Resorptionen der Zahnwurzel bleibender Zähne stellen Zahnärzte oftmals vor große Herausforderungen. Das klinische Erscheinungsbild von Wurzelresorptionen ist vielfältig und es werden unterschiedliche Ursachen wie dentale Traumata, kieferorthopädische Belastungen oder bakterielle Infektionen diskutiert. Neben dem Wissen über die Ätiologie sind ein pathophysiologisches Grundverständnis sowie eine systematische Einteilung der Resorptionsarten notwendig, um die Prognose der betroffenen Zähne richtig zu bewerten und die optimale Therapie durchzuführen. Im Folgenden werden die biologischen Grundlagen resorptiver Prozesse und mögliche Ursachen aufgezeigt. Aufbauend auf den unterschiedlichen Resorptionsarten werden anschließend die therapeutischen Möglichkeiten dargestellt.
Pathophysiologie
Die Resorption von Hartgewebe wird im menschlichen Körper vielerorts beobachtet. So stehen Auf- und Abbauprozesse des Knochens in einem physiologischen Gleichgewicht und etwa 10% der Knochenmasse werden im Laufe eines Jahres umgebaut [1,2]. Dahingegen wird der menschliche Zahn, der fest im Knochen verankert ist, trotz seiner knochenähnlichen Zusammensetzung nicht in diese Umbauvorgänge einbezogen. Auch wenn es im Rahmen des physiologischen Zahnwechsels zur Resorption der Milchzahnwurzeln kommt, stellen resorptive Prozesse an bleibenden Zähnen einen pathologischen Zustand dar [3]. Selbst bei Entzündungsprozessen, die mit Osteolysen einhergehen, wie zum Beispiel eine apikale Parodontitis, bleiben die Zahnwurzeln in der Regel intakt.
Verantwortlich für die Resorption von Knochen sind Osteoklasten, mehrkernige Zellen, die einen Zelldurchmesser von bis zu 100 ?m erreichen können [4]. Die Entwicklung der Osteoklasten wird von den knochenbildenden Osteoblasten initiiert, welche bei Stimulation die Signalmoleküle RANKL (Receptor Activator of NF-?B Ligand) und M-CSF (Macrophage Colony-stimulating Factor) produzieren (Abb. 1) [5,6]. Diese binden an die entsprechenden Rezeptoren von Osteoklastenvorläuferzellen aus dem Monozyten- Makrophagen-System und bewirken damit deren Proliferation und Differenzierung zu sogenannten „Prefusion“-Osteoklasten [7,8]. Durch weitere RANK-Aktivierung (Receptor Activator of NF-?B) kommt es zur Zellfusion und es entstehen mehrkernige Osteoklasten, die wiederum durch RANKL-RANK-Interaktion in einen aktiven Zustand übergehen. Osteoprotegerin kann als biologischer Gegenspieler des RANK-Liganden (RANKL) betrachtet werden, da es diesen durch Bindung außer Kraft setzt und so die Osteoklastenbildung hemmt (Abb. 1) [9].
Dr. Widbiller
Dr. Widbiller
Aktivierte Osteoklasten (Abb. 2) bilden an der Knochenoberfläche eine stabile Haftungszone aus, wodurch ein abgeschlossener Raum an der Zellbasis entsteht [10]. Im Bereich des basalen Faltensaums sezernieren Osteoklasten Enzyme (Kollagenasen und Proteasen) und Ionen (H+ und Cl-), die eine Absenkung des pHWertes verursachen [11,12]. Durch die enzymatische Degradation und den sauren pH-Wert wird mineralisiertes Gewebe aufgelöst und es entsteht eine Resorptionslakune (Howship-Lakune) an der Knochenoberfläche (Abb. 2). Die klastischen Zellen agieren ausgesprochen energieeffizient und sind in der Lage, täglich eine Knochenmenge abzubauen, welche der Aufbauleistung von etwa 100 Osteoblasten entspricht [13].
Analog zur Knochenresorption können auch Zahnhartgewebe unter gewissen Voraussetzungen resorbiert werden, wobei man die verantwortlichen Zellen als Odontoklasten bezeichnet [14]. Diese entsprechen in ihrer Entstehung und Funktion weitgehend den Osteoklasten, stellen sich etwas kleiner dar und bilden stabile Resorptionslakunen an Dentin aus (Abb. 3) [15]. Während Odontoklasten an der physiologischen Milchzahnresorption beteiligt sind [16], werden die Zähne des bleibenden Gebisses dank verschiedener Schutzmechanismen im gesunden Zustand nicht angegriffen [3]. Odontoklasten können sich aufgrund fehlender Haftungsproteine (RGD-Sequenz aus den 3 L-Aminosäuren Arginin, Glycin und Asparaginsäure) nicht auf Prädentin und Präzement, den wenig mineralisierten Vorstufen von Dentin und Wurzelzement, festsetzen [1,17]. Auch das parodontale Ligament mit seinem Faserapparat bildet eine Barriere von 0,1 bis 0,3 mm und verhindert das Eindringen von klastischen Zellen in die Zahnwurzel. Zudem produzieren sowohl Zementoblasten als auch Pulpazellen kontinuierlich Osteoprotegerin und hemmen so die Odontoklastenbildung bzw. -aktivität (Abb. 4).
Dr. Widbiller
Dr. Widbiller
Ätiologie
Voraussetzungen zur Entstehung externer Resorptionen an den Wurzeln bleibender Zähne sind somit die Zerstörung der protektiven Barriere aus Zement und Zementoblasten sowie ein vorhandener Stimulus [18]. Ist eine kleine Fläche der Wurzeloberfläche beschädigt, kommt es oft selbstständig zum Stillstand von Resorptionsprozessen und zur Regeneration des Defektes durch parodontale Zellen. Überschreitet die Beschädigung jedoch ein Maß von etwa 20% der Wurzeloberfläche, treten ausgeprägte Nekrosen auf und Osteoklasten bahnen sich ihren Weg in die Zahnwurzel [19]. Die Ursachen für solche schwerwiegenden Beschädigungen können vielfältig sein. Zahntraumata und insbesondere Dislokationsverletzungen [18], aber auch zahnärztliche Tätigkeiten wie Hebelextraktionen, eine aggressive intrakoronale Zahnaufhellung, die parodontale Reinigung der Zahnwurzeln oder hohe kieferorthopädische Kräfte können den Wurzelzement schädigen und oberflächliche Nekrosen initiieren [19]. Zudem werden bei impaktierten Zähnen, Zysten und Tumoren Resorptionen benachbarter Zähne beobachtet [19]. Eine zusätzliche bakterielle Infektion der Wurzelkanäle oder des Parodontalraumes regt entzündliche Vorgänge an und begünstigt so resorptive Prozesse [20]. Darüber hinaus werden auch systemische Erkrankungen, die mit Störungen des Knochenstoffwechsels assoziiert sind, als Ursache von pathologischen Wurzelresorptionen diskutiert (z.B. Hypo- bzw. Hyperparathyreoidismus, Kalzinose, Morbus Gaucher, Morbus Paget). Hierbei treten die Defekte meist an mehreren Zähnen und bilateral auf [20,21].
Klassifikation
Zur systematischen Einteilung der verschiedenen Resorptionsarten können Aspekte wie der Ursprung des Prozesses (extern, intern), die Lokalisation (zervikal, apikal etc.) sowie der Infektionsstatus (entzündlich, nicht entzündlich) herangezogen werden [18,22]. Im Rahmen externer Resorptionen unterscheidet man
- transiente Resorptionen,
- entzündliche Resorptionen,
- invasive zervikale Resorptionen und
- Ersatzresorptionen. Dahingegen werden interne Prozesse nur in
- entzündliche Resorptionen oder
- Ersatzresorptionen differenziert.
Transiente Resorption
Dr. Widbiller
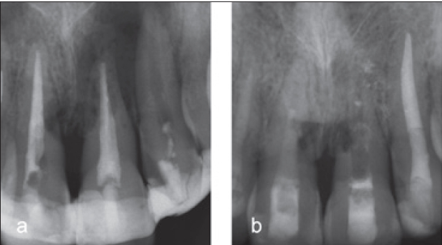
Externe entzündliche Resorption
Dr. Widbiller
Invasive zervikale Resorption (ICR)
Sie verläuft häufig symptomfrei und wird oft im Rahmen von Routineuntersuchungen entdeckt. Es sind in der Regel tastbare zervikale Defekte vorzufinden, die mit Granulationsgewebe gefüllt sind, welches bei Berührung stark blutet (Abb. 7a bis c). Eine zunehmende Ausbreitung des hyperplastischen Resorptionsgewebes verursacht großräumige Defekte, die sich als rötliche Verfärbungen der Zahnkrone, sogenannte Pink-Spot-Läsionen, zeigen können (Abb. 7d). Radiologisch stellt sich die invasive zervikale Resorption meist als wolkige Aufhellung im Bereich des Zahnhalses dar (Abb. 7e und f). Ein typisches Merkmal ist auch das unversehrte perikanaläre Dentin, was als „Pericanalar Resorption Resistant Sheet“ (PRRS) bezeichnet wird [25,26]. Wie bereits erwähnt, ist Prädentin äußerst widerstandsfähig gegen resorptive Prozesse und stellt sich bis zuletzt als intakte Dentinbarriere dar (Abb. 8). Die invasive zervikale Resorption verläuft in mehreren Stadien [27]. Über einen Zementdefekt (Abb. 8) dringt das entzündliche Gewebe zunächst in die Zahnwurzel ein (Initiation). Bei weiteren bakteriellen Reizen, persistierenden Krafteinwirkungen oder Gewebehypoxie breitet sich die Resorption im Zahn in alle Richtungen aus (Progression). Im Laufe der invasiven Auflösung durch das entzündliche Gewebe kommt es zu einem knochenähnlichen Remodeling von Zahnhartgewebe (Reparatur).
Dr. Widbiller
Dr. Widbiller
Während invasive zervikale Resorptionen in der Progressionsphase radioluzente Läsionen zeigen, stellen sich die Defekte in der anschließenden reparativen Phase radioopak dar.
Dr. Widbiller
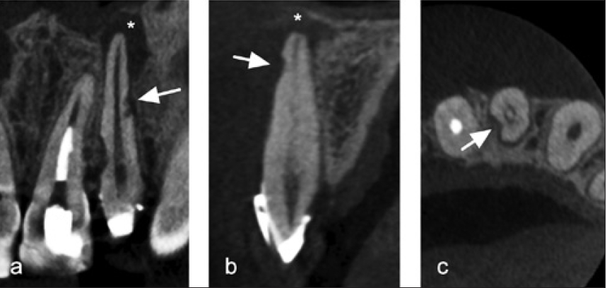
Da invasive zervikale Resorptionen von der Eintrittspforte ausgehend komplexe Ausbreitungsrichtungen wählen, ist es im Rahmen der Diagnostik essenziell, das Ausmaß und die Lokalisation exakt zu bestimmen, um die therapeutischen Möglichkeiten optimal einschätzen zu können. Hierzu diente klassischerweise die Einteilung nach Heithersay (Abb.10a) [29].
Dr. Widbiller
Dr. Widbiller
Klasse 1 beschreibt dabei eine kleine zervikale Läsion im oberflächlichen Dentin, wohingegen eine Resorption der Klasse 2 in pulpanahes Dentin vordringt. Die Klasse 3 liegt bei Ausbreitung bis in das zervikale Drittel der Zahnwurzel vor und von Klasse 4 spricht man, wenn sich der Defekt bis mindestens in das mittlere Wurzeldrittel erstreckt [29]. Da die dreidimensionale Ausbreitung des Resorptionsgewebes dabei unberücksichtigt bleibt, definierten Patel et al. ein dreidimensionales Bewertungssystem auf Basis der digitalen Volumentomografie (DVT) [30]. Demzufolge wird, wie in Tabelle 1 dargestellt, neben der Höhe (1 bis 4) und der Kanalnähe (d und p) auch die periphere Ausdehnung des Defektes (A bis D) in die Beurteilung einbezogen (Abb. 10b und c).
Ersatzresorption (Ankylose)
Dr. Widbiller
Interne entzündliche und Ersatzresorption
Dr. Widbiller
Therapie
Im Fokus der Behandlung pathologischer Wurzelresorptionen steht die Erhaltung des Zahnes. Ziel ist es, einen symptomfreien Zustand zu erreichen sowie die Funktionalität und Ästhetik sicherzustellen.
Dr. Widbiller
Planung
Die prognostische Beurteilung einer pathologischen Wurzelresorption und die Behandlungsplanung setzen eine korrekte Diagnose sowie das Verständnis der Pathogenese voraus. Kenntnis über die Lokalisation und das Ausmaß des Defektes ist essenziell, um die Zugangsmöglichkeit und die Restaurationsfähigkeit zu beurteilen [21,32]. Deshalb ist eine dreidimensionale Röntgendiagnostik mittels digitaler Volumentomografie im Zuge der Therapieplanung empfohlen [33].
Externe Behandlung
Liegt der Defekt weitgehend supraosseär und ist ein ungehinderter Zugang möglich, kann der meist weichgewebige Inhalt von außen entfernt werden (Abb. 14). Falls das Resorptionsgewebe nicht vollständig erreichbar ist, können 90%ige Trichloressigsäure (TCA) oder 3- bis 5%iges Natriumhypochlorit (NaOCl) angewendet werden, um eine Blutstillung zu erreichen und das Restgewebe aufzulösen [21,32] (Abb. 15).
Dr. Widbiller
Dr. Widbiller
Die Restauration der zervikalen Kavität erfolgt in Bereichen, die der Mundhöhle zugängig sind, mit Kompositen in Adhäsivtechnik (Abb. 14 und 15). Liegt der Defekt in unmittelbarer Nähe zur vitalen Zahnpulpa oder wurde das Pulpakavum eröffnet, sollten vitalerhaltende Maßnahmen im Sinne einer indirekten bzw. direkten Überkappung vorgenommen werden. Bereiche, die direkt an Knochen grenzen, müssen mit hydraulischen Kalziumsilikatzementen versorgt werden. Hierzu eignen sich Mineraltrioxidaggregat (z.B. ProRoot MTA, Dentsply DeTrey GmbH, Konstanz) oder modifizierte bioaktive Zemente (z.B. Biodentine, Septodont GmbH, Niederkassel). Diese härten in Anwesenheit von Feuchtigkeit aus und bieten biologisch günstige Eigenschaften, sodass knöcherne Defekte ausheilen können.
Interne Behandlung
Ist die externe Resorption nicht zugängig (z.B. im Approximalraum) und kann selbst mit chirurgischen Mitteln nicht erreicht werden, sollte man versuchen, sie über den orthograden endodontischen Weg zu verschließen [32]. Analog dazu müssen die Defekte interner Resorptionen nach Entfernung des Resorptionsgewebes gefüllt und Kommunikationen zur Wurzeloberfläche mit hydraulischen Kalziumsilikatzementen verschlossen werden (Abb. 16).
Dr. Widbiller
Dr. Widbiller
Regelmäßige Kontrolle
Falls das Ausmaß der Zerstörung sehr groß und keine Behandlung möglich ist, kann eine temporäre Erhaltung des Zahnes unter engmaschiger Kontrolle in Erwägung gezogen werden [32]. Dazu muss ein entzündungs- und symptomfreier Zustand vorliegen (Abb. 17). Im Zuge regelmäßiger klinischer und radiologischer Kontrollen sollte die Situation gemeinsam mit dem Patienten reevaluiert werden. Ästhetische und funktionelle Beeinträchtigungen wie Zahnverfärbungen, Infrapositionierung oder akute Entzündungen können letzten Endes den Anlass zur Entfernung des geschädigten Zahnes geben.
Extraktion und weitere Therapieoptionen
Dr. Widbiller
Fazit
Aufgrund der verschiedenen Ursachen pathologischer Wurzelresorptionen gilt es, sowohl im Alltag als auch im Rahmen der zahnärztlichen Behandlung Vorsicht walten zu lassen, um Verletzungen zu vermeiden und somit das Resorptionsrisiko gering zu halten. Eine aufmerksame Kontrolle bei der zahnärztlichen Untersuchung ermöglicht die frühe Erkennung resorptiver Defekte und durch optimales Management kann das Ausmaß der Zerstörung gering gehalten werden. Für die Erhaltung des Zahnes ist eine individuelle Planung im Hinblick auf die Patientensituation, die Resorptionsart und die Resorptionsursache von großer Bedeutung.
Bildquellen sofern nicht anders deklariert: Unternehmen, Quelle oder Autor/-in des Artikels
Entdecke CME Artikel



Keine Kommentare.