Ein mundgesundes Leben startet schon vor der Geburt und danach mit den ersten Zähnen. Erhalten Kind und Eltern frühzeitig eine konsequente Aufklärung und Prophylaxe, lassen sich Gingivitis und Karies, aber auch kieferorthopädische Probleme vermeiden oder verringern [1–3]. Dagegen haben Kinder mit früher Karies im späteren Leben eine schlechtere Lebensqualität [4]. Dass Karies und Parodontitis auch langfristig fast vollständig verhindert werden können, zeigten schon die Urväter der modernen oralen Prophylaxe, Per Axelsson und Jan Lindhe [5].
Von Beginn an mit System
Für Säuglinge und Kinder vor dem 6. Lebensjahr gibt es eine Reihe von Frühuntersuchungen, die sich in entsprechende Pässe eintragen lassen. Wie die Regensburger Kinderzahnärztin Dr. Frederike Schenke in einemOnline-Vortrag für die Swiss Dental Academy (SDA)erläuterte, wissen Eltern eine kontinuierliche Dokumentation sehr zu schätzen. Für ihre Praxis hat sie daher eigene Prophylaxe-Pässe ab dem 6. Lebensjahr entwickelt, in denen die individuell abgestimmten Maßnahmen eingetragen werden.
Zu den Terminen gehört neben der Kontrolle der Mundgesundheit und Gebissentwicklung immer ein Zahnputz-Training, sobald möglich mit Anfärben. Ziel ist schon jetzt die vollständige Entfernung des Biofilms, die professionell kontrolliert wird. Für das persönliche „Biofilm-Management“ (Mundhygiene) eignen sich ab etwa dem 3. Lebensjahr Schallzahnbürsten [6], die mit altersgerechten Apps erhältlich sind (z.B. Sonicare For Kids, Philips). Sehr wichtig ist auch, über professionelle und häusliche Fluoridierung und eine geeignete Ernährung zu sprechen. Prophylaxetermine werden in der Praxis Dr. Schenke je nach Kariesrisiko alle drei bis sechs Monate wiederholt.
EMS
Gewebe schonen, Zeit sparen
Alle genannten Maßnahmen lassen sich auch als fester Bestandteil in die Guided Biofilm Therapy (GBT) integrieren (Abb. 1). Anamnese und Diagnostik (Schritt 1), Anfärben (Schritt 2) und Mundhygiene-Instruktion mit Motivation (Schritt 3) erfolgen zu Beginn jeden GBT-Termins. Ab dem Schulalter haben die meisten Kinder ausreichend Geduld und vertrauen ihrer Prophylaxe-Fachkraft (siehe Kasten rechts). Dann kann der Biofilm auf Zähnen und Weichgeweben regelmäßig professionell mit AIRFLOW® entfernt werden.
.
Nach dem Anfärben mit dem Biofilm Discloser werden dafür zunächst der Biofilm und junger, noch weicher Zahnstein mit einem geeigneten Gerät (z.B. AIRFLOW® Prophylaxis Master, EMS) und Erythritol-Pulver (AIRFLOW® PLUS Pulver) effektiv abgetragen (Schritt 4). Wie Dr. Schenke betont, ist die damit eingesparte Zeit wegen der begrenzten Aufmerksamkeitsspanne jüngerer Kinder sehr hilfreich [7]. Ob AIRFLOW® für die oralen Gewebe der Kleinen und Heranwachsenden zudem schonend und sicher ist, wurde wissenschaftlich gründlich untersucht:
- Praktisch keine Schmelzveränderungen bei Milch- und bleibenden Zähnen [9,11]
- Keine negativen Auswirkungen auf die Gingiva [10,11]
- Sichere Anwendung auch auf Dentin und Restaurationen [9,11]
Mit Airflow® kann also der gesamte Kindermund einschließlich Zunge und Gingiva problemlos gereinigt werden. Nur bei Bedarf wird älterer Zahnstein mit einem Ultraschall-Gerät entfernt (z.B. PIEZON PS, EMS, Schritt 6) [12].
Ideale Methode für Brackets
Patienten in kieferorthopädischer Behandlung können ihr persönliches Biofilm-Management sehr wirksam z.B. mit einer Sonicare Schallzahnbürste mit InterCare Bürstenkopf durchführen [13]. Für die parallel notwendige professionelle Prophylaxe hat sich wiederum das Biofilm-Management nach der GBT-Methode als bestens geeignet erwiesen. Bei festsitzenden Apparaturen erreichen die traditionell verwendeten rotierenden Bürstchen oder Polierer nicht alle Bereiche (Abb. 2a–3b). Dies gilt auch interdental, bei unregelmäßigen Zahnoberflächen und in Fissuren.
EMS
EMS
Mit AIRFLOW® müssen dagegen die Bögen von Multiband-Apparaturen für das Biofilm-Management nicht mehr entfernt werden. Die Behandlung gelingt dadurch und aufgrund der effektiven Wirkweise signifikant schneller [14]. Auch hier werden Zähne und Apparaturen wirksam geschont [15]. Zugleich konnte gezeigt werden, dass durch die Entfernung des teilweise mineralisierten Biofilms die mechanische Wirkung der Apparaturen sichergestellt wird [16]. Dagegen kann eine Belagsentfernung mit Ultraschall den adhäsiven Verbund der orthodontischen Brackets beeinträchtigen [17].
Karies besser erkennen und verhindern
Multiband- und andere festsitzende orthodontische Behandlungen führen bei ungünstiger Ernährung und schlechter Mundhygiene sehr häufig zu Schmelzdemineralisation (White Spots) und Karies [18]. Weiterhin kann sich eine verdickte Gingiva (Hyperplasie) entwickeln [19]. Mit präventiven Maßnahmen wie Fluoridierung und professionellem Biofilm-Management – laut Dr. Schenke alle drei Monate – lassen sich diese Probleme verhindern [16,20].
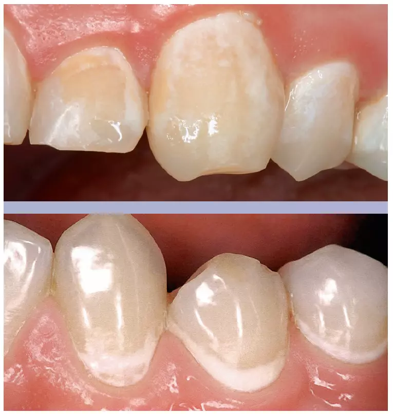
Kariesdiagnostik (Schritt 7) sollte im Rahmen der GBT erst nach dem AIRFLOW® erfolgen, da erst dann die saubere Oberfläche zuverlässig beurteilt werden kann (Abb. 4a u. b). Das gilt ebenso für Versiegelungen, die nach gründlicher Reinigung auch enger Fissuren zuverlässig gelingen (Abb. 5a u. b).
Prof. Dr. Hervé Tassery
Prof. Dr. Adrian Lussi
Müssen Zähne mit Molaren-Inzisiven-Hypomineralisation (MIH) restauriert werden, eignet sich laut Dr. Schenke zur Vorbereitung der Kavität AIRFLOW®, wegen der Schmerzempfindlichkeit in der Regel jedoch nur bei MIH-Grad 1.
Fazit
Kinder und ihre Eltern lassen sich mit Prophylaxe schon frühzeitig für eine gesunde Mundkarriere begeistern. Ein wichtiger Baustein ist dabei von klein auf das professionelle Biofilm-Management. Mit dem bei Kindern beliebten Anfärben, dem AIRFLOW® und PLUS Pulver, als feste Bestandteile der Guided Biofilm Therapy, lässt sich dieses sehr schonend und zugleich effektiv durchführen.
Bildquellen sofern nicht anders deklariert: Unternehmen, Quelle oder Autor/-in des Artikels
Entdecke CME Artikel




Keine Kommentare.