Patientenfall (Abb. 1 bis 8)
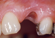
Aufgrund einer fortgeschrittenen parodontalen Erkrankung und eines schweren Knochenverlustes rund um den infizierten Zahn, musste der obere Prämolar des Patienten extrahiert werden. Im posterioren Oberkiefer wurde ein intraalveolärer Knochendefekt der Klasse I diagnostiziert, ohne eine Dehiszenz oder einen Fenestrationsdefekt vorzuweisen.
Dr. Grunder
Dr. Grunder
Dr. Grunder
Dr. Grunder
Dr. Grunder
Dr. Grunder
Dr. Grunder
Dr. Grunder
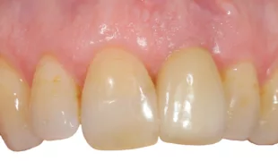
Dieser Patient wurde bereits im Jahr 1991 behandelt. Der Fall zeigt eine der ersten klinischen Anwendungen von Geistlich Bio-Oss Collagen. Aufgrund des intraalveolären Knochendefekts wurde eine Frühimplantation mit gleichzeitiger Augmentation durchgeführt. Die Implantation wurde 6 Wochen nach Extraktion des Prämolars vorgenommen. In der postoperativen Phase erfolgte eine unauffällige Weichgewebeheilung nach Extraktion. Für die Implantatinsertion wurde der Frühimplantationsansatz mit einer Heilungsphase von 6 Wochen gewählt. Die Knochenaugmentation wurde gleichzeitig mit der Implantatinsertion durchgeführt. Das Implantat wurde nach der Lappenpräparation an einer Stelle mit einem schweren Knochendefekt eingesetzt.
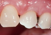
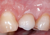
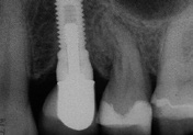
Für den Knochenaufbau wurde Geistlich Bio-Oss Collagen in den Defekt appliziert und nach der Augmentation die Eingriffsstelle mit einem Kollagenvlies abgedeckt. Weitere 6 Monate nach dem Eingriff wurde die endgültige Kronenrestauration eingesetzt. Bei der weiteren Nachuntersuchung nach nunmehr 25 Jahren zeigte die Röntgenaufnahme ein stabiles Implantatlager und das klinische Bild bei der Nachkontrolle einen ästhetischen Zahnstatus.
Bildquellen sofern nicht anders deklariert: Unternehmen, Quelle oder Autor/-in des Artikels
Entdecke CME Artikel




Keine Kommentare.