Die Indikationen für direkte Kompositrestaurationen haben in den letzten Jahren aufgrund der materialtechnischen Verbesserungen der Kompositwerkstoffe und zugehöriger Adhäsivsysteme bei gleichzeitiger Optimierung der Behandlungsprotokolle eine stetige Erweiterung erfahren [1–13]. Direkte Kompositrestaurationen sind heutzutage für viele zahnärztliche Praktiker die bevorzugte Füllungsvariante, auch für große Kavitäten im okklusionstragenden Seitenzahnbereich [9,14–17]. Im Fokus des Interesses steht hierbei auch immer mehr die substanzschonende Versorgung von Defekten mit Höckerbeteiligung als Alternative zu indirekten Onlays und Teilkronen [2,9,18–29].
Der Ersatz von einzelnen oder mehreren Höckern mit direkten Kompositen stellt mittlerweile aus werkstoffkundlicher Sicht kein Problem mehr dar und ist wissenschaftlich abgesichert [30]. Allerdings ist der intraorale Aufbau eines oder mehrerer kompletter Zahnhöcker mit Komposit, zusätzlich zur Versorgung der okklusalen Isthmus- und approximalen Kastenbereiche eines Defektes, für den Behandler ein erheblicher Mehraufwand in der additiven Gestaltung. Dies bedarf entsprechender Übung und zieht meist auch eine deutlich längere Ausarbeitungsphase nach sich, da die Höhe der direkt im Mund modellierten Höcker praktisch kaum sofort passt und meist erst durch Zurückschleifen adjustiert werden muss, um eine korrekte statische und dynamische Okklusion einzustellen.
Deshalb ist bei der Versorgung einer sehr großen Kavität, die den Ersatz mehrerer Zahnhöcker erfordert, eine indirekte Restauration immer noch eine sinnvolle Alternative; dies erfordert aber oft einen zusätzlichen Abtrag an Zahnhartsubstanz [9]. Klinische Untersuchungen zu Seitenzahn-Kompositrestaurationen mit Höckerersatz zeigen eine akzeptable bis sehr gute klinische Performance und qualifizieren diese Restaurationen in ausgewählten klinischen Fällen als Alternative zu indirekten Versorgungen [15,31–34].
Das Angebot im Bereich der direkten plastischen Kompositmaterialien hat sich in den letzten Jahren stark erweitert [35–37]. Ein Trend in der aktuellen Kompositentwicklung besteht darin, die Anwendung der Komposite im Seitenzahnbereich zu vereinfachen und gleichzeitig sicherer zu machen [8,38–45]. Üblicherweise werden lichthärtende Komposite aufgrund ihrer Polymerisationseigenschaften und der limitierten Durchhärtungstiefe in einer Schichttechnik mit Einzelinkrementen von maximal 2 mm Dicke verarbeitet.
Die einzelnen Inkremente werden jeweils separat mit Belichtungszeiten von 10 bis 40 Sek. polymerisiert, je nach Lichtintensität der Lampe, der Farbe bzw. dem Transluzenzgrad der entsprechenden Kompositpaste sowie der Art und Konzentration des in der Kompositpaste enthaltenen Photoinitiators [46]. Mit der Schichttechnik lässt sich zudem durch eine günstige Ausformung der Einzelinkremente in der Kavität ein niedrigerer C-Faktor (Configuration Factor = Verhältnis der gebondeten zu freien Kompositoberflächen) realisieren. Somit können durch möglichst viel frei schrumpfende Kompositoberflächen auch der materialimmanente polymerisationsbedingte Schrumpfungsstress und dessen negative Auswirkungen auf die Restauration – wie Ablösung des Komposits von den Kavitätenwänden, Randspaltbildung, Randverfärbungen, Sekundärkaries, Schmelzfrakturen, Höckerdeflexionen, Rissbildung in den Zahnhöckern und Hypersensibilitäten – minimiert werden [47,48].
VisCalor 2 in 1: Fließfähigkeit und Modellierbarkeit in einem Material
Einen neuen Ansatz verfolgt das thermoviskose Universalkomposit VisCalor (VOCO, Cuxhaven), das aufgrund des umfangreichen Farbangebotes von 11 Vita-Farben für sämtliche Kavitätenklassen inklusive ästhetischer Frontzahnrestaurationen vorgesehen ist. Hierbei handelt es sich um ein bei Raum- und Körpertemperatur hochviskoses Kompositmaterial, das durch Erwärmung in einem Kompositofen oder einem speziellen Dispenser mit Aufheizfunktion auf die Temperatur von 65–68 °C in eine fließfähige Konsistenz überführt wird (Thermo-Viscous-Technology). Das Material fließt in der erwärmten Phase optimal an die Kavitätenwände an, auch in engen und untersichgehenden Bereichen, und erleichtert somit die Applikation des Füllungswerkstoffs in den Zahndefekt.
Das erwärmte VisCalor-Komposit kühlt durch den Kontakt mit der Zahnhartsubstanz durch Wärmeleitung (Konduktion) sehr schnell auf Mundtemperatur ab und geht somit innerhalb weniger Sekunden wieder in den hochviskosen, modellierbaren Zustand über. Durch die hohe Wärmekapazität der Zähne, die relativ geringe Menge erwärmten Kompositmaterials und die Möglichkeit der schnellen zusätzlichen Wärmeableitung in die Mundhöhle besteht bei Anwendung dieser Technik keine Gefahr einer thermischen Pulpaschädigung der zu restaurierenden Zähne [49,50].
Das Material vereint somit die Fließfähigkeit eines flowable Komposits während der Applikation mit der Modellierbarkeit eines stopfbaren Komposits. Da die gesamte Kavität mit demselben Material gefüllt werden kann, ergibt sich auch eine Zeitersparnis gegenüber kombinierten Systemen aus fließfähigen und modellierbaren Kompositmaterialien, bei denen zwangsläufig ein Wechsel des Materials erfolgen muss.
VisCalor kann in Schichten von bis zu 2 mm Dicke verarbeitet werden und wird in 11 Farben angeboten. Es weist eine Polymerisationsschrumpfung von 1,41 Vol.-% bei gleichzeitig niedrigem Schrumpfungsstress (4,1 MPa) auf. Das Material verfügt mit einer Biegefestigkeit von 158 MPa über eine hohe Stabilität und sichert durch eine geringe Wasseraufnahme eine gute Farbstabilität und stabile mechanische Eigenschaften.
Die Applikationskompule hat eine schmale, biegsame Kanüle, die eine direkte Applikation des thermoviskosen Komposits auch in schwer zugängliche Bereiche und enge Kavitätenareale ermöglicht. Die Erwärmung des thermoviskosen VisCalor-Komposits kann alternativ zur Verwendung eines „Caps Warmer“-Kompositofens – bei dem allerdings eine Vorwärmzeit von 20 Min. und eine Aufwärmzeit der Kapseln von 3 Min. mit nachfolgender limitierter Verarbeitungszeit der erwärmten Kapseln von 20 Sek. berücksichtigt werden muss – auch direkt in einem innovativen heizbaren Kapseldispenser (VisCalor Dispenser, VOCO), dessen Temperaturfunktion auf der Nahinfrarot-Technologie basiert, erfolgen.
Dieser bietet gegenüber dem Kompositofen mehrere Vorteile: Die Erwärmung von Dispenser und Kompositkapsel verläuft parallel und dauert insgesamt nur 30 Sek., der Dispenser wird neben der Erwärmung gleichzeitig auch als Applikationsgerät verwendet und steigert den Komfort, da somit ein Wechsel vom Aufheizgerät in eine extra Kompositpistole erspart bleibt. Desweiteren bietet der neuartige Dispenser eine verlängerte Verarbeitungs- bzw. Warmhaltezeit der Kompositkapseln bis zu 2,5 Min.
Klinischer Fall
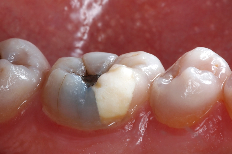
Ein 38-jähriger Patient erschien in unserer Sprechstunde mit einem frakturierten mesiolingualen Höcker neben einer okklusalen Amalgamfüllung am unteren rechten 1. Molaren (Zahn 46). Der Vorfall hatte sich bereits vor einer Woche ereignet, der Zahn war noch am selben Tag im zahnärztlichen Notdienst provisorisch mit einer Glasionomerzementfüllung versorgt worden (Abb. 1). Der Defekt erstreckte sich bis auf Höhe der marginalen Gingiva (Abb. 2).
Prof. Dr. Manhart
Prof. Dr. Manhart
Der Zahn reagierte auf den Perkussionstest unauffällig und zeigte eine verzögerungsfreie Antwort auf die Testung der Sensibilität mit Kältespray. Nach Aufklärung und Erläuterung der möglichen Therapiealternativen und deren Kosten entschied sich der Patient für eine plastische Füllung mit dem thermoviskosen Universalkomposit VisCalor.
Prof. Dr. Manhart
Prof. Dr. Manhart
Prof. Dr. Manhart
Prof. Dr. Manhart
Anschließend wurden sämtliche Kavitätenränder mit einem Feinkorndiamanten nachgearbeitet und finiert. Danach wurden die pulpanahen Kavitätenareale mit einem selbstlimitierenden Polymer-Rosenbohrer (Polybur, Gebr. Brasseler GmbH & Co. KG, Lemgo) substanzschonend exkaviert (Abb. 7), eine Exposition der Pulpa konnte mit diesem Vorgehen der selektiven Exkavation vermieden werden (Abb. 8) [51–55]. Das pulpanahe Dentin im Zentrum der Kavität wurde mit einer dünnen Schicht röntgenopaker Calciumhydroxidpaste auf wässriger Basis (Calcicur, VOCO) indirekt überkappt (Abb. 9). Das Calciumhydroxidpräparat wurde mit einer partiellen Unterfüllung aus lichthärtendem kunststoffmodifiziertem Glasionomerzement (Ionoseal, VOCO) abgedeckt (Abb. 10).
Prof. Dr. Manhart
Prof. Dr. Manhart
Prof. Dr. Manhart
Prof. Dr. Manhart
Prof. Dr. Manhart
Für die adhäsive Vorbehandlung der Zahnhartsubstanzen wurde das Universaladhäsiv Futurabond U (VOCO) ausgewählt. Bei Futurabond U handelt es sich um ein modernes Universaladhäsiv, das mit allen gebräuchlichen Konditionierungstechniken und sämtlichen derzeit angewendeten Adhäsivstrategien kompatibel ist („Multi-mode“-Adhäsiv): der phosphorsäurefreien Self-Etch-Technik und beiden phosphorsäurebasierten Etch-and-Rinse-Konditionierungstechniken (selektive Schmelzätzung bzw. komplette Total-Etch-Vorbehandlung von Schmelz und Dentin mit Phosphorsäure). Auch bei diesen Universaladhäsiven resultiert die vorangehende Phosphorsäurekonditionierung des Zahnschmelzes (selektive Schmelzätzung) in einer besseren Haftvermittlung [56–58].
Im Gegensatz zu den klassischen Self-Etch-Adhäsiven verhalten sich die neuen Universaladhäsive unempfindlich gegenüber einer Phosphorsäureätzung des Dentins [59–63]. Die Möglichkeit, bei Verwendung dieser Universaladhäsive das Applikationsprotokoll in Abhängigkeit von intraoralen Notwendigkeiten ohne Wechsel des Haftvermittlers jederzeit kurzfristig variieren zu können, reduziert die Techniksensitivität und gibt dem Behandler die nötige Freiheit, auf unterschiedliche klinische Situationen (z.B. pulpanahes Dentin, Blutungsgefahr der angrenzenden Gingiva etc.) flexibel reagieren zu können. Im vorliegenden Fall wurde die selektive Schmelzätzung mit Phosphorsäure eingesetzt.
Hierzu wurde 35%ige Phosphorsäure (Vococid, VOCO) zirkulär entlang der Schmelzränder aufgetragen und wirkte dort für 30 Sek. ein (Abb. 12). Anschließend wurden die Säure und die damit aus der Zahnhartsubstanz herausgelösten Bestandteile gründlich mit dem Druckluft-Wasser-Spray für 20 Sek. abgesprüht und anschließend überschüssiges Wasser vorsichtig mit Druckluft aus der Kavität verblasen. Nachfolgend wurde eine reichliche Menge des Universalhaftvermittlers Futurabond U mit einem Microbrush auf Schmelz und Dentin appliziert (Abb. 13).
Prof. Dr. Manhart
Prof. Dr. Manhart
Prof. Dr. Manhart
Prof. Dr. Manhart
Prof. Dr. Manhart
Dies sollte vor dem Einbringen des Restaurationsmaterial sorgfältig kontrolliert werden, da matt erscheinende Kavitätenareale ein Indiz dafür sind, dass nicht ausreichend Adhäsiv auf diese Stellen aufgetragen wurde. Im schlimmsten Fall könnte sich dies in einer verminderten Haftung der Füllung an diesen Bereichen auswirken. Parallel dazu einhergehend wäre auch eine optimale Versiegelung betroffener Dentinareale gefährdet.
Eine mangelhafte Versiegelung einzelner Dentinabschnitte kann bei vitalen Zähnen zu persistierenden postoperativen Hypersensibilitäten führen. Diese Komplikation, die oft den Austausch einer neu angefertigten Restauration bedingt, lässt sich aber in den meisten Fällen durch ein sorgfältiges Adhäsivprotokoll vermeiden. Werden daher bei der visuellen Kontrolle derartige, nicht von Adhäsiv abgedeckte, matt aussehende Areale entdeckt, wird dort korrigierend selektiv nochmals Haftvermittler aufgetragen, um die Adhäsivschicht zu optimieren.
Im nächsten Schritt wurde das thermoviskose Komposit VisCalor (VOCO) im VisCalor Dispenser (VOCO) auf 65 °C erwärmt (Abb. 17). Die schmale, biegsame Kanüle der VisCalor Kompule erleichtert eine direkte Applikation auch in schwer zugängliche Bereiche und enge Kavitätenareale (Abb. 18). Die Kavität wurde mit dem ersten 2-mm-Inkrement bis ca. zur Hälfte der Defekthöhe aufgefüllt.
Prof. Dr. Manhart
Prof. Dr. Manhart
Durch die niedrigviskose Konsistenz im erwärmten Zustand resultiert ein hervorragendes Anfließverhalten an die Kavitätenwände (Abb. 19). Die 1. Kompositschicht wurde für 10 Sek. mit einer Polymerisationslampe (Lichtintensität ≥ 1.000 mW/cm²) ausgehärtet (Abb. 20).
Prof. Dr. Manhart
Prof. Dr. Manhart
Nachfolgend wurde mit dem nächsten Inkrement VisCalor das restliche Kavitätenvolumen (maximale Schichtstärke: 2 mm) komplett aufgefüllt (Abb. 21). VisCalor kühlt innerhalb weniger Momente nach Kontakt mit dem Zahn durch Wärmeleitung (Konduktion) schnell wieder auf Mundhöhlentemperatur ab und nimmt somit wieder eine hochviskose Konsistenz an (Abb. 22), die eine Modellation der Kauflächenanatomie erleichtert.
Prof. Dr. Manhart
Prof. Dr. Manhart
Prof. Dr. Manhart
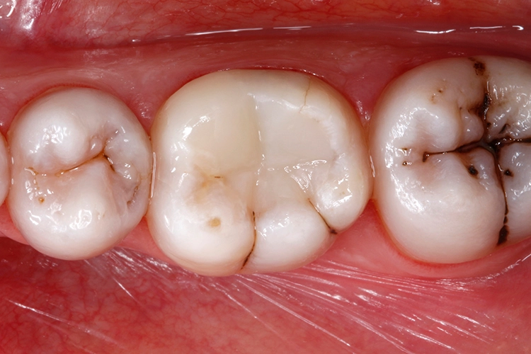
Nach Abnahme des Kofferdams wurde die höckerersetzende direkte Kompositrestauration sorgfältig mit rotierenden Instrumenten (okklusal) und abrasiven Scheibchen (lingual) ausgearbeitet. Danach wurde mit diamantimprägnierten Silikonpolierern (Dimanto, VOCO) eine glatte und glänzende Oberfläche der Restauration erzielt.
Prof. Dr. Manhart
Schlussbemerkungen
Die Bedeutung direkter Füllungsmaterialien auf Kompositbasis wird in der Zukunft weiter zunehmen. Es handelt sich hierbei um wissenschaftlich abgesicherte und durch die Literatur in ihrer Verlässlichkeit dokumentierte, hochwertige permanente Versorgungen für den kaubelasteten Seitenzahnbereich [11, 64–70]. Gemäß der aktuellen S1-Leitlinie der DGZ und der DGZMK zu Kompositrestaurationen im Seitenzahnbereich aus dem Jahr 2016 (AWMF-Registernummer: 083–028) können diese Restaurationen nach der aktuellen Datenlage zur Versorgung von Klasse-I- und -II-Kavitäten erfolgreich im Seitenzahnbereich eingesetzt werden [30].
Die Ergebnisse einer umfangreichen Übersichtsarbeit haben gezeigt, dass die jährliche Verlustquote von Kompositfüllungen im Seitenzahnbereich (2,2%) statistisch nicht unterschiedlich zu der von Amalgamfüllungen (3,0%) ist [66]. Auch für Defektkonfigurationen mit Höckerersatz werden direkte Kompositrestaurationen mittlerweile vermehrt eingesetzt und erweisen sich hier in ausgewählten klinischen Fällen als Alternative zu indirekten Versorgungen [15,31–34]. Neben den normalen Kompositen steht dem Behandlungsteam im Bereich der plastischen Adhäsivmaterialien nun auch noch eine Materialvariante mit thermisch gesteuertem Viskositätsverhalten zur Verfügung.
Bildquellen sofern nicht anders deklariert: Unternehmen, Quelle oder Autor/-in des Artikels
Entdecke CME Artikel






Keine Kommentare.