Die Gründe, warum Patienten sich eine Neugestaltung der Frontzähne wünschen, können unterschiedlicher kaum sein. Angefangen aus rein ästhetischen Gesichtspunkten sollen die Frontzähne durch Kronen oder Veneers aufgewertet werden, bzw. sollen bestehende Altkronen, welche möglicherweise noch aus Metallkeramik bestehen und sichtbare Kronenränder aufweisen, erneuert werden. Aber auch starke Überfüllung der Zähne oder Zahnlücken machen eine Versorgung notwendig.
In anderen Fällen liegen starke Abrasionen aufgrund von Bruxismus und / oder Erkrankungen der Kiefergelenke vor, sodass neben dem ästhetischen auch der funktionelle Aspekt besteht, den Biss anzuheben. Viele Patienten äußern in solchen Fällen den Wunsch, eine Aufwertung der Schneide- und / oder Eckzähne vorzunehmen.
Auch aus Perspektive der oben genannten medizinischen Indikationen ist es die Aufgabe des behandelnden Zahnarztes, mögliche Behandlungsoption anzusprechen. Vor allem bei Patienten, bei denen über die Jahre ein schleichender Prozess der Abrasion und Attrition stattgefunden hat, den der Patient beim alltäglichen Blick in den Spiegel nicht mehr wahrnimmt [3].
Diagnostisches Vorgehen
Prinzipiell muss allen zahnärztlichen Behandlungen eine genaue Befundungs- und Planungsphase vorausgehen. Vor allem aber bei Restaurationen, die derartig im Sichtbereich liegen und das Erscheinungsbild des Patienten so maßgeblich beeinflussen, muss diesem Punkt besondere Aufmerksamkeit gewidmet werden.
Insbesondere der psychologische Aspekt ist an dieser Stelle vom behandelnden Zahnarzt zu beachten. Menschen mit gleichförmigen Zähnen zeigen ein erhöhtes Selbstbewusstsein. Viele Patienten, die sich solchen Behandlungen unterzogen haben, berichten auch, dass sie im Nachhinein häufiger und ausgiebiger Lachen, eine Tatsache, die für depressiv belastete Patient nicht zu unterschätzen ist [3].
Grundlegend sollten zur Diagnostik und Befunderhebung zunächst Fotos der bestehenden Situation (Fotostatus in Okklusion links und rechts, Aufbiss Ober- und Unterkiefer) angefertigt werden. Außerdem ist anzuraten, ein Situationsmodell zu erstellen.
Auf diesem kann der Zahntechniker entweder durch Dublieren und Aufwachsen oder bei Verwendung eines Intraoralscanners auch digital, sowohl dem Zahnarzt als auch dem Patienten, einen Eindruck der zu erzielenden Situation vermitteln. Selbstverständlich muss auch eine genaue Röntgendiagnostik durchgeführt werden, d. h. mindestens Einzelzahnaufnahmen in Rechtwinkelparalleltechnik bzw. wenn auch operativ implantologisch versorgt werden soll, eine DVT-Diagnostik. In Zusammenhang mit den analogen oder digitalen Situationsmodellen kann mit vorliegendem DVT auch unkompliziert eine Bohrschablone hergestellt werden, um eine mögliche Implantation während der Behandlung navigiert durchführen zu können.
Vor allem bei Patienten mit CMD-Hintergrund ist die Aufnahme eines genauen Funktionsstatus entscheidend (z. B. nach DGZMK oder Ahlers & Jackstat) [1]. Soll der Biss an abradierten Zähnen angehoben werden, ist zudem eine elektronische Aufzeichnung der Unterkieferbewegungen von Vorteil, um eine Eckzahnführung wieder herstellen zu können. In solchen Fällen empfehlen sich Systeme (wie Zebris o. ä.). Abschließend sollte auf jeden Fall ein Parodontalstatus aufgenommen werden, um mögliche Defizite des Zahnhalteapparates zu erkennen.
Fallplanung
Nach abgeschlossener Diagnostik muss in Zusammenarbeit mit dem Patienten eine Therapieentscheidung getroffen werden. Zunächst stellt sich die Frage, ob allein die zentralen und seitlichen Schneidezähne oder auch die Eckzähne mit einbezogen werden sollen. Die Eckzähne sollten vor allem in Fällen mit funktionellen Aspekten aufgrund der anzustrebenden Eckzahnführung mit einbezogen werden.
Dies kann bei den Seitenzähnen durchaus bei starken Abrasionen notwendig werden. In Fällen mit funktionellem Hintergrund, d. h. wo eine Erhöhung der Bisslage angestrebt wird, empfiehlt es sich, eine langzeitprovisorische Versorgung vorzunehmen. Wie bereits angesprochen, sollte in Zusammenarbeit mit dem zahntechnischen Labor schon im Vorab anhand von analogen oder digitalen Wax-ups dem Patienten ein Eindruck der neuen Situation verschafft werden.
Im weiteren Verlauf muss mit dem Patienten über die Art der neuen Versorgung beraten werden, d. h. wird eine Versorgung mit Veneers oder mit Kronen angestrebt. Nicht unerwähnt soll an dieser Stelle bleiben, dass in bestimmten Fällen auch durch eine Aligner-Therapie ohne restaurative Maßnahmen zum Ergebnis zu kommen ist. Auf Versorgungen aus Metallkeramik sollte nach derzeitigem Stand der Labortechnik möglichst verzichtet werden, um auch nach Jahren durchschimmernde Metallränder zu vermeiden.
Optimal werden vom Autor individuell verblendete Zirkonkronen angesehen, wobei bei bestimmten Patienten mit starkem Bruxismus auch bemalte monolithische Zirkonkronen durchaus zweckmäßig sind, da Chippings vermieden werden.
In dieser Phase muss in Fällen von Zahnverlust oder Nicht-Erhaltungswürdigkeit der betreffenden Zähne auch eine Entscheidung bzgl. der Lückenversorgung erfolgen. Da mehrere Zähne z. T. überkront werden sollen, bieten sich in diesem Zusammenhang natürlich auch Brückenversorgungen an. Nichtsdestotrotz stellt eine Lückenversorgung mittels Implantat die hochwertigere Variante dar, da so eine 1-zu-1-Versorgung der Zähne erfolgen kann und der Verlauf der Rot-Weiß-Ästhetik besser rekonstruiert werden kann, wobei auch schon in der Planungsphase über mögliche Bindegewebstransplantate oder Einsatz von azellulärer dermaler Matrix (Novomatrix) für optimale gingivale Ergebnisse aufgeklärt werden sollte [4,5,9].
Operatives Vorgehen
Je nach Fallplanung beginnt die Durchführung mit der operativen Phase, d.h. mögliche notwendige Parodontalbehandlungen oder Zahnreinigungen werden im Vorfeld durchgeführt. Nicht erhaltungswürdige Zähne werden gezogen. Soll die Lücke mit einem Implantat versorgt werden, empfiehlt sich in solchen Fällen, bei parodontaler und apikaler Entzündungsfreiheit, eine Sofortimplantation durchzuführen.
Anderenfalls muss eine klassisch verzögerte oder Spätimplantation erfolgen [6]. Vorteil der Sofortimplantation in solchen Fällen ist, dass die mukogingivale Grenzlinie bei einem flapless-Vorgehen nicht verschoben wird [2,5]. Für eine optimale Ausformung der Weichgewebe bieten sich dann ein unbelastetes Sofortprovisorium an.
Wird eine geschlossene Einheilung gewählt, so sollte die Implantatfreilegung bei dünnem Gingivatyp mittels Rolllappentechnik oder mit Bindegewebetransplantat bzw. azellulärer dermaler Matrix erfolgen [4]. Individuelle Gingivaformer verbessern zusätzlich die weichgewebige Ausformung der Gingiva. Auch die Implantatauswahl spielt in diesem Zusammenhang eine entscheidende Rolle, da im frontalen Sichtbereich bei hoher Lachlinie (Gingiva-Smile) auch Keramikimplantate in Betracht gezogen werden sollten.
In der Einheilungsphase der Implantate bietet sich z. B. eine langzeitprovisorische Versorgung der gesamten Front an, um eine neue Bisslage oder die Ästhetik auszutesten. Steht dann die definitive Versorgung an, so ist auf eine subgingivale Präparation der Zahnstümpfe mit Hohlkehle zu achten, um die vollkeramische Restauration zu ermöglichen. An Implantaten sollte auf Zirkonabutments zurückgegriffen werden. Solche vollkeramischen Restaurationen sollten optimalerweise adhäsiv eingliedert werden, nur bei Implantatkronen ist eine semipermanente Befestigung mit provisorischem Zement zu empfehlen, wenn eine palatinale Verschraubung nicht möglich ist.
Um die Patientenzufriedenheit zu gewährleisten, bieten sich eine Ästhetik-Einprobe bzw. Rohbrandeinprobe an. Da es sich um die hoch-ästhetische Zone handelt, sollte man nicht zögern, die Restaurationen in Zusammenarbeit mit der Zahntechnik bei Unzufriedenheit des Patienten abzuändern, bis sich der Patient vollends damit wohlfühlt.
Fallbeispiele
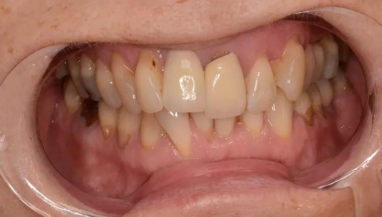
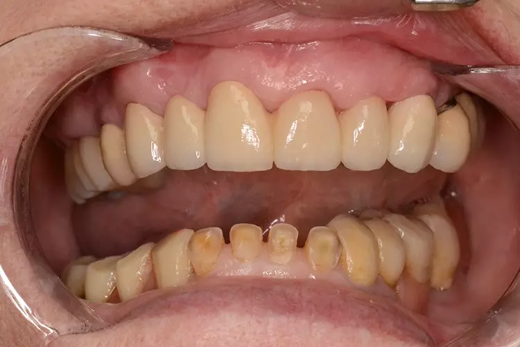
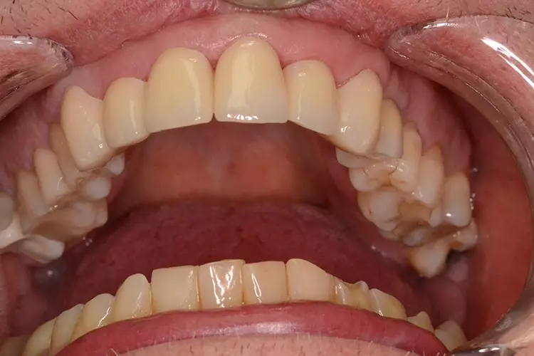
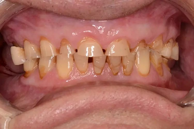
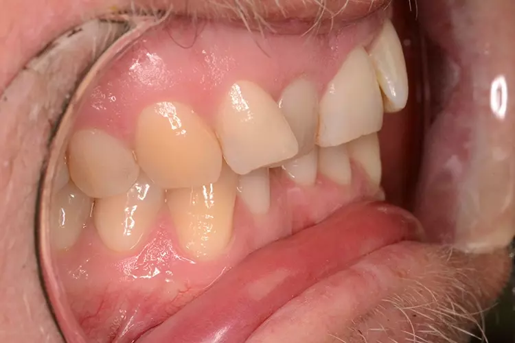
Front-Make-Over bei Abrasion, Überfüllung und Lücken 24
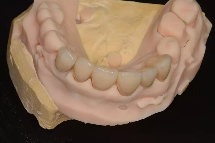
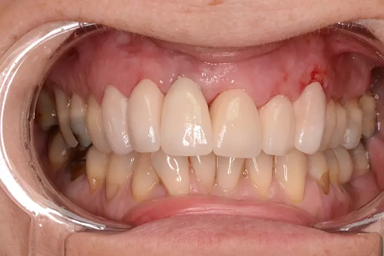
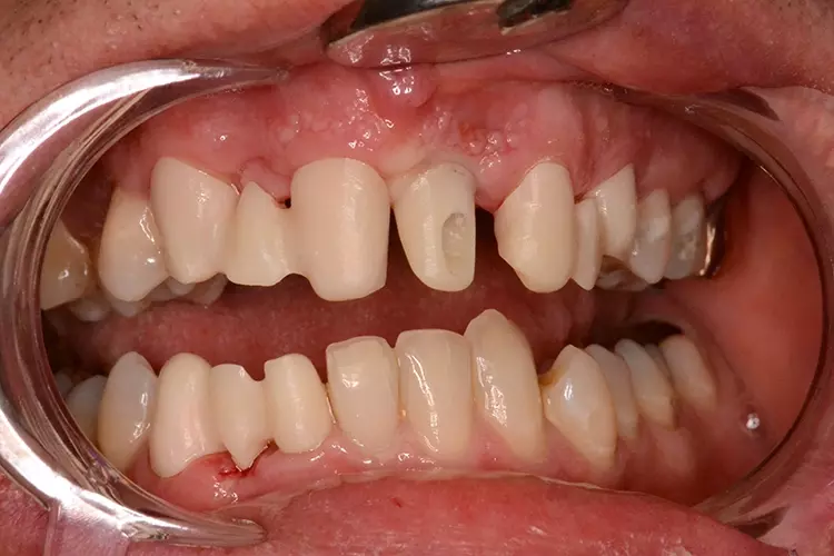
Der 54-Jährige Patient stellte sich mit starken Abrasionen der Oberkiefer-Front aufgrund von Bruxismus vor. Der Patient wurde aufgeklärt, dass eine Wiederherstellung der Ästhetik nur durch eine Überkronung der Zähne 13-23 gewährleistet werden kann.
Dr. Plöger, Dr. Opitz
Dr. Plöger, Dr. Opitz
Dr. Plöger, Dr. Opitz
Dr. Plöger, Dr. Opitz
Dr. Plöger, Dr. Opitz
Dr. Plöger, Dr. Opitz
Dr. Plöger, Dr. Opitz
Dr. Plöger, Dr. Opitz
Dr. Plöger, Dr. Opitz
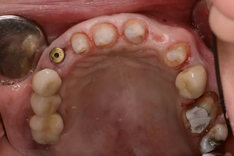
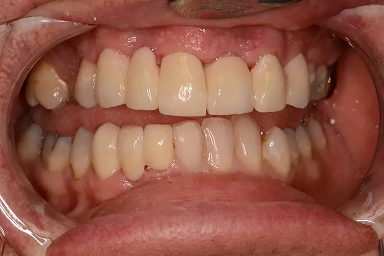
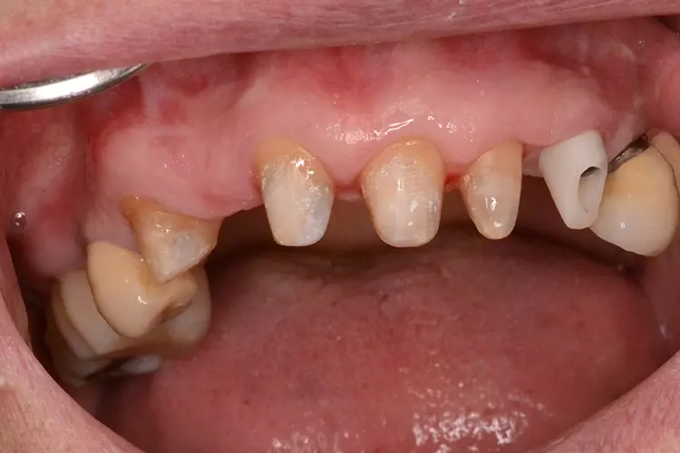
Lückenversorgung regio 23 und Erneuerung der Altkronen regio 13-22
Nach Zahnverlust in regio 23 aufgrund eines Abszesses nutzte die 72-jährige Patientin eine Interimsprothese als Ersatz des Zahnes 23. Der Patientenwunsch war jedoch nicht allein, den fehlenden Zahn zu ersetzen, sondern die bestehende Prothetik zu erneuern.
Dr. Plöger, Dr. Opitz
Dr. Plöger, Dr. Opitz
Dr. Plöger, Dr. Opitz
Dr. Plöger, Dr. Opitz
Dr. Plöger, Dr. Opitz
Dr. Plöger, Dr. Opitz
Dr. Plöger, Dr. Opitz
Dr. Plöger, Dr. Opitz
Dr. Plöger, Dr. Opitz
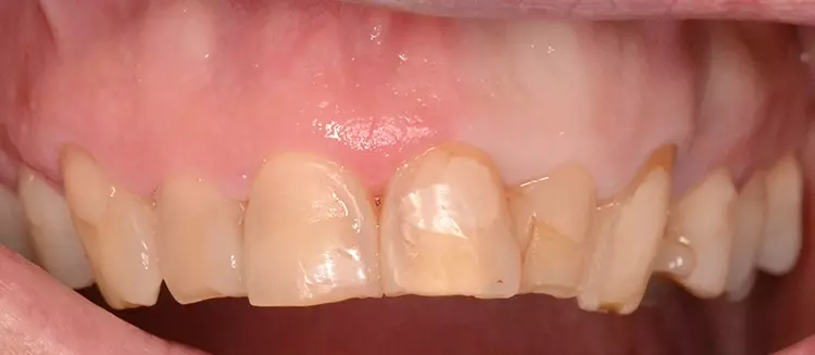
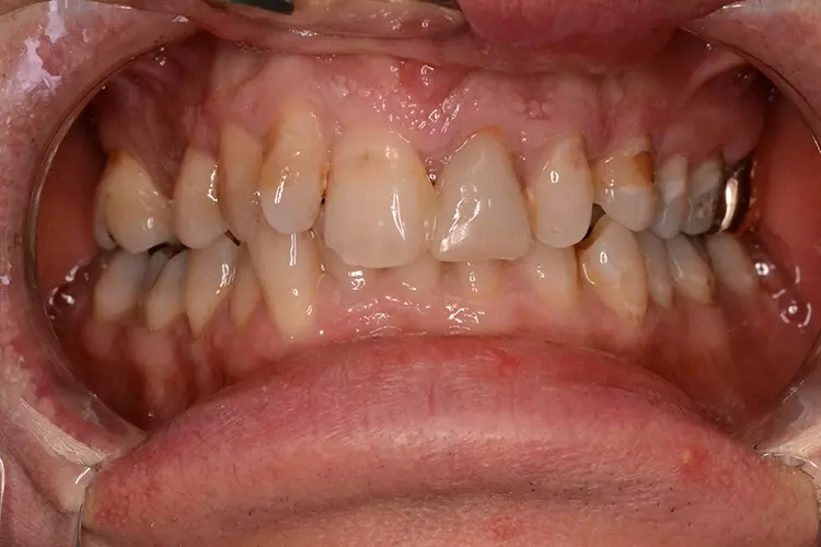
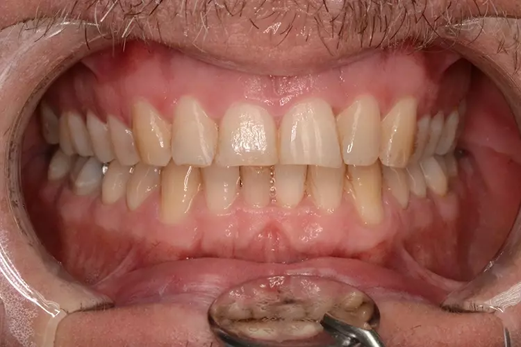
Neuversorgung Oberkieferfront auf Altimplantat 21
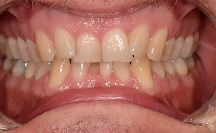
Die 49-jährige Patientin beklagte die ungleiche Höhe der Schneidekanten an den Kronen 11 und 21. In diesem Zusammenhang wurde das Gesamterscheinungsbild analysiert und entschieden, die Zähne 13-23 zu überkronen und dabei die Altkronen an 11 und an dem Implantat 21 zu erneuern. Die verschachtelt stehenden Zähne im Unterkiefer sollen im Nachgang per Aligner-Therapie ausgerichtet werden.
Dabei wurde die beabsichtigte Situation im Vorab per Wax-up simuliert. Beim Entfernen der Altkrone 21 wurde ersichtlich, dass ein Titanabutment eingesetzt wurde, an dem sich Konkremente und Zementreste befanden, die zu einer marginalen Mukositis am Implantat führten.
Dr. Plöger, Dr. Opitz
Dr. Plöger, Dr. Opitz
Dr. Plöger, Dr. Opitz
Dr. Plöger, Dr. Opitz
Dr. Plöger, Dr. Opitz
Dr. Plöger, Dr. Opitz
Dr. Plöger, Dr. Opitz
Neugestaltung der Front bei starken Zahnfehlstellungen
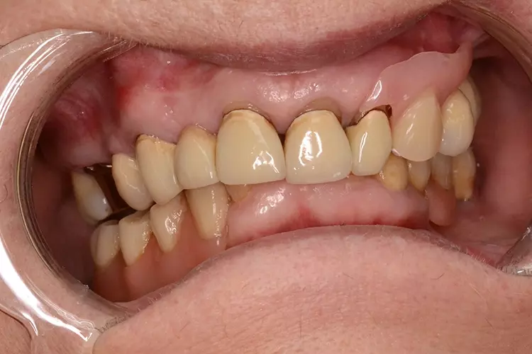
Bei dem heute 49-jährigen Patienten wurde seit Kindertagen versäumt, die Ober- und Unterkieferzahnbögen kieferorthopädisch auszurichten. Der Patient leidet seitdem stark unter seinen Zahnfehlstellungen.
Die Fraktur des stark elongierten Zahnes 21 war für den Patienten der Ausgangspunkt, sowohl die Front des Ober- als auch des Unterkiefers prothetisch überarbeiten zu lassen. Dabei wurde der frakturierte Zahn 21 durch ein navigiert eingesetztes Sofortimplantat ersetzt, während die verschachtelt stehenden Zähne 12 und 42 durch eine Brückenversorgung korrigiert wurden (Abb. 4a-j).
Dr. Plöger, Dr. Opitz
Dr. Plöger, Dr. Opitz
Dr. Plöger, Dr. Opitz
Dr. Plöger, Dr. Opitz
Dr. Plöger, Dr. Opitz
Dr. Plöger, Dr. Opitz
Dr. Plöger, Dr. Opitz
Dr. Plöger, Dr. Opitz
Dr. Plöger, Dr. Opitz
Dr. Plöger, Dr. Opitz
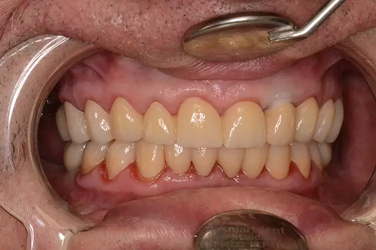
Bisshebung in Ober- und Unterkiefer bei starken Abrasionen und verkürzter Zahnreihe
Der 63-jährige Patient stellte sich mit massiven Abrasionen vor, die z. T. so weit in Nervnähe vorangeschritten waren, dass aufgrund pulpitischer Schmerzen endodontisch behandelt werden musste. Außerdem war die Zahnreihe in allen Quadranten bis zum 5. Zahn verkürzt. Zahn 22 konnte aufgrund einer Wurzelresektion und der abradierten Kronenhöhe nicht erhalten werden und wurde durch ein Sofortimplantat ersetzt.
Nach Implantation in regio 22 sowie in regio 16, 26, 36 und 46 erfolgte in der Einheilphase der Implantate die Bisserhöhung zunächst mit einem Langzeitprovisorium zum Austesten. Auch hier wurde die Unterkieferbewegung mittels Zebris registriert. Wegen Bruxismus empfahl es sich, im Seitzahnbereich auf monolithische Kronen zurückzugreifen.
In der Front wurde aus ästhetischen Gründen eine vestibuläre Verblendung angebracht und an 22 ein Zirkonabutment verwendet (Abb. 5a-h). Ästhetische Frontkorrektur mittels Aligner-Therapie Auch dieser 48-jährige Patient wünschte sich eine ästhetische Korrektur seiner Ober- und Unterkieferfrontzähne.
Dr. Plöger, Dr. Opitz
Dr. Plöger, Dr. Opitz
Dr. Plöger, Dr. Opitz
Dr. Plöger, Dr. Opitz
Dr. Plöger, Dr. Opitz
Dr. Plöger, Dr. Opitz
Dr. Plöger, Dr. Opitz
Dr. Plöger, Dr. Opitz
Aufgrund der massiven Zahnfehlstellung (Schachtelstellung UK-Front und Retrusion der zentralen OK-Incisivi) ist eine rein prothetische Lösung der Situation in diesem Fall nicht möglich. Da der Patient keinen seiner z. T. noch gesunden Zähne opfern möchte, entschied er sich für eine rein kieferorthopädische Ausrichtung der Frontzähne mittels Alignern (Abb. 6a-h) [7,8].
Dr. Plöger, Dr. Opitz
Dr. Plöger, Dr. Opitz
Dr. Plöger, Dr. Opitz
Dr. Plöger, Dr. Opitz
Dr. Plöger, Dr. Opitz
Dr. Plöger, Dr. Opitz
Dr. Plöger, Dr. Opitz
Dr. Plöger, Dr. Opitz
Zusammenfassung
Eine umfangreiche ästhetische Neugestaltung im Frontzahnbereich erfordert neben einer genauen Diagnostik und Therapieplanung auch eine sehr gute Patientenkommunikation sowie regelmäßige Absprache mit dem Zahntechniker, um den Patientenwunsch zu definieren, die Versorgung aus medizinischer Perspektive sowohl indikationsgerecht als auch ästhetisch hochwertig zu gestalten und auch falsche Vorstellungen vom Ergebnis von vornherein auszuschließen. Nur so werden am Ende alle mit dem Ergebnis zufrieden sein.
Näheres zu den Autoren des Fachbeitrages: Dr. Mathias Plöger, Dr. Volker OpitzBildquellen sofern nicht anders deklariert: Unternehmen, Quelle oder Autor/-in des Artikels
Entdecke CME Artikel



Keine Kommentare.