Zurück zum Lachen – smarte Lösungen für große Resultate
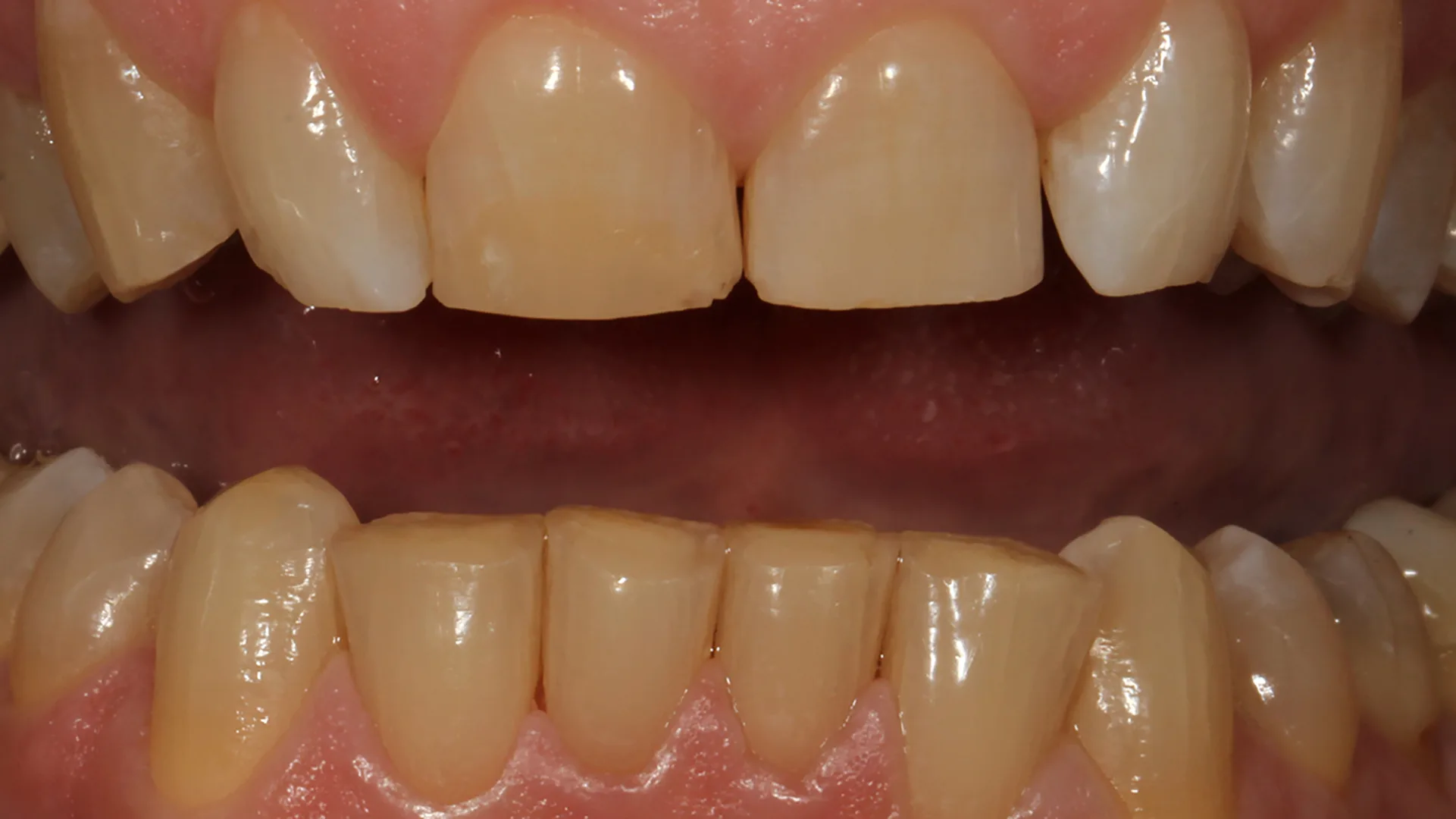
Im Laufe der Jahre können nach zahlreichen Behandlungen verschiedenste Zahnersatzlösungen aufeinandertreffen, um die jeweils aktuelle Gebisssituation zu verbessern. Oft wird dabei alter Zahnersatz, der oft in noch vorhandenen Zahnbestand eingegliedert wurde, um einzelne Zähne erweitert oder repariert, weil sich Okklusion und Zahngesundheit verändern. Durch diese einzelnen und oft notwendigen Schritte ergibt sich ein Bild, das für den Patienten eine oft unerträgliche Situation darstellt – das intuitive Lachen bei Gesprächen oder Familienfotos fällt zunehmend schwer.
Entdecke CME Artikel