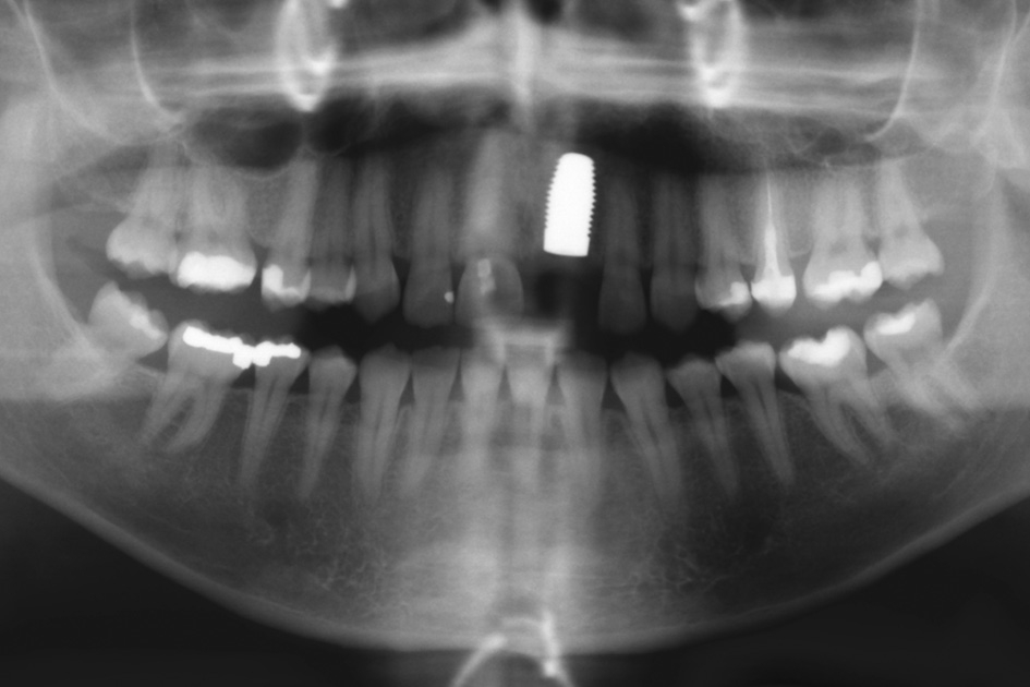
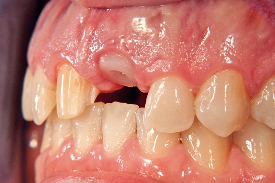
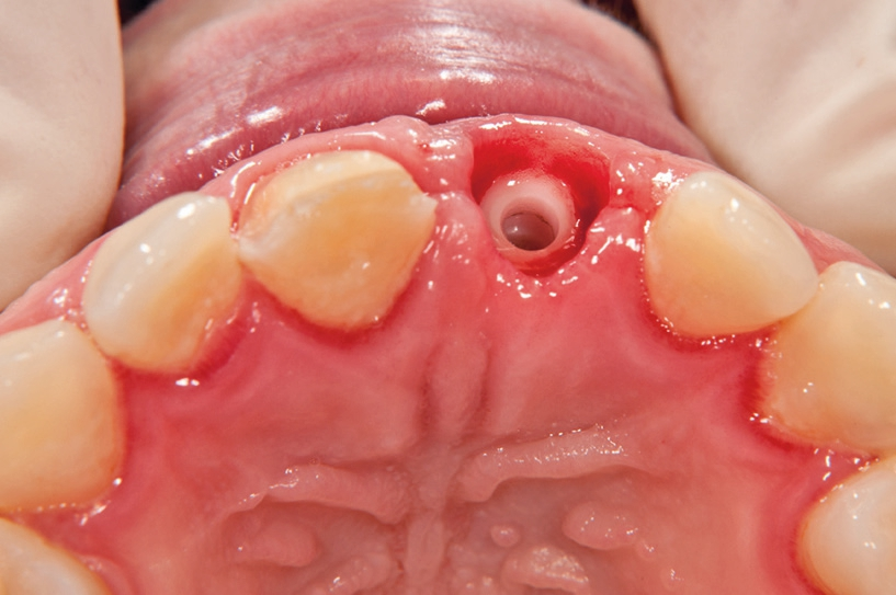
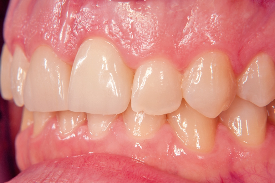
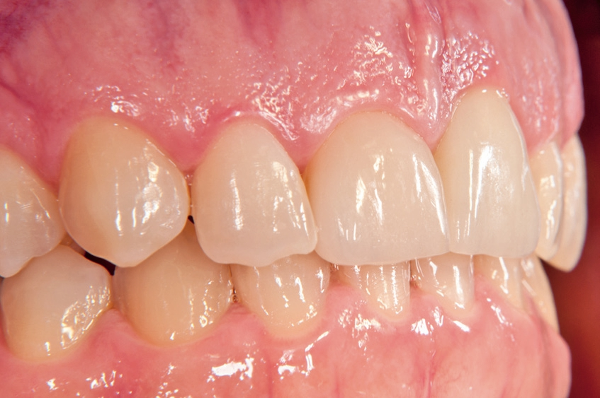
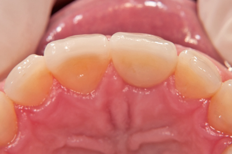
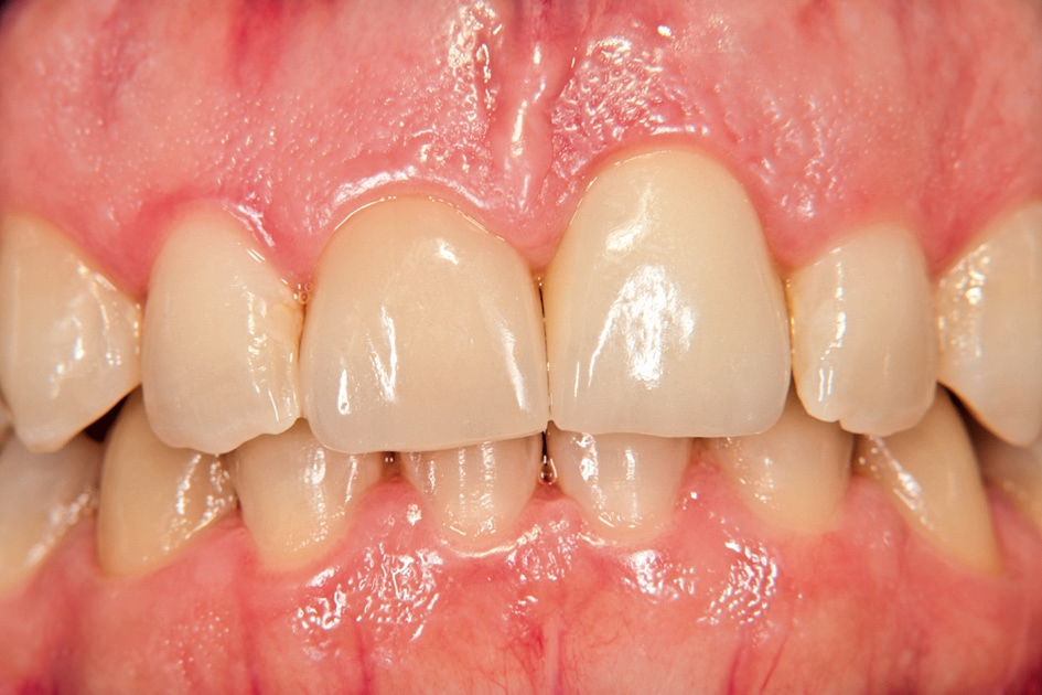
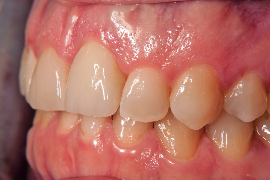
Gleichzeitig mit der prothetischen Versorgung des Implantats wurde auch für Zahn 11 ein Veneer geplant. Zum Einsatz kam ein Zeramex T Implantat Durchmesser 5,5 mm, Länge 12 mm. Für die Kronenversorgung wurde ein mit e. Max überpresstes CAD-Abutment gewählt. Während der Einheilphase des Implantats kam eine Sunflex-Prothese zum Einsatz.




















Bildquellen sofern nicht anders deklariert: Unternehmen, Quelle oder Autor/-in des Artikels
Entdecke CME Artikel




Keine Kommentare.