Im folgenden Patientenfall wurde eine Neuversorgung mit einer monolithischen Zirkoniumdioxidkrone im CAD/CAM-Workflow durchgeführt, nach Entfernung einer VMK-Krone, aufgrund von Sekundärkaries. Der Stumpfaufbau erfolgte effektiv und einfach mit einem Bulk-Fill-Komposit, dessen Viskosität thermisch gesteuert wird (VisCalor bulk, VOCO).
Die Qualität der digitalen Abformung wurde durch die Anwendung von Retraction Paste (VOCO) erhöht. So konnten präzise Scans als Basis für die Herstellung der Keramikkrone erzeugt werden.
Fallbeschreibung
Anamnese
Ein 64-jähriger Patient stellte sich zu einer Routineuntersuchung vor, die aufgrund von Covid-19-Einschränkungen verschoben worden war. Der Patient war zuvor regelmäßig in der Zahnarztpraxis erschienen, seine Mundhygiene und seine Ernährungsgewohnheiten waren gut.
Er berichtete über eine leicht erhöhte Nahrungsretention um eine vorhandene Krone und gelegentliches Bluten bei der Interdentalreinigung im unteren rechten Quadranten, ohne die Stelle genauer lokalisieren zu können. Seine Erwartungen waren realistisch: Er bevorzugte einen minimalinvasiven Ansatz, bei dem die Funktionalität gegenüber ästhetischen Verbesserungen im Vordergrund stehen sollte.
Befund und Diagnose
Die klinische Untersuchung zeigte eine klobige Metallkeramikkrone auf Zahn 46. Der Parodontale Screening Index ergab einen Wert von 3 im unteren rechten Sextanten.
Beim Sondieren traten Blutungen auf, die distal von Zahn 46 stärker ausgeprägt waren. Daher wurde an dieser Stelle ein weiteres 6-Punkt-Taschendiagramm erstellt, das Taschen von 4 mm Tiefe auf der distobukkalen Seite von Zahn 46 mit Blutungen zeigte. Zusätzliche Perkussionstests im unteren rechten Quadranten ließen erkennen, dass Zahn 46 nicht auf Perkussion reagierte.
Ashish (Ash) Soneji
Therapie
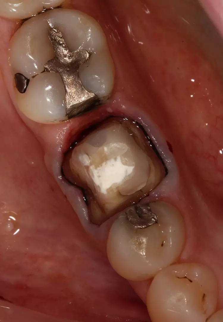
Die Behandlung begann mit dem Auftrennen und der Entfernung der Krone. Anschließend wurde die Sekundärkaries entfernt und der Stumpf mit VisCalor bulk (VOCO) repariert. Hierbei handelt es sich um ein Bulk-Fill-Komposit mit thermisch kontrollierter Viskosität, welches sich gut für Klasse-II-Restaurationen oder Stumpfrekonstruktionen eignet.
Die Krone wurde mit einem konischen Diamantschleifer mit flachem Kopf (Frank Dental) aufgetrennt. Kariöses Gewebe wurde mit einem zylindrischen Diamantbohrer (835.010C, NTI) und einem Rosenbohrer (1204025RA, Edenta) entfernt.
Die Präparation für die neue Krone erfolgte mit konischen Fräsern grober und mittlerer Körnung (850.014C/M, Solo Diamond). Nach der Kariesentfernung war eine Anhebung der tief liegenden Kavitätenränder erforderlich, die ebenso wie auch der Aufbau des restlichen Stumpfes mit VisCalor bulk (VOCO) erfolgte. Um eine Weichgewebskonditionierung zu ermöglichen, wurde eine provisorische Krone hergestellt, die der Patient vor der digitalen Abformung einige Wochen getragen hat (Abb. 2a und 2b).
Ashish (Ash) Soneji
Ashish (Ash) Soneji
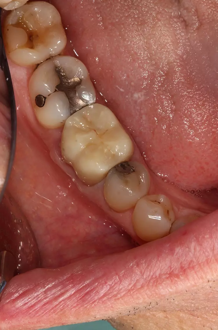
In der nächsten Sitzung wurde nach der Entfernung des Provisoriums eine gezielte Reinigung durchgeführt, gefolgt von der digitalen Abformung (Abb. 3). Zur Darstellung der Präparationsränder wurde vorbereitend ein Retraktionsfaden der Größe 000 mit einem Retraktionsfadenstopfer um den präparierten Zahn 46 gelegt (Abb. 4). Anschließend wurde zusätzlich VOCO Retraction Paste mit langsamen kreisenden Bewegungen in den Sulkus eingebracht und in situ belassen (Abb. 5 und 6).
Ashish (Ash) Soneji
Ashish (Ash) Soneji
Ashish (Ash) Soneji
Ashish (Ash) Soneji
Währenddessen wurde das Gebiet trocken gehalten. Nach 2 Minuten wurde die Retraktionspaste mit einem Luft-Wasser-Spray bei leistungsstarker Absaugung entfernt. Der Retraktionsfaden selbst wurde in situ belassen. Der Sulkus wurde luftgetrocknet.
Die klinische Situation mit einem erkennbar erweiterten, trockenen gingivalen Sulkus war ideal für den nachfolgenden intraoralen 3D-Scan (Abb. 7 und 8). Die CAD-Screenshots der mit dem Trios-Intraoralscanner (3Shape) erstellten 3D-Scans bestätigten den klinischen Eindruck (Abb. 9a und 9b).
Ashish (Ash) Soneji
Ashish (Ash) Soneji
Ashish (Ash) Soneji
Ashish (Ash) Soneji
Ashish (Ash) Soneji
Ergebnis
Ashish (Ash) Soneji
Diskussion
Im vorliegenden Fall ging es um die Behandlung einer Karies an einem Kronenrand. Nach Entfernung der Krone und der Karies wurde zum Wiederaufbau des Zahnstumpfes das thermoviskose Komposit VisCalor bulk (VOCO) verwendet. Um eine ausreichende Materialstärke des Abformsilikons an den Rändern zu gewährleisten und um dadurch ein Einreißen oder Verziehen beim Entfernen zu verhindern, ist eine Sulkusbreite von 0,2 mm zwingend erforderlich [7].
Die provisorische Krone wurde mit Komposit auf der distalen Seite verstärkt. Zur morphologischen Adaptation des Weichgewebes trug der Patient die provisorische Krone für einige Wochen. So konnten gleichzeitig die Bedingungen für eine präzise Abformung geschaffen werden.
Die provisorische Krone wirkt etwas unförmig (Abb. 2), was auf die mangelnde Ästhetik der ursprünglichen Krone zurückzuführen ist. VOCO Retraction Paste ist ein pastöses Produkt, das in einem Cap zur direkten Anwendung erhältlich ist. Es hat ausgezeichnete adstringierende Eigenschaften und hinterlässt, wie in diesem Fall zu sehen ist, einen trockenen und gut geweiteten trockenen Sulkus – ideale Voraussetzungen für eine hochpräzise Abformung.
Die beiden wirksamen Bestandteile von VOCO Retraction Paste (VOCO) sind Aluminiumchlorid und Kaolin. Aluminiumchlorid entfaltet seine blutstillende Eigenschaft – im Gegensatz zu anderen bekannten Hämostatika – über eine chemische Reaktion mit dem Blut. Dadurch ist es sehr wirksam, und es müssen keine körpereigenen Mechanismen zur Blutstillung aktiviert werden.
Darüber hinaus trägt der saure Charakter von Aluminiumchlorid dazu bei, dass das Blut koaguliert [5,6]. Kaolin ist für seine adstringierenden Eigenschaften bekannt. In diesem Fall wurde die digitale Abformung mit dem Intraoralscanner Trios 3 (3Shape) durchgeführt.
Wie gewünscht und notwendig, wurde ein klarer und gut definierter Rand erfasst [9]. Nach dem Design am Computer mit exocad (Align Technology) wurde die Krone gefräst und manuell durch Bemalen und Glasieren fertiggestellt [2].
Der Autor schätzt VOCO Retraction Paste sehr, da sie sich farblich von der Gingiva abhebt und leicht zu entfernen ist. Die Kanüle hat eine flexible Spitze, die eine punktgenaue und präzise Applikation in den Sulkus ermöglicht. Dies erleichtert den Arbeitsablauf erheblich.
Präzise digitale Abformungen setzen einen gut geweiteten und trockenen Sulkus voraus – der durch einfaches Legen eines Retraktionsfadens der Größe 000 und anschließendes Einbringen einer Retraktionspaste erreicht wird. Neuere Publikationen weisen darauf hin, dass durch die alleinige Verwendung einer Retraktionspaste eine ähnliche [1,3,4,] oder sogar ausgeprägtere [8] Gingivaretraktion erzielt werden kann.
Fazit
Patient und Zahnarzt waren mit dem Endergebnis sehr zufrieden. Die klinischen Aspekte der Behandlung verliefen stressfrei. Die VOCO Retraction-Paste ist das ideale Produkt zur temporären Retraktion der marginalen Gingiva und schafft einen trockenen Sulkus für präzise Abformungen.
Bildquellen sofern nicht anders deklariert: Unternehmen, Quelle oder Autor/-in des Artikels
Entdecke CME Artikel





Keine Kommentare.