Hintergrund
In den vergangenen Jahren haben sich verschiedene Augmentationsverfahren in der Implantatchirurgie erfolgreich etabliert [1-4]. Hierbei kommen neben xenogenen, allogenen, autologen auch alloplastische Augmentationsmaterialien wie Polylaktide zur Anwendung [5]. Mittels resorbierbarer Pins und Poly-D-L-Laktid Membranen (PDLLA) können knöcherne Defekte ohne einen Zweiteingriff in einer Spenderregion rekonstruiert werden.
Mit diesem Verfahren kann auf die Anwendung von Knochenblöcken oder körpereigener Spongiosa verzichtet werden. Der zu schaffende Hohlraum kann alternativ mit autologem Knochen und/oder einem Knochenersatzmaterial aufgefüllt werden. Die Fixationspins werden mittels Ultraschall teilweise verflüssigt und dringen in die knöchernen Hohlräume des Kiefers ein, wo sie sich optimal verankern.
Die PDLLA-Membranen werden anschließend mit dem Kopf des Pins sicher verschweißt. Somit entsteht eine formstabile dreidimensionale Einheit, die das Knochenaufbaumaterial sicher in Position hält. Das Sonic Weld RX-Verfahren wird bereits seit 2005 zur Osteosynthese in der kranio-maxillofazialen Chirurgie, Pädiatrie und Traumatologie verwendet [6-11].
Polylaktide, Zusammensetzung, Abbau
Polylaktide sind ein auf nachwachsenden Rohstoffen wie Zuckerrohr oder Mais basierender Polyester. Sie sind aus Milchsäuremolekülen aufgebaut und sind biologisch abbaubar. Dieser semi-kristalline Werkstoff kann in verschiedenen Konfigurationen vorliegen (D- und L-Isomere).
Je nach Zusammensetzung der beiden Isomere lassen sich die Eigenschaften der Polylaktide beeinflussen. So sind D-Isomere nicht so dicht wie L-Isomere. D-Isomere zeigen hingegen eine schnellere Resorption aufgrund der weniger kristallinen Struktur als L-Isomere.
Mit zunehmenden Anteil an L-Isomeren steigt die Viskosität an [12]. Aufgrund ihrer hydrophilen Eigenschaften können sie Wasser aus der Umgebung binden und in zwei Phasen abgebaut werden.
In der ersten Phase werden die Polymerketten durch hydrolytische Spaltung in kürzere Fragmente zerlegt, um in der zweiten Phase von den Makrophagen phagozytiert zu werden. Die Abbauprodukte werden dem Zitronensäurezyklus zugefügt und dann zu CO2 und H2O abgebaut, um anschließend vor allem über die Lunge abgegeben abgeatmet zu werden [13].
Das Sonic Weld RX-System
Zahnklinik Bochum
- Stabilität
- vorhersagbare vollständige Resorption (innerhalb von 4 Monaten)
- komplette Resorption, dadurch kein Zweiteingriff notwendig
- keine Fremdkörperreaktion [15]
- Anlagerung von Knochen an die Membran.
Die Indikationen für den Einsatz des Sonic Weld Rx-Systems sind [16]:
- Osteosynthesen in nicht lasttragenden kraniomaxillofazialen Bereichen
- kraniofaziale Umstellungsosteotomien (z. B. Syndrompatienten, Fronto-orbitales Advancement) im nicht lasttragenden kraniomaxillofazialen Bereich
- pädiatrische Neurochirurgie
- präprothetische Augmentation (vertikale und horizontale Augmentation).
„Arbeitsweise“ des Systems
Die zur Anwendung kommenden PDLLA-Produkte bestehen aus einem 50-50 Gemisch von D- und L-Isomeren, wodurch sich die Resorptionszeit verlängert und eine hohe mechanische Stabilität ergibt [17]. Die unterschiedlich geformten und zum Teil perforierten 0,1 mm dicken PDLLA-Schalen (Abb. 5 und 6) dienen der Konturgestaltung und werden mittels resorbierbarer Pins am ortsständigen Knochen fixiert. Nach der Vorbohrung der Pins werden diese über die Aktivierung einer Ultraschall-Sonotrode inseriert (Abb. 4 und 7).
Zahnklinik Bochum
Zahnklinik Bochum
Zahnklinik Bochum
Zahnklinik Bochum
Hierbei verflüssigt sich die Oberfläche der Pins, wodurch diese in die spongiösen Hohlräume des Knochens gleiten und anschließend verschmelzen (Bone-Welding) [14]. Die Verschmelzung von PDLLA-Membran und resorbierbarem Pin erfolgt auf die gleiche Art und Weise. Bei Bedarf besteht auch die Möglichkeit mehrere Membranen miteinander zu „verschweißen“ und die Übergänge und Kanten mit der Glättungssonotrode abzurunden. Über die Erwärmung der Membran in einem 70 Grad sterilen Wasserbad ist eine weitere Anpassung an die klinische Situation möglich und auch nach Fixierung ist eine gewisse Konturgebung über in warmes steriles Wasser getunkte Tupfer möglich [18].
Nach Beendigung der Aktivierung härtet die Oberfläche wieder aus und man kann bei Bedarf die Membran mit der Schere in Form schneiden [15,19-21]. Die Defektfüllung erfolgt anschließend mittels Knochenersatzmaterialien und/oder Eigenknochen.
Der Defekt wird abschließend noch mit einer Kollagenmembran abgedeckt, die bei einer Dehiszenz die sekundäre Wundheilung ermöglichen soll. Der primäre spannungsfreie Wundverschluss erfolgt mittels Halte- und Adaptationsnähten [21].
Patientenfall – Ausgangssituation
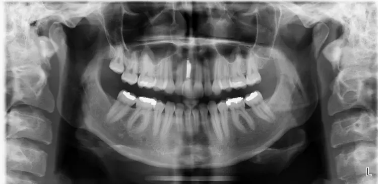
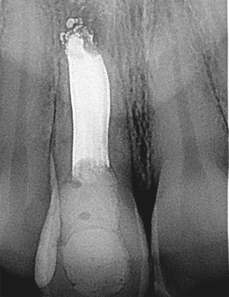
Die Patientin (29 Jahre) stellte sich in der Zahnklinik Bochum mit persistierenden Beschwerden an Zahn 11 vor, im Zustand nach endodontischer Behandlung vor 22 Jahren nach einem Frontzahntrauma. Die Anamnese zeigte keine Auffälligkeiten. Die klinische Untersuchung ergab regio 11 eine druckdolente dezente Schwellung bukkal mit putrider Exsudation ohne Lockerung.
Auffällig war der Taschenbefund mit 9 mm bukkal und palatinal an Zahn 11, der auf eine Längsfraktur hindeutete. Im Rahmen der radiologischen Diagnostik wurde ein Orthopanthomogramm (Abb. 1) und ein Zahnfilm regio 11 (Abb. 2) erstellt mit sichtbarer periapikaler Aufhellung regio 11.
Zahnklinik Bochum
Zahnklinik Bochum
Zahnklinik Bochum
Augmentation
Im Sinne eines Backwardplanning wurde anhand eines Waxups die Marylandbrücke als auch die entsprechende Bohrschablone hergestellt. Nach eingehender präimplantologischer Diagnostik mittels Modellanalyse und digitalem Volumentomogramm (DVT) zeigte sich eine ausgeprägte bukkale knöcherne Fenestration (Abb. 8 und 10).
Zahnklinik Bochum
Zahnklinik Bochum
In einem zweizeitigen Vorgehen wurde der Defekt im Sonic Weld Rx-Verfahren mittels Eigenknochen und BioOss (Geistlich, Wolhusen, Schweiz) im Verhältnis 1:3 augmentiert. Der autologe Knochen wurde über der Defektregion paranasal mittels Trepan gewonnen und mit BioOss gemischt. Um die ursprüngliche Kontur des Alveolarfortsatzes mit dem charakteristischen Jugum alveolare wiederherzustellen, kam der entsprechend vorgeformte Alveolenprotektor zur Anwendung.
Zahnklinik Bochum
Die Nähte wurden 10 Tage post operationem entfernt. Um das Schwellungs- und Entzündungsrisiko zu minimieren, wurden der Patientin ein Antibiotikum und Analgetikum rezeptiert sowie auf intensives Kühlen hingewiesen.
Implantation
Nach einer viermonatigen Einheilzeit wurde im Rahmen der präimplantologischen Diagnostik ein DVT zur Überprüfung des Augmentationsergebnisses erstellt und die Implantatgröße festgelegt (Abb. 9 und 11). In Lokalanästhesie und unter Zuhilfenahme einer Bohrschablone erfolgte nach midkrestaler Schnittführung unter Schonung der Papillen die manuelle Insertion eines Straumann Bone Level Implantats mit den Maßen 4,1 x 10 mm RC (Straumann AG, Basel, Schweiz). Das Eindrehmoment betrug 35 Ncm.
Zahnklinik Bochum
Zahnklinik Bochum
Zahnklinik Bochum
Freilegung und prothetische Versorgung
Zahnklinik Bochum
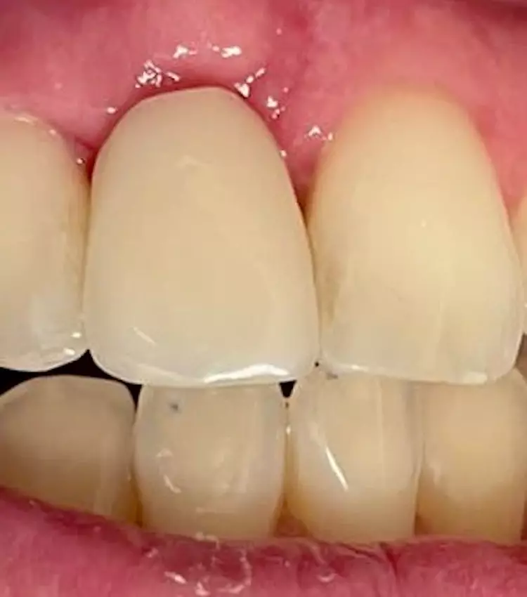
Durch den intraoperativ wiederhergestellten Alveolarkamm und die damit gestützte keratinisierte Gingiva konnte ein natürliches Emergenzprofil wiederhergestellt werden, unter Erhaltung der Interdentalpapillen. Dies zeigte sich auch bei der radiologischen und klinischen Kontrolluntersuchung nach Eingliederung des Zahnersatzes (Abb. 15 und 16).
Zahnklinik Bochum
Zahnklinik Bochum
Fazit
Gerade im Frontzahnbereich stellt ein suffizientes Knochenlager für den implantologischen Langzeiterfolg ein conditio sine qua non dar. Augmentationen mittels autologem Knochen stellen laut Literatur den biologischen Goldstandard dar und sind vielfach untersucht [22-25]. Alternativ kann man auch mit Hilfe des Sonic Weld Rx-Verfahrens verloren gegangenen Knochen augmentieren, um dabei ein zweites OP-Gebiet zur Blockentnahme zu vermeiden.
Vor allem für größere ossäre Defekte können die individuell angepassten PDLLA-Folien für eine ausreichende Lagestabilität des Augmentats sorgen und so den operativen Erfolg gewährleisten. Hierbei gelten für das Weichgewebsmanagement die gleichen Kriterien wie bei Knochenblockaugmentationen, um Wunddehiszenzen, v. a. im Bereich der Folienkanten, zu vermeiden. Im Falle von freiliegenden Folienkanten ist es empfehlenswert, diese soweit zu reduzieren, bis das umliegende Weichgewebe die Kanten überragt und die Dehiszenz durch sekundäre Wundheilung reepithelisieren kann.
Eine begleitende antiseptische Schleimhautbehandlung (0,2 % Chlorhexidin-Mundspüllösung) wird seitens der Autoren empfohlen. Diese Frühkomplikation ist in der Literatur beschrieben und deckt sich mit den Erfahrungen der Autoren [15,26]. Nach erfolgreicher Insertion und Einheilung der Implantate belegt eine 5-Jahresstudie eine 100 % Implantatüberlebensrate und eine gute Knochenqualität [27].
Aus dieser Beobachtung heraus ist es empfehlenswert, v. a. bei großlumigen Augmentationen ein zweizeitiges Vorgehen bei der Verwendung des Sonic Weld Rx-Verfahrens zu wählen, da hier mit einer höheren Komplikationsrate und somit verlängerten Resorptionszeiten zu rechnen ist. Insgesamt stellt das Sonic Weld Rx-Verfahren eine alternative, aber auch kostenintensive und techniksensitive Methode zur präimplantologischen Augmentation von ossären Defekten im Frontzahngebiet dar, die nach Ansicht der Autoren in die Hand eines erfahrenen Behandlers gehört. Da es bis dato nur wenige Studien mit teils inhomogenen Ergebnissen gibt, sind hier weitere Untersuchungen notwendig.
Näheres zu den Autoren des Fachbeitrages: Dr. Christian Späth, Dr. Christoph Brodowski, Prof. Dr. Hans-Peter JöhrenBildquellen sofern nicht anders deklariert: Unternehmen, Quelle oder Autor/-in des Artikels
Entdecke CME Artikel



Keine Kommentare.