Das orale Plattenepithelkarzinom (PECA) zählt laut Global Cancer Observatory (GCO) aktuell mit einer Inzidenz von über 377.000 Fällen pro Jahr zu den 16 häufigsten malignen Tumorerkrankungen weltweit [1–3]. Gegenwärtig entwickeln in Deutschland schätzungsweise 13.000 Patienten jährlich ein Mundhöhlen- oder Oropharynxkarzinom [4], von welchen mit 90 bis 95% das Plattenepithelkarzinom die häufigste Tumorentität repräsentiert [5]. Der Großteil der malignen Tumorerkrankungen der Mundhöhle tritt in der 6. und 7. Lebensdekade auf, mit einer deutlichen Dominanz der Inzidenz auf Seiten der männlichen Patienten (6,9/100.000 bei Männern und 3,2/100.000 bei Frauen) [1].
Häufige Prädilektionsstellen sind der Zungenrand, der Mundboden und die Alveolarfortsätze [6]. Hauptrisikofaktoren für die Entstehung sind das Rauchen und der regelmäßige Alkoholkonsum, wobei im Besonderen ein Mischkonsum beider Noxen das Risiko der Karzinomentstehung signifikant potenziert [7].
Weitere Risikofaktoren stellen chronische Entzündungen, traumatische Irritationen, schlechte Mundhygiene, einseitige, fleischlastige Ernährung, Vitaminmangel, Kauen von Betelnüssen und genetische Dispositionen dar [8]. Im Gegensatz zum Oropharynxkarzinom spielt eine Infektion mit Humanen Papillomviren (HPV) bei der Genese und Therapie des Mundhöhlenkarzinoms eine untergeordnete Rolle [9].
Die Therapie des Mundhöhlenkarzinoms richtet sich maßgeblich nach der Größe des Primarius, dem Auftreten von Metastasen und dem Allgemeinzustand des betroffenen Patienten. Kurativ intendierte Therapiekonzepte favorisieren die vollständige chirurgische Entfernung des Tumors unter größtmöglichem Erhalt anatomisch relevanter Strukturen sowie stadienabhängiger, adjuvanter oder primärer Radio- und/oder Chemotherapie [10]. Ungeachtet des beständigen medizinischen Fortschritts in den Bereichen chirurgischer, systemischer und strahlentherapeutischer Therapieverfahren und dem Etablieren interdisziplinärer Therapiekonzepte verbleiben krankheitsbedingte Morbidität und Mortalität bei einer 5-Jahres-Überlebensrate von etwa 50% über die letzten Jahrzehnte nahezu konstant [10].
Ursächlich für die schlechte Prognose und die mit zirka 30% vergleichsweise hohen Rezidivraten [7] ist unter anderem die Tatsache, dass etwa 60% aller Mundhöhlenkarzinome erst in fortgeschrittenen Stadien (Stadium III oder IV) diagnostiziert werden [11]. Die Erfahrung zeigt zudem, dass Patienten/-innen mit entsprechendem Risikoprofil dem Angebot regelmäßiger, zahnärztlicher Vorsorgeuntersuchungen oftmals nicht zuverlässig nachkommen.
Bei rechtzeitiger Diagnosestellung eines Plattenepithelkarzinoms im frühen Stadium allerdings kann die Überlebensrate bei angemessener Therapie 80% und mehr betragen [12]. Dies legt nahe, dass insbesondere hinsichtlich der Prognose und Mortalität eine frühzeitige und zuverlässige Diagnostik pathologischer Mundschleimhautzustände für eine suffizienten Sekundärprävention unerlässlich sind.
Potenziell maligne Schleimhautveränderungen
Orale Plattenepithelkarzinome können sich mitunter auf Grundlage vorbestehender, chronischer Mundschleimhautveränderungen und Präkanzerosen manifestieren. Demnach gilt es in der zahnärztlichen Praxis im Rahmen routinemäßiger Mundhöhleninspektionen besondere Sorgfalt walten zu lassen bei jenem Patientenklientel mit typischen, krankheitsassoziierten Risikofaktoren wie Rauchen und regelmäßigem Alkoholkonsum wie auch bei Patienten/-innen mit prädisponierenden Mundschleimhautläsionen, um makroskopisch veränderte Gewebe und Vorläuferläsionen, deren Auftreten möglicherweise mit dem Risiko einer malignen Entartung assoziiert sind, frühzeitig zu erkennen. Diese Vorläuferläsionen wurden bereits 1978 von der Weltgesundheitsorganisation (WHO) unter dem Begriff „Orale Präkanzerosen“ zusammengefasst und seit dem Jahr 2005 als „potenziell maligne Veränderungen (PMV)“ beschreiben.
Eine besondere Schlüsselrolle bei der Erkennung und korrekten Behandlung untypischer Schleimhautbefunde steht hier den behandelnden Zahnärzten/-innen zu, da diese bei Inspektion der Mundhöhle in der Regel als erste pathologische Gewebezustände identifizieren. Zu den potenziell malignen Läsionen der Mundschleimhaut werden folgende Befunde gezählt [6]:
- Leukoplakie
- Erythroplakie
- oraler Lichen planus (OLP)
- orale lichenoide Läsion (OLL)
- aktinische Chelitis
- orale submuköse Fibrose
- diskoider Lupus Erythematodes
- Veränderungen der Gaumenschleimhaut als Folge von „reverse smoking“
- Immunsuppression/Graft-versus-host disease (GvHD)
Die Weltgesundheitsorganisation schätzt die weltweite Prävalenz potenziell maligner Mundschleimhautveränderungen auf zirka 4,5%, mit deutlicher Dominanz in den Entwicklungsländern [13]. Die meisten der genannten Schleimhautveränderungen ähneln sich in ihrem klinischen Erscheinungsbild und imponieren als weißliche, fokale oder diffuse Läsionen. Dies erschwert oftmals die korrekte differenzialdiagnostische Beurteilung durch den/die Behandler/-in, zu dessen/deren Aufgabe neben korrekter Diagnosestellung und Abschätzung des individuell vorliegenden Entartungsrisikos auch die Einleitung adäquater, weiterführender diagnostischer Maßnahmen (Probenentnahme, Verlaufskontrolle, Überweisung an Fachzentrum) zählt.
Laut aktueller AWMF-Sk2-Leitlinie (Stand: März 2021) „Diagnostik und Management von Vorläuferläsionen des oralen Plattenepithelkarzinoms in der Zahn-, Mund- und Kieferheilkunde“ gelten sämtliche neu aufgetretenen, unklaren Schleimhautveränderungen, welche unter Beobachtung oder Therapie länger als 2 Wochen persistieren, als verdächtig und darüber hinaus abklärungsbedürftig [14,15]. In der mittel- und westeuropäischen zahnärztlichen Praxis sind unter den oben aufgeführten Krankheitsbildern insbesondere der orale Lichen planus und die Leukoplakie mit geschätzten Prävalenzen von 1,2 und 1% von klinischer Bedeutung [16,17].
Intraepitheliale Dysplasie
Zur näheren histomorphologischen Klassifikation von Störungen der oralen Epithelarchitektur mit zytologischen Atypien lassen sich laut aktualisierter WHO-Klassifikation der Kopf-Hals-Tumoren von 2017 orale Dysplasien nach ihrem Schweregrad in die 3 Kategorien SIN I bis III (englisch für squamous intraepithelial neoplasia) unterteilen [18]. In Abhängigkeit des vorliegenden Dysplasiegrades und dem damit einhergehenden Entartungsrisiko werden geringgradige Dysplasien (low grade) mit niedrigem Risiko als SIN I von mäßiggradigen Dysplasien (high grade; SIN II) und hochgradigen Dysplasien (high grade; SIN III) mit dem höchsten Risiko maligner Transformation unterschieden. Die aktuelle Nomenklatur schließt den alten Begriff des Carcinoma in situ, einem rein intraepithelial gelegenen Frühstadium des Plattenepithelkarzinoms noch ohne invasives Wachstum, unter der Kategorie der squamösen intraepithelialen Dysplasie vom Grad III mit ein [15,19].
Orale Leukoplakie
Die Weltgesundheitsorganisation definiert die Leukoplakie als „vorwiegend weiße Läsion der Mundschleimhaut, die nicht als eine andere definierbare Läsion charakterisiert werden kann und mit keinem physikalischen oder chemischen Auslöser in Verbindung gebracht wird außer Tabakkonsum“ [20] (Abb. 1). Diese ist als eine Ausschlussdiagnose nach Elimination anderer möglicher Ursachen weißlicher Schleimhautläsionen, bei denen kein erhöhtes Entartungsrisiko besteht, zu verstehen. In Deutschland konnten im Rahmen der 3. Deutschen Mundgesundheitsstudie (DMS III) Prävalenzen von 2,3% bei männlichen und 0,9% bei weiblichen Patienten ermittelt werden [21], wobei studienübergreifend männliche Patienten über 70 Jahre signifikant häufiger betroffen waren als Patienten jüngerer Altersgruppen [22,23].
Klinik für MKG-Chirurgie, Universität MainzOrale Leukoplakien können isoliert oder ubiquitär in der gesamten Mundhöhle auftreten und imponieren als weiße, nicht abwischbare Flecken. Häufigste Prädispositionsstellen sind die Wangenschleimhaut, der Mundboden, der Zungenrand, die Mukosa des Alveolarfortsatzes und der Gaumen [20]. Klinisch lassen sich homogene von inhomogenen Varianten unterscheiden.
Während die oftmals asymptomatische, homogene Leukoplakie eher durch ihr einheitlich flaches Erscheinungsbild mit konstanter Textur und flachen Furchen gekennzeichnet ist, tritt das Pendant der inhomogenen Leukoplakie klinisch häufig durch Beschwerden wie Schmerzen oder Brennen der Mundschleimhaut in Erscheinung. Makroskopisch demarkiert sich eine weißliche oder weißrote (erythroplake), unregelmäßige Läsion der Schleimhautoberfläche mit teils nodulären Anteilen. Sind exophytische Anteile erkennbar, spricht man von einer verrukösen Leukoplakie.
Eine Sonderstellung nimmt die proliferative Leukoplakie ein. Hierbei handelt es sich um eine besonders aggressive Form, die mit einem hohem malignen Entartungspotenzial von bis zu 70% einhergeht [15] und durch ihr großflächiges, multifokales Auftreten gekennzeichnet ist [24,25]. Im histopathologischen Präparat zeigen sich typischerweise benigne, dysplasiefreie Hyper- und Parakeratosen, Akanthosen und Zellatrophien mit Einwanderung von charakteristischen Entzündungszellen.
Andererseits sind auch dysplastische Anteile, deren Auftreten mit 17 bis 39% beziffert wird [26], bis hin zum Carcinoma in situ (CIS) und Übergänge zu invasiven Karzinomformationen möglich [27]. Die Ätiologie der oralen Leukoplakie ist bis heute nicht abschließend geklärt. Es wird jedoch vermutet, dass dem Rauchen und dem Konsum von Kautabak eine entscheidende Rolle bei der Entstehung zukommt [28,29].
Das Entartungsrisiko wird laut Literatur mit Werten zwischen 0,6 und 18% beziffert, wobei das Risiko einer malignen Transformation inhomogener Befunde um bis zu 5-fach höher eingestuft wird [30]. Liegen erosive, erythroplake Formen vor, ist mit einer Transformationsrate von 14 bis 50% zu rechnen [31]. Eine aktuelle Übersichtsarbeit aus dem Jahre 2021 verzeichnete in einem 5-Jahres-Followup eine maligne Transformationsrate oraler Leukoplakien von 9,1% [32].
Ein aussagekräftiges Kriterium zur objektiven Risikoeinschätzung stellen Vorkommen und Grad an intraepithelialen Dysplasien dar. Darüber hinaus hat sich gezeigt, dass sich eine lange Bestehensdauer, weibliches Geschlecht, fortgeschrittenes Alter (über 50 Jahre) und Lokalisationen an Zunge, Mundboden und Weichgaumen verstärkend auf das Risiko maligner Entartung auswirken können [32,33].
Obwohl ein Großteil der Leukoplakien nicht maligne transformieren, sind die Identifizierung von gefährdeten Patienten/-innen sowie deren engmaschige klinische Kontrolle in der zahnärztlichen Praxis von großer Relevanz. Zweifellos sind bei Nachweis einer histologisch gesicherten Leukoplakie die Aufklärung der Patienten/-innen über das erhöhte Karzinomrisiko wie auch die dringende Empfehlung zur Vermeidung ätiologischer Faktoren dringend geboten.
Erythroplakie
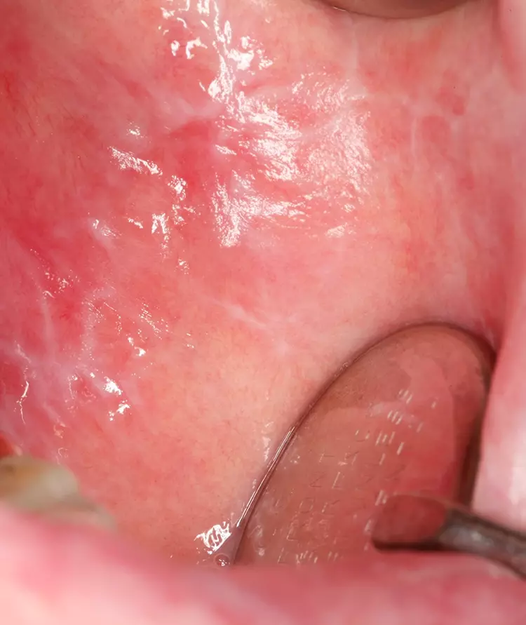
Die orale Erythroplakie wird als rote Unterform prämaligner Läsionen verstanden, deren Ätiologie und Pathogenese denen der oralen Leukoplakie ähnelt. Es handelt sich um überwiegend „feuerrote“ Effloreszenzen der Schleimhaut, die weder klinisch noch pathologisch einer anderen Erkrankung zugeordnet werden können [34] und folglich analog zur Leukoplakie eine Ausschlussdiagnose darstellen (Abb. 2). Trotz unklarer Genese konnten mehrere Studien auf das Rauchen und das Kauen von Tabak und Betelnüssen als mitverantwortliche ätiologische Faktoren hinweisen [35–37].
Klinik für MKG-Chirurgie, Universität MainzDie orale Erhythroplakie ist sehr selten, was insbesondere die Abgrenzung zu anderen rötlich erscheinenden, inflammatorischen oder neoplastischen Mundschleimhauterkrankungen durch den Behandler erschwert. Bei Verdacht auf Vorliegen einer Erythroplakie sollte, auch um diese nicht mit roten Anteilen leukoplaker Schleimhautveränderungen zu verwechseln, zur definitiven Diagnosesicherung eine Biopsie erfolgen [6,34]. Therapeutische Befundexzisionen sind Läsionen mit Nachweis höhergradiger Dysplasien vorbehalten.
Bei histologisch gesicherten, mäßigen oder nicht dysplastischen Läsionen wird eine engmaschige klinische Verlaufskontrolle empfohlen. Alternativ können in Abhängigkeit des individuellen klinischen Bildes invasionsärmere CO2-Laserexzisionsverfahren erfolgen [38,39]. Von den hier aufgeführten, potenziell malignen Mundschleimhautläsionen birgt die Erythroplakie das höchste Transformationsrisiko.
Oraler Lichen planus (OLD)
Lichen planus beschreibt eine nicht ansteckende, chronisch entzündliche Erkrankung ungeklärter Ätiologie, welcher in 65% der Fälle hauptsächlich die Schleimhäute betrifft [40]. Neben oralen Manifestationen können auch andere Schleimhäute wie Genitalien, Speiseröhre und Bindehaut sowie Hautanhangsgebilde wie Kopfhaut und Nägel betroffen sein [41]. Mit Prävalenzen zwischen 0,1 und 4% repräsentiert der orale Lichen planus eine weitere, für die zahnärztliche Praxis relevante Mundschleimhautveränderung mit potenziell malignem Transformationspotenzial [42].
Aus pathophysiologischer Sicht stellt der orale Lichen planus eine autoimmunassoziierte, T-Zell-vermittelte Entzündungsreaktion dar, deren genauer Signalweg bis zum jetzigen Zeitpunkt nicht vollständig nachvollzogen ist. Bislang konnten auch keine definitiven ursächlichen Antigene identifiziert werden, sodass neben den typischen Risikofaktoren des oralen Plattenepithelkarzinoms auch genetische Komponenten, Stressreaktionen, Traumata und Infektionen mit exogenen Antigenen wie Epstein-Barr-Virus, Herpes-simplex-Virus, Helicobacter pylori, Hepatitisviren oder humane Papillomviren diskutiert werden [41,43,44]. Pathognomisch für den OLP sind isoliert oder multifokal auftretende, erythematös-violette, glänzende polygonale Papeln, auf deren Oberfläche sich eine weißliche, nicht abwischbare Streifung, die sogenannte Wickhamsche Streifung, befindet [45] (Abb. 3).
Klinik für MKG-Chirurgie, Universität MainzTypische Manifestationsorte, häufig bilateral, sind die posteriore Lippen- und Wangenschleimhaut, die Gingiva, die Zunge und das Lippenrot. Seltener hingegen sind Lokalisationen an Gaumen, Mundboden und Oberlippe [46]. Die Diagnose des oralen Lichen planus basiert auf den typischen, oben genannten Merkmalen und kann zusätzlich durch pathohistologische Begutachtung eines entnommenen Biopsates gesichert werden.
Charakteristische, histologische Merkmale des OLP sind Hyperkeratosen mit verbreitertem Stratum spinosum, ein bandförmiges lymphozytäres Infiltrat, degenerative Veränderungen der Basallamina, Fehlen oder sägezahnartige Konfiguration epithelialer Reteleisten und Vorkommen einer Kolloidschicht von degenerierten Keratinozyten, den sogenannten Civattekörperchen [47]. Viele betroffene Patienten klagen über Mundschleimhautsymptomatik im Alltag und entzündungsbedingte Beschwerden, insbesondere im Rahmen der täglichen Mundhygiene [48].
Typischerweise tritt der OLP im Alter zwischen 50 und 60 Jahren auf, Frauen scheinen dabei häufiger betroffen zu sein als Männer [41,44]. Je nach klinischem Befund lassen sich ferner papulöse, retikuläre, atrophische, bullöse und erosive Unterformen des OLP unterscheiden.
Orale lichenoide Reaktion (OLR)
In diesem Zusammenhang ist die orale lichenoide Reaktion, die zwar klinisch und histopathologisch ein ähnliches Krankheitsbild wie der OLP erzeugen kann, jedoch oftmals auf eindeutig identifizierbare Trigger zurückzuführen ist, klar abzugrenzen. Hierbei handelt es sich vermutlich um eine Sensibilisierung oder Hypersensitivität gegenüber zahnärztlichen Werkstoffen, darunter vor allem in Füllungsmaterialien enthaltene Stoffe wie Amalgam, Kompositwerkstoffe, Kobalt, Nickel oder Methacrylat [6,48,49]. Das maligne Entartungspotenzial der OLR ist Gegenstand kontroverser Diskussionen und wird in der Literatur mit Werten zwischen 0 und 5,4% angegeben, wobei die höchste Transformationsrate bei erythematösen und erosiven Läsionen zu verzeichnen ist [47,50].
Abhängig vom klinischen Phänotyp und den vorliegenden Symptomen reichen therapeutische Maßnahmen von klinischen Verlaufskontrollen über topische oder systemische Anwendung von Kortikosteroiden bis hin zu medikamentöser Immunsuppression, Laserbehandlung und Exzision verdächtiger Befunde. Liegt der Verdacht einer lichenoiden Reaktion nahe, sollte in jedem Fall die vermutete ursächliche Komponente (mechanische Traumata, schlecht sitzender Zahnersatz, dentale Werkstoffe, scharfe Zahnkanten) entfernt werden [50].
Diagnostische Verfahren
Eine regelmäßige visuelle Inspektion und digitale Palpation der Mundhöhle gilt als effektivste Methode zur Früherkennung oraler Pathologien. Die zahnärztliche Praxis spielt hier eine wichtige Rolle, denn erfahrungsgemäß sind die behandelnden Zahnärzte/-innen erste Konsultanten für Patienten/-innen mit neu aufgetretenen, unklaren Mundschleimhautläsionen. Mittels Studien an einem Patientenkollektiv mit einschlägigem Risikoprofil, das sich regelmäßig einem systematischen, klinischen Mundschleimhautscreening unterzog, konnten deutlich niedrigere Mortalitätsraten durch orale Plattenepithelkarzinome beobachtet werden [51,52].
In Deutschland haben gesetzlich krankenversicherte Personen Anspruch auf halbjährliche zahnärztliche Kontrolluntersuchungen, jährliche Entfernungen von Zahnstein und harten Belägen und in 2-jährigem Intervall die Erhebung des parodontalen Screening-Indexes (PSI). Diese Maßnahmen stellen, sofern von betroffenen Patienten/-innen wahrgenommen, äußerst effektive primärpräventive Mittel dar.
Die Wahrscheinlichkeit, dass ein Karzinom im Rahmen dieser zahnärztlichen (Routine-)Untersuchungen durch die Behandler korrekt als solches erkannt und behandelt wird, beträgt bis zu 97% [6]. Dies ist jedoch nicht zuletzt von äußeren Gegebenheiten sowie der Erfahrung der Behandelnden abhängig und kann bei untersucherbedingter Fehldeutung oder Übersehen bzw. Nichtbeachtung betreffender Vorläuferläsionen zu einer Verzögerung der Diagnosestellung führen [53,54]. Die komplette Inspektion der Mundschleimhaut im Rahmen der regulären zahnärztlichen Vorsorgeuntersuchungen durch die behandelnden Hauszahnärzte/-innen stellt somit das wichtigste Instrument der Sekundärprävention dar.
Fallen bei einer Untersuchung unklare Schleimhautläsionen auf, ist es Aufgabe des/der behandelnden Zahnarztes/-ärztin, unter Berücksichtigung und Ausschluss möglicher Differenzialdiagnosen verdächtige Befunde hinsichtlich ihres individuellen Transformationsrisikos präzise einzustufen. Dazu zählt, potenziell maligne Veränderungen von häufig vorkommenden, gutartigen Mundschleimhautbefunden ohne relevantes Entartungsrisiko wie Amalgamtätowierungen, Prothesenstomatitis, Pilzerkrankungen, Aphten oder Herpeserkrankungen korrekt zu unterscheiden und nur falls notwendig weiterführende (invasive) diagnostische Maßnahmen zu ergreifen.
Hierzu zählen neben der chirurgischen Inzisions- oder Exzisionsbiopsie die Bürstenbiopsie und Zytologie sowie optische Verfahren, welche im Anschluss näher erläutert werden. Die Arbeitsgemeinschaft der Wissenschaftlichen Medizinischen Fachgesellschaften (AWMF) definiert in ihrer Leitlinie die klinischen Symptome von potenziell malignen Mundschleimhautveränderungen wie folgt [15] (Abb. 4):
Klinik für MKG-Chirurgie, Universität Mainz- Verlust des Oberflächenglanzes
- Verhornungstendenz (weiße Läsionen/Leukoplakie)
- flächiger Verlust der Oberflächenintegrität (rote Läsionen/Erythroplakie)
- Erosion
- Ulzeration
- Blasenbildung/Desquamation
- Induration
- Atrophie
- Pigmentierung
- Schmerzempfinden, Brennen
Zu den eindeutigen, klinischen Malignitätskriterien zählen Hyperkeratosen, Inhomogenität, Erosion, Blutung bei Berührung oder mechanischer Irritation, Neuauftreten ohne eindeutige Ursache bei unbekannter Bestehensdauer sowie Teleangiektasien [14]. Bei Vorliegen einer oder mehrerer der genannten Eigenschaften und hinreichendem klinischem Verdacht sollte eine Biopsie zur genaueren Entitätsbeurteilung erfolgen.
Dabei gilt es, diese möglichst zeitnah einzuleiten [15], da bei Vorliegen eines Mundhöhlenkarzinoms Behandlungsverzögerungen von mehr als 30 Tagen bereits in einer signifikant höheren Mortalität resultieren können. Um die Überlebensrate von Patienten/-innen mit oralem Plattenepithelkarzinom in dieser entscheidenden Phase nicht negativ zu beeinflussen und eine bestmögliche Gesamtprognose zu gewährleisten, sollten die präoperative Diagnostik sowie die Anbindung an ein fachonkologisches Zentrum zur Therapieplanung innerhalb eines Zeitraums von 20 Tagen weitgehend abgeschlossen sein [55,56].
Inzisions- und Exzisionsbiopsie
Die Inzisionsbiopsie mit anschließender histopathologischer Aufarbeitung gilt als Goldstandard zur Diagnosesicherung verdächtiger oder klinisch nicht sicher einer Entität zuordenbaren Läsionen. In der Regel erfolgt diese mittels Skalpells und schließt idealerweise, um dem/der befundenen Pathologen/-in eine präzise Orientierung und im Falle eines Malignoms den Nachweis einer infiltrativen Komponente zu gewährleisten, sowohl Anteile des betreffenden Befundes als auch den Übergang zu angrenzendem, makroskopisch gesundem Gewebe mit ein.
Bei korrekter Durchführung weist die Skalpellbiopsie eine diagnostische Genauigkeit von bis zu 88,9% auf und gilt bei einem Restrisiko einer falsch negativen Bewertung von unter 10% als äußerst verlässlich [57]. Erwähnenswerte Nachteile der chirurgischen Biopsie sind deren Invasivität, Kosten und Aufwand sowie die eingeschränkte Praktikabilität bei multilokulären Befunden.
Die vollständige Entfernung einer verdächtigen Schleimhautläsion wird als Exzisionsbiopsie bezeichnet. Zwar bietet diese aufgrund des größeren Biopsieumfangs in bestimmten Fällen eine höhere Zuverlässigkeit, sollte jedoch in Anbetracht der gesteigerten Morbidität individuell evaluiert und bei geringem Malignomverdacht stets gegen die Alternative wiederholter Inzisionsbiopsien abgewogen werden.
Ferner besteht neben dem Risiko der Übertherapie benigner Läsionen die Gefahr der unvollständigen Resektion eines Malignoms ohne ausreichenden Sicherheitsabstand, was die Schwierigkeit der Nachresektion mitunter stark erhöht, da ehemalige Resektionsgrenzen oftmals nicht mehr einwandfrei nachvollzogen werden können [58]. Retrospektive Beobachtungsstudien konnten keinen signifikanten Unterschied in der Überlebensrate von Patienten mit Mundhöhlenkarzinom, bezogen auf die Modalität der Biopsie (Inzision oder Exzision) feststellen, sodass gemäß aktueller Leitlinie die Inzisionsbiopsie als zu favorisierendes Standardverfahren gilt [14,15,59].
Bürstenbiopsie und Zytologie
Bei einer Abrasions- oder Bürstenbiopsie werden Zellen aus oberflächlichen Epithelschichten durch Rotation und Druck mit rigiden Nylonbürsten abgetragen und anschließend auf Objektträgern zur histologischen Untersuchung fixiert. Eine Anästhesie ist für die Probengewinnung nicht notwendig. Punktuelle Blutungen auf der Schleimhautoberfläche deuten auf eine ausreichende Eindringtiefe der Abstrichborsten hin.
Im Anschluss erfolgen nach Anfärbung eine zytologische Analyse und pathologische Befundung des Zellausstriches. Vorteile dieses Verfahrens sind die invasionsarme, kostengünstige Durchführung bei gleichermaßen anwenderfreundlicher Handhabung. Verglichen mit einer invasiven Skalpellbiopsie werden allerdings keine vollschichtigen Zellverbände, sondern lediglich einzelne, oberflächliche Zellen zur weiteren Untersuchung gewonnen, wodurch die Malignität einer Läsion nicht abschließend beurteilt werden kann.
Dies deckt sich auch mit der aktuellen Studienlage, die zum jetzigen Zeitpunkt keine zufriedenstellende Evidenz im Bereich der Früherkennung oraler Vorläuferläsionen darlegen kann [15,60,61], sodass im Zweifelsfall der Inzisionsbiopsie stets Vorrang gewährt werden sollte. Bei Mundschleimhautläsionen hingegen, welche nicht primär die Indikation einer chirurgischen Biopsie erfüllen und unter Umständen eine Verlaufskontrolle vorgesehen ist, kann auch die Durchführung einer Bürstenbiopsie zur ergänzenden Dignitätsbeurteilung erfolgen [15].
Intravitalfärbung mit Toluidinblau
Das nicht invasive Verfahren der intravitalen Mundschleimhautfärbung zur visuellen Hervorhebung maligner Areale ist eine bereits lange etablierte Methode und basiert auf der Anreicherung von DNA-affinen Farbstoffen in Zellen mit gesteigerter Mitoserate und DNA-Gehalt [62]. So konnten auf molekularer Ebene Assoziationen zwischen chromosomalen Veränderungen und dem Anfärbeverhalten bestimmter Schleimhautläsionen beobachtet werden [63]. Die in der Literatur angegebenen Sensitivitäten von 38 bis 95% sind allerdings äußerst variabel, weswegen sich das Verfahren auch aufgrund des hohen Aufwandes und unbefriedigender Spezifitäten von teilweise unter 42% in der zahnärztlichen Primärversorgung nicht etablieren konnte [64–66].
Chemilumineszenz- und Autofluoreszenzdiagnostik
Chemilumineszenzanwendungen basieren auf Eigenschaften der Anreicherung chemischer Substanzen in Zellen. In der klinischen Anwendung wird die Mundschleimhaut nach Vorbehandlung mit 1%iger Essigsäure durch eine Lichtquelle mit definierten Wellenlängen illuminiert. Unter Beleuchtung mit Wellenlängen von 430 bis 580 nm sollen sich gesunde Epithelien bläulich und irreguläre Keratinisierungen weißlich darstellen.
In einer Studie konnten Systeme wie ViziLite® (Zila Pharmaceuticals) PMV und maligne Läsionen mit einer Sensitivität zwischen 77,3 und 100%, allerdings nur mit Spezifitäten von 27,8% korrekt detektieren [67]. Eine weitere, nicht invasive Methode in der Diagnostik prämaligner Läsionen nutzt das Vorkommen natürlicher, extra- und intrazellulär gelegener Autofluoreszenzsubstanzen wie NADPH, FAD, Keratin und Kollagen.
Dys- und anaplastische Gewebe mit hohen DNA-Konzentrationen und zerstörtem Stromakollagen erscheinen aufgrund ihres gesteigerten Absorptionsverhaltens bei Belichtung durch Geräte wie dem VELscope®-System bei Wellenlängen zwischen 400 und 460 nm dunkel, während gesundes Gewebe grünlich fluoresziert [68]. Die aktuelle S2k-Leitlinie empfiehlt aufgrund der inhomogenen und unzureichenden wissenschaftlichen Datenlage sowie der nicht zufriedenstellenden Studienergebnisse im Bereich beider optischer Diagnoseverfahren keine routinemäßige Anwendung zur Früherkennung oraler Karzinome und PMV [15].
Empfehlungen für die Praxis
- Hauptrisikofaktoren für die Entstehung eines Mundhöhlenkarzinoms sind das Rauchen und der Alkoholkonsum.
- Orale Plattenepithelkarzinome können sich auf dem Boden chronischer Mundschleimhautveränderungen manifestieren.
- Inhomogene, erythroplake Läsionen haben das höchste Risiko einer malignen Entartung.
- Der klinischen Untersuchung der Mundschleimhaut durch die behandelnden Zahnärzte/-innen kommt eine entscheidende Schlüsselrolle in der Sekundärprävention von potenziell malignen Schleimhautläsionen zu.
- Der diagnostische Goldstandard ist die Skalpellbiopsie mit anschließender histologischer Begutachtung.
- Bürstenbiopsien können zur Verlaufskontrolle von Läsionen, die nicht zwingend einer invasiven Biopsie bedürfen, eingesetzt werden.
- Derzeitig verfügbare, optische Verfahren sollten in der primären Diagnostik von PMV keine routinemäßige Anwendung finden.
- Bei hinreichendem Malignomverdacht empfiehlt sich immer die zeitnahe Anbindung an ein fachonkologisches Zentrum.
Weitere Inhalte zum Themenschwerpunkt:
Entdecke CME Artikel






Keine Kommentare.