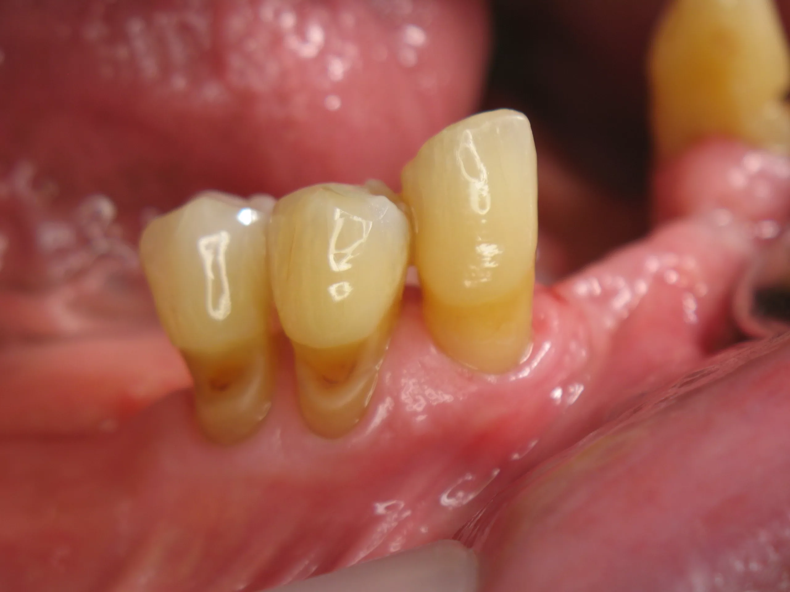
Der Patient (männlich, 72 Jahre alt) war vor der Behandlung bereits seit vielen Jahren parodontal erkrankt. Aufgrund der Einnahme verschiedener Medikamente litt er zudem unter Mundtrockenheit, so dass der Speichel seine wichtige Funktion als schützender Puffer für den Zahnschmelz nur ungenügend erfüllen konnte. Der Patient wies ausgeprägte Zahnhalsdefekte mit Rezessionen auf (Abb. 1 u. 2) und reagierte nach der Parodontalbehandlung schmerzempfindlich auf Heißes, Kaltes oder Süßes. Zudem zeigten sich mehrere kariöse Läsionen.
Dr. Dirk Bleiel
Verzahnung von professioneller Therapie und häuslichen Maßnahmen
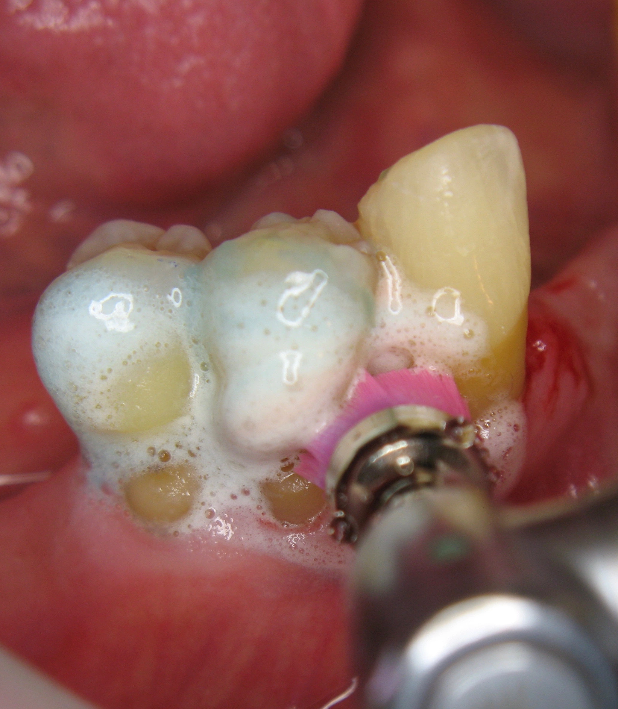
Unsere Therapie in der Praxis sieht eine dreimal jährliche UPT vor, bei der regelmäßig im Bereich der freiliegenden Zahnhälse mit Duraphat® Fluorid 5mg/g Zahnpaste eingebürstet wird (Abb. 3-5). In unserer Mundhygieneinstruktion empfahlen wir dem Patienten, eine Zahnbürste mit weichem Borstenfeld oder alternativ eine elektrische Zahnbürste mit Drucksensor zu nutzen, um zu stark abrasives Putzen zu verhindern. In der Ernährung sollte der Patient auf möglichst weiche und cremige Kost achten und die Trinkmenge erhöhen, um die Schleimhäute regelmäßig zu befeuchten. Zur Verringerung der Mundtrockenheit eignen sich auch speichelanregende Nahrungsergänzungsmittel oder saure, zuckerfreie Bonbons.
Dr. Dirk Bleiel
Dr. Dirk Bleiel
Dr. Dirk Bleiel
Spürbare Besserung bereits nach kurzer Zeit
Bereits eine Woche nach der ersten UPT und der häuslichen Anwendung der empfohlenen Zahnpaste berichtete der Patient von einer deutlichen Linderung der Schmerzempfindlichkeit bei Heißem, Kaltem oder Süßem.
Dr. Dirk Bleiel
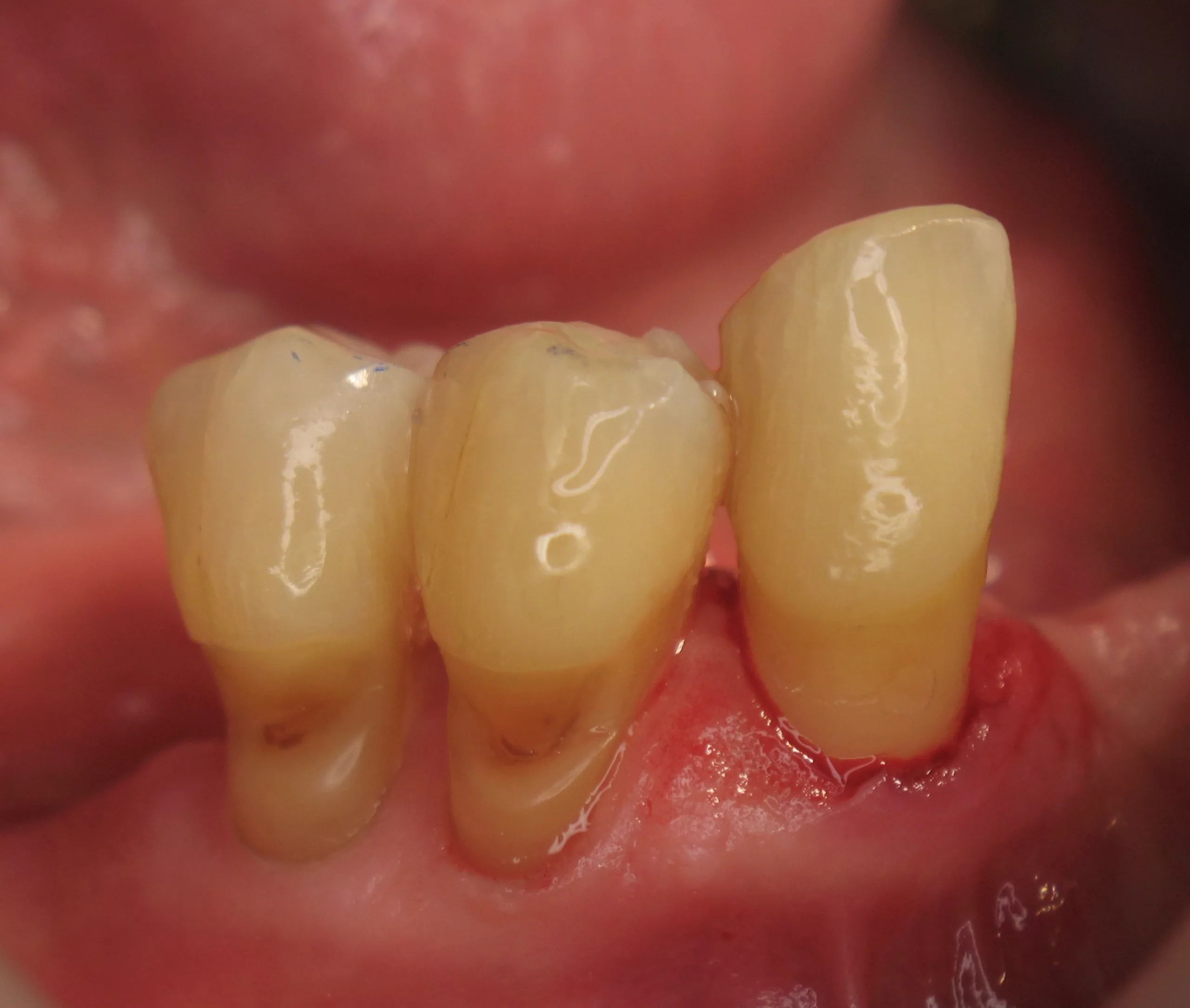
Klinisch war eine Stabilisierung der kariösen Läsionen sichtbar (Abb. 6). Angesichts der generell schwierigen Mundhygienesituation bei Senioren sowie ihrem höheren Risiko für freiliegende Zahnhälse und Karies, kann eine Zahnpaste mit erhöhter Fluoridkonzentration wie Duraphat® Fluorid 5mg/g als Mittel der Wahl in der Seniorenzahnmedizin gelten.
Bildquellen sofern nicht anders deklariert: Unternehmen, Quelle oder Autor/-in des Artikels
Entdecke CME Artikel





Keine Kommentare.