Es existieren hervorragende und über Jahre klinisch bewährte adhäsive Befestigungssysteme als auch deren Äquivalente als adhäsive Stumpfaufbausysteme, mit denen sogar in einem Zug ein adhäsiver Glasfaserstift befestigt werden kann. Beide Produktgruppen weisen eine ähnliche Viskosität auf, wären somit in einer „Blindverkostung“ kaum voneinander zu unterscheiden. Dennoch unterscheiden sie sich in zahlreichen physikalischen und chemischen Details: Ein adhäsives Befestigungsmaterial benötigt zur adhäsiven (am besten selbstkonditionierenden) Anbindung an das Dentin eine gewisse Hydrophilie und eine entsprechende Benetzungsfähigkeit, eine Farbbeständigkeit und gute Politureigenschaften. Ein Stumpfaufbaukomposit profitiert hingegen eher von hydrophoben Eigenschaften, die einer hygroskopischen Expansion des doch im Gegensatz zum adhäsiven Befestigungsmaterial deutlich größeren Volumens entgegensteuern und von besseren Biegebruch- und Druckfestigkeitswerten [9].
Alles in einen „Wünsch Dir was-Topf“ zu werfen, stieß bislang an chemisch-physikalische Grenzen. Demzufolge sind adhäsive Befestigungssysteme und vorrangig selbstadhäsive Zemente zur Verwendung als Stumpfaufbaukomposit kontraindiziert, da deren erhöhte Wasseraufnahme sogar zum Platzen von Lithiumdisilikatkronen führen kann, wie eine Berliner In-vitro-Studie nachweisen konnte [91]: 50% der auf einen Stumpfaufbau aus einem selbstadhäsiven Zement verklebten Lithiumdisilikatkronen zeigten nach 9 Monaten Wasserlagerung erkennbare Risse.
Nach intensiver Forschungsarbeit gelang Kettenbach inzwischen dieser Spagat einer Neuentwicklung aus hydrophiler, selbstkonditionierender Grenzflächenreaktion und hydrophoben Kerneigenschaften zum Bestehen aller Anforderungen an großvolumige Kompositaufbauten. Dementsprechend beinhaltet Visalys Cem- Core besondere hydrophobe Monomere, wodurch eine Quellung sowie die Aufnahme von Farbstoffen verhindert werden. Durch die Kettenbach-eigene Active-Connect-Technology (ACT) wird trotz Hydrophobie eine hohe Haftkraft erreicht. Das liegt an speziellen Phasentransferkatalysatoren, die für den Übergang zwischen hydrophiler Zahnsubstanz und hydrophobem Befestigungskomposit verantwortlich sind.
Da die „Hydrophilie“ nur an der eigentlichen Grenzfläche zur Zahnhartsubstanz gefordert ist, das eigentliche Hauptvolumen des Materials aber eher einem hydrophoben dualhärtenden Restaurationsmaterial entspricht, sind sofort weitere, auch ästhetische Vorteile erkennbar, wie die Hoffnung, dass sich Klebefugen bei der adhäsiven Befestigung ästhetischer, vollkeramischer Restaurationen nicht so schnell verfärben.
Adhäsivauswahl bei dual- bzw. dunkelhärtenden Befestigungskompositen
Generell stellt die adhäsive Befestigung indirekter Restaurationen enorme Anforderungen an die Materialien, aber auch an das Know-how der Anwender, sobald Dunkel- oder Dualhärtung im Spiel ist – gerade was die Kombination aus Adhäsiv und Befestigungskomposit betrifft. Während bei rein lichthärtenden Materialien (Befestigungs-)Komposit und Adhäsiv problemlos von unterschiedlichen Herstellern kombiniert werden können [90,95], ist dies in der Kombination mit selbst- oder dualhärtenden Materialien nicht der Fall [5]: Hier ist das Aushärtungssystem des Komposits zu berücksichtigen, welches in der Regel ein Amin/Peroxidbasiertes System ist. Amine sind säureempfindlich; d.h., sie werden durch Säuren protoniert und somit als Co-Initiatoren für das Selbsthärtesystem deaktiviert. Dies ist der Fall bei der Verwendung selbstkonditionierender All-in-One-Adhäsive, aber auch bei manchen selbstkonditionierenden Zweischrittsystemen und bei den meisten Universaladhäsiven. Werden solche Produkte entgegen den Kompatibilitätsempfehlungen der Hersteller verwendet, funktioniert der Selbsthärtungsmechanismus des dual- oder selbsthärtenden Komposits nicht mehr. Ein komplettes adhäsives Versagen wäre die unschöne Folge. Es sollten somit nur die Adhäsive in Kombination mit dunkel- bzw. dualhärtenden Kompositen verwendet werden, für die herstellerseits eine Kompatibilität mit den entsprechenden Befestigungskompositen garantiert wird.
Manchmal ist ein Dunkelhärtungs-Aktivator 1:1 beizumischen – dieser macht aber aus dem lichthärtenden Adhäsiv kein selbsthärtendes: Er stellt lediglich die Kompatibilität mit dem dunkeloder dualhärtenden Befestigungskomposit dar, lichtgehärtet werden muss jedoch trotzdem. Deswegen sind Bezeichnungen wie „Self Cure Activator“ irreführend. Es gibt hingegen durchaus individuelle Produktkombinationen einzelner Hersteller, bei denen in bestimmten Kombinationen bei Verwendung von Produkten desselben Herstellers kein Dunkelhärtungsaktivator beigemischt werden muss. Hier sollte sehr genau die Gebrauchsanweisung studiert werden. Da, wie beschrieben, durchaus zahlreiche Fallstricke in Form nicht vorhersehbarer Inkompatibilitäten lauern können, empfiehlt es sich, bei der adhäsiven Befestigung, bei der in der Regel eine Dunkelhärtungskomponente integriert ist, streng in den Kombinationsempfehlungen eines Herstellers zu bleiben.
Rein lichthärtende adhäsive Befestigung
Bei der Kombination rein lichthärtender Materialien sieht dies anders aus: Hier können problemlos das Adhäsiv und das Komposit unterschiedlicher Hersteller miteinander kombiniert werden [90]. Eine rein lichthärtende Befestigung ist somit durchaus eine Option und wird von renommierten Schulen und Forschungseinrichtungen auch so empfohlen [78] – unter der Voraussetzung einer suffizienten Lichtpolymerisation. In dem Beitrag wird bei der rein lichthärtenden Befestigung von Lithiumdisilikat-Teilkronen eine Polymerisation von 2 × 20 Sek. aus 4 Richtungen empfohlen; dies resultiert in einer Gesamtpolymerisation von mehr als 2,5 Min., was eine vitale Pulpa ohne zusätzliche Kühlung wahrscheinlich mit der Quittierung ihrer Dienstverpflichtungen beantworten würde. Deswegen sind derartige Empfehlungen rein lichthärtender Befestigungen mit Vorsicht zu genießen. Hintergrund ist, dass selbst dünnste Schichten transluzenter Keramik die Lichttransmission signifikant reduzieren.
In einem einfachen Radiometer-Versuchsaufbau [16] reduzierte sich die Lichtleistung von 1065 mW/cm2 bei einer zwischen Lichtaustrittsfenster und Radiometer-Sensor platzierten 0,4 mm dünnen e.max LT A2-Keramikscheibe bereits um 30% auf 778 mW/cm2. Bei 0,7 mm Schichtstärke ergab sich eine Reduktion um 45% auf 616 mW/cm2 und bei 1,5 mm dicken e.max LTScheiben der hellen Farbe A2 sogar eine Reduktion um 67% auf 388 mW/cm2. Hält man sich vor Augen, dass 1,5 mm Schichtstärke immer noch die vorgeschriebene Mindestschichtstärke der meisten Glaskeramiken ist, ist davon auszugehen, dass ein hoher Prozentanteil indirekter keramischer Restaurationen gerade im Seitenzahnbereich diese Mindestschichtstärke überschreitet – gut für die Mechanik der Restauration, schlecht für die Lichthärtung. Diese Problematik verdeutlicht, dass die rein lichthärtende adhäsive Befestigung nach wie vor eine Ausnahmesituation darstellt und auf Indikationen wie Frontzahn-Veneers, Inlays und Okklusal-Veneers beschränkt bleibt.
Anforderungen an die Anwendung dual- und dunkelhärtender Befestigungskomposite und deren differenzierte Anwendung
Als Schlussfolgerung bleibt, dass wir uns noch viele Jahre mit Dual- und Dunkel- bzw. Selbsthärtung beschäftigen werden. Aber auch hier rentiert sich ein Blick auf das Dunkelhärtungspotenzial eines „dual“-härtenden Befestigungsmaterials: Ein dualhärtendes System basiert auf Selbst- und Lichthärtung; ein selbsthärtendes System kommt komplett ohne Licht aus – dasselbe gilt für selbsthärtende Systeme mit Lichthärtungsoption: Hier ist die Lichthärtung optional, d.h., dieselbe Endhärte kann mit bzw. ohne zusätzliche Lichthärtung erreicht werden. Eine Lichthärtungsoption kann sinnvoll sein, um z.B. eine sofortige Oberflächenbearbeitung zu ermöglichen. „Dual“-Härtung heißt deshalb nicht, dass das Befestigungsmaterial komplett ohne Licht auskommt; auch hier ist es besser, wenn zumindest im Nachgang nach der abgeschlossenen Befestigung und der Überschussentfernung über die gut zugänglichen Übergangsbereiche zusätzlich mit Licht gehärtet wird.
Bei der Verwendung von klassischen dualhärtenden Systemen muss somit zur Erzielung eines optimalen Haftverbundes, einer optimalen Endhärte und einer optimalen Konversionsrate eine suffiziente Lichtpolymerisation sichergestellt sein [63,64]. Da dies z.B. im Wurzelkanal und unter opaken Keramiken wie Zirkonoxid oder gar einer klassischen VMK-Krone nicht gewährleistet werden kann, können die klassischen dualhärtenden Befestigungskomposite für diese Indikationen nur sehr bedingt empfohlen werden. Eine Studie aus dem Jahr 2017 [21] verdeutlicht diese Problematik am Beispiel von RelyX Ultimate: Ohne Lichthärtung ergab sich eine Konversionsrate von 27%, bei zusätzlicher Lichtpolymerisation für 20 Sek. mit einer Elipar S10 ging diese auf 62% hoch. Dieses Beispiel zeigt deutlich, dass klassische dualhärtende Kompositbefestigungssysteme so eingesetzt werden müssen, dass ein ausreichender sekundärer Lichtzutritt zur Klebefuge gewährleistet ist, wie es bei den meisten glaskeramischen Inlay-, Onlay- und Teilkronenversorgungen möglich sein dürfte.
Seit 2016 empfiehlt die Ivoclar Variolink Esthetic DC nicht für die Verwendung von Glasfaserstiften im Wurzelkanal *. Hier wird seitens des Herstellers das selbsthärtende Befestigungskomposit mit Lichthärtungsoption Multilink Automix favorisiert. In einem ähnlichen, älteren Dokument aus dem Jahr 2013 war man hier bei Variolink II noch mutiger: Hier war ein Haken für die Verwendung von Variolink II für die Befestigung von Glasfaserstiften zu finden**. Dies zeigt deutlich, dass es bei Nachfolgeprodukten vereinzelt auch zu Indikationseinschänkungen kommen kann – ein sorgfältiges Studium der Gebrauchsinformation schützt hier vor Fehlanwendungen in diesem doch sehr neuralgischen Bereich der adhäsiven Befestigung. Demzufolge bleibt es dem interessierten Anwender überlassen, beim Hersteller verifizierbare Daten zum Haftverbund und zur Konversionsrate auch nach Belastung zu erfragen, die eine annähernd gleichwertige Performance dual- und selbsthärtend belegen können.
An ein Befestigungskomposit sollten folgende Qualitätskriterien gelegt werden:
- ausreichende Selbsthärtung
- Lichthärtung nur als zusätzliche Option
- hohe Konversionsrate auch in der rein selbsthärtenden Anwendung
- optimales adhäsives Haftpotenzial in Kombination mit einem geeigneten, vorzugsweise selbsthärtenden Adhäsiv
- geringe Polymerisationsschrumpfungskraft; dies beugt Desintegrationen zum Wurzeldentin in den Kavitäten mit extrem ungünstigen, da sehr hohen C-Faktoren vor
- ausreichende Verarbeitungszeit
- Tack-Cure-Option
- ausreichende Röntgenopazität
- Farbstabilität
Nach den bislang vom Hersteller und von externen Untersuchungszentren vorliegenden Daten erfüllt Visalys CemCore alle geforderten Anforderungen an ein adhäsives Befestigungssystem. Hervorzuheben ist hier die sehr gute Selbsthärtung auch ohne eine zusätzliche Lichtpolymerisation. Somit stand der klinischen Anwendung nichts im Wege und soll anhand der folgenden Fallbeispiele illustriert werden.
Patientenfälle
Fall 1: Befestigung von 2 Lithiumdisilikat-Teilkronen
Bei der 42-jährigen ärztlichen Kollegin waren insuffiziente, größere Kompositrestaurationen mit z.T. Höckerersatz an den Zähnen 46 und 47 auszutauschen. Die Wahl fiel aus ästhetischen Gründen auf eine Lithiumdisilikatkeramik (IPS e.max Press, Ivoclar Vivadent). Die Farbbestimmung erfolgte chairside durch einen der praxiseigenen Zahntechnikermeister. Die Abbildung 1 zeigt die fertiggestellte Laborarbeit auf dem Arbeitsmodell. Die entscheidende Vorbehandlung der Keramik ist im Anschluss an die Einprobe die Reinigung der Keramik mit Ivoclean oder Phosphorsäuregel [10] und die anschließende Flusssäurekonditionierung. Die 5%ige Flusssäure stellt nach wie vor die am besten bewährte Vorbehandlungsmethode für glasbasierte Keramiken dar [1,12,14, 36,51,61,73]. Eine Meta-Analyse aus dem Jahr 2015 bestätigt dies [69].
Prof. Dr. C-P Ernst
Die „abgepufferte“ 9 bis 9,6%ige, gelbe Flusssäure stellt durchaus eine interessante, da „nicht so gefährliche“ Alternative zur roten Flusssäure dar [38,39,60,97]. Hinsichtlich der Ätzzeit und der Art der Flusssäure auf Lithiumdisilikatkeramik widersprechen sich nur leider die Vorgaben der Ivoclar Vivadent mit 20 Sek. (ausschließlich 5%ige Flusssäure) und der Empfehlung z.B. der Ultradent-Flusssäure mit 90 Sek. (9%iges gepuffertes Flusssäuregel). Aus diesem Grund können bis heute leider keine evidenzbasierten Empfehlungen zur geeigneten Ätzzeit mit einer abgepufferten, 9 bis 9,6%igen gelben Flusssäure auf Lithiumdisilikatkeramik gegeben werden, da man entweder der Herstellerempfehlung der Keramik (20 Sek., 5% Flusssäure) oder den Empfehlungen des Ätzgelherstellers (90 Sek.) folgen muss. Viele Kollegen folgen hierbei einem selbst kreierten Kompromiss aus 60 Sekunden. Gerade bei IPS e.max bleiben wir aus diesem Grund bei der roten, 5%igen Flusssäure [24,25,69] und folgen somit den Empfehlungen des Keramikherstellers. Das alternative, auf Ammoniumpolyfluorid basierte Konditionierungsmittel (Monobond Etch & Prime, Ivoclar Vivadent) ist auf jeden Fall eine hochinteressante Alternative zur klassischen Flusssäure/Silan-Kombination [27,28], kommt aber noch nicht ganz an den „Golden Standard“ heran [29,30].
Aus der bereits zitierten Literatur geht eindeutig hervor, dass eine Silanapplikation nach der Flusssäurekonditionierung signifikant höhere Haftwerte erzielt als die Flusssäurekonditionierung allein. Somit kann die Silanisierung einer mit Flusssäure konditionierten glasbasierten Keramikoberfläche ebenso als „State of the Art“ bezeichnet werden, wie auch aus einer Meta-Analyse zu dem Thema hervorgeht [29,94]. Die klassische Silanapplikation (Monobond S, Espe-Sil usw.) funktioniert, ist aber heute aufgrund der Standardisierung der Bevorratung und der Gefahr der Verwechslung mit anderen Keramikprimern nicht mehr sinnvoll: Die Glaskeramik benötigt ein Silan, Zirkonoxid benötigt MDP, Metall benötigt bestimmte Schwefelverbindungen. Die Verwechslung der spezialisierten Einzelprimer führt zum Zusammenbruch des adhäsiven Verbundes. Deswegen haben sich Universalprimer etabliert und bewährt, die alle alle 3 Komponenten oder zumindest Silan+MDP beinhalten. Eine Verwechslung ist nicht mehr möglich, es wird immer der richtige Primer verwendet.
Die bekanntesten Produkte sind hier Monobond Plus (Ivoclar Vivadent) und Clearfil Ceramic Primer Plus (Kuraray). Identisch aufgebaut ist der zum Visalys CemCore gehörende „Visalys Restorative Primer“. Allein der Name schließt sämtliche Verwechslungen aus: Er gehört auf die Restauration, egal ob Glaskeramik oder Zirkonoxid. Dieser Visalys Restorative Primer von Kettenbach wurde auf die beiden IPS e.max-Teilkronen für eine Einwirkzeit von 60 Sek. aufgebracht. Eine abschließende Lösungsmittelevaporation beendete die Vorbehandlung der Glaskeramik. Silanenthaltende Universaladhäsive [22] sollten hingegen nicht auf der mit Flusssäure geätzten Glaskeramik verwendet werden, da das beigefügte Silan im sauren Milieu des Universaladhäsivs nicht lagerstabil ist [29]. Wenn sie denn überhaupt funktionieren, zeigen sie signifikant reduzierte Haftwerte [19,45,51,54,74,83, 100,101].
Weiter geht es am Zahn: Die Kontaminationskontrolle ist bei der adhäsiven Befestigung essenziell [84]. Das einfachste Tool – gerade bei adhäsiven Teilkronen – ist die Kofferdamisolierung. Die Abbildung 2 zeigt den isolierten Arbeitsbereich nach Entfernung der Provisorien, der Reinigung der Klebeflächen mit Ultraschall und Bims-Paste (Zircate, Dentsply Sirona) sowie dem Abstrahlen der Kompositfläche an Zahn 46 mit 50 ?m Aluminiumoxid (Rondoflex, KaVo). Die kurze, flügellose Molaren-Kofferdamklammer erleichtert den Zugang zum Approximalraum bei der Versäuberung mit Zahnseide. Da es sich in diesem Bereich um eine adhäsive Kavitätenbodenelevation mit Komposit [66] im Vorfeld der Präparaton und nicht um eine adhäsive Aufbaufüllung handelt, kommt der suffizienten Vorbehandlung auch dieser Klebefläche eine entscheidende Bedeutung zu, um einen Haftverbund zwischen dem Komposit und dem adhäsiven Befestigungssystem zu gewährleisten.
Prof. Dr. C-P Ernst
Die Kavitätenbodenelevation wurde bereits 1993 von Krejci und Lutz erstmals publiziert [56], danach mehrfach in Fallbeispielen veröffentlicht [18,79,80] und kann nach der Veröffentlichung von inzwischen zahlreichen In-vitro-Studien [35,46,68,81,82, 96,102] zu dem Thema als eine Behandlungsoption angesehen werden, bei tiefen approximalen Läsionen eine sichere adhäsive Anbindung an eine indirekte Restauration zu etablieren. Da direkte adhäsive Restaurationen im Gegensatz zu indirekten Inlay- und Teilkronenversorgungen auch sehr häufig gut ohne Kofferdamisolierung, alleine durch die Isolierung mithilfe von Teilmatrizen, kontaminationsfrei gelegt werden können, geht man diesen Weg der Sub-Füllung oder der „betonierten Bodenplatte“, auf die später die indirekte Restauration adhäsiv verklebt wird. Da der Kavitätenrand der indirekten Restauration somit „angehoben“ wurde, kann eine suffiziente Kontaminationskontrolle bei der adhäsiven Befestigung ohne Probleme erfolgen. Eine „conditio sine qua non“ ist allerdings das beschriebene Abstrahlen der bereits gelegten Kompositfüllung mit dem Al2O3.
Im Anschluss erfolgte eine Schmelzätzung mit 35%igem Phosphorsäuregel für ca. 15 Sek. Selbstkonditionierende Systeme sind zwar in der Lage, einen mit Phosphorsäureätzung vergleichbaren Haftverbund und eine entsprechende Retentionsrate zu gewährleisten, zeigen doch aber signifikant mehr Randverfärbungen als bei einer separaten Phosphorsäurekonditionierung. Dies zeigt deutlich eine 13-Jahres-Studie zu Clearfil SE Bond der Leuvener Arbeitsgruppe [76], in der im Split-Mouth-Test jeweils selbstkonditionierend versus selektiver Schmelzätzung untersucht worden war. Da Randverfärbungen sowohl vom Behandler als auch vom Patienten als ein unerwünschtes Ereignis an vollkeramischen Restaurationen bewertet werden, sollte das Risiko ihrer Entstehung so weit wie möglich reduziert werden. Die beste Möglichkeit hierzu ist nach wie vor die selektive Schmelzätzung.
Nach der Schmelzkonditionierung mit dem Phosphorsäuregel und dem ausreichenden Spülen für 15 Sek. ist für eine suffiziente volladhäsive Anbindung ein Benetzungsmittel, ein „Tooth Primer“ erforderlich. Der zu Visalys CemCore gehörende Visalys Tooth Primer ist ein selbstkonditionierender Einkomponenten-Primer, der keiner separaten Lichthärtung bedarf und somit die Ansprüche an die Selbsthärtung des Adhäsivs, die anschließend im Kontakt mit Visalys CemCore abläuft, erfüllt. Die Abbildung 3 zeigt die Einwirkung des Visalys Tooth Primers auf die Präparationsflächen der beiden Zähne 46 und 47. Die Befestigung der Teilkronen erfolgte gleichzeitig mit Visalys CemCore in der Farbe Universal (A2/A3), das vorab direkt auf die Teilkronen und nicht in die Kavitäten appliziert wurde (Abb. 4). Obwohl eine „Tack Cure“-Technik-Option zur Verfügung steht, wurden die Überstände des Befestigungsmaterials mittels Modellierspatel, frischem Bondingpinsel und Zahnseide entfernt. Die im Vergleich zu herkömmlichen Befestigungskompositen etwas höhere Konsistenz und bessere Standfestigkeit (kommt primär der Funktion als Stumpfaufbaukomposit zugute) erleichtert die Überschussentfernung immens, da das Material nicht so schnell unkontrolliert wegfließt. Es erfolgte eine initiale Härtung mittels eines Hochleistungs-LED-Polymerisationsgerätes. Zur Verhinderung der Sauerstoffinhibitionsschicht kann jedes herkömmliche Glyceringel verwendet werden. Alternativ kann die ebenfalls von Kettenbach angebotene Visalys CemCore Try In-Paste zur Anwendung kommen. Obwohl Visalys CemCore eine ausgezeichnete Selbsthärtung aufweist, erfolgte dennoch eine Lichthärtung unter Glyceringel für 20 Sek. pro Fläche. Die Überprüfung der statischen und dynamischen Okklusion darf erst nach Abschluss der Dunkelhärtung vorgenommen werden, damit die adhäsive Integration nicht gestört wird, wenn im Polymerisationsprozess durch Exkursionsbewegungen mechanisch auf die Klebefläche eingewirkt wird.
Prof. Dr. C-P Ernst
Prof. Dr. C-P Ernst
Die Abbildung 5 zeigt das klinische Endergebnis bei einer Kontrolle nach 2 Monaten: Die beiden Lithiumdisilikat-Teilkronen fügen sich ästhetisch harmonisch in die umgebende Zahnhartsubstanz ein. Das Befestigungskomposit verbindet Zahnhartsubstanz und Restauration perfekt, zeigt keinerlei Verfärbungstendenz und lässt sich farblich weder von der Restauration noch von der Zahnhartsubstanz differenzieren. Klinisch zeigten sich keinerlei postoperative Beschwerden und eine hochzufriedene Patientin.
Prof. Dr. C-P Ernst
Fall 2: Befestigung einer monolithischen Vollzirkonkrone im Seitenzahnbereich
Im Seitenzahnbereich bietet sich monolithisches Multilayer-Vollzirkon an, welches inzwischen von einigen Herstellern nicht nur wie allgemein üblich in Ronden, sondern sogar auch in Blöcken angeboten wird. Im Falle der 52-jährigen Patientin musste eine randundichte Gold-Teilkrone an Zahn 46 erneuert werden. Um gegenüber der entfernten Goldrestauration keinen zusätzlichen vertikalen Substanzabtrag in Kauf zu nehmen und um die erforderliche Mindestschichtstärke für eine glasbasierte Keramik zu realisieren, fiel im vorliegenden Fall die Materialwahl auf ein monolithisches Multilayer-Vollzirkon (Zolid fx Multilayer, AmannGirrbach).
Bei der Verklebung von Vollzirkon lauern ähnlich wie bei der Glaskeramikbefestigung Fallstricke – wenn auch zum Teil andere: Bei der Reinigung des Werkstückes empfehlen sich entweder spezielle Reinigungspasten (z.B. Ivoclean) [72] oder ein nochmaliges Abstrahlen. Im Gegensatz zu Glaskeramiken darf bei Zirkonoxid keine Phosphorsäure auf die Klebefläche aufgebracht werden [50]. Das Abstrahlen mit Al2O3 oder die tribochemische Silikatisierung (CoJet, 3M) sind essenziell, um einen irgend gearteten Haftverbund zu Zirkonoxid-Keramik zu etablieren [57]. Um alle verbliebenen Al2O3-Partikel zu entfernen, wird anschließend eine Reinigung im Ultraschallbad für 10 Min. empfohlen [71]. Ein tribochemisches Abstrahlen mit Silizium-beschichtetem Al2O3-Strahlgut in einer Korngröße von 30 bis 50 ?m mit einem Druck von 1 bis 2 bar (CoJet) ergibt nochmals bessere Haftwerte an Zirkonoxid als ein alleiniges Abstrahlen mit unbeschichtetem Al2O3 [8,11]. Demzufolge empfehlen Inokoshi und van Meerbeek [49] dies auch als das optimale V orgehen, wenn maximale Adhäsionskraft gefordert ist: Bei einer einfachen Krone wie im vorliegenden Fall ist jedoch das Abstrahlen mit Al2O3 ausreichend.
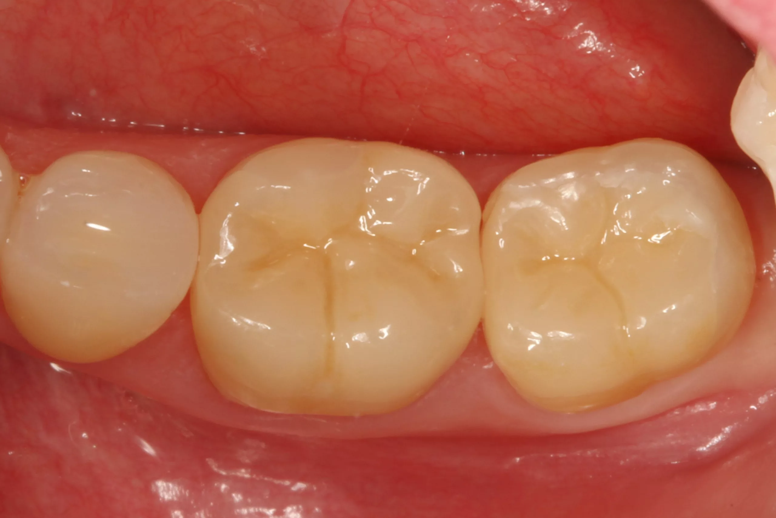
Als nächster Schritt erfolgt die Applikation eines MDP/Silan-haltigen Universalprimers wie ihn auch der hier verwendete Visalys Restorative Primer von Kettenbach darstellt (Abb. 6) [49]. Es existiert genügend Evidenz aus der Literatur, die derartigen Universalprimern den besten verbundsteigernden Effekt zu Zirkonoxid bescheinigt [48,99]. Die Abbildung 7 zeigt die bereits mit Kofferdam isolierte Klebefläche der Krone. Der Kompositaufbau wurde bereits mit Al2O3 abgestrahlt. Nach gründlichem Abspülen mit Wasser erfolgte die Schmelzätzung für 15 Sek., deren gründliches Abspülen und die Applikation des Visalys Tooth Primers (Kettenbach; Abb. 8). Die Abbildung 9 zeigt die mit Visalys CemCore in der Farbe Universal (A2/A3) vollverklebte monolithische Vollzirkonkrone an Zahn 46 bei einem weiteren ZE-Kontrolltermin 2 Wochen nach der Eingliederung.
Prof. Dr. C-P Ernst
Prof. Dr. C-P Ernst
Prof. Dr. C-P Ernst
Prof. Dr. C-P Ernst
Da auch hier die bukkalen und lingualen Kronenränder noch im Schmelzbereich lagen und somit sehr gut zugänglich waren, erfolgte auch hier die Entfernung der Überstände an Befestigungsmaterial mit dem Modellierspatel, einem Bondingpinsel und Zahnseide. Dies ist aufgrund der hohen Standfestigkeit von Visalys CemCore besonders leicht möglich, da der Überschuss wie ein Kranz am Kronenrand verbleibt. Visalys CemCore verfügt über spezielle physikalische Netzwerkbildner, die zu einem thixotropen Verhalten führen: Bei Scherkräften, wie sie beim Platzieren der Krone auftreten, wird das Netzwerk reversibel gestört, sodass eine gute Fließfähigkeit resultiert. Am Kronenrand ist dieser Stress wieder aufgehoben und die Netzwerkbildner führen zu einer schnellen Wiederausbildung der Standfestigkeit, sodass Überschüsse nicht zerfließen.
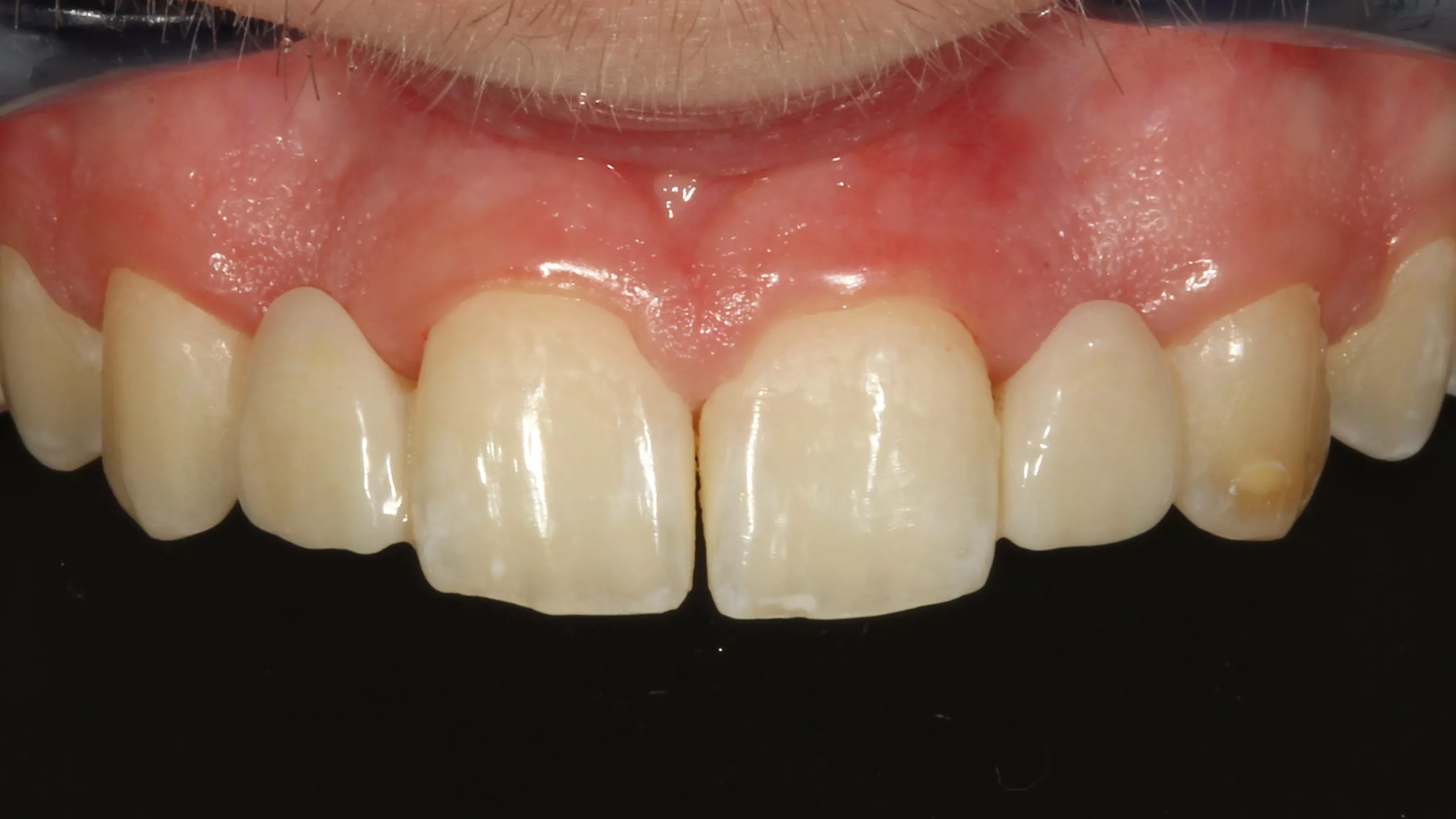
Nach initialer Polymerisation wurde zur finalen Polymerisation der Randbereiche ein Glyceringel zur Verhinderung der Sauerstoffinhibitionsschicht aufgetragen und die Polymerisation abgeschlossen. Die Überprüfung der statischen und dynamischen Okklusion erfolgte erneut erst nach weitestgehendem Abschluss der Dunkelhärtung (5 Min.). Die volladhäsiv verklebte monolithische Multilayer-Vollzirkonkrone liefert eine perfekte Ästhetik und ist optisch kaum von der im vorangegangenen Fall verwendeten Lithiumdisilikat-Teilkrone zu unterscheiden. Dank der suffizienten Verklebung und der perfekten Laborherstellung ohne störende okklusale Interferenzen ergaben sich keinerlei postoperative Beschwerden und ein sehr angenehmes Kaugefühl für die Patientin. Dieser bedeutende ästhetische Aspekt „pro Vollzirkon“ verdeutlicht allerdings die notwendige perfekte Kommunikation mit dem Labor: Der Behandler muss genau wissen, welche Art an Keramik er bestellt, und das Labor muss kenntlich machen, was es geliefert hat. Nur so ist die adäquate adhäsive Vorbehandlung zu gewährleisten, die eine suffiziente und langlebige Verklebung erst ermöglicht. Wenn auf dem Laborzettel nur „Keramikkrone“ steht, wird es schwierig: Ein hochtransluzentes Zirkonoxidmaterial lässt sich optisch kaum mehr von einer Lithiumdisilikatrestauration unterscheiden.
Fall 3: Befestigung einer verblendeten Vollzirkonkrone im Frontzahnbereich
Die 32-jährige Patientin stellte sich mit einem komplett abgebrochenen, alio loco erstellten direkten Kompositaufbau an Zahn 22 vor (Abb. 10 und 11). Die beiden seitlichen Schneidezähne sind sehr kleine Zapfenzähne, deren ästhetische Verbreiterung vor einigen Jahren in direkter Technik vorgenommen worden war (Abb. 12). Aufgrund ihrer Press- und Knirschgewohnheiten mussten ihrer Angabe nach bereits mehrfach Ausbesserungsarbeiten vorgenommen werden. Die Vorpräparation ähnelte allerdings einer Veneerpräparation, sodass aufgrund der existierenden Vorpräparation und den erhöhten Anforderungen an die Stabilität im Beratungsgespräch eine indirekte Versorgungsform favorisiert wurde.
Prof. Dr. C-P Ernst
Prof. Dr. C-P Ernst
Prof. Dr. C-P Ernst
Direkte Frontzahnversorgungen mit Komposit funktionieren in der Regel hervorragend und sollten somit immer die 1. Wahl in der Überlegung alternativer Versorgungskonzepte darstellen. [6,31,37,55,58,59,62]. Es ist aber auch nicht zu unterschätzen, dass derartige Restaurationen sehr anspruchsvoll sein können [41,42]. Deswegen sind indirekte keramische Restaurationen – meist aus Glaskeramik – eine valide Alternative, wenn höchste ästhetische Ansprüche befriedigt werden müssen. [3,4,7,20,34, 40,43,44,57,65,89,98]. Ergibt allerdings eine Vorpräparation eine Ausgangssituation, die präparationstechnisch kaum verändert werden muss, und müssen erhöhte Anforderungen an die Bruchfestigkeit gestellt werden, ist eine indirekte Restauration die 1. Wahl, da keine weitere invasive Präparation erforderlich und eine bessere Langzeitprognose gegeben ist. So fiel die Entscheidung zugunsten einer labial verblendeten monolithischen Vollzirkonkrone (Abb. 13 und 14). Es wurde erwogen, Zahn 12, der mit einem vergleichbaren Kompositaufbau versorgt worden war, wie Zahn 22 mitzuversorgen. Da an dem Zahn 12 aber kein Akutereignis Berücksichtigung finden musste, verzichtete die Patientin auf diese zusätzliche Behandlungsoption. Bei der Formgestaltung wurde in Absprache mit der Patientin bewusst keine Rücksicht auf die jetzige Form von Zahn 12 genommen und eine symmetrische Versorgung bewusst ignoriert, um bei einer Neuversorgung von Zahn 12 in der Zukunft dann keine Formkompromisse eingehen zu müssen. Die Form der neugestalten seitlichen Schneidezahnkrone orientierte sich somit ausschließlich an den Zähnen 21 und 23 und den gegebenen vertikalen Dimensionen.
Prof. Dr. C-P Ernst
Prof. Dr. C-P Ernst
Nach der Einprobe und der ästhetischen Akzeptanz der Restauration durch die Patientin erfolgte zunächst die Vorbehandlung der Krone: Sie wurde inzisal mit einem lichthärtenden, gummielastischen Provisoriummaterial (Clip, VOCO, Cuxhaven), das in einem Pinselhalter eingebracht wurde, fixiert (Abb. 15). Dies erlaubt eine optimale Vorbehandlung, ohne die Krone in der Hand halten zu müssen. Zur besseren Visualisierung der abzustrahlenden Klebefläche und zur Kontrolle, ob alle Klebeflächen erreicht worden sind, erfolgte die farbliche Markierung der abzustrahlenden Fläche mit einem Permanentmarker (Abb. 16, persönliche Empfehlung von Prof. Dr. M. Kern, Kiel). Ein Nachstrahlen mit CoJet ermöglichte im nächsten Schritt eine Reinigung der Oberfläche und eine tribochemische Silikatisierung (Abb. 17). Der MDP/Silanhaltige Visalys Restorative Primer wirkte im Anschluss 60 Sek. auf der Klebefläche ein (Abb. 18). Der verbliebene Überschuss und das Lösungsmittel wurden mit dem Luftbläser sorgfältig verblasen. Mit diesem Schritt war die Vorbehandlung der Krone abgeschlossen. Alle genannten Vorbehandlungsmaßnahmen erfolgten chairside.
Prof. Dr. C-P Ernst
Prof. Dr. C-P Ernst
Prof. Dr. C-P Ernst
Prof. Dr. C-P Ernst
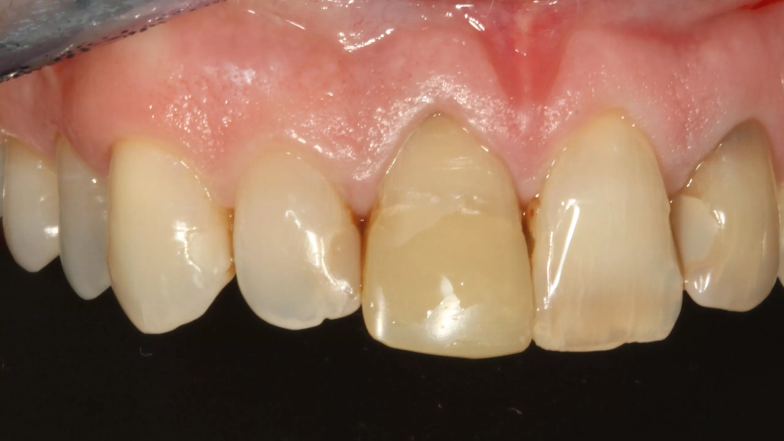
Die Abbildung 19 zeigt den bereits mit Kofferdam isolierten Zahn 22 nach der Reinigung der Oberfläche, die Abbildung 20 die Phosphorsäurekonditionierung der gesamten Klebefläche (Schmelz- und Dentinareale ließen sich nur schwer voneinander optisch differenzieren). Da der Visalys Tooth Primer auf mit phosphorsäuregeätztem Dentin genauso effizient funktioniert wie in seiner originären, selbstkonditionierenden Primerfunktion, sollte im Zweifelsfall besser großräumiger mit dem Phosphorsäuregel geätzt werden. Die Abbildung 21 zeigt den konditionierten Zahnstumpf aus inzisaler Sicht, die Abbildung 22 von labial. Wie in allen vorangegangenen Fällen erfolgte im nächsten Schritt die Applikation des Visalys Tooth Primers, dessen Einwirken für 20 Sek. (Abb. 23 und 24) und das Verblasen der Überstände bzw. die sorgfältige Evaporation des Lösungsmittels mit dem Luftbläser. Mit diesem Schritt war die Vorbehandlung des Zahnes abgeschlossen. Auch diese Krone wurde mit Visalys CemCore in der Farbe Universal (A2/A3) adhäsiv befestigt. Die vollständige Überschussentfernung erfolgte erneut mit einem sauberen Bondingpinsel (kein Microbrush) noch vor der Polymerisation (Abb. 25). Die Abbildung 26 zeigt die versäuberte, eingeklebte verblendete Vollzirkonkrone noch unter Kofferdam, die Abbildungen 27 und 28 das finale klinische Gesamtergebnis der sehr zufriedenen Patientin.
Prof. Dr. C-P Ernst
Prof. Dr. C-P Ernst
Prof. Dr. C-P Ernst
Prof. Dr. C-P Ernst
Prof. Dr. C-P Ernst
Prof. Dr. C-P Ernst
Prof. Dr. C-P Ernst
Prof. Dr. C-P Ernst
Prof. Dr. C-P Ernst
Prof. Dr. C-P Ernst
Fall 4: Adhäsive Frontzahnversorgung mit verblendeten Vollzirkonkronen und Teilkronen
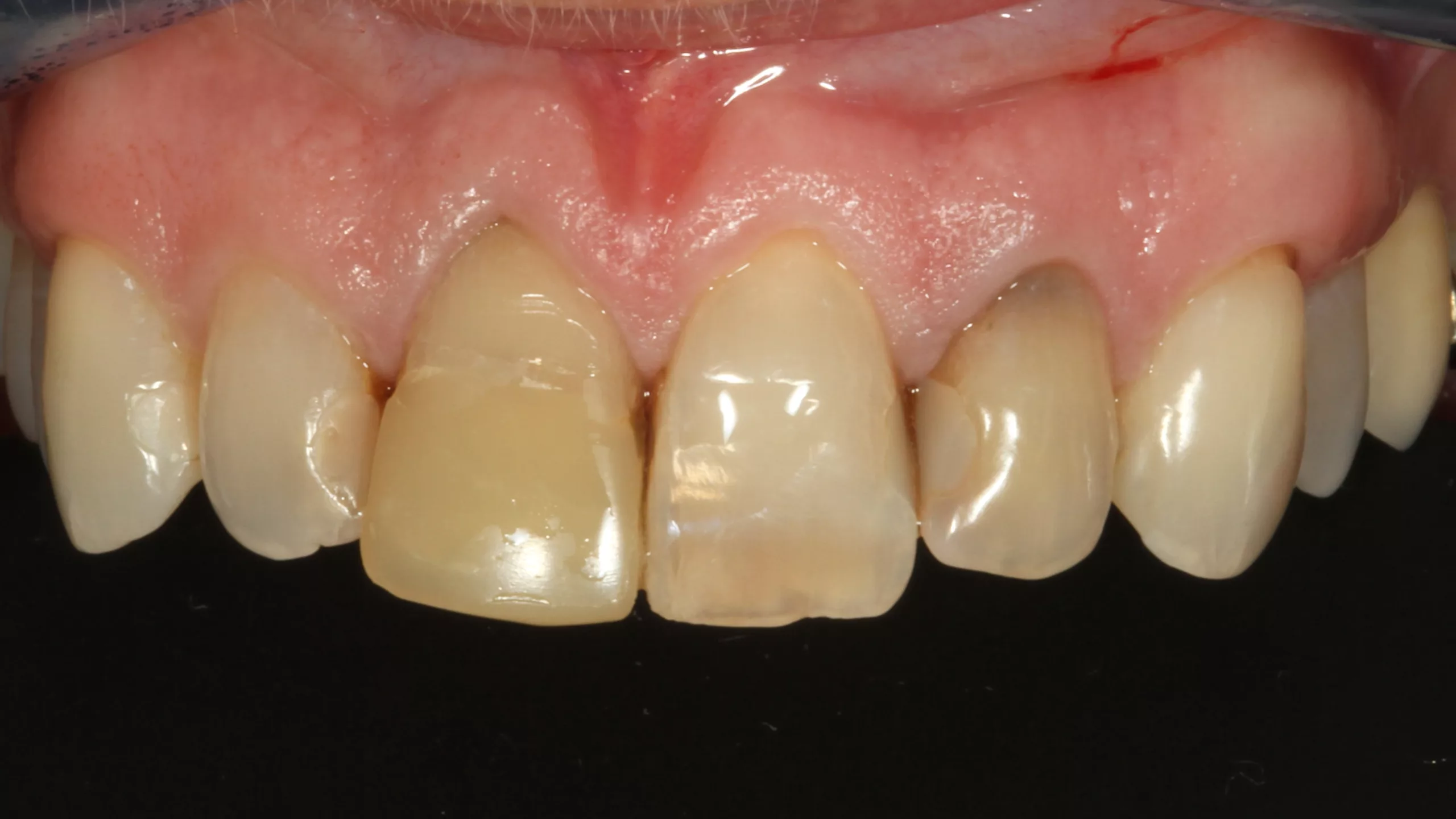
Bei der 55-jährigen Patientin bestand der Wunsch nach einer ästhetischen Neuversorgung ihrer Frontzahnsituation (Abb. 29 und 30). Die Zähne 11 und 22 waren wurzelkanalbehandelt, alle Schneidezähne wiesen ältere, große, farblich nicht mehr passende Kompositversorgungen auf. Die Neuversorgung wurde aufgrund der Stabilität und der besseren Abdeckung verfärbter Zahnbereiche aus einem monolithischen Zirkonmaterial gefertigt, die labial additiv verblendet wurden (Abb. 31 und 32).
Prof. Dr. C-P Ernst
Prof. Dr. C-P Ernst
Prof. Dr. C-P Ernst
Prof. Dr. C-P Ernst
Bedingt durch einen Unfall während der Tragezeit des Provisoriums brach das Provisorium an Zahn 11 im inzisalen Drittel samt dem darunter befindlichen, postendodontologischen Kompositaufbau ab. In der Abbildung 33, die die Situation bereits bei der Vorbereitung zur adhäsiven Eingliederung der Gesamtarbeit zeigt, ist der enorme inzisale Substanzverlust gut erkennbar: Erkennbar sind ebenfalls noch Reste des als Aufbaumaterial verwendeten Bulk-Flow-Komposits SDR Flow+ (Dentsply Sirona) in der Farbe U sowie etwas weiß-opaken Venus Diamond Flow Baserliners (Kulzer). Glücklicherweise war der Präparationsrand intakt; die Laborarbeit passte perfekt. Ein Problem bestand nun in der Auswahl des Befestigungsmaterials: Im Prinzip mussten hier gleichzeitig ein Stumpfaufbau und eine adhäsive Befestigung bewerkstelligt werden. Da alle herkömmlichen adhäsiven Befestigungsmaterialien nicht für die Indikation Stumpfaufbau freigegeben sind, schied diese große Gruppe an Befestigungsmaterialien aus. Die Befestigung mit einem adhäsiven Stumpfaufbaumaterial in Form eines „Post & Core“-Konzeptes wäre ein schlechter Kompromiss, da diese Materialien aufgrund ihrer schlechten Polierbarkeit normalerweise nicht dem direkten Kontakt zum Mundmilieu ausgesetzt werden sollten: Erhöhte Plaqueanlagerung oder sogar Verfärbungen am Fügespalt wären ein Risiko, das man ungern eingehen würde.
Prof. Dr. C-P Ernst
Das einzige Material, das in diesem Fall gemäß den Vorgaben des Herstellers zur Anwendung infrage kommen würde, war erneut Visalys CemCore, da dieses Material sowohl für die adhäsive Befestigung als auch für einen adhäsiven Stumpfaufbau freigegeben ist. Der Zahnstumpf des Zahnes 11 wurde zusammen mit dem noch verbliebenen Aufbaukomposit mit 50 ?m Al2O3 intraoral abgestrahlt (Rondoflex, Kavo). Die Nachbarzähne wurden mit 2 Frasacostreifen geschützt (Abb. 33). Im Anschluss erfolgte eine Schmelzätzung mit Phosphorsäuregel und erneut die Applikation des Visalys Tooth Primers – exakt nach Herstellerangaben. Die Vorbehandlung der bereits im Labor mit 50 ?m Al2O3 abgestrahlten Zirkonoxidkrone geschah äquivalent zum vorangegangenen Fall: Fixierung an einem Pinselhalter mit Clip, Desinfektion, farbliche Markierung der Klebefläche mit einem Permanentmarker, Abstrahlen mit Cojet, Applikation, Einwirken und Verblasen des Visalys Restorative Primers. Die Abbildung 34 zeigt die Polymerisation von Visalys CemCore (ebenfalls in der Farbe Universal [A2/A3]) nach vollständiger Überschussentfernung der Kleberreste. Da es Sinn macht, bei der Befestigung von Frontzahnrestaurationen in einer Sitzung dasselbe Befestigungssystem zu verwenden, um keine ästhetischen Beeinträchtigungen durch unterschiedliche Farben oder Opazitäten zu riskieren, wurden die anderen 3 adhäsiven Teilkronen ebenfalls mit Visalys CemCore befestigt – allerdings jeweils einzeln, da die Kofferdamklammer nur jeweils eine Einfassung und Erreichbarkeit eines einzigen Zahnes erlaubt.
Prof. Dr. C-P Ernst
Die Abbildungen 35 und 36 zeigen die eingesetzte Arbeit und das zufriedene neue Lächeln der Patientin. Leider konnte im vorliegenden Fall die äußerst dunkle Farbe des Zahnstumpfes von Zahn 22 nicht komplett kaschiert werden. Die Verwendung einer bei Visalys Cem-Core ebenfalls zu Verfügung stehenden, sehr opaken Variante des Materials wurde kurzzeitig erwogen, dann allerdings wiederum verworfen, weil die doch sehr hohe Opazität die Gesamtästhetik vielleicht eher negativ beeinträchtigen könnte. Ein Beispiel zur Verwendung dieses opaken Befestigungs- und Aufbaumaterials zeigt später der letzte Fall dieses Beitrags.
Prof. Dr. C-P Ernst
Prof. Dr. C-P Ernst
Fall 5: Adhäsive Befestigung von 2 einflügeligen Klebebrücken
Die adhäsive Befestigung von Klebebrücken stellt die Königsdisziplin der Adhäsivtechnik dar: Nirgendwo sonst wird ein adhäsiver Verbund derart stark belastet. Demzufolge trauen sich doch nur recht wenige Kolleginnen und Kollegen an diese Versorgungsform, obwohl sie – bei Beachtung aller Voraussetzungen zur suffizienten Verklebung – sehr schöne Langzeitergebnisse und eine sehr hohe Patientenzufriedenheit ergeben können [23,26].
Selbst die aktuelle S3-Leitlinie zu vollkeramischen Restaurationen [67] beschreibt, dass vollkeramische einflügelige Adhäsivbrücken im Frontzahnbereich bei der richtigen Indikation als Therapieoption angesehen werden sollen. Grundlage für diese Empfehlung sind die Studien zu einflügeligen Adhäsivbrücken, die nach 10 Jahren Beobachtungszeitraum bei verblendeter Aluminiumoxidkeramik eine Überlebensrate von 94% [52] und bei verblendeter Zirkonoxidkeramik nach 5 Jahren eine Überlebensrate von 100% dokumentieren konnten [85,86]. Einflügelige vollkeramische Adhäsivbrücken sind somit den klassischen „Maryland- Brücken“, den metallbasierten, zweiflügeligen Adhäsivbrücken, überlegen [13,77]. Erst nach Veröffentlichung der aktuellen S-Leitlinie erschienen die 10-Jahres-Ergebnisse der Studie [53]: Nach 10 Jahren ergab sich bei den 108 eingesetzten einflügeligen Klebebrücken auf Zirkonoxidbasis eine Überlebensrate von 98,2% und eine Erfolgsrate von 92%. Die geringere „Erfolgsquote“ erklärt sich daraus, dass sich 6 Klebebrücken lösten, diese aber alle erfolgreich wiederbefestigt werden konnten. Lediglich eine wurde auf Wunsch des Patienten entfernt. Eine derartig sensationelle Überlebensrate findet man schwer bei konventionellen Brücken.
Somit stellen die einflügeligen Adhäsivbrücken eine valide Alternative zur implantatprothetischen Versorgung dar und sind eindeutig die 1. Wahl, wenn es für eine Implantation viel zu früh ist, wie im folgenden Fall eines 14-jährigen Jugendlichen (Abb. 37). Bei ihm lag eine Nichtanlage der seitlichen Schneidezähne vor. Aufgrund der breiten Kieferbasis entschied sich die behandelnde Fachzahnärztin für Kieferorthopädie, Fr. Dr. Christine Nauth, zu einer Lückenöffnung und nicht für einen kieferorthopädischen Lückenschluss. Nach Abschluss der kieferorthopädischen Behandlung erfolgte die minimalinvasive Präparation der beiden mittleren Schneidezähne zur Versorgung mit den Adhäsivflügeln [87]. Als Gerüstmaterial kam ein hochfestes Zirkonoxidmaterial zur Anwendung, das dann im Bereich der seitlichen Schneidezähne verblendet wurde (Abb. 38). Auch hier kamen die Werkstücke bereits mit 50 ?m Al2O3 abgestrahlt aus dem Labor. Nach Einprobe und Reinigung erfolgte die farbliche Markierung der Klebeflügel zum Abstrahlen mit CoJet (Abb. 39). Durch die Entfernung der Farbe war eine hervorragende Kontrollmöglichkeit gegeben, ob die gesamte Klebefläche suffizient abgestrahlt worden war (Abb. 40). Die Abbildung 41 zeigt einen der abgestrahlten Klebeflügel, die Abbildung 42 die Applikation des Visalys Restorative Primers und die Abbildung 43 die mit dem Visalys Restorative Primer benetzte Klebefläche nach Evaporation des Lösungsmittels.
Prof. Dr. C-P Ernst
Prof. Dr. C-P Ernst
Prof. Dr. C-P Ernst
Prof. Dr. C-P Ernst
Prof. Dr. C-P Ernst
Prof. Dr. C-P Ernst
Prof. Dr. C-P Ernst
Die zu versorgenden Zähne wurden mit Kofferdam isoliert und gereinigt. Der Gruppenkofferdam konnte an den 1. Prämolaren mit Prämolarenklammern und an den zu beklebenden Zähnen mit Zahnseideligaturen sehr gut übersichtlich fixiert werden (Abb. 44 und 45). Am Nachbarzahn ist dessen Isolierung mit einem Stück Teflonband zu erkennen. Nach Reinigung der Klebefläche am Zahn durch ein Abstrahlen mit 50 ?m Al2O3 (Rondoflex) erfolgte die Phosphorsäurekonditionierung der gesamten Klebefläche (hier an Zahn 21, Abb. 46). Die Verklebung der beiden einflügeligen Adhäsivbrücken erfolgte nicht gleichzeitig, sondern nacheinander. Die Abbildung 47 zeigt die geätzte Zahnstruktur der Palatinalfläche des Zahnes 21, die Abbildung 48 das Einwirken des Visalys Tooth Primers für 20 Sek. und die Abbildung 49 die komplett zur Verklebung vorbehandelte Fläche des Zahnes. Das Befestigungskomposit Visalys CemCore wurde direkt auf den Klebeflügel aufgebracht (Abb. 50). Bis zur vollständigen Überschussentfernung mit frischen Bondingpinseln und der initialen Polymerisation musste die Klebebrücke mit den Fingern fixiert werden. Alternativ kann ein laborseits erstellter Einsetzschlüssel die Erreichbarkeit der Klebeflächen und somit die Versäuberung erleichtern. Die Abbildungen 51 bis 53 zeigen die fertiggestellte Versorgung des 14-Jährigen, der überglücklich ist, nun wieder Zähne zu haben und sich nicht mehr mit herausnehmbaren Platten rumärgern zu müssen.
Prof. Dr. C-P Ernst
Prof. Dr. C-P Ernst
Prof. Dr. C-P Ernst
Prof. Dr. C-P Ernst
Prof. Dr. C-P Ernst
Prof. Dr. C-P Ernst
Prof. Dr. C-P Ernst
Prof. Dr. C-P Ernst
Prof. Dr. C-P Ernst
Prof. Dr. C-P Ernst
Fall 6: Adhäsiver Stumpfaufbau mit zeitgleicher Verklebung eines Glasfaserstiftes
Einer der Hauptindikationsbereiche von Visalys CemCore wurde bislang noch nicht vorgestellt: die Verwendung als Stumpfaufbaukomposit und zur Verklebung von Glasfaserstiften. Dies zeigt der letzte Fall einer 57-jährigen Patientin, bei der an Zahn 26 eine Wurzelkanalbehandlung durchgeführt werden musste. Falls sich der Endodontologe zum Setzen eines Glasfaserstiftes entscheidet, sollte dieser unmittelbar nach der Wurzelfüllung eingebracht werden, um eine erneute Eröffnung des Kanalsystems, die Risiken einer weiteren provisorischen Versorgung und eine sekundäre Stiftpräparation zu vermeiden.
Die Abbildung 54 zeigt das Kanalsystem unmittelbar vor der Wurzelkanalfüllung, die Abbildung 55 nach der vertikalen Kondensation des Wurzelfüllmaterials. Um eine weitere Schwächung des Wurzeldentins zu vermeiden, favorisieren wir eine passive Stiftinsertion ohne weitere Stiftbettpräparation. Auch bzw. insbesondere, wenn ein Zahn mit einem Stift-Stumpf-Aufbau versehen werden soll, sollte ein zusätzlicher Hartgewebsverlust möglichst vermieden werden, der die Prognose des Zahnes zusätzlich verschlechtern würde [17,33,88,93]. Die Schlussfolgerung aus den angeführten Studien ist, auf eine Stiftbohrung zu verzichten, wenn ein Wurzelkanal im koronalen Drittel weit und gerade genug ist, um einen Stift aufnehmen zu können. Dies gilt insbesondere für Seitenzähne, die eher einer axialen Belastung ausgesetzt sind, und ist nur möglich, wenn der Stift unmittelbar nach der Wurzelkanalfüllung eingebracht wird.
Dr. A. Sebus
Dr. A. Sebus
Bei der Verklebung eines Stiftes in einen aufbereiteten, aber nicht mit einem Stiftbohrer bearbeiteten Wurzelkanal ergibt sich allerdings eher eine Spielpassung als im Falle einer formkongruenten Passung eines passend präparierten Stiftbetts. Die vermeintlich schlechtere Passung geht also in erster Linie mit einer vergrößerten Klebefuge einher. Es konnte allerdings nachgewiesen werden, dass sich bei adhäsiver Befestigung auch bei erheblichen Diskrepanzen zwischen der Größe des Stiftes und der des Wurzelkanals keine signifikanten Unterschiede in der Stärke des adhäsiven Verbundes ergeben [70,75].
Der Wurzelkanal entspricht im Prinzip einer sehr tiefen Klasse-I-Kavität. Der CFaktor (Configuaration Factor) wurde 1987 zum 1. Mal im Zusammenhang mit Kompositrestaurationen beschrieben [32] und verdeutlicht das Verhältnis von gebundener zu freier Oberfläche. Im Wurzelkanal kann dieser Wert dann auf 200 ansteigen [15], was zu unkontrollierbaren Polymerisationsschrumpfungskräften führen kann.
Es existiert allerdings eine Studie, die beschreibt, dass das Volumen der Klebefuge keinen Effekt hat [2]. Die resultierenden Polymerisationsschrumpfungskräfte können sehr leicht die Haftkräfte zum Wurzeldentin übersteigen – ein Abriss und ein Debonding wären die Folge [75,92]. Aus diesem Grund ist es bedeutsam, einen optimalen adhäsiven Verbund zu etablieren, was über den Visalys Tooth Primer erzielt wird, und dass das Befestigungs- bzw. Stumpfaufbaukomposit, mit dem der Stift verklebt wird, eine möglichst geringe Polymerisationsschrumpfungskraft aufweist, was bei Visalys CemCore der Fall ist.
Die Abbildung 56 zeigt die Einprobe eines Glasfaserstiftes (EasyPost, Dentsply Sirona). Nach Vorbehandlung des Stiftes mit dem Visalys Restorative Primer und nach Reinigung des Kanalsystems mit AH Cleanser (Dentsply Sirona) sowie der Applikation des Visalys Tooth Primers im Zahn erfolgte die zeitgleiche Verklebung des Glasfaserstiftes mit Visalys CemCore (diesmal in der opaken Variante) und dem internen Aufbau des gesamten Zahnes. Die Abbildungen 57 bis 59 zeigen das 2-schichtige Einbringen von Visalys CemCore Opaque nach einer Zwischenhärtung des 1. Inkrements für 40 Sek., die Abbildung 60 die Röntgenkontrolle der Wurzelfüllung und des Stumpfaufbaus. Der okklusale Anteil der Kavität wurde wenige Minuten später von einem Kollegen okklusal reduziert und mit einem klassischen lichthärtenden Komposit definitiv versorgt.
Dr. A. Sebus
Dr. A. Sebus
Dr. A. Sebus
Dr. A. Sebus
Dr. A. Sebus
Fazit
Die vorgestellten Fälle zeigen das beeindruckende Potenzial von Visalys CemCore für eine enorme Bandbreite an Indikationen: die adhäsive Befestigung von Glaskeramiken als auch von Zirkonoxid im Seitenzahnbereich, die Verwendung zur adhäsiven Befestigung ästhetisch anspruchsvoller Arbeiten im Frontzahnbereich – ob als Einzelkrone oder im Verbund mit adhäsiven Teilkronen. Selbst die Königsdisziplin der Klebung, die Befestigung von Klebebrücken, ist problemlos möglich. Als Nebenindikation kommen noch der adhäsive Stumpfaufbau und der Einsatz bei der Verklebung von Glasfaserstiften hinzu – eine Indikation, für die normalerweise ein separates adhäsives Stumpfaufbaukomposit bevorratet werden muss. Somit kann das erforderliche Produktportfolio für dual- und dunkelhärtende Komposite drastisch reduziert werden: eine nicht zu unterschätzende Vereinfachung der Bevorratung in der Praxis und somit ein wesentliches Tool zum Qualitätsmanagement und zur Effizienzsteigerung in der Lagerhaltung.
Näheres zu den Autoren des Fachbeitrages: Prof. Dr. Claus-Peter Ernst, Dr. Andreas SebusBildquellen sofern nicht anders deklariert: Unternehmen, Quelle oder Autor/-in des Artikels
Entdecke CME Artikel






Keine Kommentare.