In der traditionellen oralen Chirurgie und Implantologie liegt hinsichtlich der Einheilung eines Implantates der Fokus auf den lokal notwendigen Bedingungen, um Knochen und Gewebe zu erhalten oder aufzubauen. Die Sichtweise geht momentan noch selten über die Mundhöhle hinaus.
In der Biologischen Zahnmedizin nutzen wir Erfahrung und Wissen aus der funktionellen Medizin, der Ernährung sowie gezielter Mikronährstofftherapien, um vor allem die systemischen Voraussetzungen für eine geplante Operation und anschließende Knochen- und Geweberegeneration zu optimieren.
Der Körper wird hier als Ganzes gesehen, sodass man sich eine Operation bildlich gesehen wie einen „Hausumbau“ vorstellen kann. Was wir dafür benötigen, sind Rohstoffe und Arbeiter, andernfalls steht die Baustelle still – auf die Implantologie übertragen bedeutet dies, dass es zu mangelnder Regeneration und nicht eingeheilten Implantaten kommt.
Die biologische Basis für Knochenaufbau oder auch „Guided Bone Regeneration (GBR)“ wurde bereits 1999 von Hämmerle und Karring [1] beschrieben. Sie ist uns allen ein Begriff und wird hier nur der Vollständigkeit halber erwähnt. Potenziell kommen 4 Methoden in Frage: Die Osseoinduktion (Wachstumsfaktoren), Osseokonduktion (Knochenaufbaumaterial als „Platzhalter“), die Distraktionsosteogenese und die Guided Tissue Regeneration (Membranen, Schalentechnik, etc.).
Intelligentes Knochen- und Weichgewebemanagement
Optimale lokale Bedingungen
Zu den lokalen Bedingungen einer intelligenten Knochen- und Weichgewebsregeneration zählen die Dekontamination des Operationsgebietes (Atem, Speichel), die Aktivierung von lokalen Wachstumsfaktoren (IGF-1, Osteoblasten, Plasmaproteine etc.) durch Bohrung und Bleeding Spots (Anfrischung des Knochens) und damit Knochenstimulation sowie der Einsatz von intelligentem Biomaterial wie PRF-Membranen, um die extrazelluläre Matrix zu verbessern und die Knochen- und Weichgewebssituation weiter zu optimieren.
Der Einsatz von mikroinvasiven Techniken wie die Piezosurgery, von Ozon, navigierten Implantationen und die verbesserte Bildgebung (und damit Planung) durch den Einsatz eines DVT haben uns zahnmedizinisch „handwerklich“ weit nach vorne gebracht. Es geht darum, so atraumatisch und minimal invasiv wie möglich zu arbeiten, um die Heilung für den Patienten möglichst einfach und schmerzfrei zu gestalten.
Ästhetik und Gesundheit liegen im Trend. Keramikimplantate sind kein Tabuthema mehr und seit ein paar Jahren ganz klar die Zukunft in der Implantologie. Gab es vor zehn Jahren nur eine Hand voll Firmen, die ein Keramikimplantat im Sortiment hatten, rühmt sich heute jede dentale Implantat-Firma mit einem „weißen“ Edelimplantat.
Selbstverständlich haben auch die Firmen erkannt, dass Patienten immer ein zahnfarbenes Implantat dem grauen Titanimplantat vorziehen würden. Dennoch setzen bisher nur ca. 1% aller implantologisch tätigen Kollegen Keramikimplantate und vertrauen auf althergebrachte Techniken. Nach 10-jähriger Erfahrung mit über 4.000 gesetzten Keramikimplantaten kann ich sagen, dass man sowohl chirurgisch, aber vor allem systemisch etwas mehr Informationen benötigt, um in der Lage zu sein, eine sehr hohe Erfolgsquote eingeheilter Keramikimplantate verzeichnen zu können.
Keramikimplantate heilen in einen gesunden Körper und Knochenstoffwechsel vollkommen entzündungsfrei ein, das bedeutet, sie heilen ohne eine andauernde Aktivierung des Immunsystems mit Zytokin-Produktion ein. Und hier liegt auch schon die Krux: Kaum einer von uns kennt sich mit dem gesamten Körper und wie dieser biochemisch funktioniert, wirklich aus. „Yellow bone – no implant“, predigte schon Branemark. Spätestens, wenn man ein paar Misserfolge beziehungsweise nicht eingeheilte Keramikimplantate gesehen hat, wird man hier etwas hellhöriger.
Da der Körper, wie oben ausgeführt, für die „Umbauphase“ der Insertion eines keramischen Implantates gut vorbereitet sein sollte und dieses durch Einbeziehung der funktionellen Medizin, Ernährung und Mikronährstoffen möglich ist, legen wir vor dem Eingriff sehr große Aufmerksamkeit auf den Lifestyle unserer Patienten. Die systemische Vorbereitung auf den OP-Termin ist damit genauso wichtig wie die gezielte Nachbereitung.
Systemische Bedingungen
Die meisten Menschen ernähren sich im Lifestyle des 21. Jahrhunderts nicht ideal; entsprechende Auswirkungen wie Fettleibigkeit, Herz-Kreislauferkrankungen, Diabetes etc. sind bekannt.
Eine falsche Ernährung mit viel Zucker, Weizen, Kuhmilchprodukten, raffinierten Speiseölen (stark entzündungsfördernde, industriell veränderte Omega-6-Öle), Geschmacksverstärkern, Fast Food und Fertigprodukten führt zu Nahrungsintoleranzen- und Toxinen, zur generellen Entzündungsneigung des Körpers sowie zu Makro- und Mikronährstoffmangel: Proteine und Aminosäuren, die fettlöslichen Vitamine A, D3, E und K, wasserlösliche B- und C-Vitamine, Mineralien wie Zink, Magnesium und gesunde Omega 3- und Omega 6-Fettsäuren fehlen für den Aufbau und die Regeneration von Gewebe und Knochen.
Der Körper ist durch diese Mangelsituation mit Heilungsvorgängen häufig überfordert – er befindet sich sozusagen im Winterschlaf und ist nicht in der Lage, neues Gewebe aufzubauen, da schlicht und einfach die Nährstoffe dafür fehlen [2]. Als Faustregel gilt hier: Umso älter der Patient, umso größer die Defizite.
Ernährungsumstellung
Unser Ziel ist es, die Patienten möglichst effektiv auf eine geplante Operation vorzubereiten. Dabei liegt die Versorgung mit den richtigen Makronährstoffen (Proteine, gute Kohlenhydrate, gesunde Fette) sowie die Vermeidung möglichst vieler Stressoren im Fokus.
Die „CORE FOUR-Krankmacher“ Zucker, Gluten-haltiges Getreide, Raffinierte Speiseöle und konventionelle Kuhmilchprodukte (außer Butter) sollten streng gemieden werden, um jegliche zusätzliche Belastung und chronische Entzündungsneigung des Körpers zu minimieren. Auch Fertigprodukte stehen dann nicht auf dem Speiseplan. Damit stärken wir schon im Vorfeld der Implantation durch eine Ernährungsumstellung das Immunsystem der Patienten.
Da das Thema Ernährung sehr emotional behaftet ist und teilweise fast schon einer Religion gleicht, habe ich das Ernährungs- Design-Konzept (Food Design Concept) entwickelt. Es beinhaltet das „Denken in Nährstoffen“, das sowohl mit pflanzlicher Ernährung (vegan) als auch auf tierischer Basis („Carnivor“) funktioniert, wenn auch Letzteres deutlich einfacher und aus medizinischer Sicht idealer ist.
Entscheidend ist die Qualität der Lebensmittel und damit die darin enthaltenen Nährstoffe. Deshalb sollten sowohl Massentier- als auch Pflanzenhaltung nicht unterstützt werden. Eine ideale Ernährung sollte aus meiner Sicht das enthalten, was wir jagen, fischen oder sammeln können.
Die Basis der von mir entwickelten Ernährungspyramide stützt sich auf Proteinquellen, gesunde Fette und Gemüse (Abb. 1). Im Vergleich zu Ernährungspyramide der Deutschen Gesellschaft für Ernährung steht diese quasi auf dem Kopf.
Nischwitz
Dr. Weston Price, aus meiner Sicht einer der ersten biologischen Zahnärzte, erforschte vor über 100 Jahren weltweit unterschiedliche Völker. Seine Forschungen und faszinierenden Ergebnisse dokumentieren [3], dass Menschen, die sich artgerecht mit viel Protein, gesunden Fetten und natürlich vorkommenden fett- und wasserlöslichen Vitaminen ernährten, quasi immun gegen Karies waren.
Deren Nachkommen, die bereits mit industriell verarbeiteten Nahrungsmitteln in Kontakt kamen, litten aufgrund wichtiger Nährstoffmängel an typischen Degenerationszeichen wie schmale und unterentwickelte Kiefer, Karies, Gingivitis, Plaque, Mund- statt Nasenatmung.
Ohne Proteine und Aminosäure geht es nicht
Meiner Erfahrung nach weisen haben mehr als 90% der Bevölkerung einen Protein- und damit Aminosäure-Mangel auf. Proteine sind letztlich nichts anderes als aneinander gereihte Aminosäureketten. Kollagen ist das wohl am häufigsten vorkommende Protein in unserem Körper und besteht pro Kette zum Beispiel aus ca. 1.050 Aminosäuren.
Wenngleich es 20 proteinogene Aminosäuren gibt, sind es tatsächlich nur acht, die aus der Nahrung aufgenommen werden müssen. Man bezeichnet diese als Essenzielle Aminosäuren. Im Einzelnen sind das Isoleucin, Leucin, Lysin, Methionin, Phenylalanin, Threonin, Tryptophan und Valin.
Der Körper ist in der Lage, aus diesen acht Aminosäuren jedes Protein aufzubauen, vorausgesetzt, es ist genug Rohstoff vorhanden. Und das ist der Knackpunkt: Der minimale Proteinbedarf pro Kilogramm Körpergewicht liegt bei ca. 1g. Damit sind die Grundbedürfnisse gedeckt. Allerdings bieten wir mit unserer falschen Nahrung unserem Stoffwechsel nicht genügend Rohstoff an.
Wechselwirkung Knochenqualität und Proteinstatus
Zahlreiche Studien konnten einen Zusammenhang zwischen mangelhafter Knochenbildung, verminderter Knochendichte sowie verzögerter Knochenbruchheilung und einem Protein- und Aminosäuremangel nachweisen; je älter die Patienten, umso signifikanter.
Dayer et. al. stellten bereits 2006 in einer Tierstudie eine verminderte Titanimplantat-Osseointegration bei Ratten mit Proteinmangel (< 1g/kg Körpergewicht) fest. Die benötigte Kraft für eine Implantatexplantation nach 6 bis 8 Wochen post op war bei den Ratten mit Proteinmangel um 43% niedriger als bei den Tieren mit ausreichend Protein in der Ernährung (= 1g/kg Körpergewicht) [4].
Ein isokalorischer Proteinmangel in Kombination mit schwacher Osseointegration wurde im Jahr 2007 von Dayer et al. erneut bestätigt [5]. Hannan et. al konnten anhand der Datenlage von 391 Frauen und 224 Männern über einen 4-jährigen Beobachtungszeitraum aus der Framingham Osteoporosis-Studie einen eindeutigen Zusammenhang zwischen einem Mangel an tierischem Protein in der Ernährung und Knochenverlust zeigen: Je größer der Proteinmangel war, umso größer war auch der Verlust an Knochenmasse an Femur und Wirbelsäule der untersuchten Patienten. Dagegen wurde kein negativer Effekt von Proteinüberschuss auf die Knochenheilung festgestellt [6].
In einer Studie an Patienten mit Hüftfraktur zeigten Schürch et. al. eine signifikante Erhöhung der Knochendichte, basierend auf einem Anstieg des IGF-1 Wachstumsfaktors durch Supplementierung mit 20g Proteinpulver pro Tag. Auch der postoperative Klinikaufenthalt war im Durchschnitt 21 Tage kürzer als in der Kontrollgruppe [7].
Empfohlene Ernährung und Nahrungsergänzung
Konsequenterweise liegt der Hauptfokus im Ernährungsdesign auf der adäquaten Versorgung mit Protein als Makronährstoff. Protein leitet sich aus dem griechischen „proteios“ ab, was so viel wie „als erstes, am wichtigsten“ heißt. So sind Proteine der Baustein allen Lebens: Haut, Haare, Nägel, Muskulatur, Bindegewebe und Knochen, alle Enzyme, quasi jede Zelle bestehen aus Protein.
Fehlt dieser wichtigste Rohstoff auf Grund von Mangelernährung, oder auch besonders in Phasen von Reparaturprozessen wie im Anschluss an eine Operation, dann kann der Körper einfach nicht so gut regenerieren. Häufig gerät der Patient in eine katabole Stoffwechsellage, d.h. es wird körpereigenes Gewebe abgebaut, anstatt in einer anabolen Stoffwechsellage Neues aufbauen zu können [8-13].
Wir verstehen, dass in der akuten Regenerationsphase kein Mangel an Makro- und Mikronährstoffen vorhanden sein sollte, um eine ideale Versorgung des Patienten zu gewährleisten. Deshalb empfehlen wir für eine optimale Gesundheit einen Proteintagesbedarf von 1,5 bis 2g/kg Körpergewicht, der sich am unteren Ende der Empfehlung für Athleten orientiert [14-17].
Nischwitz
Umso größer die Rohstoffauswahl, umso besser sind die Regenerationsmechanismen des Körpers. Der Einsatz von Kollagenpulvern, essenziellen Aminosäuren, Knochenbrühen und Proteinshakes auf Pflanzenbasis (Achtung: kein Sojaprotein) machen es für den Patienten einfacher, auf den gewünschten Protein-Tagesbedarf zu kommen.
In unserer Praxis hat sich die systemische Unterstützung der Patienten durch gezielte Ernährung und Ergänzung der richtigen Nährstoffe als wichtiger Baustein im Bereich der Chirurgie zum Standard etabliert.
Bedeutung und Substitution von Mikronährstoffen
Zahlreiche Studien zeigen, dass Vitamin D3 ein entscheidender Faktor für die Knochen- und Zahnregeneration darstellt [18–22]. Vitamin D3, eigentlich ein Hormon, wird in der Haut durch Sonneneinstrahlung gebildet.
Die aktive Form hilft dabei, Calcium aus Darm und Nieren zurück zu resorbieren. Es aktiviert nachweislich die Osteoblasten und deaktiviert Osteoklasten. Darüber hinaus ist es für die Aktivierung der dentinbildenden Odontoblasten zuständig.
Vitamin D3 spielt eine Schlüsselrolle in der Regulation des menschlichen Immunsystems; man könnte es als eine Art „Bremse“ für die Überreaktivität des modernen Immunsystems bezeichnen. Es trägt damit entscheidend dazu bei, eine extreme Zytokinantwort zu verhindern, weshalb der Vitamin D3 Status auch im Zusammenhang von COVID-19 besonders wichtig ist.
Vitamin D3 aktiviert außerdem zwei für die Mineralisation des Knochens entscheidende Enzyme: Osteocalcin (BGP) und MGP. Ein optimal funktionierendes Immunsystem wirkt dementsprechend als Infektionsprophylaxe für die geplante Implantation.
Damit Calcium nicht die Arterien verkalkt, werden diese Enzyme durch einen weiteren wichtigen Co-Faktor, das Vitamin K2 (MK-7) aktiviert [23]. Das Mineral Magnesium ist ein weiterer entscheidender Cofaktor für die optimale Knochenregenration und damit Osseointegration von Keramikimplantaten. Magnesium ist an über 400 Stoffwechselvorgängen beteiligt und trägt maßgeblich dazu bei, Vitamin D3 in Leber und Nieren zu aktivieren [24].
Zink ist sowohl für das Immunsystem als auch als Cofaktor in der Aktivierung des Vitamin D3 Rezeptors beteiligt [25]. Das Spurenelement Bor verdoppelt die Halbwertszeit von Vitamin D3 und hilft damit ebenfalls beim Aufbau und der Mineralisation von gesundem Knochen [26].
Wir sehen, dass Mikronährstoffe immer im Team, also synergistisch arbeiten. Deshalb dürfen auch die B-Vitamine, allen voran B12 und aktive Folsäure, Vitamin-C (entscheidend für die Kollagensynthese und damit den Aufbau von Knochengerüst und Gewebe) sowie die Verdauungsenzyme (zur verbesserten Nährstoffaufnahme) und antientzündliche Omega-3 Fettsäuren in der postoperativen Phase nicht fehlen.
Nischwitz
Für eine optimale Versorgung streben wir einen präoperativen Wert von mindestens 60 ng/ml an [27]. Am Operationstag überprüfen wir den Vitamin D3 Wert anhand eines Chairside-Tests erneut und können so bei Bedarf Vitamin D noch substituieren.
Fazit
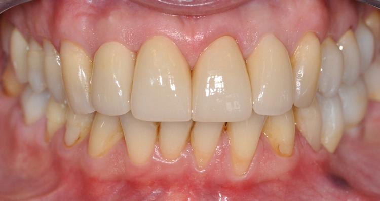
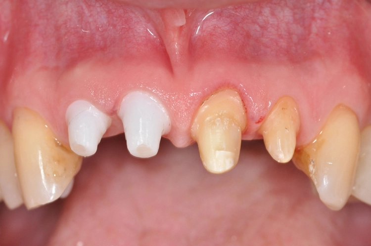
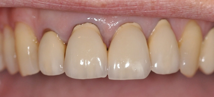
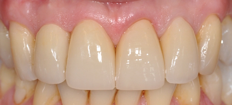
Um eine bessere Einheilung von Keramikimplantaten zu erreichen, nutzen wir über die Anwendung des klassischen, chirurgischen „Handwerks“ der Implantation hinaus Wissen aus der funktionellen Medizin und Ernährung. Auf diese Weise und mit konkreten Empfehlungen für den Nahrungsplan sowie ggf. mit der Substitution fehlender Nährstoffe, unterstützen wir die körpereigenen Heilungskräfte und Immunantwort unserer Patienten, was zu einer besseren Gewebe- und Knochenheilung führt. Letztlich profitieren aufgrund deutlich reduzierter implantologischer Misserfolge und einer Optimierung der Gesundheit Patienten und Behandler (Abb. 4a–d).
Nischwitz
Nischwitz
Nischwitz
Nischwitz
Bildquellen sofern nicht anders deklariert: Unternehmen, Quelle oder Autor/-in des Artikels
Entdecke CME Artikel






Keine Kommentare.