Für den Aufbau des Kieferkamms werden in der klinischen Praxis seit einiger Zeit gefriergetrocknete allogene (FDBA) Knochenblöcke mit vielversprechenden Ergebnissen eingesetzt. Sie bieten eine weniger invasive Behandlungsalternative zu autogenen Knochenblöcken ohne zweiten Operationssitus und ohne Entnahmestellenmorbidität [2-4]. Mithilfe der modernen CAD/CAM-Technologie (computergestützte Konstruktion und Fertigung) können heute exakt an die individuelle Defektsituation angepasste allogene Knochenblöcke hergestellt werden, bei denen die manuelle intraoperative Anpassung entfällt, sodass die Operationszeit verkürzt wird. Resultat ist ein höherer Patientenkomfort [5,6]. Dieser Fallbericht beschreibt eine zweizeitige geführte Knochenregeneration (Guided Bone Regeneration, GBR), bei der der Unterkieferknochen im ersten Schritt mit einem individuellen allogenen Knochenblock aufgebaut wurde. Nach erfolgreicher Einheilung wurden dann in einem zweiten Schritt spezielle Bone Level Implantate mit einem neuartigen Design (Straumann® BLX Roxolid® SLActive®) gesetzt, um eine gute Primärstabilität zu erreichen.
Ausgangssituation
Eine 42 Jahre alte Frau stellte sich mit dem Wunsch nach einer festsitzenden prothetischen Versorgung im Unterkiefer vor. Die Voruntersuchung und die Röntgenaufnahmen zeigten eine Atrophie des Unterkiefers und damit ein für das Setzen von Implantaten eingeschränktes ortsständiges Knochenangebot (Abb. 1 und 2). Der Patientin wurden verschiedene Behandlungsoptionen für ein zweizeitiges GBR-Verfahren vorgestellt, um eine ausreichende Kammbreite für die anschließende Implantatbehandlung zu erhalten. Die Patientin lehnte ein Augmentationsverfahren mit autologem Knochentransplantat ab. Der vereinbarte Behandlungsplan beinhaltete letztendlich einen Knochenaufbau mit einem individuell konstruierten, gefriergetrockneten CADCAM-Allograft (maxgraft® bonebuilder, botiss biomaterials GmbH) und die anschließende Implantation von Straumann® BLX Roxolid® SLActive® Implantaten.
Dr. Yüksel
Dr. Yüksel
Planung
Dr. Yüksel
Chirurgische Verfahren
Das GBR-Verfahren wurde unter Lokalanästhesie durchgeführt. Zunächst wurde ein vestibulärer Volllappen mit mesialen Entlastungsinzisionen abgehoben. Das linguale Weichgewebe wurde stumpf, d. h. ohne scharfe Inzision, und unter Schonung der neurovaskulären Gewebe bis hinunter zum Kieferzungenbeinmuskel sorgfältig vom Restknochen gelöst und nach bukkal mobilisiert, um ein adäquates Weichgewebemanagement zu ermöglichen. Um die Blutversorgung zu fördern und die Revaskularisation des Transplantats zu beschleunigen, wurde die Kortikalis an einigen Stellen des Defekts mit einem kleinen Rosenbohrer angefrischt (Abb. 4). Der individuelle allogene Knochenblock wurde exakt in die Defektstelle eingepasst und mit Schrauben (Ø 1,25 mm, Länge 8 mm) im Unterkieferknochen fixiert (Abb. 5).
Dr. Yüksel
Dr. Yüksel
Die mesialen und distalen Bereiche wurden mit xenogenem Knochenersatzmaterial (cerabone®) konturiert. Der augmentierte Bereich wurde mit einer nativen Kollagenmembran aus porcinem Perikardium (Jason® membrane) abgedeckt, die mit Titanstiften am Knochen befestigt wurde.
Der Lappen wurde reponiert und mit nicht resorbierbarem Nahtfaden der Stärke 4.0 adaptiert. Um einen spannungsfreien Wundverschluss zu erreichen, wurde apikal eine laterale Matratzennaht gesetzt. Die Nähte wurden nach 14 Tagen entfernt. Nach sechs Monaten komplikationsfreier Wund- und Einheilung kam die Patientin zur Implantatbehandlung erneut in die Praxis (Abb. 6 und 7). Beim Re-Entry wurden die Befestigungsschrauben entfernt, und es wurde eine Knochenkernbiopsie für die histologische Analyse entnommen (Abb. 8 und 9). Die histologische Untersuchung der mit Hämatoxylin-Eosin eingefärbten Schnittpräparate der Probe zeigte den laufenden Umbauprozess des FDBA-Blocks. Die histologische Aufnahme (Abb. 10) zeigte neu gebildeten Geflechtknochen (WB) in engem Kontakt mit dem Allograftmaterial (*) und umgeben von Bindegewebe (CT) und belegte die durch das Allograftmaterial vermittelte Knochenregeneration. Nach Bestimmung der geeigneten Implantatpositionen wurden in regio 47, 46 und 44 drei Bone Level Implantate Straumann® BLX Roxolid® SLActive ® mit einem Durchmesser von 4,5 mm und einer Länge von 10 mm gesetzt (Abb. 11 bis 14). Die Implantate wurden mit RB Verschlusskappen verschlossen, der Wundverschluss erfolgte mit Nahtmaterial der Stärke 4.0 (Abb. 15 und 16).
Dr. Yüksel
Dr. Yüksel
Dr. Yüksel
Dr. Yüksel
Dr. Yüksel
Dr. Yüksel
Dr. Yüksel
Dr. Yüksel
Dr. Yüksel
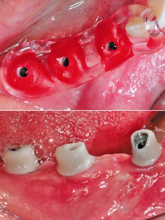
Nach drei Monaten wurden die Implantate mit einer krestalen Inzision freigelegt. Die Verschlusskappen waren teilweise bereits von neu gebildetem Knochengewebe überwachsen (Abb. 17). Dies zeigt das vitale Potenzial des Knochengewebes, das sich in diesem Bereich neu gebildet hatte. In die Implantate wurden RB/WB Gingivaformer (Ø 5 mm, Gingivahöhe 1,5 mm) eingesetzt, die Weichgewebe wurden um die Gingivaformer reponiert und mit nicht resorbierbarem Nahtmaterial der Stärke 5.0 vernäht (Abb. 18 bis 20).
Dr. Yüksel
Dr. Yüksel
Dr. Yüksel
Dr. Yüksel
Prothetische Verfahren
Dr. Yüksel
Zur Herstellung der individuellen Prothetikkomponenten wurde ein Variobase® Sekundärteil mit Kappe aus Zirkondioxid verwendet (Abb. 22 und 23). Das Straumann® Variobase ® Sekundärteil bietet Dentallaboren die Flexibilität, individuelle prothetische Versorgungen in dem von ihnen bevorzugten Workflow herzustellen (Abb. 24), in diesem Fall im Fräsverfahren. Das Variobase® Sekundärteil bietet die Vorteile der Straumann Originalverbindung und des patentierten Straumann Rotationsschutzes. Ein Schlüssel aus kunststoffmodifiziertem Acrylharz wurde verwendet, um die korrekte Position der Sekundärteile im Mund der Patientin zu bestimmen (Abb. 25 und 26).
Dr. Yüksel
Dr. Yüksel
Dr. Yüksel
Ergebnisse
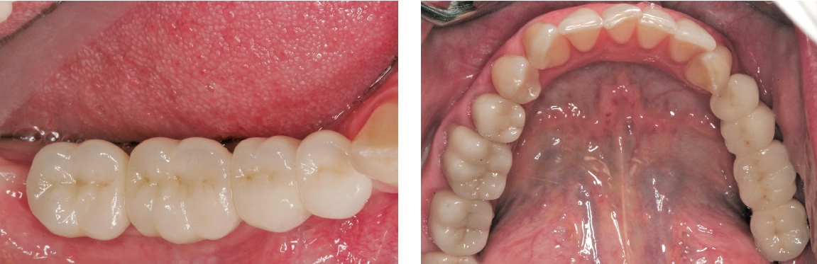
Nach der erfolgreichen Eingliederung der Prothetikkomponenten wurde die keramikverblendete Brücke aus Zirkondioxid mit einem Glasionomerzement auf den Sekundärteilen befestigt (Abb. 27 und 28).
Dr. Yüksel
Dr. Yüksel
Eine abschließende Röntgenaufnahme zeigte die perfekte Passung der prothetischen Arbeit (Abb. 29).
Zusammenfassung
Mit den BLX Implantaten wurde eine optimale Primärstabilität erreicht. Die BLX Bohrer ermöglichen ein intermittierendes Bohren. So kann die Implantatbettpräparation an die unterschiedlichen knöchernen Situationen angepasst und eine gute Primärstabilität erreicht werden. Das BLX Implantat erweist sich in Fällen wie diesem, in denen der Knochen des Implantatbetts von unterschiedlicher Dichte und Qualität ist, als äußerst einfach in der Anwendung.
Mit der zweizeitigen geführten Knochenregeneration unter Verwendung eines individuellen FDBA-Blocks konnte dem Wunsch der Patientin nach einer festsitzenden prothetischen Versorgung ohne Augmentation mit Autotransplantat und damit ohne autologe Knochenentnahme und ohne zusätzlichen Operationssitus entsprochen werden. Der im CAD/ CAM-Verfahren hergestellte, exakt an die Defektsituation der Patientin angepasste allogene Knochenblock reduzierte die Operationszeit und damit auch die potenziellen Beschwerden, da eine intraoperative manuelle Anpassung des Blocks entfallen konnte.
Durch das Augmentationsverfahren wurde ein signifi kanter horizontaler Knochenaufbau erreicht, sodass eine erfolgreiche Implantatbehandlung möglich war. Das spezielle Gewindedesign des gewählten BLX Implantats zeigte in den präparierten Implantatbetten, in denen Restknochen mit höherer Dichte an neu gebildetes, weniger dichtes Knochengewebe grenzte, ein hervorragendes Schneideverhalten und eine exzellente Primärstabilität. Das beim Re-entry sichtbare neu gebildete Knochengewebe überwuchs zum Teil sogar die Verschlusskappen und belegte damit das exzellente Umbauverhalten des Allograftmaterials.
Fazit
Insgesamt zeigt dieser Patientenfall, dass der Knochenaufbau mit allogenen und insbesondere mit individuellen allogenen Knochenblöcken deutlich weniger invasiv ist und das Augmentationsverfahren sowohl für den Arzt als auch für den Patienten vereinfacht. Gleichzeitig bieten diese nachhaltigen Implantatlösungen ein Höchstmaß an Komfort für den Patienten.
Bildquellen sofern nicht anders deklariert: Unternehmen, Quelle oder Autor/-in des Artikels
Entdecke CME Artikel




Keine Kommentare.