|
Getting your Trinity Audio player ready...
|
Drei perfekt aufeinander abgestimmte Komposite – Venus Bulk Flow ONE, Venus Diamond Pure und Venus Diamond Flow Pure – ermöglichen zeitsparende, sichere und ästhetisch überzeugende Restaurationen im Front- und Seitenzahnbereich.
Für die wirtschaftliche Füllungstherapie und die Ansprüche Ihrer Patientinnen und Patienten bietet die Venus Pure Linie die relevanten Kompositmaterialien:
- Venus Bulk Flow ONE
Kernkompetenz: Seitenzahnfüllung
Fließfähiges Seitenzahnkomposit in Universalfarbe für 4 mm-Schichten – ohne zusätzliche Deckschicht - Venus Diamond Pure
Kernkompetenz: Frontzahnfüllung
Komposit mit hoher Farbanpassung in 3 Grundfarben – ohne zusätzliche Farbschichtung - Venus Diamond Flow Pure
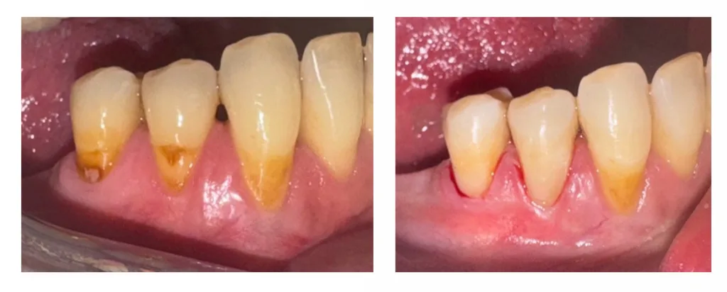
Kernkompetenz: Zahnhalsfüllung
Komposit für Zahnhalsfüllung mit Wurzelbeteiligung in Front- und Seitenzahnbereich – 3 Grundfarben, ohne zusätzliche Farbschichtung

„Wer schon mal von mir über Seitenzahnversorgungen gelesen hat weiß: Ich liebe das fließfähige Bulk-Komposit von Kulzer. Nicht nur, weil Venus Bulk Flow ONE mir das Arbeiten erleichtert. Sondern weil es genau das bietet, was sich meine Patienten wünschen: Schnelligkeit und Haltbarkeit – und das mit einem überzeugenden ästhetischen Ergebnis.
Im Seitenzahnbereich ermöglicht mir Venus Bulk Flow ONE ein effizientes Füllen in 4 mm-Schichten – schnell und wirtschaftlich. Im Zahnhalsbereich unterstützt mich jetzt das neue Venus Diamond Flow Pure. Es liefert eine Farbechtheit, die sich sehen lassen kann. Funktion, Ästhetik und Effizienz – schön, wenn alles zusammenpasst.“
Dr. med. dent. Nora Joos, Berlin (Quelle: dzw 17-25)
Einfach. Sicher. Überzeugend. Das Venus® Diamond Pure Collection Kit – entwickelt für die Zukunft der Zahnmedizin. Erhältlich beim dentalen Fachhandel oder unter shop.kulzer/venus-diamond-pure-collection-kit.
*dzw 14-2025
Entdecke CME Artikel






Keine Kommentare.