Getting your Trinity Audio player ready...
|
Die steigenden Anforderungen an den Datenschutz in allen medizinischen Bereichen erschweren die Nutzung und Verarbeitung personenbezogener Daten. Hinsichtlich personenbezogener Daten nehmen OPGs eine Sonderstellung innerhalb der medizinischen Bilddaten ein, da sie zum einen standardisiert sind und gleichzeitig eine Vielzahl an individuellen, identifizierbaren Merkmalen verschlüsseln. Damit gleichen sie einem radiologischen Fingerabdruck und werden deshalb in der forensischen Odontologie häufig zur eindeutigen Opferidentifizierung herangezogen [3]. Die Studie – publiziert im Journal of Dentistry [2] – verfolgte das Ziel, durch den Einsatz von Generative Adversarial Networks (GANs) synthetische OPGs (syOPGs) zu erstellen, die keine personenbezogene Daten mehr enthalten und dennoch in ihrer Authentizität und Qualität gleichwertig zu realen OPGs (reOPGs) sind – selbst im Hinblick auf Pathologien.
Generative Adversarial Networks (GANs) sind ein Programmiergerüst für das Training von Netzwerken im Kontext des generativen Lernens. Hierbei werden zwei Netzwerke – ein Generator und der Diskriminator – gegeneinander trainiert. Der Generator soll Daten generieren, die dem ursprünglichen Datensatz sehr ähnlich sind, während der Diskriminator versucht echte und falsche Daten zu unterscheiden. Nach dem Training kann der Generator genutzt werden, um Daten zu generieren, die den ursprünglichen Daten sehr ähnlich sind. In der aktuellen Forschung wird der GAN-Ansatz oft zusätzlich mit anderen Ansätzen genutzt. |
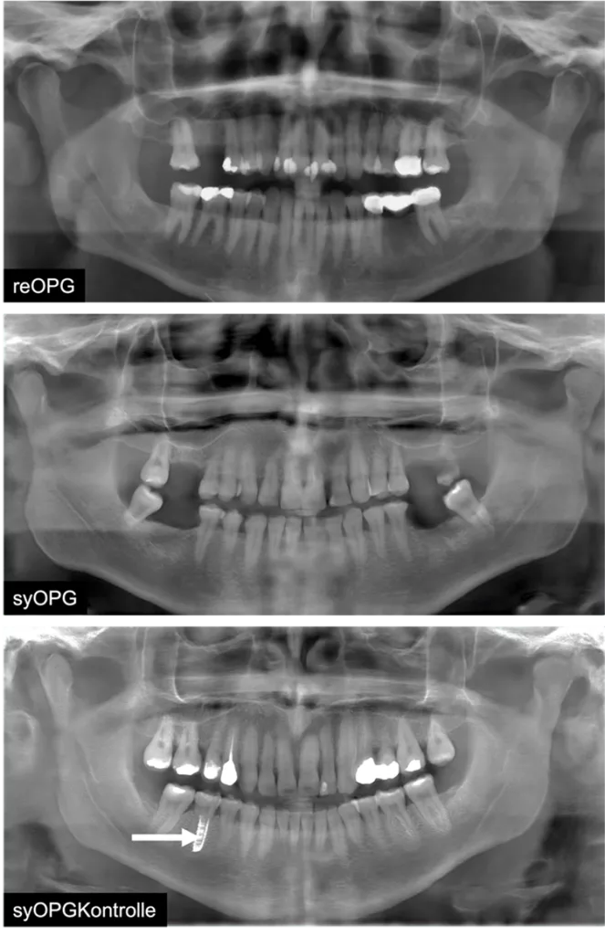
Für die Studie wurden zunächst 9599 reale OPGs als Trainingsdatensatz ausgewählt, um damit GANs, die StyleGAN2-ADA (NVIDIA©), zu trainieren. Hieraus wurden dann 1000 synthetische OPGs erzeugt. Aus diesen wurden 20 syOPGs sowie 5 Kontrollbilder (syOPG-Kontrollen) mit offensichtlichen logischen Fehlern ausgewählt. Weitere 20 reOPGs aus dem Trainingsdatensatz wurden ebenfalls zur Evaluation herangezogen.
In einem umfangreichen, randomisierten, verblindeten Fragebogen wurden 54 approbierte (Zahn-)Ärzt/-innen und 33 Zahnmedizinstudierende gebeten, die Authentizität der Bilder zu prüfen, indem sie die o.g. 45 Bilder entweder als real oder synthetisch bewerteten (Abb. 1 und 2). Zusätzlich wurde ein Einzel-syOPG hinsichtlich spezifischer, diagnostischer Kriterien befundet (Abb. 3). Ferner wurde nach der Selbsteinschätzung sowie der Einschätzung der Bedeutung von synthetischen radiologischen Bildern für den Beruf gefragt. Ein Follow-up-Test zur Überprüfung der Reliabilität wurde ebenfalls durchgeführt.


Die Sensitivität für die Erkennung von syOPGs lag bei 78,2%, die Spezifität bei 82,5%. Die Bildqualität für das Einzel-syOPG wurde mit 6 (Likert-Skala) bewertet und 6 von 11 diagnostischen Kriterien erreichten eine Übereinstimmung. Die Bedeutung für den Beruf wurde im Median mit 7 (Likert-Skala) bewertet. Die im Follow-up gemessene Retest-Reliabilität erbrachte, gemessen mit Cohen‘s Kappa, einen Wert von 0,23, was bedeutet, dass viele Bilder im Follow-up anders als initial bewertet wurden.
Die Studie zeigt, dass mit KIs wie GANs qualitativ hochwertige, authentische syOPGs erzeugt werden können, die selbst von Fachspezialisten nicht von realen Bildern zu unterscheiden sind. Diese Ergebnisse eröffnen damit weitreichende Möglichkeiten für die medizinische Ausbildung und Forschung. Synthetische Bilder können helfen, bestehende Datensätze zu erweitern und die Genauigkeit KI-basierter Diagnosesysteme zu erhöhen. Zudem können sie barrierefrei in der Lehre sowie zur Patientenaufklärung verwendet werden, ohne Anwender/-innen durch datenschutzrechtliche Hürden zu beeinträchtigen. Die Studie betont jedoch auch eine notwendige Kennzeichnungspflicht für synthetische Daten sowie Daten, die mit Hilfe synthetischer Daten erhoben werden, um die Transparenz der Informationsquelle und die Wissenserzeugung zu gewährleisten. Zudem sollten Trainingsdatensätze so umfangreich wie möglich sein, um die Qualität und Authentizität der synthetischen Bilder weiter zu verbessern. Zukünftige Studien könnten Methoden entwickeln, um bestimmte gewünschte Bildattribute oder Pathologien auf Befehl in authentische synthetische Bilder umzuwandeln.
Fazit
Diese Untersuchung unterstreicht das Potenzial von GANs zur Generierung synthetischer radiologischer Bilder und zeigt, wie fortschrittliche KI-Technologien die Zukunft der zahnmedizinischen Radiologie prägen können. Die Integration von GANs in der Praxis bietet das Potenzial, Diagnostikmodelle umfangreicher trainieren zu können sowie Patientenaufklärung und Lehre datenschutzkonform zu verbessern. Die Studie unterstützt damit den klinische Informationsumgang sowie die diagnostische und therapeutische Entscheidungsfindung.
Finanzierung: Die Studie wurde ohne spezielle Zuschüsse öffentlicher, kommerzieller oder gemeinnütziger Förderorganisationen durchgeführt.
Autoren:
Dr. Rouven Schönhof, Raoul Schönhof,
Dr. Gunnar Blumenstock, Prof. Dr. Dr. Bernd Lethaus,
PD Dr. Dr. Sebastian Hoefert
Keine Kommentare.