Aufgrund der Variabilität von Wurzelkanalanatomien gehört die Endodontologie sicherlich zu einer der schwierigsten Disziplinen des zahnmedizinischen Spektrums. Häufig weiß man nicht, was einen erwartet und tappt buchstäblich im Dunkeln. Eine schwedische Studie zur Komplexität von Wurzelkanalbehandlungen trägt den dazu passenden Titel: Working in the dark [1].
Die dabei befragten allgemeinzahnärztlichen Kolleg:innen gaben an, dass Wurzelkanalbehandlungen häufig mit Stress und Frustration verbunden sind. Ein möglicher Grund hierfür ist eine gewisse Limitation, akzessorische Kanäle und schwierige Wurzelkanalmorphologien präendodontisch mit Hilfe 2-dimensionaler Röntgenbilder darzustellen [2]. Insbesondere der Molarenbereich im Oberkiefer ist herausfordernd, da hier zusätzlich anatomische Überlagerungen eine präendodontische Einschätzung der Komplexität massiv erschweren [3].
Eine dreidimensionale Röntgentechnik wie die digitale Volumentomographie (DVT) hat in der Endodontologie einen teils signifikanten Einfluss auf die Behandlung und die Behandler:innen. So konnte in klinischen Studien beobachtet werden, dass eine zusätzlich angefertigte DVT-Aufnahme die Therapieentscheidung in knapp der Hälfte der Fälle beeinflusst [4,5]. Die durch die 3D-Bildgebung gewonnenen zusätzlichen Informationen gaben in einigen Fällen zum Beispiel den Ausschlag dafür, eine zuvor geplante Behandlung doch nicht durchzuführen.
Neben der reinen Diagnostik bietet die DVT aber auch die Möglichkeit, Wurzelkanalanatomien dreidimensional zu visualisieren, um eine Behandlung besser planen zu können und anschließend klinisch vorhersagbarer und stressfreier durchzuführen [6]. Zudem erlaubt die verzerrungs- und überlagerungsfreie Darstellung mittels DVT eine valide Messung von Wurzelkanallängen. Praktiker:innen können demnach mit Hilfe der DVT bereits vor der Behandlung erkennen, welche Schwierigkeit (z.B. Krümmung, Konfluation) in einer bestimmten Tiefe des Wurzelkanals zu erwarten ist [7].
Fallbeispiel
Die Patientin stellte sich mit gelegentlichen Beschwerden in regio 26 vor. Alio loco erfolgte bereits die Erneuerung der Kompositfüllung, wodurch sich die Symptomatik aber nicht verbesserte. Der Zahn reagierte minimal verstärkt auf thermische Reize. Eine Aufbissempfindlichkeit bestand nicht.
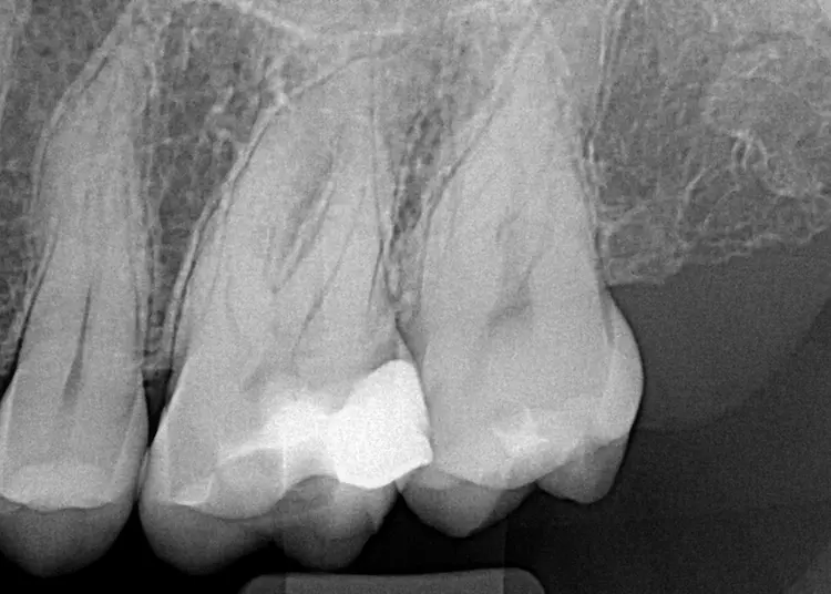
Da die zweidimensionale Diagnostik aufgrund der Länge der Wurzeln erschwert war und sich zudem eine komplexe Anatomie vermuten ließ (Abb. 1), wurde zur erweiterten Diagnostik und zur Behandlungsplanung ein kleinvolumiges DVT angefertigt (Orthophos SL, Dentsply Sirona, Volumen Ø 5 x 5 cm, Auflösung 80 μm). In der DVT-Aufnahme zeigte sich eine apikale Osteolyse an der palatinalen Wurzelspitze mit reaktiver Schwellung der angrenzenden basalen Kieferhöhlenschleimhaut (Abb. 2). Der periapikale Knochen an den vestibulären Wurzeln stellte sich unauffällig dar.
Dr. J. Tchorz
Dr. J. Tchorz
Eine apikale Fusion der Wurzeln mit zusätzlicher Konfluation des mesio-bukkalen und des disto-bukkalen Kanals wie bei Zahn 27 lag an dem zu behandelnden Zahn nicht vor. Die Wurzelkanalmorphologie (Krümmung, Konfluation) der mesiobukkalen Wurzelkanäle von Zahn 26 ließ sich gut anhand verschiedener axialer Ebenen (Abb. 3) erkennen und mit Hilfe einer Planungssoftware (SICAT Endo, SICAT) dreidimensional visualisieren (Abb. 4). Da in diesem Fall der zweite mesio-bukkale Kanal eine Krümmung sowohl in distaler Richtung als auch nach vestibulär aufwies, wurde vorab geplant, den Kanal lediglich bis zur Konfluation mechanisch zu erweitern.
Dr. J. Tchorz
Dr. J. Tchorz
Dr. J. Tchorz
Anschließend erfolgte die mechanische Erweiterung dieses Kanalabschnitts (RECIPROC blue; Abb. 5 „Step 1“). Danach wurde ein manueller Gleitpfad mit K-Feilen der Größe 10 und 15 bis zur Konfluation erstellt, bevor auch dieser Abschnitt bis zur Größe 25 erweitert wurde (RECIPROC blue, Abb. 5 „Step 2“). Die Länge bis zur Konfluation wurde vorab in der DVT-Aufnahme gemessen und nach chemo-mechanischer Desinfektion mit Hilfe eines Guttapercha-Stifts und einer Feile verifiziert.
Die Längen der übrigen Wurzelkanäle wurden elektrometrisch bestimmt und die Kanäle bis zur Größe 25 (mesio-bukkal, disto-bukkal) bzw. 40 (palatinal) erweitert (RECIPROC blue). Nach schallaktivierter chemischer Desinfektion (EDDY, VDW) mit EDTA und NaOCl wurden die Wurzelkanäle getrocknet und thermoplastisch obturiert (Abb. 6 u. 7).
Dr. J. Tchorz
Dr. J. Tchorz
Diskussion und Schlussfolgerung
Die Relevanz der röntgenologischen dreidimensionalen Diagnostik und der anschließenden Behandlungsplanung wird in der Endodontologie häufig unterschätzt. Dank der Möglichkeit einer dreidimensionalen Visualisierung komplexer Wurzelkanalmorphologien kann sie in gewissen Fällen nicht nur die Therapieentscheidung erheblich beeinflussen, sondern Behandlungen auch vorhersagbarer und gegebenenfalls stressfreier gestalten [6]. Im Gegensatz zur Schmerzdiagnostik ist es für die Behandlungsplanung aber keineswegs erforderlich, eine aktuelle DVT-Aufnahme anzufertigen.
Insbesondere die Anzahl und die Lokalisation von Wurzelkanälen sowie deren Morphologie lassen sich auch gut in älteren, bereits vorhandenen dreidimensionalen Aufnahmen betrachten. In diesem Zusammenhang sollte stets das ALARA-Prinzip (As Low As Reasonably Achievable) beachtet werden. Es versteht sich von selbst, dass eine DVT-Aufnahme ausschließlich dann angefertigt wird, wenn klinische und strahlungsärmere röntgenologische Untersuchungsmethoden keine eindeutige Diagnostik, Entscheidungsfindung oder Behandlungsplanung ermöglichen [8,9].
Bildquellen sofern nicht anders deklariert: Unternehmen, Quelle oder Autor/-in des Artikels
Entdecke CME Artikel






Keine Kommentare.