Langzeitstabilität ist ein wichtiger Aspekt in der gegenwärtigen Zahnmedizin, vor allem da der Austausch von Restaurationen oft als signifikanter Kostenfaktor kritisiert wird. Eine gute Adhäsion fördert die Haltbarkeit, da sie Restaurationsverlusten sowie Randspalten und daraus resultierender Sekundärkaries vorbeugt.
GC Germany GmbH
GC Germany GmbH
GC Germany GmbH
GC Germany GmbH
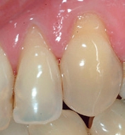
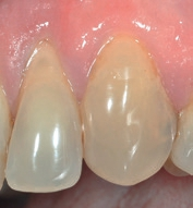
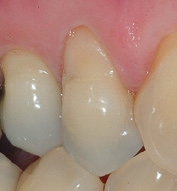
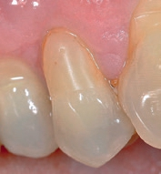
Eine Studie vergleicht die Leistungsfähigkeit des selbstätzenden „Ein-Schritt-Adhäsivs G-BOND“ mit der des „Drei-Schritt-Etch-and- Rinse-Adhäsivs Optibond FL“, welches meist als Goldstandard bezeichnet wird. Insgesamt 267 Läsionen wurden berücksichtigt, deren Behandlung nach dem Zufallsprinzip mit G-BOND oder Optibond FL erfolgte. Die Retentionsrate war mit 89,7% für beide Adhäsive gleich, die klinischen Gesamterfolgsraten lagen bei 80,3% (G-BOND) und 79,5% (Optibond FL). Teil des Erfolges von G-BOND ist seine HEMA-freie Formulierung; die Abwesenheit des hydrophilen Monomers fördert die hydrolytische Langzeitstabilität. G-ænial BOND und G-Premio BOND, die Nachfolger von G-BOND, verzichten ebenfalls auf HEMA. Ihre Formulierungen wurden jedoch zugunsten einer noch weiter reichenden Flexibilität weiter optimiert.
Literatur:
[1] Peumans M, Wouters L, De Munck J, Van Meerbeek B, Van Landuyt K.: Nine-year clinical performance of a HEMA-free one-step self-etch adhesive in noncarious cervical lesions. J Adhes Dent, 2018;20 (3): 195-203. doi: 10.3290/j.jad.a40630.
Weitere Informationen:
GC Germany GmbH
Seifgrundstraße 2
61348 Bad Homburg
www.germany.gceurope.com
info.germany@gc.dental
https://www.gceurope.com/
https://www.youtube.com/user/GCEuropeProducts/featured
Bildquellen sofern nicht anders deklariert: Unternehmen, Quelle oder Autor/-in des Artikels
Entdecke CME Artikel





Keine Kommentare.