Der aktuelle Stand der Wissenschaft
Getragen von der Begeisterung über die angesprochenen Fallberichte, tritt bei Betrachtung klinischer Studien zum selben Thema zum Teil wieder Ernüchterung ein: In der 2015 veröffentlichten retrospektiven Nachuntersuchung [2] zu direkten Komposit- Veneers wurde nach einer mittleren Verweildauer von 3,5 Jahren eine Erfolgsquote von lediglich 80 % ermittelt. Die mittlere jährliche Verlustrate lag bei der Versorgung von vitalen Zähnen bei 5 % und bei avitalen Zähnen bei 10 % und damit weit über der klinischen Benchmark von 2,5 % pro Jahr [16]. Dennoch schlussfolgerten die Autoren, dass die direkten Komposit-Veneerversorgungen eine „befriedigende“ klinische Performance zeigten. Sie betonten allerdings völlig zu Recht, dass direkte Komposit-Veneerversorgungen auf vitalen Zähnen ein geringeres Versagensrisiko aufweisen als solche, die auf avitalen Zähnen erstellt worden waren. In der Studie ergab sich zudem kein signifikanter Unterschied zwischen dem mikrogefüllten Komposit Durafil VS und Mikrohybrid- bzw. Nanohybridkompositen. Zwei weitere Metaanalysen zeichnen allerdings ein anderes, durchaus positiveres Bild von direkten Frontzahn-Kompositversorgungen: In der Metaanalyse von Demarco et al. [3], die 17 aus 41 eingangs ausgewählten Klasse-III- und -IV-Studien, die den Einschlusskriterien standhielten, in die Analyse einbezogen haben, lag die mittlere jährliche Verlustrate der betrachteten Studien zwischen 0 und 4,1 %. Klasse-III-Studien zeigten hierbei tendenziell geringere mittlere jährliche Verlustraten als Klasse-IV-Studien. In der Metaanalyse von Heintze et al. [8] erfüllten 21 von 84 klinischen Studien die Einschlusskriterien. Dabei bezogen sich 14 auf die Klasse III, 6 auf die Klasse IV und eine ausschließlich auf das Schließen von Diastemata. Die errechnete mediane Erfolgsquote lag nach 10 Jahren für Klasse-III-Füllungen bei 95 % und für Klasse-IV-Restaurationen bei 90 %. Die Hauptursache für das Versagen der Klasse-IV-Restaurationen war die Füllungsfraktur. Entgegen der Studie von Coelho-de-Souza et al. [2] waren mikrogefüllte Komposite signifikant häufiger von Füllungsfrakturen betroffen als Hybrid- oder Makrofüllerkomposite.
Schlussfolgerungen für die tägliche Praxis
Aus den Ergebnissen ihrer Metaanalyse zogen die Autoren [8] interessante klinische Schlussfolgerungen:
- Sie empfehlen die Phosphorsäurekonditionierung der Schmelzränder, da dies das Risiko von Randverfärbungen reduzierte. Hinsichtlich der Überlebensrate der Restaurationen hat die Randverfärbung, die per se keinen Interventionsgrund darstellt, doch einen signifikanten Einfluss: Randverfärbungen sind oft schwer von einer Randkaries zu differenzieren und führen ferner häufig zu einem vorzeitigen Austausch der Restauration aus ästhetischen Gründen.
- Hybridkomposite (und deren Derivate) können in Klasse-IIIund Klasse-IV-Restaurationen zur Anwendung kommen.
- Eine Schmelzrandanschrägung führte entgegen den Erwartungen nicht zu einer Reduktion von Randverfärbungen bzw. zu einer besseren Randadaptation.
- Ob hingegen ein „long bevel“ die Ästhetik oder die Frakturfestigkeit von Klasse-IV-Restaurationen signifikant beeinflusste, konnte nicht untersucht werden.
- Die Kofferdamisolierung stellt keine Bedingung zur Erstellung suffizienter Frontzahnrestaurationen dar, wenn durch eine suffiziente relative Trockenlegung eine Kontaminationskontrolle sichergestellt ist.
Da somit physikalische Eigenschaften von Kompositen nicht der alleinige Garant für ästhetische und langzeitstabile Frontzahnrestaurationen sind, kann das Augenmerk wieder vermehrt auf das ästhetische Potenzial als auch auf die Handlingseigenschaften eines Komposits gerichtet werden. Die folgenden Fallbeispiele zeigen unterschiedliche Indikationen für direkte adhäsive Restaurationen im Schneidezahnbereich: eine Akutversorgung eines Frontzahntraumas, einen Lückenschluss aus ästhetischen Gründen sowie zweimal einen Lückenschluss im Anschluss an eine kieferorthopädische Behandlung.
Fall 1: Lückenschluss nach Kieferorthopädie
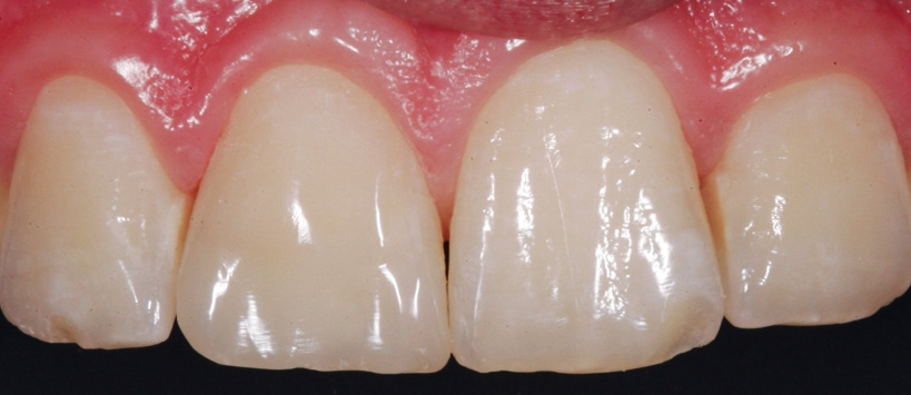
Regelmäßig verbleiben nach einer kieferorthopädischen Behandlung Restlücken, die entweder nur mit einem erweiterten kieferorthopädischen Behandlungsaufwand zu schließen wären oder einfach mit direkten Kompositanbauten. Genau hierauf fiel die Entscheidung der 16-jährigen Patientin und ihrer Eltern, die sich mit einer diskreten Lücke zwischen Zahn 22 und 23 vorstellte (Abb. 1). Für einen unilateralen Anbau nur an einen der beiden benachbarten Zähne erschien die Lücke etwas zu groß. Aus diesem Grunde konnte von bilateralen Anbauten an den Zähnen 22 und 23 ein besseres ästhetisches Gesamtergebnis erwartet werden. Nach Farbbestimmung und Anrauen der Schmelzklebefläche an Zahn 22 mit einer Proxyshape-EVA-Feile (Intensiv, Schweiz) wurde eine approximale Verschalung über eine vertikal inserierte, eingekürzte Teilmatrize erstellt, die über ein lichthärtendes Provisoriummaterial (Clip Flow, VOCO, Cuxhaven) am Zahn 23 fixiert wurde. Die Verschalung mithilfe von Teilmatrizen [5,6] ist eine inzwischen bewährte Alternative zur klassischen Verschalungstechnik nach Hugo und Klaiber [9–12,15], die über einen vertikal positionierten und individuell ausgeformten Frasacostreifen ihren festen Bestandteil im Bereich praxisrelevanter Verfahrenstechniken gefunden hat. Es erfolgte die Schmelzätzung mit dem Conditioner 36 (Dentsply Sirona, Konstanz, Abb. 2) für ca. 30 Sekunden. Nach Applikation eines Schmelzbondings und dessen Polymerisation wurde mit einer sehr feinen Ätzgelkanüle ein Flowkomposit approximal-zervikal eingespritzt und mit einer Explorersonde im zervikalen Randbereich ausgestrichen. Nur so kann der spitz auslaufende Bereich mit Restaurationsmaterial blasenfrei und dicht adaptierend aufgefüllt werden (Abb. 3). Als Kompositrestaurationsmaterial fiel die Wahl auf das neue ceram.x duo. Es kombiniert die hervorragenden Handlingsund Politureigenschaften des bereits markteingeführten ceram.x universal [7] mit den ästhetischen Möglichkeiten eines klassischen Schichtkomposits – mit der wunderbaren Vereinfachung auf lediglich vier Dentin- und drei Schmelzfarben. Dies erleichtert die Lagerhaltung und die Farbbestimmung deutlich. Da als Zielfarbe die Vita A2 bestimmt wurde, kamen im vorliegenden Fall die Dentinfarbe D2 und die Schmelzfarbe E2 zur Anwendung. Die Abbildung 4 zeigt den aufmodellierten Dentinkern distal an Zahn 22. Der Dentinkern wurde so gestaltet, dass er etwas größer dimensioniert wurde, als eigentlich Dentin an der Stelle vorhanden gewesen wäre. Nach Polymerisation der Dentinschicht erfolgte die Überschichtung mit der Schmelzmasse E2 (Abb. 5) und die Konturierung der Approximalfläche mithilfe flexibler Scheiben und der EVA-Feile. So konnte die Distalfläche des Zahnes anatomisch optimiert werden, um im nächsten Schritt die Lücke über den mesialen Anbau an Zahn 23 vollständig zu schließen. Analog zu Zahn 22 erfolgte zunächst die Anfrischung der Klebefläche mittels der EVA-Feile, die ebenso identische Verschalungstechnik sowie das weitere Procedere über adhäsive Vorbehandlung, Flow- Kompositapplikation und Einbringen der Kompositmassen D2 und E2. Die Abbildung 6 zeigt das Endergebnis unmittelbar nach Ausarbeitung und Politur, Abbildung 7 bei einer weiteren Nachkontrolle nach 2 Wochen. Die junge Patientin als auch die behandelnde Kieferorthopädin zeigten sich mit dem ästhetischen Ergebnis und dem Potenzial moderner Schichtkonzepte sehr zufrieden.






Fall 2: Versorgung eines Fronzahntraumas
Der 17-jährige Patient erschien zusammen mit seiner Mutter nach einem Schwimmbadunfall: Beim Sprung vom Dreimeterbrett war er zu steil eingetaucht und hatte seinen Angaben zufolge Grundberührung, die zur Fraktur des Zahnes 11 führte (Abb. 8). Die Schäden an den Zähnen 12 und 21 bestanden bereits seit Längerem – hier wünschte er keine Therapie. Vor der Versorgung des Zahnes 11 erfolgte das allgemeine Screening nach Frontzahntraumata: Ausschluss einer Commotio cerebri, Frakturausschluss knöcherner Strukturen und der Kiefergelenke, Suche nach Weichteilverletzungen. Hier gab es keinerlei auffällige Befunde, sodass als einzige Traumafolge die Verletzung des Zahnes 11 zu verzeichnen war. Der Patient war zunächst in der Zahnklinik vorstellig geworden, wo allerdings lediglich der pulpanahe Bereich mit einem Kalziumhydroxidpräparat abgedeckt worden war. Nach Lokalanästhesie wurden zunächst die Frakturflächen mittels einer flexiblen Scheibe abgerundet [14]. Nach Phosphorsäurekonditionierung des Zahnschmelzes und adhäsiver Vorbehandlung erfolgte der Aufbau eines Dentinkerns aus der Farbe D2 des ceram.x duo-Komposits (auch hier war die Vita A2 als Zielfarbe bestimmt worden). Die Abbildung 9 zeigt die Dimensionierung des Dentinkerns. Zur Erleichterung der Formgebung ist hier bereits der BlueView VariStrip (Garrison) eingesetzt. Für den weiteren Aufbau wurde ausschließlich die Schmelzfarbe E2 von ceram.x duo benutzt. Alternativ wäre noch die Verwendung einer Frasaco-Strip-Krone geeignet gewesen. Dieses Verfahren [4] unter dem Einsatz eines angewärmten Füllungskomposits [18] spielt seine Vorteile hinsichtlich des Zeitgewinnes aber eher bei größeren Frontzahndefekten als dem hier vorliegenden aus. Die Abbildung 10 zeigt die fertige Versorgung bei einem weiteren Kontrolltermin nach 2 Wochen. Der Zahn zeigte sich symptomfrei und vital; im Sensibilitätstest bestand kein Unterschied zu den benachbarten Zähnen. Der Patient war mit der Versorgung sehr zufrieden und merkte an, dass er „ab jetzt ja noch unbekümmerter ins Wasser springen könnte“, wovon ihm das Behandlerteam aber doch eher abriet. Seitens der Beurteilung des Behandlers stört etwas die leicht zu flache Gestaltung der Labialfläche im inzisalen Drittel. Dies war dem Wunsch des Patienten bei der Ausarbeitung geschuldet, der hier ein „Störgefühl“ einer „zu dicken“ Labialfläche hatte. Grundsätzlich könnte hier aber nach Abstrahlen der Oberfläche und Benetzung mit einem Universaladhäsiv jederzeit Material ergänzt werden. Dies würde aber voraussetzen, dass der Patient sich der Ansicht des Behandlers anschließt, was allerdings nicht der Fall ist.


Fall 3: Lückenschluss eines Diastemas
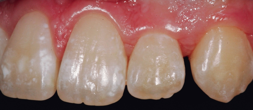
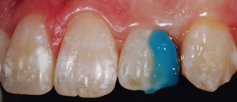
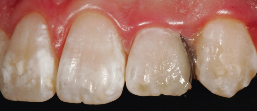
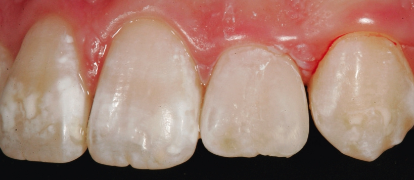
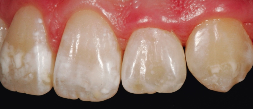
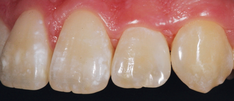
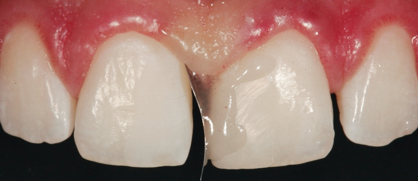
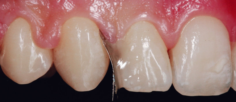
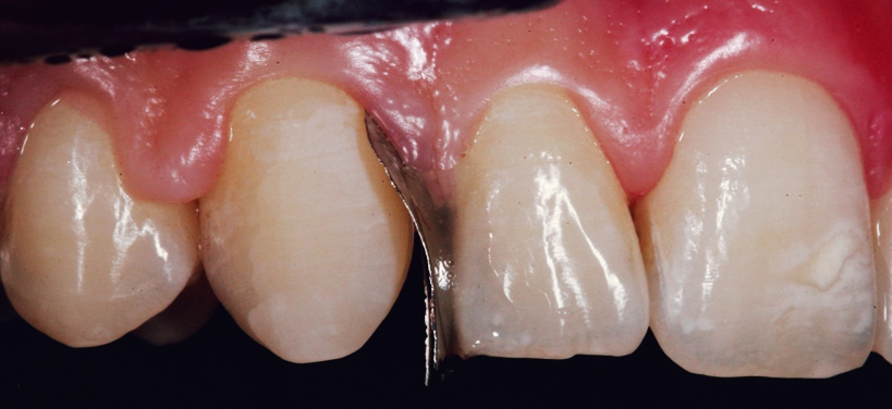
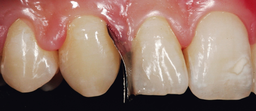
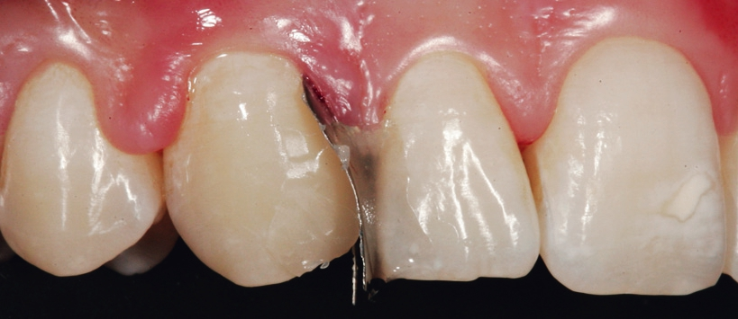
Ein dominantes Spatium intermediale fällt bei zahlreichen Patienten auf, aber nicht alle stört es. Viele sehen es auch als ein Ausdruck ihrer Individualität. Somit sollten derartige Lückenversorgungen auch nur dann vorgenommen werden, wenn der Wunsch tatsächlich vom Patienten selbst kommt und nicht von Freunden, Familienangehörigen etc. Im vorliegenden Fall eines 16-jährigen Jugendlichen (Abb. 11) war dies in der Tat ein sehnlicher eigener Wunsch, dem auch die Eltern zustimmten. In einem derart jungen Alter sollte auf jeden Fall von einer Veneerversorgung Abstand genommen werden, da sich das Gebiss und damit die Position der Zähne mit Sicherheit in den nächsten Jahren noch ändern werden. Darüber hinaus sollten Initialversorgungen immer so minimalinvasiv wie möglich gestaltet werden. Teilveneers wären hier zwar noch eine diskutable Alternative, die aber im Hinblick auf die persönlichen finanziellen Aufwendungen des Patienten im Kosten/Nutzen-Vergleich zur direkten Kompositversorgung und deren heutigen ästhetischen Möglichkeiten kaum punkten können. So kam man nach eingehender Aufklärung überein, den Lückenschluss in direkter Form mit Kompositanbauten vorzunehmen. Als Zielfarbe wurde die Vita A1 bestimmt. Da die Anbauten erneut aus ceram.x duo erstellt werden sollten, ergab sich eine Kombination aus der Dentinfarbe D1 und der Schmelzfarbe E2. Hinsichtlich des klinischen Procederes sollte erneut mit der Verschalungstechnik über vertikal inserierte Teilmatrizen gearbeitet werden [5–7]. Bei einem bilateralen Lückenschluss ist es aufgrund der Stabilisierungsmöglichkeit der Teilmatrize deutlich einfacher, wenn erst eine Approximalfläche komplett aufgebaut, konturiert und poliert wird. Nur so kann für die Verschalung des benachbarten Zahnes 11 ein Fixationspunkt geschaffen werden. Eine Politur der zuerst fertiggestellten Approximalfläche ist essenziell, da sonst das im nächsten Schritt dort befestigte lichthärtende Provisoriummaterial kaum wieder zu entfernen ist. Als einziger Präparationsschritt erfolgte ein Anrauen der Schmelzklebefläche mit einer Proxyshape-EVAFeile (Intensiv, Rotring). Nach Anpassung und Einkürzung der ersten Teilmatrize an Zahn 21 wurde diese am Nachbarzahn mit Clip Flow (VOCO) befestigt. Nach Schmelzätzung mit Conditioner 36 (Dentsply Sirona, Abb. 12) und Aufbringen eines Schmelzbondings mithilfe eines Bondingpinsels (ein Microbrush kann diesen Bereich nicht optimal erreichen) erfolgte zunächst – wie bereits bei Fall 1 beschrieben – das Auffüllen des approximal-zervikalen Bereiches mit einem Flowkomposit (Abb. 13). Die Dentinfarbe D1 von ceram.x duo musste im Folgenden ausreichend dimensioniert werden: Bei approximalen Anbauten ist es essenziell, dass die Dentinmasse des Kompositanbaus den Original-Zahnschmelz des zu versorgenden Zahnes in der Vertikalen umfasst. So wird sichergestellt, dass dieser vertikale Zahnschmelzanteil in Ansicht von labial von der höher-opaken Dentinmasse umschlossen wird. Dies verhindert einen „optischen Sandwich“, bei dem ansonsten in der Labialansicht von zentral nach peripher die opake Kernstruktur des Originalzahnes, dessen natürlicher Zahnschmelz, der opake approximale Anbau sowie die approximale Schmelzschicht des Anbaus optisch hervortreten würden. Die Überschichtung dieser Zahnschmelzlamelle nach labial mit der Dentinmasse (Abb. 14) ist somit neben der Abrundung aller Klebeflächen [14] der wichtigste Tipp für das optische Verstecken eines approximalen Kompositanbaus. Nach Überschichten mit der Schmelzmasse E2 erfolgten die Politur der Approximalfläche und die Verschalung des Zahnes 11 in derselben Technik (Abb. 15). Nach Phosphorsäurekonditionierung (Abb. 16) und Adhäsivapplikation konnte auch hier zunächst der approximal-zervikale Anteil mit einem Flowkomposit aufgefüllt werden (Abb. 17). Die Überschichtung mit der Dentinmasse D1 (Abb. 18) erfolgte analog zu Zahn 21, ebenso das Aufbringen der finalen Schmelzschicht. Die Abbildung 19 zeigt die fertig ausgearbeitete und polierte Situation: Es entstand ein schönes optisches Zusammenspiel aus lebendiger Transluzenz in der Schneidekante (bedingt durch die Schmelzmasse E2) und einer optimalen Opazität in der Tiefe (bedingt durch die Dentinmasse D1), die jeglichen Graueffekt eliminiert. Der Patient war mit dem Endergebnis ausgesprochen zufrieden. Der Zahn 11 wurde bewusst 0,5 mm breiter gestaltet als der Zahn 21: Da der Patient überlegt, die Lücke zwischen Zahn 21 und 22 ebenso schließen zu lassen, könnte hier über einen bilateralen Kompositanbau der Zahn 21 ebenso um 0,5 mm (in diesem Fall nach distal) verbreitert werden. Somit wäre dann eine optimale Symmetrie aus mittleren und seitlichen Schneidezähnen gewährleistet. Entscheidet sich der Patient gegen den Lückenschluss zwischen den Zähnen 21 und 22, fällt eine Breitendiskrepanz ? 0,5 mm in der Enface- Ansicht optisch nicht auf.








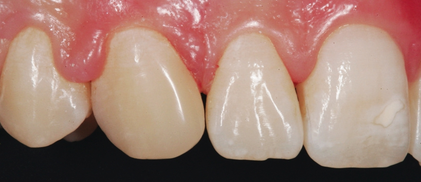
Fall 4: unilateraler Lückenschluss nach Kieferorthopädie
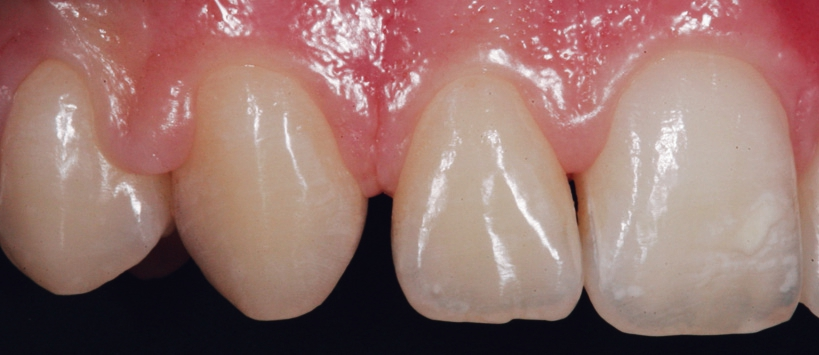
Im Gegensatz zu Fall 1, in dem eine vergleichbare Lücke im zweiten Quadranten durch bilaterale Anbauten an den seitlichen Schneidezahn und den Eckzahn geschlossen wurde, konnte im vorliegenden Fall (Abb. 20) einer 14-Jährigen der Lückenschluss der nach einer kieferorthopädischen Behandlung verbliebenen diskreten Restlücke ausschließlich über einen Anbau an den Zahn 13 erfolgen. Zur Festlegung der Anbauten müssen neben der anzustrebenden Symmetrie der seitlichen Schneidezähne und Eckzähne vorab potenzielle Protrusions- und Laterotrusionskontakte ermittelt werden: Ein optisch gelungener mesialer Anbau an den Eckzahn muss sonst nach Fertigstellung häufig in der vertikalen Extension deutlich reduziert werden, wenn hier ein seitlicher Gleitkontakt dominiert und stört. Dieser könnte einerseits zu funktionellen Beeinträchtigungen bei dem Patienten führen und birgt andererseits bei einseitiger Belastung natürlich auch eine gewisse Gefahr einer kohäsiven Fraktur im Füllungsmaterial. Aufgrund der Bisslage war hier jedoch der unilaterale Anbau an den Zahn 13 möglich – als Nebeneffekt konnte somit die Symmetrie der seitlichen Schneidezähne, welche beide sehr schlank wirken, erhalten bleiben. Nach Verschalung mit der Teilmatrize (Abb. 21) und Konditionierung (Abb. 22) erfolgte auch hier die Applikation eines Flowkomposits im approximal-zervikalen Bereich (Abb. 23). Da die Farbe des zu versorgenden Eckzahnes mit der Vita A3 bestimmt wurde, ergab sich für die Farbgestaltung die Kombination aus der Dentinfarbe D3 und der Schmelzfarbe E2 des ceram.x duo-Kompositsystems. Die Abbildung 24 zeigt den aufgebrachten Dentinkern, Abbildung 25 den nach Schmelzüberschichtung (E2) und Einstellung der funktionellen Bewegungen fertig ausgearbeiteten und polierten Aufbau. Mithilfe der modifizierten Verschalungstechnik und der Kombination der richtigen Opazitäten eines ästhetischen Kompositmaterials ergab sich eine funktionelle und ästhetisch ansprechende Frontzahnrestauration, bei der die drei Schlüsselaspekte Form – Farbe – Opazität erfüllt worden sind. Die extrem gute Polierbarkeit des neuen ceram.x duo (ceram.x gloss-Polierer) bewirkt zudem einen nachhaltigen optischen Gewinn. Unmittelbar nach der Versorgung stellte sich die Patientin bei der überweisenden Kieferorthopädin zum Kleben eines Retainers vor, der bereits vorbereitet war und sofort eingegliedert werden konnte. Die Abbildung 26 zeigt die Situation bei einer weiteren Kontrolle nach 4 Wochen. Die finale Farbadaptation erscheint perfekt; die Kieferorthopädin, die Patientin und deren Mutter zeigten sich mit der vorgenommenen Versorgung sehr zufrieden.






Fazit
Es ist sicherlich hilfreich, gerade die Metaanalysen von Heintze et al. [8] oder Demarco et al. [3] zu kennen, die sehr gute Prognosen direkter Frontzahnversorgungen mit Kompositmaterialien aufzeigen. Denn gerade bei größeren Frontzahnrestaurationen, die mit Mehrkostenvereinbarungen wie in Fall 2 oder – aufgrund der rein ästhetischen Behandlungsindikation – komplett privat erstellt werden, stellt dieses Kriterium für viele Patienten eine wichtige Entscheidungshilfe dar. Bei wesentlich teureren Veneer- oder Kronenversorgungen wird hingegen die Frage nach der Lebenserwartung deutlich seltener gestellt. Somit soll der vorliegende Beitrag die aktuelle wissenschaftliche Literatur zum Thema der ästhetischen und funktionellen Möglichkeiten mithilfe moderner Kompositmaterialien beisteuern und damit die Argumentation in der Praxis erleichtern.
Bildquellen sofern nicht anders deklariert: Unternehmen, Quelle oder Autor/-in des Artikels
Entdecke CME Artikel




Keine Kommentare.