Anzeige

Ansätze zur Verkürzung der Behandlungszeit bei gleichzeitiger Optimierung der Implantatposition

Komplettsanierung mit Keramikimplantaten und schienenbasiertem Navigationssystem

Die Frage nach dem Benefit von modernen navigationsbasierten Implantationstechniken ist eine allgegenwärtige Debatte des Dentalmarktes. Die folgende Fallpräsentation stellt ein vollnavigiertes Navigationssystem im Zusammenhang mit der Implantation von SDS Keramikimplantaten vor und gibt einen aktuellen Überblick über Möglichkeiten der schienenbasierten Implantation in einer umfassenden Sanierung in Allgemeinanästhesie.

. SDS
.
.

Verschiedene Hersteller bieten unterschiedliche Ansätze – von Löffel- über Hülsensysteme mit den entsprechenden Vor- und Nachteilen. Besonders in Zusammenhang mit Intubationsnarkose und Sedierung werden Navigationsschienen aufgrund des mangelnden oralen Platzangebots in Kombination mit Kieferspreizern oftmals eher als Herausforderung als eine Erleichterung angesehen.

Die Keramikimplantologie hingegen hat bei der Zahnärzteschaft sowie den Patienten gleichermaßen an Bedeutung gewonnen: Es gibt ein zunehmendes Bewusstsein für die potenziellen Risiken, die mit Titanimplantaten verbunden sein können – bei gleichzeitig steigender Evidenz zur Unterstützung von stabilen Zirkonoxid-Keramikimplantaten. Im Interesse, modernste Zirkonoxid-Keramikimplantate mit einem schnellen, präzisen Navigationssystem zu vereinen, hat der Keramikimplantat-Hersteller SDS SWISS DENTAL SOLUTIONS AG ein vollkeramisches, vollnavigiertes Navigationstool entwickelt, welches bereits als erstes Navigationssystem weltweit das „Approved by Clean-Implant“-Logo für rückstandsfreie Implantologie trägt.

Die folgende Fallpräsentation soll das Navigationssystem im Zusammenhang mit der Implantation von SDS Keramikimplantaten vorstellen und einen aktuellen Überblick über Möglichkeiten der schienenbasierten Implantation in einer umfassenden Sanierung in Allgemeinanästhesie geben.

Ausgangssituation

Abb. 1: Natürlicher Gebisszustand der Patientin vor Erstvorstellung. SDS
Abb. 1: Natürlicher Gebisszustand der Patientin vor Erstvorstellung.
Die hier vorgestellte 37-jährige Patientin litt bereits seit langer Zeit unter chronisch lokalen sowie undefinierbaren systemischen Schmerzen, was gemäß Angaben diverser Vorbehandler der Patientin funktionell durch ihren Fehlbiss bedingt sei. Regelmäßige Einschleifmaßnahmen hatten bis dahin keine Besserung der Symptomatik zur Folge. Im Jahr 2019 war der generelle Leidensdruck, der laut damaliger Einschätzung von der Mundhöhle ausging, so groß, dass alio loco ein Großteil der natürlichen und wurzelkanalbehandelten Zähne schrittweise extrahiert wurde (Abb. 1).

Im weiteren Behandlungsverlauf wurde die Patientin bei einem anderen Vorbehandler bereits festsitzend mit Titanimplantaten versorgt, welche jedoch aufgrund starker lokaler (Schmerzen, Entzündungen) sowie systemischer Reaktionen (u. a. Haarausfall, Hautausschläge) wieder entfernt wurden. Zum Zeitpunkt der Erstvorstellung der folgenden Behandlungsdokumentation war der Restzahnbestand nur noch auf die vier OK-Frontzähne und drei UK-Frontzähne mit voranschreitender Kieferatrophie beschränkt (Abb. 2 und 3).

Abb. 2: Z. n. multiplen Zahnextraktionen alio loco / Zustand bei Erstvorstellung. SDS
Abb. 2: Z. n. multiplen Zahnextraktionen alio loco / Zustand bei Erstvorstellung.
Abb. 3: Z. n. multiplen Zahnextraktionen alio loco / Zustand bei Erstvorstellung. SDS
Abb. 3: Z. n. multiplen Zahnextraktionen alio loco / Zustand bei Erstvorstellung.

Der Restzahnbestand war bereits mit provisorischen Kronen versorgt, welche allerdings bei der Erstvorstellung zu hoch eingestellt waren. Es wurde sich für die Sanierung mit Keramikimplantaten entschieden, um der Patientin eine langfristige, möglichst immunologisch neutrale Lösung bieten zu können [1].

Planung mit 3D-Software und Dentallabor

Aufgrund der Komplexität der vorangegangen sowie der insuffizienten aktuellen Bisssituation bestand neben der eigentlichen Implantatinsertion das primäre Ziel sowie die Herausforderung dieses Falls darin, eine adäquate Bisssituation bereits während der Einheilphase mittels Langzeitprovisorien herzustellen. Die Ausgangsmodelle mit dem damaligen natürlichen Gebisszustand konnten digital eingescannt werden und die STL-Daten mit dem aktuellen dreidimensionalen Röntgenbild gematcht werden, woraufhin durch die Dentaltechniker gedruckte PMMA-Provisorien zur intraoperativen Unterfütterung hergestellt wurden (sogenannte „Eierschalen“-Provisorien). Zur Positionssicherung dieser laborgefertigten Provisorien dienten zusätzlich zu den eigentlichen Implantationsschienen sogenannte Positionierungsschienen (Abb. 4 und 5), mit denen intraoperativ die vertikalen und horizontalen Relationen von Ober- und Unterkiefer repositioniert werden konnten.

Abb. 4: OK-Positionierungsschiene für die PMMA-Langzeitprovisorien
nach vorangegangenem digitalem Wax-up. SDS
Abb. 4: OK-Positionierungsschiene für die PMMA-Langzeitprovisorien nach vorangegangenem digitalem Wax-up.
Abb. 5: OK-Positionierungsschiene für die PMMA-Langzeitprovisorien
nach vorangegangenem digitalem Wax-up. SDS
Abb. 5: OK-Positionierungsschiene für die PMMA-Langzeitprovisorien nach vorangegangenem digitalem Wax-up.

Abb. 6: Die vier verwendeten 2ingis-Schienen für eine präzise Bohrung pro Kieferhälfte,
um auch während allgemeiner Anästhesie unter Verwendung eines
Mundspreizers einen optimalen Zugang zu gewährleisten. SDS
Abb. 6: Die vier verwendeten 2ingis-Schienen für eine präzise Bohrung pro Kieferhälfte, um auch während allgemeiner Anästhesie unter Verwendung eines Mundspreizers einen optimalen Zugang zu gewährleisten.
Für die navigierte Implantation in allen vier Quadranten bis zum Molarenbereich wurde für jeden Quadranten jeweils eine Navigationsschiene, die auf dem 2ingis®-System basiert, konzipiert (Abb. 6). Aufgrund der Tatsache, dass die Implantation innerhalb einer Sitzung in Allgemeinnarkose geplant wurde, wurden die Schienen nicht kieferweise, sondern quadranten- bzw. kieferhälfenweise gestaltet, um auf der jeweiligen anderen Seite das Einsetzen eines Kieferspreizers zu gewährleisten.

Abb. 7: Digitale, präoperative Planung in der 3D-Software SMOP, individuell an die Patientensituation angepasst. SDS
Abb. 7: Digitale, präoperative Planung in der 3D-Software SMOP, individuell an die Patientensituation angepasst.
Das 2ingis®-Schienensystem ermöglicht eine präzise Implantatinsertion mithilfe der präoperativen Planung durch den Chirurgen sowie den Dentaltechniker. Benötigt wird dafür ein aktuelles DVT, Situationsmodelle oder ein Intraoralscan sowie die Planungssoftware SMOP (Abb. 7-9). Im vorliegenden Fall dienten somit zwei Schienen pro Kiefer und insgesamt vier Schienen der Komplettsanierung unter Ausnutzung des maximalen Platzangebotes und Minimierung der zeitlichen ITN-Ressourcen.
Abb. 8: Digitale, präoperative Planung in der 3D-Software SMOP, individuell an
die Patientensituation angepasst. SDS
Abb. 8: Digitale, präoperative Planung in der 3D-Software SMOP, individuell an die Patientensituation angepasst.
Abb. 9: Digitale, präoperative Planung in der 3D-Software SMOP, individuell an
die Patientensituation angepasst. SDS
Abb. 9: Digitale, präoperative Planung in der 3D-Software SMOP, individuell an die Patientensituation angepasst.

ITN-Sanierung mit Keramikimplantaten und schienenbasierter Vollnavigation 

Abb. 13: Primärstabile, mittels schienenbasierter Navigation präzise inserierte SDS
Keramikimplantate im OK und UK in situ nach vollnavigierter Implantation mit
2ingis-Schienen. Alle einteiligen Implantate wurden direkt intraoperativ und intraoral
für die Langzeitprovisorien präpariert, die zweiteiligen wurden vorerst mit
einer Deckschraube verschlossen. SDS
Abb. 13: Primärstabile, mittels schienenbasierter Navigation präzise inserierte SDS Keramikimplantate im OK und UK in situ nach vollnavigierter Implantation mit 2ingis-Schienen. Alle einteiligen Implantate wurden direkt intraoperativ und intraoral für die Langzeitprovisorien präpariert, die zweiteiligen wurden vorerst mit einer Deckschraube verschlossen.
Die vollständige Sanierung mit den Keramikimplantaten SDS SWISS DENTAL SOLUTIONS wurde im vorliegenden Fall gemäß des SWISS BIOHEALTH ALL-IN-ONE CONCEPTS innerhalb einer Sitzung in Allgemeinnarkose durchgeführt (Abb. 13). Das für den Knochenstoffwechsel relevante Vitamin D kann nachweislich zusammen mit weiteren Mikronährstoffen, wie Vitamin K2, Magnesium etc., die Erfolgsquote der neutral, ohne Entzündungsprozess einheilenden Zirkonoxid-Keramik begünstigen [1-7]. Deshalb wurde zusätzlich zu weiteren vorbereitenden Maßnahmen im Rahmen eines operativen Begleitprotokolls (u.a. antibiotische Infusionen) auch der aktuelle Vitamin-D3-Wert erhoben, welcher nicht unter 70 ng/ml perioperativ liegen sollte [8].

Es wurde zunächst im Oberkiefer quadrantenweise in den Leerkieferabschnitten mithilfe der gefertigten Navigationsschienen implantiert. Anschließend erfolgte die Extraktion der nicht-erhaltungswürdigen Zähne 12 bis 22 und anschließender Sofortimplantation. Aufgrund eines großflächigeren Knochendefekts regio 26 wurde zur zusätzlichen Stabilisierung das Implantat 26 mit dem BISS BONE IMPLANT STABILIZATION SYSTEM kombiniert und der Wundverschluss gemäß des OPEN HEALING PROTOCOLS nach Prof. Dr. mult. Shahram Ghanaati durchgeführt [9] (Abb. 14).

Abb. 14: Oberkiefer-Implantate entlang idealem Zahnbogen in situ, einschließlich
Abdeckung von regio 25/26 mithilfe einer sog. PTFE-Membran über dem BISSMesh
mit Implantat 26 (Open Healing Protocol nach Prof. Ghanaati). SDS
Abb. 14: Oberkiefer-Implantate entlang idealem Zahnbogen in situ, einschließlich Abdeckung von regio 25/26 mithilfe einer sog. PTFE-Membran über dem BISSMesh mit Implantat 26 (Open Healing Protocol nach Prof. Ghanaati).
Abb. 15: Auch die UK-Implantate weisen trotz deutlicher Kieferkamm-Atrophie
und mit nur minimalinvasiven, einzeitigen Knochenaufbaumaßnahmen eine hohe
Primärstabilität auf. SDS
Abb. 15: Auch die UK-Implantate weisen trotz deutlicher Kieferkamm-Atrophie und mit nur minimalinvasiven, einzeitigen Knochenaufbaumaßnahmen eine hohe Primärstabilität auf.

Im Unterkiefer wurden nachfolgend nach gleicher Systematik erst die schienengeführte Spätimplantation vorgenommen, bevor die Sofortimplantationen im UKFZB folgten. Vereinzelte Knochenaufbaumaßnahmen erfolgten lediglich mit intraoralen Eigenknochen- sowie allogenen Spänen. In regio 33 erfolgte noch ein direkter Knochenaufbau mit einer aus regio 38 gewonnenen Knochenschale.

Um die Implantate wurden Eigenblutmembranen aus PRF (Platelet Rich Fibrin) eingelegt, um die Wundheilung zu fördern und zu beschleunigen [10-12]. Die Gingiva wurde anschließend atraumatisch um die Tissue-Level-Implantate mit den Knochenspänen und PRF-Matrices vernäht.

Die „2ingis“-Schienen wurden beim SDS BOX FULL NAVIGATION SYSTEM effizient an die SDS Keramikimplantate und die weiteren vollkeramischen Bohrkomponenten angepasst. Das Besondere dabei ist, dass das System nicht über eine zentrale metallische Bohrhülse geführt wird, welche zwangsläufig unerwünschten Material-Abrieb bedeutet.

Abb. 10: Die Implantatbohrung und -insertion am Beispiel des 3. Quadranten:
Das Schienensystem SDS BOX FULL NAVIGATION SYSTEM ermöglicht mit den lateralen
Führungshülsen bei ausreichender Wasserkühlung eine uneingeschränkte
Sicht auf das Insertionsgebiet, ohne metallischen Abrieb für das eröffnete Knochenlager
in Kauf zu nehmen. SDS
Abb. 10: Die Implantatbohrung und -insertion am Beispiel des 3. Quadranten: Das Schienensystem SDS BOX FULL NAVIGATION SYSTEM ermöglicht mit den lateralen Führungshülsen bei ausreichender Wasserkühlung eine uneingeschränkte Sicht auf das Insertionsgebiet, ohne metallischen Abrieb für das eröffnete Knochenlager in Kauf zu nehmen.
Stattdessen treten an die Stelle von Bohrhülsen zwei laterale Führungshülsen, welche wiederum in zwei Führungsarmen befestigt unmittelbar mit dem Winkelstück verbunden sind und direkten Blick auf das OP-Gebiet sowie eine sehr präzise Insertion des Implantates erlauben (Abb. 10-12). Dies gewährleistet die Implantation ohne partikuläre Verunreinigungen, weshalb das SDS System bisher als einziges Navigationssystem weltweit mit dem „Approved by CleanImplant“-Siegel zertifiziert wurde. Es kann jedes Zubehör, das über einen ISO-Adapter in ein Winkelstück passt, mit dem SDS (Navigations-)System verwendet werden.
Abb. 11: Die Implantatbohrung und -insertion am Beispiel des 3. Quadranten:
Das Schienensystem SDS BOX FULL NAVIGATION SYSTEM ermöglicht mit den lateralen
Führungshülsen bei ausreichender Wasserkühlung eine uneingeschränkte
Sicht auf das Insertionsgebiet, ohne metallischen Abrieb für das eröffnete Knochenlager
in Kauf zu nehmen. SDS
Abb. 11: Die Implantatbohrung und -insertion am Beispiel des 3. Quadranten: Das Schienensystem SDS BOX FULL NAVIGATION SYSTEM ermöglicht mit den lateralen Führungshülsen bei ausreichender Wasserkühlung eine uneingeschränkte Sicht auf das Insertionsgebiet, ohne metallischen Abrieb für das eröffnete Knochenlager in Kauf zu nehmen.
Abb. 12: Die Implantatbohrung und -insertion am Beispiel des 3. Quadranten:
Das Schienensystem SDS BOX FULL NAVIGATION SYSTEM ermöglicht mit den lateralen
Führungshülsen bei ausreichender Wasserkühlung eine uneingeschränkte
Sicht auf das Insertionsgebiet, ohne metallischen Abrieb für das eröffnete Knochenlager
in Kauf zu nehmen. SDS
Abb. 12: Die Implantatbohrung und -insertion am Beispiel des 3. Quadranten: Das Schienensystem SDS BOX FULL NAVIGATION SYSTEM ermöglicht mit den lateralen Führungshülsen bei ausreichender Wasserkühlung eine uneingeschränkte Sicht auf das Insertionsgebiet, ohne metallischen Abrieb für das eröffnete Knochenlager in Kauf zu nehmen.

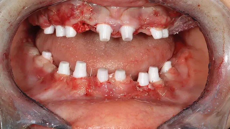
Die einteiligen SDS Implantate wurden nach erzielter Primärstabilität von 35 N/cm direkt mit dem laborgefertigten, verblockten Langzeitprovisorien aus dünnwandigem, unterfütterbarem PMMA-Kunststoff versorgt. Nachdem es noch geringfügig an die finalen Implantatpositionen mit Diamanten adaptiert und die adäquate Bisshöhe eingeschliffen wurde, waren Ästhetik und Funktion direkt intraoperativ wiederhergestellt (Abb. 16 und 17). Die zweiteiligen Implantate wurden zur Vermeidung von Lateral- und Axialkräften ohne provisorische Versorgung mit einer Deckschraube verschlossen und werden erst unmittelbar vor finaler prothetischer Versorgung nach der Einheilzeit aller Implantate von mind. vier Monaten im Ober- und sechs Monaten im Unterkiefer mit dem Keramik-Abutment versorgt.

Abb. 16: Z. n. intraoperativer Wiederherstellung von Funktion und Ästhetik mithilfe von laborgefertigten, PMMA-Langzeitprovisorien auf den einteiligen
Implantaten. SDS
Abb. 16: Z. n. intraoperativer Wiederherstellung von Funktion und Ästhetik mithilfe von laborgefertigten, PMMA-Langzeitprovisorien auf den einteiligen Implantaten.
Abb. 17: Z. n. intraoperativer Wiederherstellung von Funktion und Ästhetik mithilfe von laborgefertigten, PMMA-Langzeitprovisorien auf den einteiligen
Implantaten. SDS
Abb. 17: Z. n. intraoperativer Wiederherstellung von Funktion und Ästhetik mithilfe von laborgefertigten, PMMA-Langzeitprovisorien auf den einteiligen Implantaten.

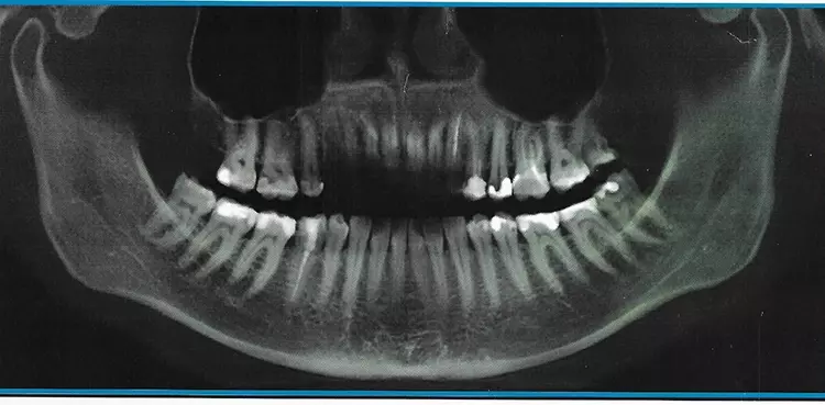
Abb. 18: OPG unmittelbar postoperativ nach Komplettsanierung innerhalb einer
Sitzung in ITN bei stark reduziertem Restgebiss. SDS
Abb. 18: OPG unmittelbar postoperativ nach Komplettsanierung innerhalb einer Sitzung in ITN bei stark reduziertem Restgebiss.
Das Langzeitprovisorium ermöglicht zudem eine ausreichend lange Adaptationsphase an die neue Bisssituation, um im weiteren Schritt die Kronen zunächst in ein zweites Langzeitprovisorium (laborgefertigtes LZP2) und schließlich in den finalen Zahnersatz umsetzen – und der Patientin somit langfristig eine Wiederherstellung der Kaufunktion sowie der extraoralen Ästhetik in Vollkeramik bieten zu können.

Fazit

Mit dem vollnavigiertem 2ingis-Schienensystem in Zusammenhang mit den SDS Keramikimplantaten bietet sich in nahezu jeder Ausgangssituation eine schnelle, präzise und zertifiziert oberflächenreine, kontaminationsfreie Lösung – selbst in umfassenden Sanierungen mit der Notwendigkeit eines Mundspreizers. Dabei ist bei stets guter Übersicht auch eine ausreichende Wasserkühlung während der Implantatbohrung gewährleistet, wobei das Bohrgefühl für den vorliegenden Knochen völlig erhalten bleibt. Zusammenfassend eröffnet das vorgestellte System somit neben der Möglichkeit eines idealen Endergebnisses ebenso den Benefit der verkürzten Operationszeit.


Quelle:
SWISS BIOHEALTH CLINIC

Näheres zu den Autoren des Fachbeitrages: , , ,

Bildquellen sofern nicht anders deklariert: Unternehmen, Quelle oder Autor/-in des Artikels

Anzeige

Kommentare

Keine Kommentare.

Anzeige