Unser zahnärztlicher Alltag besteht zu großen Teilen aus wiederkehrenden Herausforderungen, welche sich oft im Spannungsfeld zwischen Chirurgie, Prothetik und den Vorstellungen des Patienten abspielen. In unserer Praxis behandeln wir häufig Trauma bedingte Schäden, insbesondere im Frontzahnbereich.
Die genaue Diagnostik und patientengerechte Kommunikation spielt wie immer eine entscheidende Rolle für den Behandlungserfolg, der sich vor allem im anterioren Bereich auch unmittelbar aus der ästhetischen Zufriedenheit der Patienten ergibt. Integraler Bestandteil der Aufklärung ist ebenfalls das Darlegen der Therapieoptionen – hier sollte der mögliche Zahnerhalt als erste Priorität in Betracht gezogen werden.
Die Versorgung im ästhetischen Bereich stellt sowohl für den Behandler als auch den Zahntechniker seit jeher eine große Herausforderung dar. Hinzu kommt, dass Diagnose und Therapie traumatischer Frontzahnverletzungen aufgrund ihrer unterschiedlichen Entitäten sehr komplex sein können.
Bei 6 Luxations- und 9 Frakturtypen können sich diverse Konstellationen ergeben [1]. Auch Jahre später können traumatische Zahnverletzungen durch Resorptionsvorgänge im Wurzelbereich zum Zahnverlust führen.
Ein Großteil der traumatischen Verletzungen im Frontzahnbereich spielt sich zudem im jugendlichen Alter ab, was die Therapieoptionen, gerade im Bereich der dentalen Implantologie altersbedingt einschränken kann. Hier zeigt sich, dass das skelettale Kieferwachstum keinesfalls mit dem 20. Lebensjahr abgeschlossen ist [2].
In der Studie von 2007 wurde über einen Zeitraum von 15 Jahren nach Implantatinsertion im Frontzahnbereich die Infraposition der Implantatkrone zum Nachbarzahn evaluiert. Das durchschnittliche Alter der Patienten zum Zeitpunkt der Implantatinsertion betrug 25 Jahre. Am Ende der Nachuntersuchungszeit zeigte sich bei 60 % aller Fälle im Vergleich zur Ausgangssituation kein stabiles Ergebnis.
Bei 45 % der Männer trat eine Infraposition ein, in der Gruppe der Frauen zeigte sich kein einziges Implantat komplett stabil. Die eigenen Zähne wachsen mit dem Gesichtsschädel mit, während die Implantate statisch ankylosieren [3]. Auch Arbeiten aus dem Bereich der Kieferorthopädie zeigen, dass das Schädelwachstum bis ins Erwachsenenalter anhält, und es somit zu Stellungsänderungen der natürlichen Zähne im Vergleich zum Implantat kommen kann [4].
Hieraus ergibt sich, dass bei Jugendlichen und jungen Erwachsenen eine implantologische Behandlung im ästhetischen Bereich möglichst lange herausgeschoben oder vermieden werden sollte, die Suche nach Alternativen zum Zahnimplantat ist naheliegend [5]. Subgingivale Defekte gelten schnell als nicht restaurierbar und die Zähne somit als nicht erhaltungswürdig.
Zahlreiche Studien bestätigen den Gedanken, dass ein ausreichendes Ferrule Design für die Langzeitstabilität eines überkronten Zahnes von ausschlaggebender Bedeutung ist. Es sollten mindestens 2-3 mm des eigenen Zahnes durch die Präparation gefasst sein [6].
Um das bei tief koronal oder subgingival frakturierten Zähnen erreichen zu können, bieten sich dem Behandler verschiedene Möglichkeiten. Zum einen kann durch eine chirurgische Kronenverlängerung Zahnhartsubstanz freigelegt werden, wobei man hier in aller Regel mit einem deutlichen Verlust der Ästhetik rechnen muss, vor allem wenn es sich um eine unilaterale Therapie handelt [7]. Eine Alternative ist die Extrusion des Zahnes aus der Alveole, hierbei werden in der Literatur sowohl die kieferorthopädische Extrusion als auch die intraalveoläre Transplantation beschrieben [8].
KFO-Extrusion
Bei der kieferorthopädischen Extrusion werden die Zähne mithilfe verschiedener Apparaturen über mehrere Wochen aus dem Zahnfach extrudiert, wobei man häufig auch einen deutlichen Gewinn an Weichgewebe erreicht, da dieses mit den Zähnen nach koronal bewegt wird. Um das Rezidivrisiko in Bezug auf die Zahnstellung zu minimieren sollten in regelmäßigen Abständen zirkuläre Inzisionen um den Zahn erfolgen.
Ziel hiervon ist es, apikal gerichtete Kräfte durch suprakrestale Parodontalfasern zu unterbinden. Eine Trennung des marginalen Parodonts sollte am Anfang, während und nach erfolgter Extrusion mittels eines mikrochirurgischen Skalpells oder Desmotomes erfolgen.
Die genaue Dauer der Extrusion hängt hierbei vom gewünschten Weg ab und sollte 1-2 mm pro Monat betragen [9]. Im Bereich der Frontzähne kann eine konstante Kraft von 15 g angewendet werden [10].
In Fällen, bei denen vor allem ein Gewinn erzielt werden soll, ist es sinnvoll, das Ergebnis etwas über zu korrigieren. Nach erfolgter Extrusion sollten die Zähne etwa 3-6 Monate lang retiniert werden, um das Behandlungsergebnis zu konservieren und eine stabile Ausgangssituation zu erhalten [11].)
Intraalveoläre Transplantation
Die intraalveoläre Transplantation wurde Ende der 1970er Jahre in Schweden beschrieben, hierbei wird das Wurzelfragment extrahiert und innerhalb der Alveole koronal versetzt und anschließend an die Nachbarzähne geschient, was eine spätere prothetische Versorgung ermöglicht [8].
Die Zahnextraktion muss in jedem Fall äußerst schonend und atraumatisch erfolgen, um die auf dem Wurzeldentin anhaftenden Zellen nicht zu schädigen, hierbei haben sich diamantierte Zangen oder – bei subkrestal frakturierten Zähnen – das Benex-System bewährt [12]. Auch sollte der Zahn vor dem Austrocknen geschützt werden, weshalb es sich bewährt hat, den Zahn eventuell in einer Zahnrettungsbox zwischen zu lagern. Anschließend wird der Zahn in der neuen Position mittels TTS Schiene oder lichthärtendem Glasfasermaterial an die Nachbarzähne geschient.
Die Dauer der Schienung ist abhängig von der Wurzelfläche und der Primärstabilität des bewegten Zahnes und beträgt zwischen 2 und 10 Wochen. Ein guter Hinweis auf die Integration des Zahnes in der neuen Position ist der Klopfschall.
Dieser wird sich über die Heilungsdauer deutlich ändern und die Schienung kann in der Regel gelöst werden, wenn sich diese dem der Nachbarzähne angeglichen hat. Beide Methoden erweitern die Grenzen der Zahnerhaltung deutlich und sollten bei jeder Therapieentscheidung in Betracht gezogen werden.
Sofortimplantation
Ist der traumatisierte Zahn nach eingehender Diagnostik als nicht erhaltungswürdig eingestuft und muss entfernt werden, bieten sich dem Behandler verschiedene Möglichkeiten des Lückenschlusses. Für die Behandlungsplanung der Implantation sind für den Behandler weiterhin in Abhängigkeit von der anatomischen Ausgangssituation und der Defektgeometrie unterschiedliche Insertionszeitpunkte zu diskutieren.
Heutzutage wird zwischen vier verschiedenen Zeitpunkten der Implantation unterschieden. Die Sofortimplantation am gleichen Tag der Extraktion, die Frühimplantation mit weichgeweblicher Heilung 4 bis 8 Wochen nach der Extraktion, die verzögerte Sofortimplantation mit partieller knöcherner Ausheilung 12-16 Wochen nach der Implantation und die Spätimplantation 6 Monate nach Extraktion mit abgeschlossener knöcherner Heilung.
Das Konzept der Sofortimplantation in Extraktionsalveolen ist weniger neu als man zunächst vermuten könnte. Die ersten Beschreibungen gehen in die siebziger Jahre zurück. Hier wurde von Professor Schulte das Tübinger Sofortimplantat vorgestellt und beschrieben [13].
Seit den frühen Anfängen der Sofortimplantation hat sich einiges an Wissen um die Herausforderungen an den Chirurgen und die anatomischen lokalen Voraussetzungen entwickelt. In Hinblick auf die funktionelle und ästhetische Erfolgsrate der Behandlungstechnik haben sich bis heute klare Richtlinien entwickelt. Die hauptsächlichen Risikofaktoren, für einen langfristigen Erfolg in Funktion und Ästhetik, bestehen aus einem dünnen weichgeweblichen Biotyp, der oro-vestibulären Fehlpositionierung des Implantates und einer durch die Extraktion beschädigten oder zu dünnen vestibulären knöchernen Lamelle [14].
Die Anzahl der Verletzungen der vestibulären Knochenlamellen ist in Folge der Extraktion beispielsweise nicht zu unterschätzen und kann mit bis zu 52 % der Fälle in der Literatur beschrieben werden [15]. Vor der geplanten Therapie sollte das individuelle Risikoprofil des Patienten genauestens evaluiert werden.
Besonders zu beachten ist auch die dreidimensionale Positionierung des Implantates. Eine zu weit vestibuläre Positionierung der Implantatschulter ist auf jeden Fall zu vermeiden, ebenso sollte die Implantatschulter in koronal-apikaler Richtung knapp unterhalb der vestibulären Knochenkante zum Liegen kommen, um Umbauprozesse von 0,5 – 1 mm in diesem Bereich zu kompensieren. Zwischen dem Implantat und der inneren vestibulären knöchernen Wand sollte ein 1,5 – 2,5 mm „Jumping Gap“ bestehen [16,17].
Dieser Spalt dient der Ausbildung eines Blutkoagels, welches durch ein passgenaues, individuelles Provisorium immobilisiert wird. Auch wird die angrenzende Gingiva während der Heilungsphase durch das Provisorium in der Position gestützt.
Die prothetische Versorgung des Implantats erfolgt analog der üblichen Heilungszeiten. Sinnvoll ist es in jedem Fall das anatomisch ausgeformte Emergenzprofil mit einem individuellen Abformpfosten auf das Modell zu übertragen.
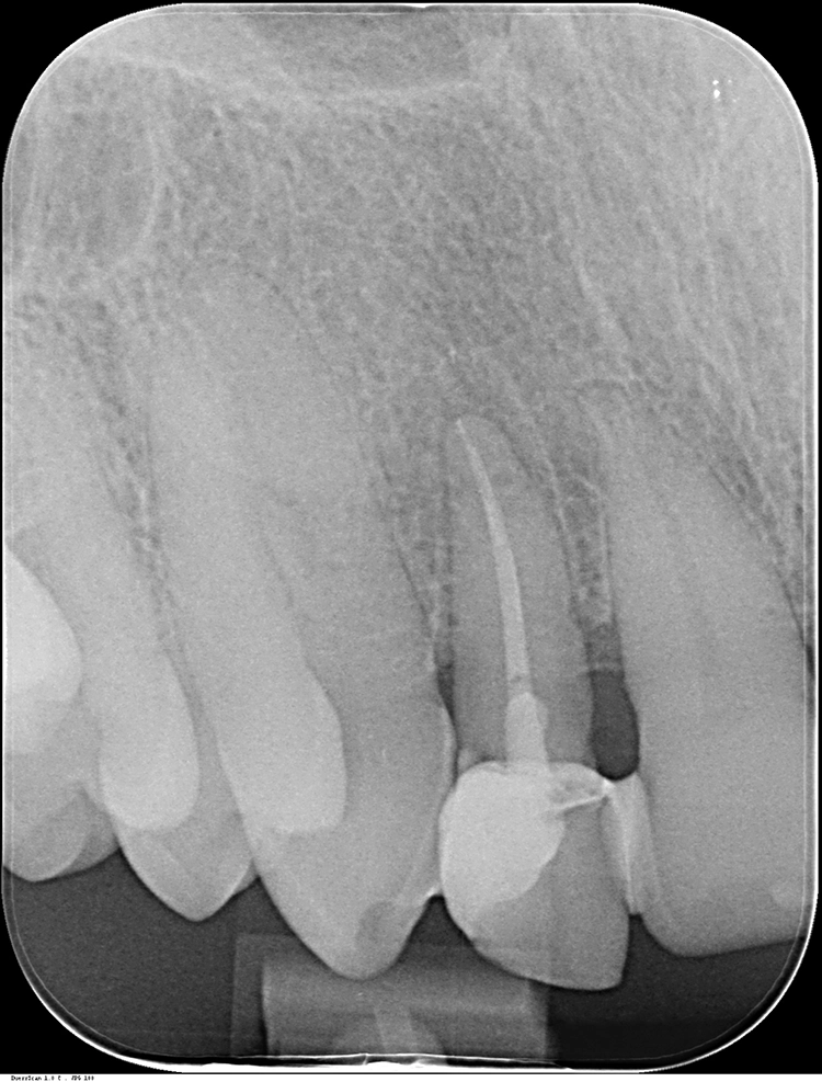
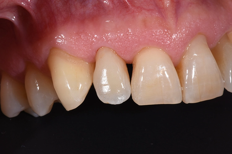
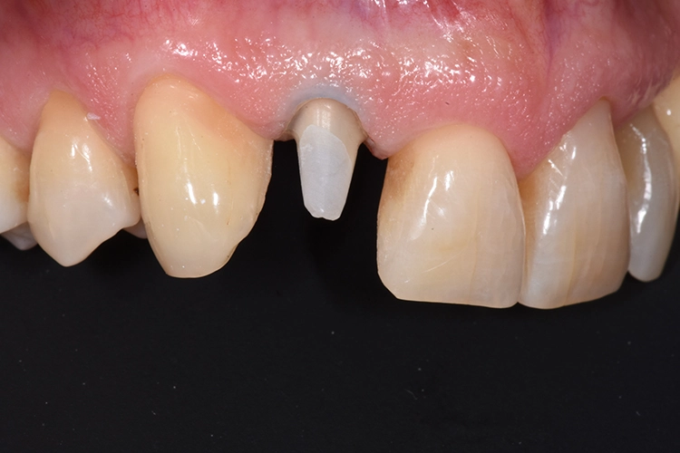
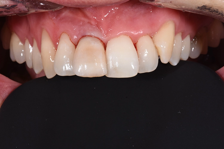
Fall 1: Chirurgische Extrusion
Dr. Blume
Dr. Blume
Er wurde über die Vor- und Nachteile einer Implantatversorgung aufgeklärt und ihm wurde die Möglichkeit einer forcierten Extrusion mit anschließender Kronenversorgung erklärt. Letzteres empfand der Patient als sehr reizvoll und so wurden die Schritte in die Wege geleitet.
Dr. Blume
Dr. Blume
Dr. Blume
Dr. Blume
Dr. Blume
Dr. Blume
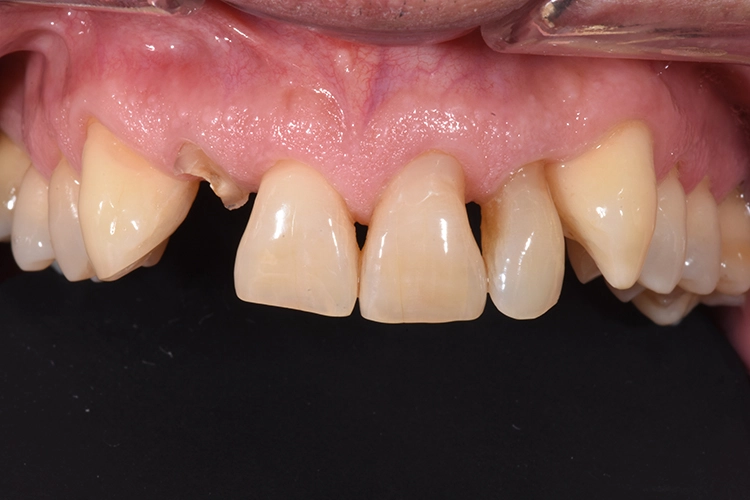
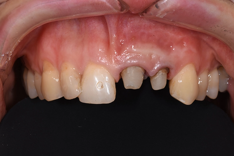
Fall 2: KFO-Extrusion
Dr. Blume
Ihr wurden die verschiedenen Behandlungsmöglichkeiten erklärt. Die Patientin wünschte sich den Erhalt der eigenen Zähne. Aufgrund der Breite der Lücke und schwierig zu schienender Situation entschieden wir uns für eine kieferorthopädische Extrusion der beiden Wurzelreste.
Dr. Blume
Dr. Blume
Dr. Blume
Dr. Blume
Dr. Blume
Dr. Blume
Dr. Blume
Dr. Blume
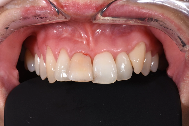
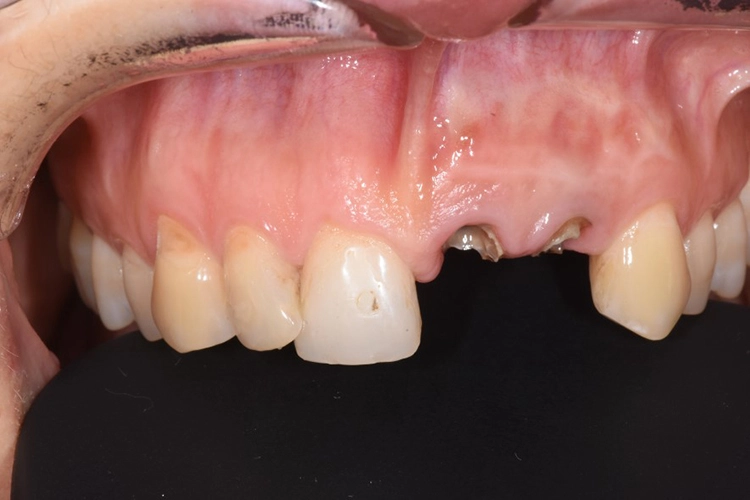
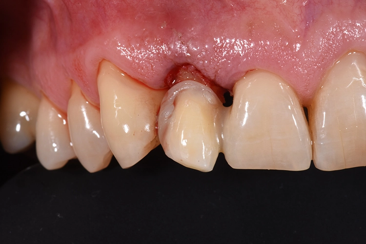
Fall 3: Sofortimplantation
Dr. Blume
Zu unserem Ausgangsbefund zählt die sechs Punkt-Taschenmessung, die Vitalität und Perkussionsprobe sowie ein Röntgenbild. Besonders wichtig ist in diesem Zusammenhang auch die genaue Anamnese des Patienten.
Dr. Blume
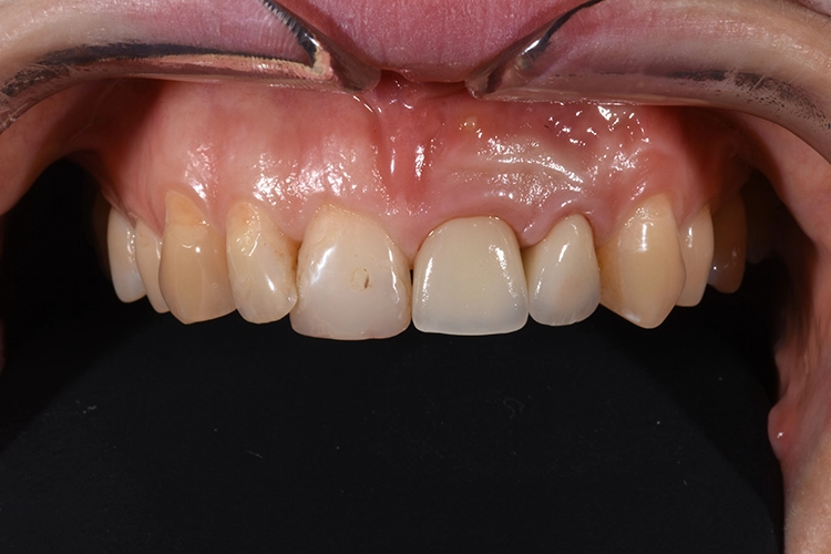
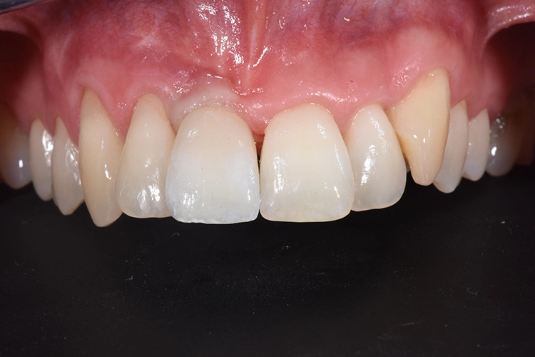
Deutlich auffallend und für die Patientin sehr wichtig war die anatomisch individuelle Zahnstellung des Zahnes 11. Um dem Wunsch der Patientin auf eine für ihr Umfeld unauffällige Behandlung gerecht zu werden, entschieden wir uns gemeinsam für eine Sofortimplantation mit einer provisorischen Sofortversorgung des Implantates. Kein Provisorium kommt der Natur so nah wie die Natur selbst und daher planten wir die Umarbeitung der Zahnkrone 11.
Nach der Lokalanästhesie wurde zunächst ein Kunststoff Jig hergestellt, der die Inzisalkante des Zahnes 11 mit denen der Nachbarzähne verbindet. Dieser dient zur späteren Positionierung der Zahnkrone, wenn diese zum Provisorium umgearbeitet wird und mit dem Implantat verbunden wird. Dieser Schritt ist besonders wichtig, da es für ein unauffälliges postoperatives Ergebnis auf die korrekte Positionierung des Zahnes ankommt und die Positionierungshelfer das Handling und den adhäsiven Verbund unglaublich vereinfacht (Abb. 20 und 21).
Dr. Blume
Dr. Blume
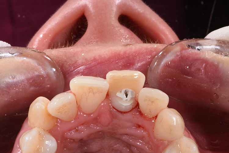
Anschließend wurde der durch die externe Resorption stark angegriffene Wurzelrest schonend entfernt. Bei der Sofortimplantation kommt es auf den Erhalt der lokalen knöchernen Bedeckung an.
Die Alveole wird von Granulationsgewebe gesäubert und direkt postoperativ durch ein Kleinröntgen auf Wurzelreste kontrolliert. Die Aufbereitung des Implantatbettes und die Implantatinsertion erfolgt im apikalen Bereich tendenziell eher palatinal. Im Bereich der Implantatschulter wurde ein Abstand von 2,5 mm zur vestibulären Lamelle eingehalten.
Dr. Blume
Aufgrund der Angulation der Implantate im Frontzahnbereich steht man mit einem verschraubten Provisorium oftmals vor dem Problem des vestibulär durchtretenden Schraubenkanals. Dieses Problem lässt sich mit dem iSy System elegant umgehen.
Für die Herstellung des Provisoriums wird die Zahnkrone zunächst von Granulationsgewebe befreit, anschließend mithilfe rotierender Instrumente und dem Sandstrahlgerät gereinigt und für die adhäsive Verbindung mit dem PEEK-Aufbau vorbereitet. Intraoral wird die Zahnkrone mit dem provisorischen Abutment verklebt.
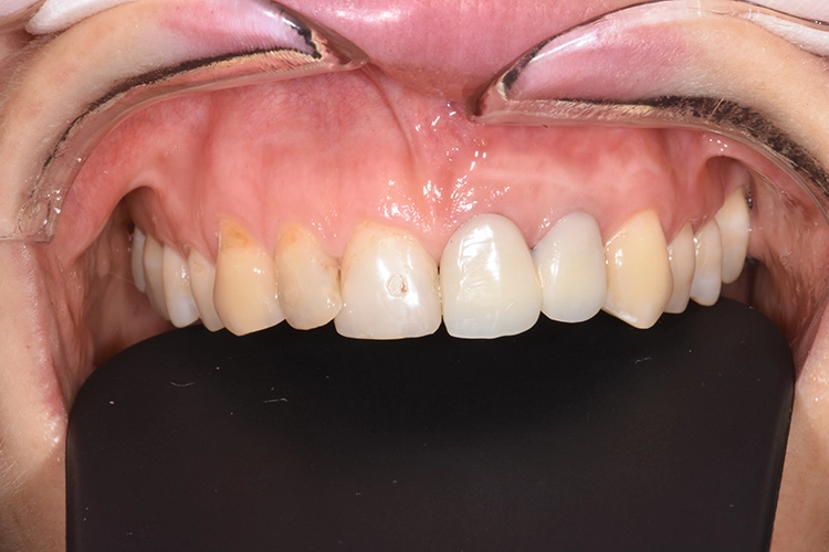
Die erste Verbindung dient ausschließlich der dreidimensionalen Fixierung in Relation zum Abutment. Die weitere Ausarbeitung der Krone erfolgt extraoral, wobei auf die Gestaltung eines physiologischen Emergenzprofils geachtet werden muss. Anschließend wird das Provisorium einfach auf die Implantat-Basis geklickt, das Bild zeigt die Situation unmittelbar nach der Implantation (Abb. 23-28).
Dr. Blume
Dr. Blume
Dr. Blume
Dr. Blume
Dr. Blume
Dr. Blume
Während der Osseointegration des Implantates sollten keine Bewegungen auf das Implantat übertragen werden, daher ist es wichtig, die Okklusion entsprechend einzustellen und hier vor allem auch ein Auge auf die dynamischen Grenzbewegungen zu haben. Die Patientin wird angewiesen, den Zahn die nächsten acht Wochen möglichst zu schonen.
Dr. Blume
Dr. Blume
Dr. Blume
Bildquellen sofern nicht anders deklariert: Unternehmen, Quelle oder Autor/-in des Artikels
Entdecke CME Artikel






Keine Kommentare.