Vor allem bei akuten Frakturen von Zähnen im Sichtbereich stellt sich die Frage, wann dem Zahnerhalt, beispielsweise durch Wurzelbehandlung, Stift-Stumpf-Aufbauten in Zusammenhang mit Überkronung oder Wurzelspitzenresektion, Grenzen gesetzt sind und man eher zur Extraktion des Zahnes rät. Im Zusammenhang mit Kronen-Wurzel-Frakturen, massiven Substanzverlusten, apikalen Beherdungen und parodontalen Geschehen mit erhöhtem Attachmentverlust und Lockerungsgrad wird heutzutage eher zur Zahnextraktion geraten [15].
Nicht nur der chirurgisch tätige Kollege, auch der Hauszahnarzt sollte sich bereits vor Zahnextraktion in Zusammenarbeit mit dem Patienten Gedanken über die Folgebehandlung der Zahnextraktion machen. Ausgehend von einem Einzelzahn bestehen nach momentanen Prämissen folgende Behandlungsalternativen:
- Sofortimplantation nach Extraktion, ggf. mit Sofortversorgung ohne Sofortbelastung.
- Verzögerte Sofortimplantation mit geschlossener Weichteildecke nach 3-4 Monaten mit Übergangsversorgung.
- Spätimplantation nach durchschnittlich 6-9 Monaten Ausheilzeit mit Übergangsversorgung.
- Eine klassische dental getragene Brücke nach weichgewebiger Ausheilung (ca. 3-6 Wochen).
- Eine ein- oder zweiflügelige Klebebrücke.
- Socket Preservation zur Knochenkonsolidierung für eine Spätimplantation oder zur Schaffung eines Ovoid Pontic für eine Brückenversorgung.
- Eine definitive herausnehmbare Variante.
Nach Untersuchungen von Ten Heggeler et al. gehen nach Zahnextraktion ca. 50% der Alveolarkammbreite verloren, dabei zwei Drittel innerhalb der ersten drei Monate, d.h. bis zu 4,5 mm in der Breite und 3,9 mm in der Höhe [14,17]. Unter heutigen Gesichtspunkten, die sich den Substanzerhalt bestehender gesunder Strukturen zum Ziel setzen, lässt sich durch eine Sofortimplantation und/oder Socket bzw. Ridge Preservation das Knochenlager bestmöglich erhalten, da durch die Implantation bzw. Augmentation und den damit verhinderten Kollaps des Knochenlagers die natürliche Knochenresorption nach Extraktion deutlich reduziert wird (Implantat = Resorptionsprotektor) [13]. Gleichzeitig ergeben sich für das Befinden des Patienten einige Vorteile gegenüber den anderen Behandlungskonzepten.
So werden mögliche aufwendige Knochenaufbaumaßnahmen nach Ausheilung vermieden, was zu reduziertem Operationsaufwand und reduziertem Zeitaufwand für den Patienten führt. Sind die Voraussetzungen für eine sofortige Versorgung mit Hilfe eines Langzeitprovisoriums außerhalb der statischen und dynamischen Okklusion (ohne Sofortbelastung) gegeben, ist der Patient zum einen sofort aus ästhetischen Gesichtspunkten wiederhergestellt und anderseits ist die Schaffung eines ästhetisch anspruchsvollen Emergenzprofils gegeben [12].
An dieser Stelle sollen jedoch die kritischen Punkte dieser Behandlung nicht unerwähnt bleiben. Vor allem bei steil bzw. invertiert stehenden oberen Frontzähnen und einem vestibulär zurückliegenden Processus alveolaris der Maxilla besteht die Gefahr der Perforation ins Vestibulum bei nicht achsgerechter, sondern der Zahnachse folgender Bohrung.
Außerdem kann trotz Positionierung der Implantatschulter von 2 mm subcrestal nicht die gewünschte Weichgewebeentwicklung garantiert werden, sodass auch Folgeeingriffe wie Bindegewebetransplantate oder Freie Schleimhauttransplantate notwendig sein können, wenn eine Weichgewebeverdickung durch Rolllappentechnik bei der Implantatfreilegung nicht anwendbar ist (z. B. wenn bei der Freilegung die Deckschraube freiliegt bei geplanter geschlossener Einheilung). Ein dicker Gingivatyp (Phänotyp B) gilt daher von vornherein als vorteilhaft für die Sofortimplantation [9].
Operatives Vorgehen
Bevor die Sofortimplantation an ausgewählten Patientenfällen gezeigt wird, soll an dieser Stelle auf einige allgemeine operative Besonderheiten dieses Verfahrens eingegangen werden: Schon vor der eigentlichen Operationsplanung muss die Patientenklientel für das Verfahren sehr sorgfältig ausgewählt werden. Da sehr häufig eine offene Einheilung stattfindet, sollte der Patient Nichtraucher sein. Auch Grunderkrankungen, wie nicht eingestellter Diabetes mellitus oder weitere Knochenstoffwechselerkrankungen, sind Kontraindikationen für die offene Einheilung.
Im Falle einer Sofortversorgung muss die Patientencompliance sehr hoch sein, d. h., der Patient muss tatsächlich sehr genau darauf achten, in den ersten 6-8 Wochen nicht auf der provisorischen Versorgung zu kauen oder mit dieser abzubeißen [13,16]. Unerlässlich ist es daher auf mögliche okklusale Parafunktionen zu prüfen. Genauso sollte das Operationsgebiet keine akuten, subakuten oder chronisch-persistierenden Entzündungen aufweisen, d.h. akute Gingivitis oder Parodontitis oder ein akutes apikales Geschehen.
Bei kleineren chronischen symptomlosen apikalen Beherdungen kann jedoch durchaus nach gründlicher Säuberung und Excholeation des Bereichs das Verfahren angewendet werden. Um solche Gegebenheiten zu erkennen, ist an dieser Stelle eine 3D-Bildgebung (DVT) mit hoher Auflösung sehr hilfreich [2]. Wie bereits erwähnt, hat außerdem ein dicker Gingivatyp für die Weichgewebeentwicklung im Nachgang große Vorteile [9].
Aufgrund der oftmals offenen Einheilung des Implantates hat sich in der Praxis des Autors eine Antibiose bewährt, bei der je nach Verträglichkeit ein Aminopenicillin, ein Cephalosporin der 2. bzw. 3. Generation oder ein Clindamycin zur Anwendung kommt. Dabei wird entsprechend des Körpergewichtes eine Gabe im Abstand von 12 Stunden, beginnend 24 Stunden präoperativ bis zu 7 Tagen postoperativ (je nach Umfang der Augmentation und Keimspektrum der Mundhöhle) favorisiert.
Grundvoraussetzung für eine Sofortimplantation stellt die minimal-traumatische Entfernung des Zahnes bzw. Zahnrestes dar. Dafür können beispielsweise besonders schonende Desmotome, wie z.B. die X-Tools der Firma Helmut Zepf oder die Piezosurgery oder auch der Benex-Extraktor der Firma Helmut Zepf zur Anwendung kommen.
Anschließend muss die Extraktionsalveole gründlich gereinigt werden. Hier ist es der Vorliebe des Behandlers überlassen, welche Maßnahmen er vornimmt. Von einem Anfräsen der Alveole bis hin zur Anwendung von Ozon, Laser oder H2O2 wird vieles praktiziert.
Generell wird die Sofortimplantation flapless durchgeführt, um eine Verschiebung der mucoginigivalen Grenzlinie zu vermeiden. Bei geplanten marginalen Augmentationen kann auch ein nearly-flappless Vorgehen, d.h. minimale Schnittführung im Papillenbereich zum mesialen und distalen Zahn mit minimaler Aufklappung hilfreich sein. Es gibt jedoch auch Situationen, in denen ein Entlastungsschnitt notwendig werden kann, z.B. wenn das Augmentieren vestibulärer Defekte notwendig wird (siehe Fall 3).
Bei der Aufbereitung des Implantatbettes gibt es einige Besonderheiten im Vergleich zum ausgeheilten Kieferkamm zu beachten. Vor allem im Oberkiefer-Frontzahnbereich sollte die Bohrung entlang der palatinalen Alveolenwand bzw. direkt im palatinalen Knochen erfolgen, wobei die dabei resultierende angewinkelte Implantatachse prothetisch ausgeglichen werden muss. Dabei muss vor allem darauf geachtet werden, dass die vestibuläre Lamelle nicht belastet wird, im Idealfall hat das Implantat ca. 1-1,5 mm Abstand zur vestibulären Lamelle.
Die Verankerung des Implantates im palatinalen Knochen ist vor allem in solchen Fällen unerlässlich, in denen, wie in der Einleitung beschrieben, aufgrund des zurückliegenden Processus alveolaris die Gefahr der Perforation im apikalen Bereich besteht (siehe Fall 2). In eine vestibuläre Perforation darf das Implantat selbstverständlich nicht inseriert werden, da die Hauptverankerungskraft des Implantates im gesunden periapikalen Bereich liegt.
In solchen Fällen empfiehlt sich daher die Anwendung einer Bohrschablone im Sinne der Guided Surgery. Liegen solche anatomischen Besonderheiten nicht vor, so wie es meist im Prämolarenbereich der Fall ist, kann die Bohrung mittig, der Alveole folgend vorgenommen werden (siehe Fall 1). Dabei ist anzumerken, dass vor allem bei Implantation des ersten oberen Prämolaren gern die palatinale Alveole genutzt wird, um die Entlastung der vestibulären Lamelle zu garantieren.
Im Molarenbereich des Ober- bzw. Unterkiefers wird die Bohrung meist im Septum vorgenommen. Dabei bieten sich z.B. die Densah-Versah-Burs in Rückwärtsbewegung zum Aufweiten und Verdichten der Pilotbohrung an (siehe Fall 5).
Vor allem im Molarengebiet ist ein ausreichend großer Implantatdurchmesser notwendig, um eine hohe Primärstabilität zu erzielen, Durchmesser von 6 oder 7 mm sind dabei nicht ungewöhnlich. Im Seitenzahngebiet sind jedoch durch den Unterkiefernerv und die Kieferhöhle der Sofortimplantation anatomische Grenzen gesetzt, da in der Regel 2-3 mm gesundes Knochenlager zur Implantatverankerung apikal der Alveole notwendig sind. Jedoch soll an dieser Stelle angemerkt sein, dass der Autor auch schon die Sofortimplantation mit interner Sinusbodenelevation in Kombination durchgeführt hat (siehe Fall 5).
Wichtig in allen Fällen ist jedoch, die Bohrung nach apikal so tief anzulegen, dass die Implantatschulter nach Inserieren ca. 1,5-2 mm subcrestal zu liegen kommt, um einer möglichen Atrophie des Kieferknochens im Rahmen des Bone-Remodelling bei der Alveolenregeneration vorzubeugen [1].
Ein besonderes Augenmerk ist bei der Sofortimplantation auf das Implantatdesign zu legen. Man sollte sich in diesem Fall für ein Implantatsystem entscheiden, mit dem hohe Primärstabilität erzeugt werden kann, da nur bei ISQ-Werten von über 70 oder Periotest-Werten von kleiner -6 eine Sofortversorgung möglich ist.
Wichtig ist ein Implantat mit progressiven Gewindegängen im apikalen Bereich bis hin zum oberen Implantatdrittel zu wählen. Diese aggressiven Gewindegänge schneiden gut in den spongiösen Knochen ein. Im koronaren Bereich des Implantates sollten die Gewindegänge dann eher flacher und weniger aggressiv sein, um den kortikalen Knochen nicht zu überlasten und Resorptionen an der Implantatschulter zu vermeiden.
Eine konische Innenverbindung (ca. 2-4° Konuswinkel) des Implantates ermöglicht eine spaltfreie Implantat-Abutment-Verbindung, wodurch Mikrobewegungen zwischen Implantat und Abutment minimiert werden und die bakterielle Besiedlung in hohem Maße reduziert wird, was schlussendlich wieder Entzündungen und Knochenresorption verhindert. Ein Platform Switch, sprich das Verlagern der Implantat-Abutment-Schnittstelle weg von der Implantatschulter, soll ebenfalls die crestale Resorption reduzieren bzw. soll der crestale Knochen sogar eine abgeschrägte Implantatschulter überwachsen. Schließlich spielt die Oberflächenbehandlung des Implantates (z.B. SLA-Oberfläche mit unterschiedlichen Hydrophilitäten) eine Rolle, da auf der vergrößerten Implantatoberfläche vermehrt ossäre Vorläuferzellen anhaften können [7].
Im Anschluss an die Implantat-Insertion stellt sich die Frage nach den Spalträumen zwischen Implantat und Alveole im crestalen Bereich, die sogenannten Jumping Gaps. Bezüglich des Verfahrens mit diesen Spalträumen gibt es unterschiedliche Ansätze. So sieht man bei kleineren Spalträumen von weniger als 1 mm in der Regel davon ab, diese zu verfüllen.
Bei größeren empfiehlt sich unter Umständen ein Auffüllen der Lücken. Vor allem, wenn man im Molarenbereich das Implantat im Septum inseriert hat, sollte man die Alveolen auffüllen. Jedoch ist zu bedenken, dass ein Verfüllen mit Knochenmaterial möglicherweise die vollständige Deckung des Wundgebietes nach sich zieht, was unter Umständen mit der minimalen Schnittführung bzw. flapless Variante nicht zu vereinen ist.
Eine vom Autor favorisierte Möglichkeit stellt daher das Verfüllen dieser Spalträume statt mit einem Knochenersatzmaterial mit a-PRF nach Choukrun dar. Natürlich ist auch ein Gemisch von Knochenersatzmaterial und a-PRF (sog. Sticky Bone) eine Option, wobei die Alveole dann auch mit einem Kollagenpunch oder einer Gewebestanze aus dem Gaumen gedeckt werden kann. Ein solch aufwendiges Verfahren zur Deckung sollte vor allem in Fällen von Frontzahnimplantaten mit dünnem Gingivatyp, hoher Lachlinie und hohen ästhetischen Ansprüchen des Patienten zur Anwendung kommen.
Geht man nach der Implantation von einer geschlossenen unbelasteten Einheilung aus, kann – je nachdem ob ein Knochenersatzmaterial verwendet wurde – nach 3 bis 6 Monaten freilegt werden und das Implantat kann prothetisch versorgt werden. Bei defizitären Weichgewebeverhältnissen kann zum Zeitpunkt der Freilegung z. B. auf einen Rolllappen zurückgegriffen werden oder ein Bindegewebstransplantat aus dem Gaumen eingesetzt werden [5].
Andernfalls kann man nach der Sofortimplantation auch eine Sofortversorgung durchführen, ein Vorgehen, das nur bei hoher Primärstabilität anzuwenden ist, welche bei hoher Eindrehkraft von mindestens 40 N/cm oder einem ISQ-Wert von über 70 besteht. In diesem Falle würde man, um das Weichgewebe optimal auszuformen, das „One Abutment – One Time Konzept“ anwenden, d.h. ein präfabriziertes Abutment (z.B. anhand der DVT-Analyse gefertigt) wird definitiv auf das Implantat geschraubt [10,11]. Anschließend wird auf diesem eine provisorische Krone gefertigt und provisorisch inseriert.
Zum Schutz vor unkontrollierter Parafunktion erhält der Patient zusätzlich eine Zahnschutzschiene. Die definitive Prothetik folgt auch hier je nach Ausmaß der Augmentation nach 3 bis 6 Monaten. Dabei wird das eingesetzte Abutment nicht noch einmal entfernt, sondern mit einem herkömmlichen Abdruck abgeformt.
Fallberichte
Im Folgenden soll die Sofortimplantation an verschiedenen Fallbeispielen unterschiedlicher Zahngruppen dargestellt werden.
1. Prämolarenbereich
Dr. Opitz
Dr. Opitz
Dr. Opitz
Dr. Opitz
Dr. Opitz
Dr. Opitz
Dr. Opitz
Dr. Opitz
Dr. Opitz
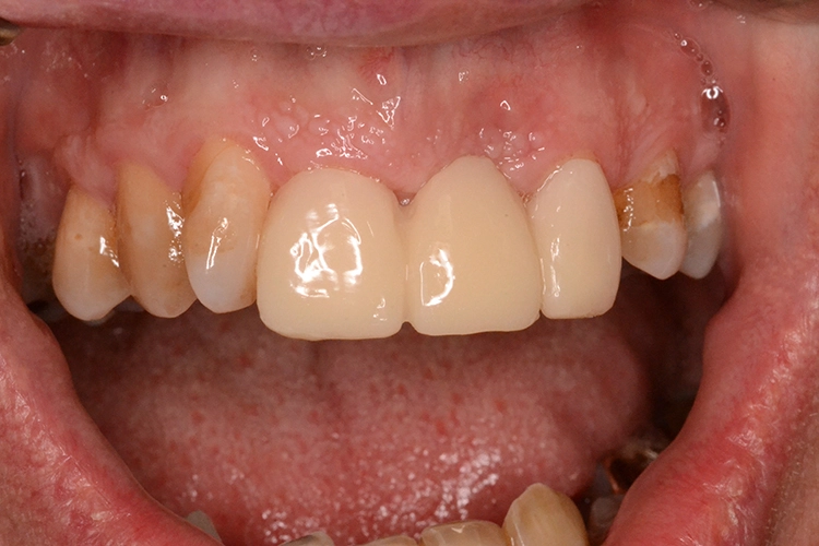
2. Oberkiefer-Frontzahn mit vestibulär zurückliegendem Processus alveolaris
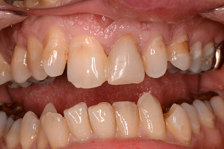
Bei diesem 49-jährigen, allgemeinanamnestisch unauffälligen Patienten liegen diverse ästhetisch störende Zahnstellungsanomalien vor, wobei Zahn 21 bei extremer Elongation frakturierte (Abb. 2a). Nach einer Übergangsversorgung mittels provisorischer Stiftkrone (Abb. 2b) entschied sich der Patient für eine Zahnentfernung bei gleichzeitiger Implantation. Im Ausgangs-DVT (Abb. 2c und d) zeigt sich im Cross-Sectional, wie weit der Processus alveolaris zurückliegt.
Dr. Opitz
Dr. Opitz
Dr. Opitz
Dr. Opitz
Dr. Opitz
Dr. Opitz
Dr. Opitz
Dr. Opitz
Dr. Opitz
Dr. Opitz
3. Sofortimplantation mit vestibulärem Knochendefekt
Dr. Opitz
Im präoperativ angefertigten DVT (Abb. 3b und c) zeigte sich um die Wurzelspitze ein chronisches Entzündungsgeschehen, welches die vestibuläre Lamelle im apikalen Wurzelbereich des Zahnes 23 komplett aufgelöst hat. Da jedoch der Bereich direkt apikal von 23 nicht vom Geschehen betroffen war, fiel die Entscheidung zur Sofortimplantation auch, da der Patient blutverdünnende Medikamente einnehmen musste, welche durch Kombination von Extraktion und Implantation nur einmal abgesetzt werden mussten. In diesem Fall war aufgrund des Knochendefektes die Bildung eines Volllappens mit Entlastung unumgänglich.
Dr. Opitz
Dr. Opitz
Dr. Opitz
Anschließend wurde der Knochendefekt mit kortikospongiösem Knochengranulat aufgefüllt und mit einer langsam resorbierenden Kollagenmembran versorgt (Abb. 3e und f). Das OP-Gebiet musste im Anschluss aufgrund der Augmentation vollständig gedeckt werden (Abb. 3g).
Dr. Opitz
Dr. Opitz
Dr. Opitz
4. Sofortimplantation im Molarengebiet
Dr. Opitz
Dr. Opitz
Dr. Opitz
Dr. Opitz
Dr. Opitz
Dr. Opitz
Dr. Opitz
Dr. Opitz
Aufgrund der Augmentation erfolgte die Freilegung 5 Monate postoperativ. Nach Ausformung des Emergenzprofils (Abb. 4i) erfolgte die definitive prothetische Versorgung durch eine okklusal verschraubte Einzelkrone (Abb. 4j).
Dr. Opitz
Dr. Opitz
5. Multiple Sofortimplantationen in Zusammenhang mit internem Sinuslift
Beim vorliegenden 54-jährigen Patienten mussten aufgrund von lokaler Parodontitis die Zähne 25, 26 und 27 entfernt werden. Im apikalen Bereich lag jedoch gesunder Kieferknochen vor, sodass eine Sofortimplantation möglich war. Aufgrund der guten Einsichtbarkeit des Operationsgebietes nach Zahnextraktion konnte in diesem Fall flapless vorgegangen werden.
Dr. Plöger
In regio 26 konnte das Implantat dabei komplett apikal im gesunden Knochen verankert werden. In regio 27 jedoch wurde lediglich eine Restknochenhöhe von 8 mm bestimmt. In diesem Fall wurde die Sofortimplantation mit einer internen Sinusbodenelevation nach Summerset kombiniert.
Da zur Aufweitung der Trifurkation die Densah Versah Burs im Rückwärtslauf eingesetzt wurden, kann durch die Osseodensifikation auch der Kieferhöhlenboden bis zu einem bestimmten Umfang mit dieser Technik der Knochenverdrängung angehoben werden. Wird die Kieferhöhle tatsächlich eröffnet, kann auch Knochenersatzmaterial durch den Bohrstollen in die Kieferhöhle augmentiert werden, unter der Voraussetzung einer intakten Kieferhöhlenmembran.
Aufgrund der Rückwärtsdrehung der Bohrer ist die Perforationswahrscheinlichkeit der Membran jedoch nicht höher als bei konventionellen Verfahren. Sollte die Membran tatsächlich perforiert werden, muss gegebenenfalls auch eine externe Sinusoperation mit Verschluss des Membrandefektes angeschlossen werden.
Dr. Plöger
Dr. Plöger
Dr. Plöger
Diskussion
Unter der Annahme einer implantologischen Rehabilitation stehen dem Behandler bei Extraktionswürdigkeit des Zahnes die Alternativen der Sofort- und der Spätimplantation zur Verfügung. Die Spätimplantation zeigt eine hohe Evidenz sowie Erfolgsquote.
In den letzten Jahren haben jedoch Untersuchungen von Gallucci et al. zunehmend gezeigt, dass auch eine Sofortimplantation bei korrekter Indikationsstellung und Umsetzung zu gleichen Erfolgen kommt und mehrere Vorteile für den Patienten mit sich bringt [3]. Wichtig ist in diesem Zusammenhang die korrekte Indikationsstellung, die von der Stärke der vestibulären Lamelle, dem Entzündungszustand des zu extrahierenden Zahnes, der Atraumatizität der Extraktion, dem Gingivatyp und der Compliance des Patienten abhängt [9].
Sprechen diese Faktoren für eine Sofortimplantation, sollte man dieses Vorgehen auch dem Patienten anbieten. Da durch die Sofortimplantation der Knochen sofort belastet wird, kommt es zu keinen so starken Resorptionsvorgängen wie bei der unbelasteten Knochenausheilung (die bereits in der Einleitung erwähnten 50 % Knochenverlust der Kammbreite, d.h. im Schnitt 4,5 mm sowie 3,9 mm in der Kammhöhe) [14,17]. Solch ein Verlust an Alveolarknochen macht meist eine umfangreiche Augmentation bei der Spätimplantation notwendig bzw. es kann sogar eine gesonderte Augmentation mit entsprechender Einheilzeit vor Implantation notwendig werden, beispielsweise durch Blockaugmentationen, die Schalentechnik nach Prof. Khoury, Umbrella-Schrauben oder Bonesplitting [8].
Alternativ müsste die Situation mit schmalen oder kurzen Implantaten versorgt werden, wobei in diesem Fall meist das angestrebte Verhältnis von Implantat zu Krone von 1:1 nicht eingehalten werden kann – mit ungünstigen Folgen für die Belastung und Reduktion der Langzeitüberlebensrate [6]. Bei der Sofortimplantation wird der Patient zugleich deutlich schneller rehabilitiert und erspart sich einen zweiten Eingriff. Ist sogar eine sofortige langzeitprovisorische Versorgung möglich, wird der Patient zudem auch ästhetisch sofort rehabilitiert, was vor allem im Frontzahnbereich von Bedeutung ist [12].
Demgegenüber steht das klassische Verfahren der Spätimplantation. In diesem Falle besteht der Vorteil eines komplett durchgeheilten Knochens sowie Weichgewebes. Somit findet man keine z.T. unkalkulierbaren Resorptionen wie bei der Sofortimplantation vor – muss jedoch wie oben erwähnt mit den teils hohen Resorptionen in der Ausheilphase des Knochens zurechtkommen.
Auch die Entwicklung des Weichgewebes scheint bei der Spätimplantation kalkulierbarer zu sein (es sei denn aufgrund der beschriebenen umfangreichen Augmentationsmaßnahmen muss die mukogingivale Grenzlinie zur Augmentatdeckung verschoben werden). Aufgrund des ausgeheilten Kieferkamms kann der Implantatbohrstollen komplett im Knochen angelegt werden, wodurch der Bone-Implant-Contact (BIC) initial höher ist als bei der Sofortimplantation.
Aus diesem Grunde ist das Inserieren des Implantates mit hoher Primärstabilität einfacher. Jedoch soll an dieser Stelle auch angemerkt sein, dass bei der Sofortimplantation durch Underdrilling und Anwendung von Implantaten mit aggressiven Gewindegängen und Konusdesign auch eine hohe Primärstabilität erzeugt werden kann [7].
Um die Sofortimplantation in Bezug auf die marginale, z.T. unkalkulierbare Resorption des Kieferknochens, der auch die Rezession des Weichgewebes folgt, sicherer und vorhersagbarer zu machen, stehen unterschiedliche Techniken zur Verfügung. Zum Ersten kann man durch Einsetzen einer Bohrschablone die Implantatposition so genau wie möglich festlegen. Dadurch kann vermieden werden, dass das Implantat Druck auf die vestibuläre Lamelle auswirkt, welcher häufig Ursache für deren Resorption ist.
Weiterhin führt die Insertion eines Bindegewebetransplantates vom Gaumen oder ersatzweise der Einsatz einer 3-D-Kollagenmatrix zu einer Weichgewebeverdickung der Vestibulärseite und verbessert gleichzeitig den Outcome der Rot-Weiß-Ästhetik. Ein seit kurzem in den Fokus gerücktes Verfahren stellt dabei die Socket-Shield-Technik dar, eine Methode, bei der absichtlich vestibulär eine Wurzelscherbe mit parodontalem Faserapparat in der Alveole belassen wird, um den Abbau der vestibulären Lamelle zu verhindern. Dieses von Habibi und Sagheb et. al. erfolgreich praktizierte Verfahren weist zwar eine gute Erfolgsrate auf, unterliegt jedoch einer sehr strengen Indikationsstellung einerseits (z.B. keine Zahnlockerung, keine Parodontitis, keine Wurzelfrakturen etc.) und stellt sehr hohe Anforderungen an den Operateur andererseits, sodass es eher Einzelfällen vorbehalten bleibt [4].
Fazit
Die Sofortimplantation stellt bei fachgerechter Indikationsstellung ein adäquates Behandlungsverfahren dar, was die klinische Datenlage der letzten Jahre bestätigt. Für viele implantologisch tätige Zahnärzte ist dieses Verfahrens mittlerweile ein Standardprozedere geworden. Dennoch hängt der Erfolg dieses Verfahrens neben den chirurgischen Erfahrungen des Operateurs auch vom Wissen um die Biologie der Hart- und Weichgewebe der Alveole sowie vom verwendeten Implantatsystem ab.
Dabei sollte eines mit aggressiven Gewindegängen im apikalen Bereich und mit flachen Windungen im krestalen Bereich verwendet werden, um die erforderliche Primärstabilität zu erzeugen. Beispielweise können hier die verwendeten V3-Implantate von MIS oder die K3Pro-Rapid von Argon neben vielen anderen aufgeführt werden. Genauso entscheidend ist die sorgfältige OP-Planung, bei welcher die dreidimensionale Diagnostik große Vorteile bietet sowie die Patientencompliance zur belastungsfreien Einheilung bei sofortiger provisorischer Versorgung.
Näheres zu den Autoren des Fachbeitrages: Dr. Volker Opitz, Dr. Mathias PlögerBildquellen sofern nicht anders deklariert: Unternehmen, Quelle oder Autor/-in des Artikels
Entdecke CME Artikel



Keine Kommentare.