Die kariesprophylaktische Wirkung von Fluoriden ist bestens dokumentiert und weltweit von den wissenschaftlichen Fachverbänden in Leitlinien zusammengefasst. Die Möglichkeiten ihrer häuslichen und professionellen Anwendung sind vielfältig; sie können zugeführt werden über Fluoridtabletten, fluoridhaltige Zahnpasten, fluoridhaltige Lösungen, Gele und Lacke, fluoridiertes Speisesalz und die Fluoridierung des Trinkwassers. Die Freisetzung der Fluoride erfolgt dabei aus unterschiedlichen Verbindungen. Am bekanntesten sind Natriumfluorid, Natriummonofluorphosphat, Aminfluorid und Zinnfluorid.
Mit dem Rückgang der Prävalenz von Karies gerieten jüngst andere Erkrankungen der Mundhöhle stärker ins Bewusstsein der Bevölkerung. Die Bekämpfung von Gingivitis/Parodontitis, Erosionen sowie der damit verbundenen negativen Folgeerscheinungen (z.B. „überempfindliche Zähne“) entwickelte sich zu einer neuen Herausforderung für Wissenschaft, Industrie und Praxisteam. Als erste und einfachste Lösung bot sich die zusätzliche Anwendung von bereits existierenden Hilfsmitteln bzw. Wirkstoffen, ergänzend zur Zahnpasta, entweder häuslich (z.B. Spüllösungen, Gele) oder professionell (Lacke) an.
Zinnfluorid für einen Mehrfachschutz
In modernen Formulierungen von Zinnfluorid ist offensichtlich ein hohes Potenzial zur Bekämpfung genannter Herausforderungen vorhanden. In der Literatur werden für Zinnfluorid u.a. die folgenden Wirkungen belegt: Zinnfluorid schützt vor Karies, verringert die Biofilmbildung und somit auch die Entwicklung von Zahnstein, das Gingivitisrisiko, bekämpft Bakterien, die Mundgeruch auslösen, bietet im Vergleich zu anderen Fluoridverbindungen einen besseren Erosionsschutz, reduziert Überempfindlichkeiten und Komplikationen, die mit trockenem Mund verbunden sind, wie z.B. Karies und Gingivitis [1-9,11-16].
Es liegt daher nahe, Produkte mit dieser Wirkstoffkombination bei Patienten mit entsprechenden Risken einzusetzen. Eine besonders interessante Personengruppe sind Patienten in der unterstützenden Parodontitistherapie (UPT). Diese Patienten weisen oftmals ein erhöhtes Wurzelkariesrisiko und eine Neigung zu Hypersensitivitäten aufgrund freiliegender Wurzeloberflächen und freiliegender Dentinkanälchen auf. Des Weiteren ist die Reinigungsfähigkeit der Zähne für eine effiziente mechanische häusliche Biofilmentfernung in vielen Fällen eingeschränkt. Bei Senioren kommen ein Nachlassen der manuellen Geschicklichkeit und häufig zusätzlich reduzierter Speichelfluss hinzu.
Seit ca. 4 Jahren verwenden Mitglieder unseres Teams im ZFZ Stuttgart bei dieser Patientengruppe mit gutem Erfolg Enamelon®, ein Gel zur täglichen häuslichen Anwendung, dem neben den klassischen, bekannten Wirkungen der Zinnfluoride (s.o.) durch die Kombination mit amorphem Calciumphosphat eine besonders intensive Reduktion der Überempfindlichkeiten bescheinigt wird [6,7,9,10].
Zentrale Inhaltsstoffe und Merkmale sind:
- Kombination von stabilisiertem Zinnfluorid (SnF2/Fluoridanteil 970 ppm) mit der Amorphen Calciumphosphat (ACP)-Technologie [9]
- Ultramulsion®, eine Dispersion von hochviskösen Silikonen gegen Mundtrockenheit [15]
- Geringe Abrasivität: RDA-Wert von 8
- Ohne Natriumlaurylsulfat, Triclosan, Gluten, Farbstoffe oder Scheuermittel
Der Patient (männlich, 48 Jahre alt) wurde im Jahr 2018 mit Verdacht auf aggressive Parodontitis (alte Nomenklatur) ins ZFZ Stuttgart überwiesen. Es bestanden keine Vorerkrankungen, keine familiären Auffälligkeiten und der Patient war Nichtraucher. Die Diagnose des überweisenden Zahnarztes konnte bestätigt werden.
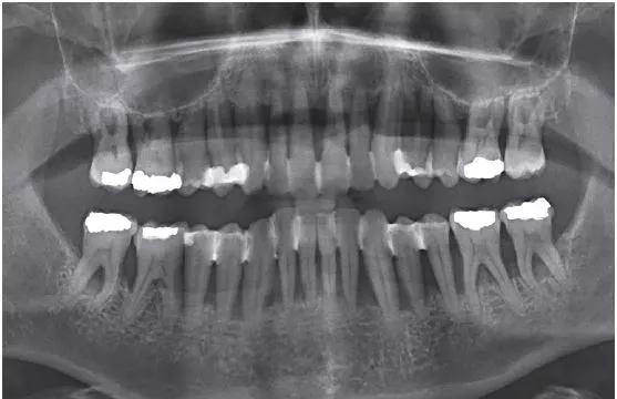
Folgende klinische Befunde wurden eingangs erhoben: Plaqueindex (Ausgangssituation: QH 54%), Blutungsindex (Ausgangssituation: BOP 72%), Sondierungstiefen (Ausgangssituation: bis zu 10 mm – aus diesem Grund erfolgte eine teilweise Schienung) (Abb. 1).
Zunächst wurde eine nicht chirurgische Parodontitistherapie an allen Zähnen mit adjuvanter Antibiose („Winkelhoff-Cocktail“) durchgeführt. Nach 5 Monaten folgte eine offene PAR-Therapie im Seitenzahngebiet unter Einsatz von Emdogain®.
Im Anschluss wurde der Patient in die UPT in einem 3-monatigen Intervall überführt. In den UPT-Sitzungen wurde aus Gründen der Infektionsprophylaxe zunächst eine 1-minütige Mundspülung mit CHX 0,2% durchgeführt. Anschließend folgte die supragingivale Entfernung des Biofilms sowie mineralisierter Beläge mit Handinstrumenten, H6/H7 und S204 (Hu-Friedy), gefolgt vom supra- sowie subgingivalen piezoelektrischen Biofilmmanagement. Bei Bedarf wurden stumpfe Gracey-Küretten „Mini-Five“ (Hu-Friedy) zur manuellen Reinigung sowie Air-Polishing unter Verwendung von niedrigabrasivem Erythritol-Pulver eingesetzt. Abschließend wurde Fluoridlack appliziert.
Die Putzsystematik sowie Putztechnik einer Schallzahnbürste wurde dem Patienten wiederholt erläutert und demonstriert. Zur Interdentalreinigung wurden dem Patienten Bürstchen empfohlen, die geeigneten ISO-Größen 1,1/1,3/1,5 für seine Mundverhältnisse gefunden und deren Anwendung demonstriert. Er wurde instruiert, die Interdentalreinigung täglich durchzuführen. Unterstützend wurden Probiotika (Lutschtabletten/Lactobacillus reuteri Prodentis®, Sunstar) empfohlen.
Aufgrund starker Überempfindlichkeiten sowie eines erhöhten Wurzelkariesrisikos sollte der Patient seit Ende 2018 einmal täglich Enamelon® Gel zusätzlich zur normalen Zahnpflege für eine Minute mit einer weichen Zahnbürste auf die Zähne bürsten ohne anschließendes Spülen. Für 30 Minuten sollte dann weder gegessen noch getrunken werden.
Aktueller Stand
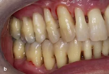
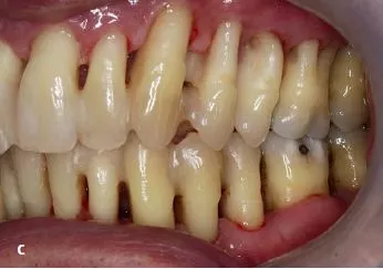
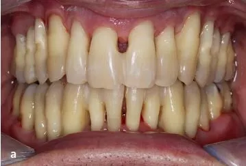
Ein Jahr nach Abschluss der aktiven Phase zeichnet sich eine positive Entwicklung ab. Die Sondierungstiefen sind deutlich reduziert (< 7 mm); deutliche Verbesserungen wurden bezüglich der Blutung (BOP 35%) und der Belagsbildung (QH 27%) registriert (Abb. 2a–c).
Schumann/Rieger/Einwag
Schumann/Rieger/Einwag
Schumann/Rieger/Einwag
Schumann/Rieger/Einwag
Auffällig ist die Verringerung der Überempfindlichkeiten, die bereits nach kurzer häuslicher Anwendung von Enamelon® Gel trotz der geringen Fluoridkonzentration eintrat. Die Reduktion der Überempfindlichkeiten war derart substanziell, dass bereits bei der ersten UPT ohne begleitende Anästhesie maschinell subgingival gearbeitet werden konnte. Der Effekt ist allerdings ? wie bei allen oberflächlich und somit auch allen vom Patienten applizierten Medikationen – nur von temporärer Wirkung [4]. Bei Verzicht auf die Anwendung von Enamelon® war daher ein zeitnaher Wiederanstieg der Überempfindlichkeiten zu verzeichnen. Für den Patienten ist ein Zusammenhang zwischen der Reduktion der Überempfindlichkeiten seiner Zähne und der Anwendung des Produktes ersichtlich; daher wendet er das Gel regelmäßig an.
Die Autoren: DH Yvonne Schumann, Dr. Steffen Rieger, MSc, Prof. Dr. Johannes Einwag
Bildquellen sofern nicht anders deklariert: Unternehmen, Quelle oder Autor/-in des Artikels
Entdecke CME Artikel






Keine Kommentare.