Während die Frakturrate von Handinstrumenten aus Edelstahl 0,25 bis 6% beträgt, wird für die Fraktur von Instrumenten aus einer Nickel-Titan-Legierung eine Rate von 1,3 bis 10% angegeben [14]. Etwa 80% der endodontisch tätigen Zahnärztinnen und Zahnärzte haben bereits einen Instrumentenbruch erlebt [7]. Im Wurzelkanal verbliebene Instrumentenfragmente behindern die effektive Desinfektion und vollständige Obturation von Wurzelkanälen und wirken sich negativ auf die Prognose einer endodontischen Behandlung aus.
Der effektivste Weg, resultierende Probleme aus einer Instrumentenfraktur zu umgehen, ist die Vermeidung von Frakturen durch den sachgemäßen Einsatz moderner Aufbereitungsinstrumente. Ein zielgerichtetes Gleitpfadmanagement, der Einsatz reziprok arbeitender Instrumente sowie die Verwendung von Instrumenten aus thermisch behandelten Legierungen können einer Fraktur effektiv vorbeugen.
Einflussfaktoren auf die Frakturneigung
Zahnposition und Wurzelkrümmung
Das Risiko eines Instrumentenbruches ist an einem Molaren signifikant größer als an einem Prämolaren [5]. Die Zugänglichkeit der Wurzelkanaleingänge, die Krümmung sowie der Durchmesser der Wurzelkanalhohlräume sind dabei maßgebliche Faktoren [14]. Am häufigsten frakturieren Aufbereitungsinstrumente in den mesiobukkalen Wurzelkanälen von Molaren.
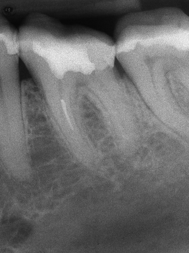
Die Schwierigkeit der mechanischen Ausformung eines Wurzelkanals steigt mit zunehmendem Krümmungswinkel und abnehmendem Krümmungsradius an (Abb. 1). Eine koronale Lokalisierung der Krümmung erhöht die Wahrscheinlichkeit einer Instrumentenfraktur im Vergleich zu einer Krümmung des Wurzelkanals im mittleren oder apikalen Wurzeldrittel [2] (Abb. 2).
Brüsehaber
Brüsehaber
Trotzdem verbleiben die meisten Fragmente im apikalen Wurzeldrittel (52,5%). Im mittleren Wurzeldrittel erfolgen 27,5% und im koronalen Wurzeldrittel 12,5% der Frakturen [15].
Instrumententyp und Einsatzweise
Für die überwiegende Zahl der Brüche ist eine Ermüdungs- bzw. eine Torsionsfraktur ursächlich [10]. Vor diesem Hintergrund konnte für reziprok arbeitende Instrumente in vielen Untersuchungen eine signifikant erhöhte Widerstandsfähigkeit sowohl gegen zyklische Ermüdung als auch gegen Torsionsfrakturen nachgewiesen werden [1]. Darüber hinaus unterliegen schlankere Instrumente mit einem geringeren Taper einer geringeren zyklischen Ermüdung als gleich designte Instrumente mit größerer Dimensionierung [9].
Ein wichtiger, das Frakturrisiko eines Instrumentes beeinflussender Faktor ist dessen klinische Verwendung. Es konnte nachgewiesen werden, dass es durch den Kontakt zu Natriumhypochlorit-Lösungen zur Korrosion der Oberfläche der Instrumente kommen kann. Eine Verwendung der Instrumente für mehrere Behandlungsfälle ist vor diesem Hintergrund kritisch zu überlegen [11] und eine einmalige Verwendung ggf. zu bevorzugen.
Einflussfaktoren auf die Entfernbarkeit
Der routinierte Einsatz eines Mikroskops sowie feiner Ultraschallinstrumente stellt die Grundvoraussetzung für die orthograde Bergung frakturierter Instrumente dar. Die Darstellbarkeit und Zugänglichkeit des zu entfernenden Fragmentes ist der zentrale klinische Faktor für die Entfernbarkeit eines im Wurzelkanal verbliebenen Instrumentenfragmentes [8]. Weitere maßgebliche Faktoren sind die Lage des Fragmentes im Wurzelkanal, die Fragmentgröße (Länge, Durchmesser und Taper), Krümmung und Radius des Wurzelkanals sowie die Erfahrung des Behandlers [14].
Zahnposition
Die Entfernbarkeit von Fragmenten aus posterior lokalisierten Zähnen ist schwieriger als aus anterior lokalisierten Zähnen. Zum einen ist sowohl die Zugänglichkeit zum Zahn als auch die Darstellbarkeit des Fragmentes in einem Molaren schwieriger, zum anderen ist die Anatomie des Kanalsystems von Molaren häufig komplexer als von Frontzähnen oder Prämolaren. Die Entfernung von Fragmenten aus einem Zahn im Unterkiefer stellt sich im Vergleich zum Oberkiefer als problematischer dar [3].
Fragmentgröße
Die durchschnittliche Länge zu entfernender Instrumentenfragmente beträgt ca. 3 mm [6]. Eine Entfernung entsprechender Fragmente unter Einsatz von Ultraschallinstrumenten ist in weniger als 1 Min. möglich [14].
Fragmente mit einer Länge von mehr als 5,7 mm sind häufig nicht durch den alleinigen Einsatz von Ultraschallinstrumenten zu entfernen [4]. Die für die Mobilisierung von längeren Fragmenten erforderliche Zeit korreliert mit der Fragmentlänge, da größere Anteile von Dentin abgetragen werden müssen [13].
Wurzelkrümmung
Die Lage des Fragmentes in Bezug zur Krümmung des Wurzelkanals wirkt sich direkt auf die Entfernbarkeit aus: Die Erfolgsaussicht ist hoch, wenn das Fragment koronal der Krümmung lokalisiert ist, moderat, wenn das Fragment in der Krümmung liegt und als gering bei apikaler Lage zu bewerten [5]. Die Erfolgsrate für die Entfernung fakturierter Instrumente sinkt von 83 auf 43%, wenn der Krümmungswinkel der Wurzelkanalkrümmung 20º übersteigt. Darüber hinaus ist die Entfernung erleichtert, wenn der Krümmungsradius größer als 4 mm ist [3].
Erfahrung des Behandlers
Der gesamte Prozess für die Entfernung eines fakturierten Instrumentes sollte 45 bis 60 Min. nicht überschreiten. Andernfalls ist von einer stark reduzierten Erfolgsprognose auszugehen.
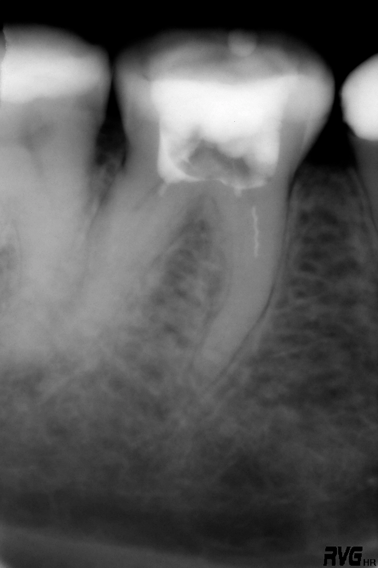
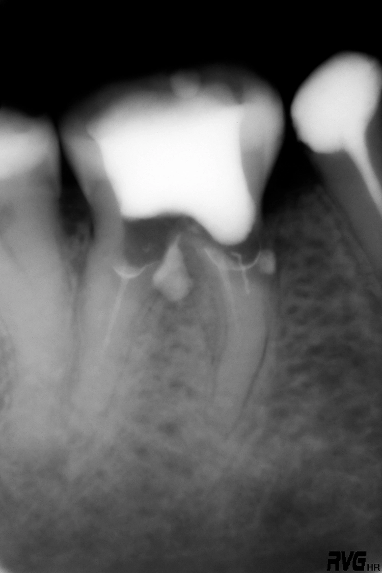
Deutlicher zeitlicher Mehraufwand liegt häufig in prozessualen Fehlern, wie bspw. übermäßigem Zahnhartsubstanzabtrag, begründet. Dieser kann zu Kanalverlagerungen und -perforationen führen (Abb. 3a und b), die ein erhöhtes Risiko für anschließende Wurzellängsfrakturen sowie den Verlust des Zahnes darstellen können [12].
Brüsehaber
Brüsehaber
Klinisches Vorgehen zur orthograden Entfernung frakturierter Instrumente
Diagnostische Grundlage
Die diagnostische Grundlage für eine sichere Lagebestimmung und Abschätzung der Zugänglichkeit des zu entfernenden Instrumentenfragmentes stellt eine zweidimensionale intraorale Röntgenaufnahme (Zahnfilm) dar, die bei Bedarf durch eine 2. Aufnahme aus einer alternativen Projektionsrichtung ergänzt werden kann. Im Ausnahmefall ist eine dreidimensionale Darstellung (DVT) hilfreich.
Darstellung des Fragmentes
Im 1. Behandlungsschritt erfolgt die Korrektur der vorliegenden primären Zugangskavität (Zugang zur Pulpakammer) mit dem Ziel, einen geradlinigen Zugang zum Wurzelkanallumen sicherzustellen. Dieser Behandlungsschritt ist die Voraussetzung dafür, dass auch im mittleren bzw. apikalen Wurzeldrittel verbliebene Fragmente visuell dargestellt werden können. Im 2. Schritt wird der Zugang zur koronalen Bruchfläche des Fragmentes hergestellt.
Brüsehaber
Brüsehaber
Brüsehaber
Brüsehaber
Brüsehaber
Zum Einsatz kommen in geraden koronalen Wurzelanteilen bevorzugt Gates-Bohrer und im mittleren bzw. apikalen Wurzelanteil größer dimensionierte NiTi-Instrumente oder Ultraschallinstrumente. Der Autor bevorzugt feine Ultraschallfeilen, die zu jeder klinischen Situation passend individualisiert werden können und in verschiedenen Durchmessern und mit einem Taper von 2% zur Verfügung stehen (z.B. U-Files, Mani, Utsunomiya, Japan) (Abb. 5a). Diese werden in Adapter (z.B. Endo Chuck, NSK, Kanuma, Japan) eingespannt (Abb. 5a und b) und in piezoelektrischen Ultraschallgeräten (z.B. Newtron, Acteon, Merignac, Frankreich) mit ca. 10 bis 20% der maximal möglichen Einstellung verwendet.
Brüsehaber
Brüsehaber
Eine Alternative können spezielle Instrumentensysteme darstellen, welche für die Entfernung frakturierter Instrumente entwickelt wurden (z.B. Endo Rescue, Komet Dental, Lemgo). Beinhaltete Trepanbohrer sind in der Lage, koronale Anteile des Instrumentenfragmentes zu erreichen, zu umbohren und die Fragmente bereits während dieses Arbeitsschrittes zu lösen.
Zu beachten ist in jedem Fall, dass die Verwendung entsprechender Trepanbohrer ausschließlich in geraden Wurzelkanalanteilen angezeigt ist und häufig einen ausgeprägten Zahnhartsubstanzverlust zur Folge hat. Aus diesem Grund bleibt der Einsatz in aller Regel auf die koronalen Wurzelkanalabschnitte von Frontzähnen beschränkt.
Freilegung und Mobilisierung des Fragmentes
Brüsehaber
Auf diese Weise wird die Friktion des Fragmentes im Wurzelkanal reduziert und Platz geschaffen, welcher ggf. den Einsatz von Hülsen oder Drahtschlaufen ermöglicht. Die Präparation des Spaltes ist immer im Bereich der stärksten Dentinwand zu beginnen und von dort auszudehnen.
Brüsehaber
Brüsehaber
Technische Faktoren:
- Die Ultraschallfeile wirkt nicht an der richtigen Position.
- Die Ultraschallfeile wirkt am koronalen Ende des Fragmentes.
- Der Spalt ist weniger als halbkreisförmig (180º) präpariert.
- Die Spitze der Ultraschallfeile weist einen zu großen Durchmesser auf.
- Der Taper der Ultraschallfeile ist zu groß.
Zeitfaktoren:
- erhöhter Zeitaufwand für die Freilegung eines großen Fragmentes (Länge, Durchmesser, Taper)
- Tendenz des Aufrichtens eines (längeren) Fragmentes im gekrümmten Kanalverlauf
- erschwerte Freilegung eines Fragmentes wegen starker Kanalkrümmung Allgemeine Faktoren:
- Fehlen eines Schmiermittels (Nutzung von Kavitations- und Strömungseffekten)
- schlechte visuelle Darstellbarkeit
Techniken zur orthograden Entfernung frakturierter Instrumente
Entfernung des Fragmentes mit Ultraschall
Nachdem das frakturierte Instrument freigelegt und mobilisiert wurde, erfolgt die Entfernung unter Nutzung von Kavitations- und Strömungseffekten. Eine wichtige Voraussetzung für die Ultraschall-unterstützte orthograde Entfernung eines Instrumentenfragmentes aus dem Wurzelkanallumen ist eine glatt präparierte Wurzelkanaloberfläche. An der äußeren Kanalkurvatur koronal des Fragmentes verbliebene Dentinüberhänge verhindern häufig das Herausspülen.
Im getrockneten Kanallumen gut darstellbare Dentinüberhänge sollten deshalb im Vorfeld mit Ultraschallfeilen abgetragen und die Kanalwand geglättet werden. Im nächsten Behandlungsschritt wird eine feine Ultraschallfeile mit einer vorgebogenen Feilenspitze in den zuvor zwischen Fragment und Kanalwand präparierten Spalt positioniert und anschließend in einer leichten Auf-und-ab-Bewegung an der inneren Kanalwand entlanggeführt und aktiviert. Die Feilenspitze sollte in diesem Bereich leicht schwingen können.
Brüsehaber
Sollte die Krümmung des Wurzelkanals 30º übersteigen, wird für die Erzeugung der Strömungseffekte anstatt von Wasser die Verwendung eines Öls mit mittlerer Viskosität (z.B. Sojaöl) empfohlen [14]. Auf diese Weise soll das Fragment leichter durch den gekrümmten Kanalverlauf nach koronal gleiten.
Entfernung des Fragmentes mit Drahtschlingen
Brüsehaber
Brüsehaber
Brüsehaber
Brüsehaber
Brüsehaber
Brüsehaber
Entfernung des Fragmentes mit Hülsen
Eine effektive Methode, um insbesondere ein längeres Fragment zu entfernen, dessen koronales Ende in den geraden koronalen Kanalabschnitt hineinragt, stellt der Einsatz von Hülsen dar (Abb. 9a und b). Zur Verwendung kommen handelsübliche stumpfe Spülkanülen, die in verschiedenen Längen und Durchmessern zur Verfügung stehen. Durch ein gezieltes Vorbiegen kann eine Kanüle mit einem Durchmesser, der den koronalen Querschnitt des Fragmentes leicht übersteigt, über das frei präparierte koronale Ende des frakturierten Instrumentes gestülpt und dort fixiert werden.
Brüsehaber
Brüsehaber
Der Autor bevorzugt ein Vorgehen, bei dem mit der Kanüle ein chemisch härtendes Komposit (z.B. Core Paste, Den-Mat, Lompoc, USA) aufgenommen wird. Die Kanüle wird dann über das Fragment gestülpt und die Aushärtung des Komposits abgewartet. Anschließend können sowohl kräftige Dreh- als auch Zugbewegungen auf das Fragment übertragen und so die Lockerung und Entfernung auch langer, bisher nicht mobilisierbarer Instrumente ermöglicht werden.
Fazit
Bleiben Instrumentenfragmente im infizierten Wurzelkanal zurück, bevor das Kanallumen vollständig chemomechanisch aufbereitet werden konnte, wird die Prognose für das Ergebnis der endodontischen Behandlung negativ beeinflusst. Falsches Vorgehen sowie unzureichende Routine bei der Entfernung frakturierter Instrumente können das Problem weiter verschärfen: Perforationen, massiver Zahnhartsubstanzabtrag einhergehend mit Kanalverlagerungen oder die erneute Fraktur verbliebener Fragmente können die Folge sein. Im ungünstigen Fall haben diese Ereignisse die Entfernung des Zahnes zur Folge.
Der routinierte Einsatz von Mikroskopen und Ultraschallinstrumenten stellt eine effektive Methode für die orthograde Entfernung frakturierter Instrumente dar. Im Einzelfall können ergänzend Drahtschlingen oder Hülsen verwendet werden. Eine sinnvolle Fallauswahl vorausgesetzt (Lage und Größe des Fragmentes, Zugänglichkeit zum Fragment, Winkel und Radius der Wurzelkrümmung), können mit diesen Hilfsmitteln mehr als 90% der Instrumentenfragmente entfernt werden [3,14].
Bildquellen sofern nicht anders deklariert: Unternehmen, Quelle oder Autor/-in des Artikels
Entdecke CME Artikel


![Wurzelkanalanatomien nach Hess (1917) [48].](https://dentalwelt.spitta.de/wp-content/uploads/post_images/1_Zaehne.jpg.webp)


Keine Kommentare.