Dies hatte 2011 das deutsche Unternehmen Champions-Implants geschafft: Als Ergänzung ihrer einteiligen Titan-Implantate, die seit 2006 auf dem Markt sind, stellte Champions 2011 das zweiteilige Champions (R)Evolution-System vor. Und war damit äußerst erfolgreich: Über eine halbe Million Implantate wurden verkauft.
Champions verließ damit das Image eines „Billig-Implantat-Herstellers“ hin zum Anbieter von innovativen Premium-Implantaten „Made in Germany“ und etablierte sich praktisch zum Innovationsführer dentaler Implantatsysteme. Dieser Erfolg hält auch noch nach 10 Jahren an, die Gründe dafür sind vielschichtig:
1. Das Material
Das Material des Champions (R)Evolution-Implantats ist, wie auch die der einteiligen Champions-Titan-Systeme, kaltverformtes Titan ASTM Grade 4, besteht also aus 99 % Rein-Titan – dies gilt als biokompatibel. Andere Hersteller greifen auch auf Titan Grade 5 (Ti-6Al-4V), mit 6 % Aluminium- und 4 % Vanadium-Anteilen zurück, da es stabiler ist, aber nicht als vollständig biokompatibel gilt.
2. Das Implantatdesign
Hauptmerkmale des Champions (R)Evolution-Implantats sind sein krestales Mikrogewinde, der Innen-Doppelkonus mit integriertem Hexadapter (seit 2011 unverändert, da von vornherein ausreichend lang gestaltet) sowie der Shuttle mit definitiver Verschlussschraube, welche den Shuttle mit dem Implantat verbindet.
Das selbstschneidende Kompressionsgewinde weist eine mikroraue Oberflächenstruktur auf und ist sehr sauber (bei der CleanImplantat Foundation aktuell im Prüfungsverfahren). Die „Oberflächen-Veredelung“ erfolgt zunächst mechanisch durch Abstrahlen mit Zirkondioxid und anschließend drei Ätz-Säuren, so dass eine mikroraue Oberfläche entsteht. Auch im Hinblick auf die neue MDR ist CHAMPIONS bestens aufgestellt.
Die Shuttle- und Abutment-Verbindung mit dem idealen 9,5° Konus bewirkt einen vollständigen Bakterienverschluss, so CHAMPIONs (R)Evolution-Implantat: 10-jähriges Jubiläum und dabei moderner denn je … dass kein „Zipprich Sogeffekt“ entsteht.
Dipl.-Ing. Zipprich untersuchte 2012 die Größe der Spalte unter Belastung bei verschiedenen zweiteiligen Implantatsystemen: das Champions (R)Evolution-Implantat ø 3,5 mm wies nur einen maximalen Mikrospalt von 0,6 ?m auf (das kleinste Bakterium ist ca. 2 ?m groß!), bei den größeren Implantat-Durchmessern von 4,0, 4,5 und 5,5 mm konnte überhaupt kein Mikrospalt verifiziert werden.
Durch den Innenkonus und die Tatsache, dass es nur eine prothetische Plattform für alle Implantatdurchmesser gibt, ist der so genannte Platform-Switching Effekt ausnutzbar. Unter „Platform switching“ versteht man allgemein, dass die Implantatschulter breiter als das Abutment-Durchtrittsprofil ist.
Bei einem Platform-geswitchten Implantat, wie dem Champions (R)Evolution, wächst sogar Knochen über die Implantatschulter und sorgt nachweislich für ein Plus an Stabilität der Weichgewebsmanschette, welche eine der besten Möglichkeiten einer Periimplantitis-Prophylaxe darstellt.
3. Der Shuttle
Eine einzigartige Innovation und bis heute „revolutionär“ ist der Shuttle des Champions (R)Evolution Systems. Er ist werkseitig mit einer Halteschraube im Implantat-Innenkonus versehen, die später auch für das Abutment in der Prothetik zum Einsatz kommt.
Georgi Aleksandrov und Champions Implants
Bei einem ø 3,5 mm Implantat hat die Titanwand an der Konusverbindung „lediglich“ eine Stärke von 0,4 mm. Dank des Shuttles wird diese Außenwand bei der Insertion nicht deformiert und damit eine spätere prothetische Schraubenlockerung vermieden. Der Shuttle dient zugleich als erster und einziger Gingivaformer, da er bereits eine Höhe und einen Durchmesser von 3,5 mm hat.
Man kann den Shuttle jedoch (am besten nach der „Einheilzeit“) für ein optimales Emergenzprofil noch mit PEEK Gingiva Clix oder direkt nach Implantation in Sofortbelastung mit zwei unterschiedlich angulierten und leicht präparierbaren Provi-Clix aus PEEK versehen. Für beide Clix muss man keine Halteschraube lösen oder gar den Shuttle abnehmen – sie werden einfach über den Shuttle gesteckt und das Implantatinnere bleibt weiterhin steril.
Der Shuttle ermöglicht zwei unterschiedliche „geschlossene Abformungen“. Entweder mit dem PEEK Abformungspfosten, der in den Shuttle geklickt wird oder die „Metallische Abformung“ (ebenfalls durch den Shuttle, allerdings unter Abnahme der Halteschraube) und alternativ eine „offene Abformung“. Dazu muss der Shuttle samt Halteschraube entfernt werden.
4. Indikation, Längen und Durchmesser
Der Indikationsbereich des Champions (R)Evolution Implantats umfasst Spät- als auch Sofortimplantate aller Kieferregionen. Es ist einfach „im Handling“, ausgereift und dabei für den Patienten bezahlbar.
Champions (R)Evolutions sind in den Längen 6,5 – 8 – 10 – 12 – 14 – 16 mm und ø 3,5 – ø 4,0 – ø 4,5 und ø 5,5 mm erhältlich. Somit sind auch Sinuslifte (IDS) und augmentativ-begleitende Maßnahmen möglich.
5. Die Chirurgie
Die Chirurgie kann sowohl ganz „klassisch“ unter Bildung von Mukoperiostlappen als auch minimalinvasiv (gänzlich ohne Lappenbildungen) erfolgen. Die CNIP-Navigation (CNIP: cortical navigated implantation procedure) sowie die „Champions Guides“ spielen beim minimalinvasiven Insertionsprotokoll „MIMI“ eine entscheidende Rolle.
Zweiteilige Implantatsysteme wurden entwickelt, um laterale Mikrobewegungen innerhalb der ersten acht Wochen post implantationem strikt zu vermeiden. Da in dieser Zeit der Knochen periimplantär ab-, um- und wiederaufgebaut wird, würden Mikrobewegungen die Osseointegration gefährden.
Diese Mikrobewegungen können beispielsweise Zungenbewegungen sein. Implantiert man zum Beispiel bei einer Schleimhautdicke von 2 mm ein Champions (R)Evolution-Implantat mit einem Shuttle (3,5 mm hoch) auf „Bone Level-Niveau“, so gefährdet dies die Osseointegration.
Georgi Aleksandrov und Champions Implants
Bis zur Abnahme des Shuttles ist das Implantat-Innere steril. Wenn man bei einer Gingivahöhe von z. B. 2 mm den 3,5 mm hohen Shuttle auf dem Implantat belassen will, ist eine subkrestale Implantation sinnvoll. Dann schließt der Shuttle ebenfalls auf „Tissue-Level-Niveau“ oder gar leicht subgingival ab, so dass keinerlei Bewegungen und Kräfte auf das Implantat während der Implantat-Einheilphase einwirken können.
Eine subkrestale Implantation ist beim Champions (R)Evolution System sehr gut möglich, da durch den Doppelkonus mit integriertem Hexadapter kein bakteriengängiger Mikrospalt vorhanden ist. Bei einer subkrestalen Implantation kann der Shuttle auf dem Implantat verbleiben und muss nicht durch eine „Georgi“-Hybridschraube ausgetauscht werden.
Einen weiteren Vorteil der subkrestalen Implantation sehe ich darin, dass auf krestalem Knochen-Niveau keine großen Kräfte auftreten können, so dass ein kraterförmiger Knochenabbau während der Einheilphase vermieden werden kann.
Wichtig ebenfalls: Bei einer „Bone-Level-Implantation“ im harten D1-/D2-Knochen entlasten wir den krestalen Knochen: Bei einem ø 3,5 mm Implantat mit dem ø 4,0 mm Bohrer, bei einem ø 4,0 mm Implantat mit dem ø 4,5 mm Bohrer.
6. Condenser
Georgi Aleksandrov und Champions Implants
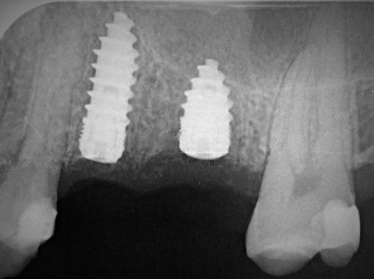
Nach der Pilotbohrung wird das Implantatbett mit Condensern in aufsteigenden Durchmessern aufbereitet. Erreicht man mit einem Condenser „handfest“ eine Stabilität von 20 Ncm, so wird ein Implantat mit dem nächstgrößeren Durchmesser inseriert. Die Bilder (Abbildungen 4a-h) zeigen das Beispiel einer Sofortimplantation regio 16.
Dr. Volker Knorr, Eislingen
Es wurde ein Champions (R)Evolution-Implantat ø 4,5 mm – L 8 mm in Verbindung mit einem internen, direkten Sinuslift (IDS) inseriert. Mit dem Condenser ø 3,8 mm wurden „handfest“ (etwa 20 Ncm) erreicht und deshalb ein Implantat ø 4,0 mm inseriert. Hätte man die Stabilität erst mit dem Condenser ø 5,3 mm erreicht, so hätte man ein Champions (R)Evolution-Implantat gleicher Länge, aber mit dem Durchmesser 5,5 mm einsetzen sollen.
7. Die Prothetik
Georgi Aleksandrov und Champions Implants
Georgi Aleksandrov und Champions Implants
Georgi Aleksandrov und Champions Implants
8. Entwickler des CHAMPIONS (R)Evolution Systems & Implantologie-Fortbildung
Hatten Sie jemals die Mobil-/Whatsapp-Nummer von Geschäftsführern einer der großen Implantathersteller und können ihn jederzeit „von Kollege zu Kollege“ kontaktieren? Für CEO Dr. Armin Nedjat war und ist dies jedenfalls eine Selbstverständlichkeit. Immer noch – und dies bei über 4.000 Champions-Anwendern allein im deutschsprachigen Raum.
2006 gründete er, parallel zu seiner Zahnarztpraxis in Rheinhessen die Champions-Implants GmbH (übrigens ohne Investor und zunächst ohne Mitarbeiter) und baute sie stetig wachsend auf. 2011 wurde, nach jahrelanger Entwicklungszeit, das Unternehmensportfolio von bis dato nur einteiligen um das zweiteilige Implantat Champions (R)Evolution erweitert. Er passte sich schnell den exogenen Anforderungen an ein zweiteiliges System an.
Die geniale Erfindung des Shuttles entstand übrigens in Hamburg in der Eisenbahn-Miniaturwelt, als er – zusammen mit seinen Kindern – ein Space-Shuttle Modell im nachgebauten Cape Canaveral sah. Als Behandler wollte er nämlich unbedingt ein zweiteiliges System haben, das aber wie ein einteiliges Implantat zu handhaben wäre.
Wer als Zahnarzt in die Implantologie einsteigen will, sollte sich über das vom VIP-ZM e. V. angebotene Curriculum „Experte Implantologie & Implantatprothetik CIPC“ informieren. Das über ein Jahr dauernde Curriculum, basierend auf Konzepten von Prof. Dr. Dr. Jean-Pierre Bernard (Universität Genf) ist vor allem praxisorientiert. Unter Supervision implantieren die Teilnehmer von Beginn an ihre Patienten in ihrer Praxis und können diese Leistungen entsprechend auch abrechnen.
Wer bereits mit anderen Systemen vertraut ist, kann sich in speziellen Tagesfortbildungen oder Test-Packages mit Online Schulungen über fortgeschrittene OP-Techniken (Sinuslift, Sofort-Implantationen) oder Insertion von Keramikimplantaten fortbilden.
ZA Aleksandrov
ZA Aleksandrov
ZA Aleksandrov
ZA Aleksandrov
ZA Aleksandrov
Fazit
Im Jahr 2011 gelang Champions-Implants mit dem Champions (R)Evolution Implantatsystem ein Quantensprung in der zahnärztlichen Implantologie. Übrigens ist Champions das größte deutsche inhabergeführte Implantatunternehmen, andere sind mittlerweile durch Verkäufe und Übernahmen in ausländischen Händen. Ein bedingungslos optimierter Workflow mit hochwertigen, innovativen Produkten ermöglicht und simplifiziert bis heute den Alltag in unseren Zahnarztpraxen.
Durch das ausgeklügelte Design sind hohe Primärstabilitäten gerade bei Sofortimplantationen (Extraktion und Implantation in einer Sitzung) möglich. Die Zeit- und Kostenersparnis in den Praxen ist ganz erheblich. Auch die Tatsache, dass sich die hohe Qualität von Premium-Titan-Implantaten nicht mehr in abgehobenen, überteuernden Gesamtkosten widerspiegeln muss, ist hinlänglich bekannt.
Von der Chirurgie bis zur Prothetik steht den Zahnarztpraxen ein bezahlbares und dabei ausgereiftes System zur Verfügung, welches auch voll digital CAD/CAM fähig ist. Ein weiterer nicht zu unterschätzender Vorteil ist, dass sich alle Champions-Anwender in deutscher Sprache mit Implantologie-Experten vernetzen können.
Die Lieferfähigkeit ist auf lange Sicht garantiert – das zeigt das 10-jährige Jubiläum – ganz herzlichen Glückwunsch dazu von mir, liebes Champions (R)Evolution System. Ihr seid wahre Champions!
Bildquellen sofern nicht anders deklariert: Unternehmen, Quelle oder Autor/-in des Artikels
Entdecke CME Artikel





Keine Kommentare.