Systematische Reviews und Metaanalysen von Implantatstudien, bei denen die Implantate mindestens 5 Jahre in Funktion waren, zeigten, dass 18,8% der Patienten an einer Periimplantitis litten [2]. Eine schwedische Studie mit einer Laufzeit über 9 Jahren berichtet sogar von einer Periimplantitisprävalenz von 45% auf Patientenlevel [3] und eine US-amerikanische Studie über 10,9 Jahre von einer Prävalenz von 16% auf Implantatlevel [4].
Für eine effektive Prävention ist es von entscheidender Bedeutung, die Risikofaktoren der Periimplantitis zu kennen. Zu den bisher bekannten Risikofaktoren gehören eine schlechte Mundhygiene [5], eine bestehende oder auch behandelte Parodontitis [6] und Rauchen [7]. Eine neuere Studie [4] rückt in diesen Zusammenhang Diabetes in den Fokus.
Derks et al. [3] berichteten von einer höheren Wahrscheinlichkeit an einer moderaten bis schweren Periimplantitis zu erkranken bei Parodontitispatienten oder bei mehr als vier Implantaten in situ, genauso wie bei Implantaten bestimmter Hersteller und bei einer Implantatprothetik, die durch unerfahrene Zahnärzte erstellt wurde. Des Weiteren steigt die Wahrscheinlichkeit an einer Periimplantitis zu erkranken bei Implantaten, die im Unterkiefer gesetzt wurden. Zementreste konnten als ein weiterer Risikoindikator für Periimplantitis identifiziert werden. Auch scheint eine erhöhte Periimplantitisprävalenz von zementierten im Vergleich zu verschraubten Restaurationen vorzuliegen [8].
Emergenzwinkel und Emergenzprofil
Das Glossar der prothetischen Begriffe [9] beschreibt zwei spezifische Begriffe der Kontur einer prothetischen Restauration: Den Emergenzwinkel und das Emergenzprofil.
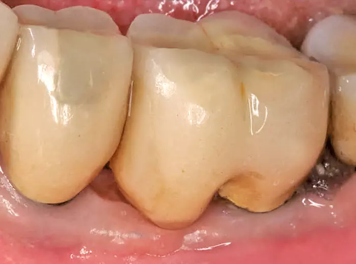
Der Emergenzwinkel ist definiert als der Winkel, der sich aus der Schleimhaut zugewandten Abutmentoberfläche und der Implantatlängsachse ergibt (Abb. 1). Das Emergenzprofil ist definiert als die Kontur des der Mukosa zugewandten Abutmentanteils (Abb. 2).
32 schönezähne
Einfluss von Emergenzwinkel und Emergenzprofil auf die Periimplantitisprävalenz
Katafuchi et al. [10] konnten in einer klinischen, röntgenologischen Studie an 83 Patienten mit 168 Implantaten eindrucksvoll einen Zusammenhang von Emergenzwinkel und Emergenzprofil zur Periimplantitisprävalenz herstellen. Die 168 Implantate teilten sich wie folgt auf: 101 Implantate in 59 Patienten waren Bone-Level und 67 Implantate bei 27 Patienten Tissue-Level Implantate. 22,8% der Bone-Level Implantate waren von Periimplantitis betroffen, hiergegen standen nur 7,5% der Tissue-Level Implantate.
Bone-Level Implantate zeigten ein signifikant höheres Periimplantitisrisiko, wenn der Emergenzwinkel >30° betrug, im Vergleich zu den Bone-Level Implantaten, deren Abutment ein Emergenzwinkel von <30° aufwies (31,3% zu 15,1%). Bei Tissue-Level Implantaten konnte dieser Zusammenhang nicht nachgewiesen werden.
Wenn zusätzlich zu dem Emergenzwinkel auch noch das Emergenzprofil in die Analyse einbezogen wurde, zeigte sich bei einem Emergenzwinkel >30° in Kombination mit einem konvexen Emergenzprofil (Abb. 3) auf mindestens einer interproximalen Seite eine signifikante Erhöhung der Periimplantitisprävalenz von 37,8% (p=0,003).
30° in Kombination mit einem konvexen Emergenzprofil.“ class=“wp-image-26382″/>
30° in Kombination mit einem konvexen Emergenzprofil.“ class=“wp-image-26383″/>
Auch diese signifikante Erhöhung des Periimplantitisrisikos bezieht sich auf Bone-Level Implantate, nicht aber auf Tissue-Level Implantate. Es scheint, dass die reduzierte Hygienefähigkeit und die damit verbundene erhöhte Plaqueakkumulation für die erhöhte Periimplantitisprävalenz von Implantaten, die mit Abutments mit weitem Emergenzwinkel und konvexem Emergenzprofil versorgt sind, verantwortlich sind [11].
Therapeutische Konsequenzen
Was hat die bisher dargestellte Evidenz für einen Einfluss auf unsere tagtägliche Therapie? Die Implantatposition, seine Angulation, die Weichgewebsdicke und der gewählte Diameter haben einen Einfluss auf sowohl Emergenzwinkel als auch Emergenzprofil. Somit werden die genannten Parameter nicht nur durch das Team Prothetiker und Zahntechniker, sondern maßgeblich durch Weichgewebsdicke und Implantatposition bestimmt. Daher sollte die aufgeführte Evidenz nicht nur dem Prothetiker, sondern vor allem auch dem Chirurgen bekannt sein, denn bereits bei der Chirurgie wird der Grundstein für die Abutmentgestaltung gelegt.
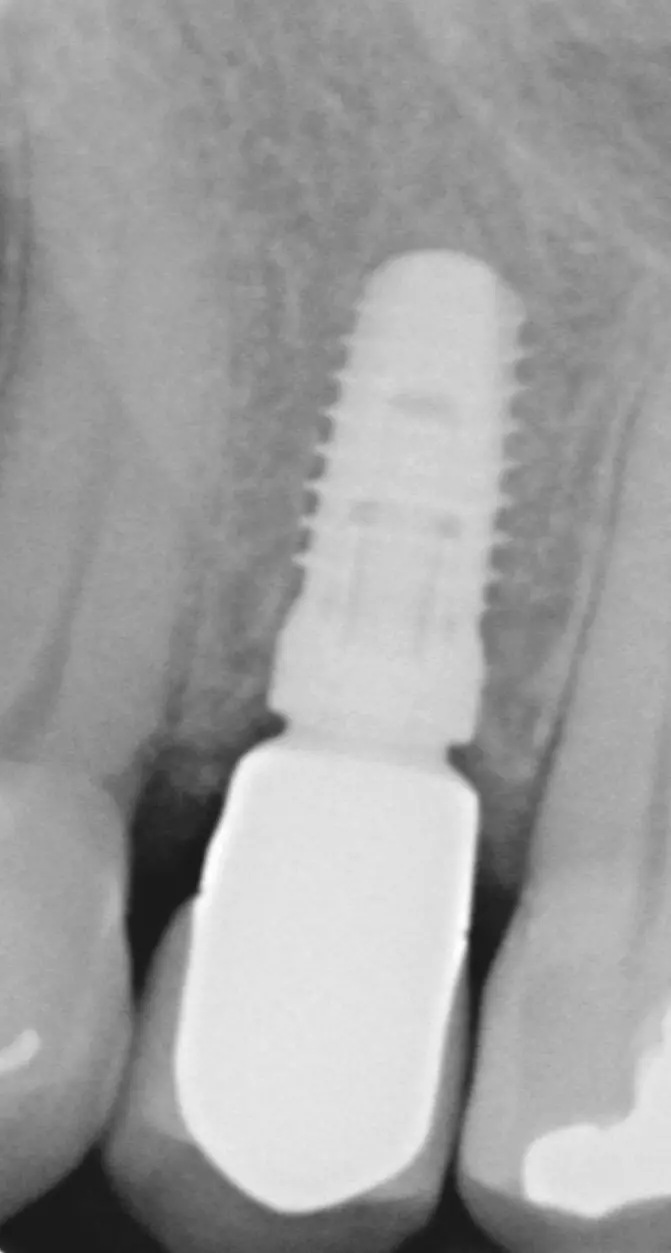
Der in Abbildung 4 gezeigte Emergenzwinkel und Emergenzprofil ist zum einen der Weichgewebshöhe als auch der Implantatposition geschuldet. Bei solchen Situationen, die häufig im Unterkierferseitenzahnbereich auftreten, muss sich der Chirurg vor der Implantation folgende Gedanken machen:
30° erstellt werden.“ class=“wp-image-26384″/>
- Wie hoch müsste das Weichgewebe in dieser Region sein, um ein Abutment mit einem Emergenzwinkel von <30° und einem konkaven Emergenzwinkel zu gestalten?
- Ist die weichgewebige Augmentation bis zu der erforderlichen Höhe chirurgisch zu realisieren?
Ist die vorhandene Weichgewebshöhe nicht hoch genug um einen Emergenzwinkel von <30° und ein konkaves Emergenzprofil zu gewährleisten, muss die Frage nach der weichgewebigen Augmentierbarkeit gestellt werden.
Ist die gewünschte Weichgewebshöhe durch weichgewebige Augmentation nicht vorhersagbar zu realisieren, so muss über die optimale Implantatposition nachgedacht werden.
Sind, bei ausreichender Weichgewebshöhe, aufwendigere chirurgische Maßnahmen zur mittigen Implantatpositionierung erstrebenswert (Abb. 5), kann diese bei niedriger Weichgewebshöhe zu einem ungünstig großen Emergenzwinkel wie in Abbildung 4 führen.
30°).“ class=“wp-image-26386″/>
32 schönezähne
32 schönezähne
32 schönezähne
32 schönezähne
Moderne Therapie der Periimplantitis
25./26.09.2020 – 04./05.12.2020
29./30.01.2021 – 16./17.04.2021
09./10.07.2021 – 17./18.09.2021
Anmeldung und weitere Informationen
Die Anmeldung und weitere Informationen finden Sie hier.
Bildquellen sofern nicht anders deklariert: Unternehmen, Quelle oder Autor/-in des Artikels
Entdecke CME Artikel






Keine Kommentare.