit einem invasiven Behandlungsansatz, also nach Präparation, können in leichten oder schweren MIH-Fällen als restaurative Option verwendet werden (stark).
4. Komposit-Restaurationen sollten nicht noninvasiv gelegt werden (stark).
5. Für die Vorbehandlung und die Art des verwendeten Adhäsivsystems können keine Empfehlungen gegeben werden. Es ist daher unwahrscheinlich, dass die Verwendung von Self-Etch- sowie Total-Etch-Adhäsiven oder Deproteinisierung mit Natriumhypochlorit vor dem Adhäsivschritt die Retentionsrate einer Komposit-Restauration positiv oder negativ beeinflusst (stark).
6. Vorgefertigte Metallkronen (Preformed metal crowns [PMC]) können in schweren MIH-Fällen eingesetzt werden (stark).
7. Laborgefertigte Restaurationen mit einem invasiven Ansatz können als Restaurationsoption ebenfalls bei schweren MIH Fällen verwendet werden (bedingt).
8. Ein guter Lückenschluss kann spontan nach der Extraktion der betroffenen Molaren erreicht werden. Dies hängt jedoch vom optimalen Zeitpunkt der Extraktion ab (bedingt).
Künftige Forschungsaufgaben
Insgesamt ist die Datenlage zu allen Aspekten (Epidemiologie, Ätiologie und Therapie) der MIH insbesondere bei uns in Deutschland moderat bis mäßig. Im Rahmen der Versorgungsforschung sollten daher nicht nur die Prävalenz der Erkrankung, sondern auch deren mögliche Ursachen erfasst werden. Für die Therapie wären eine verbesserte Adhäsion und Stabilisierung der weichen Zahnhartsubstanzen für minimalinvasive Techniken wünschenswert.
Insgesamt sollten jedoch nicht die psychosozialen Auswirkungen durch die teilweise massive Beeinträchtigung der Lebensqualität der Kinder unberücksichtigt bleiben. Zusätzlich zeigen die Abrechnungsdaten einzelner Krankenkassen bei uns in Deutschland, dass die Behandlung der MIH bereits wirtschaftliche Auswirkungen hat [12]. Eine ganzheitliche Forschungs- und Behandlungsstrategie sollte daher verfolgt werden [11].
Näheres zu den Autoren des Fachbeitrages: Prof. Dr. Dr. Norbert Krämer, Dr. Stefanie Amend, Prof. Dr. Roland FrankenbergerBildquellen sofern nicht anders deklariert: Unternehmen, Quelle oder Autor/-in des Artikels
Entdecke CME Artikel






Keine Kommentare.